Novel Advances in Qualitative Diagnostic Imaging for Decision Making in Multidisciplinary Treatment for Advanced Esophageal Cancer
Abstract
1. Introduction
2. Material and Methods
3. Results
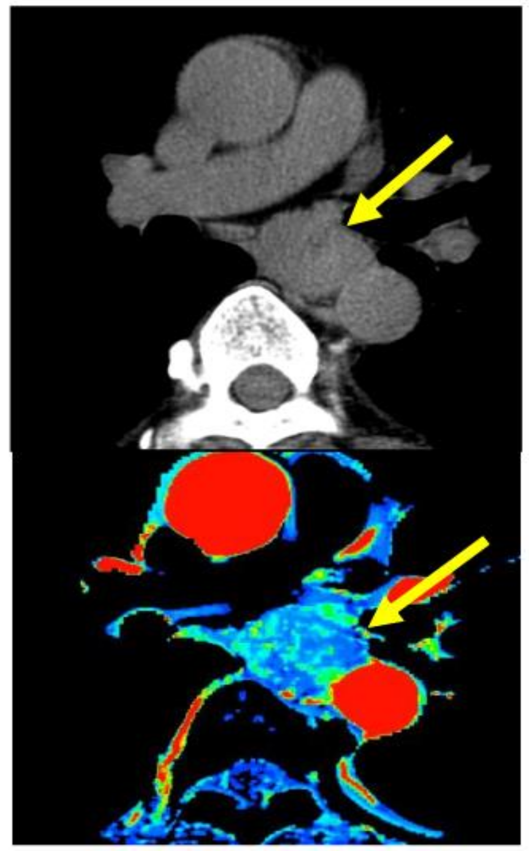
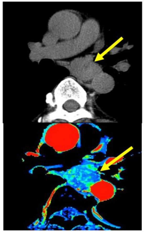
3.1. Response Prediction before Neoadjuvant Therapy
| Author | Year | Modality | Patients | Pathology | Indices |
|---|---|---|---|---|---|
| Hayano et al. [20] | 2007 | Perfusion-CT | 31 | SCC | high pre-CRT blood flow > 50 (mL/min/100 g) |
| Makari et al. [21] | 2007 | Perfusion-CT | 55 | SCC | high pre-CRT blood flow > 70 (mL/min/100 g) |
| Li [22] | 2015 | Perfusion-CT | 55 | SCC | high pre-CRT blood flow > 36.1 (mL/min/100 g) |
| Lei et al. [23] | 2015 | DCE-MRI | 25 | SCC | high pre-CRT Ktrans value |
| Ye et al. [24] | 2018 | DCE-MRI | 237 | AC, SCC | high pre-CRT Ktrans value |
| Aoyagi et al. [27] | 2011 | DW-MRI | 80 | SCC | high pre CRT ADC value > 1.1 (10−3 mm2/s) |
| Ye et al. [24] | 2018 | DW-MRI | 237 | AC, SCC | high pre-CRT ADC value |
| Guo et al. [28] | 2018 | DW-MRI | 78 | SCC | high pre-CRT ADC value |
| Cong et al. [26] | 2019 | DW-MRI | 52 | SCC | high pre-CRT ADC value |
| Hirata et al. [30] | 2020 | DW-MRI | 58 | SCC | low pre-CRT ADC value |
3.2. Response Evaluation Reflecting the Degree of Pathological Regression after Treatment
| Author | Year | Modality | Patients | Pathology | Indices |
|---|---|---|---|---|---|
| Evaluation after treatment | |||||
| Hayano et al. [33] | 2014 | Perfusion-CT | 32 | SCC | pre–post-CRT blood flow reduction > 15% |
| Stefanovic et al. [34] | 2015 | Perfusion-CT | 40 | SCC | post-CRT blood flow < 30 (ml/min/100 g) |
| Imanishi et al. [35] | 2013 | DW-MRI | 27 | SCC | ◿ADC (>40%) |
| Li et al. [38] | 2017 | DW-MRI | 28 | SCC | ◿ADC, post-CRT ADC |
| Cheng et al. [36] | 2018 | DW-MRI | 236 | AC, SCC | ◿ADC, post-CRT ADC |
| Heethuis et al. [37] | 2018 | DW-MRI | 45 | AC, SCC | ◿ADC (>75%) |
| Borggreve et al. [17] | 2019 | DW-MRI | 69 | AC, SCC | ◿ADC |
| Swisher et al. [42] | 2004 | FDG-PET | 103 | AC, SCC | post-CRT SUV (<3.1) |
| Higuchi et al. [44] | 2008 | FDG-PET | 50 | SCC | post-CRT SUV (<2.5) |
| Izumi et al. [46] | 2015 | FDG-PET | 73 | SCC | post-CRT SUVmax with T/N ratio |
| Boerggreve et al. [17] | 2019 | FDG-PET | 69 | AC, SCC | ◿SUV |
| Evaluation at the early treatment course | |||||
| Imanishi et al. [35] | 2013 | DW-MRI | 27 | SCC | ◿ADC (>15%: 20Gy after beginning of CRT) |
| Guo et al. [28] | 2018 | DW-MRI | 78 | SCC, AC | ◿ADC (2 w after beginning of CRT) |
| Vollenblock et al. [40] | 2019 | DW-MRI | 516 | AC, SCC | ◿ADC (2 w after beginning of CRT) |
| Borggreve et al. [39] | 2020 | DW-MRI | 24 | AC, SCC | ◿ADC (>36%: 2 w after beginning of CRT) |
| Ott et al. [45] | 2006 | FDG-PET | 65 | AC | ◿SUV (>35%: 2 W after beginning of CRT) |
4. Discussions
5. Conclusions
Author Contributions
Funding
Institutional Review Board Statement
