Eosinophilic Dermatosis of Hematologic Malignancy: Emerging Evidence for the Role of Insect Bites—A Retrospective Clinico-Pathological Study of 35 Cases
Abstract
1. Introduction
2. Materials and Methods
3. Results
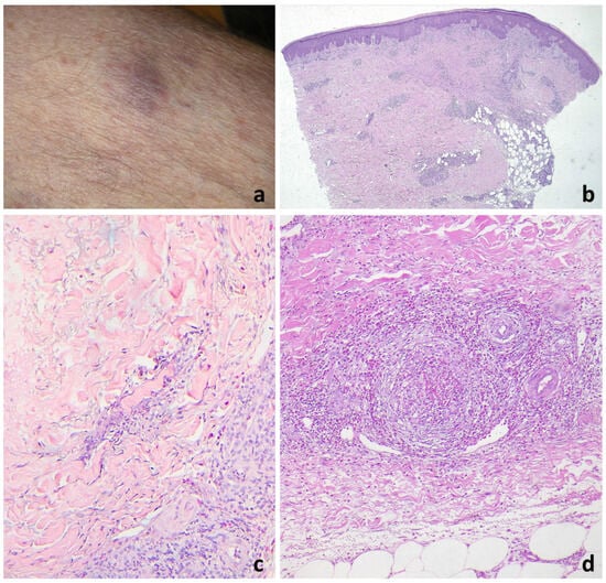
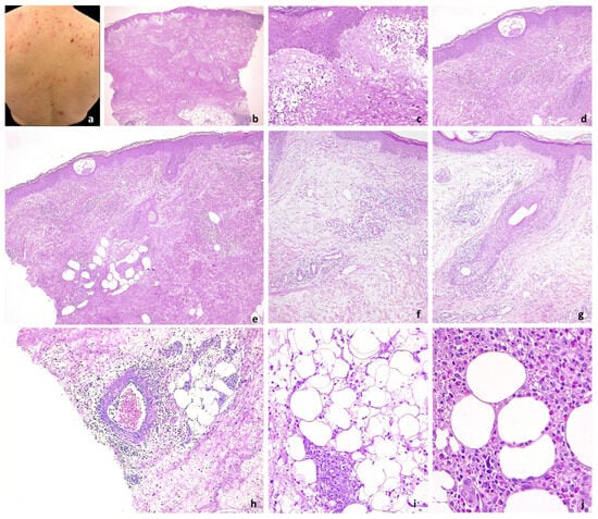
3.1. Clinical Results
3.2. Histopathologic Results




4. Discussion
Author Contributions
Funding
Institutional Review Board Statement
Informed Consent Statement
Data Availability Statement
Conflicts of Interest
References
- Farber, M.J.; La Forgia, S.; Sahu, J.; Lee, J.B. Eosinophilic dermatosis of hematologic malignancy. J. Cutan. Pathol. 2012, 39, 690–695. [Google Scholar] [CrossRef] [PubMed]
- Barzilai, A.; Shpiro, D.; Goldberg, I.; Yacob-Hirsch, Y.; Diaz-Cascajo, C.; Meytes, D.; Schiby, R.; Amariglio, N.; Trau, H. Insect bite-like reaction in patients with hematologic malignant neoplasms. Arch. Dermatol. 1999, 135, 1503–1507. [Google Scholar] [CrossRef] [PubMed]
- Dior, U.P.; Salameh, S.; Gershinsky, Y.; Stalnikowicz, R. Hypersensitivity reaction to a mosquito bite in a patient with chronic myeloid leukemia. Case Rep. Emerg. Med. 2011, 2011, 649548. [Google Scholar] [CrossRef] [PubMed] [PubMed Central][Green Version]
- Dodiuk-Gad, R.P.; Dann, E.J.; Bergman, R. Insect bite-like reaction associated with mantle cell lymphoma: A report of two cases and review of the literature. Int. J. Dermatol. 2004, 43, 754–758. [Google Scholar] [CrossRef] [PubMed]
- Visseaux, L.; Durlach, A.; Barete, S.; Beylot-Barry, M.; Bonnet, N.; Chassine, A.; Franck, N.; Herve, G.; Leclec’H, C.; Machet, L.; et al. T-cell papulosis associated with B-cell malignancy: A distinctive clinicopathologic entity. J. Eur. Acad. Dermatol. Venereol. 2018, 32, 1469–1475. [Google Scholar] [CrossRef] [PubMed]
- Khamaysi, Z.; Dodiuk-Gad, R.P.; Weltfriend, S.; Ben-Arieh, Y.; Dann, E.J.; Sahar, D.; Bergman, R. Insect bite-like reaction associated with mantle cell lymphoma: Clinicopathological, immunopathological, and molecular studies. Am. J. Dermatopathol. 2005, 27, 290–295. [Google Scholar] [CrossRef] [PubMed]
- Yoon, T.; Kim, Y.; Kim, J.; Kim, M. Nodal marginal zone lymphoma in association with hydroa vacciniforme-like papulovesicular eruption, hypersensitivity to mosquito bites and insect bite-like reaction. Br. J. Dermatol. 2005, 153, 210–212. [Google Scholar] [CrossRef] [PubMed]
- Jiang, S.; Manandhar, U.; Zheng, K.P.; Liu, Q.; Liang, P.; Song, J.Q. A case of nodal marginal zone lymphoma with hypersensitivity to mosquito bites as initial symptom. J. Cutan. Pathol. 2019, 46, 769–774. [Google Scholar] [CrossRef] [PubMed]
- Grandi, V.; Maglie, R.; Antiga, E.; Vannucchi, M.; Delfino, C.; Lastrucci, I.; Gunnella, S.; Ciolli, S.; Quintarelli, L.; Massi, D.; et al. Eosinophilic dermatosis of hematologic malignancy: A retrospective cohort of 37 patients from an Italian center. J. Am. Acad. Dermatol. 2019, 81, 246–249. [Google Scholar] [CrossRef] [PubMed]
- Weed, R.I. Exaggerated delayed hypersensitivity to mosquito bites in chronic lymphocytic leukemia. Blood 1965, 26, 257–268. [Google Scholar] [CrossRef] [PubMed]
- Rosen, L.B.; Frank, B.L.; Rywlin, A.M. A characteristic vesiculobullous eruption in patients with chronic lymphocytic leukemia. J. Am. Acad. Dermatol. 1986, 15, 943–950. [Google Scholar] [CrossRef] [PubMed]
- Pedersen, J.; Carganello, J.; van der Weyden, M.B. Exaggerated reaction to insect bites in patients with chronic lymphocytic leukemia. Clinical and histological findings. Pathology 1990, 22, 141–143. [Google Scholar] [CrossRef] [PubMed]
- Davis, M.D.; Perniciaro, C.; Dahl, P.R.; Randle, H.W.; McEvoy, M.T.; Leiferman, K.M. Exaggerated arthropod-bite lesions in patients with chronic lymphocytic leukemia: A clinical, histopathologic, and immunopathologic study of eight patients. J. Am. Acad. Dermatol. 1998, 39, 27–35. [Google Scholar] [CrossRef] [PubMed]
