Functional and Radiological Results Following Revision Blade Plating and Cephalomedullary Nailing in Aseptic Trochanteric and Subtrochanteric Nonunion
Abstract
1. Introduction
2. Patients and Methods
2.1. Diagnostic Work-Up
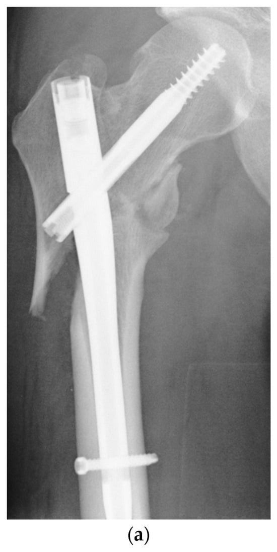
2.2. Surgical Procedures
2.3. Outcome Measures
2.4. Statistical Analysis
3. Results
4. Discussion
Study Limitations
5. Conclusions
Author Contributions
Funding
Institutional Review Board Statement
Informed Consent Statement
Data Availability Statement
Conflicts of Interest
References
- Jaeschke-Melli, S.; Hedke, J.; Meiners, J.; Dannenberg, O.; Jürgens, C.; Faschingbauer, M. Standards in the treatment of proximal femoral fractures. Trauma Berufskrankh 2013, 15, 119–128. [Google Scholar] [CrossRef]
- de Vries, J.S.; Kloen, P.; Borens, O.; Marti, R.K.; Helfet, D.L. Treatment of subtrochanteric nonunions. Injury 2006, 37, 203–211. [Google Scholar] [CrossRef]
- Steinhausen, E.; Glombitza, M.; Böhm, H.J.; Hax, P.M.; Rixen, D. Non-unions. From diagnosis to healing. Unfallchirurg 2013, 116, 633–647, quiz 648–649. [Google Scholar] [CrossRef]
- von Rüden, C.; Hungerer, S.; Augat, P.; Trapp, O.; Bühren, V.; Hierholzer, C. Breakage of cephalomedullary nailing in operative treatment of trochanteric and subtrochanteric femoral fractures. Arch. Orthop. Trauma Surg. 2015, 135, 179–185. [Google Scholar] [CrossRef]
- Grünewald, D.; Dolt, A.; Barzen, S.; Rehme-Röhrl, J.; von Rüden, C.; Hoffmann, R.; Schweigkofler, U. Is the 95° blade plate still important in the treatment of proximal femoral pseudarthrosis? Unfallchirurgie 2024. online ahead of print. [Google Scholar] [CrossRef]
- Moldovan, F. Sterile Inflammatory Response and Surgery-Related Trauma in Elderly Patients with Subtrochanteric Fractures. Biomedicines 2024, 12, 354. [Google Scholar] [CrossRef]
- Bano, G.; Dianin, M.; Biz, C.; Bedogni, M.; Alessi, A.; Bordignon, A.; Bizzotto, M.; Berizzi, A.; Ruggieri, P.; Manzato, E.; et al. Efficacy of an interdisciplinary pathway in a first level trauma center orthopaedic unit: A prospective study of a cohort of elderly patients with hip fractures. Arch. Gerontol. Geriatr. 2020, 86, 103957. [Google Scholar] [CrossRef]
- Amorosa, L.F.; Jayaram, P.R.; Wellman, D.S.; Lorich, D.G.; Helfet, D.L. The use of the 95-degree-angled blade plate in femoral nonunion surgery. Eur. J. Orthop. Surg. Traumatol. 2014, 24, 953–960. [Google Scholar] [CrossRef]
- Swanson, E.A.; Garrard, E.C.; Bernstein, D.T.; O’Connor, D.P.; Brinker, M.R. Results of a systematic approach to exchange nailing for the treatment of aseptic femoral nonunions. J. Orthop. Trauma 2015, 29, 21–27. [Google Scholar] [CrossRef]
- Schmidmaier, G.; Moghaddam, A. Long bone nonunion. Z. Orthop. Unfall. 2015, 153, 659–674. [Google Scholar] [CrossRef]
- Loizou, C.L.; McNamara, I.; Ahmed, K.; Pryor, G.A.; Parker, M.J. Classification of subtrochanteric femoral fractures. Injury 2010, 41, 739–745. [Google Scholar] [CrossRef]
- Perren, S.M.; Fernandez, A.; Regazzoni, P. Understanding fracture healing biomechanics based on the “strain” concept and its functional applications. Acta Chir. Orthop. Traumatol. Cech. 2015, 82, 253–260. [Google Scholar] [CrossRef]
- Harris, W.H. Traumatic arthritis of the hip after dislocation and acetabular fractures: Treatment by mold arthroplasty. An end-result study using a new method of result evaluation. J. Bone Joint Surg. Am. 1969, 51, 737–755. [Google Scholar] [CrossRef]
