Acute Myocardial Infarction in COVID-19 Patients—A Review of Literature Data and Two-Case Report Series
Abstract
1. Introduction
2. Materials and Methods
3. Results
3.1. COVID-19 Cardiovascular System Pathophysiology
- -
- direct damage to the heart muscle by angiotensin-converting enzyme 2 (ACE-2) viral entry with inflammation and cell destruction.
- -
- indirect damage owing to the ACE-2 downregulation after viral replication takes place, with consequent angiotensin II (Ang II)/angiotensin II receptor type I (AT1) system overactivation, with inflammatory, oxidative, and vasoconstrictive effects.
- -
3.2. AMI-COVID-19 Patient Characteristics
- -
- type 1—the result of coronary thrombosis, which develops in instances of plaque rupture—either by erosion or ulceration, or dissection.
- -
- -
- type 3—the result of an overlap between the first two subtypes [1].
3.3. AMI-COVID-19 Imaging Studies
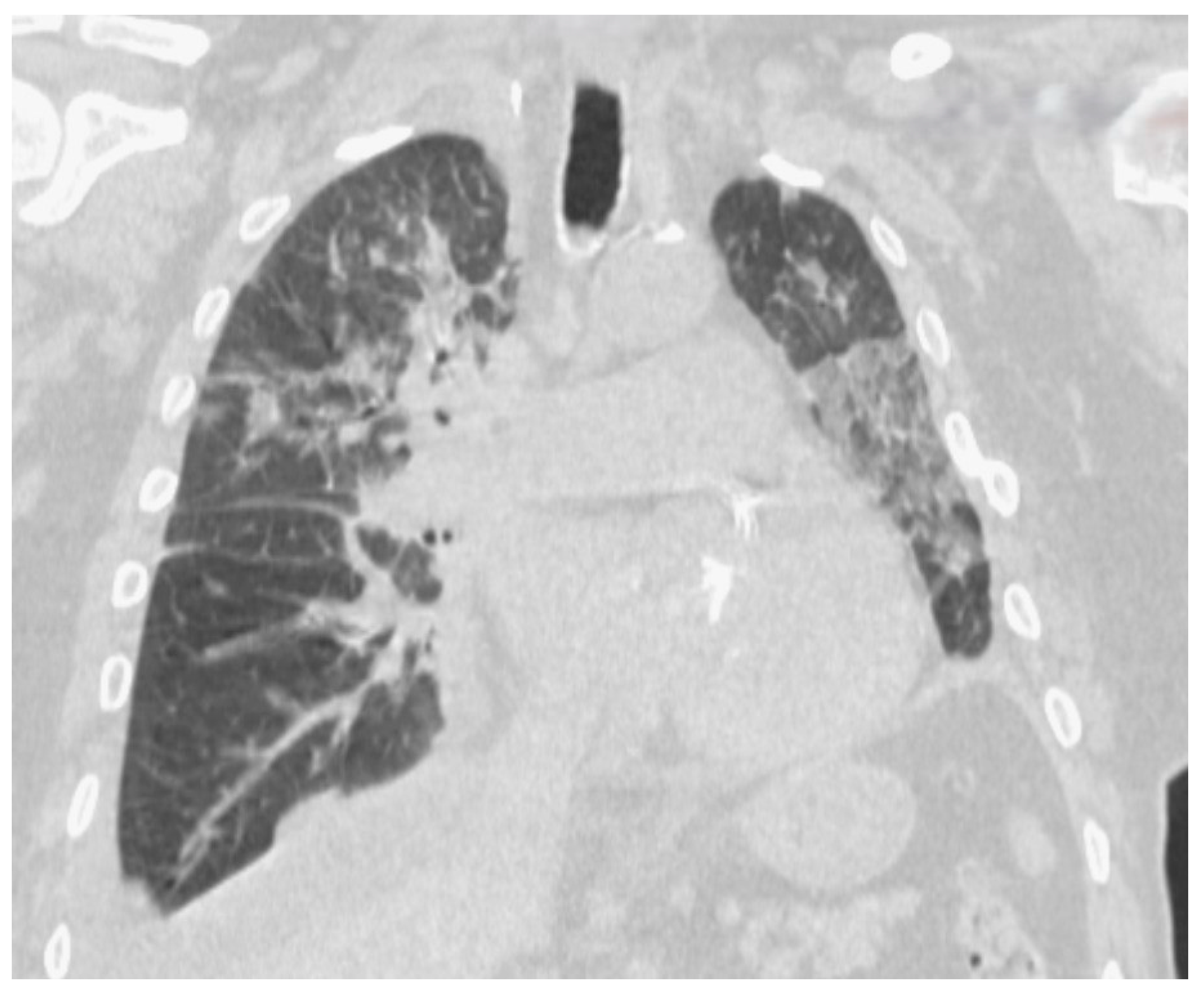
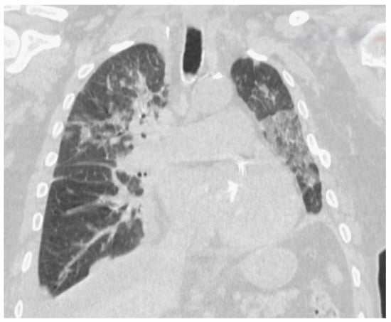
3.4. Two-Case Presentation Series
4. Discussion
- -
- the first patient (associating right ventricular dysfunction)—had only one COVID-19-associated CVS events risk factor—old age;
- -
- the second patient—suffered from severe COVID-19 (associated with hypertension as a risk factor for severe disease and associated CVS events), had significant comorbidities (previous stroke and chronic liver disease) as risk factors for CVS events in COVID-19; this patient developed arrhythmia (ventricular fibrillation) with hemodynamic instability and death;
5. Conclusions
Author Contributions
Funding
Institutional Review Board Statement
Informed Consent Statement
Data Availability Statement
Acknowledgments
Conflicts of Interest
References
- Del Prete, A.; Conway, F.; Della Rocca, D.G.; Biondi-Zoccai, G.; De Felice, F.; Musto, C.; Picichè, M.; Martuscelli, E.; Natale, A.; Versaci, F. COVID-19, Acute Myocardial Injury, and Infarction. Card. Electrophysiol. Clin. 2022, 14, 29–39. [Google Scholar] [CrossRef] [PubMed]
- Zuin, M.; Rigatelli, G.; Battisti, V.; Costola, G.; Roncon, L.; Bilato, C. Increased risk of acute myocardial infarction after COVID-19 recovery: A systematic review and meta-analysis. Int. J. Cardiol. 2023, 372, 138–143. [Google Scholar] [CrossRef] [PubMed]
- Fanaroff, A.C.; Garcia, S.; Giri, J. Myocardial Infarction During the COVID-19 Pandemic. JAMA 2021, 326, 1916–1918. [Google Scholar] [CrossRef] [PubMed]
- Capaccione, K.M.; Leb, J.S.; D’souza, B.; Utukuri, P.; Salvatore, M.M. Acute myocardial infarction secondary to COVID-19 infection: A case report and review of the literature. Clin. Imaging 2021, 72, 178–182. [Google Scholar] [CrossRef] [PubMed]
