Technical Considerations and Preliminary Experience of Intraprocedural Aneurysm Sac Embolization During Fenestrated and Branched EVAR (Embo F/BEVAR Technique): A Case Series
Abstract
1. Introduction
2. Materials and Methods
2.1. Study Design and Patient Selection
2.2. Definitions
2.3. Technical Procedure for “Standard” FEVAR and BEVAR
2.4. Technical Procedure for Embo F/BEVAR
3. Results
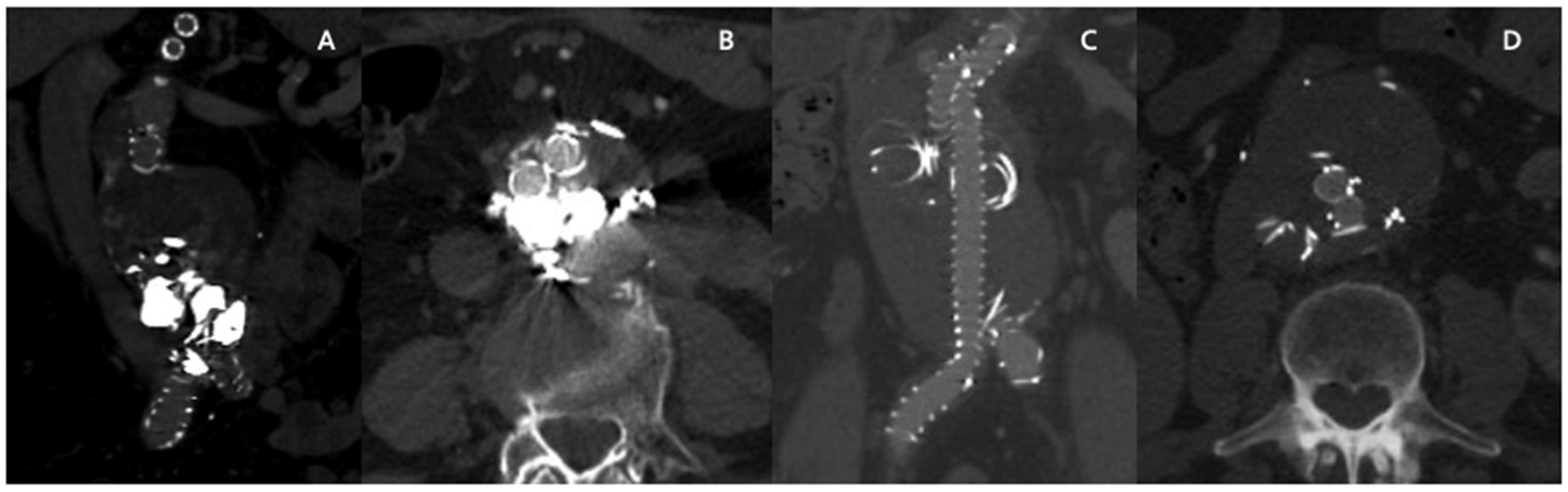
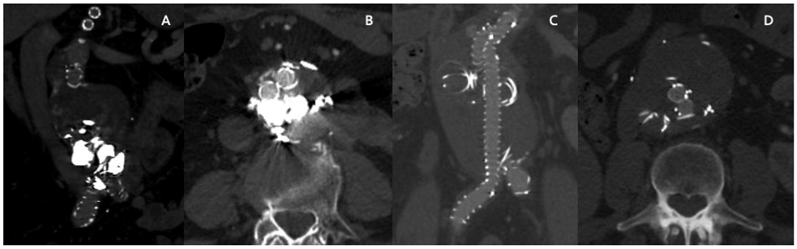
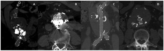
Embo F/BEVAR Case Descriptions and Preliminary Results
4. Discussion
Study Limitations
5. Conclusions
Author Contributions
Funding
Institutional Review Board Statement
Informed Consent Statement
Data Availability Statement
Conflicts of Interest
References
- Katsargyris, A.; Lenhardt Michael Florian, C.; Marques de Marino, P.; Botos, B.; Verhoeven, E.L. Reasons for and Outcomes of Open Abdominal Aortic Repair in the Endovascular Era. Ann. Vasc. Surg. 2021, 73, 417–422. [Google Scholar] [CrossRef] [PubMed]
- Lijftogt, N.; Vahl, A.C.; Wilschut, E.D.; Elsman, B.; Amodio, S.; van Zwet, E.; Leijdekkers, V.; Wouters, M.; Hamming, J. Adjusted Hospital Outcomes of Abdominal Aortic Aneurysm Surgery Reported in the Dutch Surgical Aneurysm Audit. Eur. J. Vasc. Endovasc. Surg. 2017, 53, 520–532. [Google Scholar] [CrossRef] [PubMed]
- Sajid, M.S.; Desai, M.; Haider, Z.; Baker, D.M.; Hamilton, G. Endovascular aortic aneurysm repair (EVAR) has significantly lower perioperative mortality in comparison to open repair: A systematic review. Asian J. Surg. 2008, 31, 119–123. [Google Scholar] [CrossRef] [PubMed]
- Powell, J.T.; Sweeting, M.J.; Ulug, P.; Blankensteijn, J.D.; A Lederle, F.; Becquemin, J.-P.; Greenhalgh, R.M.; Beard, J.D.; Buxton, M.J.; Brown, L.C.; et al. Meta-analysis of individual-patient data from EVAR-1, DREAM, OVER and ACE trials comparing outcomes of endovascular or open repair for abdominal aortic aneurysm over 5 years. Br. J. Surg. 2017, 104, 166–178. [Google Scholar] [CrossRef]
- Xodo, A.; D’Oria, M.; Squizzato, F.; Antonello, M.; Grego, F.; Bonvini, S.; Milite, D.; Frigatti, P.; Cognolato, D.; Veraldi, G.F.; et al. Early and midterm outcomes following open surgical conversion after failed endovascular aneurysm repair from the “Italian North-easT RegIstry of surgical Conversion AfTer Evar” (INTRICATE). J. Vasc. Surg. 2022, 75, 153–161.e2. [Google Scholar] [CrossRef]
- van Schaik, T.G.; Yeung, K.K.; Verhagen, H.J.; de Bruin, J.L.; van Sambeek, M.R.; Balm, R.; Zeebregts, C.J.; van Herwaarden, J.A.; Blankensteijn, J.D.; Grobbee, D.; et al. Long-term survival and secondary procedures after open or endovascular repair of abdominal aortic aneurysms. J. Vasc. Surg. 2017, 66, 1379–1389. [Google Scholar] [CrossRef]
