The Role of CyberKnife Stereotactic Radiosurgery in Recurrent Cranial Medulloblastomas across Pediatric and Adult Populations †
Abstract
1. Introduction
2. Methods
2.1. Patient Selection and Characteristics
2.2. Tumor Characteristics
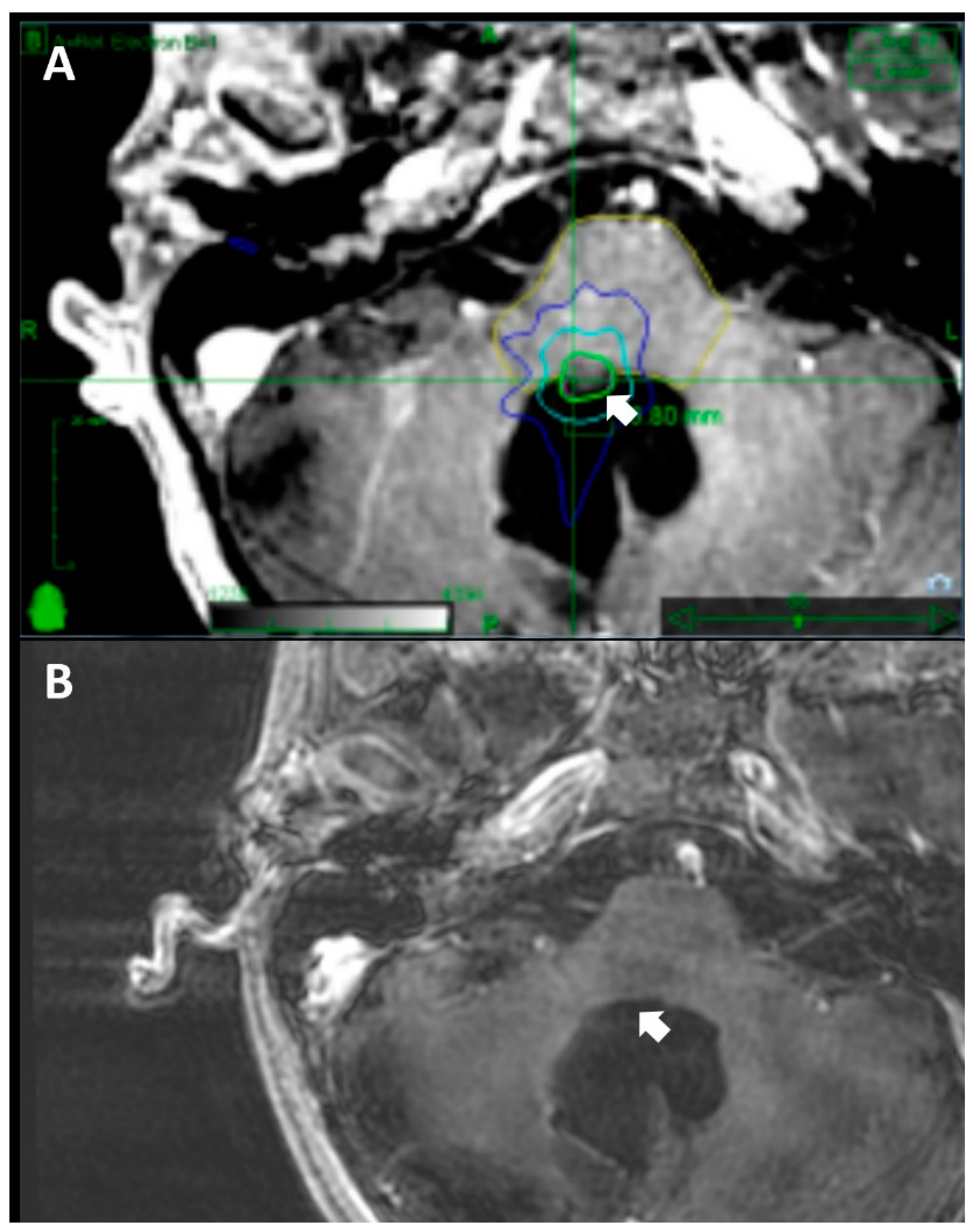
2.3. Treatment
2.4. Biologically Effective Dose (BED), Single-Fraction Equivalent Dose (SFED), and Equivalent Total Doses in 2-Gy Fractions (EQD2)
2.5. Follow-Up
3. Results
3.1. Patient Demographics and Characteristics
3.2. Local Tumor Control
3.3. Patient Survival
3.4. Progression-Free Survival
3.5. Symptomatic Outcome
3.6. Adverse Radiation Effect (ARE)
4. Discussion
4.1. Local Tumor Control
4.2. Patient Survival and Progression-Free Survival
4.3. Symptomatic Outcomes
4.4. Adverse Radiation Effects
4.5. Integration with Previous Studies
4.6. Limitations and Future Directions
5. Conclusions
Supplementary Materials
Author Contributions
Funding
Institutional Review Board Statement
Informed Consent Statement
Data Availability Statement
Acknowledgments
Conflicts of Interest
References
- Martin, A.M.; Raabe, E.; Eberhart, C.; Cohen, K.J. Management of pediatric and adult patients with medulloblastoma. Curr. Treat. Options Oncol. 2014, 15, 581–594. [Google Scholar] [CrossRef]
- Northcott, P.A.; Robinson, G.W.; Kratz, C.P.; Mabbott, D.J.; Pomeroy, S.L.; Clifford, S.C.; Rutkowski, S.; Ellison, D.W.; Malkin, D.; Taylor, M.D.; et al. Medulloblastoma. Nat. Rev. Dis. Primers 2019, 5, 11. [Google Scholar] [CrossRef]
- Yoo, K.H.; Park, D.J.; Choi, J.H.; Marianayagam, N.J.; Lim, M.; Meola, A.; Chang, S.D. Optimizing the synergy between stereotactic radiosurgery and immunotherapy for brain metastases. Front. Oncol. 2023, 13, 1223599. [Google Scholar] [CrossRef]
- Thomas, A.; Noël, G. Medulloblastoma: Optimizing care with a multidisciplinary approach. J. Multidiscip. Healthc. 2019, 12, 335–347. [Google Scholar] [CrossRef]
- Ramaswamy, V.; Remke, M.; Bouffet, E.; Faria, C.C.; Perreault, S.; Cho, Y.-J.; Shih, D.J.; Luu, B.; Dubuc, A.M.; Northcott, P.A.; et al. Recurrence patterns across medulloblastoma subgroups: An integrated clinical and molecular analysis. Lancet Oncol. 2013, 14, 1200–1207. [Google Scholar] [CrossRef]
- van Bree, N.F.H.N.; Wilhelm, M. The Tumor Microenvironment of Medulloblastoma: An Intricate Multicellular Network with Therapeutic Potential. Cancers 2022, 14, 5009. [Google Scholar] [CrossRef]