- Primessnig, U.; Pieske, B.M.; Sherif, M. Increased mortality and worse cardiac outcome of acute myocardial infarction during the early COVID-19 pandemic. ESC Heart Fail. 2021, 8, 333–343. [Google Scholar] [CrossRef] [PubMed]
- Wu, J.; Mamas, M.; Rashid, M.; Weston, C.; Hains, J.; Luescher, T.; de Belder, M.A.; Deanfield, J.E.; Gale, C.P. Patient response, treatments, and mortality for acute myocardial infarction during the COVID-19 pandemic. Eur. Heart J. Qual. Care Clin. Outcomes 2021, 7, 238–246. [Google Scholar] [CrossRef] [PubMed]
- Ibáñez, B. Myocardial infarction in times of COVID-19. Rev. Esp. Cardiol. 2020, 73, 975. [Google Scholar] [CrossRef] [PubMed]
- Katsoularis, I.; Fonseca-Rodríguez, O.; Farrington, P.; Lindmark, K.; Fors Connolly, A.M. Risk of acute myocardial infarction and ischaemic stroke following COVID-19 in Sweden: A self-controlled case series and matched cohort study. Lancet 2021, 398, 599–607. [Google Scholar] [CrossRef] [PubMed]
- Modin, D.; Claggett, B.; Sindet-Pedersen, C.; Lassen, M.C.; Skaarup, K.G.; Jensen, J.U.; Fralick, M.; Schou, M.; Lamberts, M.; Gerds, T.; et al. Acute COVID-19 and the incidence of ischemic stroke and acute myocardial infarction. Circulation 2020, 142, 2080–2082. [Google Scholar] [CrossRef] [PubMed]
- Maiese, A.; Frati, P.; Del Duca, F.; Santoro, P.; Manetti, A.C.; La Russa, R.; Di Paolo, M.; Turillazzi, E.; Fineschi, V. Myocardial Pathology in COVID-19-Associated Cardiac Injury: A Systematic Review. Diagnostics 2021, 11, 1647. [Google Scholar] [CrossRef]
- Bavishi, C.; Bonow, R.O.; Trivedi, V.; Abbott, J.D.; Messerli, F.H.; Bhatt, D.L. Acute myocardial injury in patients hospitalized with COVID-19 infection: A review. Prog. Cardiovasc. Dis. 2020, 63, 682–689. [Google Scholar] [CrossRef] [PubMed]
- Crosier, R.; Kafil, T.S.; Paterson, D.I. Imaging for Cardiovascular Complications of COVID-19: Cardiac Manifestations in Context. Can. J. Cardiol. 2023, 39, 779–792. [Google Scholar] [CrossRef] [PubMed]
- Toscano, O.; Cosentino, N.; Campodonico, J.; Bartorelli, A.L.; Marenzi, G. Acute myocardial infarction during the COVID-19 pandemic: An update on clinical characteristics and outcomes. Front. Cardiovasc. Med. 2021, 8, 648290. [Google Scholar] [CrossRef] [PubMed]
- Kumar, N.; Verma, R.; Lohana, P.; Lohana, A.; Ramphul, K. Acute myocardial infarction in COVID-19 patients. A review of cases in the literature. Arch. Med. Sci.-Atheroscler. Dis. 2021, 6, 169–175. [Google Scholar] [CrossRef] [PubMed]
- Otifi, H.M.; Adiga, B.K. Endothelial Dysfunction in COVID-19 Infection. Am. J. Med. Sci. 2022, 363, 281–287. [Google Scholar] [CrossRef] [PubMed]
- Vrints, C.J.M.; Krychtiuk, K.A.; Van Craenenbroeck, E.M.; Segers, V.F.; Price, S.; Heidbuchel, H. Endothelialitis plays a central role in the pathophysiology of severe COVID-19 and its cardiovascular complications. Acta Cardiol. 2021, 76, 109–124. [Google Scholar] [CrossRef] [PubMed]
