Evaluation of Biocompatibility, Anti-Inflammatory, and Antinociceptive Activities of Pequi Oil-Based Nanoemulsions in In Vitro and In Vivo Models
Abstract
1. Introduction
2. Materials and Methods
2.1. Materials
2.2. Oil Characterization
2.3. Development and Physicochemical Characterization of Pequi Oil-Based Nanoemulsion (PeNE)
2.4. PeNE Morphological Analysis
2.5. Cell Culture
2.6. Cell Viability Assay
2.7. DNA Fragmentation Assay
2.8. Association of PeNE with Macrophage Cells
2.9. In Vivo Assays
2.9.1. Animals and Experimental Design
2.9.2. Evaluation of Carrageenan-Induced Hypernociception and Edema in Rats
2.9.3. Evaluation of Motor Coordination
2.9.4. Biocompatibility Evaluation
2.10. Statistical Analysis
3. Results
3.1. Pequi Oil Characterization
3.2. Characterization of Pequi Oil-Based Nanoemulsion (PeNE)
3.3. Association, Cytotoxicity, and Genotoxicity of PeNE and Free Pequi Oil on Macrophage Cells (J774.16)
3.4. Evaluation of Anti-Inflammatory and Analgesic Effects of PeNE and Free Pequi Oil In Vivo
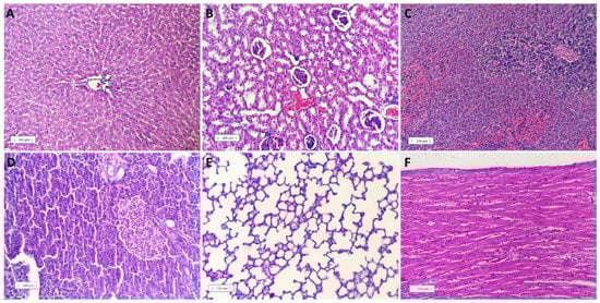
3.5. Biocompatibility Analysis of PeNE and Free Oil Oral Treatment in In Vivo Model
4. Discussion
5. Conclusions
6. Patents
Supplementary Materials
Author Contributions
Funding
Institutional Review Board Statement
Informed Consent Statement
Data Availability Statement
Acknowledgments
Conflicts of Interest
References
- Fioranelli, M.; Roccia, M.G.; Flavin, D.; Cota, L. Regulation of Inflammatory Reaction in Health and Disease. Int. J. Mol. Sci. 2021, 22, 5277. [Google Scholar] [CrossRef]
- Christgen, S.; Kanneganti, T.D. Inflammasomes and the Fine Line between Defense and Disease. Curr. Opin. Immunol. 2020, 62, 39–44. [Google Scholar] [CrossRef]
- Winand, L.; Sester, A.; Nett, M. Bioengineering of Anti-Inflammatory Natural Products. ChemMedChem 2021, 16, 767–776. [Google Scholar] [CrossRef] [PubMed]
- Montinari, M.R.; Minelli, S.; De Caterina, R. The First 3500 Years of Aspirin History from Its Roots—A Concise Summary. Vascul. Pharmacol. 2019, 113, 1–8. [Google Scholar] [CrossRef] [PubMed]
- Junior, A.J.; Leitão, M.M.; Bernal, L.P.T.; dos Santos, E.; Kuraoka-Oliveira, Â.M.; Justi, P.; Argandoña, E.J.S.; Kassuya, C.A.L. Analgesic and Anti-Inflammatory Effects of Caryocar Brasiliense. Antiinflamm. Antiallergy Agents Med. Chem. 2019, 19, 313–322. [Google Scholar] [CrossRef] [PubMed]
