Prevalence of Vertebral Fractures and Their Prognostic Significance in the Survival in Patients with Chronic Kidney Disease Stages 3‒5 Not on Dialysis
Abstract
1. Introduction
2. Material and Methods
3. Statistical Analysis
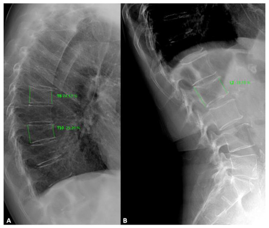
4. Results
5. Discussion
Author Contributions
Funding
Acknowledgments
Conflicts of Interest
References
- Malmgren, L.; McGuigan, F.; Christensson, A.; Akesson, K.E. Reduced kidney function is associated with BMD, bone loss and markers of mineral homeostasis in older women: A 10-year longitudinal study. Osteoporos. Int. 2017, 28, 3463–3473. [Google Scholar] [CrossRef] [PubMed]
- Nickolas, T.L.; Cremers, S.; Zhang, A.; Thomas, V.; Stein, E.; Cohen, A.; Chauncey, R.; Nikkel, L.; Yin, M.T.; Liu, X.S.; et al. Discriminants of prevalent fractures in chronic kidney disease. J. Am. Soc. Nephrol. 2011, 22, 1560–1572. [Google Scholar] [CrossRef] [PubMed]
- Jamal, S.A.; West, S.L.; Miller, P.D. Fracture risk assessment in patients with chronic kidney disease. Osteoporos. Int. 2012, 23, 1191–1198. [Google Scholar] [CrossRef] [PubMed]
- Ensrud, K.E.; Lui, L.Y.; Taylor, B.C.; Ishani, A.; Shlipak, M.G.; Stone, K.L.; Cauley, J.A.; Jamal, S.A.; Antoniucci, D.M.; Cummings, S.R.; et al. Renal function and risk of hip and vertebral fractures in older women. Arch. Intern. Med. 2007, 167, 133–139. [Google Scholar] [CrossRef]
- Nickolas, T.L.; McMahon, D.J.; Shane, E. Relationship between moderate to severe kidney disease and hip fracture in the United States. J. Am. Soc. Nephrol. 2006, 17, 3223–3232. [Google Scholar] [CrossRef]
- Moe, S.M.; Nickolas, T.L. Fractures in patients with CKD: Time for action. Clin. J. Am. Soc. Nephrol. 2016, 11, 1929–1931. [Google Scholar] [CrossRef]
- Bucur, R.C.; Panjwani, D.D.; Turner, L.; Rader, T.; West, S.L.; Jamal, S.A. Low bone mineral density and fractures in stages 3‒5 CKD: An updated systematic review and meta-analysis. Osteoporos. Int. 2015, 26, 449–458. [Google Scholar] [CrossRef]
- Goldenstein, P.T.; Jamal, S.A.; Moysés, R.M. Fractures in chronic kidney disease: Pursuing the best screening and management. Curr. Opin. Nephrol. Hypertens. 2015, 24, 317–323. [Google Scholar] [CrossRef]
- Eknoyan, G. Cardiovascular mortality and morbidity in dialysis patients. Miner. Electrolyte Metab. 1999, 25, 100–104. [Google Scholar] [CrossRef]
- Chen, H.; Lips, P.; Vervloet, M.G.; van Schoor, N.M.; de Jongh, R.T. Association of renal function with bone mineral density and fracture risk in the Longitudinal Aging Study Amsterdam. Osteoporos. Int. 2018, 29, 2129–2138. [Google Scholar] [CrossRef]
- Kwon, Y.E.; Choi, H.Y.; Kim, S.; Ryu, D.R.; Oh, H.J.; ESRD Registry Committee of the Korean Society of Nephrology. Fracture risk in chronic kidney disease: A Korean population-based cohort study. Kidney Res. Clin. Pract. 2019, 38, 220–228. [Google Scholar] [CrossRef] [PubMed]
