Suitability of Nanoparticles to Face Benzo(a)pyrene-Induced Genetic and Chromosomal Damage in M. galloprovincialis. An In Vitro Approach
Abstract
1. Introduction
2. Materials and Methods
2.1. Chemicals and Devices
2.2. Particle Production and Characterization
2.3. Particle Behavior
2.4. In Vitro Exposure
2.5. DNA Primary Damage (Comet Assay)
2.6. Chromosomal Damage (Cytome Assay)
2.7. Uptake of NPs
2.8. Statistical Analysis
3. Results
3.1. Hydrophilic CB-Derived Nanoparticles (HNP), Aeroxide® TiO2 P25 and Mesoporus Titania (MT) Characterization
3.2. Cellular Uptake
3.3. In Vitro Exposure
3.3.1. DNA Primary Damage
3.3.2. Chromosomal Damage and Morphological Nuclear Abnormalities
4. Discussion
5. Conclusions
Supplementary Materials
Author Contributions
Funding
Data Availability Statement
Acknowledgments
Conflicts of Interest
References
- Adeleye, A.O.; Haiyan, J.; Yanan, D.; Donghao, L.; Jianfang, C.; Ying, Y. Distribution and ecological risk of organic pollutants in the sediments and seafood of Yangtze Estuary and Hangzhou Bay, East China Sea. Sci. Total Environ. 2016, 541, 1540–1548. [Google Scholar] [CrossRef] [PubMed]
- D’Adamo, R.; Pelosi, S.; Trotta, P.; Sansone, G. Bioaccumulation and biomagnification of polycyclic aromatic hydrocarbons in aquatic organisms. Mar. Chem. 1997, 56, 45–49. [Google Scholar] [CrossRef]
- Tian, Y.; Liu, J.; Pan, L. The mechanism of Mitogen-Activated Protein Kinases to mediate apoptosis and immunotoxicity induced by Benzo[a]pyrene on hemocytes of scallop Chlamys farreri in vitro. Fish Shellfish Immunol. 2020, 102, 64–72. [Google Scholar] [CrossRef] [PubMed]
- Qu, M.; Ding, J.; Wang, Y.; Chen, S.; Zhang, Y.; Di, Y. Genetic impacts induced by BaP and Pb in Mytilus coruscus: Can RAPD be a validated tool in genotoxicity evaluation both in vivo and in vitro? Ecotoxicol. Environ. Saf. 2019, 169, 529–538. [Google Scholar] [CrossRef] [PubMed]
- Song, Q.; Li, J.; Zeng, X. Minimizing the increasing solid waste through zero waste strategy. J. Clean. Prod. 2015, 104, 199–211. [Google Scholar] [CrossRef]
- Cai, Y.; Pan, L.; Miao, J. In vitro study of the effect of metabolism enzymes on benzo(a)pyrene-induced DNA damage in the scallop Chlamys farreri. Environ. Toxicol. Pharmacol. 2016, 42, 92–98. [Google Scholar] [CrossRef]
- Atienzar, F.A.; Jha, A.N. The random amplified polymorphic DNA (RAPD) assay to determine DNA alterations, repair and transgenerational effects in B(a)P exposed Daphnia magna. Mutat. Res. 2004, 552, 125–140. [Google Scholar] [CrossRef]
- O’Brien, J.; Beal, M.; Yauk, C.; Marchetti, F. Next generation sequencing of benzo(a)pyrene-induced lacZ mutants identifies a germ cell-specific mutation spectrum. Sci. Rep. 2016, 6, 36743. [Google Scholar] [CrossRef]
- Tylichová, Z.; Neča, J.; Topinka, J.; Milcová, A.; Hofmanová, J.; Kozubík, A.; Machala, M.; Vondráče, J. n-3 Polyunsaturated fatty acids alter benzo[a]pyrene metabolism and genotoxicity in human colon epithelial cell models. Food Chem. Toxicol. 2019, 124, 374–384. [Google Scholar] [CrossRef]
- Song, Q.; Zhou, H.; Han, Q.; Diao, X. Toxic responses of Perna viridis hepatopancreas exposed to DDT, benzo(a)pyrene and their mixture uncovered by iTRAQ-based proteomics and NMR-based metabolomics. Aquat. Toxicol. 2017, 192, 48–57. [Google Scholar] [CrossRef]
