Androgen Insensitivity Syndrome with Bilateral Gonadal Sertoli Cell Lesions, Sertoli–Leydig Cell Tumor, and Paratesticular Leiomyoma: A Case Report and First Systematic Literature Review
Abstract
1. Introduction
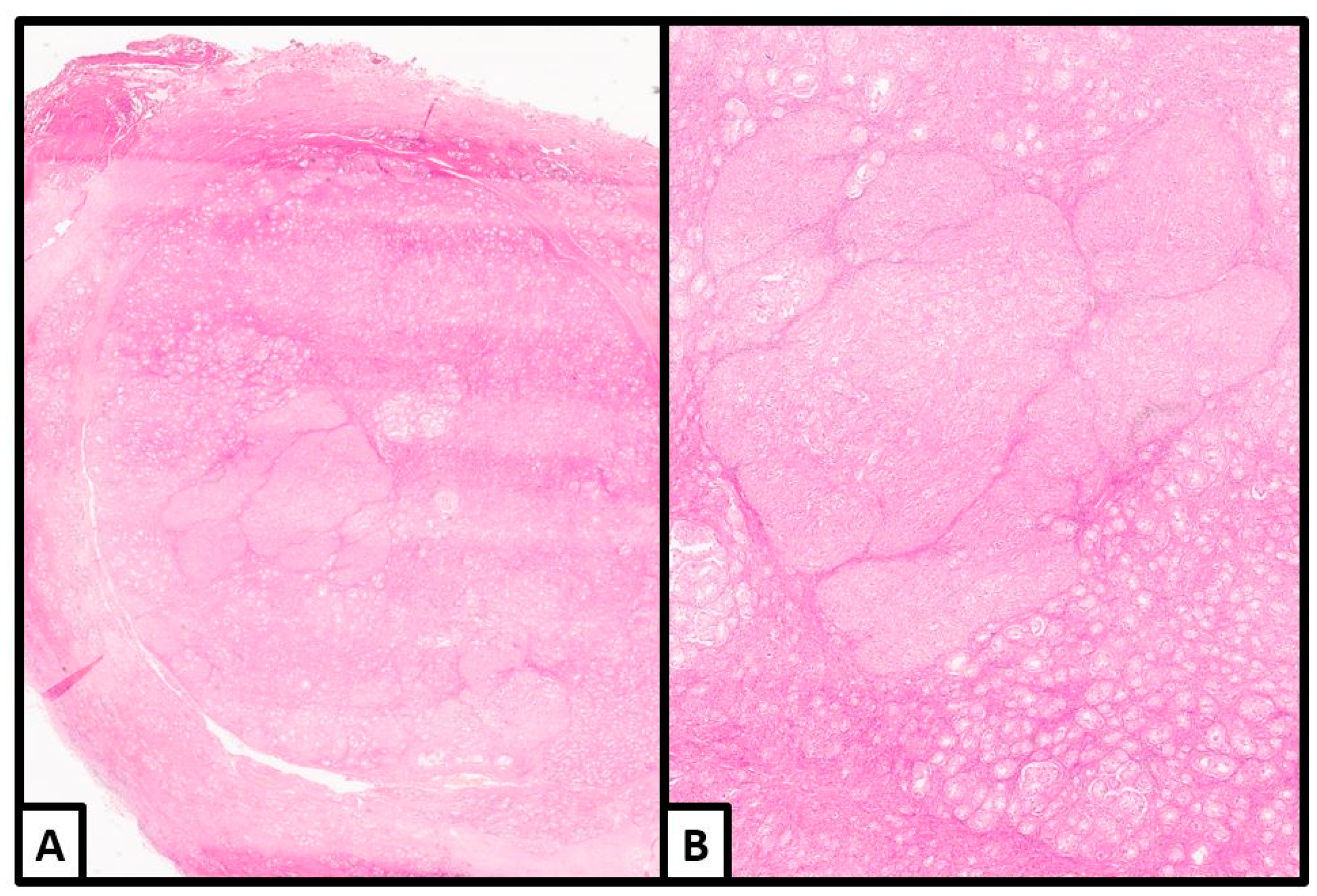
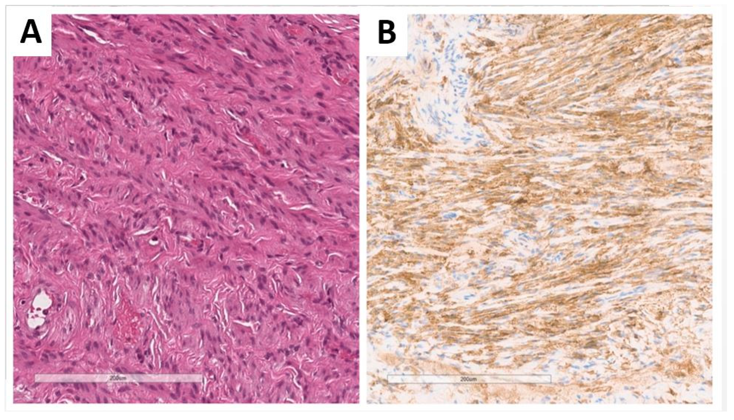
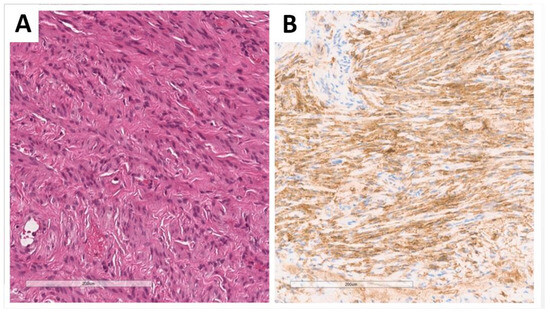
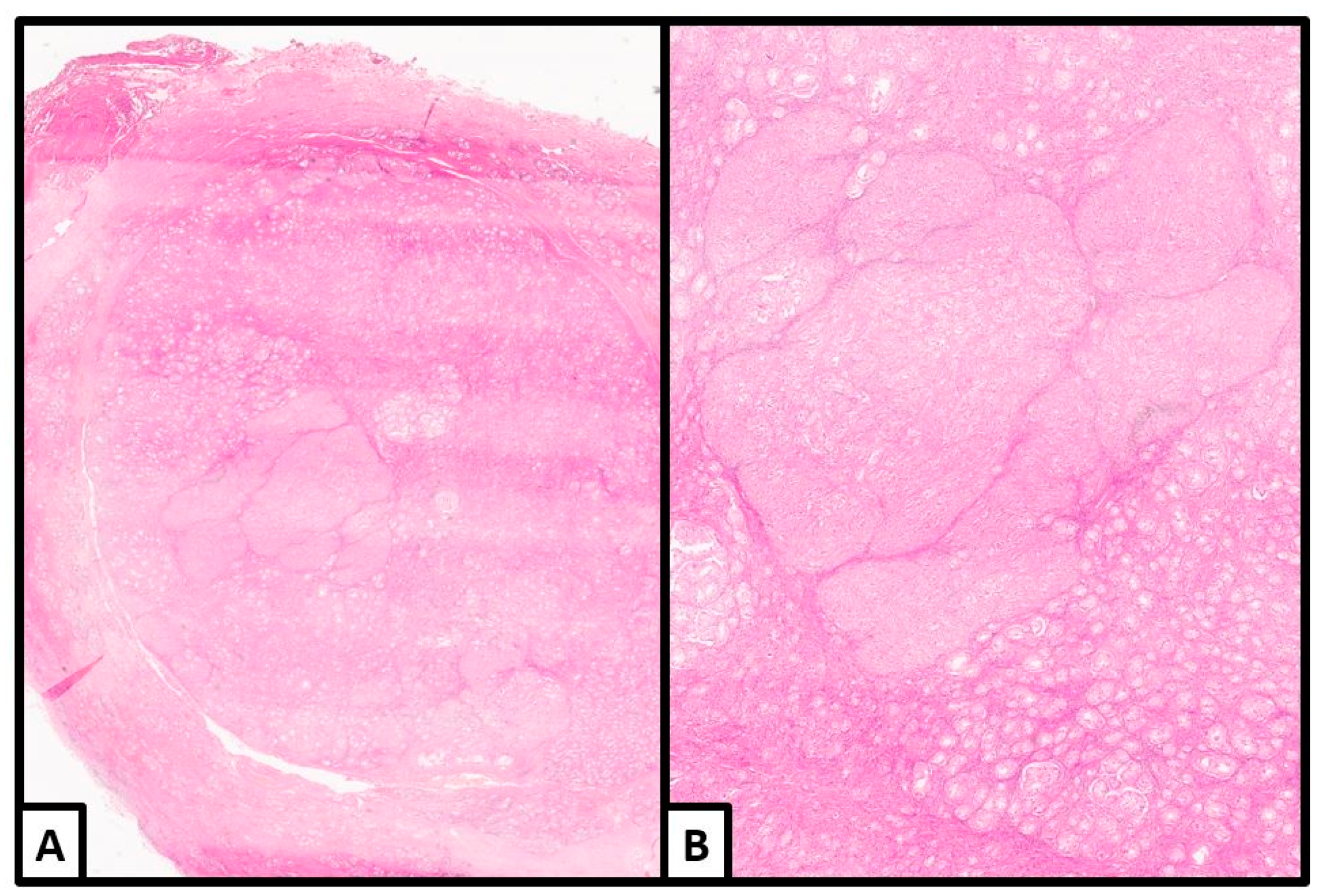
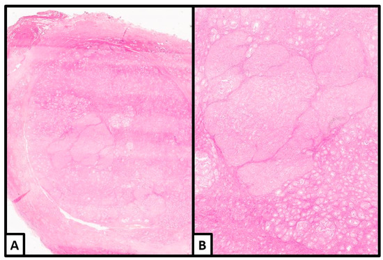
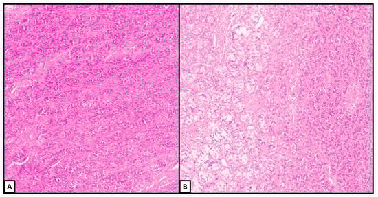
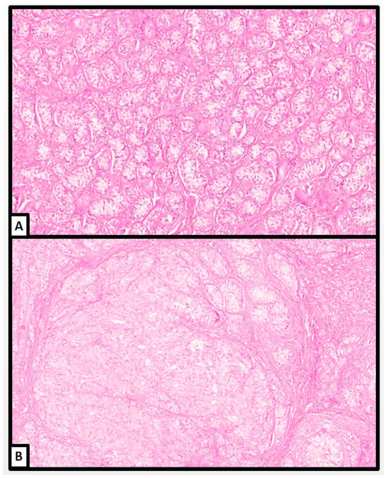
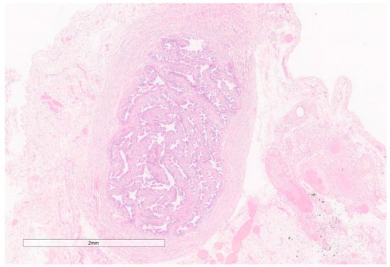
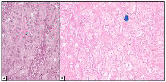
2. Case Description
3. Systematic Literature Review
3.1. Systematic Literature Review Method
- Populations: human patients with AIS with a diagnosis of a gonadal Sertoli cell lesion;
- Intervention: any;
- Comparison: none;
- Outcomes: clinical outcomes (status at last follow-up, and survival and recurrence rates).
- Eligibility/inclusion criteria: studies describing cases of patients with AIS with gonadal lesions containing Sertoli cells.
- Exclusion criteria: unclear tumor diagnosis; unclear AIS diagnosis; non-analyzable results (aggregated data); unavailable data (from full-text or abstracts).
