Plasmodiophora brassicae Infection Modulates Expansin Genes of Brassica rapa ssp. pekinensis
Abstract
1. Introduction
2. Materials and Methods
2.1. Plant Material, Treatments, Early Detection, and GUS Assay
2.2. Screening of BrEXLB1 Transgenic Seedlings for Clubroot Resistance against P. brassicae Race 2
2.3. Relative Quantification of BrEXP Genes in P. brassicae Treated Young B. rapa Seedlings at Different Developmental Stages
2.4. Promoter Motif Analysis
3. Results
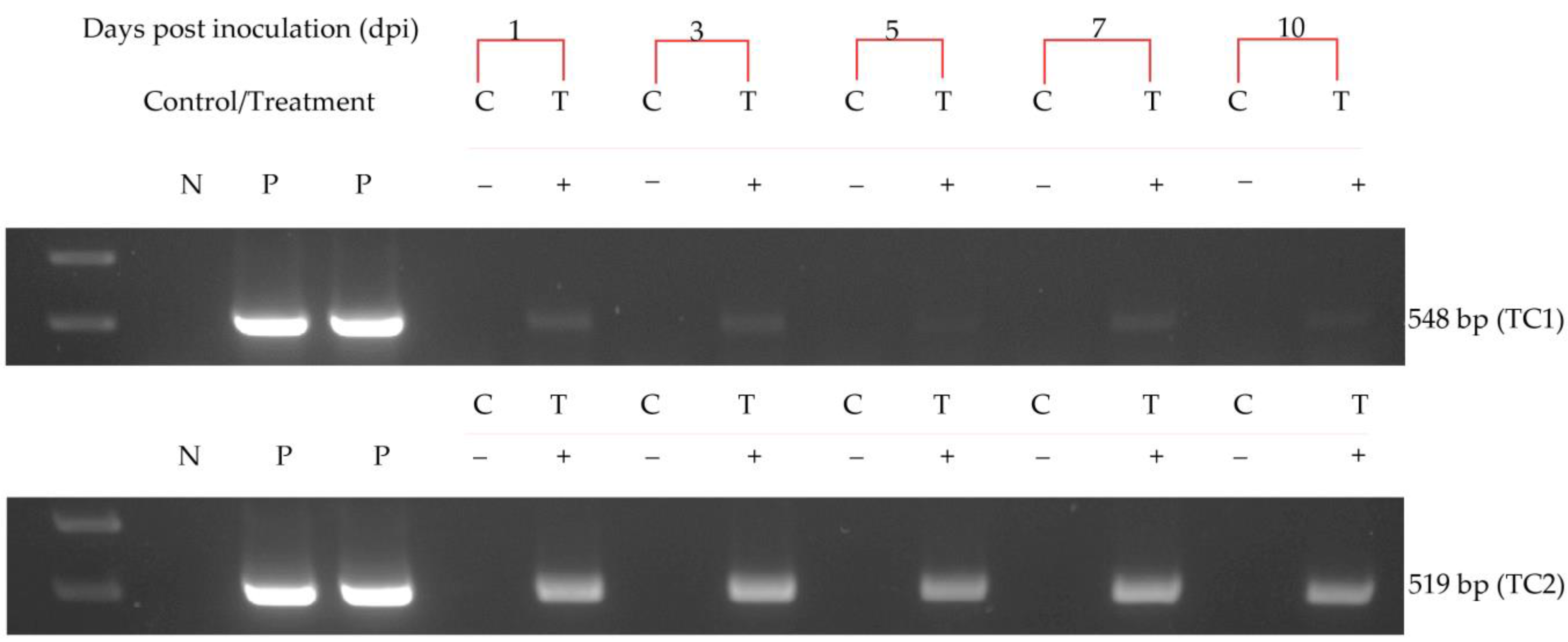
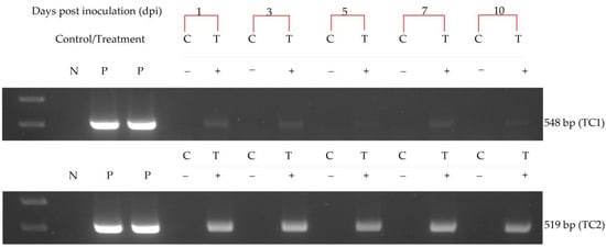
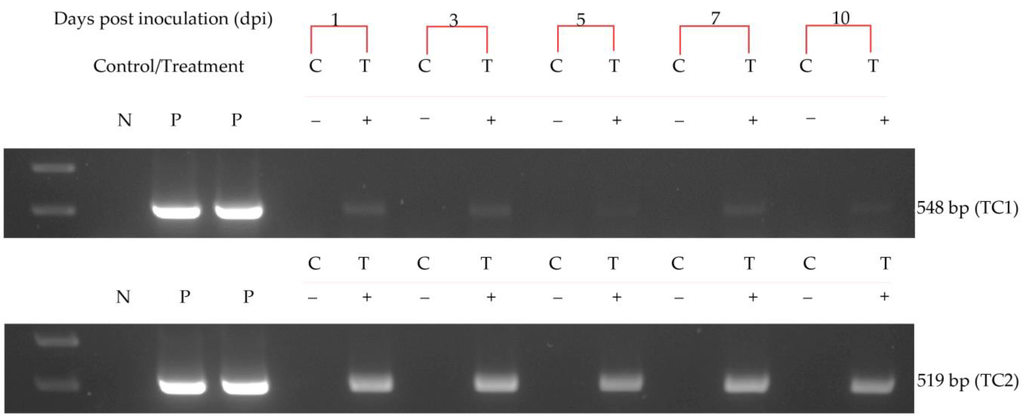
3.1. Experimental Design and Molecular Detection of Clubroot Pathogens
3.2. BrEXLB1 Promoter Is Activated during P. brassicae (Race 4) Inoculations in Young B. rapa Seedlings
3.3. Enhanced Growth in P. brassicae-Inoculated BrEXLB1-AS Lines
3.4. Antisense-Mediated Suppression of BrEXLB1 Likely to Improve P. brassicae Resistance in Transgenic B. rapa Lines
3.5. Expression Changes of BrEXP Genes in P. brassicae-Inoculated Seedlings
4. Discussion
5. Conclusions
6. Patents
Supplementary Materials
Author Contributions
Funding
Institutional Review Board Statement
Informed Consent Statement
Data Availability Statement
Conflicts of Interest
References
- Fredua-Agyeman, R.; Jiang, J.; Hwang, S.F.; Strelkov, S.E. QTL Mapping and Inheritance of Clubroot Resistance Genes Derived from Brassica rapa subsp. rapifera (ECD 02) Reveals Resistance Loci and Distorted Segregation Ratios in Two F2 Populations of Different Crosses. Front. Plant Sci. 2020, 11, 899. [Google Scholar] [CrossRef]
- Kopec, P.M.; Mikolajczyk, K.; Jajor, E.; Perek, A.; Nowakowska, J.; Obermeier, C.; Chawla, H.S.; Korbas, M.; Bartkowiak-Broda, I.; Karlowski, W.M. Local Duplication of TIR-NBS-LRR Gene Marks Clubroot Resistance in Brassica napus Cv. Tosca. Front. Plant Sci. 2021, 12, 1–16. [Google Scholar] [CrossRef]
- Pang, W.; Fu, P.; Li, X.; Zhan, Z.; Yu, S.; Piao, Z. Identification and Mapping of the Clubroot Resistance Gene CRd in Chinese Cabbage (Brassica rapa ssp. pekinensis). Front. Plant Sci. 2018, 9, 1–9. [Google Scholar] [CrossRef]
- Chang, A.; Lamara, M.; Wei, Y.; Hu, H.; Parkin, I.A.P.; Gossen, B.D.; Peng, G.; Yu, F. Clubroot Resistance Gene Rcr6 in Brassica Nigra Resides in a Genomic Region Homologous to Chromosome A08 in B. rapa. BMC Plant Biol. 2019, 19, 1–11. [Google Scholar] [CrossRef]
- Hasan, M.J.; Shaikh, R.; Basu, U.; Rahman, H. Mapping Clubroot Resistance of Brassica rapa Introgressed into Brassica napus and Development of Molecular Markers for the Resistance. Crop Sci. 2021, 61, 4112–4127. [Google Scholar] [CrossRef]