- Kuppusamy, S.; Thavamani, P.; Venkateswarlu, K.; Lee, Y.B.; Naidu, R.; Megharaj, M. Remediation approaches for polycyclic aromatic hydrocarbons (PAHs) contaminated soils: Technological constraints, emerging trends and future directions. Chemosphere 2017, 168, 944–968. [Google Scholar] [CrossRef]
- Karn, B.; Kuiken, T.; Otto, M. Nanotechnology and in situ remediation: A review of the benefits and potential risks. Environ. Health Perspect. 2009, 117, 1813–1831. [Google Scholar] [CrossRef] [PubMed]
- Jiang, B.; Lian, L.; Xing, Y.; Zhang, N.; Chen, Y.; Lu, P.; Zhang, D. Advances of magnetic nanoparticles in environmental application: Environmental remediation and (bio)sensors as case studies. Environ. Sci. Pollut. Res. 2018, 25, 30863–30879. [Google Scholar] [CrossRef] [PubMed]
- Liberatori, G.; Grassi, G.; Guidi, P.; Bernardeschi, M.; Fiorati, A.; Scarcelli, V.; Genovese, M.; Faleri, C.; Protano, G.; Frenzilli, G.; et al. Effect-Based Approach to Assess Nanostructured Cellulose Sponge Removal Efficacy of Zinc Ions from Seawater to Prevent Ecological Risks. Nanomaterials 2020, 10, 1283. [Google Scholar] [CrossRef]
- Frenzilli, G. Nanotechnology for Environmental and Biomedical Research. Nanomaterials 2020, 10, 2220. [Google Scholar] [CrossRef]
- Tratnyek, P.G.; Johnson, R.L. Nanotechnologies for environmental cleanup. Nanotoday 2006, 1, 44–48. [Google Scholar] [CrossRef]
- Dhasmana, A.; Sajid Jama, Q.M.; Mir, S.S.; Bhatt, M.L.B.; Rahman, Q. Titanium Dioxide Nanoparticles As Guardian against Environmental Carcinogen Benzo[alpha]Pyrene. PLoS ONE 2014, 9, e107068. [Google Scholar] [CrossRef]
- Taddei, F.; Scarcelli, V.; Frenzilli, G.; Nigro, M. Genotoxic Hazard of Pollutants in Cetaceans: DNA Damage and Repair Evaluated in the Bottlenose Dolphin (Tursiops truncatus) by the Comet Assay. Mar. Pollut. Bull. 2001, 42, 324–328. [Google Scholar] [CrossRef]
- Bernardeschi, M.; Guidi, P.; Scarcelli, V.; Frenzilli, G.; Nigro, M. Genotoxic potential of TiO2 on bottlenose dolphin leukocytes. Anal. Bioanal. Chem. 2010, 396, 619–623. [Google Scholar] [CrossRef] [PubMed]
- Hartmann, A.; Elhajouji, A.; Kiskinis, E.; Poetter, F.; Martus, H.-J.; Fiällman, A.; Frieauff, W.; Sauter, W. Use of the alkaline assay for industrial genotoxicity screening: Comparative investigation with the micronucleus test. Food Chem. Toxicol. 2001, 39, 835–858. [Google Scholar] [CrossRef]
- Vasquez, M.Z. Combining the in vivo comet and micronucleus assay: A practical approach to genotoxicity testing and data interpretation. Mutagenesis 2010, 2, 187–199. [Google Scholar] [CrossRef]
- Hanana, H.; Talarmin, H.; Pennec, J.P.; Droguet, M.; Gobin, E.; Marcorelle, P.; Dorange, G. Establishment of functional primary cultures of heart cells from the clam Ruditapes decussatus. Cytotechnology 2011, 63, 295–305. [Google Scholar] [CrossRef] [PubMed]
- Canesi, L.; Ciacci, C.; Fabbri, R.; Marcomini, A.; Pojana, G.; Gallo, G. Bivalve molluscs as a unique target group for nanoparticle toxicity. Mar. Environ. Res. 2012, 76, 16–21. [Google Scholar] [CrossRef] [PubMed]
- Regoli, F.; Pellegrini, D.; Cicero, A.M.; Nigro, M.; Benedetti, M.; Gorbi, S.; Fattorini, D.; D’Errico, G.; Di Carlo, M.; Nardi, A.; et al. A multidisciplinary weight of evidence approach for environmental risk assessment at the Costa Concordia wreck: Integrative indices from Mussel Watch. Mar. Environ. Res. 2014, 96, 92–104. [Google Scholar] [CrossRef]
