Clinical Characteristics and Treatment Courses of Trauma-Induced Thrombotic Microangiopathy: A Retrospective Study
Abstract
1. Introduction
2. Materials and Methods
2.1. Data Collection
2.2. Exclusion Criteria
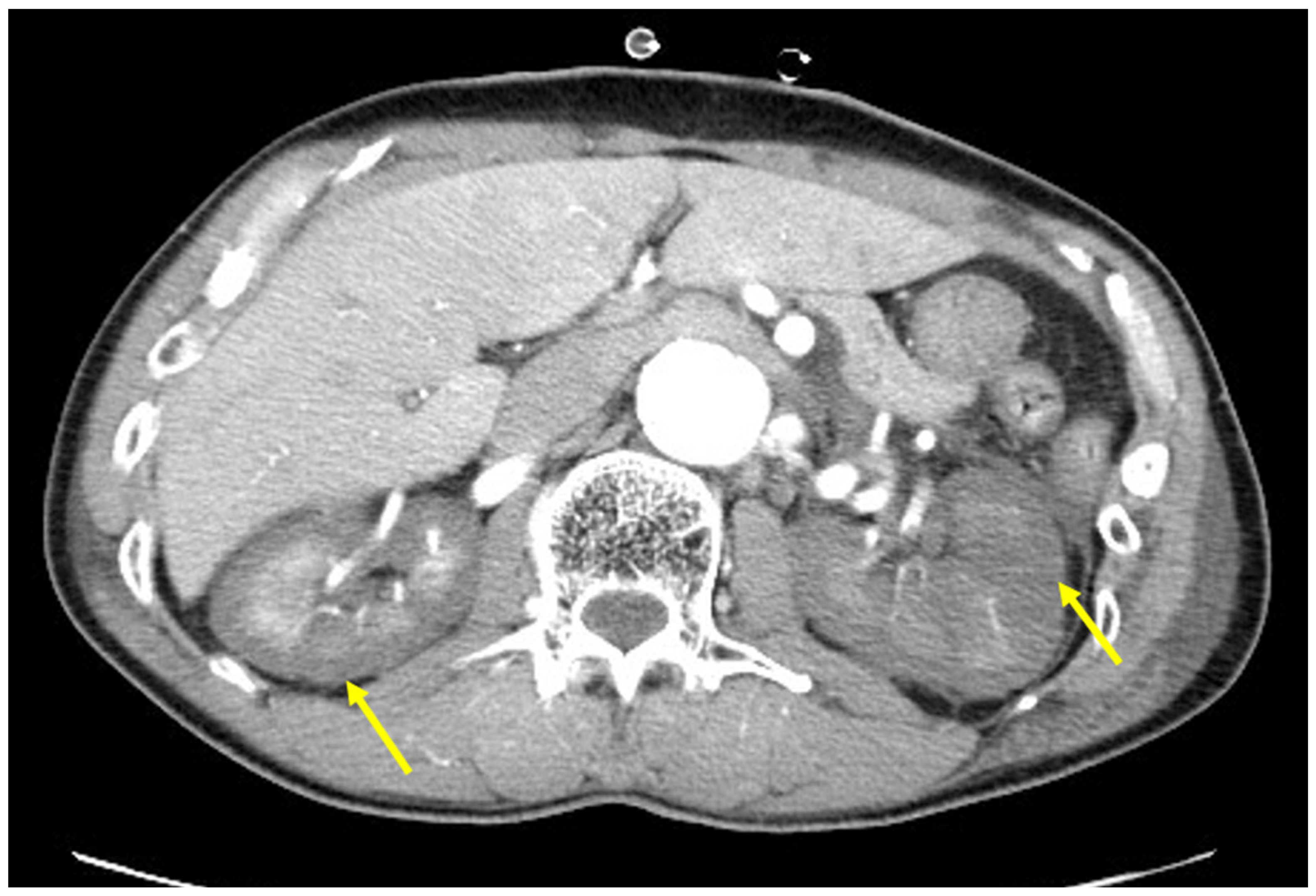
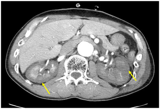
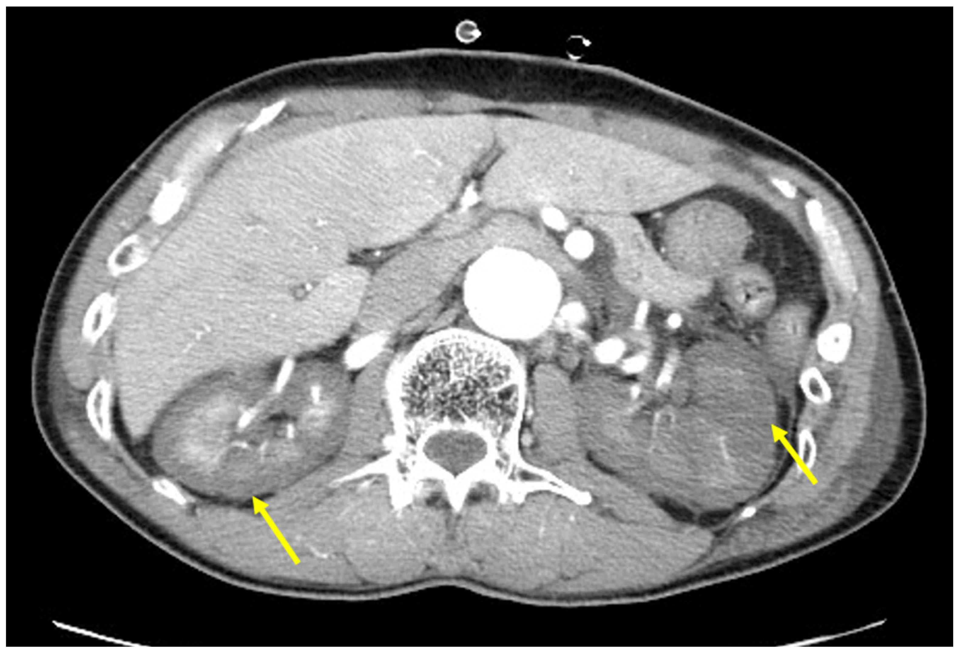
2.3. Diagnostic Criteria of t-TMA
2.4. Diagnostic Algorithm of t-TMA
2.5. Acute Renal Failure (ARF) Definition
2.6. Treatment Strategy of t-TMA
2.7. Statistical Analysis
3. Results
3.1. Demography and Clinicopathologic Findings
3.2. Onset Time of Clinical Findings
3.3. AKI and RRT
3.4. Treatment and Response Rate
3.5. TPE Duration
3.6. Mortality
4. Discussion
5. Conclusions
Author Contributions
Funding
Institutional Review Board Statement
Informed Consent Statement
Data Availability Statement
Conflicts of Interest
References
- Moake, J.L. Thrombotic microangiopathies. N. Engl. J. Med. 2002, 347, 589–600. [Google Scholar] [CrossRef] [PubMed]
- George, J.N.; Nester, C.M. Syndromes of thrombotic microangiopathy. N. Engl. J. Med. 2014, 371, 1847–1848. [Google Scholar] [CrossRef] [PubMed]
- Lim, K.H.; Park, J. Thrombotic thrombocytopenic purpura after blunt traumatic liver injury. Am. J. Emerg. Med. 2016, 34, 939.e3–939.e4. [Google Scholar] [CrossRef] [PubMed]
- Ikegami, K.; Yamagishi, T.; Tajima, J.; Inoue, Y.; Kumagai, K.; Hirose, Y.; Kondo, D.; Nikkuni, K. Post-traumatic thrombotic microangiopathy following pelvic fracture treated with transcatheter arterial embolization: A case report. J. Med. Case Rep. 2018, 12, 216. [Google Scholar] [CrossRef] [PubMed][Green Version]
- Mehta, R.L.; Kellum, J.A.; Shah, S.V.; Molitoris, B.A.; Ronco, C.; Warnock, D.G.; Levin, A.; Acute Kidney Injury Network. Acute Kidney Injury Network: Report of an initiative to improve outcomes in acute kidney injury. Crit. Care 2007, 11, R31. [Google Scholar] [CrossRef] [PubMed]
- Sadler, J.E. What’s new in the diagnosis and pathophysiology of thrombotic thrombocytopenic purpura. Hematol. Am. Soc. Hematol. Educ. Program 2015, 2015, 631–636. [Google Scholar] [CrossRef] [PubMed]
- Symmers, W.S. Thrombotic microangiopathic haemolytic anaemia (thrombotic microangiopathy). Br. Med. J. 1952, 2, 897–903. [Google Scholar] [CrossRef] [PubMed]