Informed Consent Statement
Data Availability Statement
Conflicts of Interest
References
- Kumar, T.; Pai, E.; Singh, R.; Francis, N.J.; Pandey, M. Neoadjuvant strategies in resectable carcinoma esophagus: A meta-analysis of randomized trials. World J. Surg. Oncol. 2020, 18, 59. [Google Scholar] [CrossRef] [PubMed]
- Yang, H.; Liu, H.; Chen, Y.; Zhu, C.; Fang, W.; Yu, Z. Neoadjuvant Chemoradiotherapy Followed by Surgery Versus Surgery Alone for Locally Advanced Squamous Cell Carcinoma of the Esophagus (NEOCRTEC5010): A Phase III Multicenter, Randomized, Open-Label Clinical Trial. Clin. Oncol. 2018, 36, 2796–2803. [Google Scholar] [CrossRef]
- Terada, M.; Hara, H.; Daiko, H.; Mizusawa, J.; Kadota, T.; Hori, K. Phase III study of tri-modality combination therapy with induction docetaxel plus cisplatin and 5-fluorouracil versus definitive chemoradiotherapy for locally advanced unresectable squamous-cell carcinoma of the thoracic esophagus (JCOG1510, TRIANgLE). Jpn. J. Clin. Oncol. 2019, 49, 1055–1060. [Google Scholar] [CrossRef] [PubMed]
- Miyata, H.; Sugimura, K.; Motoori, M.; Omori, T.; Yamamoto, K.; Yanagimoto, Y. Clinical Implications of Conversion Surgery After Induction Therapy for T4b Thoracic Esophageal Squamous Cell Carcinoma. Ann. Surg. Oncol. 2019, 26, 4737–4743. [Google Scholar] [CrossRef]
- Von Döbeln, G.A.; Klevebro, F.; Jacobsen, B.; Johannessen, O.; Nielsen, H.; Johnsen, G. Neoadjuvant chemotherapy versus neoadjuvant chemoradiotherapy for cancer of the esophagus or gastroesophageal junction: Long-term results of a randomized clinical trial. Dis. Esophagus 2018, 32, doy078. [Google Scholar] [CrossRef]
- Sjoquist, K.M.; Burmeister, B.H.; Smithers, B.M.; Zalcberg, J.R.; Simes, R.J.; Barbour, A.; Australasian Gastro-Intestinal Trials Group. Survival after neoadjuvant chemotherapy or chemoradiotherapy for resectable oesophageal carcinoma: An updated meta-analysis. Lancet Oncol. 2011, 12, 681–692. [Google Scholar] [CrossRef] [PubMed]
- Eyck, B.M.; van Lanschot, J.J.B.; Hulshof, M.C.C.M.; van der Wilk, B.J.; Shapiro, J.; van Hagen, P. Ten-Year outcome of neoadjuvant chemoradiotherapy plus surgery for esophageal cancer: The Randomized controlled CROSS Trial. J. Clin. Oncol. 2021, 39, 1995–2004. [Google Scholar] [CrossRef]
- Tang, H.; Wang, H.; Fang, Y.; Zhu, J.Y.; Yin, J.; Shen, Y.X. Neoadjuvant chemoradiotherapy versus neoadjuvant chemotherapy followed by minimally invasive esophagectomy for locally advanced esophageal squamous cell carcinoma: A prospective multicenter randomized clinical trial. Ann. Oncol. 2023, 34, 163–172. [Google Scholar] [CrossRef]
- Nusrath, S.; Thammineedi, S.R.; Vijaya Narsimha Raju, K.V.; Patnaik, S.C.; Pawar, S.; Santa, A. Short-term Outcomes in Patients with Carcinoma of the Esophagus and Gastroesophageal Junction Receiving Neoadjuvant Chemotherapy or Chemoradiation before Surgery. A Prospective Study. Rambam Maimonides Med. J. 2019, 10, e0002. [Google Scholar] [CrossRef]