- Katsumiti, A.; Berhanu, D.; Howard, K.T.; Arostegui, I.; Oron, M.; Reip, P.; Valsami-Jones, E.; Cajaraville, M.P. Cytotoxicity of TiO2 nanoparticles to mussel hemocytes and gill cells in vitro: Influence of synthesis method, crystalline structure, size and additive. Nanotoxicology 2015, 9, 543–553. [Google Scholar] [CrossRef] [PubMed]
- Katsumiti, A.; Gilliland, D.; Arostegui, I.; Cajaraville, M.P. Cytotoxicity and cellular mechanisms involved in the toxicity of CdS quantum dots in hemocytes and gill cells of the mussel Mytilus galloprovincialis. Aquat. Toxicol. 2014, 153, 39–52. [Google Scholar] [CrossRef] [PubMed]
- Canesi, L.; Fabbri, R.; Gallo, G.; Vallotto, D.; Marcomini, A.; Pojana, G. Biomarkers in Mytilus galloprovincialis exposed to suspensions of selected nanoparticles (Nano carbon black, C60 fullerene, Nano-TiO2, Nano-SiO2). Aquat. Toxicol. 2010, 100, 168–177. [Google Scholar] [CrossRef]
- Evariste, L.; Rioult, D.; Brousseau, P.; Geffard, A.; David, E.; Auffret, M.; Fournier, M.; Betoulle, S. Differential sensitivity to cadmium of immunomarkers measured in hemocyte subpopulations of zebra mussel Dreissena polymorpha. Ecotoxicol. Environ. Saf. 2017, 137, 26–35. [Google Scholar] [CrossRef] [PubMed]
- Vincent-Hubert, F.; Arini, A.; Gourlay-Francé, C. Early genotoxic effects in gill cells and haemocytes of Dreissena polymorpha exposed to cadmium, B[a]P and a combination of B[a]P and Cd. Mutat. Res. 2011, 723, 26–35. [Google Scholar] [CrossRef]
- Rocha, T.L.; Gomes, T.; Cardoso, C.; Letendre, J.; Pinheiro, J.P.; Sousa, V.S.; Teixeira, M.R.; Bebianno, M.J. Immunocytotoxicity, cytogenotoxicity and genotoxicity of cadmium-based quantum dots in the marine mussel Mytilus galloprovincialis. Mar. Environ. Res. 2014, 101, 29–37. [Google Scholar] [CrossRef]
- Mitchelmore, C.L.; Birmelin, C.; Chipman, J.K.; Livingstone, D.R. Evidence for cytochrome P-450 catalysis and free radical involvement in the production of DNA strand breaks by benzo[a]pyrene and nitroaromatics in mussel (Mytilus edulis L.) digestive gland cells. Aquat. Toxicol. 1998, 41, 193–212. [Google Scholar] [CrossRef]
- Frenzilli, G.; Nigro, M.; Scarcelli, V.; Gorbi, S.; Regoli, F. DNA integrity and total oxyradical scavenging capacity in the Mediterranean mussel, Mytilus galloprovincialis: A field study in a highly eutrophicated coastal lagoon. Aquat. Toxicol. 2001, 53, 19–32. [Google Scholar] [CrossRef]
- Châtel, A.; Hamer, B.; Jakšić, Ž.; Vucelić, V.; Talarmin, H.; Dorange, G.; Schröder, H.C.; Müller, W.E.G. Induction of apoptosis in mussel Mytilus galloprovincialis gills by model cytotoxic agents. Ecotoxicology 2011, 20, 2030–2041. [Google Scholar] [CrossRef]
- Wilson, J.T.; Pascoe, P.L.; Parry, J.M.; Dixon, D.R. Evaluation of the comet assay as a method for the detection of DNA damage in the cells of a marine invertebrate, Mytilus edulis L. (Mollusca: Pelecypoda). Mutat. Res. 1998, 399, 87–95. [Google Scholar] [CrossRef]
- Bolognesi, C.; Cirillo, S.; Chipman, J.K. Comet assay in ecogenotoxicology: Applications in Mytilus sp. Mutat. Res. 2019, 842, 50–59. [Google Scholar] [CrossRef] [PubMed]
- Canesi, L.; Ciacci, C.; Balbi, T. Interactive effects of nanoparticles with other contaminants in aquatic organisms: Friend or foe? Mar. Environ. Res. 2015, 11, 128–134. [Google Scholar] [CrossRef] [PubMed]
- Della Torre, C.; Balbi, T.; Grassi, G.; Frenzilli, G.; Bernardeschi, M.; Smerilli, A.; Guidi, P.; Canesi, L.; Nigro, M.; Monaci, F.; et al. Titanium dioxide nanoparticles modulate the toxicological response to cadmium in the gills of Mytilus galloprovincialis. J. Hazard. Mater. 2015, 297, 92–100. [Google Scholar] [CrossRef] [PubMed]