- Ware, J., Jr.; Kosinski, M.; Keller, S.D. A 12-Item Short-Form Health Survey: Construction of scales and preliminary tests of reliability and validity. Med. Care 1996, 34, 220–233. [Google Scholar] [CrossRef]
- Fisher, J.S.; Kazam, J.J.; Fufa, D.; Bartolotta, R.J. Radiologic evaluation of fracture healing. Skeletal Radiol. 2019, 48, 349–361. [Google Scholar] [CrossRef]
- Parker, M.J.; Handoll, H.H. Gamma and other cephalocondylic intramedullary nails versus extramedullary implants for extra- capsular hip fractures in adults. Cochrane Database Syst. Rev. 2008, CD000093. [Google Scholar] [CrossRef]
- Wu, S.C.; Rau, C.S.; Kuo, S.C.H.; Chien, P.C.; Hsieh, C.H. The influence of ageing on the incidence and site of trauma femoral fractures: A cross-sectional analysis. BMC Musculoskelet. Disord. 2019, 20, 413. [Google Scholar] [CrossRef]
- Bhandari, M.; Schemitsch, E.; Jönsson, A.; Zlowodzki, M.; Haidukewych, G.J. Gamma nails revisited: Gamma nails versus compression hip screws in the management of intertrochanteric fractures of the hip: A meta-analysis. J. Orthop. Trauma 2009, 23, 460–464. [Google Scholar] [CrossRef]
- Forward, D.P.; Doro, C.J.; OʼToole, R.V.; Kim, H.; Floyd, J.C.; Sciadini, M.F.; Turen, C.H.; Hsieh, A.H.; Nascone, J.W. A biomechanical comparison of a locking plate, a nail, and a 95° angled blade plate for fixation of subtrochanteric femoral fractures. J. Orthop. Trauma 2012, 26, 334–340. [Google Scholar] [CrossRef]
- Benz, D.; Tarrant, S.M.; Balogh, Z.J. Proximal femur fracture non-union with or without implant failure: A revision technique with clinical outcomes. Injury 2020, 51, 1925–1930. [Google Scholar] [CrossRef]
- Vicenti, G.; Solarino, G.; Bizzoca, D.; Simone, F.; Maccagnano, G.; Zavattini, G.; Ottaviani, G.; Carrozzo, M.; Buono, C.; Zaccari, D.; et al. Use of the 95-degree angled blade plate with biological and mechanical augmentation to treat proximal femur non-unions: A case series. BMC Musculoskelet. Disord. 2022, 22 (Suppl. S2), 1067. [Google Scholar] [CrossRef]
- Bhowmick, K.; Matthai, T.; Boopalan, P.R.J.; Jepegnanam, T.S. Decision making in the management of malunion and non-union of intertrochanteric fractures of the hip. HIP Int. 2020, 30, 793–798. [Google Scholar] [CrossRef]
- Dietze, C.; Brand, A.; Friederichs, J.; Stuby, F.; Schneidmueller, D.; von Rüden, C. Results of revision intramedullary nailing with and without auxillary plate in aseptic trochanteric and subtrochanteric nonunion. Eur. J. Trauma Emerg. Surg. 2022, 48, 1905–1911. [Google Scholar] [CrossRef]
- Rehme, J.; Woltmann, A.; Brand, A.; von Rüden, C. Does auxiliary cerclage wiring provide intrinsic stability in cephalomedullary nailing of trochanteric and subtrochanteric fractures? Int. Orthop. 2021, 45, 1329–1336. [Google Scholar] [CrossRef]
- Eberle, S.; Bauer, C.; Gerber, C.; von Oldenburg, G.; Augat, P. The stability of a hip fracture determines the fatigue of an intramedullary nail. Proc. Inst. Mech. Eng. H 2010, 224, 577–584. [Google Scholar] [CrossRef]
- Wiss, D.A.; Garlich, J.; Hashmi, S.; Neustein, A. Risk Factors for Development of a Recalcitrant Femoral Nonunion: A Single Surgeon Experience in 122 Patients. J. Orthop. Trauma 2021, 35, 619–625. [Google Scholar] [CrossRef]
- Falkensammer, M.L.; Benninger, E.; Meier, C. Reduction Techniques for Trochantericand Subtrochanteric Fractures of the Femur: A Practical Guide. Acta Chir. Orthop. Traumatol. Cech. 2016, 83, 300–310. [Google Scholar] [CrossRef]
- Tetsunaga, T.; Fujiwara, K.; Endo, H.; Noda, T.; Tetsunaga, T.; Sato, T.; Shiota, N.; Ozaki, T. Total hip arthroplasty after failed treatment of proximal femur fracture. Arch. Orthop. Trauma Surg. 2017, 137, 417–424. [Google Scholar] [CrossRef]
