Reconstruction of Craniomaxillofacial Bone Defects with 3D-Printed Bioceramic Implants: Scoping Review and Clinical Case Series
Abstract
1. Introduction
2. Materials and Methods
2.1. Search Strategy
2.2. Case Presentation
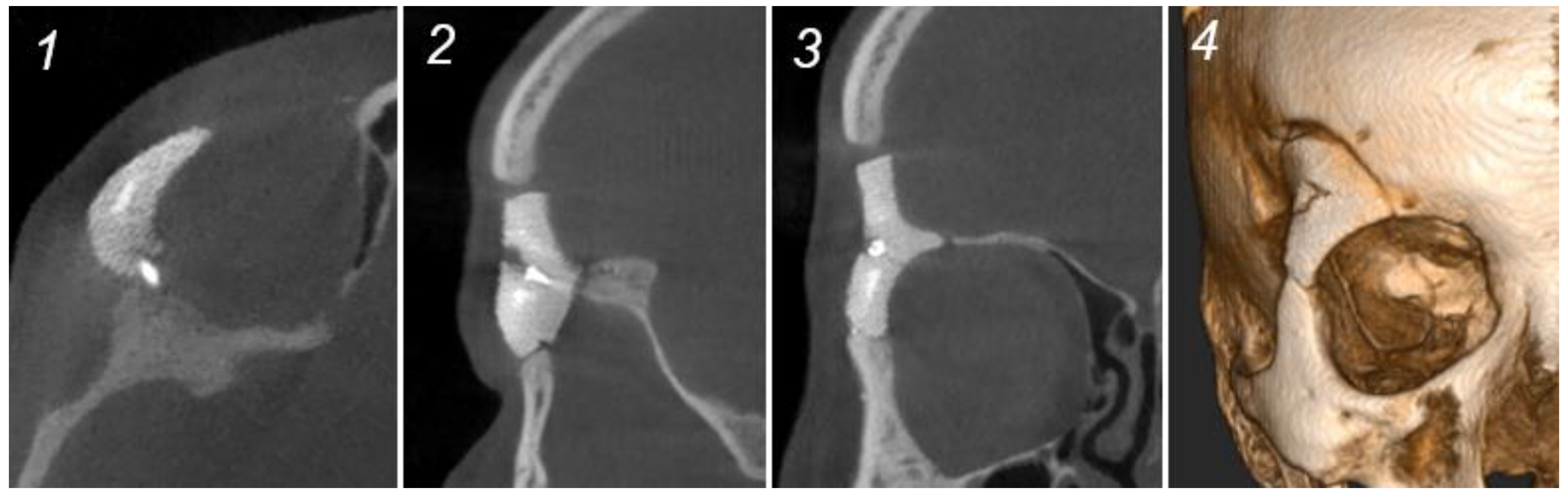
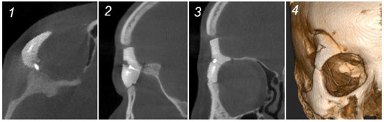
2.3. Intraosseous Hemangioma—Case 1
2.4. Hemifacial Asymmetry—Case 2
3. Results
4. Discussion
4.1. Biocompatibility
4.2. Biomechanical Properties
4.3. Surgical Benefits
4.4. Cost
4.5. Limitations and Strengths
4.6. Future Opportunities
5. Conclusions
Author Contributions
Funding
Informed Consent Statement
Data Availability Statement
Acknowledgments
Conflicts of Interest
Abbreviations
| 3D | Three-dimensional |
| α-TCP and β-TCP | α- and β-tricalcium phosphate |
| BCP | Bicalcium phosphate |
| BMP2 | Bone morphogenic protein 2 |
| CAD/CAM | Computer-aided design and manufacturing |
| CBCT imaging | Cone-beam CT imaging |
| CT scan | Computed Tomography scan |
| FGF | Fibroblast growth factor |
| HA | Hydroxy apatite |
| MPa | Mega Pascal |
| MRI | Magnetic resonance imaging |
| PET-CT scan | Positron Emission Tomography CT scan |
| PICOS criteria | Patient population, intervention, comparison, Outcome, and study design |
| PEEK | Poly-ether-ether-ketone |
| PSI | Patient-specific implant |
| QoL | Quality of life |
| SCIAP flap | Superficial Circumflex Iliac Artery Perforator flap |
| TMJ | Temporomandibular joint |
| TPMS | Triply periodic minimal surface |
| VEGF | Vascular endothelial growth factor |
References
- Ghantous, Y.; Nashef, A.; Mohanna, A.; Abu-El-naaj, I. Three-Dimensional Technology Applications in Maxillofacial Reconstructive Surgery: Current Surgical Implications. Nanomaterials 2020, 10, 2523. [Google Scholar] [CrossRef] [PubMed]
- Wang, W.; Yeung, K.W. Bone Grafts and Biomaterials Substitutes for Bone Defect Repair: A Review. Bioact. Mater. 2017, 2, 224–247. [Google Scholar] [CrossRef] [PubMed]
- Alasseri, N.; Alasraj, A. Patient-Specific Implants for Maxillofacial Defects: Challenges and Solutions. Maxillofac. Plast. Reconstr. Surg. 2020, 42, 1–8. [Google Scholar] [CrossRef] [PubMed]
- Kanno, T.; Sukegawa, S.; Karino, M.; Furuki, Y. Navigation-Assisted Orbital Trauma Reconstruction Using a Bioactive Osteoconductive/Bioresorbable u-HA/PLLA System. J. Maxillofac. Oral Surg. 2019, 18, 329–338. [Google Scholar] [CrossRef] [PubMed]