- Yoo, K.H.; Park, D.J.; Marianayagam, N.J.; Gu, X.; Pollom, E.L.; Soltys, S.G.; Chang, S.D.; Meola, A. Stereotactic Radiosurgery for Cranial and Spinal Hemangioblastomas: A Single-Institution Retrospective Series. Neurosurgery 2023, 94, 630–642. [Google Scholar] [CrossRef]
- Zeng, M.; Han, L.F. Stereotactic radiosurgery: A “targeted” therapy for cancer. Chin. J. Cancer 2012, 31, 471–475. [Google Scholar] [CrossRef][Green Version]
- Choi, C.Y.H.; Soltys, S.G.; Gibbs, I.C.; Harsh, G.R.; Sakamoto, G.T.; Patel, D.A.; Lieberson, R.E.; Chang, S.D.; Adler, J.R. Stereotactic radiosurgery of cranial nonvestibular schwannomas: Results of single- and multisession radiosurgery. Neurosurgery 2011, 68, 1200–1208; discussion 1208. [Google Scholar] [CrossRef]
- Shi, S.; Jin, M.C.; Koenig, J.; Gibbs, I.C.; Soltys, S.G.; Chang, S.D.; Li, G.; Gephart, M.H.; Hiniker, S.M.; Pollom, E.L. Stereotactic Radiosurgery for Pediatric and Adult Intracranial and Spinal Ependymomas. Stereotact. Funct. Neurosurg. 2019, 97, 189–194. [Google Scholar] [CrossRef]
- Fowler, J.F. 21 years of biologically effective dose. Br. J. Radiol. 2010, 83, 554–568. [Google Scholar] [CrossRef]
- Verma, V.; Kulkarni, R.R.; Bhirud, A.R.; Bennion, N.R.; McComb, R.D.; Lin, C. Metachronous medulloblastoma and glioblastoma: Implications for clinical and technical aspects of re-irradiation. Rep. Pract. Oncol. Radiother. 2016, 21, 84–89. [Google Scholar] [CrossRef][Green Version]
- Joiner, M.C.; van der Kogel, A.J. Basic Clinical Radiobiology; CRC Press: Boca Raton, FL, USA, 2018. [Google Scholar]
- Anderson, V.; Spencer-Smith, M.; Wood, A. Do children really recover better? Neurobehavioural plasticity after early brain insult. Brain 2011, 134 Pt 8, 2197–2221. [Google Scholar] [CrossRef]
- Roussel, M.F.; Hatten, M.E. Cerebellum development and medulloblastoma. Curr. Top. Dev. Biol. 2011, 94, 235–282. [Google Scholar]
- Peyrl, A.; Chocholous, M.; Sabel, M.; Lassaletta, A.; Sterba, J.; Leblond, P.; Nysom, K.; Torsvik, I.; Chi, S.N.; Perwein, T.; et al. Sustained Survival Benefit in Recurrent Medulloblastoma by a Metronomic Antiangiogenic Regimen: A Nonrandomized Controlled Trial. JAMA Oncol. 2023, 9, 1688–1695. [Google Scholar] [CrossRef]