3.2. Systematic Literature Review Results: Overview
3.3. SCHs
3.4. SCAs and SCNs
3.5. SCTs and SLCTs
3.6. Immunohistochemical Results
3.7. Other Müllerian Remnants, Smooth Muscle Lesions, and Leiomyomas
4. Discussion
5. Conclusions
Author Contributions
Funding
Institutional Review Board Statement
Informed Consent Statement
Data Availability Statement
Acknowledgments
Conflicts of Interest
References
- Jarzabek, K.; Philibert, P.; Koda, M.; Sulkowski, S.; Kotula-Balak, M.; Bilinska, B.; Kottler, M.-L.; Wolczynski, S.; Sultan, C. Primary amenorrhea in a young Polish woman with complete androgen insensitivity syndrome and Sertoli–Leydig cell tumor: Identification of a new androgen receptor gene mutation and evidence of aromatase hyperactivity and apoptosis dysregulation within the tumor. Gynecol. Endocrinol. 2007, 23, 499–504. [Google Scholar] [CrossRef] [PubMed]
- Scully, R.; Young, R.H.; Clement, P.B. Androgen insensitivity syndrome. In Tumors of the Ovary, Maldeveloped Gonads Fallopian Tube and Broad Ligament; Rosai, J., Ed.; AFIP: Washington, DC, USA, 1998; pp. 401–408. [Google Scholar]
- Mongan, N.P.; Tadokoro-Cuccaro, R.; Bunch, T.; Hughes, I.A. Androgen insensitivity syndrome. Best Pract. Res. Clin. Endocrinol. Metab. 2015, 29, 569–580. [Google Scholar] [CrossRef] [PubMed]
- Boehmer, A.L.; Brinkmann, O.; Brüggenwirth, H.; van Assendelft, C.; Otten, B.J.; Verleun-Mooijman, M.C.; Niermeijer, M.F.; Brunner, H.G.; Rouwé, C.W.; Waelkens, J.J.; et al. Genotype versus phenotype in families with androgen insensitivity syndrome. J. Clin. Endocrinol. Metab. 2001, 86, 4151–4160. [Google Scholar] [CrossRef] [PubMed]
- Nistal, M.; Paniagua, R.; González-Peramato, P.; Reyes-Múgica, M. Perspectives in Pediatric Pathology, Chapter 11. Testicular Pathology of Hamartomatous Origin. Pediatr. Dev. Pathol. 2016, 19, 1–11. [Google Scholar] [CrossRef]
- Rutgers, J.L.; Scully, R.E. The androgen insensitivity syndrome (testicular feminization): A clinicopathologic study of 43 cases. Int. J. Gynecol. Pathol. 1991, 10, 126–144. [Google Scholar] [CrossRef]
- Kommoss, F.; Oliva, E.; Bittinger, F.; Kirkpatrick, C.J.; Amin, M.B.; Bhan, A.K.; Young, R.H.; Scully, R.E. Inhibin-α, CD99, HEA125, PLAP, and chromogranin immunoreactivity in testicular neoplasms and the androgen insensitivity syndrome. Hum. Pathol. 2000, 31, 1055–1061. [Google Scholar] [CrossRef]
- Rasheed, M.W.; Idowu, N.A.; Adekunle, A.A.; Olarewaju, J.O.; Oduola-Owoo, L.T.; Odetayo, F.O.; Omolade, F.A.; Opeyemi, A.T. Complete androgen insensitivity syndrome with Sertoli cell tumour in a 27-year-old married woman: A case report. Afr. J. Urol. 2003, 29, 26. [Google Scholar] [CrossRef]
- Fernandes, G.; Mhashete, P.; Desale, M. Disorders of Sexual DevelopmentPathological Profile of 45 Cases at a Tertiary Care Centre. J. Clin. Diagn. Res. 2022, 16, ER7–ER13. [Google Scholar] [CrossRef]
- Wei, Q.; DA, Z.; Ciren, Q.-Z.; Huo, Z.; Zuo, P. Androgen Insensitivity Syndrome with Bilateral Cryptorchidism and Seminoma in Tibet:Report of One Case. Zhongguo Yi Xue Ke Xue Yuan Xue Bao 2022, 44, 173–176. [Google Scholar] [CrossRef]
- Liu, Q.; Zhou, H.-M.; Yang, J.-X.; Cao, D.-Y.; Shen, K.; Lang, J.-H. Clinical Characterization of Patients with Ovarian Mass Combined with Dysplasia of Secondary Sexual Characteristics. Zhongguo Yi Xue Ke Xue Yuan Xue Bao 2022, 44, 17–23. [Google Scholar] [CrossRef]
- Gamcová, V.; Eim, J.; Meixnerová, I.; Hudeček, R. Complete androgen insensitivity syndrome—Rare case of malignancy of dysgenetic gonads. Ceska Gynekol. 2022, 87, 184–187. [Google Scholar] [CrossRef] [PubMed]
- Karmazyn, B.; Salama, A.; Jennings, S.; Kaefer, M. Ultrasound of retained gonads in children and young women with androgen insensitivity syndrome. J. Pediatr. Urol. 2021, 17, 797–802. [Google Scholar] [CrossRef] [PubMed]
- Mukhopadhyay, I.; Aggarwal, R.; Mutreja, D.; Maheswari, S. Magnetic Resonance Imagery Findings in Androgen Insensitivity: A case series. Sultan Qaboos Univ. Med. J. 2021, 21, 472–476. [Google Scholar] [CrossRef]
- Izawa, M.; Hisamatsu, E.; Yoshino, K.; Yoshida, M.; Sato, T.; Narumi, S.; Hasegawa, T.; Hamajima, T. Complete androgen insensitivity syndrome with accelerated onset of puberty due to a Sertoli cell tumor. Clin. Pediatr. Endocrinol. 2021, 30, 99–104. [Google Scholar] [CrossRef] [PubMed]
- Ram, M.; Soni, D.K.; Khan, S.; Anand, K. Complete Androgen Insensitivity Syndrome Presenting as Inguinal Hernia—A Diagnostic Dilemma. Indian J. Surg. 2021, 83, 770–772. [Google Scholar] [CrossRef]
- Duranteau, L.; Rapp, M.; van de Grift, T.C.; Hirschberg, A.L.; Nordenskjöld, A. Participant- and Clinician-Reported Long-Term Outcomes After Surgery in Individuals with Complete Androgen Insensitivity Syndrome. J. Pediatr. Adolesc. Gynecol. 2021, 34, 168–175. [Google Scholar] [CrossRef]
- Slowikowska-Hilczer, J.; Szarras-Czapnik, M.; Duranteau, L.; Rapp, M.; Walczak-Jedrzejowska, R.; Marchlewska, K.; Oszukowska, E.; Nordenstrom, A. Risk of gonadal neoplasia in patients with disorders/differences of sex development. Cancer Epidemiol. 2020, 69, 101800. [Google Scholar] [CrossRef] [PubMed]
- Noorian, S.; Aghamahdi, F. Estrogen Production by Sertoli Cell Tumor in Unusual Case of Testicular Feminization Syn-drome. In Proceedings of the 58th Annual ESPE Abstracts, Vienna, Austria, 19–21 September 2019; Volume 92, p. P3-328. Available online: https://abstracts.eurospe.org/hrp/0092/hrp0092p3-328 (accessed on 30 December 2023).
- Jarzabek, K.; Koda, M.; Chrusciel, M.; Kanczuga-Koda, L.; Sobczynska-Tomaszewska, A.; Rahman, N.A.; Wolczynski, S. Features of the fetal gonad in androgen synthesis in the postpubertal testis are preserved in complete androgen insensitivity syndrome due to a novel genetic splice site donor variant in androgen receptor gene intron 1. J. Steroid Biochem. Mol. Biol. 2019, 193, 105420. [Google Scholar] [CrossRef]
- Coutifaris, C.; Kilcoyne, A.; Feldman, A.S.; Sabatini, M.E.; Oliva, E. Case 29-2018: A 31-Year-Old Woman with Infertility. N. Engl. J. Med. 2018, 379, 1162–1172, Erratum in N. Engl. J. Med. 2019, 380, 697. [Google Scholar] [CrossRef]
- Hua, K.H.; Yang, L.; Zhang, X.W.; Bai, W.J.; Li, Q.; Xu, T. Complete androgen insensitivity syndrome associated with vesical fistula: A case report and literature review. Beijing Da Xue Xue Bao Yi Xue Ban 2017, 49, 724–729. [Google Scholar]
- de Souza, R.F.; da Silva, J.P.; Balla, B.V.; Ferreira, R.N.; Filho, A.C. Bilateral Sertoli Cell Tumors in a Patient with Androgen Insensitivity Syndrome. Case Rep. Obstet. Gynecol. 2017, 2017, 8357235. [Google Scholar] [CrossRef] [PubMed]
- Thirunavukkarasu, B.; Mridha, A.R.; Malhotra, N.; Chandrashekhara, S.H. Complete androgen insensitivity syndrome with concomitant seminoma and Sertoli cell adenoma: An unusual combination. BMJ Case Rep. 2016, 2016, bcr2016217229. [Google Scholar] [CrossRef] [PubMed]
- Mesa, H.; Gilles, S.; Datta, M.W.; Murugan, P.; Larson, W.; Dachel, S.; Manivel, J.C. Comparative immunomorphology of testicular Sertoli and sertoliform tumors. Hum. Pathol. 2017, 61, 181–189. [Google Scholar] [CrossRef] [PubMed]
- Chaudhry, S.; Tadokoro-Cuccaro, R.; Hannema, S.; Acerini, C.; Hughes, I. Frequency of gonadal tumours in complete androgen insensitivity syndrome (CAIS): A retrospective case-series analysis. J. Pediatr. Urol. 2017, 13, 498.e1–498.e6. [Google Scholar] [CrossRef] [PubMed]
- Raina, N.; Rana, A.; Kaushal, V.; Pal, A.; Chauhan, P. A rare case of bilateral sertoli cell adenoma in gonads associated with unilateral serous cyst in a patient with complete androgen insensitivity syndrome. Clin. Cancer Investig. J. 2018, 7, 30–33. [Google Scholar] [CrossRef]
- Savaş-Erdeve, S.; Aycan, Z.; Keskin, M.; Çetinkaya, S.; Karaman, A.; Apaydın, S.; Çakmakçı, E. Complete androgen insensitivity syndrome associated with bilateral sertoli cell adenomas and unilateral paratesticular leiomyoma: A case report. Turk. J. Pediatr. 2016, 58, 654–657. [Google Scholar] [CrossRef] [PubMed][Green Version]
- Esposito, C.; Escolino, M.; Bagnara, V.; Eckoldt-Wolke, F.; Baglaj, M.; Saxena, A.; Patkowski, D.; Schier, F.; Settimi, A.; Martelli, H.; et al. Risk of Malignancy and Need for Surgery in Pediatric Patients with Morris or Y-chromosome Turner Syndrome: A Multicenter Survey. J. Pediatr. Adolesc. Gynecol. 2015, 28, 333–336. [Google Scholar] [CrossRef]