- Fusaro, M.; D’Angelo, A.; Scalzo, G.; Gallieni, M.; Giannini, S.; Guglielmi, G. Vertebral fractures in dialysis: Endocrinological disruption of the bone-kidney axis. J. Endocrinol. Invest. 2010, 33, 347–352. [Google Scholar] [CrossRef] [PubMed]
- Jadoul, M.; Albert, J.M.; Akiba, T.; Akizawa, T.; Arab, L.; Bragg-Gresham, J.L.; Mason, N.; Prutz, K.G.; Young, E.W.; Pisoni, R.L. Incidence and risk factors for hip or other bone fractures among hemodialysis patients in the Dialysis Outcomes and Practice Patterns Study. Kidney Int. 2006, 70, 1358–1366. [Google Scholar] [CrossRef] [PubMed]
- Mishima, T.; Motoyama, K.; Imanishi, Y.; Hamamoto, K.; Nagata, Y.; Yamada, S.; Kuriyama, N.; Watanabe, Y.; Emoto, M.; InabaM. Decreased cortical thickness, as estimated by a newly developed ultrasound device, as a risk for vertebral fracture in type 2 diabetes mellitus patients with eGFR of less than 60 mL/min/1.73 m2. Osteoporos. Int. 2015, 26, 229–236. [Google Scholar] [CrossRef]
- West, S.L.; Jamal, S.A. Determination of bone architecture and strength in men and women with stage 5 chronic kidney disease. Semin. Dial. 2012, 25, 397–402. [Google Scholar] [CrossRef]
- Yamamoto, S.; Fukagawa, M. Uremic toxicity and bone in CKD. J. Nephrol. 2017, 30, 623–627. [Google Scholar] [CrossRef]
- Molina, P.; Carrero, J.J.; Bover, J.; Chauveau, P.; Mazzaferro, S.; Torres, P.U. European Renal Nutrition (ERN) and Chronic Kidney Disease-Mineral and Bone Disorder (CKD-MBD) Working Groups of the European Renal Association-European Dialysis Transplant Association (ERA-EDTA). Vitamin D, a modulator of musculoskeletal health in chronic kidney disease. J. Cachexia. Sarcopenia Muscle. 2017, 8, 686–701. [Google Scholar]
- Covic, A.; Vervloet, M.; Massy, Z.A.; Torres, P.U.; Goldsmith, D.; Brandenburg, V.; Mazzaferro, S.; Evenepoel, P.; Bover, J.; Apetrii, M.; et al. Bone and mineral disorders in chronic kidney disease: Implications for cardiovascular health and ageing in the general population. Lancet Diabetes Endocrinol. 2018, 6, 319–331. [Google Scholar] [CrossRef]
- London, G.M. Bone-vascular cross-talk. J. Nephrol. 2012, 25, 619–625. [Google Scholar] [CrossRef]
- Tentori, F.; McCullough, K.; Kilpatrick, R.D.; Bradbury, B.D.; Robinson, B.M.; Kerr, P.G.; Pisoni, R.L. High rates of death and hospitalization follow bone fracture among hemodialysis patients. Kidney Int. 2014, 85, 166–173. [Google Scholar] [CrossRef]
- Collins, A.J.; Foley, R.N.; Gilbertson, D.T.; Chen, S.C. The state of chronic kidney disease, ESRD, and morbidity and mortality in the first year of dialysis. Clin. J. Am. Soc. Nephrol. 2009, 4 (Suppl. 1), S5–S11. [Google Scholar] [CrossRef]