- Cooney, T.; Lindsay, H.; Leary, S.; Wechsler-Reya, R. Current studies and future directions for medulloblastoma: A review from the pacific pediatric neuro-oncology consortium (PNOC) disease working group. Neoplasia. 2023, 35, 100861. [Google Scholar] [CrossRef]
- Suh, J.H.; Barnett, G.H. Stereotactic radiosurgery for brain tumors in pediatric patients. Technol. Cancer Res. Treat. 2003, 2, 141–146. [Google Scholar] [CrossRef]
- Neth, B.J.; Raghunathan, A.; Kizilbash, S.H.; Uhm, J.H.; Breen, W.G.; Johnson, D.R.; Daniels, D.J.; Sener, U.; Carabenciov, I.D.; Campian, J.L.; et al. Management and Long-term Outcomes of Adults With Medulloblastoma. Neurology 2023, 101, e1256–e1271. [Google Scholar] [CrossRef]
- Edelstein, K.; Spiegler, B.J.; Fung, S.; Panzarella, T.; Mabbott, D.J.; Jewitt, N.; D’Agostino, N.M.; Mason, W.P.; Bouffet, E.; Tabori, U.; et al. Early aging in adult survivors of childhood medulloblastoma: Long-term neurocognitive, functional, and physical outcomes. Neuro Oncol. 2011, 13, 536–545. [Google Scholar] [CrossRef]
- Chan, A.W.; Tarbell, N.J.; Black, P.M.; Louis, D.N.; Frosch, M.P.; Ancukiewicz, M.; Chapman, P.; Loeffler, J.S. Adult medulloblastoma: Prognostic factors and patterns of relapse. Neurosurgery 2000, 47, 623–631; discussion 631–632. [Google Scholar]
- King, D.; Connolly, D.; Zaki, H.; Lee, V.; Yeomanson, D. Successful treatment of metastatic relapse of medulloblastoma in childhood with single session stereotactic radiosurgery: A report of 3 cases. J. Pediatr. Hematol. Oncol. 2014, 36, 301–304. [Google Scholar] [CrossRef]
- Yoo, K.H.; Marianayagam, N.J.; Park, D.J.; Zamarud, A.; Gu, X.; Pollom, E.L.; Soltys, S.G.; Chang, S.D.; Meola, A. A stereotactic radiosurgery for ependymoma in pediatric and adult patients: A single-institution experience. Neuro Oncol. 2023, 25 (Suppl. 2), ii84–ii85. [Google Scholar] [CrossRef]
- Wooley, J.R.; Penas-Prado, M. Pediatric versus Adult Medulloblastoma: Towards a Definition That Goes beyond Age. Cancers 2021, 13, 6313. [Google Scholar] [CrossRef]
- Gregory, T.A.; Mastall, M.; Lin, H.; Hess, K.R.; Yuan, Y.; Garcia, M.M.-B.; Fuller, G.N.; Alfaro, K.D.; Gule-Monroe, M.K.; Huse, J.T.; et al. Characterization of recurrence patterns and outcomes of medulloblastoma in adults: The University of Texas MD Anderson Cancer Center experience. Neurooncol. Adv. 2023, 5, vdad032. [Google Scholar] [CrossRef]
- Peña-Pino, I.; Chen, C.C. Stereotactic Radiosurgery as Treatment for Brain Metastases: An Update. Asian J. Neurosurg. 2023, 18, 246–257. [Google Scholar] [CrossRef]