- Sidloff, D.A.; Gokani, V.; Stather, P.W.; Choke, E.; Bown, M.J.; Sayers, R.D. Type II endoleak: Conservative management is a safe strategy. Eur. J. Vasc. Endovasc. Surg. 2014, 48, 391–399. [Google Scholar] [CrossRef]
- Mulay, S.; Geraedts, A.C.M.; Koelemay, M.J.W.; Balm, R.; Elshof, J.; Elsman, B.; Hamming, J.; Kropman, R.; Poyck, P.; Schurink, G.; et al. Type 2 Endoleak With or Without Intervention and Survival After Endovascular Aneurysm Repair. Eur. J. Vasc. Endovasc. Surg. 2021, 61, 779–786. [Google Scholar] [CrossRef]
- Piazza, M.; Frigatti, P.; Scrivere, P.; Bonvini, S.; Noventa, F.; Ricotta, J.J.; Grego, F.; Antonello, M. Role of aneurysm sac embolization during endovascular aneurysm repair in the prevention of type II endoleak-related complications. J. Vasc. Surg. 2013, 57, 934–941. [Google Scholar] [CrossRef]
- Jones, J.E.; Atkins, M.D.; Brewster, D.C.; Chung, T.K.; Kwolek, C.J.; LaMuraglia, G.M.; Hodgman, T.M.; Cambria, R.P. Persistent type 2 endoleak after endovascular repair of abdominal aortic aneurysm is associated with adverse late outcomes. J. Vasc. Surg. 2007, 46, 1–8. [Google Scholar] [CrossRef]
- Rizza, A.; Trimarchi, G.; Di Sibio, S.; Bastiani, L.; Murzi, M.; Palmieri, C.; Foffa, I.; Berti, S. Preliminary Outcomes of Zone 2 Thoracic Endovascular Aortic Repair Using Castor Single-Branched Stent Grafts: A Single-Center Experience. J. Clin. Med. 2023, 12, 7593. [Google Scholar] [CrossRef] [PubMed]
- Oderich, G.S.; Forbes, T.L.; Chaer, R.; Davies, M.G.; Lindsay, T.F.; Mastracci, T.; Singh, M.J.; Timaran, C.; Woo, E.Y. Reporting standards for endovascular aortic repair of aneurysms involving the renal-mesenteric arteries. J. Vasc. Surg. 2021, 73, 4S–52S. [Google Scholar] [CrossRef] [PubMed]
- Czerny, M.; Grabenwöger, M.; Berger, T.; Aboyans, V.; Della Corte, A.; Chen, E.P.; Desai, N.D.; Dumfarth, J.; A Elefteriades, J.; Etz, C.D.; et al. EACTS/STS Guidelines for diagnosing and treating acute and chronic syndromes of the aortic organ. Eur. J. Cardiothorac. Surg. 2024, 65, ezad426. [Google Scholar] [CrossRef] [PubMed]
- Gallitto, E.; Faggioli, G.; Melissano, G.; Fargion, A.; Isernia, G.; Lenti, M.; Pratesi, C.; Chiesa, R.; Gargiulo, M.; Luca, B.; et al. Preoperative and postoperative predictors of clinical outcome of fenestrated and branched endovascular repair for complex abdominal and thoracoabdominal aortic aneurysms in an Italian multicenter registry. J. Vasc. Surg. 2021, 74, 1795–1806.e6. [Google Scholar] [CrossRef]
- Xodo, A.; D’Oria, M.; Mendes, B.; Bertoglio, L.; Mani, K.; Gargiulo, M.; Budtz-Lilly, J.; Antonello, M.; Veraldi, G.F.; Pilon, F.; et al. Peri-Operative Management of Patients Undergoing Fenestrated-Branched Endovascular Repair for Juxtarenal, Pararenal and Thoracoabdominal Aortic Aneurysms: Preventing, Recognizing and Treating Complications to Improve Clinical Outcomes. J Pers Med. 2022, 12, 1018. [Google Scholar] [CrossRef]