- Coutinho, D.S.; Pires, J.; Gomes, H.; Pohlmann, A.R.; Guterres, S.S.; Silva, P.M.R.; Martins, M.A.; Ferrarini, S.R.; Bernardi, A. Pequi (Caryocar brasiliense Cambess)-Loaded Nanoemulsion, Orally Delivered, Modulates Inflammation in Lps-Induced Acute Lung Injury in Mice. Pharmaceutics 2020, 12, 1075. [Google Scholar] [CrossRef]
- Santamarina, A.B.; Pisani, L.P.; Baker, E.J.; Marat, A.D.; Valenzuela, C.A.; Miles, E.A.; Calder, P.C. Anti-Inflammatory Effects of Oleic Acid and the Anthocyanin Keracyanin Alone and in Combination: Effects on Monocyte and Macrophage Responses and the NF-ΚB Pathway. Food Funct. 2021, 12, 7909–7922. [Google Scholar] [CrossRef]
- Elzayat, A.; Adam-Cervera, I.; Álvarez-Bermúdez, O.; Muñoz-Espí, R. Nanoemulsions for Synthesis of Biomedical Nanocarriers. Colloids Surf. B Biointerfaces 2021, 203, 111764. [Google Scholar] [CrossRef]
- Wei, G.; Wang, Y.; Yang, G.; Wang, Y.; Ju, R. Recent Progress in Nanomedicine for Enhanced Cancer Chemotherapy. Theranostics 2021, 11, 6370–6392. [Google Scholar] [CrossRef]
- Lazo, R.E.L.; Mengarda, M.; Almeida, S.L.; Caldonazo, A.; Espinoza, J.T.; Murakami, F.S. Advanced Formulations and Nanotechnology-Based Approaches for Pulmonary Delivery of Sildenafil: A Scoping Review. J. Control. Release Off. J. Control. Release Soc. 2022, 350, 308–323. [Google Scholar] [CrossRef]
- Pandey, P.; Gulati, N.; Makhija, M.; Purohit, D.; Dureja, H. Nanoemulsion: A Novel Drug Delivery Approach for Enhancement of Bioavailability. Recent Pat. Nanotechnol. 2020, 14, 276–293. [Google Scholar] [CrossRef] [PubMed]
- Li, G.; Zhang, Z.; Liu, H.; Hu, L. Nanoemulsion-Based Delivery Approaches for Nutraceuticals: Fabrication, Application, Characterization, Biological Fate, Potential Toxicity and Future Trends. Food Funct. 2021, 12, 1933–1953. [Google Scholar] [CrossRef]
- Moghassemi, S.; Dadashzadeh, A.; Azevedo, R.B.; Amorim, C.A. Nanoemulsion Applications in Photodynamic Therapy. J. Control. Release Off. J. Control. Release Soc. 2022, 351, 164–173. [Google Scholar] [CrossRef] [PubMed]
- Aguilar, E.C.; Jascolka, T.L.; Teixeira, L.G.; Lages, P.C.; Ribeiro, A.C.C.; Vieira, E.L.M.; Peluzio, M.C.G.; Alvarez-Leite, J.I. Paradoxical Effect of a Pequi Oil-Rich Diet on the Development of Atherosclerosis: Balance between Antioxidant and Hyperlipidemic Properties. Braz. J. Med. Biol. Res. 2012, 45, 601–609. [Google Scholar] [CrossRef] [PubMed]
