Cold Tolerance Mechanisms in Mungbean (Vigna radiata L.) Genotypes during Germination
Abstract
1. Introduction
2. Materials and Methods
2.1. Plant Material and Growth Condition
2.2. Screening at Seedling Stage
2.3. Phenotypic Assessment for Cold Stress Tolerance in Vegetative and Reproductive Stage
2.4. Statistical Analysis
2.5. Physiological and Biochemical Analysis
2.6. Anatomical Analysis
2.7. Protein Extraction, SDS-PAGE
| Tris-HCl (pH 6.8) | 50 mM |
| Tris-Glycine (pH 8.3) | 50 mM |
| Ethylenediamine-tetraaceticacid (EDTA) | 50 mM |
| β-Mercaptoethanol | 0.1% |
| Sucrose | 0.5 M |
| KCl | 0.1 M |
| PhenylmethylsulfonylFluoride (PMSF) | 2 mM |
| SDS (Sodium dodecyl sulphate) | 2% |
2.8. MS and Bioinformatics Analysis
3. Results
3.1. Effect of Cold Stress on Germination and Recovery at Seedling Stage
3.2. Effect of Cold Stress Germination on Growth at Vegetative and Reproductive Stage
3.3. Correlation among Phenotypic Traits
3.4. Principal Component Analysis (PCA)
3.5. Clustering Analysis of 204 V. radiata Genotypes Based on Derived Stress Indices
3.6. Seedling Phenotype of Selected Lines for Response to Cold Stress
3.7. Physiological and Biochemical Characteristics of Selected Lines with Response to Cold
3.8. Anatomical Analysis
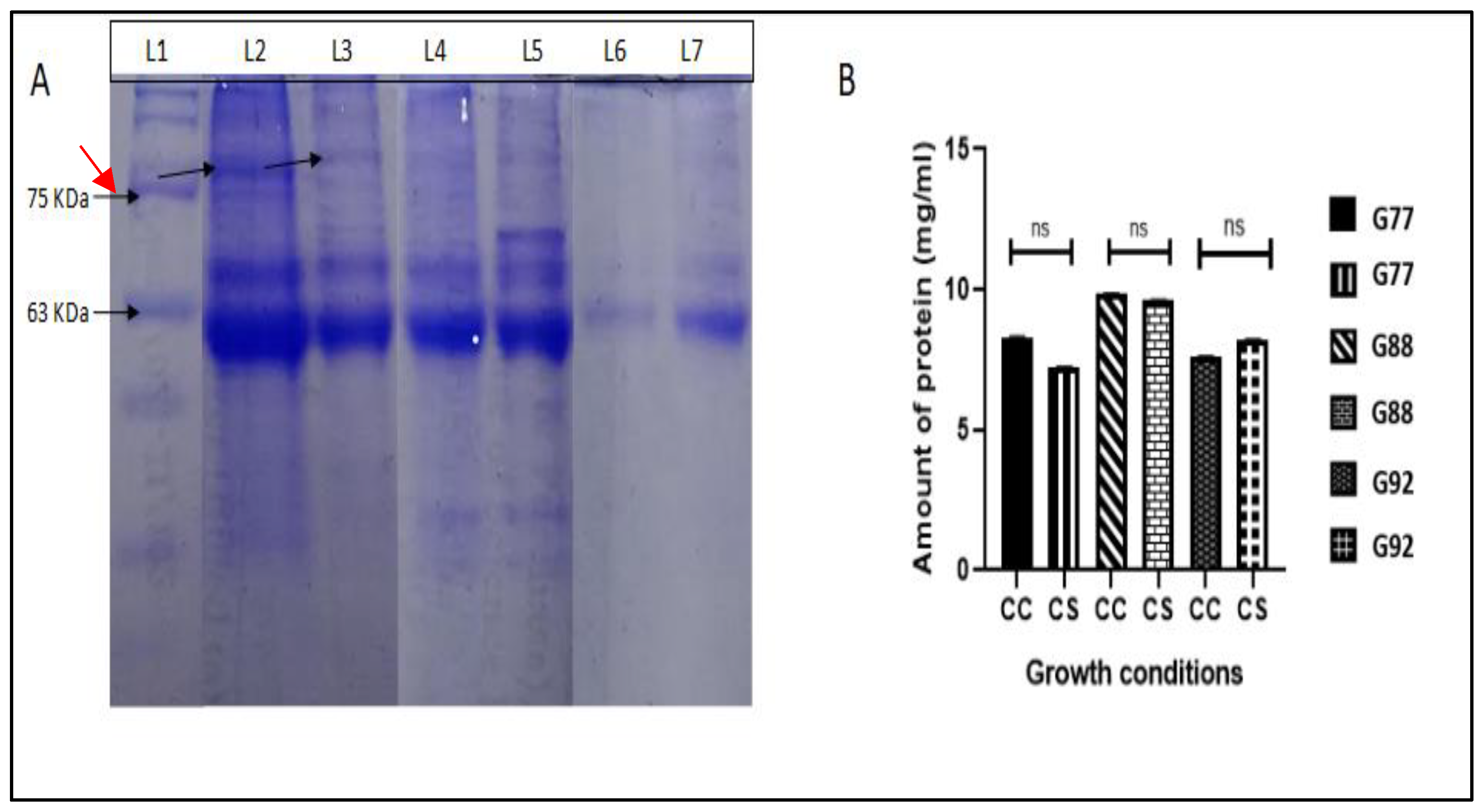
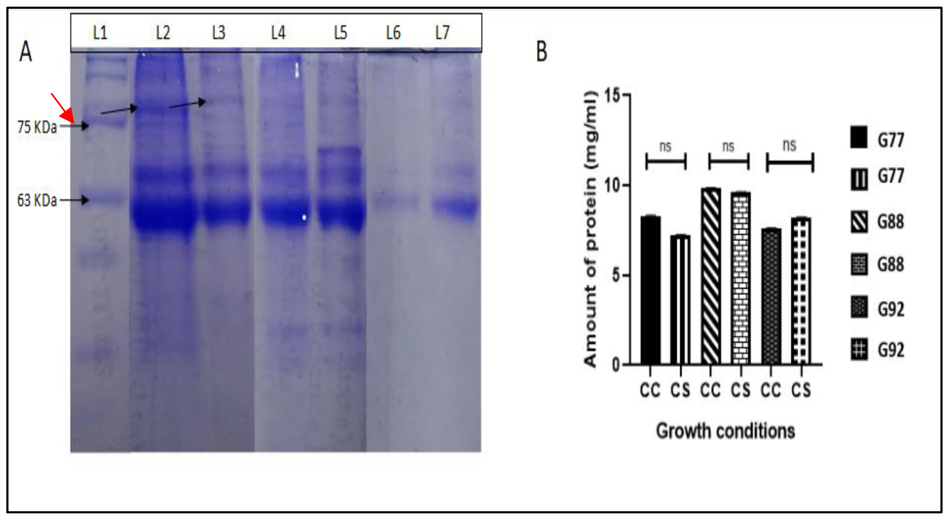
3.9. Protein Estimation and MS Analysis on Cold Stress
4. Discussion
5. Summary
Supplementary Materials
Author Contributions
Funding
Institutional Review Board Statement
Data Availability Statement
Acknowledgments
Conflicts of Interest
References
- Silva, G. Feeding the World in 2050 and beyond—Part 1: Productivity Challenges. Michigan State University Extension. 2018. Available online: https://www.canr.msu.edu/news/feeding-the-world-in-2050-and-beyond-part-1 (accessed on 3 December 2018).