- Cleemput, S.; Huys, S.E.; Cleymaet, R.; Cools, W.; Mommaerts, M.Y. Additively Manufactured Titanium Scaffolds and Osteointegration—Meta-Analyses and Moderator-Analyses of in Vivo Biomechanical Testing. Biomater. Res. 2021, 25, 1–17. [Google Scholar] [CrossRef]
- Doi, K.; Kubo, T.; Makihara, Y.; Oue, H.; Morita, K.; Oki, Y.; Kajihara, S.; Tsuga, K. Osseointegration Aspects of Placed Implant in Bone Reconstruction with Newly Developed Block-Type Interconnected Porous Calcium Hydroxyapatite. J. Appl. Oral Sci. 2016, 24, 325–331. [Google Scholar] [CrossRef] [PubMed]
- Chen, J.; Xiao, J.; Han, X.; Sima, X.; Guo, W. An HA/PEEK Scaffold with Modified Crystallinity via 3D-Bioprinting for Multiple Applications in Hard Tissue Engineering. Biomed. Mater. 2023, 18, 065021. [Google Scholar] [CrossRef]
- Fillingham, Y.; Jacobs, J. Bone Grafts and Their Substitutes. Bone Jt. J. 2016, 98B, 6–9. [Google Scholar] [CrossRef]
- Systermans, S.; Cobraiville, E.; Camby, S.; Meyer, C.; Louvrier, A.; Lie, S.A.; Schouman, T.; Siciliano, S.; Beckers, O.; Poulet, V.; et al. An Innovative 3D Hydroxyapatite Patient-Specific Implant for Maxillofacial Bone Reconstruction: A Case Series of 13 Patients. J. Cranio-Maxillofac. Surg. 2024, 52, 420–431. [Google Scholar] [CrossRef]
- Bedogni, A.; Bettini, G.; Bedogni, G.; Menapace, G.; Sandi, A.; Michelon, F.; Di Carlo, R.; Franco, P.; Saia, G. Safety of Boneless Reconstruction of the Mandible with a CAD/CAM Designed Titanium Device: The Replica Cohort Study. Oral Oncol. 2021, 112, 105073. [Google Scholar] [CrossRef]
- Järvinen, S.; Suojanen, J.; Kormi, E.; Wilkman, T.; Kiukkonen, A.; Leikola, J.; Stoor, P. The Use of Patient Specific Polyetheretherketone Implants for Reconstruction of Maxillofacial Deformities. J. Cranio-Maxillofac. Surg. 2019, 47, 1072–1076. [Google Scholar] [CrossRef] [PubMed]
- Kauke-Navarro, M.; Knoedler, L.; Knoedler, S.; Deniz, C.; Stucki, L.; Safi, A.-F. Balancing Beauty and Science: A Review of Facial Implant Materials in Craniofacial Surgery. Front. Surg. 2024, 11, 1348140. [Google Scholar] [CrossRef]
- Ferraz, M.P. Bone Grafts in Dental Medicine: An Overview of Autografts, Allografts and Synthetic Materials. Materials 2023, 16, 4117. [Google Scholar] [CrossRef] [PubMed]
- Bohner, L.; Dirksen, D.; Hanisch, M.; Sesma, N.; Kleinheinz, J.; Meier, N. Artifacts in Magnetic Resonance Imaging of the Head and Neck: Unwanted Effects Caused by Implant-Supported Restorations Fabricated with Different Alloys. J. Prosthet. Dent. 2023; in press. [Google Scholar] [CrossRef]