- Walker, P.; Long, D.; James, C.; Marshman, G. Exaggerated insect bite reaction exacerbated by a pyogenic infection in a patient with chronic lymphocytic leukaemia. Australas. J. Dermatol. 2007, 48, 165–169. [Google Scholar] [CrossRef] [PubMed]
- Blum, R.R.; Phelps, R.G.; Wei, H. Arthropod bites manifesting as recurrent bullae in a patient with chronic lymphocytic leukemia. J. Cutan. Med. Surg. 2001, 5, 312–314. [Google Scholar] [CrossRef] [PubMed]
- Cocuroccia, B.; Gisondi, P.; Gubinelli, E.; Girolomoni, G. An itchy vesiculobullous eruption in a patient with chronic lymphocytic leukaemia. Int. J. Clin. Pract. 2004, 58, 1177–1179. [Google Scholar] [CrossRef] [PubMed]
- Asakura, K.; Kizaki, M.; Ikeda, Y. Exaggerated cutaneous response to mosquito bites in a patient with chronic lymphocytic leukemia. Int. J. Hematol. 2004, 80, 59–61. [Google Scholar] [CrossRef] [PubMed]
- Bottoni, U.; Mauro, F.; Cozzani, E.; Innocenzi, D.; Del Giudice, M.; Parodi, A.; Rebora, A.; Mandelli, F.; Calvieri, S. Bullous lesions in chronic lymphocytic leukaemia: Pemphigoid or insect bites? Acta Derm. Venereol. 2006, 86, 74–76. [Google Scholar] [CrossRef] [PubMed]
- Maglie, R.; Antiga, E.; Vannucchi, M.; Del Bianco, E.; Bianchi, B.; Massi, D.; Caproni, M. Bullous eruption in a patient with B-cell chronic lymphocytic leukemia: A diagnostic challenge. Int. J. Dermatol. 2017, 56, 1445–1447. [Google Scholar] [CrossRef] [PubMed]
- Shin, D.; Kim, D. Chronic relapsing eosinophilic cellulitis associated, although independent in severity, with chronic lymphocytic leukemia. J. Eur. Acad. Dermatol. Venereol. 2016, 30, 159–161. [Google Scholar] [CrossRef] [PubMed]
- Kolbusz, R.V.; Micetich, K.; Armin, A.; Massa, M.C. Exaggerated response to insect bites. An unusual cutaneous manifestation of chronic lymphocytic leukemia. Int. J. Dermatol. 1989, 28, 186–187. [Google Scholar] [CrossRef] [PubMed]
- Vassallo, C.; Passamonti, F.; Cananzi, R.; Brazzelli, V.; Ardigò, M.; Lazzarino, M.; Borroni, G. Exaggerated insect bite-like reaction in patients affected by oncohaematological diseases. Acta Derm. Venereol. 2005, 85, 76–77. [Google Scholar] [CrossRef] [PubMed]
- Darji, K.; Bahram-Ahi, E.; Dhandha, M.; Guo, M. Mantle cell lymphoma presenting with exaggerated skin reaction to insect bites. BMJ Case Rep. 2019, 12, e227590. [Google Scholar] [CrossRef] [PubMed] [PubMed Central]
- Byrd, J.A.; Scherschun, L.; Chaffins, M.L.; Fivenson, D.P. Eosinophilic dermatosis of myeloproliferative disease: Characterization of a unique eruption in patients with hematologic disorders. Arch. Dermatol. 2001, 137, 1378–1380. [Google Scholar] [PubMed]
- Rodríguez-Lojo, R.; Almagro, M.; Piñeyro, F.; Pérez-Varela, L.; Fernández-Jorge, B.; Del Pozo, J.; Sacristán, F.; Fonseca, E. Eosinophilic panniculitis and insect bite-like eruption in a patient with chronic lymphocytic leukaemia: A spectrum of the same entity. Dermatol. Res. Pract. 2010, 2010, 263827. [Google Scholar] [CrossRef] [PubMed] [PubMed Central]
- Bairey, O.; Goldschmidt, N.; Ruchlemer, R.; Tadmor, T.; Rahimi-Levene, N.; Yuklea, M.; Shvidel, L.; Berrebi, A.; Polliack, A.; Herishanu, Y.; et al. Insect-bite-like reaction in patients with chronic lymphocytic leukemia: A study from the Israeli Chronic Lymphocytic Leukemia Study Group. Eur. J. Haematol. 2012, 89, 491–496. [Google Scholar] [CrossRef] [PubMed]
- Jencks, A.; Kiavash, K.; Daveluy, S.; Thompson, A.D. Eosinophilic Dermatosis of Myeloproliferative Disease in a Young Adult with Diffuse Large B-Cell Lymphoma. Am. J. Dermatopathol. 2019, 41, 303–308. [Google Scholar] [CrossRef] [PubMed]
- Chassine, A.-F.; Dadban, A.; Charfi, S.; Chaby, G.; Royer, B.; Damaj, G.; Chatelain, D.; Lok, C. Dermatose éosinophilique associée aux hémopathies: Étude clinique, histopathologique et immunohistochimique de six cas [Eosinophilic dermatosis associated with hematological disorders: A clinical, histopathological and immunohistochemical study of six observations]. Ann. Dermatol. Venereol. 2010, 137, 181–188. [Google Scholar] [CrossRef] [PubMed]