- Osuna-Marco, M.P.; Martín-López, L.I.; Tejera, Á.M.; López-Ibor, B. Questions and answers in the management of children with medulloblastoma over the time. How did we get here? A systematic review. Front. Oncol. 2023, 13, 1229853. [Google Scholar] [CrossRef]
- Fang, F.Y.; Rosenblum, J.S.; Ho, W.S.; Heiss, J.D. New Developments in the Pathogenesis, Therapeutic Targeting, and Treatment of Pediatric Medulloblastoma. Cancers 2022, 14, 2285. [Google Scholar] [CrossRef]
- Wetmore, C.; Herington, D.; Lin, T.; Onar-Thomas, A.; Gajjar, A.; Merchant, T.E. Reirradiation of recurrent medulloblastoma: Does clinical benefit outweigh risk for toxicity? Cancer 2014, 120, 3731–3737. [Google Scholar] [CrossRef]
- Hill, R.M.; Plasschaert, S.L.A.; Timmermann, B.; Dufour, C.; Aquilina, K.; Avula, S.; Donovan, L.; Lequin, M.; Pietsch, T.; Thomale, U.; et al. Relapsed Medulloblastoma in Pre-Irradiated Patients: Current Practice for Diagnostics and Treatment. Cancers 2021, 14, 126. [Google Scholar] [CrossRef]
- Napieralska, A.; Brąclik, I.; Radwan, M.; Mandera, M.; Blamek, S. Radiosurgery or hypofractionated stereotactic radiotherapy after craniospinal irradiation in children and adults with medulloblastoma and ependymoma. Childs Nerv. Syst. 2019, 35, 267–275. [Google Scholar] [CrossRef]
- Chin, A.L.; Moding, E.J.; Donaldson, S.S.; Gibbs, I.C.; Soltys, S.G.; Hiniker, S.M.; Pollom, E.L. Survival impact of postoperative radiotherapy timing in pediatric and adolescent medulloblastoma. Neuro Oncol. 2018, 20, 1133–1141. [Google Scholar] [CrossRef]
- Hodgson, D.C.; Goumnerova, L.C.; Loeffler, J.S.; Dutton, S.; Black, P.M.; Alexander, E.; Xu, R.; Kooy, H.; Silver, B.; Tarbell, N.J. Radiosurgery in the management of pediatric brain tumors. Int. J. Radiat. Oncol. Biol. Phys. 2001, 50, 929–935. [Google Scholar] [CrossRef]
- Murphy, E.S.; Merchant, T.E.; Wu, S.; Xiong, X.; Lukose, R.; Wright, K.D.; Qaddoumi, I.; Armstrong, G.T.; Broniscer, A.; Gajjar, A. Necrosis after craniospinal irradiation: Results from a prospective series of children with central nervous system embryonal tumors. Int. J. Radiat. Oncol. Biol. Phys. 2012, 83, e655–e660. [Google Scholar] [CrossRef]