- Manasa, S.L.; Panigrahy, M.; Panigrahi, K.C.S.; Rout, G.R. Overview of cold stress regulation in plants. Bot. Rev. 2021, 88, 359–387. [Google Scholar] [CrossRef]
- Yadav, S.K. Cold stress tolerance mechanisms in plants. A review. Agron. Sustain. Dev. 2010, 30, 515–527. [Google Scholar] [CrossRef]
- Wu, J.; Nadeem, M.; Galagedara, L.; Thomas, R.; Cheema, M. Recent insights into cell responses to cold stress in plants: Signaling, defense, and potential functions of phosphatidic acid. Environ. Exp. Bot. 2022, 203, 105068. [Google Scholar] [CrossRef]
- Herath, V. Redox Regulation of Cold Stress Response. In Cold Tolerance in Plants; Wani, S., Herath, V., Eds.; Springer: Cham, Switzerland, 2018. [Google Scholar] [CrossRef]
- Guo, X.; Liu, D.; Chong, K. Cold signaling in plants: Insights into mechanisms and regulation. J. Integr. Plant Biol. 2018, 60, 745–756. [Google Scholar] [CrossRef]
- Chinnusamy, V. Gene Regulation during Cold Stress Acclimation in Plants. Methods Mol. Biol. 2010, 639, 39–55. [Google Scholar] [CrossRef] [PubMed]
- Ding, C.; Li, L.; Yao, L. The involvement of calcium-dependent protein kinases and catechins in tea plant [Camellia sinensis (L.) O. Kuntze] cold responses. Plant Physiol. Biochem. 2019, 143, 190–202. [Google Scholar] [CrossRef]
- Pokotylo, I.; Kravets, V.; Martinec, J.; Ruelland, E. The phosphatidic acid paradox: Too many actions for one molecule class? Lessons from plants. Prog. Lipid Res. 2018, 71, 43–53. [Google Scholar] [CrossRef] [PubMed]
- Kidokoro, S.; Kim, J.; Ishikawa, T.; Suzuki, T.; Shinozaki, K.; Yamaguchi-Shinozaki, K. DREB1A/CBF3 is repressed by transgene-induced DNA methylation in the Arabidopsisice1-1 mutant. Plant Cell 2020, 32, 1035–1048. [Google Scholar] [CrossRef] [PubMed]
- Kim, S.H.; Kim, H.S.; Bahk, S. Phosphorylation of the transcriptional repressor MYB15 by mitogen activated protein kinase 6 is required for freezing tolerance in Arabidopsis. Nucleic Acids Res. 2017, 45, 6613–6627. [Google Scholar] [CrossRef]
- Achard, F.; Eva, H.D.; Mayaux, P.; Stibig, H.-J.; Belward, A. Improved estimates of net carbon emissions from land cover change in the tropics for the 1990s. Glob. Biogeochem. Cycles 2005, 18, 11. [Google Scholar] [CrossRef]
- Kumar, A.; Panigrahy, M.; Panigrahi, K.C. Optimization of soil parameters and cost-effective way of growing Arabidopsis thaliana from an Indian perspective. Int. J. Basic Appl. Agric. Res. 2018, 16, 54–59. [Google Scholar]
- Juurakko, C.L.; Walker, V.K. Cold acclimation and prospects for cold-resilient crops. Plant Stress 2021, 2, 100028. [Google Scholar] [CrossRef]
- Ritonga, F.N.; Chen, S. Physiological and molecular mechanism involved in cold stress tolerance inplants. Plants 2020, 9, 560. [Google Scholar] [CrossRef]
- Bohnert, H.I.; Sheveleva, E. Plant stress adaptation-making metabolism move. Curr. Opin. Plant Biol. 1998, 1, 267–274. [Google Scholar] [CrossRef] [PubMed]
- Carvallo, M.A.; Pino, M.T.; Jeknić, Z.; Zou, C.; Doherty, C.J.; Shiu, S.H.; Chen, T.H.; Thomashow, M.F.A. Comparison of the low temperature transcriptomes and CBF regulons of three plant species that differ in freezing tolerance: Solanum commersonii, Solanum tuberosum, and Arabidopsis thaliana. J. Exp. Bot. 2011, 62, 3807–3819. [Google Scholar] [CrossRef] [PubMed]