- Mitteldorf, C.; Tronnier, M.; Merz, H.; Haenssle, H.; Bertsch, H.; Schön, M.; Kaune, K. Insect bite-like reactions in a patient with B-cell chronic lymphocytic leukaemia: Fluorescence in situ hybridization analysis revealed neoplastic B cells within the skin infiltrate. Br. J. Dermatol. 2012, 167, 944–946. [Google Scholar] [CrossRef] [PubMed]
- Lucas-Truyols, S.; Rodrigo-Nicolás, B.; Lloret-Ruiz, C.; Quecedo-Estébanez, E. Eosinophilic Dermatosis of Hematologic Malignancy. Actas Dermosifiliogr. 2017, 108, e39–e44. (In English), (In Spanish) [Google Scholar] [CrossRef] [PubMed]
- Mieczkowska, K.; Rzepecki, A.K.; Jacob, J.; Amin, B.; Jacobson, M.; McLellan, B.N. Long-term maintenance of eosinophilic dermatosis of hematologic malignancy with doxycycline. JAAD Case Rep. 2021, 16, 110–112. [Google Scholar] [CrossRef] [PubMed] [PubMed Central]
- Bailey, C.A.R.; Laurain, D.A.; Sheinbein, D.M.; Jones, H.A.; Compton, L.A.; Rosman, I.S. Eosinophilic folliculitis, eosinophilic dermatosis of hematologic malignancy and acneiform follicular mucinosis: Two case reports and a review of the literature highlighting the spectrum of histopathology. J. Cutan. Pathol. 2021, 48, 439–450. [Google Scholar] [CrossRef] [PubMed]
- Rongioletti, F.; Rebora, A. Follicular mucinosis in exaggerated arthropod-bite reactions of patients with chronic lymphocytic leukemia. J. Am. Acad. Dermatol. 1999, 41, 500. [Google Scholar] [CrossRef] [PubMed]
- Michelerio, A.; Tomasini, C.; Fiandrino, G.; De Amici, M.; Varettoni, M.; Defrancesco, I.; Cavalloni, C.; Brazzelli, V.; Derlino, F.; Paulli, M.; et al. Eosinophilic dermatosis of hematologic malignancy in patients with chronic lymphocytic leukemia/non-Hodgkin’s B lymphoma: A single center prospective clinico-pathological study. Front. Med. 2023, 10, 1231003. [Google Scholar] [CrossRef] [PubMed] [PubMed Central]
- Podhorecka, M.; Dmoszynska, A.; Rolinski, J.; Wasik, E. T type 1/type 2 subsets balance in B-cell chronic lymphocytic leukemia-the three-color flow cytometry analysis. Leuk. Res. 2002, 26, 657–660. [Google Scholar] [CrossRef] [PubMed]
- Riches, J.C.; Ramsay, A.G.; Gribben, J.G. T-cell function in chronic lymphocytic leukaemia. Semin. Cancer Biol. 2010, 20, 431–438. [Google Scholar] [CrossRef] [PubMed]
- Steen, C.J.; Carbonaro, P.A.; Schwartz, R.A. Arthropods in dermatology. J. Am. Acad. Dermatol. 2004, 50, 819–842. [Google Scholar] [CrossRef] [PubMed]
- Friedman, I.S.; Phelps, R.G.; Baral, J.; Sapadin, A.N. Wells’ syndrome triggered by centipede bite. Int. J. Dermatol. 1998, 37, 602–605. [Google Scholar] [CrossRef] [PubMed]
- McClain, D.; Dana, A.N.; Goldenberg, G. Mite infestations. Dermatol. Ther. 2009, 22, 327–346. [Google Scholar] [CrossRef] [PubMed]
- Chang, D.K.; Schloss, E.; Jimbow, K. Wells’ syndrome: Vesiculobullous presentation and possible role of ectoparasites. Int. J. Dermatol. 1997, 36, 288–291. [Google Scholar] [CrossRef] [PubMed]
- Vellere, I.; Di Felice, A.; Botta, A.; Angheben, A.; Bartoloni, A.; Zammarchi, L. Pyemotes ventricosus Dermatitis: A Case Report and an Extensive Review of Outbreaks and Clinical Cases. Infect. Dis. Rep. 2022, 14, 668–674. [Google Scholar] [CrossRef] [PubMed] [PubMed Central]
- Ramondetta, A.; Ribero, S.; Peano, A.; Quaglino, P.; Broganelli, P. In Vivo Observation of Trombiculosis with Fluorescence-Advanced Videodermatoscopy. Emerg. Infect. Dis. 2020, 26, 1904–1905. [Google Scholar] [CrossRef] [PubMed] [PubMed Central]
- Alexander, J.O. Papular urticaria and immune complexes. J. Am. Acad. Dermatol. 1985, 12, 374–375. [Google Scholar] [CrossRef] [PubMed]
- Ackerman, A.B.; Chongchitnant, N.; Sanchez, J.; Guo, Y.; Bennin, B.; Reichel, M.; Randall, M.B. Histologic Diagnosis of Inflammatory Skin Diseases. An Algorithmic Method Based on Pattern Analysis, 2nd ed.; Williams & Wilkins: Baltimore, MD, USA, 1997. [Google Scholar]