- Thomas, M.; Borggreve, A.S.; van Rossum, P.S.N.; Perneel, C.; Moons, J.; Van Daele, E.; van Hillegersberg, R. Radiation dose and pathological response in oesophageal cancer patients treated with neoadjuvant chemoradiotherapy followed by surgery: A multi-institutional analysis. Acta Oncol. 2019, 58, 1358–1365. [Google Scholar] [CrossRef]
- Andreollo, N.A.; Beraldo, G.C.; Alves, I.P.F.; Tercioti-Junior, V.; Ferrer, J.A.P.; Coelho-Neto, J.S. Pathologic complete response (YPT0 YPN0) after chemo therapy and radiotherapy neoadjuvant followed by esophagectomy in the squamous cell carcinoma of the esophagus. Arq. Bras. Cir. Dig. 2018, 31, e1405. [Google Scholar] [CrossRef] [PubMed]
- Jain, R.K.; Carmeliet, P. SnapShot: Tumor angiogenesis. Cell 2012, 149, 1408–1408.e1. [Google Scholar] [CrossRef] [PubMed]
- Carmeliet, P.; Jain, R.K. Angiogenesis in cancer and other diseases. Nature 2000, 407, 249–257. [Google Scholar] [CrossRef]
- Hayano, K.; Ohira, G.; Hirata, A.; Aoyagi, T.; Imanishi, S.; Tochigi, T. Imaging biomarkers for the treatment of esophageal cancer. World J. Gastroenterol. 2019, 25, 3021–3029. [Google Scholar] [CrossRef] [PubMed]
- Aoyagi, T.; Shuto, K.; Okazumi, O.; Hayano, K.; Satoh, A.; Saitoh, H. Apparent Diffusion Coefficient Correlation With Oesophageal Tumour Stroma and Angiogenesis. Eur. Radiol. 2012, 22, 1172–1177. [Google Scholar] [CrossRef] [PubMed]
- Tamandl, D.; Fueger, B.; Haug, A.; Schmid, R.; Stift, J.; Schoppmann, S.F. Diagnostic Algorithm That Combines Quantitative 18F-FDG PET Parameters and Contrast-Enhanced CT Improves Posttherapeutic Locoregional Restaging and Prognostication of Survival in Patients With Esophageal Cancer. Clin. Nucl. Med. 2019, 44, e13–e21. [Google Scholar] [CrossRef] [PubMed]
- Borggreve, A.S.; Goense, L.; van Rossum, P.S.N.; Heethuis, S.E.; van Hillegersberg, R.; Lagendijk, J.J.W. Preoperative Prediction of Pathologic Response to Neoadjuvant Chemoradiotherapy in Patients With Esophageal Cancer Using 18F-FDG PET/CT and DW-MRI: A Prospective Multicenter Study. Int. J. Radiat. Oncol. Biol. Phys. 2020, 106, 998–1009. [Google Scholar] [CrossRef] [PubMed]
- Miles, K.A.; Hayball, M.; Dixon, A.K. Colour perfusion imaging: A new application of computed tomography. Lancet 1991, 337, 643–645. [Google Scholar] [CrossRef]
- Chen, T.W.; Yang, Z.G.; Wang, Q.L.; Li, Y.; Qian, L.L.; Chen, H. Whole tumour quantitative measurement of first-pass perfusion of oesophageal squamous cell carcinoma using 64-row multidetector computed tomography: Correlation with microvessel density. J. Eur. J. Radiol. 2011, 79, 218–223. [Google Scholar] [CrossRef]
- Hayano, K.; Okazumi, S.; Shuto, K.; Matsubara, H.; Shimada, H.; Nabeya, Y. Perfusion CT can predict the response to chemoradiation therapy and survival in esophageal squamouscell carcinoma: Initial clinical results. Oncol. Rep. 2007, 18, 901–908. [Google Scholar]