- Mascoli, C.; Faggioli, G.; Gallitto, E.; Pini, R.; Fenelli, C.; Cercenelli, L.; Marcelli, E.; Gargiulo, M. Tailored Sac Embolization During EVAR for Preventing Persistent Type II Endoleak. Ann. Vasc. Surg. 2021, 76, 293–301. [Google Scholar] [CrossRef]
- Squizzato, F.; Antonello, M.; Modena, M.; Forcella, E.; Colacchio, E.C.; Grego, F.; Piazza, M. Fate of primary determinate and indeterminate target vessel endoleaks after fenestrated-branched endovascular aortic repair. J. Vasc. Surg. 2024, 79, 207–216.e4. [Google Scholar] [CrossRef]
- D’Oria, M.; Oderich, G.S.; Tenorio, E.R.; Kärkkäinen, J.M.; Mendes, B.C.; Macedo, T.A.; Vrtiska, T.; DeMartino, R.R. Natural history of isolated type II endoleaks in patients treated by fenestrated-branched endovascular repair for pararenal and thoracoabdominal aortic aneurysms. J. Vasc. Surg. 2020, 72, 44–54. [Google Scholar] [CrossRef]
- Gallitto, E.; Faggioli, G.L.; Campana, F.; Feroldi, F.M.; Cappiello, A.; Caputo, S.; Pini, R.; Gargiulo, M. Type II endoleaks after fenestrated/branched endografting for juxtarenal and pararenal aortic aneurysms. J. Vasc. Surg. 2024, 79, 1295–1304.e2. [Google Scholar] [CrossRef]
- Piazza, M.; Squizzato, F.; Zavatta, M.; Menegolo, M.; Ricotta, J.J.; Lepidi, S.; Grego, F.; Antonello, M. Outcomes of endovascular aneurysm repair with contemporary volume-dependent sac embolization in patients at risk for type II endoleak. J. Vasc. Surg. 2016, 63, 32–38. [Google Scholar] [CrossRef]
- Pilon, F.; Tosato, F.; Danieli, D.; Campanile, F.; Zaramella, M.; Milite, D. Intrasac fibrin glue injection after platinum coils placement: The efficacy of a simple intraoperative procedure in preventing type II endoleak after endovascular aneurysm repair. Interact. Cardiovasc. Thorac. Surg. 2010, 11, 78–82. [Google Scholar] [CrossRef] [PubMed]
- Chaikof, E.; Blankensteijn, J. Reporting standards for endovascular aortic aneurysm repair. J. Vasc. Surg. 2002, 35, 1048–1060. [Google Scholar] [CrossRef]
- Squizzato, F.; Antonello, M.; Forcella, E.; Coppadoro, S.; Colacchio, C.; Xodo, A.; Grego, F.; Piazza, M. Geometrical determinants of target vessel instability in fenestrated endovascular aortic repair. J. Vasc. Surg. 2022, 76, 335–343.e2. [Google Scholar] [CrossRef] [PubMed]
- Patel, R.; Sweeting, M.J.; Powell, J.T.; Greenhalgh, R.M. Endovascular versus open repair of abdominal aortic aneurysm in 15-years’ follow-up of the UK endovascular aneurysm repair trial 1 (EVAR trial 1): A randomised controlled trial. Lancet 2016, 388, 2366–2374. [Google Scholar] [CrossRef] [PubMed]
- DeMartino, R.R.; Breite, M.D.; Neal, D.; Mendes, B.C.; Colglazier, J.J.; Stone, D.H.; Scali, S.T. Incidence, reintervention, and survival associated with type II endoleak at hospital discharge after elective endovascular aneurysm repair in the Vascular Quality Initiative. J. Vasc. Surg. 2023, 78, 679–686.e1. [Google Scholar] [CrossRef]