- Fusaro, M.; Gallieni, M.; Jamal, S.A. Fractures in chronic kidney disease: Neglected, common, and associated with sickness and death. Kidney Int. 2014, 85, 20–22. [Google Scholar] [CrossRef] [PubMed]
- Górriz, J.L.; Molina, P.; Cerverón, M.J.; Vila, R.; Bover, J.; Nieto, J.; Barril, G.; Martínez-Castelao, A.; Fernández, E.; Escudero, V.; et al. Vascular calcification in patients with nondialysis CKD over 3 years. Clin. J. Am. Soc. Nephrol. 2015, 10, 654–666. [Google Scholar] [CrossRef] [PubMed]
- Genant, H.K.; Wu, C.Y.; van Kuijk, C.; Nevitt, M.C. Vertebral fracture assessment using a semiquantitative technique. J. Bone Miner. Res. 1993, 8, 1137–1148. [Google Scholar] [CrossRef] [PubMed]
- Adragao, T.; Pires, A.; Lucas, C.; Birne, R.; Magalhaes, L.; Gonçalves, M.; Negrao, A.P. A simple vascular calcification score predicts cardiovascular risk in haemodialysis patients. Nephrol. Dial. Transplant. 2004, 19, 1480–1488. [Google Scholar] [CrossRef] [PubMed]
- Kauppila, L.I.; Polak, J.F.; Cupples, L.A.; Hannan, M.T.; Kiel, D.P.; Wilson, P.W. New indices to classify location, severity and progression of calcific lesions in the abdominal aorta: A 25-year follow-up study. Atherosclerosis 1997, 132, 245–250. [Google Scholar] [CrossRef]
- Levey, A.S.; Coresh, J.; Greene, T.; Stevens, L.A.; Zhang, Y.L.; Hendriksen, S.; Kusek, J.W.; Van Lente, F.; Chronic Kidney Disease Epidemiology Collaboration. Using standardized serum creatinine values in the modification of diet in renal disease study equation for estimating glomerular filtration rate. Ann. Intern. Med. 2006, 145, 247–254. [Google Scholar] [CrossRef]
- Laroche, M.; Puech, J.L.; Pouillès, J.M.; Arlet, J.; Boccalon, H.; Puel, P.; Mazières, B.; Arlet, P.; Ribot, C. Lower limb arteriopathy and male osteoporosis. Rev. Rhum. Mal. Osteoartic. 1992, 59, 95–101. [Google Scholar]
- Vogt, M.T.; Cauley, J.A.; Kuller, L.H.; Nevitt, M.C. Bone mineral density and blood flow to the lower extremities: The study of osteoporotic fractures. J. Bone Miner. Res. 1997, 12, 283–289. [Google Scholar] [CrossRef]
- London, G.M. Soft bone-hard arteries: A link? Kidney Blood Press. Res. 2011, 34, 203–208. [Google Scholar] [CrossRef]
- Thompson, B.; Towler, D.A. Arterial calcification and bone physiology: Role of the bone-vascular axis. Nat. Rev. Endocrinol. 2012, 8, 529–543. [Google Scholar] [CrossRef] [PubMed]
- Bridgeman, G.; Brookes, M. Blood supply to the human femoral diaphysis in youth and senescence. J. Anat. 1996, 188, 611–621. [Google Scholar] [PubMed]
- Laroche, M. Intraosseous circulation from physiology to disease. Joint Bone Spine. 2002, 69, 262–269. [Google Scholar] [CrossRef]
- Prasad, B.; Ferguson, T.; Tangri, N.; Ng, C.Y.; Nickolas, T.L. Association of bone mineral density with fractures across the spectrum of chronic kidney disease: The Regina CKD-MBD Study. Can. J. Kidney Heal. Dis. 2009, 6, 205435811987053. [Google Scholar] [CrossRef] [PubMed]