- Makari, Y.; Yasuda, T.; Doki, Y.; Miyata, H.; Fujiwara, Y.; Takiguchi, S. Correlation between tumor blood flow assessed by perfusion CT and effect of neoadjuvant therapy in advanced esophageal cancers. Surg. Oncol. 2007, 96, 220–229. [Google Scholar] [CrossRef]
- Li, M.H.; Shang, D.P.; Chen, C.; Xu, L.; Huang, Y.; Kong, L. Perfusion computed tomography in predicting treatment response of advanced esophageal squamous cell carcinomas. Asian Pac. J. Cancer Prev. 2015, 16, 797–802. [Google Scholar] [CrossRef] [PubMed]
- Lei, J.; Han, Q.; Zhu, S.; Shi, D.; Dou, S.; Su, Z. Assessment of esophageal carcinoma undergoing concurrent chemoradiotherapy with quantitative dynamic contrast-enhanced magnetic resonance imaging. Oncol. Lett. 2015, 10, 3607–3612. [Google Scholar] [CrossRef] [PubMed]
- Ye, Z.M.; Dai, S.J.; Yan, F.Q.; Wang, L.; Fang, J.; Fu, Z.F. DCE-MRI-Derived Volume Transfer Constant (K(trans)) and DWI Apparent Diffusion Coefficient as Predictive Markers of Short- and Long-Term Efficacy of Chemoradiotherapy in Patients With Esophageal Cancer. Technol. Cancer Res. Treat. 2018, 17, 1533034618765254. [Google Scholar] [CrossRef]
- Sun, N.N.; Ge, X.L.; Liu, X.S.; Xu, L.L. Histogram analysis of DCE-MRI for chemoradiotherapy response evaluation in locally advanced esophageal squamous cell carcinoma. Radiol. Med. 2020, 125, 165–176. [Google Scholar] [CrossRef] [PubMed]
- Cong, Q.; Li, G.; Wang, Y.; Zhang, S.; Zhang, H. DW-MRI for esophageal squamous cell carcinoma, correlations between ADC values with histologic differentiation and VEGF expression: A retrospective study. Oncol. Lett. 2019, 17, 2770–2776. [Google Scholar] [CrossRef] [PubMed]
- Aoyagi, T.; Shuto, K.; Okazumi, S.; Shimada, H.; Kazama, T.; Matsubara, H. Apparent Diffusion Coefficient Values Measured by Diffusion-Weighted Imaging Predict Chemoradiotherapeutic Effect for Advanced Esophageal Cancer. Dig. Surg. 2011, 28, 252–257. [Google Scholar] [CrossRef] [PubMed]
- Guo, L.; Zhang, L.; Zhao, J. CT scan and magnetic resonance diffusion-weighted imaging in the diagnosis and treatment of esophageal cancer. Oncol. Lett. 2018, 16, 7117–7122. [Google Scholar] [CrossRef] [PubMed]
- Li, S.P.; Padhani, A.R. Tumor response assessments with diffusion and perfusion MRI. J. Magn. Reson. Imaging 2012, 35, 745–763. [Google Scholar] [CrossRef]
- Hirata, A.; Hayano, K.; Ohira, G.; Imanishi, S.; Hanaoka, T.; Murakami, K. Volumetric histogram analysis of apparent diffusion coefficient for predicting pathological complete response and survival in esophageal cancer patients treated with chemoradiotherapy. Am. J. Surg. 2020, 219, 1024–1029. [Google Scholar] [CrossRef]
- Chao, Y.K.; Chuang, W.Y.; Chang, H.K.; Tseng, C.K.; Yeh, C.J.; Liu, Y.H. Prognosis of patients with esophageal squamous cell carcinoma who achieve major histopathological response after neoadjuvant chemoradiotherapy. Eur. J. Surg. Oncol. 2017, 43, 234–239. [Google Scholar] [CrossRef] [PubMed]