- Bastos Gonçalves, F. Beat the Inertia: Level 1 Evidence for the Management of Type II Endoleaks is Indispensable. Eur. J. Vasc. Endovasc. Surg. 2021, 61, 787. [Google Scholar] [CrossRef]
- Stavropoulos, S.W.; Park, J.; Fairman, R.; Carpenter, J. Type 2 endoleak embolization comparison: Translumbar embolization versus modified transarterial embolization. J. Vasc. Interv. Radiol. 2009, 20, 1299–1302. [Google Scholar] [CrossRef]
- Abularrage, C.J.; Patel, V.I.; Conrad, M.F.; Schneider, E.B.; Cambria, R.P.; Kwolek, C.J. Improved results using Onyx glue for the treatment of persistent type 2 endoleak after endovascular aneurysm repair. J. Vasc. Surg. 2012, 56, 630–636. [Google Scholar] [CrossRef]
- Sheehan, M.K.; Hagino, R.T.; Canby, E.; Wholey, M.H.; Postoak, D.; Suri, R.; Toursarkissian, B. Type 2 endoleaks after abdominal aortic aneurysm stent grafting with systematic mesenteric and lumbar coil embolization. Ann. Vasc. Surg. 2006, 20, 458–463. [Google Scholar] [CrossRef]
- Fabre, D.; Fadel, E.; Brenot, P.; Hamdi, S.; Caro, A.G.; Mussot, S.; Becquemin, J.-P.; Angel, C. Type II endoleak prevention with coil embolization during endovascular aneurysm repair in high-risk patients. J. Vasc. Surg. 2015, 62, 1–7. [Google Scholar] [CrossRef]
- Lee, K.; Park, H.S.; Lee, T. Rescue Therapy of Inadvertent Coil Migration for Endovascular Treatment of Type II Endoleak. Vasc. Spec. Int. 2016, 32, 22. [Google Scholar] [CrossRef]
- Ioannou, C.V.; Tsetis, D.K.; Kardoulas, D.G.; Katonis, P.G.; Katsamouris, A.N. Spinal Cord Ischemia After Endovascular Embolization of a Type II Endoleak Following Endovascular Aneurysm Repair. Ann. Vasc. Surg. 2012, 26, e1–e860. [Google Scholar] [CrossRef] [PubMed]
- Sickels, A.D.; Novak, Z.; Scali, S.T.; John, R.S.; Pearce, B.J.; Rowse, J.W.; Beck, A.W. A prevention protocol reduces spinal cord ischemia in patients undergoing branched/fenestrated endovascular aortic repair. J. Vasc. Surg. 2025, 81, 29–37.e4. [Google Scholar] [CrossRef] [PubMed]
- Reilly, B.; Rivero, M.; Dosluoglu, H.H. A simplified method of pre-emptive perigraft aortic sac embolization to prevent type II endoleak using the Excluder endograft. J. Vasc. Surg. Cases Innov. Tech. 2019, 5, 509–511. [Google Scholar] [CrossRef]
- Holden, A.; Hill, A.A.; Khashram, M.; Heyligers, J.M.; Wiersema, A.M.; Hayes, P.D.; Reijnen, M.M. One-year follow-up after active aortic aneurysm sac treatment with shape memory polymer devices during endovascular aneurysm repair. J. Vasc. Surg. 2024, 79, 1090–1100.e4. [Google Scholar] [CrossRef]
- Massmann, A.; Fries, P.; Shayesteh-Kheslat, R.; Buecker, A.; Berg, P.; Frenzel, F. Feasibility of aortic aneurysm sac embolization using a novel shape memory polymer embolic device. Eur. Radiol. Exp. 2023, 7, 12. [Google Scholar] [CrossRef] [PubMed]