- Al-Daghri, N.M.; Yakout, S.; Al-Shehri, E.; Al-Fawaz, H.; Aljohani, N.; Al-Saleh, Y. Inflammatory and bone turnover markers in relation to PTH and vitamin D status among saudi postmenopausal women with and without osteoporosis. Int. J. Clin. Exp. Med. 2014, 7, 2812–2819. [Google Scholar] [PubMed]
- Aleksova, J.; Wong, P.; Mulley, W.R.; Choy, K.W.; McLachlan, R.; Ebeling, P.R.; Kerr, P.G.; Milat, F. Serum phosphorus levels and fracture following renal transplantation. Clin. Endocrinol. 2017, 87, 141–148. [Google Scholar] [CrossRef]
- Rodríguez-García, M.; Gómez-Alonso, C.; Naves-Díaz, M.; Diaz-Lopez, J.B.; Diaz-Corte, C.; Cannata-Andía, J.B.; Asturias Study Group. Vascular calcifications, vertebral fractures and mortality in haemodialysis patients. Nephrol. Dial. Transplant 2009, 24, 239–246. [Google Scholar] [CrossRef]
- Naves, M.; Rodríguez-García, M.; Díaz-López, J.B.; Gómez-Alonso, C.; Cannata-Andía, J.B. Progression of vascular calcifications is associated with greater bone loss and increased bone fractures. Osteoporos. Int. 2008, 19, 1161–1166. [Google Scholar] [CrossRef]
- Schulz, E.; Arfai, K.; Liu, X.; Sayre, J.; Gilsanz, V. Aortic calcification and the risk of osteoporosis and fractures. J. Clin. Endocrinol. Metab. 2004, 89, 4246–4253. [Google Scholar] [CrossRef]
- Piscopo, G.; Morrone, L. Association between vertebral fractures and vascular calcifications. G. Ital. Nefrol. 2017, 34. [Google Scholar]
- Sigrist, M.K.; Taal, M.W.; Bungay, P.; McIntyre, C.W. Progressive vascular calcification over 2 years is associated with arterial stiffening and increased mortality in patients with stages 4 and 5 chronic kidney disease. Clin. J. Am. Soc. Nephrol. 2007, 2, 1241–1248. [Google Scholar] [CrossRef] [PubMed]
- Watanabe, R.L.; Lemos, M.M.; Manfredi, S.R.; Draibe, S.A.; Canziani, M.E. Impact of cardiovascular calcification in nondialyzed patients after 24 months of follow-up. Clin. J. Am. Soc. Nephrol. 2010, 5, 189–194. [Google Scholar] [CrossRef] [PubMed]
- Vogt, I.; Haffner, D.; Leifheit-Nestler, M. FGF23 and phosphate-cardiovascular toxins in CKD. Toxins (Basel) 2019, 11. [Google Scholar] [CrossRef] [PubMed]
- Gutiérrez, O.M.; Wolf, M.; Taylor, E.N. Fibroblast growth factor 23, cardiovascular disease risk factors, and phosphorus intake in the health professionals follow-up study. Clin. J. Am. Soc. Nephrol. 2011, 6, 2871–2878. [Google Scholar] [CrossRef] [PubMed]
- Khan, A.M.; Chirinos, J.A.; Litt, H.; Yang, W.; Rosas, S.E. FGF-23 and the progression of coronary arterial calcification in patients new to dialysis. Clin. J. Am. Soc. Nephrol. 2012, 7, 2017–2022. [Google Scholar] [CrossRef] [PubMed]
- Ariyoshi, N.; Nogi, M.; Ando, A.; Watanabe, H.; Umekawa, S. Hypophosphatemia-induced Cardiomyopathy. Am. J. Med. Sci. 2016, 352, 317–323. [Google Scholar] [CrossRef]