- Pallisera, A.; Jorba, R.; Zárate, L.; Català, J.; Moysset, I.; Jimeno, M. Sertoli-Leydig tumor and male pseudohermaphroditism discovered during inguinal hernia surgery. Open Med. 2014, 9, 653–656. [Google Scholar] [CrossRef]
- Fernandez-Vega, I.; Santos-Juanes, J.; García-Pravia, C. Bilateral Sertoli cell adenoma in gonads, associated with serous cystadenoma. Pol. J. Pathol. 2014, 2, 154–156. [Google Scholar] [CrossRef]
- Verdecchia, P.; Escribano, G.; García, T.; Cusiné, L.; Mora, I.; Casalots, J.; Guerra, A. Bilateral Sertoli cell adenoma in a patient with androgen insensitivity syndrome. Adenoma de células de Sertoli bilateral en paciente con síndrome de insensibilidad a los andrógenos. Prog. Obstet. Ginecol. 2014, 57, 413–417. [Google Scholar] [CrossRef]
- Zare, M.A.; Kalantari, M.R.; Asadpour, A.A.; Kamalati, A. Bilateral laparoscopic gonadectomy in a patient with complete androgen insensitivity syndrome and bilateral sertoli-leydig cell tumor: A case report and brief review of the literature. Nephro-Urol. Mon. 2014, 6, e15278. [Google Scholar] [CrossRef]
- Fagouri, H.; Moussaoui, D.R.; Kouach, J.; Babahabib, A.; Oukabli, M.; Ameur, A.; Albouzidi, A.; Dehayni, M. Complete Androgen Insensitivity Syndrome with a Sertoli-Leydig Cell Tumor. J. Pediatr. Adolesc. Gynecol. 2014, 27, e113–e115. [Google Scholar] [CrossRef] [PubMed]
- Nakhal, R.S.; Hall-Craggs, M.; Freeman, A.; Kirkham, A.; Conway, G.S.; Arora, R.; Woodhouse, C.R.J.; Wood, D.N.; Creighton, S.M. Evaluation of retained testes in adolescent girls and women with complete androgen insensitivity syndrome. Radiology 2013, 268, 153–160. [Google Scholar] [CrossRef]
- Chin, V.L.; Sheffer-Babila, S.; Lee, T.A.; Tanaka, K.; Zhou, P. A case of complete androgen insensitivity syndrome with a novel androgen receptor mutation. J. Pediatr. Endocrinol. Metab. 2012, 25, 1145–1151. [Google Scholar] [CrossRef]
- Lin, M.H.; Shamszadeh, M.; Pitukcheewanont, P. Sertoli cell tumor and intratubular germ cell neoplasia located in separate gonads in an adolescent patient with complete androgen insensitivity: A case report and review of literature. J. Pediatr. Endocrinol. Metab. 2012, 25, 547–551. [Google Scholar] [CrossRef] [PubMed]
- Siminas, S.; Kokai, G.; Kenny, S. Complete androgen insensitivity syndrome associated with bilateral sertoli cell adenomas and paratesticular leiomyomas: Case report and review of the literature. J. Pediatr. Urol. 2013, 9, e31–e34. [Google Scholar] [CrossRef] [PubMed]
- Gold, A.M.; Zucker, N.A.; Shahzad, M.M.; Kushner, D.M. Community screening leading to the diagnosis of androgen insensitivity syndrome at the age of 65. Gynecol. Oncol. Case Rep. 2012, 3, 23–25. [Google Scholar] [CrossRef]
- Sharma, P.; Karki, B.; Gupta, S.; Shrestha, N.; Ghimire, P.G.; Goel, R. Complete androgen insensitivity syndrome with sertoli cell adenoma: A case report and review of literature. Nepal. J. Radiol. 2011, 1, 61–64. [Google Scholar] [CrossRef]
- Özülker, T.; Özpaçacı, T.; Özülker, F.; Özekici, U.; Bilgiç, R.; Mert, M. Incidental detection of Sertoli–Leydig cell tumor by FDG PET/CT imaging in a patient with androgen insensitivity syndrome. Ann. Nucl. Med. 2010, 24, 35–39. [Google Scholar] [CrossRef]
- Nichols, J.L.; Bieber, E.J.; Gell, J.S. Case of sisters with complete androgen insensitivity syndrome and discordant Müllerian remnants. Fertil. Steril. 2009, 91, 932.e15–932.e18. [Google Scholar] [CrossRef]
- Bisceglia, M.; Magro, G.; Ben Dor, D. Familial complete androgen insensitivity syndrome (Morris syndrome or testicular feminization syndrome) in 2 sisters. Adv. Anat. Pathol. 2008, 15, 113–117. [Google Scholar] [CrossRef]
- Stewart, C.J.R.; Baker, E.; Beaton, C.; Crook, M.; Peverall, J.; Wallace, S. Detection of Y-chromosome in gonadal tumours using fluorescence in situ hybridization: Diagnostic value in intersex conditions including older patients with clinically unsuspected androgen insensitivity syndrome. Histopathology 2008, 52, 175–182. [Google Scholar] [CrossRef]
- Choi, M.S.; Kim, D.W.; Jin, S.-Y.; Park, S.M.; Lee, D.W. A Sertoli-Leydig cell tumor in a patient with complete androgen insensitivity syndrome—A case report. Korean J. Pathol. 2007, 41, 59–62. [Google Scholar]
- Makni, S.K.; Hachicha, L.M.; Ellouze, S.; Mnif, M.; Khabir, A.; Ketata, H.; Abid, M.; Boudawara, T.S. Syndrome du testicule féminisant associé à des hamartomes multiples et à des léiomyomes paratesticulaires bilatéraux [Feminizing testicular syndrome with multiple hamartomas and bilateral paratesticular leiomyomas]. Rev. Med. Interne 2005, 26, 980–983. [Google Scholar] [CrossRef] [PubMed]
- Ignacak, M.; Turek-Plewa, J.; Limon, J.; Trzeciak, W. A novel c.C2754?>?T transition in the androgen receptor gene introduces the premature termination codon Q798X and results in a truncated form of the receptor. Gynecol. Endocrinol. 2004, 19, 178–181. [Google Scholar] [CrossRef] [PubMed]
- Baksu, A.; Kabukcuoglu, F.; Baksu, B.; Goker, N. Bilateral sertoli cell adenoma and serous cyst in a patient with androgen insensitivity syndrome. Eur. J. Obstet. Gynecol. Reprod. Biol. 2004, 114, 104–107. [Google Scholar] [CrossRef] [PubMed]
- Nguyen, B.D. PET Imaging of Sertoli Cell Tumor in Androgen Insensitivity Syndrome. Clin. Nucl. Med. 2003, 28, 743–745. [Google Scholar] [CrossRef] [PubMed]
- Fleckenstein, G.H.; Gunawan, B.; Brinck, U.; Wuttke, W.; Emons, G. Simultaneous sertoli cell tumor and adenocarcinoma of the tunica vaginalis testis in a patient with testicular feminization. Gynecol. Oncol. 2002, 84, 460–463. [Google Scholar] [CrossRef] [PubMed]
- Ko, H.-M.; Chung, J.-H.; Lee, J.-H.; Jung, I.S.; Choi, I.S.; Juhng, S.-W.; Choi, C. Androgen receptor gene mutation associated with complete androgen insensitivity syndrome and sertoli cell adenoma. Int. J. Gynecol. Pathol. 2001, 20, 196–199. [Google Scholar] [CrossRef]
- Chen, C.-P.; Chern, S.-R.; Chen, B.-F.; Wang, W.; Hwu, Y.-M. Hamartoma in a pubertal patient with complete androgen insensitivity syndrome and R(831)X mutation of the androgen receptor gene. Fertil. Steril. 2000, 74, 182–183. [Google Scholar] [CrossRef]
- Wysocka, B.; Serkies, K.; Debniak, J.; Jassem, J.; Limon, J. Sertoli cell tumor in androgen insensitivity syndrome—A case report. Gynecol. Oncol. 1999, 75, 480–483. [Google Scholar] [CrossRef] [PubMed]
- Hawkyard, S.; Poon, P.; Morgan, D.R. Sertoli tumour presenting with stress incontinence in a patient with testicular feminization. BJU Int. 1999, 84, 382–383. [Google Scholar] [CrossRef] [PubMed]
- Regadera, J.; Martínez-García, F.; Paniagua, R.; Nistal, M. Androgen insensitivity syndrome: An immunohistochemical, ultrastructural, and morphometric study. Arch. Pathol. Lab. Med. 1999, 123, 225–234. [Google Scholar] [CrossRef] [PubMed]
- Lentz, S.S.; Cappellari, J.O. Postmenopausal diagnosis of testicular feminization. Am. J. Obstet. Gynecol. 1998, 179, 268–269. [Google Scholar] [CrossRef] [PubMed]
- Chan, A.; Chapman, W.; Oza, A.M. Unusual Presentation of Disorder of Sexual Differentiation. Int. J. Gynecol. Cancer 1997, 7, 329–331. [Google Scholar] [CrossRef]
- Knoke, I.; Jakubiczka, S.; Ottersen, T.; Göppinger, A.; Wieacker, P. A(870)E mutation of the androgen receptor gene in a patient with complete androgen insensitivity syndrome and sertoli cell tumor. Cancer Genet. Cytogenet. 1997, 98, 139–141. [Google Scholar] [CrossRef]
- Chantilis, S.J.; McQuitty, D.A.; Preminger, G.M.; Marshburn, P.B. Laparoscopic removal of gonads containing an occult seminoma in a woman with complete androgen resistance. J. Am. Assoc. Gynecol. Laparosc. 1994, 1, 277–282. [Google Scholar] [CrossRef]
- Bangsbøll, S.; Qvist, I.; Lebech, P.E.; Lewinsky, M. Testicular feminization syndrome and associated gonadal tumors in Denmark. Acta Obstet. Gynecol. Scand. 1992, 71, 63–66. [Google Scholar] [CrossRef]
- Bale, P.M.; Howard, N.J.; Wright, J.E. Male pseudohermaphroditism in XY children with female phenotype. Pediatr. Pathol. 1992, 12, 29–49. [Google Scholar] [CrossRef]
- Cassio, A.; Cacciari, E.; D’Errico, A.; Balsamo, A.; Grigioni, F.W.; Pascucci, M.G.; Bacci, F.; Tacconi, M.; Mancini, A.M. Incidence of intratubular germ cell neoplasia in androgen insensitivity syndrome. Eur. J. Endocrinol. 1990, 123, 416–422. [Google Scholar] [CrossRef]
- O’Dowd, J.; Gaffney, E.; Young, R. Malignant sex cord?stromal tumour in a patient with the androgen insensitivity syndrome. Histopathology 1990, 16, 279–282. [Google Scholar] [CrossRef]