- Saponaro, G.; Todaro, M.; Barbera, G.; Scivoletto, G.; Foresta, E.; Gasparini, G.; Moro, A. Patient-Specific Facial Implants in Polyetheretherketone and Their Stability: A Preliminary Study. Ann. Plast. Surg. 2023, 90, 564–567. [Google Scholar] [CrossRef] [PubMed]
- Brie, J.; Chartier, T.; Chaput, C.; Delage, C.; Pradeau, B.; Caire, F.; Boncoeur, M.P.; Moreau, J.J. A New Custom Made Bioceramic Implant for the Repair of Large and Complex Craniofacial Bone Defects. J. Cranio-Maxillofac. Surg. 2013, 41, 403–407. [Google Scholar] [CrossRef] [PubMed]
- Staffa, G.; Barbanera, A.; Faiola, A.; Fricia, M.; Limoni, P.; Mottaran, R.; Zanotti, B.; Stefini, R. Custom Made Bioceramic Implants in Complex and Large Cranial Reconstruction: A Two-Year Follow-Up. J. Cranio-Maxillofac. Surg. 2012, 40, e65–e70. [Google Scholar] [CrossRef] [PubMed]
- Van hede, D.; Liang, B.; Anania, S.; Barzegari, M.; Verlée, B.; Nolens, G.; Pirson, J.; Geris, L.; Lambert, F. 3D-Printed Synthetic Hydroxyapatite Scaffold With In Silico Optimized Macrostructure Enhances Bone Formation In Vivo. Adv. Funct. Mater. 2022, 32, 2105002. [Google Scholar] [CrossRef]
- Brachet, A.; Bełżek, A.; Furtak, D.; Geworgjan, Z.; Tulej, D.; Kulczycka, K.; Karpiński, R.; Maciejewski, M.; Baj, J. Application of 3D Printing in Bone Grafts. Cells 2023, 12, 859. [Google Scholar] [CrossRef]
- Zhang, F.; Yang, J.; Zuo, Y.; Li, K.; Mao, Z.; Jin, X.; Zhang, S.; Gao, H.; Cui, Y. Digital Light Processing of β-Tricalcium Phosphate Bioceramic Scaffolds with Controllable Porous Structures for Patient Specific Craniomaxillofacial Bone Reconstruction. Mater. Des. 2022, 216, 110558. [Google Scholar] [CrossRef]
- Mayfield, C.K.; Ayad, M.; Lechtholz-Zey, E.; Chen, Y.; Lieberman, J.R. 3D-Printing for Critical Sized Bone Defects: Current Concepts and Future Directions. Bioengineering 2022, 9, 680. [Google Scholar] [CrossRef]
- Carlisle, P.; Guda, T.; Silliman, D.T.; Burdette, A.J.; Talley, A.D.; Alvarez, R.; Tucker, D.; Hale, R.G.; Guelcher, S.A.; BrownBaer, P.R. Localized Low-Dose RhBMP-2 Is Effective at Promoting Bone Regeneration in Mandibular Segmental Defects. J. Biomed. Mater. Res. B Appl. Biomater. 2019, 107, 1491–1503. [Google Scholar] [CrossRef] [PubMed]