- Lichtman, M.A.; Miller, D.R.; Cohen, J.; Waterhouse, C. Reduced red cell glycolysis, 2,3-diphosphoglycerate and adenosine triphosphate concentration, and increased hemoglobin-oxygen affinity caused by hypophosphatemia. Ann. Intern. Med. 1971, 74, 562–568. [Google Scholar] [CrossRef]
- Rozentryt, P.; Nowak, J.; Niedziela, J.; Hudzik, B.; Doehner, W.; Jankowska, E.A.; von Haehling, S.; Partyka, R.; Kawecka, E.; Myrda, K.; et al. Serum phosphorus level is related to degree of clinical response to up-titration of heart failure pharmacotherapy. Int. J. Cardiol. 2014, 177, 248–254. [Google Scholar] [CrossRef]


| Characteristics | Overall Sample (n = 612) | Vertebral Fractures (n = 110, 18%) | No Vertebral Fractures (n = 502, 82%) | p-Value |
|---|---|---|---|---|
| Age (y) | 66.1 ± 12.7 | 68.0 ± 11.9 | 65.6 ± 12.9 | 0.043 |
| Sex (male, %) | 65.0% | 60.0% | 66.1% | 0.133 |
| BMI ≥ 30 (obese) | 34.6% | 36.4% | 34.3% | 0.722 |
| BMI (kg/m2) | 28.8 ± 5.1 | 28.7 ± 5.2 | 28.8 ± 5.1 | 0.974 |
| Smoking | 12.7% | 9.4% | 13.5% | 0.425 |
| Diabetes mellitus (%) | 37.1% | 33.6% | 37.9% | 0.232 |
| Arterial hypertension (%) | 94.4% | 100.0% | 93.6% | 0.006 |
| Mean bilateral ABI | 1.0 ± 0.2 | 0.97 ± 0.2 | 1.0 ± 0.2 | 0.059 |
| eGFR (MDRD mL/min/1.73 m2) | 27.3 ± 11.6 | 27.5 ± 11.1 | 27.2 ± 11.7 | 0.823 |
| Serum calcium (mg/dL) | 9.8 ± 0.8 | 9.7 ± 0.8 | 9.6 ± 0.8 | 0.788 |
| Serum phosphate (mg/dL) | 3.5 ± 0.8 | 3.3 ± 0.8 | 3.5 ± 0.9 | 0.028 |
| Serum iPTH(pg/mL) a | 61 (20‒123) | 57 (17–107) | 62 (80‒128) | 0.437 |
| K/DOQI Ca-target (%) | 33.3% | 30.2% | 34.0% | 0.449 |
| K/DOQI P-target (%) | 76.9% | 78.3% | 76.3% | 0.708 |
| K/DOQI PTH-target (%) | 26.4% | 24.5% | 26.8% | 0.628 |
| All 3 K/DOQI crit. (%) | 7.0% | 2.8% | 7.9% | 0.065 |
| Serum bicarbonate (mmol/L) | 24.7 ± 3.5 | 24.4 ± 3.8 | 24.8 ± 3.4 | 0.440 |
| C-reactive protein (mg/L) a | 2.0 (2.0–6.7) | 3.8 (2.0‒7.7) | 2.0 (2.0‒6.6) | 0.012 |
| Serum albumin (g/dL) | 4.0 ± 0.5 | 3.9 ± 0.8 | 4.0 ± 0.5 | 0.243 |
| Serum calcidiol (ng/mL) | 20.5 ± 8.6 | 19.6 ± 7.6 | 20.7 ± 8.8 | 0.246 |
| Serum calcitriol (pg/mL) | 39.1 ± 10.4 | 39.7 ± 9.0 | 39.0 ± 10.6 | 0.498 |
| Ca-based phosphate binder (%) | 18.2% | 14.7% | 19.0% | 0.180 |
| Bisphosphonates (%) | 3.0% | 7.3% | 2.0% | 0.003 |
| Adragao Score ≥ 3 (%) | 30.9% | 29.6% | 31.2% | 0.752 |
| Adragao (hands only) >1 (%) | 24.5% | 31.4% | 23.0% | 0.075 |
| Kauppila score > 6 (%) | 31.4% | 26.0% | 32.6% | 0.199 |
| Vertebrae | Vertebral Fractures (n,%) |
|---|---|
| T4 | 0 (0.0%) |
| T5 | 2 (1.0%) |
| T6 | 3 (1.5%) |
| T7 | 7 (3.5%) |
| T8 | 8 (4.0%) |
| T9 | 9 (4.5%) |
| T10 | 11 (5.5%) |
| T11 | 34 (17.0%) |
| T12 | 47 (23.0%) |
| L1 | 45 (22.0%) |
| L2 | 17 (8.0%) |
| L3 | 9 (4.0%) |
| L4 | 5 (2.0%) |
| L5 | 9 (4.0%) |