- Jordaan, H.F.; Schneider, J.W. Papular urticaria: A histopathologic study of 30 patients. Am. J. Dermatopathol. 1997, 19, 119–126. [Google Scholar] [CrossRef] [PubMed]
- Miteva, M.; Elsner, P.; Ziemer, M. A histopathologic study of arthropod bite reactions in 20 patients highlights relevant adnexal involvement. J. Cutan. Pathol. 2009, 36, 26–33. [Google Scholar] [CrossRef] [PubMed]
- Eichhorst, B.; Robak, T.; Montserrat, E.; Ghia, P.; Niemann, C.; Kater, A.; Gregor, M.; Cymbalista, F.; Buske, C.; Hillmen, P.; et al. Electronic address: Clinicalguidelines@esmo.org. Chronic lymphocytic leukaemia: ESMO Clinical Practice Guidelines for diagnosis, treatment and follow-up. Ann. Oncol. 2021, 32, 23–33. [Google Scholar] [CrossRef] [PubMed]
- International CLL-IPI Working Group. An international prognostic index for patients with chronic lymphocytic leukaemia (CLL-IPI): A meta-analysis of individual patient data. Lancet Oncol. 2016, 17, 779–790. [Google Scholar] [CrossRef] [PubMed]
- Gupta, S.K.; Viswanatha, D.S.; Patel, K.P. Evaluation of Somatic Hypermutation Status in Chronic Lymphocytic Leukemia (CLL) in the Era of Next Generation Sequencing. Front. Cell Dev. Biol. 2020, 8, 357. [Google Scholar] [CrossRef] [PubMed] [PubMed Central]
- Burger, J.A. Treatment of Chronic Lymphocytic Leukemia. N. Engl. J. Med. 2020, 383, 460–473. [Google Scholar] [CrossRef] [PubMed]
- Bronstein, Y.; Levi, S.; Tsuriel, S.; Arbel, Y.S.; Joffe, E.; Herishanu, Y. The Outcome of CLL Patients According to IGHV Mutational Status: An Israeli Perspective. Blood 2021, 138, 4686. [Google Scholar] [CrossRef]
- Gaidano, G.; Rossi, D. The mutational landscape of chronic lymphocytic leukemia and its impact on prognosis and treatment. Hematol. Am. Soc. Hematol. Educ. Program. 2017, 2017, 329–337. [Google Scholar] [CrossRef] [PubMed] [PubMed Central]
- Strati, P.; Shanafelt, T.D. Monoclonal B-cell lymphocytosis and early-stage chronic lymphocytic leukemia: Diagnosis, natural history, and risk stratification. Blood 2015, 126, 454–462. [Google Scholar] [CrossRef] [PubMed] [PubMed Central]
- Morabito, F.; Mosca, L.; Cutrona, G.; Agnelli, L.; Tuana, G.; Ferracin, M.; Zagatti, B.; Lionetti, M.; Fabris, S.; Maura, F.; et al. Clinical monoclonal B lymphocytosis versus Rai 0 chronic lymphocytic leukemia: A comparison of cellular, cytogenetic, molecular, and clinical features. Clin. Cancer Res. 2013, 19, 5890–5900. [Google Scholar] [CrossRef] [PubMed]
- Wells, G.; Smith, N.P. Eosinophilic cellulitis. Br. J. Dermatol. 1979, 100, 101–109. [Google Scholar] [CrossRef] [PubMed]
- Weins, A.B.; Biedermann, T.; Weiss, T.; Weiss, J.M. Wells-Syndrom. J. Dtsch. Dermatol. Ges. 2016, 14, 989–994. [Google Scholar] [CrossRef] [PubMed]
- Spinelli, M.; Frigerio, E.; Cozzi, A.; Garutti, C.; Garavaglia, M.; Altomare, G. Bullous Wells’ syndrome associated with non-Hodgkin’s lymphocytic lymphoma. Acta Derm. Venereol. 2008, 88, 530–531. [Google Scholar] [CrossRef] [PubMed]
- Misago, N.; Okwa, T.; Tanaka, M.; Narisawa, Y. Eosinophilic cellulitis (Wells’ syndrome) and an insect bite-like reaction in a patient with non-Hodgkin B cell lymphoma. Eur. J. Dermatol. 2011, 21, 422–423. [Google Scholar] [CrossRef] [PubMed]
- Schorr, W.F.; Tauscheck, A.L.; Dickson, K.B.; Melski, J.W. Eosinophilic cellulitis (Wells’ syndrome): Histologic and clinical features in arthropod bite reactions. J. Am. Acad. Dermatol. 1984, 11, 1043–1049. [Google Scholar] [CrossRef] [PubMed]
- Stuhr, P.M.; Vale, E.C. Wells syndrome associated with chronic lymphocytic leukemia. An. Bras. Dermatol. 2015, 90, 571–574. [Google Scholar] [CrossRef] [PubMed] [PubMed Central]
- Pessach, I.; Petevi, K.; Gkirkas, K.; Stamouli, M.; Constantinou, P.; Rontogianni, D.; Dimitriadis, G.; Tsirigotis, P. Wells’ syndrome with a clinicopathological correlation associated with mantle-cell lymphoma. Leuk. Lymphoma 2016, 57, 2702–2704. [Google Scholar] [CrossRef] [PubMed]