- Zhou, Q.; Jayawardhane, K.N.; Strelkov, S.E.; Hwang, S.F.; Chen, G. Identification of Arabidopsis Phospholipase A Mutants with Increased Susceptibility to Plasmodiophora brassicae. Front. Plant Sci. 2022, 13, 1–9. [Google Scholar] [CrossRef]
- Adhikary, D.; Mehta, D.; Uhrig, R.G.; Rahman, H.; Kav, N.N.V. A Proteome-Level Investigation Into Plasmodiophora brassicae Resistance in Brassica napus Canola. Front. Plant Sci. 2022, 13, 1–24. [Google Scholar] [CrossRef]
- Laila, R.; Robin, A.; Yang, K.; Choi, G.; Park, J.-I.; Nou, I.-S. Detection of Ribosomal DNA Sequence Polymorphisms in the Protist Plasmodiophora brassicae for the Identification of Geographical Isolates. Int. J. Mol. Sci. 2017, 18, 84. [Google Scholar] [CrossRef]
- Molina, A.; Miedes, E.; Bacete, L.; Rodríguez, T.; Mélida, H.; Denancé, N.; Sánchez-Vallet, A.; Rivière, M.P.; López, G.; Freydier, A.; et al. Arabidopsis Cell Wall Composition Determines Disease Resistance Specificity and Fitness. Proc. Natl. Acad. Sci. USA 2021, 118, 1–12. [Google Scholar] [CrossRef]
- Galindo-González, L.; Manolii, V.; Hwang, S.F.; Strelkov, S.E. Response of Brassica napus to Plasmodiophora brassicae Involves Salicylic Acid-Mediated Immunity: An RNA-Seq-Based Study. Front. Plant Sci. 2020, 11, 1–20. [Google Scholar] [CrossRef]
- Miedes, E.; Vanholme, R.; Boerjan, W.; Molina, A. The Role of the Secondary Cell Wall in Plant Resistance to Pathogens. Front. Plant Sci. 2014, 5, 1–13. [Google Scholar] [CrossRef]
- Stefanowicz, K.; Szymanska-Chargot, M.; Truman, W.; Walerowski, P.; Olszak, M.; Augustyniak, A.; Kosmala, A.; Zdunek, A.; Malinowski, R. Plasmodiophora brassicae-Triggered Cell Enlargement and Loss of Cellular Integrity in Root Systems Are Mediated by Pectin Demethylation. Front. Plant Sci. 2021, 12, 711838. [Google Scholar] [CrossRef] [PubMed]
- Irani, S.; Trost, B.; Waldner, M.; Nayidu, N.; Tu, J.; Kusalik, A.J.; Todd, C.D.; Wei, Y.; Bonham-Smith, P.C. Transcriptome Analysis of Response to Plasmodiophora brassicae Infection in the Arabidopsis Shoot and Root. BMC Genomics 2018, 19, 23. [Google Scholar] [CrossRef] [PubMed]
- McCann, M.C.; Carpita, N.C. Designing the Deconstruction of Plant Cell Walls. Curr. Opin. Plant Biol. 2008, 11, 314–320. [Google Scholar] [CrossRef]
- Marowa, P.; Ding, A.; Kong, Y. Expansins: Roles in Plant Growth and Potential Applications in Crop Improvement. Plant Cell Rep. 2016, 35, 949–965. [Google Scholar] [CrossRef]