- Foolad, M.R.; Lin, G.Y. Genetic analysis of cold tolerance during vegetative growth in tomato, Lycopersicon esculentum Mill. Euphytica 2001, 122, 105–111. [Google Scholar] [CrossRef]
- Singh, D.P.; Singh, B.B. Breeding for tolerance to abiotic stresses in mungbean. Food Legumes 2011, 24, 83–90. [Google Scholar]
- Kabi, M.; Das, T.R.; Baisakh, B. Screening of Superior Genotypes for Cold Tolerance and MYMV resistance in greengram (Vigna radiata). Int. J. Curr. Microbiol. Appl. Sci. 2017, 6, 2270–2276. [Google Scholar] [CrossRef]
- Sanghera, G.S.; Wani, S.H. Innovative approaches to enhance genetic potential of rice for higher productivity under temperate conditions of Kashmir. J. Plant Sci. Res. 2008, 24, 99–113. [Google Scholar]
- Finch-Savage, W.E.; Bassel, G.W. Seed vigour and crop establishment: Extending performance beyond adaptation. J. Exp. Bot. 2016, 67, 567–591. [Google Scholar] [CrossRef]
- Butkevičienė, L.M.; Kriaučiūnienė, Z.; Pupalienė, R.; Velička, R.; Kosteckienė, S.; Kosteckas, R.; Klimas, E. Influence of Sowing Time on Yield and Yield Components of Spring Rapeseed in Lithuania. Agronomy 2021, 11, 2170. [Google Scholar] [CrossRef]
- Kaur, J.; Singh, A. Direct seeded rice: Prospects, problems/constraints and researchable issues in India. Curr. Agric. Res. 2007, 5, 13–32. [Google Scholar] [CrossRef]
- Evert, S.; Staggenborg, S.; Olson, B. Soil Temperature and Planting Depth Effects on Tef Emergence. J. Agron. Crop Sci. 2008, 195, 232–236. [Google Scholar] [CrossRef]
- Liptay, A.; Bolton, E.F.; Dirks, V.A. A comparison of field-seeded and transplanted tomatoes grown on a clay soil. Can. J. Plant Sci. 1982, 62, 483–487. [Google Scholar] [CrossRef]
- Chen, L.R.; Markhart, A.H.; Shanmugasundaram, S.; Lin, T.Y. Early developmental and stress responsive ESTs from mungbean, Vigna radiata (L.) Wilczek, seedlings. Plant Cell Rep. 2008, 27, 535–552. [Google Scholar] [CrossRef] [PubMed]
- Directorate of Economics and Statistics (DES). 2016. Available online: https://eands.dacnet.nic.in (accessed on 10 December 2022).
- Al-Mudaris, M.A.; Jutzi, S.C. The influence of genotype, priming material, temperature and osmotic potential of priming solution on imbibition and subsequent germination of Sorghum and Pearl Millet seeds during and after treatment. Tropenlandwirt-J. Agric. Trop. Subtrop. 1998, 99, 133–145. [Google Scholar]
- Khan, M.A.; Ungar, I.A. The effect of salinity and temperature on the germination of polymorphic seeds and growth of Atriplex triangularis Willd. Am. J. Bot. 1984, 71, 481–489. [Google Scholar] [CrossRef]
- Shah, T.M.; Imran, M.; Atta, B.M.; Ashraf, M.Y.; Hameed, A.; Waqar, I.; Shafiq, M.; Hussain, K.; Naveed, M.; Aslam, M.; et al. Selection and screening of drought tolerant high yielding chickpea genotypes based on physio-biochemical indices and multi-environmental yield trials. BMC Plant Biol. 2020, 20, 171. [Google Scholar] [CrossRef]