- Emge, D.A.; Lewis, D.J.; Aung, P.P.; Duvic, M. Eosinophilic infiltrate resembling eosinophilic cellulitis (Wells syndrome) in a patient with mycosis fungoides. Dermatol. Online J. 2018, 24, 11. [Google Scholar] [CrossRef] [PubMed]
- Nakazato, S.; Fujita, Y.; Hamade, Y.; Nemoto-Hasebe, I.; Sugita, J.; Nishie, W.; Shimizu, H. Wells’ syndrome associated with chronic myeloid leukaemia. Acta Derm. Venereol. 2013, 93, 375–376. [Google Scholar] [CrossRef] [PubMed]
- Omigawa, C.; Namiki, T.; Ueno, M.; Ugajin, T.; Miura, K.; Yokozeki, H. Case of Wells’ syndrome: A rare association with the clinical course of chronic lymphocytic leukemia. J. Dermatol. 2019, 46, e57–e59. [Google Scholar] [CrossRef] [PubMed]
- Tirado-Sánchez, A.; Sánchez-Álvarez, I.; Bonifaz, A. Wells syndrome (eosinophilic cellulitis). A retrospective study in 35 adult patients. Med. Clin. 2021, 157, 544–545. (In English), (In Spanish) [Google Scholar] [CrossRef] [PubMed]
- Clark, D.P.; Anderson, P.C. Eosinophilic cellulitis caused by arthropod bites. Int. J. Dermatol. 1988, 27, 411–412. [Google Scholar] [CrossRef] [PubMed]
- Melski, J.W. Wells’ syndrome, insect bites, and eosinophils. Dermatol. Clin. 1990, 8, 287–293. [Google Scholar] [CrossRef] [PubMed]
- Brehmer-Andersson, E.; Kaaman, T.; Skog, E.; Frithz, A. The histopathogenesis of the flame figure in Wells’ syndrome based on five cases. Acta Derm. Venereol. 1986, 66, 213–219. [Google Scholar] [CrossRef] [PubMed]
- Moossavi, M.; Mehregan, D.R. Wells’ syndrome: A clinical and histopathologic review of seven cases. Int. J. Dermatol. 2003, 42, 62–67. [Google Scholar] [CrossRef] [PubMed]
- Spigel, G.T.; Winkelmann, R.K. Wells’ syndrome. Recurrent granulomatous dermatitis with eosinophilia. Arch. Dermatol. 1979, 115, 611–613. [Google Scholar] [CrossRef] [PubMed]
- Barreiros, H.; Matos, D.; Furtado, C.; Cunha, H.; Bártolo, E. Wells syndrome in a child triggered by parvovirus B19 infection? J. Am. Acad. Dermatol. 2012, 67, e166–e167. [Google Scholar] [CrossRef] [PubMed]
- Cherng, E.; McClung, A.A.; Rosenthal, H.M.; Hicks, J.; Levy, M.L. Wells’ syndrome associated with parvovirus in a 5-year old boy. Pediatr. Dermatol. 2012, 29, 762–764. [Google Scholar] [CrossRef] [PubMed]
- Toulon, A.; Bourdon-Lanoy, E.; Hamel, D.; Fraitag, S.; Leruez-Ville, M.; de Prost, Y.; Hadj-Rabia, S. Wells’ syndrome after primoinfection by parvovirus B19 in a child. J. Am. Acad. Dermatol. 2007, 56, S50–S51. [Google Scholar] [CrossRef] [PubMed]
- Calvert, J.; Shors, A.R.; Hornung, R.L.; Poorsattar, S.P.; Sidbury, R. Relapse of Wells’ syndrome in a child after tetanus-diphtheria immunization. J. Am. Acad. Dermatol. 2006, 54, S232–S233. [Google Scholar] [CrossRef] [PubMed]
- Koh, K.J.; Warren, L.; Moore, L.; James, C.; Thompson, G.N. Wells’ syndrome following thiomersal-containing vaccinations. Australas. J. Dermatol. 2003, 44, 199–202. [Google Scholar] [CrossRef] [PubMed]
- Yu, A.M.; Ito, S.; Leibson, T.; Lavi, S.; Fu, L.W.; Weinstein, M.; Skotnicki, S.M. Pediatric Wells syndrome (eosinophilic cellulitis) after vaccination: A case report and review of the literature. Pediatr. Dermatol. 2018, 35, e262–e264. [Google Scholar] [CrossRef] [PubMed]
- Ferreli, C.; Pinna, A.L.; Atzori, L.; Aste, N. Eosinophilic cellulitis (Well’s syndrome): A new case description. J. Eur. Acad. Dermatol. Venereol. 1999, 13, 41–45. [Google Scholar] [CrossRef] [PubMed]
- Caputo, R.; Marzano, A.V.; Vezzoli, P.; Lunardon, L. Wells syndrome in adults and children: A report of 19 cases. Arch. Dermatol. 2006, 142, 1157–1161. [Google Scholar] [CrossRef] [PubMed]
- Heelan, K.; Ryan, J.F.; Shear, N.H.; Egan, C.A. Wells syndrome (eosinophilic cellulitis): Proposed diagnostic criteria and a literature review of the drug-induced variant. J. Dermatol. Case Rep. 2013, 7, 113–120. [Google Scholar] [CrossRef] [PubMed] [PubMed Central]