- Moreno, L.G.; Evangelista-Silva, P.H.; Santos, E.C.; Prates, R.P.; Lima, A.C.; Mendes, M.F.; Ottone, V.O.; Ottoni, M.H.F.; Pereira, W.F.; Melo, G.E.B.A.; et al. Pequi Oil, a MUFA/Carotenoid-Rich Oil, Exhibited Protective Effects against DSS-Induced Ulcerative Colitis in Mice. Eur. J. Lipid Sci. Technol. 2021, 123, 2000332. [Google Scholar] [CrossRef]
- Miranda-Vilela, A.L.; Pereira, L.C.S.; Gonçalves, C.A.; Grisolia, C.K. Pequi Fruit (Caryocar brasiliense Camb.) Pulp Oil Reduces Exercise-Induced Inflammatory Markers and Blood Pressure of Male and Female Runners. Nutr. Res. 2009, 29, 850–858. [Google Scholar] [CrossRef]
- Roll, M.M.; Miranda-Vilela, A.L.; Longo, J.P.F.; da Silveira Agostini-Costa, T.; Grisolia, C.K. The Pequi Pulp Oil (Caryocar brasiliense Camb.) Provides Protection against Aging-Related Anemia, Inflammation and Oxidative Stress in Swiss Mice, Especially in Females. Genet. Mol. Biol. 2018, 41, 858–869. [Google Scholar] [CrossRef]
- Ombredane, A.S.; Araujo, V.H.S.; Borges, C.O.; Costa, P.L.; Landim, M.G.; Pinheiro, A.C.; Szlachetka, Í.O.; Benedito, L.E.C.; Espindola, L.S.; Dias, D.J.S.; et al. Nanoemulsion-Based Systems as a Promising Approach for Enhancing the Antitumoral Activity of Pequi Oil (Caryocar brasilense Cambess.) in Breast Cancer Cells. J. Drug Deliv. Sci. Technol. 2020, 58, 101819. [Google Scholar] [CrossRef]
- Leme, J.G.; Hamamura, L.; Leite, M.P.; Silva, M.R.E. Pharmacological Analysis of the Acute Inflammatory Process Induced in the Rat’s Paw by Local Injection of Carrageenin and by Heating. Br. J. Pharmacol. 1973, 48, 88–96. [Google Scholar] [CrossRef]
- Cong, H.H.; Khaziakhmetova, V.N.; Zigashina, L.E. Rat Paw Oedema Modeling and NSAIDs: Timing of Effects. Int. J. Risk Saf. Med. 2015, 27, S76–S77. [Google Scholar] [CrossRef]
- Vivancos, G.G.; Verri, W.A.; Cunha, T.M.; Schivo, I.R.S.; Parada, C.A.; Cunha, F.Q.; Ferreira, S.H. An Electronic Pressure-Meter Nociception Paw Test for Rats. Braz. J. Med. Biol. Res. 2004, 37, 391–399. [Google Scholar] [CrossRef]
- Deacon, R.M.J. Measuring Motor Coordination in Mice. J. Vis. Exp. 2013, 75, e2609. [Google Scholar] [CrossRef] [PubMed]
- Oishi, Y.; Manabe, I. Macrophages in Inflammation, Repair and Regeneration. Int. Immunol. 2018, 30, 511–528. [Google Scholar] [CrossRef] [PubMed]
- Guedes, A.M.M.; Antoniassi, R.; De Faria-Machado, A.F. Pequi: A Brazilian Fruit with Potential Uses for the Fat Industry. OCL Oilseeds Fats Crops Lipids 2017, 24, 507. [Google Scholar] [CrossRef]
- Torres, L.R.O.; Santana, F.C.; Shinagawa, F.B.; Mancini-Filho, J. Bioactive Compounds and Functional Potential of Pequi (Caryocar spp.), a Native Brazilian Fruit: A Review. Grasas Aceites 2018, 69, 257. [Google Scholar] [CrossRef]