- Robinson, G.W.; Rudneva, V.A.; Buchhalter, I.; Billups, C.A.; Waszak, S.M.; Smith, K.S.; Bowers, D.C.; Bendel, A.; Fisher, P.G.; Partap, S.; et al. Risk-adapted therapy for young children with medulloblastoma (SJYC07): Therapeutic and molecular outcomes from a multicentre, phase 2 trial. Lancet Oncol. 2018, 19, 768–784. [Google Scholar] [CrossRef]
- Cohen, M.E.; Duffner, P.K.; Terplan, K.L. Myelopathy with severe structural derangement associated with combined modality therapy. Cancer. 1983, 52, 1590–1596. [Google Scholar] [CrossRef]
- Ullah, A.; Shehzadi, S.; Ullah, N.; Nawaz, T.; Iqbal, H.; Aziz, T. Hypoxia A Typical Target in Human Lung Cancer Therapy. Curr. Protein Pept. Sci. 2024, 25, 376–385. [Google Scholar] [CrossRef]
- Yoo, K.H.; Marianayagam, N.J.; Park, D.J.; Persad, A.; Zamarud, A.; Shaghaghian, E.; Tayag, A.; Ustrzynski, L.; Emrich, S.C.; Gu, X.; et al. Stereotactic Radiosurgery for Ependymoma in Pediatric and Adult Patients: A Single-Institution Experience. Neurosurgery 2024. [Google Scholar] [CrossRef]


| Characteristics | Entire Cohort | Pediatric | Adult |
|---|---|---|---|
| # patients | 10 (100%) | 8 (80%) | 2 (20%) |
| Sex | |||
| Male | 8 (80%) | 6 (75%) | 2 (100%) |
| Female | 2 (20%) | 2 (25%) | 0 (0%) |
| Prior Surgery | |||
| Single | 6 (60%) | 6 (75%) | 0 (0%) |
| Multiple | 3 (30%) | 1 (12.5%) | 2 (100%) |
| Symptoms | |||
| Headaches | 6 (60%) | 4 (50%) | 2 (100%) |
| Nausea | 4 (40%) | 4 (50%) | 1 (50%) |
| Vomiting | 5 (50%) | 4 (50%) | 1 (50%) |
| Ataxia | 3 (30%) | 1 (12.5%) | 2 (100%) |
| Visual impairment | 3 (30%) | 2 (25%) | 1 (50%) |
| Seizure | 2 (20%) | 2 (25%) | 0 (0%) |
| Left-sided dysmetria | 1 (10%) | 1 (12.5%) | 0 (0%) |
| Peripheral rigidity | 1 (10%) | 1 (12.5%) | 0 (0%) |
| # tumors | 15 (100%) | 13 (86.7%) | 2 (13.3%) |
| Location | |||
| Cerebellar | 5 (33.3%) | 4 (30.8%) | 1 (50%) |
| Ventricular | 2 (13.3%) | 1 (7.7%) | 1 (50%) |
| Frontal | 2 (13.3%) | 2 (15.4%) | 0 (0%) |
| Parietal | 2 (13.3%) | 2 (15.4%) | 0 (0%) |
| Temporal | 1 (6.7%) | 1 (7.7%) | 0 (0%) |
| Thalamic | 1 (6.7%) | 1 (7.7%) | 0 (0%) |
| Cervicomedullary | 1 (6.7%) | 1 (7.7%) | 0 (0%) |
| Medullary | 1 (6.7%) | 1 (7.7%) | 0 (0%) |
| Clinical Presentation | |||
| Symptomatic | 14 (93.3%) | 12 (92.3%) | 2 (100%) |
| Asymptomatic | 1 (6.7%) | 1 (7.7%) | 0 (0%) |
| Characteristics | Entire Cohort | Pediatric | Adult | Statistical Significance (p Values) |
|---|---|---|---|---|
| # Tumors per patient | 0.4 | |||
| Mean | 1.5 | 1.6 | 1 | |