- Gil, J.F.; Liebe, S.; Thiel, H.; Lennfors, B.-L.; Kraft, T.; Gilmer, D.; Maiss, E.; Varrelmann, M.; Savenkov, E.I. Massive Up-Regulation of LBD Transcription Factors and EXPANSINs Highlights the Regulatory Programs of Rhizomania Disease. Mol. Plant Pathol. 2018, 19, 2333–2348. [Google Scholar] [CrossRef]
- Kong, L.; Li, X.; Zhan, Z.; Piao, Z. Sugar Transporters in Plasmodiophora brassicae: Genome-Wide Identification and Functional Verification. Int. J. Mol. Sci. 2022, 23, 5264. [Google Scholar] [CrossRef]
- Chen, L.; Zou, W.; Fei, C.; Wu, G.; Li, X.; Lin, H.; Xi, D. α-Expansin EXPA4 Positively Regulates Abiotic Stress Tolerance but Negatively Regulates Pathogen Resistance in Nicotiana Tabacum. Plant Cell Physiol. 2018, 59, 2317–2330. [Google Scholar] [CrossRef]
- Li, W.; Wang, F.; Wang, J.; Fan, F.; Zhu, J.; Yang, J.; Liu, F.; Zhong, W. Overexpressing CYP71Z2 Enhances Resistance to Bacterial Blight by Suppressing Auxin Biosynthesis in Rice. PLoS ONE 2015, 10, e0119867. [Google Scholar] [CrossRef]
- Abuqamar, S.; Ajeb, S.; Sham, A.; Enan, M.R.; Iratni, R. A Mutation in the Expansin-like A2 Gene Enhances Resistance to Necrotrophic Fungi and Hypersensitivity to Abiotic Stress in Arabidopsis Thaliana. Mol. Plant Pathol. 2013, 14, 813–827. [Google Scholar] [CrossRef]
- Cho, K.H.; Kim, K.T.; Park, S.; Kim, S.; Do, K.R.; Woo, J.G.; Lee, H.J. Evaluation of Clubroot Resistance in Chinese Cabbage and Its Inheritance in the European Turnip Line ‘IT033820’, a New Genetic Resource. Korean J. Hortic. Sci. 2016, 34, 433–441. [Google Scholar] [CrossRef]
- Krishnamurthy, P.; Hong, J.K.; Kim, J.A.; Jeong, M.J.; Lee, Y.H.; Lee, S.I. Genome-Wide Analysis of the Expansin Gene Superfamily Reveals Brassica rapa-Specific Evolutionary Dynamics upon Whole Genome Triplication. Mol. Genet. Genom. 2015, 290, 521–530. [Google Scholar] [CrossRef] [PubMed]
- Li, K.; Ma, B.; Shen, J.; Zhao, S.; Ma, X.; Wang, Z.; Fan, Y.; Tang, Q.; Wei, D. The Evolution of the Expansin Gene Family in Brassica Species. Plant Physiol. Biochem. 2021, 167, 630–638. [Google Scholar] [CrossRef]
- Liu, W.; Lyu, T.; Xu, L.; Hu, Z.; Xiong, X.; Liu, T.; Cao, J. Complex Molecular Evolution and Expression of Expansin Gene Families in Three Basic Diploid Species of Brassica. Int. J. Mol. Sci. 2020, 21, 3424. [Google Scholar] [CrossRef] [PubMed]
- Muthusamy, M.; Kim, J.Y.; Yoon, E.K.; Kim, J.A.; Lee, S.I. BrEXLB1, a Brassica rapa Expansin-Like B1 Gene Is Associated with Root Development, Drought Stress Response, and Seed Germination. Genes 2020, 11, 404. [Google Scholar] [CrossRef] [PubMed]