- Lim, K.H.; Park, J.; Cho, S.H. Risk factors of trauma-induced thrombotic microangiopathy-like syndrome: A retrospective analysis. Medicine 2022, 101, e29315. [Google Scholar] [CrossRef] [PubMed]
- Eskazan, A.E.; Buyuktas, D.; Soysal, T. Postoperative thrombotic thrombocytopenic purpura. Surg. Today 2015, 45, 8–16. [Google Scholar] [CrossRef] [PubMed]
- Chang, J.C. TTP-like syndrome: Novel concept and molecular pathogenesis of endotheliopathy-associated vascular microthrombotic disease. Thromb. J. 2018, 16, 20. [Google Scholar] [CrossRef] [PubMed]
- Pande, A.; Kumar, A.; Krishnani, H.; Acharya, S.; Shukla, S. Recent Advances in the Management of Microangiopathic Hemolytic Anemias (MAHA): A Narrative Review. Cureus 2023, 15, e47196. [Google Scholar] [CrossRef]
- Thomas, M.R.; Scully, M. How I treat microangiopathic hemolytic anemia in patients with cancer. Blood 2021, 137, 1310–1317. [Google Scholar] [CrossRef] [PubMed]
- Zafrani, L.; Mariotte, E.; Darmon, M.; Canet, E.; Merceron, S.; Boutboul, D.; Veyradier, A.; Galicier, L.; Azoulay, E. Acute renal failure is prevalent in patients with thrombotic thrombocytopenic purpura associated with low plasma ADAMTS13 activity. J. Thromb. Haemost. 2015, 13, 380–389. [Google Scholar] [CrossRef] [PubMed]
- Mariotte, E.; Azoulay, E.; Galicier, L.; Rondeau, E.; Zouiti, F.; Boisseau, P.; Poullin, P.; de Maistre, E.; Provot, F.; Delmas, Y.; et al. Epidemiology and pathophysiology of adulthood-onset thrombotic microangiopathy with severe ADAMTS13 deficiency (thrombotic thrombocytopenic purpura): A cross-sectional analysis of the French national registry for thrombotic microangiopathy. Lancet Haematol. 2016, 3, e237–e245. [Google Scholar] [CrossRef] [PubMed]
- Joly, B.S.; Coppo, P.; Veyradier, A. Thrombotic thrombocytopenic purpura. Blood 2017, 129, 2836–2846. [Google Scholar] [CrossRef] [PubMed]
- Francois, M.; Daubin, D.; Menouche, D.; Gaillet, A.; Provoost, J.; Trusson, R.; Arrestier, R.; Hequet, O.; Richard, J.C.; Moranne, O.; et al. Adverse Events and Infectious Complications in the Critically Ill Treated by Plasma Exchange: A Five-Year Multicenter Cohort Study. Crit. Care Explor. 2023, 5, e0988. [Google Scholar] [CrossRef] [PubMed]
