Prospective, Clinical Pilot Study with Eleven 4-Mm Extra-Short Implants Splinted to Longer Implants for Posterior Maxilla Rehabilitation
Abstract
1. Introduction
2. Experimental Section
2.1. Patients
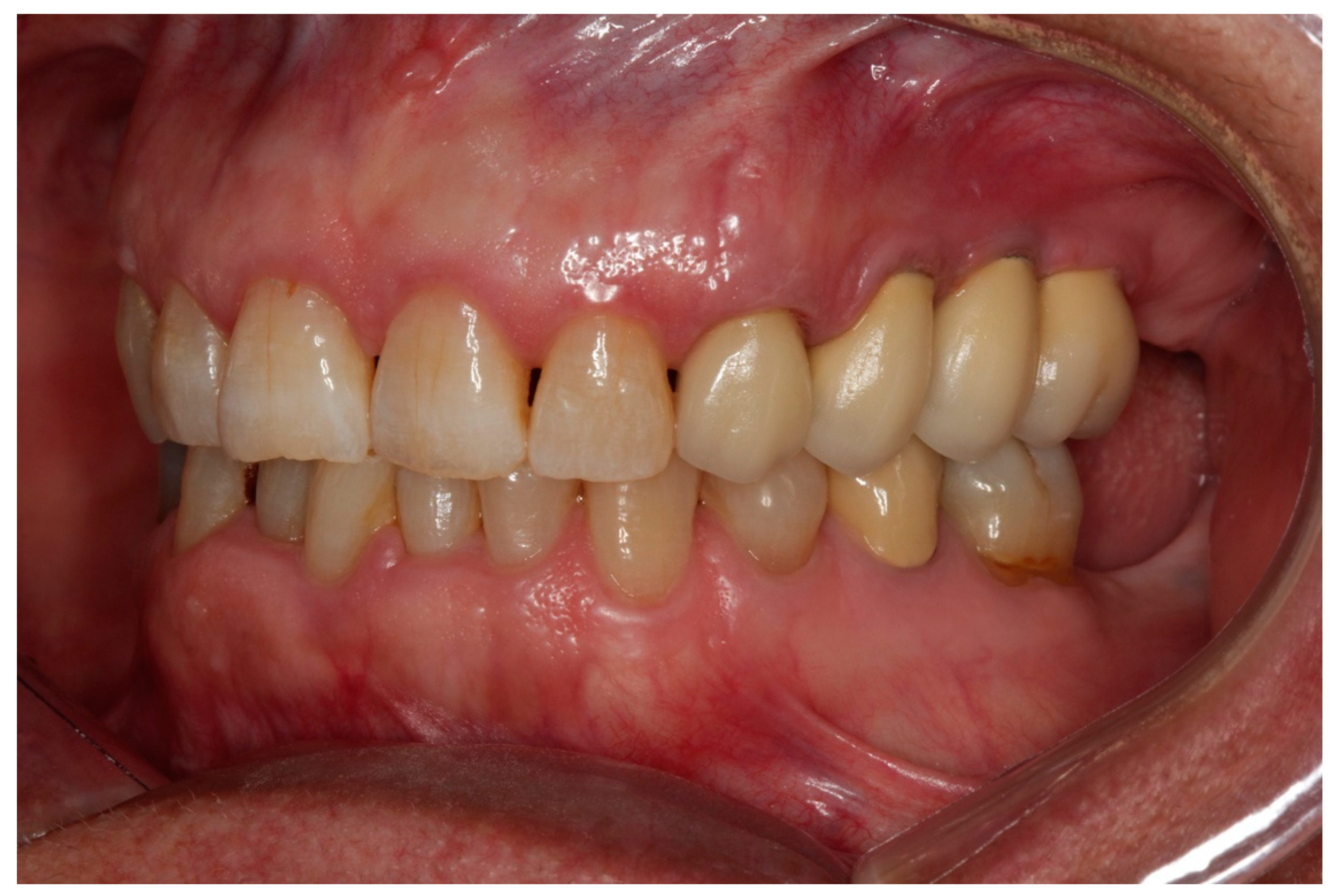
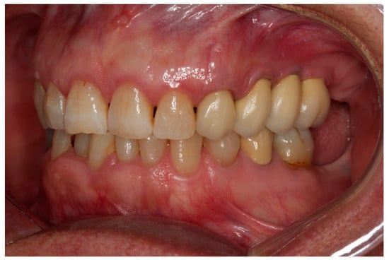
2.2. Surgical Procedure
2.3. Calibration
3. Statistical Analysis
Statistical Power
4. Results
4.1. Marginal Bone Level (MBL)
4.2. Bone tissue remodeling (MBL change)
5. Discussion
6. Conclusions
Author Contributions
Funding
Acknowledgments
Conflicts of Interest
References
- Van Assche, N.; Michels, S.; Quirynen, M.; Naert, I. Extra short dental implants supporting an overdenture in the edentulous maxilla: a proof of concept. Clin. Oral Implants Res. 2012, 23, 567–576. [Google Scholar] [CrossRef]
- Pommer, B.; Busenlechner, D.; Fürhauser, R.; Watzek, G.; Mailath-Pokorny, G.; Haas, R. Trends in techniques to avoid bone augmentation surgery: Application of short implants, narrow-diameter implants and guided surgery. J. Craniomaxillofac. Surg. 2016, 44, 1630–1634. [Google Scholar] [CrossRef]
- Chen, L.; Cha, J. An 8-year retrospective study: 1100 patients receiving 1557 implants using the minimally invasive hydraulic sinus condensing technique. J. Periodontol. 2005, 76, 482–491. [Google Scholar] [CrossRef]
- Bruschi, G.B.; Crespi, R.; Capparé, P.; Gherlone, E. Transcrestal Sinus floor elevation: A retrospective study of 46 patients up to 16 years. Clin. Implant Dent. Relat. Res. 2012, 14, 759–767. [Google Scholar] [CrossRef]
- Fan, T.; Li, Y.; Deng, W.W.; Wu, T.; Zhang, F. Short Implants (5 to 8 mm) Versus Longer Implants (>8 mm) with Sinus Lifting in Atrophic Posterior Maxilla: A Meta Analysis of RCTs. Clin. Implant Dent. Relat. Res. 2017, 19, 207–215. [Google Scholar] [CrossRef]
- Fugazzotto, P.A.; Beagle, J.R.; Ganeles, J.; Jaffin, R.; Vlassis, J.; Kumar, A. Success and Failure Rates of 9 mm or Shorter Implants in the Replacement of Missing Maxillary Molars When Restored with Individual Crowns: Preliminary Results 0 to 84 Months in Function. A Retrospective Study. J. Periodontol. 2004, 75, 327–332. [Google Scholar] [CrossRef]
- Anitua, E.; Orive, G. Short Implants in Maxillae and Mandibles: A Retrospective Study with 1 to 8 Years of Follow-Up. J. Periodontol. 2010, 81, 819–826. [Google Scholar] [CrossRef]
- Annibali, S.; Cristalli, M.P.; Dell’aquila, D.M.; Big-nozzi, I.; La Monaca, G.; Pilloni, A. Short dental implants: A systematic review. J.Dent.Res. 2012, 1, 25–32. [Google Scholar] [CrossRef]
- Renouard, R.; Nisand, D. Short implants in the severely resorbed maxilla: a 2-year retrospective clinical study. Clin. Implant Dent. Relat. Res. 2005, 7, S104–S110. [Google Scholar] [CrossRef]