- Noble, F.; Nolan, L.; Bateman, A.C.; Byrne, J.P.; Kelly, J.J.; Bailey, I.S. Refining pathological evaluation of neoadjuvant therapy for adenocarcinoma of the esophagus. World J. Gastroenterol. 2013, 19, 9282–9293. [Google Scholar] [CrossRef] [PubMed]
- Hayano, K.; Shuto, K.; Satoh, A.; Aoyagi, T.; Narushima, K.; Gunji, H. Tumor blood flow change measured by CT perfusion during chemoradiation therapy (CRT) for monitoring response and predicting survival in patients with esophageal cancer. Esophagus 2014, 11, 72–79. [Google Scholar] [CrossRef]
- Djuric-Stefanovic, A.; Micev, M.; Stojanovic-Rundic, S.; Pesko, P.; Saranovic, D. Absolute CT perfusion parameter values after the neoadjuvant chemoradiotherapy of the squamous cell esophageal carcinoma correlate with the histopathologic tumor regression grade. Eur. J. Radiol. 2015, 84, 2477–2484. [Google Scholar] [CrossRef] [PubMed]
- Imanishi, S.; Shuto, K.; Aoyagi, T.; Kono, T.; Saito, H.; Matsubara, H. Diffusion-weighted Magnetic Resonance Imaging for Predicting and Detecting the Early Response to Chemoradiotherapy of Advanced Esophageal Squamous Cell Carcinoma. Dig. Surg. 2013, 30, 240–248. [Google Scholar] [CrossRef] [PubMed]
- Cheng, B.; Yu, J. Predictive value of diffusion-weighted MR imaging in early response to chemoradiotherapy of esophageal cancer: A meta-analysis. Dis. Esophagus 2018, 32, doy065. [Google Scholar] [CrossRef]
- Heethuis, S.E.; Goense, L.; van Rossum, P.S.N.; Borggreve, A.S.; Mook, S.; Voncken, F.E.M. DW-MRI and DCE-MRI are of complementary value in predicting pathologic response to neoadjuvant chemoradiotherapy for esophageal cancer. Acta Oncol. 2018, 57, 1201–1208. [Google Scholar] [CrossRef]
- Li, Q.W.; Qiu, B.; Wang, B.; Wang, D.L.; Yin, S.H.; Yang, H. Prediction of pathologic responders to neoadjuvant chemoradiotherapy by diffusion-weighted magnetic resonance imaging in locally advanced esophageal squamous cell carcinoma: A prospective study. Dis. Esophagus 2017, 31, dox121. [Google Scholar] [CrossRef]
- Borggreve, A.S.; Heethuis, S.E.; Boekhoff, M.R.; Goense, L.; van Rossum, P.S.N.; Brosens, L.A.A. Optimal timing for prediction of pathologic complete response to neoadjuvant chemoradiotherapy with diffusion-weighted MRI in patients with esophageal cancer. J. Eur. Radiol. 2020, 30, 1896–1907. [Google Scholar] [CrossRef]
- Vollenbrock, S.E.; Voncken, F.E.M.; Bartels, L.W.; Beets-Tan, R.G.H.; Bartels-Rutten, A. Diffusion-weighted MRI with ADC mapping for response prediction and assessment of oesophageal cancer: A systematic review. Radiother. Oncol. 2020, 142, 17–26. [Google Scholar] [CrossRef]
- Odawara, S.; Kitajima, K.; Katsuura, T.; Kurahashi, Y.; Shinohara, H.; Yamaka, K. Tumor Response to Neoadjuvant Chemotherapy in Patients With Esophageal Cancer Assessed With CT and FDG-PET/CT-RECIST 1.1 vs. PERCIST 1. Eur. J. Radiol. 2018, 101, 65–71. [Google Scholar] [CrossRef]