- Hak, D.J.; Lee, S.S.; Goulet, J.A. Success of exchange reamed intramedullary nailing for femoral shaft nonunion or delayed union. J. Orthop. Trauma 2000, 14, 178–182. [Google Scholar] [CrossRef]
- Shroeder, J.E.; Mosheiff, R.; Khoury, A.; Liebergall, M.; Weil, Y.A. The outcome of closed, intramedullary exchange nailing with reamed insertion in the treatment of femoral shaft nonunions. J. Orthop. Trauma 2009, 23, 653–657. [Google Scholar] [CrossRef]
- Wu, C.C. Exchange nailing for aseptic non-union of femoral shaft: A retrospective cohort study for efect of reaming size. J. Trauma Acute Care Surg. 2007, 63, 859–865. [Google Scholar] [CrossRef]
- Barquet, A.; Mayora, G.; Fregeiro, J.; López, L.; Rienzi, D.; Francescoli, L. The treatment of subtrochanteric nonunions with the long gamma nail: Twenty-six patients with a minimum 2-year follow-up. J. Orthop. Trauma 2004, 18, 346–353. [Google Scholar] [CrossRef]
- Haidukewych, G.J.; Berry, D.J. Non-union of fractures of the subtrochanteric region of the femur. Clin. Orthop. Relat. Res. 2004, 419, 185–188. [Google Scholar] [CrossRef]
- Lu, Y.; Uppal, H.S. Hip Fractures: Relevant Anatomy, Classification, and Biomechanics of Fracture and Fixation. Geriatr. Orthop. Surg. Rehabil. 2019, 10, 2151459319859139. [Google Scholar] [CrossRef]
- Shukla, S.; Johnston, P.; Ahmad, M.A.; Wynn-Jones, H.; Patel, A.D.; Walton, N.P. Outcome of traumatic subtrochanteric femoral fractures fxed using cephalo-medullary nails. Injury 2007, 38, 1286–1293. [Google Scholar] [CrossRef]
- Oestern, H.J.; Gänsslen, A. The use of blade plate and dynamic screw plate osteosynthesis. Orthopade 2010, 39, 160–170. [Google Scholar] [CrossRef]
- Wang, J.; Li, H.; Jia, H.; Ma, X. Intramedullary versus extramedullary fixation in the treatment of subtrochanteric femur fractures: A comprehensive systematic review and meta-analysis. Acta Orthop. Traumatol. Turc. 2020, 54, 639–646. [Google Scholar] [CrossRef]
- Ravi, B.; Pincus, D.; Choi, S.; Jenkinson, R.; Wasserstein, D.N.; Redelmeier, D.A. Association of Duration of Surgery with Postoperative Delirium Among Patients Receiving Hip Fracture Repair. JAMA Netw. Open 2019, 2, e190111. [Google Scholar] [CrossRef]






| Parameter | Blade Plate (n = 42) | CM Nail (n = 26) | p-Value |
|---|---|---|---|
| Age [years] | 57 ± 13 | 58 ± 13 | 0.69 |
| Gender [male/female] | 28/14 | 19/7 | 0.58 |
| Stay in hospital [days] | 13 ± 7 | 11 ± 5 | 0.15 |
| Duration of revision surgery [minutes] | 202 ± 59 | 137 ± 47 | <0.0001 |
| AO/OTA classification [n] (31A1/31A2/31A3/32A1/32A2/32A3/32C2/32C3) | 4/10/18/0/5/3/1/1 | 20/0/0/3/3/0/0/0 | <0.0001 |
| Parameter [n] | Blade Plate | CM Nail | p-Value |
|---|---|---|---|
| Risk factors overall [yes/no] | 39/3 | 25/1 | 0.57 |
| BMI > 25 | 27/15 | 19/7 | 0.45 |
| Nicotine abuse | 16/26 | 7/19 | 0.34 |
| Alcohol abuse | 21/21 | 8/18 | 0.12 |
| Drug abuse | 1/41 | 1/25 | 0.73 |
| Bisphosphonate | 3/39 | 1/25 | 0.57 |
| Cortisone | 1/41 | 1/25 | 0.73 |
| Non-steroidal anti-inflammatory drug (NSAID) | 5/37 | 2/24 | 0.58 |
| Preconditions overall [yes/no] | 28/14 | 20/6 | 0.38 |
| Diabetes mellitus | 2/40 | 1/25 | 0.86 |
| Coagulation disorder | 2/40 | 2/24 | 0.62 |
| Osteoporosis | 5/37 | 3/23 | 0.96 |
| Peripheral arterial disease | 0/42 | 3/23 | 0.24 |
| Chronic obstructive pulmonary disease (COPD) | 5/37 | 1/25 | 0.26 |
| Coronary heart disease | 2/40 | 0/26 | 0.26 |
| Hypertension | 16/26 | 14/12 | 0.20 |