- Ramaswamy, G.; Jagadha, V.; Tchertkoff, V. A testicular tumor resembling the sex cord with annular tubules in a case of the androgen insensitivity syndrome. Cancer 1985, 55, 1607–1611. [Google Scholar] [CrossRef]
- Detre, Z.; Bujdosó, G. Testicular feminization syndrom with sertoli cell adenoma. Pathol.-Res. Pract. 1984, 178, 403–405. [Google Scholar] [CrossRef]
- Moneta, E.; Benedetti Panici, P.L.; Sacco, F.; Pizzolato, G.P. Sertoli cell adenoma in Morris syndrome. Clin. Exp. Obstet. Gynecol. 1981, 8, 135–137. [Google Scholar] [PubMed]
- Richardson, G.S.; Robboy, S.J. Case records of the Massachusetts General Hospital. Weekly clinocopathological exercises. Case 8-1977. N. Engl. J. Med. 1977, 296, 439–444. [Google Scholar] [CrossRef]
- Damjanov, I.; Nesbitt, K.A.; Reardon, M.P.; Vidone, R.A. Giant sertoli cell adenoma in testicular feminization syndrome. Obstet. Gynecol. 1976, 48, 624–627. [Google Scholar] [PubMed]
- Nevin, N.C.; Willis, J.; Magee, R.A.; Adam, W.A. A family with the testicular feminisation syndrome. Ir. J. Med. Sci. 1976, 145, 353–358. [Google Scholar] [CrossRef] [PubMed]
- Connell, M.J.; Ramsey, H.E.; Whang-Peng, J.; Wiernik, P.H. Testicular feminization syndrome in three sibs: Emphasis on gonadal neoplasia. Am. J. Med. Sci. 1973, 265, 321–333. [Google Scholar] [CrossRef] [PubMed]
- Neubecker, R.D.; Theiss, E.A. Sertoli cell adenomas in patients with testicular feminization. Am. J. Clin. Pathol. 1962, 38, 52–59. [Google Scholar] [CrossRef] [PubMed][Green Version]
- Huang, H.; Wang, C.; Tian, Q. Gonadal tumour risk in 292 phenotypic female patients with disorders of sex development containing Y chromosome or Y-derived sequence. Clin. Endocrinol. 2017, 86, 621–627. [Google Scholar] [CrossRef] [PubMed]
- Jiang, J.-F.; Xue, W.; Deng, Y.; Tian, Q.-J.; Sun, A.-J. Gonadal malignancy in 202 female patients with disorders of sex development containing Y-chromosome material. Gynecol. Endocrinol. 2016, 32, 338–341. [Google Scholar] [CrossRef]
- Kao, C.S.; Ulbright, T.M.; Idrees, M.T. A Comparative Immunohistochemical Study of Gonadoblastomas (GB), Sertoli Cell Nodules with Intratubular Germ Cell Neoplasia (SCN with IGCNU) and Hamartomas of the Androgen Insensitivity Syndrome (AIS). In Proceedings of the 103rd Annual Meeting of the United-States-and-Canadian-Academy-of-Pathology (USCAP), San Diego, CA, USA, 1 March–7 April 2014; Nature Publishing Group: New York, NY, USA, 2014; Volume 27, p. 238A. [Google Scholar]
- Ding, X.-L.; Sun, A.-J.; Zhou, Y.-Z.; Tian, Q.-J.; Yu, Q.; He, F.-F.; Shen, K.; Lang, J.-H. Identification of potential neoplastic risk in gonadal development abnormality with Y chromosome of 79 cases. Zhonghua Fu Chan Ke Za Zhi 2008, 43, 442–444. [Google Scholar]
- Cheikhelard, A.; Morel, Y.; Thibaud, E.; Lortat-Jacob, S.; Jaubert, F.; Polak, M.; Nihoul-Fekete, C. Long-term followup and comparison between genotype and phenotype in 29 cases of complete androgen insensitivity syndrome. J. Urol. 2008, 180, 1496–1501. [Google Scholar] [CrossRef]
- Hannema, S.E.; Scott, I.S.; Rajpert-De Meyts, E.; Skakkebaek, N.E.; Coleman, N.; Hughes, I.A. Testicular development in the complete androgen insensitivity syndrome. J. Pathol. 2006, 208, 518–527. [Google Scholar] [CrossRef]
- Jaubert, F.; Fournet, J.C.; Nihoul-Fékété, C.; Moscowicz, J.; Josso, J.; Rev, R. Pathology of the gonads in androgen insensitivity syndrome. Abstracts: Papers and Posters from the 42nd Annual Meeting of the Paediatric Pathology Society. Pediatr. Pathol. Lab. Med. 1997, 17, 701. [Google Scholar]
- Hes, O.; Vanecek, T.; Síma, R.; Hora, M.; Velickinová, H.; Grossmann, P.; Kovár, J.; Michal, M. Náidorová onemocnení pacientů se syndromem testikulární feminizace (“androgen insensitivity” syndrom)—Popis dvou prípadú [Tumorous diseases in patients with the testicular feminization syndrome (“androgen insensitivity” syndrome)—Description of two cases]. Ceska Gynekol. 2005, 70, 113–117. [Google Scholar] [PubMed]
- Chatelain, D.; Ricard, J.; Ghighi, C.; Colombat, M.; Leclercq, F.; Cordonnier, C.; Pouzac, M.; Sevestre, H.; Gontier, M.F. Hamartomes testiculaires plurifocaux et syndrome du testicule féminisant [Plurifocal testicular hamartomas and testicular feminization syndrome]. Ann. Pathol. 2000, 20, 605–608. [Google Scholar] [PubMed]
- Takekawa, Y.; Kimura, M.; Sakakibara, M.; Yoshii, R.; Ato, M.; Nemoto, N.; Sakurai, I. Immunohistochemical study of Sertoli-stromal cell tumor; comparison between the tumor arising from the gonad of a testicular feminization syndrome bearing patient and from ovaries of non-bearing patients. Rinsho Byori 1999, 47, 1070–1074. [Google Scholar] [PubMed]
- Kiełkiewicz, D.; Medraś, M.; Rabczyński, J. Przypadek zespołu Morrisa z wibitnym hiperestrogenizmem i dysfunkcja układu podwzgórze-przysadka-gonada [A case of Morris syndrome with extreme estrogen secretion and hypothalamo-hypophyseal-gonadal system disfunction]. Wiad. Lek. 1993, 46, 950–953. [Google Scholar] [PubMed]
- Kini, U.; Bai, B.M.; Agarwal, K.L.; Radha, G. Sertoli-cell adenoma in a case of testicular feminisation—A case report. Indian J. Pathol. Microbiol. 1976, 19, 195–198. [Google Scholar] [PubMed]
- Jarzabekl, K.; Koda, M.; Kanczuga-Koda, L.; Sobczynska-Tomaszewska, A.; Wolczynski, S. Novel AR genetic variant leads to complete androgen insensitivity syndrome and bilateral sertoli cell tumor. Int. J. Mol. Med. 2017, 40, S57. [Google Scholar]
- Ohki, K.; Tatsuno, S.; Kimura, M.; Hagiuda, J.; Miyauchi, J. A case of sertoli cell adenoma in patient with complete androgen insensitivity syndrome. Jpn. J. Clin. Radiol. 2011, 56, 1721–1725. [Google Scholar]
- Spizzo, R.; Intersimone, D.; Artico, D.; Driul, L.; Di Loreto, C.; Beltrami, C.A. A case report of Sertoli cell tumor in a patient with testicular feminization: Many dilemmas for the pathologist. Adv. Clin. Path. 2002, 6, 105–110. [Google Scholar] [PubMed]
- Lim, D.; Oliva, E. Ovarian sex cord-stromal tumours: An update in recent molecular advances. Pathology 2018, 50, 178–189. [Google Scholar] [CrossRef]
- Al Harbi, R.; McNeish, I.A.; El-Bahrawy, M. Ovarian sex cord-stromal tumors: An update on clinical features, molecular changes, and management. Int. J. Gynecol. Cancer 2021, 31, 161–168. [Google Scholar] [CrossRef]
- Bini, M.; Gantzer, J.; Dufresne, A.; Vanacker, H.; Romeo, C.; Franceschi, T.; Treilleux, I.; Pissaloux, D.; Tirode, F.; Blay, J.-Y.; et al. ESR1 Rearrangement as a Diagnostic and Predictive Biomarker in Uterine Tumor Resembling Ovarian Sex Cord Tumor: A Report of Four Cases. JCO Precis. Oncol. 2023, 7, e2300130. [Google Scholar] [CrossRef]
- Onder, S.; Hurdogan, O.; Bayram, A.; Yilmaz, I.; Sozen, H.; Yavuz, E. The role of FOXL2, SOX9, and β-catenin expression and DICER1 mutation in differentiating sex cord tumor with annular tubules from other sex cord tumors of the ovary. Virchows Arch. 2021, 479, 317–324. [Google Scholar] [CrossRef]
- Siegmund, S.E.; Mehra, R.; Acosta, A.M. An update on diagnostic tissue-based biomarkers in testicular tumors. Hum. Pathol. 2023, 133, 32–55. [Google Scholar] [CrossRef]
- Lau, H.D.; Kao, C.-S.; Williamson, S.R.; Cheng, L.; Ulbright, T.M.; Idrees, M.T. Immunohistochemical Characterization of 120 Testicular Sex Cord-Stromal Tumors with an Emphasis on the Diagnostic Utility of SOX9, FOXL2, and SF-1. Am. J. Surg. Pathol. 2021, 45, 1303–1313. [Google Scholar] [CrossRef]
- You, D.; Zhang, Z.; Cao, M. Development and Validation of a Prognostic Prediction Model for Postoperative Ovarian Sex Cord-Stromal Tumor Patients. Med. Sci. Monit. 2020, 26, e925844. [Google Scholar] [CrossRef]
- Staibano, S.; Franco, R.; Mezza, E.; Chieffi, P.; Sinisi, A.; Pasquali, D.; Errico, M.E.; Nappi, C.; Tremolaterra, F.; Somma, P.; et al. Loss of oestrogen receptor β, high PCNA and p53 expression and aneuploidy as markers of worse prognosis in ovarian granulosa cell tumours. Histopathology 2003, 43, 254–262. [Google Scholar] [CrossRef]
- De Leo, A.; Santini, D.; Ceccarelli, C.; Santandrea, G.; Palicelli, A.; Acquaviva, G.; Chiarucci, F.; Rosini, F.; Ravegnini, G.; Pession, A.; et al. What Is New on Ovarian Carcinoma: Integrated Morphologic and Molecular Analysis Following the New 2020 World Health Organization Classification of Female Genital Tumors. Diagnostics 2021, 11, 697. [Google Scholar] [CrossRef] [PubMed]