- Danaei, M.; Dehghankhold, M.; Ataei, S.; Hasanzadeh Davarani, F.; Javanmard, R.; Dokhani, A.; Khorasani, S.; Mozafari, M.R. Impact of Particle Size and Polydispersity Index on the Clinical Applications of Lipidic Nanocarrier Systems. Pharmaceutics 2018, 10, 57. [Google Scholar] [CrossRef]
- Klang, V.; Valenta, C. Lecithin-Based Nanoemulsions. J. Drug Deliv. Sci. Technol. 2011, 21, 55–76. [Google Scholar] [CrossRef]
- Ombredane, A.S.; Silva, L.R.A.; Araujo, V.H.S.; Costa, P.L.; Silva, L.C.; Sampaio, M.C.; Lima, M.C.F.; Veiga Junior, V.F.; Vieira, I.J.C.; Azevedo, R.B.; et al. Pequi Oil (Caryocar brasilense Cambess.) Nanoemulsion Alters Cell Proliferation and Damages Key Organelles in Triple-Negative Breast Cancer Cells in Vitro. Biomed. Pharmacother. 2022, 153, 113348. [Google Scholar] [CrossRef]
- Turner, P.V.; Brabb, T.; Pekow, C.; Vasbinder, M.A. Administration of Substances to Laboratory Animals: Routes of Administration and Factors to Consider. J. Am. Assoc. Lab. Anim. Sci. 2011, 50, 600–613. [Google Scholar]
- Hanks, C.T.; Wataha, J.C.; Sun, Z. In Vitro Models of Biocompatibility: A Review. Dent. Mater. 1996, 12, 186–193. [Google Scholar] [CrossRef]
- Kus-Liśkiewicz, M.; Fickers, P.; Ben Tahar, I. Biocompatibility and Cytotoxicity of Gold Nanoparticles: Recent Advances in Methodologies and Regulations. Int. J. Mol. Sci. 2021, 22, 10952. [Google Scholar] [CrossRef] [PubMed]
- Shukla, R.K.; Badiye, A.; Vajpayee, K.; Kapoor, N. Genotoxic Potential of Nanoparticles: Structural and Functional Modifications in DNA. Front. Genet. 2021, 12, 728250. [Google Scholar] [CrossRef] [PubMed]
- Khansari, N.; Shakiba, Y.; Mahmoudi, M. Chronic Inflammation and Oxidative Stress as a Major Cause of Age-Related Diseases and Cancer. Recent Pat. Inflamm. Allergy Drug Discov. 2009, 3, 73–80. [Google Scholar] [CrossRef] [PubMed]
- De Oliveira Farias, P. Epidemiological Aspects of Intoxications by Non-Opioid Analgesics and Non Steroidal Anti-Inflammatory Drugs in an Emergency Public Hospital of Brazil. Rev. Méd. Minas Gerais 2016, 26, S11–S15. [Google Scholar]
- Dzoyem, J.P.; McGaw, L.J.; Kuete, V.; Bakowsky, U. Anti-Inflammatory and Anti-Nociceptive Activities of African Medicinal Spices and Vegetables. In Medicinal Spices and Vegetables from Africa: Therapeutic Potential Against Metabolic, Inflammatory, Infectious and Systemic Diseases; Academic Press: Cambridge, MA, USA, 2017; pp. 239–270. [Google Scholar]