- Nawaz, A.; Amjad, M.; Pervez, M.A. Effect of halopriming on germination and seedling vigor of tomato. Afr. J. Agric. Res. 2014, 6, 3551–3559. [Google Scholar]
- Fischer, R.; Maurer, R. Drought resistance in spring wheat cultivars. I. Grain Yield Responses. Aust. J. Agric. Res. 1978, 29, 897–912. [Google Scholar] [CrossRef]
- Rosielle, A.A.; Hamblin, J. Theoretical aspects of selection for yield in stress and nonstress environments. Crop Sci. 1981, 21, 943–946. [Google Scholar] [CrossRef]
- Fernandez, G.C.J. Effective Selection Criteria for Assessing Stress Tolerance. In Proceedings of the International Symposium on Adaptation of Vegetables and Other Food Crops in Temperature and Water Stress, Shanhua, Taiwan, 13–18 August 1992; Kuo, C.G., Ed.; AVRDC Publication: Tainan, Taiwan, 1992; pp. 257–270. [Google Scholar]
- Arnon, D.I. Copper enzymes in isolated chloroplasts: Polyphenoloxidase in Beta vulgaris. Plant Physiol. 1949, 24, 1–15. [Google Scholar] [CrossRef] [PubMed]
- Sawada, Y.; Akiyama, K.; Sakata, A.; Kuwahara, A.; Otsuki, H.; Sakurai, T.; Riken, K.S.; Hirai, M. Widely Targeted Metabolomics Based on Large-Scale MS/MS Data for Elucidating Metabolite Accumulation Patterns in Plants. Plant Cell Physiol. 2009, 50, 37–47. [Google Scholar] [CrossRef] [PubMed]
- Panigrahy, M.; Singh, A.; Das, S.; Panigrahi, K.C. Co-action of ABA, brassinosteriod hormone pathways and differential regulation of different transcript isoforms during cold-and-dark induced senescence in Arabidopsis. J. Plant Biochem. Biotechnol. 2021, 9, 1–22. [Google Scholar] [CrossRef]
- Buysse, J.; Merckx, R. An improved colorimetric method to quantify sugar content of plant tissue. J. Exp. Bot. 1993, 44, 1627–1629. [Google Scholar] [CrossRef]
- Panigrahy, M.; Sarla, N.; Panigrahi, K.C.S. Phenotypic, physiological and biochemical characterization of rice introgression lines and mutants under prolonged shade condition. Res. J. Lifesci. Bioinform. Pharm. Chem. Sci. 2018, 4, 115–131. [Google Scholar]
- Dhindsa, R.S.; Plumb-Dhindsa, P.; Thorpe, T.A. Leaf Senescence: Correlated with increased levels of membrane permeability and lipid peroxidation, and decreased levels of superoxide dismutase and catalase. J. Exp. Bot. 1981, 32, 93–101. [Google Scholar] [CrossRef]
- Panigrahy, M. Characterization of Mutants Involved in Phytochrome A Nuclear Import and Signal Transduction. Ph.D. Thesis, Albert-Ludwigs-Universität Freiburg, Freiburgim Breisgau, Germany, 2004. Available online: https://freidok.uni-freiburg.de/data/1543.urn:nbn:de:bsz:25-opus-15434 (accessed on 12 December 2004).
- Donaldson, L. Autofluorescence in plants. Molecules 2020, 25, 2393. [Google Scholar] [CrossRef]
- Murtagh, F.; Legendre, P. Ward’s Hierarchical Agglomerative Clustering Method: Which Algorithms Implement Ward’s Criterion? J. Classif. 2011, 31, 274–295. [Google Scholar] [CrossRef]
- Lone, J.; Shikari, A.; Sofi, N.; Ganie, S.; Sharma, M.; Sharma, M.; Kumar, M.; Saleem, M.H.; Almaary, K.S.; Elshikh, M.; et al. Screening technique based on seed and early seedling parameters for cold tolerance of selected F2-derived F3 rice genotypes under controlled conditions. Sustainability 2022, 14, 8447. [Google Scholar] [CrossRef]