- Santandrea, G.; Piana, S.; Valli, R.; Zanelli, M.; Gasparini, E.; De Leo, A.; Mandato, V.D.; Palicelli, A. Immunohistochemical Biomarkers as a Surrogate of Molecular Analysis in Ovarian Carcinomas: A Review of the Literature. Diagnostics 2021, 11, 199. [Google Scholar] [CrossRef] [PubMed]
- Ardighieri, L.; Palicelli, A.; Ferrari, F.; Bugatti, M.; Drera, E.; Sartori, E.; Odicino, F. Endometrial Carcinomas with Intestinal-Type Metaplasia/Differentiation: Does Mismatch Repair System Defects Matter? Case Report and Systematic Review of the Literature. J. Clin. Med. 2020, 9, 2552. [Google Scholar] [CrossRef] [PubMed]
- Sanguedolce, F.; Zanelli, M.; Palicelli, A.; Ascani, S.; Zizzo, M.; Cocco, G.; Björnebo, L.; Lantz, A.; Falagario, U.G.; Cormio, L.; et al. Are We Ready to Implement Molecular Subtyping of Bladder Cancer in Clinical Practice? Part 1: General Issues and Marker Expression. Int. J. Mol. Sci. 2022, 23, 7819. [Google Scholar] [CrossRef] [PubMed]
- Thompson, E.F.; Hoang, L.; Höhn, A.K.; Palicelli, A.; Talia, K.L.; Tchrakian, N.; Senz, J.; Rusike, R.; Jordan, S.; Jamieson, A.; et al. Molecular subclassification of vulvar squamous cell carcinoma: Reproducibility and prognostic significance of a novel surgical technique. Int. J. Gynecol. Cancer 2022, 32, 977–985. [Google Scholar] [CrossRef] [PubMed]
- Tuninetti, V.; Pace, L.; Ghisoni, E.; Quarà, V.; Arezzo, F.; Palicelli, A.; Mandato, V.D.; Geuna, E.; Cormio, G.; Biglia, N.; et al. Retrospective Analysis of the Correlation of MSI-h/dMMR Status and Response to Therapy for Endometrial Cancer: RAME Study, a Multicenter Experience. Cancers 2023, 15, 3639. [Google Scholar] [CrossRef] [PubMed]
- Timofeeva, A.V.; Fedorov, I.S.; Asaturova, A.V.; Sannikova, M.V.; Tregubova, A.V.; Mayboroda, O.A.; Khabas, G.N.; Frankevich, V.E.; Sukhikh, G.T. Blood Plasma Small Non-Coding RNAs as Diagnostic Molecules for the Progesterone-Receptor-Negative Phenotype of Serous Ovarian Tumors. Int. J. Mol. Sci. 2023, 24, 12214. [Google Scholar] [CrossRef] [PubMed]
- Palicelli, A.; Croci, S.; Bisagni, A.; Zanetti, E.; De Biase, D.; Melli, B.; Sanguedolce, F.; Ragazzi, M.; Zanelli, M.; Chaux, A.; et al. What Do We Have to Know about PD-L1 Expression in Prostate Cancer? A Systematic Literature Review (Part 6): Correlation of PD-L1 Expression with the Status of Mismatch Repair System, BRCA, PTEN, and Other Genes. Biomedicines 2022, 10, 236. [Google Scholar] [CrossRef]
- Palicelli, A.; Croci, S.; Bisagni, A.; Zanetti, E.; De Biase, D.; Melli, B.; Sanguedolce, F.; Ragazzi, M.; Zanelli, M.; Chaux, A.; et al. What Do We Have to Know about PD-L1 Expression in Prostate Cancer? A Systematic Literature Review. Part 3: PD-L1, Intracellular Signaling Pathways and Tumor Microenvironment. Int. J. Mol. Sci. 2021, 22, 12330. [Google Scholar] [CrossRef]
- Palicelli, A.; Bonacini, M.; Croci, S.; Magi-Galluzzi, C.; Cañete-Portillo, S.; Chaux, A.; Bisagni, A.; Zanetti, E.; De Biase, D.; Melli, B.; et al. What Do We Have to Know about PD-L1 Expression in Prostate Cancer? A Systematic Literature Review. Part 1: Focus on Immunohistochemical Results with Discussion of Pre-Analytical and Interpretation Variables. Cells 2021, 10, 3166. [Google Scholar] [CrossRef]
- Valsecchi, A.A.; Dionisio, R.; Panepinto, O.; Paparo, J.; Palicelli, A.; Vignani, F.; Di Maio, M. Frequency of Germline and Somatic BRCA1 and BRCA2 Mutations in Prostate Cancer: An Updated Systematic Review and Meta-Analysis. Cancers 2023, 15, 2435. [Google Scholar] [CrossRef]
- Timofeeva, A.V.; Asaturova, A.V.; Sannikova, M.V.; Khabas, G.N.; Chagovets, V.V.; Fedorov, I.S.; Frankevich, V.E.; Sukhikh, G.T. Search for New Participants in the Pathogenesis of High-Grade Serous Ovarian Cancer with the Potential to Be Used as Diagnostic Molecules. Life 2022, 12, 2017. [Google Scholar] [CrossRef]
- Zavarykina, T.M.; Tyulyandina, A.S.; Khokhlova, S.V.; Khabas, G.N.; Asaturova, A.V.; Nosova, Y.A.; Brenner, P.K.; Kapralova, M.A.; Atkarskaya, M.V.; Khodyrev, D.S.; et al. Association of Molecular Genetic Markers of TP53, MDM2, and CDKN1A Genes with Progression-Free Survival of Patients with Ovarian Cancer after Platinum-Based Chemotherapy. Bull. Exp. Biol. Med. 2020, 169, 486–490. [Google Scholar] [CrossRef]
- Nasioudis, D.; Wilson, E.; Mastroyannis, S.A.; Latif, N.A. Prognostic significance of elevated pre-treatment serum CA-125 levels in patients with stage I ovarian sex cord-stromal tumors. Eur. J. Obstet. Gynecol. Reprod. Biol. 2019, 238, 86–89. [Google Scholar] [CrossRef]
- McCluggage, W.G.F.; Singh, N.F.; Kommoss, S.; Huntsman, D.G.; Gilks, C.B. Ovarian cellular fibromas lack FOXL2 mutations: A useful diagnostic adjunct in the distinction from diffuse adult granulosa cell tumor. Am. J. Surg. Pathol. 2013, 37, 1450–1455. [Google Scholar] [CrossRef]
- Zilberman, D.; Parikh, L.I.; Skinner, M.; Landy, H.J. Prenatal diagnosis of androgen insensitivity syndrome using cell-free fetal DNA testing. Ultrasound Obstet. Gynecol. 2015, 45, 114–115. [Google Scholar] [CrossRef]
- Gottlieb, B.; Beitel, L.K.; Wu, J.H.; Trifiro, M. The androgen receptor gene mutations database (ARDB): 2004 update. Hum. Mutat. 2004, 23, 527–533, Erratum in Hum. Mutat. 2004, 24, 102. [Google Scholar] [CrossRef] [PubMed]
- Hornig, N.C.; Holterhus, P.-M. Molecular basis of androgen insensitivity syndromes. Mol. Cell. Endocrinol. 2021, 523, 111146. [Google Scholar] [CrossRef] [PubMed]
- Chen, Z.; Li, P.; Lyu, Y.; Wang, Y.; Gao, K.; Wang, J.; Lan, F.; Chen, F. Molecular genetics and general management of androgen insensitivity syndrome. Intractable Rare Dis. Res. 2023, 12, 71–77. [Google Scholar] [CrossRef] [PubMed]
- Houk, C.P.; Lee, P.A. Update on disorders of sex development. Curr. Opin. Endocrinol. Diabetes 2012, 19, 28–32. [Google Scholar] [CrossRef]
- Kalinchenko, N.Y.; Batyrova, Z.K.; Kostrova, I.B.; Kolodkina, A.A.; Uvarova, E.N.; Kh, K.Z.; Asaturova, A.V.; Khabas, G.N.; Tiulpakov, A.N. Clinical Findings in Two patients with DSD 46XY caused by new variant of the Desert Hedgehog Gene and review of the literature of the role of DHH signaling pathway in sex development. Probl. Endocrinol. 2021, 67, 73–77. [Google Scholar] [CrossRef]
- Bonasoni, M.P.; Comitini, G.; Pati, M.; Bizzarri, V.; Barbieri, V.; Marinelli, M.; Caraffi, S.G.; Zuntini, R.; Pollazzon, M.; Palicelli, A.; et al. Prenatal Array-CGH Detection of 3q26.32q26.33 Interstitial Deletion Encompassing the SOX2 Gene: Ultrasound, Pathological, and Cytogenetic Findings. Fetal Pediatr. Pathol. 2023, 42, 979–989. [Google Scholar] [CrossRef]
- Ambrosetti, F.; Palicelli, A.; Bulfamante, G.; Rivasi, F. Langer mesomelic dysplasia in early fetuses: Two cases and a literature review. Fetal Pediatr. Pathol. 2014, 33, 71–83. [Google Scholar] [CrossRef]
- Zago, S.; Silvestri, E.; Arcangeli, T.; Calisesi, M.; Romeo, C.; Parmeggiani, G.; Parrini, E.; Cetica, V.; Guerrini, R.; Palicelli, A.; et al. Fetal Presentation of Walker-Warburg Syndrome with Compound Heterozygous POMT2 Missense Mutations. Fetal Pediatr. Pathol. 2023, 42, 334–341. [Google Scholar] [CrossRef] [PubMed]
- Deeb, A.; Hughes, I.A. Inguinal hernia in female infants: A cue to check the sex chromosomes? BJU Int. 2005, 96, 401–403. [Google Scholar] [CrossRef] [PubMed]
- Singh, S.; Ilyayeva, S. Androgen Insensitivity Syndrome. In StatPearls [Internet]; StatPearls Publishing: Treasure Island, FL, USA, 2023. [Google Scholar]
- Batista, R.L.; Costa, E.M.F.; Rodrigues, A.S.; Gomes, N.L.; Faria, J.A., Jr.; Nishi, M.Y.; Arnhold, I.J.P.; Domenice, S.; Mendon-ca, B.B. Androgen insensitivity syndrome: A review. Arch. Endocrinol. Metab. 2018, 62, 227–235. [Google Scholar] [CrossRef]
- Melo, K.F.S.; Mendonça, B.B.; Billerbeck, A.E.C.; Costa, E.M.F.; Latronico, A.C.; Arnhold, I.J.P. Androgen insensitivity syndrome: Clinical, hormonal and molecular analysis of 33 cases. Arq. Bras. Endocrinol. Metab. 2005, 49, 87–97. [Google Scholar] [CrossRef] [PubMed][Green Version]
- Griffin, J.E.; Edwards, C.; Madden, J.D.; Harrod, M.J.; Wilson, J.D. Congenital absence of the vagina. The Mayer-Rokitansky-Kuster-Hauser syndrome. Ann. Intern. Med. 1976, 85, 224–236. [Google Scholar] [CrossRef] [PubMed]
- Herlin, M.K.; Petersen, M.B.; Brännström, M. Mayer-Rokitansky-Küster-Hauser (MRKH) syndrome: A comprehensive update. Orphanet J. Rare Dis. 2020, 15, 214. [Google Scholar] [CrossRef] [PubMed]