- Verma, P.; Sharma, S.; Singal, A. Idiopathic bullous eosinophilic cellulitis (Wells syndrome) responsive to topical tacrolimus and antihistamine combination. Indian J. Dermatol. Venereol. Leprol. 2012, 78, 378–380. [Google Scholar] [CrossRef] [PubMed]
- Sinno, H.; Lacroix, J.-P.; Lee, J.; Izadpanah, A.; Borsuk, R.; Watters, K.; Gilardino, M. Diagnosis and management of eosinophilic cellulitis (Wells’ syndrome): A case series and literature review. Can. J. Plast. Surg. 2012, 20, 91–97. [Google Scholar] [CrossRef] [PubMed] [PubMed Central]
- Wells, G.C. Recurrent granulomatous dermatitis with eosinophilia. Trans. St. Johns Hosp. Dermatol. Soc. 1971, 57, 46–56. [Google Scholar] [PubMed]
- Lin, H.-L.; Lin, J.-N.; Chen, C.-W.; Kuo, L.-C.; Lee, W.-C. Eosinophilic cellulitis after honeybee sting. J. Formos. Med. Assoc. 2009, 108, 964–966. [Google Scholar] [CrossRef] [PubMed]
- Gambichler, T.; Othlinghaus, N.; Rotterdam, S.; Altmeyer, P.; Stücker, M. Impetiginized Wells’ syndrome in a patient with chronic lymphocytic leukaemia. Clin. Exp. Dermatol. 2009, 34, e274–e275. [Google Scholar] [CrossRef] [PubMed]
- Aberer, W.; Konrad, K.; Wolff, K. Wells’ syndrome is a distinctive disease entity and not a histologic diagnosis. J. Am. Acad. Dermatol. 1988, 18, 105–114. [Google Scholar] [CrossRef] [PubMed]
- Peckruhn, M.; Tittelbach, J.; Schliemann, S.; Elsner, P. Life of lesions in eosinophilic cellulitis (Wells’ syndrome)-a condition that may be missed at first sight. Am. J. Dermatopathol. 2015, 37, e15–e17. [Google Scholar] [CrossRef] [PubMed]
- Gutiérrez-González, E.; Pereiro, M., Jr.; Toribio, J. Elastolytic Actinic Giant Cell Granuloma. Dermatol. Clin. 2015, 33, 331–341. [Google Scholar] [CrossRef] [PubMed]
- Wanat, K.A.; Caplan, A.; Messenger, E.; English, J.C., 3rd; Rosenbach, M. Reactive granulomatous dermatitis: A useful and encompassing term. JAAD Int. 2022, 7, 126–128. [Google Scholar] [CrossRef] [PubMed] [PubMed Central]
- Kumar, A.B.; Lehman, J.; Johnson, E.; Cantwell, H.; Valinotti, J.S.; Sokumbi, O.; Davis, M.; Wetter, D.A. Reactive granulomatous dermatitis as a clinically relevant and unifying term: A retrospective review of clinical features, associated systemic diseases, histopathology and treatment for a series of 65 patients at Mayo Clinic. J. Eur. Acad. Dermatol. Venereol. 2022, 36, 2443–2450. [Google Scholar] [CrossRef] [PubMed] [PubMed Central]
- Chiu, Y.E.; Abban, C.Y.; Konicke, K.; Segura, A.; Sokumbi, O. Histopathologic Spectrum of Morphea. Am. J. Dermatopathol. 2021, 43, 1–8. [Google Scholar] [CrossRef] [PubMed]
- Lakhanpal, S.; Ginsburg, W.W.; Michet, C.J.; Doyle, J.A.; Moore, S.B. Eosinophilic fasciitis: Clinical spectrum and therapeutic response in 52 cases. Semin. Arthritis Rheum. 1988, 17, 221–231. [Google Scholar] [CrossRef] [PubMed]
- Barnes, L.; Rodnan, G.P.; Medsger, T.A.; Short, D. Eosinophilic fasciitis. A pathologic study of twenty cases. Am. J. Pathol. 1979, 96, 493–518. [Google Scholar] [PubMed] [PubMed Central]

| Case/ Gender | Hematologic Disease | IgHV Mutational Status | FISH Panel LLC | TP53 | Disease Relapse/ Progression, Follow-Up | Age at Diagnosis of Hematologic Disease (y) | Timing of EDHM Onset to Hematologic Diagnosis/Chemotherapy | Lesion Topography | EDHM Clinical Presentation | Survival (Years) |
|---|---|---|---|---|---|---|---|---|---|---|
| 1/F * | SLL/CLL | mutated | trisomy 12 | wt | CR, LFU | 77 | One year after chemotherapy | upper and lower extremities, face | Polymorphic; purpuric papules and nodules on the limbs, urticarial plaques on the face | 8 |
| 2/F * | CLL | unmutated | del(11q); del(13q) | wt | SD, death | 76 | 3 months after chemotherapy | upper and lower extremities, face | Monomorphic; urticarial plaques centrally excoriated | 10 |