- Calabretta, E.; Moraleda, J.M.; Iacobelli, M.; Jara, R.; Vlodavsky, I.; O’Gorman, P.; Pagliuca, A.; Mo, C.; Baron, R.M.; Aghemo, A.; et al. COVID-19-induced endotheliitis: Emerging evidence and possible therapeutic strategies. Br. J. Haematol. 2021, 193, 43–51. [Google Scholar] [CrossRef] [PubMed]
- Garcia, S.; Dehghani, P.; Grines, C.; Davidson, L.; Nayak, K.R.; Saw, J.; Waksman, R.; Blair, J.; Akshay, B.; Garberich, R.; et al. Initial findings from the North American COVID-19 myocardial infarction registry. J. Am. Coll. Cardiol. 2021, 77, 1994–2003. [Google Scholar] [CrossRef] [PubMed]
- Pelin, A.M.; Balan, G.; Stefanescu, C.; Rosca, S.; Busila, C. New Criteria in Defining the Metabolic Syndrome in Children?—An Analysis of the Relationship Between the Hepatic Enzymes and the Insulin Resistance, HOMA-IR And Lipid Parameters in Obese Children. Prog. Nutr. 2021, 23, e2021316. [Google Scholar]
- Guddeti, R.R.; Yildiz, M.; Nayak, K.R.; Alraies, M.C.; Davidson, L.; Henry, T.D.; Garcia, S. Impact of COVID-19 on Acute Myocardial Infarction Care. Heart Fail. Clin. 2023, 19, 221–229. [Google Scholar] [CrossRef] [PubMed]
- Gaspardone, A.; Versaci, F.; Tomai, F.; Biondi-Zoccai, G.; Sgueglia, G.A.; Gioffrè, G.; Romagnoli, E.; Mancone, M.; Calcagno, S.; Proietti, I.; et al. Reduction in emergency access for acute myocardial infarction during the COVID-19 pandemic: A survey from the greater area of Rome. Minerva Cardiol. Angiol. 2022, 70, 421–427. [Google Scholar] [CrossRef] [PubMed]
- Ryu, S.; Kim, D.; Jung, L.Y.; Kim, B.; Lee, C.S. Decreased door-to-balloon time in patients with ST-segment elevation myocardial infarction during the early COVID-19 pandemic in South Korea: An observational study. Medicine 2022, 101, e29596. [Google Scholar] [CrossRef]
- Gackowski, A.; Lipczyńska, M.; Lipiec, P.; Szymański, P.; Review Committee of the Polish Cardiac Society. Echocardiography during the coronavirus disease 2019 (COVID-19) pandemic: Expert opinion of the Working Group on Echocardiography of the Polish Cardiac Society. Kardiol. Pol. 2020, 78, 357–363. [Google Scholar] [CrossRef] [PubMed]
- Sánchez Tijmes, F.; Marschner, C.A.; de Matos, J.F.R.G.; Urzua Fresno, C.M.; Gutiérrez Chacoff, J.M.; Thavendiranathan, P.; Fuss, C.; Hanneman, K. Imaging Acute and Chronic Cardiac Complications of COVID-19 and after COVID-19 Vaccination. Radiographics 2023, 43, e230044. [Google Scholar] [CrossRef]
- Skulstad, H.; Cosyns, B.; Popescu, B.A.; Galderisi, M.; Salvo, G.D.; Donal, E.; Petersen, S.; Gimelli, A.; Haugaa, K.H.; Muraru, D.; et al. COVID-19 pandemic and cardiac imaging: EACVI recommendations on precautions, indications, prioritization, and protection for patients and healthcare personnel. Eur. Heart J. Cardiovasc. Imaging 2020, 21, 592–598. [Google Scholar] [CrossRef] [PubMed]