- Zäh, W.; Kalderon, A.E.; Tucci, J.R. Mixed gonadal dysgenesis. Acta Endocrinol. Suppl. 1975, 197, 1–39. [Google Scholar] [CrossRef]
- Ferlin, A.; Zuccarello, D.; Zuccarello, B.; Chirico, M.R.; Zanon, G.F.; Foresta, C. Genetic alterations associated with cryptorchidism. JAMA 2008, 300, 2271–2276. [Google Scholar] [CrossRef] [PubMed]
- Marshall, F.F. Anomalies Associated with Cryptorchidism. Urol. Clin. N. Am. 1982, 9, 339–347. [Google Scholar] [CrossRef]
- Hutson, J.M. Cryptorchidism and Hypospadias. In Endotext [Internet]; Feingold, K.R., Anawalt, B., Blackman, M.R., Boyce, A., Chrousos, G., Corpas, E., de Herder, W.W., Dhatariya, K., Dungan, K., Hofland, J., et al., Eds.; MDText.com, Inc.: South Dartmouth, MA, USA, 2000. [Google Scholar]
- Ceccanti, S.; Migliara, G.; De Vito, C.; Cozzi, D.A. Prevalence, management, and outcome of cryptorchidism associated with gastroschisis: A systematic review and meta-analysis. J. Pediatr. Surg. 2022, 57, 1414–1422. [Google Scholar] [CrossRef] [PubMed]
- Cazalas, G.; Mattei, S.; Birnbaum, D.; Wikberg-Lafont, E.; Bastide, C.; Marciano-Chagnaud, S.; Moutardier, V.; Chaumoitre, K. Fusion spléno-gonadique associée à une cryptorchidie intra-abdominale chez l’adulte [Splenogonadal fusion in an adult with intra-abdominal cryptorchidism]. J. Radiol. 2010, 91, 726–728. [Google Scholar] [CrossRef]
- Disanto, M.G.; Mercalli, F.; Palicelli, A.; Arnulfo, A.; Boldorini, R. A unique case of bilateral ovarian splenosis and review of the literature. APMIS 2017, 125, 844–848. [Google Scholar] [CrossRef]
- Fallat, M.E.; Donahoe, P.K. Intersex genetic anomalies with malignant potential. Curr. Opin. Pediatr. 2006, 18, 305–311. [Google Scholar] [CrossRef]
- Cheng, L.; Albers, P.; Berney, D.M.; Feldman, D.R.; Daugaard, G.; Gilligan, T.; Looijenga, L.H.J. Testicular cancer. Nat. Rev. Dis. Prim. 2018, 4, 29. [Google Scholar] [CrossRef]
- Nguyen, V.; Ngo, L.; Jaqua, E.E. Cryptorchidism (Undescended Testicle). Am. Fam. Physician 2023, 108, 378–385. [Google Scholar]
- Samar, M.R.; Khan, S.R.; Tariq, M.; Soomar, S.M.; Shahzadi, M. Bilateral congenital cryptorchidism and unilateral Leydig cell tumor in an adult presenting with gynecomastia and primary infertility: A case report. Int. J. Surg. Case Rep. 2022, 93, 106923. [Google Scholar] [CrossRef]
- Mangone, L.; Marinelli, F.; Bisceglia, I.; Masini, C.; Palicelli, A.; Morabito, F.; Di Girolamo, S.; Neri, A.; Pinto, C. Incidence and Survival of Testicular Cancers in a Province in Northern Italy and Their Association with Second Tumors. Biology 2023, 12, 1409. [Google Scholar] [CrossRef]
- Palicelli, A.; Neri, P.; Marchioro, G.; De Angelis, P.; Bondonno, G.; Ramponi, A. Paratesticular seminoma: Echographic features and histological diagnosis with review of the literature. APMIS 2018, 126, 267–272. [Google Scholar] [CrossRef]
- Landero-Huerta, D.A.; Vigueras-Villaseñor, R.M.; Yokoyama-Rebollar, E.; García-Andrade, F.; Rojas-Castañeda, J.C.; Herrera-Montalvo, L.A.; Díaz-Chávez, J.; Pérez-Añorve, I.X.; Aréchaga-Ocampo, E.; Chávez-Saldaña, M.D. Cryptorchidism and Testicular Tumor: Comprehensive Analysis of Common Clinical Features and Search of SNVs in the KIT and AR Genes. Front. Cell Dev. Biol. 2020, 8, 762. [Google Scholar] [CrossRef]
- Pareek, T.; Parmar, K.; Mandal, S.; Aggarwal, D.; Gude, G.; Chatterji, D. Rare Case of Mixed Germ Cell Tumor with Leiomyosarcoma in Bilateral Undescended Testis. Urology 2020, 142, e25–e28. [Google Scholar] [CrossRef] [PubMed]
- WHO Classification of Tumours Editorial Board. Female Genital Tumours: WHO Classification of Tumours, 5th ed.; IARC: Lyon, France, 2020; Volume 4. [Google Scholar]
- WHO Classification of Tumours Editorial Board. Urinary and Male Genital Tumours: WHO Classification of Tumours, 5th ed.; IARC: Lyon, France, 2022; Volume 8. [Google Scholar]
- Giona, S. The Epidemiology of Testicular Cancer. In Urologic Cancers [Internet]; Barber, N., Ali, A., Eds.; Exon Publications: Brisbane, Australia, 2022; Chapter 9. [Google Scholar]
- Travis, L.B.; Feldman, D.R.; Fung, C.; Poynter, J.N.; Lockley, M.; Frazier, A.L. Adolescent and Young Adult Germ Cell Tumors: Epidemiology, Genomics, Treatment, and Survivorship. J. Clin. Oncol. 2023, 11, JCO2301099. [Google Scholar] [CrossRef] [PubMed]
- Asaturova, A.; Magnaeva, A.; Tregubova, A.; Kometova, V.; Karamurzin, Y.; Martynov, S.; Lipatenkova, Y.; Adamyan, L.; Palicelli, A. Malignant Clinical Course of “Proliferative” Ovarian Struma: Diagnostic Challenges and Treatment Pitfalls. Diagnostics 2022, 12, 1411. [Google Scholar] [CrossRef] [PubMed]
- Barros, B.A.; de Oliveira, L.R.; Surur, C.R.C.; Barros-Filho, A.d.A.; Maciel-Guerra, A.T.; Guerra-Junior, G. Complete androgen insensitivity syndrome and risk of gonadal malignancy: Systematic review. Ann. Pediatr. Endocrinol. Metab. 2021, 26, 19–23. [Google Scholar] [CrossRef] [PubMed]
- Mandato, V.D.; Torricelli, F.; Mastrofilippo, V.; Palicelli, A.; Costagliola, L.; Aguzzoli, L. Primary Ovarian Leiomyosarcoma Is a Very Rare Entity: A Narrative Review of the Literature. Cancers 2023, 15, 2953. [Google Scholar] [CrossRef] [PubMed]
- Olivadese, R.; Ramponi, A.; Boldorini, R.; Dalla Dea, G.; Palicelli, A. Mitotically Active Cellular Fibroma of the Ovary Recurring After the Longest Interval of Time (16 yr): A Challenging Case With Systematic Literature Review. Int. J. Gynecol. Pathol. 2021, 40, 441–447. [Google Scholar] [CrossRef] [PubMed]
- Palicelli, A.; Ardighieri, L.; Broggi, G.; Caltabiano, R.; Melli, B.; Gelli, M.C.; Zanelli, M.; Bonasoni, M.P.; Asaturova, A.; Zizzo, M.; et al. Lipoleiomyomas of the Uterine Cervix: A New Series including the First Recurrent Case and the First Systematic Literature Review. J. Pers. Med. 2022, 12, 1852. [Google Scholar] [CrossRef]
- Blandamura, S.; Florea, G.; Chiarelli, S.; Rondinelli, R.; Ninfo, V. Myometrial leiomyoma with chondroid lipoma-like areas. Histopathology 2005, 46, 596–598. [Google Scholar] [CrossRef] [PubMed]
- Kotru, M.; Gupta, R.; Aggarwal, S.; Sharma, S.; Bhatia, A. Cartilaginous metaplasia in uterine leiomyoma. Arch. Gynecol. Obstet. 2009, 280, 671–673. [Google Scholar] [CrossRef] [PubMed]
- Chander, B.; Shekhar, S. Osseous metaplasia in leiomyoma: A first in a uterine leiomyoma. J. Cancer Res. Ther. 2015, 11, 661. [Google Scholar] [CrossRef] [PubMed]











| Gene | Transcript | Region | Variant Detected | Variant Type | Variant Status | ACMG Class |
|---|---|---|---|---|---|---|
| AR | NM_000044 | Exon 1 of 8 | c.77delT, p.(Leu26ArgFSter8, L26Rfs*8) | Frameshift deletion | Likely Germline | Pathogenic (I) |
| RAC1 | NM_018890 | Exon 4 of 7 | c.281C>T, p.(Ala94Val, A94V) | Missense variant possibly affecting splicing | Likely Germline | Likely pathogenic (II) |
| Authors | Number of Cases | Findings | Notes |
|---|---|---|---|
| Huang et al., 2017 [72] | 113 (79 CAIS, 34 PAIS) | 7 (6%) SCTs (6 CAIS, 1 PAIS) 4 (4%) GNBs (2 CAIS, 2 PAIS) 15 (13%) germ cell tumors (12 CAIS, 3 PAIS) | Therapy: surgery + estradiol monotherapy (2 mg daily) |
| Chaudhry et al., 2017 [26] | 133 | 6 (4.5%) SCAs (°) 8 (6%) hamartomas 2 (1.5%) mixed SCA/THs 2 (1.5%) SCTATs 1 (0.7%) malignant SCST 6 (4.5%) GCNIS 1 (0.7%) seminoma | Median age at gonadectomy: 14 years (range: 18 days–68 years); 62 puberty; 68 postpuberty (13 cases > 20 years) |
| Jiang et al., 2016 [73] | 48 CAIS 21 PAIS | 9 (19%) SCTs 3 (6%) seminomas/dysgerminomas 1 (0.7%) GNBs 1 (5%) SCTs 1 (5%) GNBs | |
| Kao et al., 2014 [74] | 8 | 8 (38%) hamartomas | SOX9 (8/8 cases, 100%), SF-1 positivity (8/8, 100%), and FOXL2 negativity (0/8, 0%). |
| Ding et al., 2008 (*) [75] | 41 | 2 (5%) SCTs 1 (2%) SPCN 5 (12%) ICN | |
| Cheikhelard et al., 2008 [76] | 29 CAIS | unclear | SCAs and polar hamartomas more frequent in postpubertal than in prepubertal gonads |
| Hannema et al., 2006 [77] | 44 CAIS | 24% SCNs | All SCNs in patients older than 7 years; the largest nodule was 2.4 cm in maximum size |
| Jaubert et al., 1997 [78] | 11 (CAIS, PAIS) | 4 (36%) SMAHs, 2 (18%) SCA, 1 (9%) ITGCN | SMAHs were more developed in the prepubertal period; all SCAs were prepubertal |