- Traesel, G.K.; De Araújo, F.H.S.; Castro, L.H.A.; De Lima, F.F.; Menegati, S.E.L.T.; Justi, P.N.; Kassuya, C.A.L.; Cardoso, C.A.L.; Argandoña, E.J.S.; Oesterreich, S.A. Safety Assessment of Oil from Pequi (Caryocar brasiliense Camb.): Evaluation of the Potential Genotoxic and Clastogenic Effects. J. Med. Food 2017, 20, 804–811. [Google Scholar] [CrossRef]
- Giknis, M.L.A.; Clifford, C.B. Clinical Laboratory Parameters for Crl: WI(Han) Rats; Charles River Lab.: Wilmington, MA, USA, 2008; pp. 1–14. [Google Scholar]










| Sample | Hydrodynamic Diameter (nm) | PDI | Zeta Potential (mV) |
|---|---|---|---|
| PeNE | 124.20 ± 2.40 | 0.24 ± 0.030 | −15.00 ± 1.70 |
| Blank | 157.90 ± 12.12 | 0.24 ± 0.010 | −1.68 ± 0.08 |
| PeNE concentrated A | 231.10 ± 3.07 | 0.239 ± 0.021 | −11.93 ± 1.28 |
| PeNE concentrated B | 259.00 ± 1.57 | 0.234 ± 0.014 | −14.6 ± 2.85 |
| Blank concentrated | 249.36 ± 17.81 | 0.467 ± 0.214 | −3.88 ± 1.23 |
| Sample | Albumin (g/dL) | ALT (U/L) | AST (U/L) | Creatinine (mg/dL) | Glucose (mg/dL) | Urea (mg/dL) |
|---|---|---|---|---|---|---|
| PBS | 2.59 ± 0.20 | 54.33 ± 3.78 | 200.7 ± 60.75 | 0.54 ± 0.14 | 179.00 ± 18.33 | 43.25 ± 4.34 |
| Dexamethasone | 2.95 ± 0.16 | 49.00 ± 11.60 | 123.80 ± 33.35 | 0.65 ± 0.08 | 333.7 ± 66.12 * | 41.50 ± 11.45 |
| Dipyrone | 2.56 ± 0.24 | 47.00 ± 8.60 | 121.2 ± 28.80 | 0.53 ± 0.03 | 204.40 ± 84.83 | 40.60 ± 4.33 |
| PeNE 100 mg/kg | 2.85 ± 0.27 | 48.00 ± 10.41 | 200.5 ± 116.50 | 0.64 ± 0.10 | 288.30 ± 131.80 | 41.71 ± 4.82 |
| PeNE 400 mg/kg | 2.88 ± 0.12 | 54.43 ± 8.28 | 159.70 ± 52.73 | 0.61 ± 0.07 | 280.70 ± 101.5 | 40.43 ± 3.82 |
| Oil free 100 mg/kg | 2.75 ± 0.39 | 57.67 ± 13.09 | 176.20 ± 88.27 | 0.60 ± 0.12 | 254.70 ± 126.40 | 45.86 ± 7.73 |
| Oil free 400 mg/kg | 2.84 ± 0.17 | 59.29 ± 18.49 | 154.00 ± 61.26 | 0.58 ± 0.11 | 185.60 ± 21.24 | 41.71 ± 8.15 |
| Blank 100 mg/kg | 2.84 ± 0.04 | 52.80 ± 4.97 | 139.8 ± 36.26 | 0.69 ± 0.09 | 338.00 ± 101.4 * | 49.20 ± 7.72 |
| Blank 400 mg/kg | 2.94 ± 0.16 | 50.80 ± 12.77 | 166.00 ± 70.20 | 0.64 ± 0.09 | 390.40 ± 104.3 * | 44.60 ± 15.52 |
| Reference values a | 3.40–4.80 ± 0.40 | 18.00–45.00 ± 7.00 | 74.00–143.00 ± 20.00 | 0.20–0.50 ± 0.10 | 70.00–208.00 ± 38.00 | 12.30–24.60 ± 2.90 |
| Sample | Cholesterol (mg/dL) | Triglycerides (mg/dL) |
|---|---|---|
| PBS | 58.75 ± 9.21 | 70.75 ± 6.39 |
| Dexamethasone | 47.75 ± 8.77 | 63.25 ± 29.64 |
| Dipyrone | 49.60 ± 5.41 | 51.20 ± 12.64 |