- Swisher, S.G.; Maish, M.; Erasmus, J.J.; Correa, A.M.; Komaki, R.; Macapinlac, H. Utility of PET, CT, and EUS to Identify Pathologic Responders in Esophageal Cancer. Ann. Thorac. Surg. 2004, 78, 1152–1160. [Google Scholar] [CrossRef]
- Arnett, A.H.; Merrell, K.W.; Macintosh, E.M.; James, S.E.; Nathan, M.A.; Shen, K.R. Utility of 18F-FDG PET for Predicting Histopathologic Response in Esophageal Carcinoma following Chemoradiation. J. Thorac. Oncol. 2016, 12, 121–128. [Google Scholar] [CrossRef][Green Version]
- Higuchi, I.; Yasuda, T.; Yano, M.; Doki, Y.; Miyata, H.; Tatsumi, M. Lack of fludeoxyglucose F 18 uptake in posttreatment positron emission tomography as a significant predictor of survival after subsequent surgery in multimodality treatment for patients with locally advanced esophageal squamous cell carcinoma. J. Thorac. Cardiovasc. Surg. 2008, 136, 205–212. [Google Scholar] [CrossRef] [PubMed]
- Ott, K.; Weber, W.A.; Lordick, F.; Becker, K.; Busch, R.; Herrmann, K.; Wieder, H. Metabolic imaging predicts response, survival, and recurrence in adenocarcinomas of the esophagogastric junction. J. Clin. Oncol. 2006, 24, 4692–4698. [Google Scholar] [CrossRef] [PubMed]
- Izumi, D.; Yoshida, N.; Watanabe, M.; Shiraishi, S.; Ishimoto, T.; Kosumi, K. Tumor/normal esophagus ratio in (18)F-fluorodeoxyglucose positron emission tomography/computed tomography for response and prognosis stratification after neoadjuvant chemotherapy for esophageal squamous cell carcinoma. J. Gastroenterol. 2016, 51, 788–795. [Google Scholar] [CrossRef] [PubMed]
- Yasuda, T.; Yano, M.; Miyata, H.; Yamasaki, M.; Higuchi, I.; Takiguchi, S. Systemic control and evaluation of the response to neoadjuvant chemotherapy in resectable thoracic esophageal squamous cell carcinoma with 18F-fluorodeoxyglucose positron emission tomography-positive lymph nodes. Surg. Today 2015, 45, 335–345. [Google Scholar] [CrossRef] [PubMed]
- Hamai, Y.; Hihara, J.; Emi, M.; Ibuki, Y.; Murakami, Y.; Nishibuchi, I. Clinical Significance of 18F-Fluorodeoxyglucose-Positron Emission Tomography-Positive Lymph Nodes to Outcomes of Trimodal Therapy for Esophageal Squamous Cell Carcinoma. Ann. Surg. Oncol. 2019, 26, 1869–1878. [Google Scholar] [CrossRef]
- Yip, C.; Davnall, F.; Kozarski, R.; Landau, D.B.; Cook, G.J.; Ross, P. Assessment of changes in tumor heterogeneity following neoadjuvant chemotherapy in primary esophageal cancer. Dis. Esophagus 2015, 28, 172–179. [Google Scholar] [CrossRef]
- Ganeshan, B.; Skogen, K.; Pressney, I.; Coutroubis, D.; Miles, K. Tumour heterogeneity in oesophageal cancer assessed by CT texture analysis: Preliminary evidence of an association with tumour metabolism, stage, and survival. Clin. Radiol. 2012, 67, 157–164. [Google Scholar] [CrossRef]
- Yip, C.; Landau, D.; Kozarski, R.; Ganeshan, B.; Thomas, R.; Michaelidou, A. Primary esophageal cancer: Heterogeneity as potential prognostic biomarker in patients treated with definitive chemotherapy and radiation therapy. Radiology 2014, 270, 141–148. [Google Scholar] [CrossRef]