| 3/F * | CLL | unmutated | del(13q) | wt | CR, alive | 87 | 3 years after chemotherapy | lower extremities, face | Polymorphic; blisters on the limbs, urticarial plaques on the face | 8 |
| 4/M * | CLL | unmutated | no alterations | wt | P, LFU | 57 | 18 months after chemotherapy | lower extremities | Monomorphic; purpuric urticarial plaques centrally excoriated | 8 |
| 5/F * | CLL | unmutated | no alterations | wt | P, death | 76 | One year after chemotherapy | upper and lower extremities, face, trunk | Polymorphic; purpuric papules and nodules on the limbs, urticarial plaques on the face and trunk | 7 |
| 6/F * | CLL | mutated | del(13q) | mut | P, alive | 77 | 16 years after the first chemotherapy | upper extremities | Monomorphic; urticarial plaques | 14 |
| 7/F * | CLL | unmutated | no alterations | mut | P, LFU | 61 | 18 months before hematological disease diagnosis | upper and lower extremities, face | Polymorphic; panniculitis-like plaques, excoriated erythematous papules, urticarial plaques | 4 |
| 8/F * | CLL | unmutated | trisomy 12 | wt | P, alive | 66 | One year before hematological disease diagnosis | upper and lower extremities, trunk | Monomorphic; centrally excoriated erythematous papules and nodules | 6 |
| 9/M * | FL | NA | NA | NA | RC, alive | 71 | One year after diagnosis and chemotherapy | upper and lower extremities | Monomorphic; centrally excoriated erythematous papules and nodules | 7 |
| 10/F * | MZL | NA | NA | NA | P, alive | 66 | During chemotherapy (third cycle) | upper and lower extremities | Polymorphic; urticarial plaques on the upper extremities, blisters on the lower extremities | 5 |
| 11/F * | FL | NA | NA | NA | RC, alive | 78 | After fourth chemotherapy cycle | upper and lower extremities | Polymorphic; erythematous papules, cellulitis-like plaques on the upper extremities | 5 |
| 12/M * | CLL | unmutated | no alterations | wt | SD, death | 68 | One year before hematological disease diagnosis | upper and lower extremities, face, trunk | Polymorphic; panniculitis-like plaques; urticarial plaques, centrally excoriated erythematous papules | 5 |
| 13/M * | CLL | unmutated | del(13q), del(17p) | mut | P, LFU | 65 | Six years after chemotherapy | upper and lower extremities | Monomorphic; centrally excoriated erythematous papules and nodules | 11 |
| 14/F * | CLL | unmutated | del(13q) | wt | P, alive | 53 | Concomitant with first chemotherapy cycle | lower extremities | Monomorphic; centrally excoriated urticarial plaques | 10 |
| 15/M * | SLL/CLL | unmutated | no alterations | NA | P, LFU | 67 | Three years after diagnosis and chemotherapy | upper and lower extremities | Monomorphic; excoriated vesico-papules | 1 |
| 16/M | CLL | / | / | / | / | 82 | After the hematologic disease diagnosis | upper and lower limbs | erythematous papules and nodules | NA |
| 17/M | CLL | unmutated | del17q | / | P, death | 71 | 8 months after the hematologic disease diagnosis | lower limbs | erythematous papules and plaques | 17 |
| 18/M | monoclonal B cell lymphocytosis | / | / | / | / | 79 | After the hematologic disease diagnosis | upper and lower limbs | erythematous urticarial plaques and blisters | NA |
| 19/F | multiple myeloma | / | negative | / | SD, death | 56 | After the hematologic disease diagnosis | lower limbs | erythematous papules and urticarial plaques | 7 |
| 20/M | monoclonal B cell lymphocytosis | / | / | / | / | 78 | 36 months before the hematologic disease diagnosis | lower limbs | Erythematous-violaceous nodules | NA |
| 21/F | CLL | mutated | del17q | / | P, death | 58 | 18 years after the hematologic disease diagnosis | lower limbs | erythematous urticarial plaques and erythematous nodules | 25 |
| 22/M | CLL | unmutated | tris12 | / | P, death | 71 | 7 months after the hematologic disease diagnosis | upper limbs | erythematous nodules | 3 |