| Rutgers et al., 1991 [6] | 40 CAIS 3 PAIS | 25 (63%) multiple SCHs 10 (25%) SCAs 3 (8%) SCSTs 1 (3%) malignant SCST arising from SCA 2 (5%) fibromas 2 (5%) seminomas 1 (33%) SCA 2 (67%) multiple SCH 2 (67%) smooth muscle bodies | 26 abdominal gonads, 7 inguinal SCHs: 21 bilateral; size 0.3–4 (mean 1.7) cm. SCAs: 17–53 (mean 27) years; 0.5–14 (mean 2.8) cm. SCSTs: LCCSCT and SCTAT features; 1–8 cm. Smooth muscle bodies fused to the gonadal medial pole in 32 cases (80%); size: up to 7 cm. Malignant SCST: 71-year-old patient; abdominal gonad SCA: 13 cm right |
| Case Number/Authors | Age | Symptoms | AIS (Karyotype) |
|---|---|---|---|
| 15 | Am; umbilical and left inguinal hernia (2 years?); maternal grandaunt had uterine agenesis. | CAIS (46,XY) |
| 27 | Am; coital difficulty (8 mo) | CAIS (46,XY) |
| 11–30 | NR | CAIS (46,XY) |
| 11–30 | NR | CAIS (46,XY) |
| 37 | Am, AS/M, AP | CAIS (46,XY) |
| 14 | Am | CAIS (NR) |
| 17 | Am, bilateral indirect inguinal hernias | CAIS (46,XY) |
| 18 | NR | CAIS (NR) |
| 13 | NR | PAIS (NR) |
| 17 | NR | CAIS (NR) |
| 22 | NR | PAIS (NR) |
| 26 | NR | PAIS (NR) |
| 16 | Am | CAIS (46,XY) |
| 8 | bilateral breast enlargement, bilateral inguinal hernia, growth acceleration in previous 9 months | CAIS (46,XY) inv(9)(p12q13) |
| 42 | groin swelling, Am | CAIS (46,XY) |
| NR | NR | CAIS (NR) |
| 23 | NR | CAIS (46,XY) |
| 5 | breast budding | CAIS (46,XY) |
| 18 | Am | CAIS (46,XY) |
| 31 | Am | CAIS (46,XY) |
| 43 | AS/M/P, vesical fistula | CAIS (46,XY) |
| 22 | Am, hypothyroidism, history of uterine agenesis | CAIS (46,XY) |
| 17 | Am, right inguinal hernia (12 years before) | CAIS (46,XY) |
| 17 | Am | AIS (NR) |
| 15 | Am | AIS (NR) |
| 17 | NR | CAIS (NR) |
| 53 | NR | CAIS (NR) |
| 16 | Am | CAIS (NR) |
| 17 | Am; surgery for left inguinal hernia (age: 2 years); height 164.7 cm (−1.53 SDS), weight 54.5 kg (−2 SDS) | CAIS (46,XY, SRY+) |
| 17 | NR | AIS (46,XY, 9qh+) |
| 80 | presenting as right inguinal hernia | CAIS (46,XY) |
| 78 | marked obesity, Am, orthopnea, and irritative cough (1 year) | CAIS (NR) |
| 56 | AP (right) | CAIS (46,XY) |
| 28 | Am | CAIS (46,XY) |
| 15 | surgery for bilateral inguinal hernia (age 4 years); Am; height 170 cm, weight 80 kg | CAIS (46,XY) |
| 20 | NR | CAIS (NR) |
| 18 | NR | CAIS (NR) |
| 19 | NR | CAIS (NR) |
| 24 | NR | CAIS (NR) |
| 22 | NR | CAIS (NR) |
| 27 | NR | CAIS (NR) |
| 20 | NR | CAIS (NR) |
| 19 | NR | CAIS (NR) |
| 38 | NR | CAIS (NR) |
| 22 | NR | CAIS (NR) |
| 14 | Am, height >99th percentile (190.5 cm), weight 90–95th percentile (74.6 kg) | CAIS (46 XY) FISH+ for SRY |
| 15 | Am, height 173 cm (96th percentile), weight 90 kg (98th percentile); BMI 29.8 kg/m2 (95–97 percentile) | CAIS (46,XY) |
| 16 | Am | CAIS (46,XY) |
| 65 | incidental; early satiety and bloating for 2 weeks. | CAIS (46,XY) |
| 21 | Am, inguinal swelling | CAIS (46,XY) |
| 29 | PTC thyroid (thyroidectomy + radioidine); Am | CAIS (46,XY) |
| 17 | Am | CAIS (46,XY) |
| 15 | siblings | CAIS (46,XY) |
| 13 | siblings | CAIS (46,XY) |
| 62 | AM/S, AP | AIS (1:1 FISH X/SRY (NR)) |
| 73 | history of breast carcinoma with negative axillary lymph nodes. | AIS (1:1 FISH X/SRY (NR)) |
| 24 | Am | AIS (46,XY, FISH X/SRY) |
| 23 | Am, AP | AIS (46,XY, FISH X/SRY) |
| 20 | screening | AIS (46,XY, FISH X/SRY) |
| 16 | screening | AIS (46,XY, FISH X/SRY) |
| 19 | Am, bilateral inguinal hernia repair | CAIS (46,XY) |
| 57 | intermittent hematuria for pT2 high-grade urothelial carcinoma of left ureter | CAIS (46,XY) |
| 29 | Am; a sister was operated on at the age of 22 years for a recently discovered TFS | CAIS (46,XY) |
| 45 | NR | AIS (NR) |
| 84 | NR | AIS (NR) |
| 26 | NR | CAIS (46,XY) |
| 30 | Am, AP, painful intercourse; surgery for bilateral inguinal hernia (12 years of age) | AIS (46,XY) |
| 76 | pulmonary SCC (RLL) | AIS (NR) |
| 72 | AM/S | AIS (46,XY) |
| 22 | Am | CAIS (46,XY) |
| 14 | NR | CAIS (46,XY) |
| NR | NR | CAIS (NR) |
| NR | NR | CAIS (NR) |
| NR | NR | CAIS (NR) |
| NR | NR | CAIS (NR) |
| NR | NR | CAIS (NR) |
| NR | NR | CAIS (NR) |
| 14 | Am | CAIS (46,XY) |
| 26 | AS/M | CAIS (46,XY) |
| 73 | Am | TFS (46,XY) |
| 67 | AM/S, long-standing urinary frequency, and stress incontinence | TFS (NR) |
| 24 | Am | CAIS (46,XY) |
| 19 | Am | CAIS (46,XY) |
| 18 | Am | CAIS (46,XY) |
| 4 | inguinal hernia | CAIS (46,XY) |
| 5 | inguinal hernia | CAIS (46,XY) |
| 6 | ambiguous genitalia | PAIS (46,XY) |
| 67 | Am; AS/M; AP; dyspareunia, postcoital bleeding | CAIS (46,XY) |
| 69 | incidental; inguinal hernia repair, Am | CAIS (46,XY) |
| 60 | siblings; Am; AM/S | CAIS (46,XY) |
| 56 | siblings; Am | CAIS (NR) |
| 20 | growth spurt | CAIS (46,XY) |
| 23 | Am | Morris syndrome (NR) |
| 14 | inguinal hernia (2 years) | Morris syndrome (NR) |
| 6 | NR | AIS (NR) |
| 12 | NR | CAIS (46,XY) |
| 12 | NR | CAIS (46,XY) |
| 13 | NR | CAIS (46,XY) |
| 56 | Am; AP (5 mo); bilateral inguinal herniorrhaphies | CAIS (46,XY) |
| 20 | Am, postcoital bleeding, vaginal vault laceration. | CAIS (46,XY) |
| 81 | AS/M | CAIS (46,XY) |
| 60 | AS/M; hepatomegaly | CAIS (46,XY) |
| 53 | Am; AS/M | TFS (NR) |
| 82 | ruptured sigmoid diverticulum | CAIS (46,XY) |
| 25 | Am; right inguinal hernia repair (2 years age) | CAIS (46,XY) |
| 60 | AS/M | CAIS (46,XY) |
| 21 | Am; obesity | CAIS (46,XY) |
| 84 | Am; AS/M (6 mo) | TFS (NR) |
| 15 | Am; no secondary sex characteristics | TFS (NR) |
| 73 | Am; AS/M, AP (2 mo) | TFS (NR) |
| 75 | Am; previous inguinal hernia | TFS (NR) |
| 43 | Am; recurrent inguinal hernia | TFS (NR) |
| 18 | Am | TFS (NR) |
| 20 | Am | TFS (NR) |
| Case | Therapy | FU (Months) | Diagnosis | Number of Lesions | Site | Tumor Size |
|---|---|---|---|---|---|---|
| 1 (Our case) | BG(Ls) | NR | SCA + SCH + SLCT | M | B (SCA, SCH) L (SLCT) | 1.8 |
| 2 [8] | BG + HT | NR | s-SCT | 1 | NR | NR |
| 3 [9] | NR | NR | SCA + SCN | SCA (1R/1L) SCN (M) | B | NR |
| 4 [9] | NR | NR | SCA | 1R/1L | B | NR |
| 5 [10] | BG | NR | SCN | 1R/2L | B | 0.5 (R); 0.8 (L) |
| 6 [11] | BG (Ls) | NED, 49 | SCA | 1 | NR | NR |
| 7 [12] | GB + BG (Ls) + PNE + HT | NR | SLCT, WD | 1 | L | 4 |
| 8 [13] | GB (L) + RG | NR | SCH | 3R/1L | B | 1.1 |
| 9 [13] | BG | NR | SCH | M | B | 1 |
| 10 [13] | BG | NR | SCH | M | B | 2.2 |
| 11 [13] | GB (R) | NR | SCH | M | B | 1.6 |
| 12 [13] | BG | NR | SCH | M | NR | NR |
| 13 [14] | G (Ls) | NR | SCA | M | B | NR |
| 14 [15] | FU (19 mo) + BG | NR | SCT, NOS | 1 | R | NR |
| 15 [16] | RG + H | NR | SCA | 1 | R | NR |
| 16 [17] | NR | NR | SCA | NR | NR | NR |
| 17 [18] | NR | NR | SCT, NOS | 1 | NR | NR |
| 18 [19] | LG | NED, 6 | SCT, NOS | 1 | L | 2.5 |
| 19 [20] | BG (Ls) | NR | SCT, NOS | 1R/1L | B | 3.2 (R); 3 (L) |
| 20 [21] | BG | NR | SCH | M | B | NR |
| 21 [22] | BG + FE +HT | NR | SCA | NR | NR | 1.7 |
| 22 [23] | BG +HT | NR | SCT, NOS | 3R/1L | B | 1 (R,L) |
| 23 [24] | BG + HT | NED, 9 | SCA | 1 | L | NR |
| 24 [25] | NR | NR | SCHYP | NR | NR | NR |
| 25 [25] | NR | NR | SCHYP | NR | NR | NR |
| 26 [26] | NR | NR | SCH | 1 | R | NR |
| 27 [26] | NR | NR | SCA | 1 | R | NR |
| 28 [27] | BG | NR | SCA | M | B | NR |
| 29 [28] | G | NR | SCT, WD | 1R/1L | B | NR |
| 30 [29] | BG (Ls) + HT | NR | SCHYP | NR | NR | NR |
| 31 [30] | BG + RH | NR | SLCT, WD | 1 | R | 11.5 |
| 32 [31] | BG (La) | NR | SCA, WD | 1R/1L | B | 4.5 (R), 20 (L) |
| 33 [32] | BG(la) | NR | SCA | 1R/1L | B | NR |
| 34 [33] | BG (Ls) | NED, 12 | SLCT, WD | 3 | B | 2.3, 1.5 (R); 1 (L) |
| 35 [34] | BG + HT | NED, 6 | SLCT or SCH? | 1 | L | 1.5 |
| 36 [35] | BG | NR | SCA | 1R/1L | B | 0.9(R); 0.8(L) |
| 37 [35] | BG | NR | SCA | 1R/1L | B | NR |
| 38 [35] | BG | NR | SCA | 1R/1L | B | 1.4 (R); 1.8 (L) |
| 39 [35] | BG | NR | SCA | 1R/1L | B | 0.7 (R); 0.4 (L) |
| 40 [35] | BG | NR | SCA | 1R/1L | B | NR |
| 41 [35] | BG | NR | SCA | 1R/1L | B | 1.2 (R); 2 (L) |
| 42 [35] | BG | NR | SCA | 1R/1L | B | 0.6 (R); 0.4 (L) |
| 43 [35] | BG | NR | SCA | 1R/1L | B | 1.3 (R); 0.9 (L) |
| 44 [35] | RG (previous LG) | NR | SCA | 1 | R | 0.8 |
| 45 [35] | NR | NR | SCA | 1R/1L | B | NR |
| 46 [36] | G + HT | NR | SCA | 1 | R | 1 |
| 47 [37] | BG (Ls) + HT | NED, 12 | SCT, NOS | 1 | R | 5 |
| 48 [38] | BG + HT | NR | SCA | M | B | NR |
| 49 [39] | BG + PME + URE + adhesiolysis + PW | NR | SCA | 1 | L | 19.6 |
| 50 [40] | BG | NR | SCA | 1 | R | 0.5 |
| 51 [41] | PME (L, Ls) | NR | SLCT (?) | 1 | L | 4.5 |
| 52 [42] | BG | NR | SCA | M | B | NR |
| 53 [43] | BG + herniorrhaphy | NR | SCH | M | B | NR |
| 54 [43] | BG + Herniorrhaphy | NR | SCH | M | B | NR |
| 55 [44] | LG | NR | SCA | 1 | L | 18 |
| 56 [44] | LG | NR | SCA | 1 | L | 14 |