- Bota, J.; Medrano, H.; Flexas, J. Is photosynthesis limited by decreased Rubisco activity and RuBP content under progressive water stress? New Phytol. 2004, 162, 671–681. [Google Scholar] [CrossRef] [PubMed]
- Hussain, H.A.; Hussain, S.; Khaliq, A.; Ashraf, U.; Anjum, S.A.; Men, S.; Wang, L. Chilling and drought stresses in crop plants: Implications, cross talk, and potential management opportunities. Front. Plant Sci. 2018, 9, 393. [Google Scholar] [CrossRef] [PubMed]
- Equiza, M.A.; Miravé, J.P.; Tognetti, J.A. Morphological, anatomical and physiological responses related to differential shoot vs. root growth inhibition at low temperature in spring and winter wheat. Ann. Bot. 2001, 87, 67–76. [Google Scholar] [CrossRef]
- Hassan, M.A.; Cheng, X.; Farooq, M.; Muhammad, N.; Zhang, Y.; Xu, H.; Ke, Y.; Bruno, A.K.; Zhang, L.; Li, J. Cold stress in wheat: Plant acclimation responses and management strategies. Front. Plant Sci. 2021, 12, 676884. [Google Scholar] [CrossRef] [PubMed]
- Lakhssassi, N.; Doblas, V.G.; Rosado, A.; del Valle, A.E.; Posé, D.; Jimenez, A.J.; Castillo, A.G.; Valpuesta, V.; Borsani, O.; Botella, M.A. The Arabidopsis tetratricopeptide thioredoxin-like gene family is required for osmotic stress tolerance and male sporogenesis. Plant Physiol. 2012, 158, 1252–1266. [Google Scholar] [CrossRef]
- Morales, M.; Munné-Bosch, S. Oxidative stress: A master regulator of plant trade-offs? Trends Plant Sci. 2016, 21, 996–999. [Google Scholar] [CrossRef]
- Bohn, M.; Lüthje, S.; Sperling, P.; Heinz, E.; Dörffling, K. Plasma membrane lipid alterations induced by cold acclimation and abscisic acid treatment of winter wheat seedlings differing in frost resistance. J. Plant Physiol. 2007, 164, 146–156. [Google Scholar] [CrossRef]
- Seo, P.J.; Kim, M.J.; Park, J.Y.; Kim, S.Y.; Jeon, J.; Lee, Y.H. Cold activation of a plasma membrane-tethered NAC transcription factor induces a pathogen resistance response in Arabidopsis. Plant J. 2010, 61, 661–671. [Google Scholar] [CrossRef]
- Yordanova, R.; Popova, L. Effect of exogenous treatment with salicylic acid on photosynthetic activity and antioxidant capacity of chilled wheat plants. Gen. Appl. Plant Physiol. 2007, 33, 155–170. [Google Scholar]
- Groom, Q.J.; Long, S.P.; Baker, N.R. Photoinhibition of photosynthesis in a winter wheat crop. In Current Research in Photosynthesis; Baltscheffsky, H., Ed.; Springer: Stockholm, Sweden, 1990; pp. 1423–1426. [Google Scholar] [CrossRef]
- Oquist, G.; Hurry, V.M.; Huner, N.P.A. Low-temperature effects on photosynthesis and correlation with freezing tolerance in spring and winter cultivars of wheat and rye. Plant Physiol. 1993, 101, 245–250. [Google Scholar] [CrossRef]
- Pomeroy, M.K.; Andrews, C.J. Effect of temperature on respiration of mitochondria and shoot segments from cold hardened and non-hardened wheat and rye seedlings. Plant Physiol. 1975, 56, 703–706. [Google Scholar] [CrossRef] [PubMed]