| Heart disease | 3/39 | 1/25 | 0.57 |
| Rheumatoid Arthritis | 1/41 | 0/26 | 0.43 |
| Hypercholesterolemia | 1/41 | 1/25 | 0.73 |
| Morbus Perthes | 2/42 | 0/26 | 0.26 |
| Hip dysplasia | 2/40 | 0/26 | 0.26 |
| Polytrauma | 2/20 | 4/22 | 0.13 |
| Morbus Crohn | 1/41 | 0/26 | 0.43 |
| Breast cancer | 2/40 | 1/25 | 0.86 |
| Parameter [n] | Blade Plate | CM Nail | p-Value |
|---|---|---|---|
| Overall complications (yes/no) | 11/31 | 2/24 | 0.42 |
| Blood transfusion | 9/33 | 0/26 | 0.08 |
| Local wound infection | 2/40 | 0/26 | 0.26 |
| Hematoma/Seroma | 3/39 | 2/24 | 0.93 |
| Length of Blade Plate | Short (n = 17) | Long (n = 25) | p-Value |
|---|---|---|---|
| Complications depending on length of blade plate [yes/no] | 2/15 | 9/16 | 0.08 |
| Parameter [n] | Blade Plate | CM Nail | p-Value |
|---|---|---|---|
| Complication rate (overall) [yes/no] | 11/31 | 1/25 | 0.13 |
| Surgical revision [yes/no] | 11/31 | 1/25 | 0.06 |
| Cut-out [yes/no] | 0/31 | 1/25 | 0.20 |
| Osseous union 12 months after surgical revision [yes/no] | 24/10 | 22/1 | 0.018 |
| Parameter | Blade Plate (n = 27) | CM Nail (n = 16) | p-Value |
|---|---|---|---|
| HHS [points] | 64 ± 23 | 81 ± 21 | 0.026 |
| VAS—pain at rest [points] | 2 ± 2 | 1 ± 2 | 0.47 |
| VAS—pain on stress [points] | 3 ± 2 | 2 ± 3 | 0.09 |
| Physical component summary SF-12 [points] | 40 (range 18–58) | 45 (range 27–57) | 0.33 |
| Mental component summary SF-12 [points] (median) | 46 (range 32–60) | 53 (range 29–62) | 0.08 |
Disclaimer/Publisher’s Note: The statements, opinions and data contained in all publications are solely those of the individual author(s) and contributor(s) and not of MDPI and/or the editor(s). MDPI and/or the editor(s) disclaim responsibility for any injury to people or property resulting from any ideas, methods, instructions or products referred to in the content. |
© 2024 by the authors. Licensee MDPI, Basel, Switzerland. This article is an open access article distributed under the terms and conditions of the Creative Commons Attribution (CC BY) license (https://creativecommons.org/licenses/by/4.0/).
Share and Cite
Rehme-Röhrl, J.; Brand, A.; Dolt, A.; Grünewald, D.; Hoffmann, R.; Stuby, F.; Schweigkofler, U.; von Rüden, C. Functional and Radiological Results Following Revision Blade Plating and Cephalomedullary Nailing in Aseptic Trochanteric and Subtrochanteric Nonunion. J. Clin. Med. 2024, 13, 3591. https://doi.org/10.3390/jcm13123591
Rehme-Röhrl J, Brand A, Dolt A, Grünewald D, Hoffmann R, Stuby F, Schweigkofler U, von Rüden C. Functional and Radiological Results Following Revision Blade Plating and Cephalomedullary Nailing in Aseptic Trochanteric and Subtrochanteric Nonunion. Journal of Clinical Medicine. 2024; 13(12):3591. https://doi.org/10.3390/jcm13123591
Chicago/Turabian StyleRehme-Röhrl, Julia, Andreas Brand, Annika Dolt, Dag Grünewald, Reinhard Hoffmann, Fabian Stuby, Uwe Schweigkofler, and Christian von Rüden. 2024. "Functional and Radiological Results Following Revision Blade Plating and Cephalomedullary Nailing in Aseptic Trochanteric and Subtrochanteric Nonunion" Journal of Clinical Medicine 13, no. 12: 3591. https://doi.org/10.3390/jcm13123591
APA StyleRehme-Röhrl, J., Brand, A., Dolt, A., Grünewald, D., Hoffmann, R., Stuby, F., Schweigkofler, U., & von Rüden, C. (2024). Functional and Radiological Results Following Revision Blade Plating and Cephalomedullary Nailing in Aseptic Trochanteric and Subtrochanteric Nonunion. Journal of Clinical Medicine, 13(12), 3591. https://doi.org/10.3390/jcm13123591