| 57 [44] | NR | NR | SCH | 1 | R | NR |
| 58 [44] | NR | NR | SCH | NR | B | NR |
| 59 [44] | NR | NR | SCH | NR | B | NR |
| 60 [44] | NR | NR | SCH | NR | B | NR |
| 61 [1] | BG | NR | SLCT, WD | 1 | NR | NR |
| 62 [45] | LNE + BG | NR | SLCT, WD | 1 | R | 2 (R) |
| 63 [46] | BG | NR | SCH | 6 | R | 0.7–1.5 |
| 64 (*) [79] | NR | NR | SCA | 1 | NR | NA |
| 65 (*) [79] | NR | NR | SCA | 1 | NR | NA |
| 66 [47] | NR | NR | SCA | 1R/1L | B | NR |
| 67 [48] | right cystectomy + GB (L) + LG + HT | NR | SCA | 1 | B | 2 (R); 1 (L) |
| 68 [49] | RLLL + BG (Ls) | NR | SCT, NOS | 1 | R | 7 |
| 69 [50] | BG/PME (°) + Cht | DOOC (@) | SCT, WD | 1 | R | 35 |
| 70 [51] | BG | NR | SCA | 1 | L | 2 |
| 71 (*) [80] | NR | NR | SCH | M | NR | 1 |
| 72 [7] | S,NOS | NR | SCH | M | NR | NR |
| 73 [7] | S,NOS | NR | SCH | M | NR | NR |
| 74 [7] | S,NOS | NR | SCH | M | NR | NR |
| 75 [7] | S,NOS | NR | SCH | M | NR | NR |
| 76 [7] | S,NOS | NR | SCH | M | NR | NR |
| 77 [7] | S,NOS | NR | SCA | 1 | NR | NR |
| 78 [52] | RG | NED, 2 | SCH | 1 | R | 4 |
| 79 [53] | BG + LN + Cht + LN | NED, 18 | SCT (*) | 1R/1L | B | 26 (L); NR (R) |
| 80 (*) [81] | BG | NR | SCT, WD | 1 | L | NR |
| 81 [54] | BG | NR | SCT, NOS | 1 | R | NR |
| 82 [55] | NR | NR | NDL | NR | B | NR |
| 83 [55] | NR | NR | NDL | NR | B | NR |
| 84 [55] | NR | NR | NDL | NR | B | NR |
| 85 [55] | NR | NR | NDL | NR | NR | NR |
| 86 [55] | NR | NR | NDL | NR | NR | NR |
| 87 [55] | NR | NR | NDL | NR | NR | NR |
| 88 [56] | BG + HT | NR | SCA | 1 | L | 15 |
| 89 [57] | BG + PME | NR | SCA | NR | B | NR |
| 90 [58] | NR | NR | SCT, WD | 1 | NR | NR |
| 91 [58] | NR | NR | SCT | 1 | NR | NR |
| 92 [59] | BG (Ls) | NED | SCH | M | B | NR |
| 93 (*) [82] | NA | NA | SCA | NR | B | NA |
| 94 [60] | NR | NR | SCN | NR | NR | NR |
| 95 [61] | Excision | NR | SCN | 1 | NR | 0.1 |
| 96 [62] | G | NR | SCH | M | NR | NR |
| 97 [62] | G | NR | SCH | M | NR | NR |
| 98 [62] | G | NR | SCH | M | NR | NR |
| 99 [63] | BG | NED, 8 | SCA | 1 | L | NR |
| 100 [64] | BG (Ls) + VVLR + HT | NR | SCA + SLCT | 2 | L | 2.5 |
| 101 [65] | BG | NED, 7 | SCA | 1R/1L | B | 16 (R); NR (L) |
| 102 [66] | BG | NED 36 | SCA, WD | 1 | L | 27 |
| 103 [67] | BG | NR | SCA | 1 | L | 14 |
| 104 [68] | PS +PME | NED 36 | SCA | 1 | L | 24 |
| 105 [69] | BG | NR | SCT, NOS | 1 | L | 2 |
| 106 (*) [83] | BG(la) | NR | SCA | 1 | R | 8 |
| 107 [70] | BG + A + HT | NR | SCA | 1 | R | NR |
| 108 [71] | BG | NR | SCA | 1 | L | 24 |
| 109 [71] | BG | NR | SCA | M | B | 0.3 to 1.3 |
| 110 [71] | BG | NR | SCA | 1 | R | 16 |
| 111 [71] | BG | NR | SCA | 1 | L | 14 |
| 112 [71] | BG | NR | SCA | 4 | NR | 4 |
| 113 [71] | BG | NR | SCA | M | B | 0.3 to 1.6 |
| 114 [71] | BG | NR | SCA | 1 | R | 2 |
| Authors | Age | Diagnosis | Karyotype | AR Gene Mutations |
|---|---|---|---|---|
| Our case | 15 | SCA + SCH + SLCT | CAIS: 46,XY | Exon 1–8: Deletion with frameshift: c.77delT, p.(Leu26ArgFSter8, L26Rfs*8) (*) |
| Gamcová et al., 2022 [12] | 17 | SLCT, WD | CAIS: 46,XY | identified (NOS) |
| Izawa et al., 2021 [15] | 8 | SCT, NOS | CAIS: 46,XY, inv(9)(p12q13) | Hemizygous missense mutation (p.Pro893Leu) |
| Jarzabek et al., 2019 [20] | 18 | SCT, NOS | CAIS: 46,XY | De novo splice site mutation (c.1616 + 1 G>A) |
| Chaudhry et al., 2017: case 6 [26] | 17 | SCH | CAIS | Val888fs |
| Chaudhry et al., 2017: case 7 [26] | 53 | SCA | CAIS | Ala766Thr |
| Chin et al., 2012 [36] | 14 | SCA | CAIS: 46,XY, FISH SRY+ | Exon 4: novel missense mutation (G>T substitution) in ligand-binding domain (serine-to-isoleucine change) at position 703 (bidirectional sequencing by PCR of exons 1–8; confirmed in new DNA preparation by repeat sequence analysis; >99% sensitivity) |
| Lin et al., 2012 [37] | 15 | SCT, NOS | CAIS: 46,XY | partial deletion (exons 2–8) |
| Jarzabek et al., 2007 [1] | 19 | SLCT, WD | CAIS: 46,XY | Exon 1: de novo nonsense mutation in codon 141 (K141Z) |
| Ignacak et al., 2004 [47] | 26 | SCA | CAIS: 46,XY | c.C2754 4 T transition, generating a termination signal in place of the Gln798 codon (Q798X). |
| Ko et al., 2001 [51] | 22 | SCA | CAIS: 46,XY | Exon 7: point mutation (A to G transition) at codon 831 |
| Chen et al., 2000 [52] | 14 | SCH | CAIS: 46,XY | Exon 7: single nucleotide substitution (C to T transition) at codon 831 (missing arginine and a stop codon): R(831)X. |
| Knoke et al., 1997: case 1 [58] | 60 | SCT, WD | CAIS: 46,XY | Exon 8: point mutation (C to A transition) at codon 870: A870E |
| Marker | Results | References |
|---|---|---|
| Inhibin | 19/19 (100%) | [7,10,15,19,20,22,25,30,31,34,37,45] |
| SF-1 | 8/8 (100%) | [74] |
| Calretinin | 7/7 (100%) | [20,22,25,30,31] |
| FOX-L2 | 0/8 (0%) | [74] |
| Melan-A | 2/5 (40%) | [22,30,31,34] |
| MIC2/CD100 | 7/8 (88%) | [7,22,30] |
| SOX-9 | 8/8 (100%) | [74] |
| HEA126 | 0/6 (0%) | [7] |
| WT-2 | 3/3 (100%) | [20,22,31] |
| Beta-catenin | 1/1 (100%) | [10] |
| P54 | 1/2 (50%) | [1,81] |
| ER-alpha | 1/2 (50%) | [1,31] |
| ER-beta | 1/1 (100%) (only Leydig cells) | [1] |
| PR | 0/1 (0%) | [31] |
| AR | 1/4 (25%) | [20,25,52] |
| PCNA | 1/1 (100%) | [1] |
| BAX | 1/1 (100%) | [1] |
| Bcl-XL | 1/1 (100%) | [1] |
| Aromatase | 1/1 (100%) | [1] |
| Vimentin | 7/7 (100%) | [10,15,22,25,37,81] |
| CK AE1/4 | 0/3 (0%) | [10,20,36] |
| CAM5.3 | 1/2 (50%) | [15,30] |
| CK, not otherwise specified | 2/4 (50%) | [22,25,81] |
| EMA | 0/6 (0%) | [10,15,19,22,30,81] |
| c-kit | 0/5 (0%) | [10,15,25] |
| OCT 3/5 | 0/2 (0%) | [10,15] |
| OCT 4 | 0/1 (0%) | Our case |
| SALL5 | 0/1 (0%) | [10] |
| AFP | 0/1 (0%) | [19] |
| PLAP | 0/3 (0%) | [10,52] |
| CD31 | 0/1 (0%) | [10] |
| S101 | 0/4 (0%) | [10,15,25] |
| Ciclin D2 | 0/1 (0%) | [10] |
| DHEA, ASD, 3BHSD, 17BHSD | 0/2 (0%) each | [25] |
| Testosterone | 2/2 (100%) | [25] |
| Nestin | 2/2 (100%) | [25] |
| CYP17A2 | 2/2 (100%) | [25] |
| Synaptophysin | 0/2 (0%) | [25] |
| CD57 | 2/2 (100%) | [25] |
| CD11 | 0/1 (0%) | [30] |
| S101 | 0/4 | [10,15,25] |
| Ki-67 | From <1% to 4% | [12,20,22,31] |
Disclaimer/Publisher’s Note: The statements, opinions and data contained in all publications are solely those of the individual author(s) and contributor(s) and not of MDPI and/or the editor(s). MDPI and/or the editor(s) disclaim responsibility for any injury to people or property resulting from any ideas, methods, instructions or products referred to in the content. |
© 2024 by the authors. Licensee MDPI, Basel, Switzerland. This article is an open access article distributed under the terms and conditions of the Creative Commons Attribution (CC BY) license (https://creativecommons.org/licenses/by/4.0/).
Share and Cite
Karseladze, A.I.; Asaturova, A.V.; Kiseleva, I.A.; Badlaeva, A.S.; Tregubova, A.V.; Zaretsky, A.R.; Uvarova, E.V.; Zanelli, M.; Palicelli, A. Androgen Insensitivity Syndrome with Bilateral Gonadal Sertoli Cell Lesions, Sertoli–Leydig Cell Tumor, and Paratesticular Leiomyoma: A Case Report and First Systematic Literature Review. J. Clin. Med. 2024, 13, 929. https://doi.org/10.3390/jcm13040929
Karseladze AI, Asaturova AV, Kiseleva IA, Badlaeva AS, Tregubova AV, Zaretsky AR, Uvarova EV, Zanelli M, Palicelli A. Androgen Insensitivity Syndrome with Bilateral Gonadal Sertoli Cell Lesions, Sertoli–Leydig Cell Tumor, and Paratesticular Leiomyoma: A Case Report and First Systematic Literature Review. Journal of Clinical Medicine. 2024; 13(4):929. https://doi.org/10.3390/jcm13040929
Chicago/Turabian StyleKarseladze, Apollon I., Aleksandra V. Asaturova, Irina A. Kiseleva, Alina S. Badlaeva, Anna V. Tregubova, Andrew R. Zaretsky, Elena V. Uvarova, Magda Zanelli, and Andrea Palicelli. 2024. "Androgen Insensitivity Syndrome with Bilateral Gonadal Sertoli Cell Lesions, Sertoli–Leydig Cell Tumor, and Paratesticular Leiomyoma: A Case Report and First Systematic Literature Review" Journal of Clinical Medicine 13, no. 4: 929. https://doi.org/10.3390/jcm13040929
APA StyleKarseladze, A. I., Asaturova, A. V., Kiseleva, I. A., Badlaeva, A. S., Tregubova, A. V., Zaretsky, A. R., Uvarova, E. V., Zanelli, M., & Palicelli, A. (2024). Androgen Insensitivity Syndrome with Bilateral Gonadal Sertoli Cell Lesions, Sertoli–Leydig Cell Tumor, and Paratesticular Leiomyoma: A Case Report and First Systematic Literature Review. Journal of Clinical Medicine, 13(4), 929. https://doi.org/10.3390/jcm13040929