| Median | 1 | 1 | 1 | |
| Range | 1–4 | 1–4 | 1 | |
| Age at Treatment, yrs | ||||
| Mean | 14.3 | 12.4 | 27 | <0.001 |
| Median | 13 | 12 | 27 | |
| Range | 9–29 | 9–16 | 25–29 | |
| Interval between Diagnosis to SRS, mo | ||||
| Mean | 42.7 | 45.5 | 24.5 | |
| Median | 30 | 39 | 24.5 | 0.4 |
| Range | 12–108 | 12–108 | 24–25 | |
| Target Tumor Volume, cc | ||||
| Mean | 2.7 | 2.9 | 1.5 | 0.51 |
| Median | 1.9 | 1.8 | 1.5 | |
| Range | 0.02–8.7 | 0.02–8.7 | 0.5–2.5 | |
| Margin Dose, Gy | ||||
| 1 Fraction | 0.8 | |||
| Mean | 17.8 | 17.8 | 18 | |
| Median | 18 | 18 | 18 | |
| Range | 14–20 | 14–20 | 18 | |
| 2 Fractions | ||||
| Mean | 20 | 20 | N/A | |
| Median | 20 | 20 | N/A | |
| Range | 20 | 20 | N/A | |
| 3 Fractions | ||||
| Mean | N/A | N/A | N/A | |
| Median | N/A | N/A | N/A | |
| Range | N/A | N/A | N/A | |
| 4 Fractions | ||||
| Mean | N/A | N/A | N/A | |
| Median | N/A | N/A | N/A | |
| Range | N/A | N/A | N/A | |
| 5 Fractions | ||||
| Mean | 25 | 25 | N/A | |
| Median | 25 | 25 | N/A | |
| Range | 25 | 25 | N/A | |
| Maximum Dose, Gy | ||||
| 1 Fraction | 0.9 | |||
| Mean | 23.3 | 23.1 | 24.2 | |
| Median | 24.2 | 24.2 | 24.2 | |
| Range | 19.7–25 | 19.7–25 | 24.2–24.3 | |
| 2 Fractions | ||||
| Mean | 30.8 | 65 | N/A | |
| Median | 30.8 | 65 | N/A | |
| Range | 30.8 | 65 | N/A | |
| 3 Fractions | ||||
| Mean | N/A | N/A | N/A | |
| Median | N/A | N/A | N/A | |
| Range | N/A | N/A | N/A | |
| 4 Fractions | ||||
| Mean | N/A | N/A | N/A | |
| Median | N/A | N/A | N/A | |
| Range | N/A | N/A | N/A | |
| 5 Fractions | ||||
| Mean | 35.7 | 70 | N/A | |
| Median | 35.7 | 70 | N/A | |
| Range | 35.7 | 70 | N/A | |
| # Fraction | ||||
| Mean | 1.3 | 1.4 | 1 | |
| Median | 1 | 1 | 1 | 0.6 |
| Range | 1–5 | 1–5 | 1 | |
| BED, Gy | ||||
| Mean | 118.1 | 117 | 126 | |
| Median | 126 | 126 | 126 | 0.7 |
| Range | 66.7–153.3 | 66.7–153.3 | 126 | |
| SFED | ||||
| Mean | 17.2 | 17.1 | 18 | |
| Median | 18 | 18 | 18 | 0.6 |
| Range | 12.7–20 | 12.7–20 | 18 | |
| EQD2 | ||||
| Mean | 70.8 | 70.2 | 75.6 | |
| Median | 75.6 | 75.6 | 75.6 | 0.7 |
| Range | 40–92 | 40–92 | 75.6 | |
| Isodose Line, % | ||||
| Mean | 74.9 | 74.9 | 74.5 | 0.9 |
| Median | 75 | 75 | 74.5 | |
| Range | 65–81 | 65–81 | 74–75 | |
| Follow Up, mo | ||||
| Mean | 35.6 | 36.5 | 29.5 | 0.6 |
| Median | 39 | 39 | 29.5 | |
| Range | 6–78 | 6–78 | 9–50 |