- Cao, A.; Mercado, L.; Ramos-Martinez, J.I.; Barcia, R. Primary cultures of hemocytes from Mytilus galloprovincialis Lmk.: Expression of IL-2Ra subunit. Aquaculture 2003, 216, 1–8. [Google Scholar] [CrossRef]
- Daugavet, M.A.; Blinova, M.I. Culture of mussel (Mytilus edulis L.) mantle cells. Cell Tissue Biol. 2015, 9, 233–243. [Google Scholar] [CrossRef]
- Mothersill, C.; Austin, B. Aquatic Invertebrate Cell Culture; Springer: Berlin/Heidelberg, Germany, 2000; pp. 133–153. [Google Scholar]
- Barrick, A.; Guillet, C.; Mouneyrac, C. Investigating the establishment of primary cultures of hemocytes from Mytilus edulis. Cytotechnology 2018, 70, 1205–1220. [Google Scholar] [CrossRef]
- Corvi, R.; Madia, F. In vitro genotoxicity testinge-Can the performance be enhanced? Food Chem. Toxicol. 2017, 106, 600–608. [Google Scholar] [CrossRef]
- Steinberg, P. In Vitro–In Vivo Carcinogenicity. In In Vitro Environmental Toxicology—Concepts, Application and Assessment; Advances in Biochemical, Engineering/Biotechnology; Reifferscheid, G., Buchinger, S., Eds.; Springer: Cham, Switzerland, 2017; Volume 157. [Google Scholar] [CrossRef]
- Ates, G.; Mertens, B.; Heymans, A.; Verschaeve, L.; Milushev, D.; Vanparys, P.; Roosens, N.H.C.; De Keersmaecker, S.C.J.; Rogiers, V.; Doktorova, T.Y. A novel genotoxin-specific qPCR array based on the metabolically competent human HepaRG™ cell line as a rapid and reliable tool for improved in vitro hazard assessment. Arch. Toxicol. 2018, 92, 1593–1608. [Google Scholar] [CrossRef] [PubMed]
- Rieswijk, L.; Brauers, K.; Coonen, M.; Jennen, D.; Breda, S.; Kleinjans, J. Exploiting microRNA and mRNA profiles generated in vitro from carcinogen-exposed primary mouse hepatocytes for predicting in vivo genotoxicity and carcinogenicity. Mutagenesis 2016, 31, 603–615. [Google Scholar] [CrossRef][Green Version]
- Freyria, F.S.; Blangetti, N.; Esposito, S.; Nasi, R.; Armandi, M.; Annelio, V.; Bonelli, B. Effects of the Brookite Phase on the Properties of Different Nanostructured TiO2 Phases Photocatalytically Active towards the Degradation of N-Phenylurea. Chem. Open 2020, 9, 903–912. [Google Scholar] [CrossRef]
- Di Natale, F.; Gargiulo, V.; Alfè, M. Adsorption of heavy metals on silica-supported hydrophilic carbonaceous nanoparticles (SHNPs). J. Hazard. Mater. 2020, 393, 122–374. [Google Scholar] [CrossRef]
- Manfredi, C.; Mozzillo, R.; Volino, S.; Trifuoggi, M.; Giarra, A.; Gargiulo, V.; Alfé, M. On the modeling of heavy metals and rare earth elements adsorption on colloidal carbon-based nanoparticles. App. Surf. Sci. 2020, 505, 1442–1464. [Google Scholar] [CrossRef]
- Shamaila, S.; Sajjad, A.K.L.; Chen, F.; Zhang, J. Synthesis and characterization of mesoporous-TiO2 with enhanced photocatalytic activity for the degradation of chloro-phenol. Mater. Res. Bull. 2020, 45, 1375–1382. [Google Scholar] [CrossRef]
- Canesi, L.; Frenzilli, G.; Balbi, T.; Bernardeschi, M.; Ciacci, C.; Corsolini, S.; Della Torre, C.; Fabbri, R.; Faleri, C.; Focardi, S.; et al. Interactive effects of n-TiO2 and 2,3,7,8-TCDD on the marine bivalve Mytilus galloprovincialis. Aquat. Toxicol. 2014, 153, 53–65. [Google Scholar] [CrossRef]
- ASTM. Standard Practice for the Preparation of Substitute Ocean Water; ASTM International: Conshohocken, PA, USA, 2013; Available online: https://compass.astm.org/download/D1141.62382.html (accessed on 14 April 2021).