- Pieri, F.; Forlivesi, C.; Caselli, E.; Corinaldesi, G. Short implants (6 mm) vs. vertical bone augmentation and standard-length implants (≥9 mm) in atrophic posterior mandibles: a 5-year retrospective study. Int. J. Oral Maxillofac. Surg. 2017, 46, 1607–1614. [Google Scholar] [CrossRef]
- De, N.; Dias, F.J.; Pecorari, V.G.A.; Martins, C.B.; Del Fabbro, M.; Casati, M.Z. Short implants versus bone augmentation in combination with standard-length implants in posterior atrophic partially edentulous mandibles: systematic review and metaanalysis with the Bayesian approach. Int. J. Oral Maxillofac. Surg. 2019, 48, 90–96. [Google Scholar]
- Van Steenberghe, D.; Lekholm, U.; Bolender, C.; Folmer, T.; Henry, P.; Herrmann, I.; Higuchi, K.; Laney, W.; Linden, U.; Astrand, P. The applicability of osseointegrated oral implants in the rehabilitation of partial edentulism: a prospective multicenter study of 558 fixtures. Int. J. Oral. Maxillofac. Implants. 1990, 5, 272–281. [Google Scholar] [PubMed]
- Renouard, F.; Nisand, D. Impact of implant length and diameter on survival rates. Clin. Oral Implant. Res. 2006, 17, 35–51. [Google Scholar] [CrossRef] [PubMed]
- Rossi, F.; Ricci, E.; Marchetti, C.; Lang, N.P.; Botticelli, D. Early loading of single crowns supported by 6-mm-long implants with a moderately rough surface: a prospective 2-year follow-up cohort study. Clin. Oral Implant. Res. 2010, 21, 937–943. [Google Scholar] [CrossRef] [PubMed]
- Rossi, F.; Botticelli, D.; Cesaretti, G.; De Santis, E.; Storelli, S.; Lang, N.P. Use of short implants in a single-tooth replacement: a 5-year follow-up prospective randomized controlled multicenter clinical study. Clin. Oral Implants Res. 2016, 27, 458–464. [Google Scholar] [CrossRef] [PubMed]
- Araujo Lemosa, C.A.; Ferro-Alvesb, M.L.; Okamotob, R.; Mendonçac, M.R.; Piza Pellizzera, E. Short dental implants versus standard dental implants placed in the posterior jaws: A systematic review and meta-analysis. J. Dent. 2016, 47, 8–17. [Google Scholar] [CrossRef] [PubMed]
- Pommer, B.; Mailath-Pokorny, G.; Haas, R.; Busenlechner, D.; Millesi, W.; Fürhauser, R. Extra-short (<7mm) and extra-narrow diameter (<3.5 mm) implants: A meta-analytic literature review. Eur. J. Oral Implantol. 2018, 11, S137–S146. [Google Scholar]
- Loyola Gonzalez, P.O.; Torassa, D.; Dominguez, A. Estudio comparativo sobre el comportamiento y la distribución de las tensiones en implantes dentales cortos e implantes dentales estándares en la región posterior del maxilar superior. Un estudio en elementos finitos. Rev. Clin. Periodoncia Implantol. Rehabil. Oral. 2016, 9, 36–41. [Google Scholar] [CrossRef]