| Variables | Entire Series | Pediatric | Adult | Statistical Significance (p Value) |
|---|---|---|---|---|
| LTC | ||||
| 3 yrs, % | 65 | 67 | 50 | 0.05 |
| OS | ||||
| 3 yrs, % | 70 | 75 | 50 | 0.24 |
| mean, mo | 47.4 | 47.4 | 0 | |
| PFS | ||||
| 3 yrs, % | 58 | 60 | 50 | 0.46 |
| mean, mo | 42.3 | 42.3 | 0 | |
| SI, % | 70 | 75 | 50 | 0.05 |
| SW, % | 10 | 12.5 | 50 | 0.03 |
| NS, % | 10 | 0 | 50 | <0.001 |
Disclaimer/Publisher’s Note: The statements, opinions and data contained in all publications are solely those of the individual author(s) and contributor(s) and not of MDPI and/or the editor(s). MDPI and/or the editor(s) disclaim responsibility for any injury to people or property resulting from any ideas, methods, instructions or products referred to in the content. |
© 2024 by the authors. Licensee MDPI, Basel, Switzerland. This article is an open access article distributed under the terms and conditions of the Creative Commons Attribution (CC BY) license (https://creativecommons.org/licenses/by/4.0/).
Share and Cite
Yoo, K.H.; Marianayagam, N.J.; Park, D.J.; Zamarud, A.; Gu, X.; Pollom, E.; Soltys, S.G.; Meola, A.; Chang, S.D. The Role of CyberKnife Stereotactic Radiosurgery in Recurrent Cranial Medulloblastomas across Pediatric and Adult Populations. J. Clin. Med. 2024, 13, 3592. https://doi.org/10.3390/jcm13123592
Yoo KH, Marianayagam NJ, Park DJ, Zamarud A, Gu X, Pollom E, Soltys SG, Meola A, Chang SD. The Role of CyberKnife Stereotactic Radiosurgery in Recurrent Cranial Medulloblastomas across Pediatric and Adult Populations. Journal of Clinical Medicine. 2024; 13(12):3592. https://doi.org/10.3390/jcm13123592
Chicago/Turabian StyleYoo, Kelly H., Neelan J. Marianayagam, David J. Park, Aroosa Zamarud, Xuejun Gu, Erqi Pollom, Scott G. Soltys, Antonio Meola, and Steven D. Chang. 2024. "The Role of CyberKnife Stereotactic Radiosurgery in Recurrent Cranial Medulloblastomas across Pediatric and Adult Populations" Journal of Clinical Medicine 13, no. 12: 3592. https://doi.org/10.3390/jcm13123592
APA StyleYoo, K. H., Marianayagam, N. J., Park, D. J., Zamarud, A., Gu, X., Pollom, E., Soltys, S. G., Meola, A., & Chang, S. D. (2024). The Role of CyberKnife Stereotactic Radiosurgery in Recurrent Cranial Medulloblastomas across Pediatric and Adult Populations. Journal of Clinical Medicine, 13(12), 3592. https://doi.org/10.3390/jcm13123592