| PeNE 100 mg/kg | 61.57 ± 8.14 | 61.50 ± 15.93 |
| PeNE 400 mg/kg | 55.29 ± 6.94 | 60.29 ± 26.39 |
| Oil free 100 mg/kg | 57.14 ± 8.23 | 51.67 ± 19.58 |
| Oil free 400 mg/kg | 52.00 ± 7.02 | 51.71 ± 15.48 |
| Blank 100 mg/kg | 56.00 ± 5.70 | 67.00 ± 33.18 |
| Blank 400 mg/kg | 59.60 ± 5.32 | 50.40 ± 20.27 |
| Reference values a | 37.00–85.00 ± 13.00 | 20.00–114.00 ± 21.00 |
| Sample | RBC (×106/μL) | HGB (g/dL) | HCT (%) | MCV (fL) | MCH (pg) | MCHC (g/dL) | RDW-CVRL (%) |
|---|---|---|---|---|---|---|---|
| PBS | 7.083 ± 1.26 | 14.27 ± 2.34 | 41.35 ± 6.66 | 58.57 ± 2.49 | 20.20 ± 0.91 | 34.47 ± 0.59 | 17.78 ± 3.35 |
| Dexamethasone | 7.64 ± 0.61 | 16.23 ± 1.08 | 46.90 ± 2.59 | 61,50 ± 1.63 | 21.25 ± 0.47 | 34.58 ± 0.53 | 17.28 ± 4.80 |
| Dipyrone | 6.99 ± 0.42 | 14.60 ± 1.00 | 43.60 ± 5.80 | 59.52 ± 1.95 | 20.88 ± 0.55 | 35.10 ± 1.12 | 18.62 ± 1.71 |
| PeNE 100 mg/kg | 6.67 ± 1.83 | 13.70 ± 3.86 | 39.60 ± 10.89 | 58.10 ± 3.39 | 20.53 ± 0.88 | 34.51 ± 0.65 | 18.80 ± 4.10 |
| PeNE 400 mg/kg | 7.50 ± 0.436 | 15.34 ± 1.01 | 44.33 ± 2.19 | 59.14 ± 2.07 | 20.46 ± 0.78 | 34.61 ± 0.68 | 18.96 ± 3.04 |
| Oil free 100 mg/kg | 7.31 ± 0.68 | 15.10 ± 1.45 | 44.33 ± 4.136 | 60.61 ± 0.48 | 20.64 ± 0.28 | 34.04 ± 0.54 | 16.99 ± 2.52 |
| Oil free 400 mg/kg | 7.32 ± 0.35 | 15.20 ± 0.69 | 44.16 ± 2.24 | 60.27 ± 1.74 | 20.76 ± 0.70 | 34.34 ± 0.35 | 16.87 ± 2.60 |
| Blank 100 mg/kg | 6.57 ± 1.22 | 14.04 ± 2.49 | 40.82 ± 6.71 | 62.38 ± 2.54 | 21.40 ± 0.55 | 34.34 ± 0.64 | 16.86 ± 2.40 |
| Blank 400 mg/kg | 7.26 ± 0.55 | 15.24 ± 1.18 | 43.66 ± 3.65 | 60.14 ± 1.92 | 21.00 ± 0.48 | 34.90 ± 0.41 | 19.64 ± 3.59 |
| Reference values a | 7.27–9.65 ± 0.67 | 13.70–17.60 ± 1.00 | 39.60–52.50 ± 3.50 | 49.90–57.90 ± 2.4 | 17.10–20.40 ± 0.80 | 32.90–37.50 ± 1.20 | 11.10–15.2 ± 1.10 |
| Sample | WBC (×103/μl) | W-SCR (%) | W-LCR (%) | W-SCC (× 103/µL) | W-LCC (×10/µL) |
|---|---|---|---|---|---|
| PBS | 4.78 ± 1.26 | 60.47 ± 9.39 | 39.53 ± 9.39 | 2.90 ± 0.95 | 1.88 ± 0.58 |
| Dexamethasone | 10.95 ± 2.90 | 55.78 ± 7.40 | 44.23 ± 7.40 | 6.10 ± 1.89 | 4.85 ± 1.51 |
| Dipyrone | 3.76 ± 1.09 ** | 59.60 ± 9.25 | 40.40 ± 9.25 | 2.26 ± 0.76 ** | 1.50 ± 0.53 ** |
| PeNE 100 mg/kg | 7.95 ± 3.70 | 63.29 ± 4.03 | 36.71 ± 4.03 | 5.07 ± 2.55 | 2.88 ± 1.19 |
| PeNE 400 mg/kg | 7.07 ± 3.92 | 58.33 ± 5.58 | 41.67 ± 5.58 | 4.15 ± 2.45 | 2.86 ± 1.55 |
| Oil free 100 mg/kg | 7.07 ± 3.46 | 57.77 ± 3.75 | 41.50 ± 4.24 | 4.22 ± 2.23 | 2.950 ± 1.33 |