- Kato, S.; Ishiwata, Y.; Aoki, R.; Iwasawa, T.; Hagiwara, E.; Ogura, T.; Utsunomiya, D. Imaging of COVID-19: An update of current evidences. Diagn. Interv. Imaging 2021, 102, 493–500. [Google Scholar] [CrossRef]
- Fronza, M.; Thavendiranathan, P.; Chan, V.; Karur, G.R.; Udell, J.A.; Wald, R.M.; Hong, R.; Hanneman, K. Myocardial Injury Pattern at MRI in COVID-19 Vaccine-Associated Myocarditis. Radiology 2022, 304, 553–562. [Google Scholar] [CrossRef] [PubMed]
- Farshidfar, F.; Koleini, N.; Ardehali, H. Cardiovascular complications of COVID-19. JCI Insight 2021, 6, e148980. [Google Scholar] [CrossRef]
- Soumya, R.S.; Unni, T.G.; Raghu, K.G. Impact of COVID-19 on the Cardiovascular System: A Review of Available Reports. Cardiovasc. Drugs Ther. 2021, 35, 411–425. [Google Scholar] [CrossRef] [PubMed]
- Brogi, E.; Marino, F.; Bertini, P.; Tavazzi, G.; Corradi, F.; Forfori, F. Cardiac complications in patients with COVID-19: A systematic review. J. Anesth. Analg. Crit. Care 2022, 2, 18. [Google Scholar] [CrossRef] [PubMed]
- Brosnahan, S.B.; Jonkman, A.H.; Kugler, M.C.; Munger, J.S.; Kaufman, D.A. COVID-19 and Respiratory System Disorders: Current Knowledge, Future Clinical and Translational Research Questions. Arterioscler. Thromb. Vasc. Biol. 2020, 40, 2586–2597. [Google Scholar] [CrossRef] [PubMed]
- Maitz, T.; Parfianowicz, D.; Vojtek, A.; Rajeswaran, Y.; Vyas, A.V.; Gupta, R. COVID-19 Cardiovascular Connection: A Review of Cardiac Manifestations in COVID-19 Infection and Treatment Modalities. Curr. Probl. Cardiol. 2023, 48, 101186. [Google Scholar] [CrossRef] [PubMed]
- Chang, W.T.; Toh, H.S.; Liao, C.T.; Yu, W.L. Cardiac Involvement of COVID-19: A Comprehensive Review. Am. J. Med. Sci. 2021, 361, 14–22. [Google Scholar] [CrossRef] [PubMed]
- Kounis, N.G.; Gogos, C.; de Gregorio, C.; Hung, M.Y.; Kounis, S.N.; Tsounis, E.P.; Assimakopoulos, S.F.; Pourmasumi, S.; Mplani, V.; Servos, G.; et al. “When,” “Where,” and “How” of SARS-CoV-2 Infection Affects the Human Cardiovascular System: A Narrative Review. Balkan Med. J. 2024, 41, 7–22. [Google Scholar] [CrossRef] [PubMed]
- Bourgonje, A.R.; Abdulle, A.E.; Timens, W.; Hillebrands, J.L.; Navis, G.J.; Gordijn, S.J.; Bolling, M.C.; Dijkstra, G.; Voors, A.A.; Osterhaus, A.D.; et al. Angiotensin-converting enzyme 2 (ACE2), SARS-CoV-2 and the pathophysiology of coronavirus disease 2019 (COVID-19). J. Pathol. 2020, 251, 228–248. [Google Scholar] [CrossRef] [PubMed]
- Baroiu, L.; Dumitru, C.; Iancu, A.; Leșe, A.C.; Drăgănescu, M.; Baroiu, N.; Anghel, L. COVID-19 impact on the liver. World J. Clin. Cases 2021, 9, 3814–3825. [Google Scholar] [CrossRef] [PubMed]