| No. of Risk Factors | Description | Total Number of Afferent Vessels | FU Months | Endoleaks Detected/ Sac Expansion | |
|---|---|---|---|---|---|
| Case 1 | 5 |
| 14 | 8 | Type 2 EL, no sac expansion |
| Case 2 | 3 |
| 12 | 12 | No ELs |
| Case 3 | 3 |
| 15 | 12 | No ELs, sac shrinkage |
| Case 4 | 2 |
| 10 | 18 | No ELs |
| Case 5 | 2 |
| 9 | 12 | No ELs |
| TAV (cm3) | RLV (cm3) | Thrombus % | EV (cm3) | RLTV (cm3) | N° of Coils Planned * | N° of Coils Implanted | |
|---|---|---|---|---|---|---|---|
| Case 1 | 309 | 270 | 12 | 55 | 215 | 36 | 15 |
| Case 2 | 128 | 70 | 45 | 30 | 40 | 7 | 10 |
| Case 3 | 435 | 142 | 67 | 51 | 91 | 16 | 16 |
| Case 4 | 242 | 75 | 70 | 44 | 30 | 5 | 6 |
| Case 5 | 162 | 66 | 40 | 51 | 45 | 8 | 8 |
Disclaimer/Publisher’s Note: The statements, opinions and data contained in all publications are solely those of the individual author(s) and contributor(s) and not of MDPI and/or the editor(s). MDPI and/or the editor(s) disclaim responsibility for any injury to people or property resulting from any ideas, methods, instructions or products referred to in the content. |
© 2025 by the authors. Licensee MDPI, Basel, Switzerland. This article is an open access article distributed under the terms and conditions of the Creative Commons Attribution (CC BY) license (https://creativecommons.org/licenses/by/4.0/).
Share and Cite
Xodo, A.; Pilon, F.; Gregio, A.; Ongaro, G.; Desole, A.; Barbui, F.; Romagnoni, G.; Milite, D. Technical Considerations and Preliminary Experience of Intraprocedural Aneurysm Sac Embolization During Fenestrated and Branched EVAR (Embo F/BEVAR Technique): A Case Series. J. Clin. Med. 2025, 14, 2709. https://doi.org/10.3390/jcm14082709
Xodo A, Pilon F, Gregio A, Ongaro G, Desole A, Barbui F, Romagnoni G, Milite D. Technical Considerations and Preliminary Experience of Intraprocedural Aneurysm Sac Embolization During Fenestrated and Branched EVAR (Embo F/BEVAR Technique): A Case Series. Journal of Clinical Medicine. 2025; 14(8):2709. https://doi.org/10.3390/jcm14082709
Chicago/Turabian StyleXodo, Andrea, Fabio Pilon, Alessandro Gregio, Giulia Ongaro, Alessandro Desole, Federico Barbui, Giovanni Romagnoni, and Domenico Milite. 2025. "Technical Considerations and Preliminary Experience of Intraprocedural Aneurysm Sac Embolization During Fenestrated and Branched EVAR (Embo F/BEVAR Technique): A Case Series" Journal of Clinical Medicine 14, no. 8: 2709. https://doi.org/10.3390/jcm14082709
APA StyleXodo, A., Pilon, F., Gregio, A., Ongaro, G., Desole, A., Barbui, F., Romagnoni, G., & Milite, D. (2025). Technical Considerations and Preliminary Experience of Intraprocedural Aneurysm Sac Embolization During Fenestrated and Branched EVAR (Embo F/BEVAR Technique): A Case Series. Journal of Clinical Medicine, 14(8), 2709. https://doi.org/10.3390/jcm14082709