- Blanes, R.J. To what extent does the crown- implant ratio affect the survival and complications of implant-supported reconstructions? A systematic review. Clin. Oral Implants Res. 2009, 4, 67–72. [Google Scholar] [CrossRef]
- García-Braz, S.H.; Prados-Privado, M.; Zanatta, L.C.S.; Calvo-Guirado, J.L.; Prados-Frutos, J.C.; Gehrke, S.A. A Finite Element Analysis to Compare Stress Distribution on Extra-Short Implants with Two Different Internal Connections. J. Clin. Med. 2019, 25, 1103. [Google Scholar] [CrossRef]
- Ghariani, L.; Segaan, L.; Rayyan, M.M.; Galli, S.; Jimbo, R.; Ibrahim, A. Does crown/implant ratio influence the survival and marginal bone level of short single implants in the mandibular molar? A preliminary investigation consisting of 12 patients. J. Oral. Rehabil. 2016, 43, 127–135. [Google Scholar] [CrossRef] [PubMed]
- Fernández-Bodereau, E.; Flores, V.Y.; Delgado-Ruiz, R.A.; Aragoneses, J.M.; Calvo-Guirado, J.L. Evaluation of the Cortical Deformation Induced by Distal Cantilevers Supported by Extra-Short Implants: A Finite Elements Analysis Study. Symmetry 2018, 10, 762. [Google Scholar] [CrossRef]
- Slotte, C.; Grønningsaeter, A.; Halmøy, A.M.; Öhrnell, L.O.; Mordenfeld, A.; Isaksson, S.; Johansson, L.A. Four-Millimeter-Long Posterior-Mandible Implants: 5-Year Outcomes of a Prospective Multicenter Study. Clin. Implant Dent. Relat. Res. 2015, 17, 234–237. [Google Scholar] [CrossRef] [PubMed]
- Calvo-Guirado, J.L.; Mallaun, M.; Dard, M.; López Torres, J.A. Evaluation of 4 mm implants in mandibular edentulous patients with reduced bone height. Surgical preliminary results. J. Osseointegr. 2014, 6, 43–45. [Google Scholar]
- Calvo-Guirado, J.L.; Lopez Torres, J.A.; Dard, M.; Javed, F.; Perez-Albacete Martínez, C.; Mate Sanchez de Val, J.E. Evaluation of extrashort 4-mm implants in mandibular edentulous patients with reduced bone height in comparison with standard implants: a 12-month results. Clin. Oral Implants Res. 2016, 27, 867–874. [Google Scholar] [CrossRef] [PubMed]
- Kastala, V.H.; Ramoji Rao, M.V. Comparative evaluation of implant stability in two different implant systems at baseline and 3-4 months intervals using RFA device (OSSTELL ISQ). Indian J Dent Res. 2019, 30, 678–686. [Google Scholar] [CrossRef] [PubMed]
- Andersson, P.; Pagliani, L.; Verrocchi, D.; Volpe, S.; Sahlin, H.; Sennerby, L. Factors Influencing Resonance Frequency Analysis (RFA) Measurements and 5-Year Survival of Neoss Dental Implants. Int. J. Dent. 2019, 2019, 3209872. [Google Scholar] [CrossRef] [PubMed]