- Krishnamurthy, P.; Muthusamy, M.; Kim, J.A.; Jeong, M.-J.; Lee, S.I. Brassica rapa Expansin-like B1 Gene (BrEXLB1) Regulate Growth and Development in Transgenic Arabidopsis and Elicits Response to Abiotic Stresses. J. Plant Biochem. Biotechnol. 2019, 28, 437–446. [Google Scholar] [CrossRef]
- Cao, T.; Tewari, J.; Strelkov, S.E. Molecular Detection of Plasmodiophora brassicae, Causal Agent of Clubroot of Crucifers, in Plant and Soil. Plant Dis. 2007, 91, 80–87. [Google Scholar] [CrossRef] [PubMed]
- Livak, K.J.; Schmittgen, T.D. Analysis of Relative Gene Expression Data Using Real-Time Quantitative PCR and the 2−ΔΔCT Method. Methods 2001, 25, 402–408. [Google Scholar] [CrossRef]
- Chen, C.; Chen, H.; Zhang, Y.; Thomas, H.R.; Frank, M.H.; He, Y.; Xia, R. TBtools: An Integrative Toolkit Developed for Interactive Analyses of Big Biological Data. Mol. Plant 2020, 13, 1194–1202. [Google Scholar] [CrossRef]
- Lescot, M.; Déhais, P.; Thijs, G.; Marchal, K.; Moreau, Y.; Van De Peer, Y.; Rouzé, P.; Rombauts, S. PlantCARE, a Database of Plant Cis-Acting Regulatory Elements and a Portal to Tools for in Silico Analysis of Promoter Sequences. Nucleic Acids Res. 2002, 30, 325–327. [Google Scholar] [CrossRef]
- Struck, C.; Rüsch, S.; Strehlow, B. Control Strategies of Clubroot Disease Caused by Plasmodiophora brassicae. Microorganisms 2022, 10, 620. [Google Scholar] [CrossRef] [PubMed]
- Sampedro, J.; Cosgrove, D.J. The Expansin Superfamily. Genome Biol. 2005, 6, 1–11. [Google Scholar] [CrossRef] [PubMed][Green Version]
- Zhang, B.; Chang, L.; Sun, W.; Ullah, A.; Yang, X. Overexpression of an Expansin-like Gene, GhEXLB2 Enhanced Drought Tolerance in Cotton. Plant Physiol. Biochem. 2021, 162, 468–475. [Google Scholar] [CrossRef] [PubMed]
- Chen, Y.; Zhang, B.; Li, C.; Lei, C.; Kong, C.; Yang, Y.; Gong, M. A Comprehensive Expression Analysis of the Expansin Gene Family in Potato (Solanum Tuberosum) Discloses Stress-Responsive Expansin-like B Genes for Drought and Heat Tolerances. PLoS ONE 2019, 14, e0219837. [Google Scholar] [CrossRef]
- Devos, S.; Vissenberg, K.; Verbelen, J.P.; Prinsen, E. Infection of Chinese Cabbage by Plasmodiophora brassicae Leads to a Stimulation of Plant Growth: Impacts on Cell Wall Metabolism and Hormone Balance. New Phytol. 2005, 166, 241–250. [Google Scholar] [CrossRef]
- Brasileiro, A.C.M.; Lacorte, C.; Pereira, B.M.; Oliveira, T.N.; Ferreira, D.S.; Mota, A.P.Z.; Saraiva, M.A.P.; Araujo, A.C.G.; Silva, L.P.; Guimaraes, P.M. Ectopic Expression of an Expansin-like B Gene from Wild Arachis Enhances Tolerance to Both Abiotic and Biotic Stresses. Plant J. 2021, 107, 1681–1696. [Google Scholar] [CrossRef]