- Nigro, M.; Falleni, A.; Del Barga, I.; Scarcelli, V.; Lucchesi, P.; Regoli, F.; Frenzilli, G. Cellular biomarkers for monitoring estuarine environments: Transplanted versus native mussels. Aquat. Toxicol. 2006, 77, 339–347. [Google Scholar] [CrossRef]
- Fenech, M. Cytokinesis-block micronucleus cytome assay. Nat. Protoc. 2007, 2, 1084–1104. [Google Scholar] [CrossRef]
- Guidi, P.; Nigro, M.; Bernardeschi, M.; Scarcelli, V.; Lucchesi, P.; Onida, B.; Mortera, R.; Frenzilli, G. Genotoxicity of amorphous silica particles with different structure and dimension in human and murine cell lines. Mutagenesis 2013, 28, 171–180. [Google Scholar] [CrossRef]
- Rocco, L.; Santonastaso, M.; Nigro, M.; Mottola, F.; Costagliola, D.; Bernardeschi, M.; Guidi, P.; Lucchesi, P.; Scarcelli, V.; Corsi, I.; et al. Genomic and chromosomal damage in the marine mussel Mytilus galloprovincialis: Effects of the combined exposure to titanium dioxide nanoparticles and cadmium chloride. Mar. Environ. Res. 2015, 111, 144–148. [Google Scholar] [CrossRef] [PubMed]
- Bolognesi, C.; Fenech, M. Mussel micronucleus cytome assay. Nat. Protoc. 2012, 7, 1125–1137. [Google Scholar] [CrossRef] [PubMed]
- Chaudhuri, I.; Fruijtier-Pölloth, C.; Ngiewih, Y.; Levy, L. Evaluating the evidence on genotoxicity and reproductive toxicity of carbon black: A critical review. Crit. Rev. Toxicol. 2017. [Google Scholar] [CrossRef] [PubMed]
- Almeida, J.P.; Chen, A.L.; Foster, A.; Drezek, R. In vivo biodistribution of nanoparticles. Nanomedicine 2011, 6, 815–835. [Google Scholar] [CrossRef]
- D’Amora, M.; Alfè, M.; Gargiulo, V.; Giordani, S. Graphene-like layers from carbon black: In vivo toxicity assessment. Nanomaterials 2020, 10, 1472. [Google Scholar] [CrossRef] [PubMed]
- Sargent, L.M.; Hubbs, A.F.; Young, H.; Kashon, M.L.; Dinu, C.Z.; Salisbury, J.L.; Benkovic, S.A.; Lowry, D.T.; Murray, A.R.; Kisin, E.R.; et al. Single-walled carbon nanotube-induced mitotic disruption. Mutat. Res. 2012, 745, 28–37. [Google Scholar] [CrossRef] [PubMed]
- Di Giorgio, M.L.; Di Bucchianico, S.; Ragnelli, A.M.; Aimola, P.; Santucci, S.; Poma, A. Effects of single and multi-walled carbon nanotubes on macrophages: Cyto and genotoxicity and electron microscopy. Mutat. Res. Gen. Toxicol. Environ. Mutagen. 2011, 722, 20–31. [Google Scholar] [CrossRef]
- WHO. Some Nanomaterials and Some Fibres; IARC Monographs on the Evaluation of Carcinogenic Risks to Humans; International Agency for Research on Cancer: Lyon, France, 2017; Volume 111. [Google Scholar]