- Norton, M.R. Resonance Frequency Analysis: Agreement and Correlation of Implant Stability Quotients between Three Commercially Available Instruments. Int. J. Oral Maxillofac. Implants 2018. [Google Scholar] [CrossRef] [PubMed]
- Buyukguclu, G.; Ozkurt-Kayahan, Z.; Kazazoglu, E. Reliability of the Osstell Implant Stability Quotient and Penguin Resonance Frequency Analysis to Evaluate Implant Stability. Implant Dent. 2018, 27, 429–433. [Google Scholar] [CrossRef]
- Queiroz, T.P.; Aguiar, S.M.; Margonar, R.; Souza Faloni, A.P.; Gruber, R.; Luvizuto, E.R. Clinical study on survival rate of short implants placed in the posterior mandibular region: resonance frequency analysis. Clin. Oral Impl. Res. 2015, 26, 1036–1042. [Google Scholar] [CrossRef]
- Arosio, P.; Greco, G.B.; Zaniol, T.; Iezzi, G.; Perrotti, V.; Di Stefano, D.A. Sinus augmentation and concomitant implant placement in low bone-density sites. A retrospective study on an undersized drilling protocol and primary stability. Clin. Implant Dent. Relat. Res. 2018, 20, 151–159. [Google Scholar] [CrossRef]
- Atieh, M.A.; Alsabeeha, N.H.; Payne, A.G. Can resonance frequency analysis predict failure risk of immediately loaded implants? Int. J. Prosthodont. 2012, 4, 326–339. [Google Scholar]
- Qian, S.-J.; Gu, Y.-X.; Mo, J.-J.; Qiao, S.-C.; Zhuang, L.-F.; Lai, H.-C. Resonance frequency analysis of implants placed with osteotome sinus floor elevation in posterior maxillae. Clin. Oral Implant. Res. 2014, 27, 113–119. [Google Scholar] [CrossRef]
- Kanno, T.; Mitsugi, M.; Paeng, J.Y.; Sukegawa, S.; Furuki, Y.; Ohwada, H.; Nariai, Y.; Ishibashi, H.; Katsuyama, H.; Sekine, J. Simultaneous sinus lifting and alveolar distraction of a severely atrophic posterior maxilla for oral rehabilitation with dental implants. Int. J. Dent. 2012, 2012, 471320. [Google Scholar] [CrossRef] [PubMed]
- Nielsen, H.; Schou, S.; Isidor, F.; Christensen, A.-E.; Starch-Jensen, T. Short implants (≤8 mm) compared to standard length implants (>8 mm) in conjunction with maxillary sinus floor augmentation: a systematic review and meta-analysis. Int. J. Oral Maxillofac. Surg. 2019, 48, 239–249. [Google Scholar] [CrossRef] [PubMed]
- Thoma, D.; Zeltner, M.; Hüsler, J.; Hämmerle, C.H.F.; Jung, R.E. EAO Supplement Working Group 4—EAO CC 2015 Short implants versus sinus lifting with longer implants to restore the posterior maxilla: a systematic review. Clin. Oral Implant. Res. 2015, 26, 154–169. [Google Scholar] [CrossRef] [PubMed]