- Ciaghi, S.; Schwelm, A.; Neuhauser, S. Transcriptomic Response in Symptomless Roots of Clubroot Infected Kohlrabi Mirrors Resistant Plants. BioRxiv 2019, 391516, 1–19. [Google Scholar]
- Park, S.H.; Li, F.; Renaud, J.; Shen, W.; Li, Y.; Guo, L.; Cui, H.; Sumarah, M.; Wang, A. NbEXPA1, an α-Expansin, Is Plasmodesmata-Specific and a Novel Host Factor for Potyviral Infection. Plant J. 2017, 92, 846–861. [Google Scholar] [CrossRef]
- Otulak-Kozieł, K.; Kozieł, E.; Lockhart, B.E.L.; Bujarski, J.J. The Expression of Potato Expansin A3 (StEXPA3) and Extensin4 (StEXT4) Genes with Distribution of StEXPAs and HRGPs-Extensin Changes as an Effect of Cell Wall Rebuilding in Two Types of PVYNTN–Solanum Tuberosum Interactions. Viruses 2020, 12, 66. [Google Scholar] [CrossRef]
- Ding, X.; Cao, Y.; Huang, L.; Zhao, J.; Xu, C.; Li, X.; Wang, S. Activation of the Indole-3-Acetic Acid-Amido Synthetase GH3-8 Suppresses Expansin Expression and Promotes Salicylate- and Jasmonate-Independent Basal Immunity in Rice. Plant Cell 2008, 20, 228–240. [Google Scholar] [CrossRef]






Publisher’s Note: MDPI stays neutral with regard to jurisdictional claims in published maps and institutional affiliations. |
© 2022 by the authors. Licensee MDPI, Basel, Switzerland. This article is an open access article distributed under the terms and conditions of the Creative Commons Attribution (CC BY) license (https://creativecommons.org/licenses/by/4.0/).
Share and Cite
Muthusamy, M.; Park, S.R.; Park, J.-I.; Lee, S.I. Plasmodiophora brassicae Infection Modulates Expansin Genes of Brassica rapa ssp. pekinensis. Agriculture 2022, 12, 1416. https://doi.org/10.3390/agriculture12091416
Muthusamy M, Park SR, Park J-I, Lee SI. Plasmodiophora brassicae Infection Modulates Expansin Genes of Brassica rapa ssp. pekinensis. Agriculture. 2022; 12(9):1416. https://doi.org/10.3390/agriculture12091416
Chicago/Turabian StyleMuthusamy, Muthusamy, Sang Ryeol Park, Jong-In Park, and Soo In Lee. 2022. "Plasmodiophora brassicae Infection Modulates Expansin Genes of Brassica rapa ssp. pekinensis" Agriculture 12, no. 9: 1416. https://doi.org/10.3390/agriculture12091416
APA StyleMuthusamy, M., Park, S. R., Park, J.-I., & Lee, S. I. (2022). Plasmodiophora brassicae Infection Modulates Expansin Genes of Brassica rapa ssp. pekinensis. Agriculture, 12(9), 1416. https://doi.org/10.3390/agriculture12091416