- Migliore, L.; Saracino, D.; Bonelli, A.; Colognato, R.; D’Errico, M.R.; Magrini, A.; Bergamaschi, A.; Bergamaschi, E. Carbon nanotubes induce oxidative DNA damage in RAW 264.7 cells. Environ. Mol. Mutagen. 2010, 51, 294–303. [Google Scholar] [CrossRef]
- Poma, A.; Limongi, T.; Pisani, C.; Granato, V.; Picozzi, P. Genotoxicity induced by fine urban air particulate matter in the macrophages cell line RAW 264.7. Toxicol. In Vitro 2006, 20, 1023–1029. [Google Scholar] [CrossRef]
- Corsi, I.; Bergami, E.; Grassi, G. Behavior and Bio-Interactions of Anthropogenic Particles in Marine Environment for a More Realistic Ecological Risk Assessment. Front. Environ. Sci. 2020, 8, 60. [Google Scholar] [CrossRef]
- Warheit, D.B.; Webb, T.R.; Reed, K.L.; Frerichs, S.; Sayes, C.M. Pulmonary toxicity study in rats with three forms of ultrafine-TiO2 particles: Differential responses related to surface properties. Toxicology 2007, 230, 90–104. [Google Scholar] [CrossRef]
- Shi, H.; Magaye, R.; Castranova, V.; Zhao, J. Titanium dioxide nanoparticles: A review of current toxicological data. Part. Fibre Toxicol. 2013, 10, 15. [Google Scholar] [CrossRef] [PubMed]
- Uboldi, C.; Urbán, P.; Gilliland, D.; Bajak, E.; Valsami-Jones, E.; Ponti, J.; Rossi, F. Role of the crystalline form of titanium dioxide nanoparticles: Rutile, and not anatase, induces toxic effects in Balb/3T3 mouse fibroblasts. Toxicol. In Vitro 2016, 31, 137–145. [Google Scholar] [CrossRef] [PubMed]
- D’Agata, A.; Fasulo, S.; Dallas, L.J.; Fisher, A.S.; Maisano, M.; Readman, J.W.; Jha, A.N. Enhanced toxicity of ‘bulk’ titanium dioxide compared to ‘fresh’ and ‘aged’ nano-TiO2 in marine mussels (Mytilus galloprovincialis). Nanotoxicology 2014, 8, 549–558. [Google Scholar] [CrossRef]
- Tang, T.; Zhang, Z.; Zhu, X. Toxic Effects of TiO2 NPs on Zebrafish. Int. J. Environ. Res. Public Health 2019, 16, 523. [Google Scholar] [CrossRef] [PubMed]
- Frenzilli, G.; Bernardeschi, M.; Guidi, P.; Scarcelli, V.; Lucchesi, P.; Marsili, L.; Fossi, M.C.; Brunelli, A.; Pojana, G.; Marcomini, A.; et al. Effects of in vitro exposure to titanium dioxide on DNA integrity of bottlenose dolphin (Tursiops truncatus) fibroblasts and leukocytes. Mar. Environ. Res. 2014, 100, 68–73. [Google Scholar] [CrossRef]
- Adams, L.K.; Lyon, D.Y.; Alvarez, P.J.J. Comparative eco-toxicity of nanoscale TiO2, SiO2, and ZnO water suspensions. Water Res. 2006, 40, 3527–3532. [Google Scholar] [CrossRef]
- Magdolenova, Z.; Collins, A.; Kumar, A.; Dhawan, A.; Stone, V.; Dusinska, M. Mechanisms of genotoxicity. A rewiew of in vivo studies with engineered nanoparticles. Nanotoxicology 2014, 8, 233–278. [Google Scholar] [CrossRef]