| Oil free 400 mg/kg | 7.52 ± 3.90 | 59.61 ± 6.25 | 40.39 ± 6.25 | 4.54 ± 2.47 | 2.98 ± 1.19 |
| Blank 100 mg/kg | 5.70 ± 3.52 | 64.40 ± 3.77 | 35.60 ± 3.77 | 3.70 ± 2.26 | 2.00 ± 1.29 |
| Blank 400 mg/kg | 5.02 ± 1.66 | 55.32 ± 6.29 | 44.68 ± 6.29 | 2.76 ± 0.90 | 2.26 ± 0.91 |
| Reference values a | 1.96–8.25 ± 0.67 | 66.60–90.30 ± 6.30 | 6.20–26.70 ±5.50 | - | - |
Publisher’s Note: MDPI stays neutral with regard to jurisdictional claims in published maps and institutional affiliations. |
© 2022 by the authors. Licensee MDPI, Basel, Switzerland. This article is an open access article distributed under the terms and conditions of the Creative Commons Attribution (CC BY) license (https://creativecommons.org/licenses/by/4.0/).
Share and Cite
Pinheiro, A.C.; Ombredane, A.S.; Pinheiro, W.O.; Andrade, L.R.; Silva, V.R.P.; Felice, G.J.; Alves, D.S.; Albernaz, A.F.; Silveira, A.P.; Lima, M.C.F.; et al. Evaluation of Biocompatibility, Anti-Inflammatory, and Antinociceptive Activities of Pequi Oil-Based Nanoemulsions in In Vitro and In Vivo Models. Nanomaterials 2022, 12, 4260. https://doi.org/10.3390/nano12234260
Pinheiro AC, Ombredane AS, Pinheiro WO, Andrade LR, Silva VRP, Felice GJ, Alves DS, Albernaz AF, Silveira AP, Lima MCF, et al. Evaluation of Biocompatibility, Anti-Inflammatory, and Antinociceptive Activities of Pequi Oil-Based Nanoemulsions in In Vitro and In Vivo Models. Nanomaterials. 2022; 12(23):4260. https://doi.org/10.3390/nano12234260
Chicago/Turabian StylePinheiro, Andréia C., Alicia S. Ombredane, Willie O. Pinheiro, Laise R. Andrade, Vitória R. P. Silva, Gisela J. Felice, Débora S. Alves, Aryanne F. Albernaz, Ariane P. Silveira, Milena C. F. Lima, and et al. 2022. "Evaluation of Biocompatibility, Anti-Inflammatory, and Antinociceptive Activities of Pequi Oil-Based Nanoemulsions in In Vitro and In Vivo Models" Nanomaterials 12, no. 23: 4260. https://doi.org/10.3390/nano12234260
APA StylePinheiro, A. C., Ombredane, A. S., Pinheiro, W. O., Andrade, L. R., Silva, V. R. P., Felice, G. J., Alves, D. S., Albernaz, A. F., Silveira, A. P., Lima, M. C. F., Veiga-Junior, V. F., Gomes, T. F. S., Damasceno, E. A. M., Veiga-Souza, F. H., Souza, P. E. N., Báo, S. N., Duarte, E. C. B., Carneiro, M. L. B., Azevedo, R. B., ... Joanitti, G. A. (2022). Evaluation of Biocompatibility, Anti-Inflammatory, and Antinociceptive Activities of Pequi Oil-Based Nanoemulsions in In Vitro and In Vivo Models. Nanomaterials, 12(23), 4260. https://doi.org/10.3390/nano12234260