- Sayani, F.A.; Abrams, C.S. How I treat refractory thrombotic thrombocytopenic purpura. Blood 2015, 125, 3860–3867. [Google Scholar] [CrossRef] [PubMed]



| No. | Sex | Age | ISS | Hospital Stay | Trauma Mechanism | Diagnosis of Trauma | CRRT | To CRF | TPE | Methylprednisolone | Expire | Cause of Death |
|---|---|---|---|---|---|---|---|---|---|---|---|---|
| 1 | M | 83 | 25 | 25 | pedestrian TA | pelvic Fx | + | + | + | + | sepsis | |
| 2 | M | 76 | 27 | 8 | passenger TA | mesenteric injury, SAH, MRF | + | + | + | MOF, cerebral infarction | ||
| 3 | M | 86 | 4 | 29 | pedestrian TA | pelvic Fx | + | + | + | acute MI | ||
| 4 | M | 89 | 43 | 24 | pedestrian TA | pelvic Fx | + | + | ||||
| 5 | M | 77 | 27 | 20 | motorcycle TA | spleen injury, skull Fx | + | + | + | + | pneumonia, sepsis | |
| 6 | F | 84 | 16 | 52 | pedestrian TA | pelvic, extremity Fx | + | + | ||||
| 7 | F | 87 | 9 | 85 | pedestrian TA | extremity Fx, popliteal artery injury | + | + | + | |||
| 8 | F | 74 | 26 | 51 | pedestrian TA | extremity Fx, diaphragmatic rupture | + | + | + | neutropenia, sepsis | ||
| 9 | F | 74 | 22 | 66 | passenger TA | spine Fx, MRF | + | + | + | + | pneumonia, sepsis | |
| 10 | M | 63 | 38 | 73 | motorcycle TA | mesenteric injury, aorta injury, extremity Fx | + | + | + | |||
| 11 | M | 23 | 22 | 71 | motorcycle TA | liver injury | + | + | ||||
| 12 | M | 48 | 41 | 208 | pedestrian TA | liver injury, pelvic Fx | + | + | ||||
| 13 | F | 94 | 14 | 4 | fall | retroperitoneal hematoma, spine Fx | + | + | + | + | refusal of mechanical ventilator | |
| 14 | M | 18 | 24 | 59 | motorcycle TA | stomach rupture, spleen injury, small bowel injury | + | + | ||||
| 15 | M | 61 | 13 | 145 | passenger TA | extremity Fx | + | + | ||||
| 16 | M | 78 | 8 | 71 | pedestrian TA | liver/spleen injury, pelvic Fx | + | |||||
| 17 | F | 80 | 22 | 44 | fall | pelvic Fx, bladder injury | + | + | ||||
| 18 | F | 77 | 13 | 44 | pedestrian TA | pelvic Fx | + | + | ||||
| 19 | F | 87 | 22 | 70 | pedestrian TA | pelvic Fx, MRF, facial Fx | + | + | + | + | ||
| 20 | M | 65 | 29 | 88 | pedestrian TA | MRF, diaphragmatic rupture | + | + | ||||