- Liu, S.; Zheng, H.; Pan, X.; Chen, L.; Shi, M.; Guan, Y. Texture analysis of CT imaging for assessment of esophageal squamous cancer aggressiveness. J. Thorac. Dis. 2017, 9, 4724–4732. [Google Scholar] [CrossRef]
- Okazumi, S.; Shimada, H.; Matsubara, H. Estimation of downstaging after chmoradiotherapy for T4 esophageal cancer by qualitative response evaluation using rendered MD-CT and the outcome of curative resection. Dis. Esophagus 2018, 31 (Suppl. S1), 140–141. [Google Scholar] [CrossRef]




| Perfusion CT | DCE-MRI | Diffusion-MRI | FDG-PET | Tissue Selected Rendering CE-CT | |
|---|---|---|---|---|---|
| PreRP | high blood flow | high Ktrans value | high ADC value | (-) | (-) |
| DurRP | (-) | (-) | increase in ADC value | decrease in SUV | (-) |
| RE | decrease in tumor blood flow | ◿Ktrans | increase in ADC value | decrease in SUV | decrease in CT value |
| DSE | (-) | (-) | (-) | (-) | appearance of fibrous changed layer |
Disclaimer/Publisher’s Note: The statements, opinions and data contained in all publications are solely those of the individual author(s) and contributor(s) and not of MDPI and/or the editor(s). MDPI and/or the editor(s) disclaim responsibility for any injury to people or property resulting from any ideas, methods, instructions or products referred to in the content. |
© 2024 by the authors. Licensee MDPI, Basel, Switzerland. This article is an open access article distributed under the terms and conditions of the Creative Commons Attribution (CC BY) license (https://creativecommons.org/licenses/by/4.0/).
Share and Cite
Okazumi, S.; Ohira, G.; Hayano, K.; Aoyagi, T.; Imanishi, S.; Matsubara, H. Novel Advances in Qualitative Diagnostic Imaging for Decision Making in Multidisciplinary Treatment for Advanced Esophageal Cancer. J. Clin. Med. 2024, 13, 632. https://doi.org/10.3390/jcm13020632
Okazumi S, Ohira G, Hayano K, Aoyagi T, Imanishi S, Matsubara H. Novel Advances in Qualitative Diagnostic Imaging for Decision Making in Multidisciplinary Treatment for Advanced Esophageal Cancer. Journal of Clinical Medicine. 2024; 13(2):632. https://doi.org/10.3390/jcm13020632
Chicago/Turabian StyleOkazumi, Shinichi, Gaku Ohira, Koichi Hayano, Tomoyoshi Aoyagi, Shunsuke Imanishi, and Hisahiro Matsubara. 2024. "Novel Advances in Qualitative Diagnostic Imaging for Decision Making in Multidisciplinary Treatment for Advanced Esophageal Cancer" Journal of Clinical Medicine 13, no. 2: 632. https://doi.org/10.3390/jcm13020632
APA StyleOkazumi, S., Ohira, G., Hayano, K., Aoyagi, T., Imanishi, S., & Matsubara, H. (2024). Novel Advances in Qualitative Diagnostic Imaging for Decision Making in Multidisciplinary Treatment for Advanced Esophageal Cancer. Journal of Clinical Medicine, 13(2), 632. https://doi.org/10.3390/jcm13020632