- Zou, F.; Qian, Z.; Wang, Y.; Zhao, Y.; Bai, J. Cardiac Injury and COVID-19: A Systematic Review and Meta-analysis. CJC Open 2020, 2, 386–394. [Google Scholar] [CrossRef] [PubMed]
- Li, X.; Guan, B.; Su, T.; Liu, W.; Chen, M.; Bin Waleed, K.; Guan, X.; Gary, T.; Zhu, Z. Impact of cardiovascular disease and cardiac injury on in-hospital mortality in patients with COVID-19: A systematic review and meta-analysis. Heart 2020, 106, 1142–1147. [Google Scholar] [CrossRef] [PubMed]
- Guo, T.; Fan, Y.; Chen, M.; Wu, X.; Zhang, L.; He, T.; Wang, H.; Wan, J.; Wang, X.; Lu, Z. Cardiovascular Implications of Fatal Outcomes of Patients with Coronavirus Disease 2019 (COVID-19). JAMA Cardiol. 2020, 5, 811–818+848. [Google Scholar] [CrossRef] [PubMed]
- Akkawi, A.R.; Ghazal, M. COVID-19 and Cardiac Arrhythmias: A Review of the Literature. Cureus 2021, 13, e17797. [Google Scholar] [CrossRef] [PubMed]
- Babapoor-Farrokhran, S.; Rasekhi, R.T.; Gill, D.; Babapoor, S.; Amanullah, A. Arrhythmia in COVID-19. SN Compr. Clin. Med. 2020, 2, 1430–1435. [Google Scholar] [CrossRef] [PubMed]
- Harrison, S.L.; Buckley, B.J.R.; Rivera-Caravaca, J.M.; Zhang, J.; Lip, G.Y.H. Cardiovascular risk factors, cardiovascular disease, and COVID-19: An umbrella review of systematic reviews. Eur. Heart J. Qual. Care Clin. Outcomes 2021, 7, 330–339. [Google Scholar] [CrossRef] [PubMed]
- Aghagoli, G.; Gallo Marin, B.; Soliman, L.B.; Sellke, F.W. Cardiac involvement in COVID-19 patients: Risk factors, predictors, and complications: A review. J. Card. Surg. 2020, 35, 1302–1305. [Google Scholar] [CrossRef] [PubMed]
- Rusu, I.; Turlacu, M.; Micheu, M.M. Acute myocardial injury in patients with COVID-19: Possible mechanisms and clinical implications. World J. Clin. Cases 2022, 10, 762–776. [Google Scholar] [CrossRef] [PubMed]
- Babapoor-Farrokhran, S.; Gill, D.; Walker, J.; Rasekhi, R.T.; Bozorgnia, B.; Amanullah, A. Myocardial injury and COVID-19: Possible mechanisms. Life Sci. 2020, 253, 117723. [Google Scholar] [CrossRef] [PubMed]
- Farshbafnadi, M.; Kamali Zonouzi, S.; Sabahi, M.; Dolatshahi, M.; Aarabi, M.H. Aging & COVID-19 susceptibility, disease severity, and clinical outcomes: The role of entangled risk factors. Exp. Gerontol. 2021, 154, 111507. [Google Scholar] [PubMed]
- Xu, H.; Hou, K.; Xu, R.; Li, Z.; Fu, H.; Wen, L.; Xie, L.; Liu, H.; Selvanayagam, J.B.; Zhang, N.; et al. Clinical Characteristics and Risk Factors of Cardiac Involvement in COVID-19. J. Am. Heart Assoc. 2020, 9, e016807. [Google Scholar] [CrossRef] [PubMed]
- Guo, T.; Shen, Q.; Guo, W.; He, W.; Li, J.; Zhang, Y.; Wang, Y.; Zhou, Z.; Deng, D.; Ouyang, X.; et al. Clinical characteristics of elderly patients with COVID-19 in Hunan Province, China: A multicenter, retrospective study. Gerontology 2020, 66, 467–475. [Google Scholar] [CrossRef] [PubMed]