- Nedir, R.; Nurdin, N.; Najm, S.A.; Bischof, M.; El Hage, M. Short implants placed with or without grafting into atrophic sinuses: the 5-year results of a prospective randomized controlled study. Clin. Oral Implant. Res. 2016, 28, 877–886. [Google Scholar] [CrossRef] [PubMed]
- Nisand, D.; Picard, N.; Rocchietta, I. Short implants compared to implants in vertically augmented bone: a systematic review. Clin. Oral Implant. Res. 2015, 26, 170–179. [Google Scholar] [CrossRef]
- Tanaka, K.; Sailer, I.; Kataoka, Y.; Nogami, S.; Takahashi, T. Sandwich bone graft for vertical augmentation of the posterior maxillary region: a case report with 9-year follow-up. Int. J. Implant. Dent. 2017, 3, 20. [Google Scholar] [CrossRef][Green Version]
- Vinci, R.; Teté, G.; Lucchetti, F.R.; Capparé, P.; Gherlone, E.F. Implant survival rate in calvarial bone grafts: A retrospective clinical study with 10 year follow-up. Clin. Implant. Dent. Relat. Res. 2019, 21, 662–668. [Google Scholar] [CrossRef]
- Felice, P.; Barausse, C.; Pistilli, R.; Ippolito, D.R.; Esposito, M. Five-year results from a randomised controlled trial comparing prostheses supported by 5-mm long implants or by longer implants in augmented bone in posterior atrophic edentulous jaws. Int. J. oral Implant. 2019, 12, 25–37. [Google Scholar]
- Anitua, E.; Piñas, L.; Orive, G. Retrospective Study of Short and Extra-Short Implants Placed in Posterior Regions: Influence of Crown-to-Implant Ratio on Marginal Bone Loss. Clin. Implant. Dent. Relat. Res. 2013, 17, 102–110. [Google Scholar] [CrossRef] [PubMed]
- Garaicoa-Pazmiño, C.; Suarez, F.; Monje, A.; Catena, A.; Ortega-Oller, I.; Galindo-Moreno, C.; Wang, H.L. Influence of Crown-Implant Ratio Upon Marginal Bone Loss. A Systematic Review. J. Periodontol. 2014, 85, 1214–1221. [Google Scholar] [CrossRef] [PubMed]
- Sun, S.-P.; Moon, I.-S.; Park, K.-H.; Lee, D.-W. Effect of Crown to Implant Ratio and Anatomical Crown Length on Clinical Conditions in a Single Implant: A Retrospective Cohort Study. Clin. Implant Dent. Relat. Res. 2013, 17, 724–731. [Google Scholar] [CrossRef]
- Bulaqi, H.A.; Mashhadi, M.M.; Safari, H.; Samandari, M.M.; Geramipanah, F. Effect of increased crown height on stress distribution in short dental implant components and their surrounding bone: A finite element analysis. J. Prosthet. Dent. 2015, 113, 548–557. [Google Scholar] [CrossRef]
- Gehrke, S.A. Importance of Crown Height Ratios in Dental Implants on the Fracture Strength of Different Connection Designs: An In Vitro Study. Clin. Implant. Dent. Relat. Res. 2013, 17, 790–797. [Google Scholar] [CrossRef]