| Total vertebral fractures | T: 121 L: 85 (n = 206, 100%) |
| Factor | HR | 95% CI | p-Value |
|---|---|---|---|
| Lower phosphate levels in blood | 0.719 | 0.532−0.972 | 0.032 |
| Ankle-brachial index <0.9 | 1.694 | 1.056−2.717 | 0.029 |
| Treatment with bisphosphonates | 5.636 | 1.876−16.930 | 0.002 |
| Events | Fracture n = 110 | No Fracture n = 502 | p-Value |
|---|---|---|---|
| Total | 21 (19%) | 41 (8%) | 0.05 |
| Cardiovascular disease | 7 (33%) | 14 (34%) | 0.38 |
| Infectious disease | 3 | 8 | |
| Malignancy | 1 | 6 | |
| Sudden death | 2 | 1 | |
| Other | 1 | 7 | |
| Unknown | 7 | 5 |
| Factor | HR | 95% CI | p-Value |
|---|---|---|---|
| Age | 1.074 | 1.035‒1.114 | <0.001 |
| Adragao Score ≥3 | 2.487 | 1.345‒3.898 | 0.004 |
| Phosphate levels | 1.699 | 1.175‒2.488 | 0.005 |
| Presence of vertebral fracture | 1.983 | 1.009‒3.898 | 0.047 |
© 2020 by the authors. Licensee MDPI, Basel, Switzerland. This article is an open access article distributed under the terms and conditions of the Creative Commons Attribution (CC BY) license (http://creativecommons.org/licenses/by/4.0/).
Share and Cite
Castro-Alonso, C.; D’Marco, L.; Pomes, J.; Del Amo Conill, M.; García-Diez, A.I.; Molina, P.; Puchades, M.J.; Valdivielso, J.M.; Escudero, V.; Bover, J.; et al. Prevalence of Vertebral Fractures and Their Prognostic Significance in the Survival in Patients with Chronic Kidney Disease Stages 3‒5 Not on Dialysis. J. Clin. Med. 2020, 9, 1604. https://doi.org/10.3390/jcm9051604
Castro-Alonso C, D’Marco L, Pomes J, Del Amo Conill M, García-Diez AI, Molina P, Puchades MJ, Valdivielso JM, Escudero V, Bover J, et al. Prevalence of Vertebral Fractures and Their Prognostic Significance in the Survival in Patients with Chronic Kidney Disease Stages 3‒5 Not on Dialysis. Journal of Clinical Medicine. 2020; 9(5):1604. https://doi.org/10.3390/jcm9051604
Chicago/Turabian StyleCastro-Alonso, Cristina, Luis D’Marco, Jaume Pomes, Monserrat Del Amo Conill, Ana Isabel García-Diez, Pablo Molina, María Jesús Puchades, José Manuel Valdivielso, Verónica Escudero, Jordi Bover, and et al. 2020. "Prevalence of Vertebral Fractures and Their Prognostic Significance in the Survival in Patients with Chronic Kidney Disease Stages 3‒5 Not on Dialysis" Journal of Clinical Medicine 9, no. 5: 1604. https://doi.org/10.3390/jcm9051604
APA StyleCastro-Alonso, C., D’Marco, L., Pomes, J., Del Amo Conill, M., García-Diez, A. I., Molina, P., Puchades, M. J., Valdivielso, J. M., Escudero, V., Bover, J., Navarro-González, J., Ribas, B., Pallardo, L. M., & Gorriz, J. L. (2020). Prevalence of Vertebral Fractures and Their Prognostic Significance in the Survival in Patients with Chronic Kidney Disease Stages 3‒5 Not on Dialysis. Journal of Clinical Medicine, 9(5), 1604. https://doi.org/10.3390/jcm9051604