- Frenzilli, G.; Bosco, E.; Barale, R. Validation of single cell gel assay in human leukocytes with 18 reference compounds. Mutat. Res. Gen. Toxicol. Environ. Mutagen. 2000, 468, 93–108. [Google Scholar] [CrossRef]

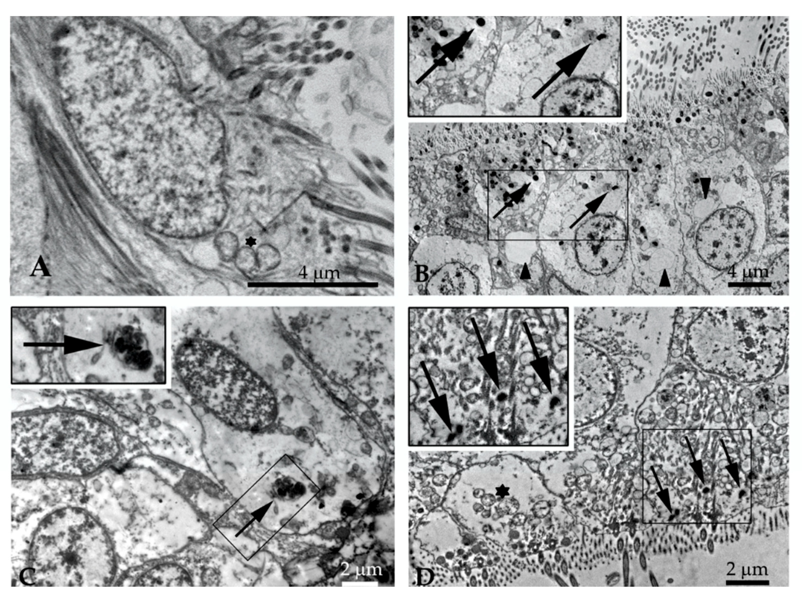
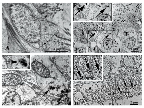
indicates mitochondria.
indicates mitochondria.


| Medium | Z-Average (nm) | PDI | |
|---|---|---|---|
| HNP | MilliQ W | 165 ± 10 | 0.12 |
| ASW | 190 ± 10 | 0.15 | |
| P25 | MilliQ W | 163 ± 9 | >0.300 |
| ASW | 972 ± 35 | >0.300 | |
| MT | MilliQ W | 343.4 ± 22.6 | >0.300 |
| ASW | 4190 ± 1525 | >0.500 |
Publisher’s Note: MDPI stays neutral with regard to jurisdictional claims in published maps and institutional affiliations. |
© 2021 by the authors. Licensee MDPI, Basel, Switzerland. This article is an open access article distributed under the terms and conditions of the Creative Commons Attribution (CC BY) license (https://creativecommons.org/licenses/by/4.0/).
Share and Cite
Bernardeschi, M.; Guidi, P.; Palumbo, M.; Genovese, M.; Alfè, M.; Gargiulo, V.; Lucchesi, P.; Scarcelli, V.; Falleni, A.; Bergami, E.; et al. Suitability of Nanoparticles to Face Benzo(a)pyrene-Induced Genetic and Chromosomal Damage in M. galloprovincialis. An In Vitro Approach. Nanomaterials 2021, 11, 1309. https://doi.org/10.3390/nano11051309
Bernardeschi M, Guidi P, Palumbo M, Genovese M, Alfè M, Gargiulo V, Lucchesi P, Scarcelli V, Falleni A, Bergami E, et al. Suitability of Nanoparticles to Face Benzo(a)pyrene-Induced Genetic and Chromosomal Damage in M. galloprovincialis. An In Vitro Approach. Nanomaterials. 2021; 11(5):1309. https://doi.org/10.3390/nano11051309
Chicago/Turabian StyleBernardeschi, Margherita, Patrizia Guidi, Mara Palumbo, Massimo Genovese, Michela Alfè, Valentina Gargiulo, Paolo Lucchesi, Vittoria Scarcelli, Alessandra Falleni, Elisa Bergami, and et al. 2021. "Suitability of Nanoparticles to Face Benzo(a)pyrene-Induced Genetic and Chromosomal Damage in M. galloprovincialis. An In Vitro Approach" Nanomaterials 11, no. 5: 1309. https://doi.org/10.3390/nano11051309
APA StyleBernardeschi, M., Guidi, P., Palumbo, M., Genovese, M., Alfè, M., Gargiulo, V., Lucchesi, P., Scarcelli, V., Falleni, A., Bergami, E., Freyria, F. S., Bonelli, B., Corsi, I., & Frenzilli, G. (2021). Suitability of Nanoparticles to Face Benzo(a)pyrene-Induced Genetic and Chromosomal Damage in M. galloprovincialis. An In Vitro Approach. Nanomaterials, 11(5), 1309. https://doi.org/10.3390/nano11051309