| 23/M | mantle cell lymphoma | / | / | / | / | 81 | After the hematologic disease diagnosis | upper limbs | excoriated erythematous papules | NA |
| 24/F | CLL | / | / | / | SD, alive | 63 | After the hematologic disease diagnosis | upper limbs | erythematous papules and urticarial plaques | 11 |
| 25/M | CLL | unmutated | negative | wt | SD, death | 74 | 3 months after the hematologic disease diagnosis | upper and lower limbs | excoriated erythematous papules | 3 |
| 26/F | CLL | unmutated | tris12 | / | SD, death | 70 | 3 months after the hematologic disease diagnosis | diffuse | erythematous urticarial plaques and blisters | 9 |
| 27/M | CLL | / | / | / | / | 73 | After the hematologic disease diagnosis | diffuse | erythematous papules | NA |
| 28/F | CLL | / | tris12 | / | / | 72 | 45 months after the hematologic disease diagnosis | lower limbs | erythematous papules | NA |
| 29/M | CMML | / | negative | / | P, death | 76 | 14 months after the hematologic disease diagnosis | diffuse | excoriated erythematous papules | 2 |
| 30/M | CLL | / | / | / | SD, death | 80 | 36 months after the hematologic disease diagnosis | upper and lower limbs, face | monomorphic erythematous papules and urticarial plaques | 11 |
| 31/M | CLL | unmutated | tris12 | / | P, alive | 54 | 17 years before the hematologic disease diagnosis | diffuse | erythematous nodules | 14 |
| 32/F | CLL | / | del17q | / | P, alive | 55 | After the hematologic disease diagnosis | upper and lower limbs | erythematous nodules and urticarial plaques | 7 |
| 33/F | CLL | / | / | / | P, alive | 86 | Concomitant the hematologic disease diagnosis | upper and lower limbs | erythematous nodules and blisters | 3 |
| 34/F | CLL | / | / | / | SD, alive | 61 | Concomitant the hematologic disease diagnosis | upper and lower extremities | hemorrhagic plaques and nodules, blisters | 1 |
| 35/F | CLL | unmutated | tris12 | wt | SD, alive | 64 | 2 years after the hematologic disease diagnosis | diffuse | erythematous plaques | 2 |
Disclaimer/Publisher’s Note: The statements, opinions and data contained in all publications are solely those of the individual author(s) and contributor(s) and not of MDPI and/or the editor(s). MDPI and/or the editor(s) disclaim responsibility for any injury to people or property resulting from any ideas, methods, instructions or products referred to in the content. |
© 2024 by the authors. Licensee MDPI, Basel, Switzerland. This article is an open access article distributed under the terms and conditions of the Creative Commons Attribution (CC BY) license (https://creativecommons.org/licenses/by/4.0/).
Share and Cite
Michelerio, A.; Rubatto, M.; Roccuzzo, G.; Coscia, M.; Quaglino, P.; Tomasini, C. Eosinophilic Dermatosis of Hematologic Malignancy: Emerging Evidence for the Role of Insect Bites—A Retrospective Clinico-Pathological Study of 35 Cases. J. Clin. Med. 2024, 13, 2935. https://doi.org/10.3390/jcm13102935
Michelerio A, Rubatto M, Roccuzzo G, Coscia M, Quaglino P, Tomasini C. Eosinophilic Dermatosis of Hematologic Malignancy: Emerging Evidence for the Role of Insect Bites—A Retrospective Clinico-Pathological Study of 35 Cases. Journal of Clinical Medicine. 2024; 13(10):2935. https://doi.org/10.3390/jcm13102935
Chicago/Turabian StyleMichelerio, Andrea, Marco Rubatto, Gabriele Roccuzzo, Marta Coscia, Pietro Quaglino, and Carlo Tomasini. 2024. "Eosinophilic Dermatosis of Hematologic Malignancy: Emerging Evidence for the Role of Insect Bites—A Retrospective Clinico-Pathological Study of 35 Cases" Journal of Clinical Medicine 13, no. 10: 2935. https://doi.org/10.3390/jcm13102935
APA StyleMichelerio, A., Rubatto, M., Roccuzzo, G., Coscia, M., Quaglino, P., & Tomasini, C. (2024). Eosinophilic Dermatosis of Hematologic Malignancy: Emerging Evidence for the Role of Insect Bites—A Retrospective Clinico-Pathological Study of 35 Cases. Journal of Clinical Medicine, 13(10), 2935. https://doi.org/10.3390/jcm13102935