| 21 | M | 57 | 25 | 37 | pedestrian TA | kidney/spleen injury | + | + | + | |||
| 22 | M | 89 | 21 | 36 | fall | pelvic Fx | + | |||||
| 23 | M | 58 | 22 | 97 | passenger TA | extremity Fx | + | + | + | |||
| 24 | M | 70 | 16 | 72 | slip | ICH | + | + | + | |||
| 25 | F | 21 | 34 | 209 | fall | spleen/kidney/mesenteric injury, pelvic Fx, MRF | + | + | ||||
| 26 | M | 58 | 33 | 65 | passenger TA | mesenteric injury, heart valve rupture | + | + | + | |||
| 27 | M | 54 | 24 | 43 | passenger TA | spleen injury, MRF | + | + | ||||
| 28 | M | 74 | 25 | 58 | pedestrian TA | spleen/liver injury, diaphragmatic rupture | + | + | ||||
| 29 | F | 53 | 29 | 23 | fall | pelvic Fx, aorta injury, liver injury | + | + | + | + | sepsis | |
| 30 | F | 71 | 17 | 65 | pedestrian TA | pelvic Fx | + |
| Variable | Survivor (n = 22) | Non-Survivor (n = 8) | p-Value |
|---|---|---|---|
| Sex (male) a | 15 (68.2) | 4 (50.0) | 0.417 |
| Age b (year) | 64.1 ± 21.5 | 77.1 ± 11.9 | 0.119 |
| ISS b | 23.5 ± 9.7 | 21.8 ± 8.5 | 0.656 |
| Fever a | 13 (59.1) | 2 (25.0) | 0.215 |
| Digital necrosis a | 9 (40.9) | 4 (50.0) | 0.485 |
| Total bilirubin b (mg/dL) | 5.6 ± 8.6 | 8.2 ± 7.1 | 0.445 |
| LDH b (U/L) | 1622.1 ± 1105.8 | 1321.3 ± 988.4 | 0.504 |
| ADAMTS13 activity b (%) | 62.9 ± 27.9 | 58.1 ± 24.7 | 0.677 |
| Schistocytes b (%) | 3.7 ± 3.4 | 4.4 ± 2.1 | 0.621 |
| TPE duration b (day) | 6.1 ± 4.6 | 5.5 ± 4.5 | 0.754 |
| Interval between Plt < 50 k and Tx b (day) | 3.7 ± 2.1 | 3.4 ± 2.6 | 0.703 |
| Transfused Plt before Tx b(unit) | 29.4 ± 19.1 | 31.1 ± 21.9 | 0.835 |
| Sepsis a | 0 (0) | 5 (62.5) | 0.000 |
| TPE + methylprednisolone a | 4 (18.2) | 5 (62.5) | 0.032 |
| TPE a | 19 (86.3) | 8 (100) | 0.271 |
| Methylprednisolone a | 7 (31.8) | 5 (62.5) | 0.210 |
| Empirical antibiotics a | 12 (54.5) | 3 (37.5) | 0.682 |
| Variable | Sepsis (n = 5) | Non-Sepsis (n = 25) | p-Value |
|---|---|---|---|
| Sex (male) a | 2 (40) | 17 (68) | 0.327 |
| Age b (year) | 72.2 ± 11.3 | 66.7 ± 21.5 | 0.584 |
| ISS b | 25.8 ± 2.6 | 22.5 ± 10.1 | 0.475 |
| Fever a | 1 (20) | 14 (56) | 0.142 |
| Digital necrosis a | 3 (60) | 10 (40) | 0.628 |
| Total bilirubin b (mg/dL) | 9.5 ± 8.7 | 5.7 ± 8.1 | 0.352 |