- Song, J.; Hu, W.; Yu, Y.; Shen, X.; Wang, Y.; Yan, J.; Yang, X.; Gong, S.; Wang, M. A comparison of clinical characteristics and outcomes in elderly and younger patients with COVID-19. Med. Sci. Monit. 2020, 26, e925047. [Google Scholar] [CrossRef]
- Wang, L.; He, W.; Yu, X.; Hu, D.; Bao, M.; Liu, H.; Zhou, J.; Jiang, H. Coronavirus disease 2019 in elderly patients: Characteristics and prognostic factors based on 4-week follow-up. J. Infect. 2020, 80, 639–645. [Google Scholar] [CrossRef] [PubMed]
- Zhang, J.; Hao, Y.; Ou, W.; Ming, F.; Liang, G.; Qian, Y.; Cai, Q.; Dong, S.; Hu, S.; Wang, W.; et al. Serum interleukin-6 is an indicator for severity in 901 patients with SARS-CoV-2 infection: A cohort study. J. Transl. Med. 2020, 18, 406. [Google Scholar] [CrossRef]
- Wei, C.; Liu, Y.; Liu, Y.; Zhang, K.; Su, D.; Zhong, M.; Meng, X. Clinical characteristics and manifestations in older patients with COVID-19. BMC Geriatr. 2020, 20, 395. [Google Scholar] [CrossRef] [PubMed]
- Lian, J.; Jin, X.; Hao, S.; Cai, H.; Zhang, S.; Zheng, L.; Jia, H.; Hu, J.; Gao, J.; Zhang, Y.; et al. Analysis of epidemiological and clinical features in older patients with coronavirus disease 2019 (COVID-19) outside Wuhan. Clin. Infect. Dis. 2020, 71, 740–747. [Google Scholar] [CrossRef] [PubMed]
- Godaert, L.; Proye, E.; Demoustier-Tampere, D.; Coulibaly, P.S.; Hequet, F.; Dramé, M. Clinical characteristics of older patients: The experience of a geriatric short-stay unit dedicated to patients with COVID-19 in France. J. Infect. 2020, 81, e93–e94. [Google Scholar] [CrossRef] [PubMed]
- Romero Starke, K.; Petereit-Haack, G.; Schubert, M.; Kämpf, D.; Schliebner, A.; Hegewald, J.; Seidler, A. The Age-Related Risk of Severe Outcomes Due to COVID-19 Infection: A Rapid Review, Meta-Analysis, and Meta-Regression. Int. J. Environ. Res. Public Health 2020, 17, 5974. [Google Scholar] [CrossRef] [PubMed]
- Zhang, H.; Wu, Y.; He, Y.; Liu, X.; Liu, M.; Tang, Y.; Li, X.; Yang, G.; Liang, G.; Xu, S.; et al. Age-Related Risk Factors and Complications of Patients With COVID-19: A Population-Based Retrospective Study. Front. Med. 2022, 8, 757459. [Google Scholar] [CrossRef] [PubMed]
- Long, B.; Brady, W.J.; Bridwell, R.E.; Ramzy, M.; Montrief, T.; Singh, M.; Gottlieb, M. Electrocardiographic manifestations of COVID-19. Am. J. Emerg. Med. 2021, 41, 96–103. [Google Scholar] [CrossRef] [PubMed]
- De Carvalho, H.; Leonard-Pons, L.; Segard, J.; Goffinet, N.; Javaudin, F.; Martinage, A.; Cattin, G.; Tiberghien, S.; Therasse, D.; Trotignon, M.; et al. Electrocardiographic abnormalities in COVID-19 patients visiting the emergency department: A multicenter retrospective study. BMC Emerg. Med. 2021, 21, 141. [Google Scholar] [CrossRef] [PubMed]