- Malmstrom, H.; Gupta, B.; Ghanem, A.; Cacciato, R.; Ren, Y.; E Romanos, G. Success rate of short dental implants supporting single crowns and fixed bridges. Clin. Oral Implant. Res. 2015, 27, 1093–1098. [Google Scholar] [CrossRef]
- Anitua, E.; Flores, C.; Flores, J.; Alkhraisat, M.H. Clinical Effectiveness of 6.5-mm-Long Implants to Support Two-Implant Fixed Prostheses in Premolar-Molar Region: The Influence of Immediate Loading and the Length of Splinting Implant. J. Prosthodont. 2018, 28, e688–e693. [Google Scholar] [CrossRef]
- Zurdo, J.; Romão, C.; Wennström, J.L. Survival and complication rates of implant-supported fixed partial dentures with cantilevers: a systematic review. Clin. Oral Implant. Res. 2009, 20, 59–66. [Google Scholar] [CrossRef]
- 1Storelli, S.; Del Fabbro, M.; Scanferla, M.; Palandrani, G.; Romeo, E. Implant supported cantilevered fixed dental rehabilitations in partially edentulous patients: Systematic review of the literature. Part I. Clin. Oral Implant. Res. 2018, 29, 253–274. [Google Scholar] [CrossRef]
- Ravidà, A.; Wang, I.-C.; Barootchi, S.; Askar, H.; Tavelli, L.; Gargallo-Albiol, J.; Wang, H.-L. Meta-analysis of randomized clinical trials comparing clinical and patient-reported outcomes between extra-short (≤6 mm) and longer (≥10 mm) implants. J. Clin. Periodontol. 2018, 46, 118–142. [Google Scholar] [CrossRef] [PubMed]
- Hauchard, E.; Fornier, B.P.; Jacq, R.; Boutoun, A.; Pierrisnard, L.; Naveau, A. Splinting effects on posterior under various loading modes; A 3D infinite element analyses. Eur. J. Prosthodont. Restor. Dent. 2011, 19, 117–122. [Google Scholar]
- Meijer, H.J.A.; Boven, C.; Delli, K.; Raghoebar, G.M. Is there an effect of crown-to-implant ratio on implant treatment outcomes? A systematic review. Clin. Oral Implant. Res. 2018, 29, 243–252. [Google Scholar] [CrossRef] [PubMed]
- Rossi, F.; Lang, N.P.; Ricci, E.; Ferraioli, L.; Baldi, N.; Botticelli, D. Long-term follow-up of single crowns supported by short, moderately rough implants-A prospective 10-year cohort study. Clin. Oral Implant. Res. 2018, 29, 1212–1219. [Google Scholar] [CrossRef] [PubMed]
- Souza, P.T.D.R.D.; Martini, M.B.A.; Azevedo-Alanis, L.R. Do short implants have similar survival rates compared to standard implants in posterior single crown? A systematic review and meta-analysis. Clin. Implant. Dent. Relat. Res. 2018, 20, 890–901. [Google Scholar] [CrossRef]
- Srinivasan, M.; Vazquez, L.; Rieder, P.; Moraguez, O.; Bernard, J.-P.; Belser, U.C. Survival rates of short (6 mm) micro-rough surface implants: a review of literature and meta-analysis. Clin. Oral Implant. Res. 2013, 25, 539–545. [Google Scholar] [CrossRef]









| Surgery | Suture Removal | Provisionalization | Definitive Restorations | Follow-up |