| LDH b (U/L) | 1473.6 ± 1271.3 | 1555.6 ± 1051.9 | 0.879 |
| ADAMTS13 activity b (%) | 54.0 ± 18.9 | 63.3 ± 28.1 | 0.497 |
| Schistocytes b (%) | 3.8 ± 1.1 | 3.9 ± 3.4 | 0.939 |
| TPE duration b (day) | 7.2 ± 4.7 | 5.6 ± 4.5 | 0.490 |
| Interval between Plt < 50 k and Tx b (day) | 3.2 ± 2.5 | 3.7 ± 2.2 | 0.636 |
| Transfused Plt before Tx b (unit) | 26.6 ± 21.3 | 30.5 ± 19.5 | 0.689 |
| TPE + methylprednisolonea | 4 (80) | 5 (20) | 0.019 |
| TPE a | 5 (100) | 22 (88) | 1.000 |
| Methylprednisolone a | 4 (80) | 8 (32) | 0.046 |
| Empirical antibiotics a | 2 (40) | 13 (52) | 1.000 |
Disclaimer/Publisher’s Note: The statements, opinions and data contained in all publications are solely those of the individual author(s) and contributor(s) and not of MDPI and/or the editor(s). MDPI and/or the editor(s) disclaim responsibility for any injury to people or property resulting from any ideas, methods, instructions or products referred to in the content. |
© 2024 by the authors. Licensee MDPI, Basel, Switzerland. This article is an open access article distributed under the terms and conditions of the Creative Commons Attribution (CC BY) license (https://creativecommons.org/licenses/by/4.0/).
Share and Cite
Hwang, S.; Kim, G.W.; Cho, S.H.; Lim, K.H. Clinical Characteristics and Treatment Courses of Trauma-Induced Thrombotic Microangiopathy: A Retrospective Study. J. Clin. Med. 2024, 13, 6527. https://doi.org/10.3390/jcm13216527
Hwang S, Kim GW, Cho SH, Lim KH. Clinical Characteristics and Treatment Courses of Trauma-Induced Thrombotic Microangiopathy: A Retrospective Study. Journal of Clinical Medicine. 2024; 13(21):6527. https://doi.org/10.3390/jcm13216527
Chicago/Turabian StyleHwang, Suyeong, Gun Woo Kim, Sung Hoon Cho, and Kyoung Hoon Lim. 2024. "Clinical Characteristics and Treatment Courses of Trauma-Induced Thrombotic Microangiopathy: A Retrospective Study" Journal of Clinical Medicine 13, no. 21: 6527. https://doi.org/10.3390/jcm13216527
APA StyleHwang, S., Kim, G. W., Cho, S. H., & Lim, K. H. (2024). Clinical Characteristics and Treatment Courses of Trauma-Induced Thrombotic Microangiopathy: A Retrospective Study. Journal of Clinical Medicine, 13(21), 6527. https://doi.org/10.3390/jcm13216527