- Barman, H.A.; Atici, A.; Tekin, E.A.; Baycan, O.F.; Alici, G.; Meric, B.K.; Sit, O.; Genc, O.; Er, F.; Gungor, B.; et al. Echocardiographic features of patients with COVID-19 infection: A cross-sectional study. Int. J. Cardiovasc. Imaging 2021, 37, 825–834. [Google Scholar] [CrossRef] [PubMed]
- Alam, L.; Omar, A.M.S.; Talebi, S.; Narula, J.; Argulian, E. Echocardiographic Findings in Patients with COVID-19 with Myocardial Injury During the Omicron Variant Surge. Am. J. Cardiol. 2022, 172, 168–169. [Google Scholar] [CrossRef] [PubMed]
- Stefanini, G.G.; Montorfano, M.; Trabattoni, D.; Andreini, D.; Ferrante, G.; Ancona, M.; Metra, M.; Curello, S.; Maffeo, D.; Pero, G.; et al. ST-Elevation Myocardial Infarction in Patients With COVID-19: Clinical and Angiographic Outcomes. Circulation 2020, 141, 2113–2116. [Google Scholar] [CrossRef] [PubMed]



Disclaimer/Publisher’s Note: The statements, opinions and data contained in all publications are solely those of the individual author(s) and contributor(s) and not of MDPI and/or the editor(s). MDPI and/or the editor(s) disclaim responsibility for any injury to people or property resulting from any ideas, methods, instructions or products referred to in the content. |
© 2024 by the authors. Licensee MDPI, Basel, Switzerland. This article is an open access article distributed under the terms and conditions of the Creative Commons Attribution (CC BY) license (https://creativecommons.org/licenses/by/4.0/).
Share and Cite
Nechita, L.; Niculet, E.; Baroiu, L.; Balta, A.A.S.; Nechita, A.; Voinescu, D.C.; Manole, C.; Busila, C.; Debita, M.; Tatu, A.L. Acute Myocardial Infarction in COVID-19 Patients—A Review of Literature Data and Two-Case Report Series. J. Clin. Med. 2024, 13, 2936. https://doi.org/10.3390/jcm13102936
Nechita L, Niculet E, Baroiu L, Balta AAS, Nechita A, Voinescu DC, Manole C, Busila C, Debita M, Tatu AL. Acute Myocardial Infarction in COVID-19 Patients—A Review of Literature Data and Two-Case Report Series. Journal of Clinical Medicine. 2024; 13(10):2936. https://doi.org/10.3390/jcm13102936
Chicago/Turabian StyleNechita, Luiza, Elena Niculet, Liliana Baroiu, Alexia Anastasia Stefania Balta, Aurel Nechita, Doina Carina Voinescu, Corina Manole, Camelia Busila, Mihaela Debita, and Alin Laurentiu Tatu. 2024. "Acute Myocardial Infarction in COVID-19 Patients—A Review of Literature Data and Two-Case Report Series" Journal of Clinical Medicine 13, no. 10: 2936. https://doi.org/10.3390/jcm13102936
APA StyleNechita, L., Niculet, E., Baroiu, L., Balta, A. A. S., Nechita, A., Voinescu, D. C., Manole, C., Busila, C., Debita, M., & Tatu, A. L. (2024). Acute Myocardial Infarction in COVID-19 Patients—A Review of Literature Data and Two-Case Report Series. Journal of Clinical Medicine, 13(10), 2936. https://doi.org/10.3390/jcm13102936