- Ikkonen, E.N.; Shibaeva, T.G.; Sherudilo, E.G.; Titov, A.F. Response of winter wheat seedlings respiration to long-term cold exposure and short-term daily temperature drops. Russ. J. Plant Physiol. 2020, 67, 538–544. [Google Scholar] [CrossRef]









| GP | 50%ET | SL | SV | GI | GRI | MGT | CVG | MGR | TI | PL. HT. | DT 50% F | Pods/Plants | Seeds/Pods | TW | Y/Plant | |
|---|---|---|---|---|---|---|---|---|---|---|---|---|---|---|---|---|
| GP | 1.0 | |||||||||||||||
| 50%ET | 0.1 | 1.0 | ||||||||||||||
| SL | 0.7 | 0.2 | 1.0 | |||||||||||||
| SV | 0.8 | 0.0 | 0.9 | 1.0 | ||||||||||||
| GI | 0.8 | −0.1 | 0.5 | 0.6 | 1.0 | |||||||||||
| GRI | 0.8 | −0.1 | 0.5 | 0.7 | 1.0 | 1.0 | ||||||||||
| MGT | 0.9 | 0.0 | 0.6 | 0.8 | 1.0 | 1.0 | 1.0 | |||||||||
| CVG | 0.9 | 0.0 | 0.6 | 0.8 | 1.0 | 1.0 | 1.0 | 1.0 | ||||||||
| MGR | −0.4 | 0.7 | −0.2 | −0.4 | −0.5 | −0.5 | −0.5 | −0.5 | 1.0 | |||||||
| TI | 0.9 | 0.0 | 0.6 | 0.7 | 1.0 | 1.0 | 1.0 | 1.0 | −0.5 | 1.0 | ||||||
| PL. HT. | 0.5 | 0.6 | 0.5 | 0.4 | 0.4 | 0.4 | 0.5 | 0.5 | 0.2 | 0.4 | 1.0 | |||||
| DT 50% F | 0.7 | 0.6 | 0.5 | 0.4 | 0.5 | 0.5 | 0.6 | 0.6 | 0.1 | 0.6 | 0.7 | 1.0 | ||||
| Pods/Plants | 0.6 | 0.4 | 0.4 | 0.3 | 0.5 | 0.5 | 0.5 | 0.5 | 0.0 | 0.5 | 0.5 | 0.7 | 1.0 | |||
| Seeds/Pods | 0.7 | 0.3 | 0.7 | 0.6 | 0.5 | 0.6 | 0.7 | 0.7 | −0.2 | 0.6 | 0.5 | 0.5 | 0.6 | 1.0 | ||
| TW | 0.4 | 0.5 | 0.4 | 0.3 | 0.3 | 0.3 | 0.4 | 0.4 | 0.1 | 0.3 | 0.6 | 0.6 | 0.5 | 0.4 | 1.0 | |
| Y/Plant | 0.6 | 0.3 | 0.5 | 0.4 | 0.4 | 0.4 | 0.5 | 0.5 | −0.2 | 0.5 | 0.5 | 0.4 | 0.7 | 0.7 | 0.7 | 1.0 |
Disclaimer/Publisher’s Note: The statements, opinions and data contained in all publications are solely those of the individual author(s) and contributor(s) and not of MDPI and/or the editor(s). MDPI and/or the editor(s) disclaim responsibility for any injury to people or property resulting from any ideas, methods, instructions or products referred to in the content. |
© 2023 by the authors. Licensee MDPI, Basel, Switzerland. This article is an open access article distributed under the terms and conditions of the Creative Commons Attribution (CC BY) license (https://creativecommons.org/licenses/by/4.0/).
Share and Cite
Manasa, L.S.; Panigrahy, M.; Panigrahi, K.C.; Mishra, G.; Panda, S.K.; Rout, G.R. Cold Tolerance Mechanisms in Mungbean (Vigna radiata L.) Genotypes during Germination. Agriculture 2023, 13, 315. https://doi.org/10.3390/agriculture13020315
Manasa LS, Panigrahy M, Panigrahi KC, Mishra G, Panda SK, Rout GR. Cold Tolerance Mechanisms in Mungbean (Vigna radiata L.) Genotypes during Germination. Agriculture. 2023; 13(2):315. https://doi.org/10.3390/agriculture13020315
Chicago/Turabian StyleManasa, Lekshmi S., Madhusmita Panigrahy, Kishore Chandra Panigrahi, Gayatri Mishra, Sanjib Kumar Panda, and Gyana Ranjan Rout. 2023. "Cold Tolerance Mechanisms in Mungbean (Vigna radiata L.) Genotypes during Germination" Agriculture 13, no. 2: 315. https://doi.org/10.3390/agriculture13020315
APA StyleManasa, L. S., Panigrahy, M., Panigrahi, K. C., Mishra, G., Panda, S. K., & Rout, G. R. (2023). Cold Tolerance Mechanisms in Mungbean (Vigna radiata L.) Genotypes during Germination. Agriculture, 13(2), 315. https://doi.org/10.3390/agriculture13020315