|---|---|---|---|---|
| Day 0 | Day 15 | Two months | Six months | 12 and 24 months |
| Parameter Evaluated | Day 0 | 2 Months | 6 Months | 12 Months | 24 Months |
|---|---|---|---|---|---|
| ISQ | 94% | 94% | 88% | 84% | 60% |
| Bone remodeling | - | - | - | 67% | 53% |
| Implant | Stability (ISQ). Mean ± Standard Deviation | ||||
|---|---|---|---|---|---|
| Baseline | Two Months | Six Months | 12 Months | 24 Months | |
| 8 mm | 64.4 ± 4.9 | 72.7 ± 1.9 | 73.8 ± 3.9 | 78.8 ± 1.4 | 79.5 ± 1.3 |
| 4 mm | 54.9 ± 4.9 | 66.2 ± 5.8 | 68.1 ± 6.9 | 74.4 ± 2.9 | 77.0 ± 2.6 |
| p-value (Mann-Whitney) | 0.001 * | 0.016 * | 0.105 | 0.007 * | 0.400 |
| Implant | MBL (mm). Mean ± Standard Deviation | ||
|---|---|---|---|
| Baseline | 12 Months | 24 Months | |
| 8 mm | 1.04 ± 0.78 | 1.27 ± 0.85 | 0.87 ± 0.41 |
| 4 mm | 0.89 ± 0.88 | 1.37 ± 1.01 | 1.14 ± 0.95 |
| p-Value (Mann-Whitney) | 0.739 | 0.980 | 1.000 |
| Implant | MBL Change. Mean ± Standard Deviation (mm) | |
|---|---|---|
| 12 Months | 24 Months | |
| 8-mm | −0.13 ± 0.30 | −0.24 ± 0.23 |
| 4-mm | −0.39 ± 0.60 | −0.33 ± 0.65 |
| p-Value (Mann–Whitney) | 0.442 | 1.000 |
© 2020 by the authors. Licensee MDPI, Basel, Switzerland. This article is an open access article distributed under the terms and conditions of the Creative Commons Attribution (CC BY) license (http://creativecommons.org/licenses/by/4.0/).
Share and Cite
Torassa, D.; Naldini, P.; Calvo-Guirado, J.L.; Fernández-Bodereau, E. Prospective, Clinical Pilot Study with Eleven 4-Mm Extra-Short Implants Splinted to Longer Implants for Posterior Maxilla Rehabilitation. J. Clin. Med. 2020, 9, 357. https://doi.org/10.3390/jcm9020357
Torassa D, Naldini P, Calvo-Guirado JL, Fernández-Bodereau E. Prospective, Clinical Pilot Study with Eleven 4-Mm Extra-Short Implants Splinted to Longer Implants for Posterior Maxilla Rehabilitation. Journal of Clinical Medicine. 2020; 9(2):357. https://doi.org/10.3390/jcm9020357
Chicago/Turabian StyleTorassa, Daniel, Pablo Naldini, José Luis Calvo-Guirado, and Enrique Fernández-Bodereau. 2020. "Prospective, Clinical Pilot Study with Eleven 4-Mm Extra-Short Implants Splinted to Longer Implants for Posterior Maxilla Rehabilitation" Journal of Clinical Medicine 9, no. 2: 357. https://doi.org/10.3390/jcm9020357
APA StyleTorassa, D., Naldini, P., Calvo-Guirado, J. L., & Fernández-Bodereau, E. (2020). Prospective, Clinical Pilot Study with Eleven 4-Mm Extra-Short Implants Splinted to Longer Implants for Posterior Maxilla Rehabilitation. Journal of Clinical Medicine, 9(2), 357. https://doi.org/10.3390/jcm9020357