- Lu, H.; Liu, Y.; Guo, J.; Wu, H.; Wang, J.; Wu, G. Biomaterials with Antibacterial and Osteoinductive Properties to Repair Infected Bone Defects. Int. J. Mol. Sci. 2016, 17, 334. [Google Scholar] [CrossRef]
- Prasadh, S.; Wong, R.C.W. Unraveling the Mechanical Strength of Biomaterials Used as a Bone Scaffold in Oral and Maxillofacial Defects. Oral Sci. Int. 2018, 15, 48–55. [Google Scholar] [CrossRef]
- Bouakaz, I.; Drouet, C.; Grossin, D.; Cobraiville, E.; Nolens, G. Hydroxyapatite 3D-Printed Scaffolds with Gyroid-Triply Periodic Minimal Surface (TPMS) Porous Structure: Fabrication and an in Vivo Pilot Study in Sheep. Acta Biomater. 2023, 170, 580–595. [Google Scholar] [CrossRef]
- Dutta, S.R.; Passi, D.; Singh, P.; Bhuibhar, A. Ceramic and Non-Ceramic Hydroxyapatite as a Bone Graft Material: A Brief Review. Ir. J. Med. Sci. 2015, 184, 101–106. [Google Scholar] [CrossRef] [PubMed]
- Wagoner Johnson, A.J.; Herschler, B.A. A Review of the Mechanical Behavior of CaP and CaP/Polymer Composites for Applications in Bone Replacement and Repair. Acta Biomater. 2011, 7, 16–30. [Google Scholar] [CrossRef]
- Misch, C.E.; Qu, Z.; Bidez, M.W. Mechanical Properties of Trabecular Bone in the Human Mandible: Implications for Dental Implant Treatment Planning and Surgical Placement. J. Oral Maxiilofac. Surg. 1999, 57, 700–706. [Google Scholar] [CrossRef] [PubMed]
- Wang, C.F.; Yu, Y.; Bai, W.; Han, J.M.; Zhang, W.B.; Peng, X. Mechanical Properties of Three-Dimensionally Printed Titanium Plates Used in Jaw Reconstruction: Preliminary Study. Int. J. Oral Maxillofac. Surg. 2022, 51, 754–761. [Google Scholar] [CrossRef]
- Ahn, T.-K.; Lee, D.H.; Kim, T.-S.; Chol Jang, G.; Choi, S.; Oh, J.B.; Ye, G.; Lee, S. Modification of Titanium Implant and Titanium Dioxide for Bone Tissue Engineering. Adv. Exp. Med. Biol. 2018, 1077, 355–368. [Google Scholar] [CrossRef]
- Łukaszewska-Kuska, M.; Krawczyk, P.; Martyla, A.; Hędzelek, W.; Dorocka-Bobkowska, B. Hydroxyapatite Coating on Titanium Endosseous Implants for Improved Osseointegration: Physical and Chemical Considerations. Adv. Clin. Exp. Med. 2018, 27, 1055–1059. [Google Scholar] [CrossRef] [PubMed]
- Bouakaz, I.; Sadeghian Dehkord, E.; Meille, S.; Schrijnemakers, A.; Boschini, F.; Preux, N.; Hocquet, S.; Geris, L.; Nolens, G.; Grossin, D.; et al. 3D Printed Triply Periodic Minimal Surfaces Calcium Phosphate Bone Substitute: The Effect of Porosity Design on Mechanical Properties. Ceram. Int. 2024, 50, 2623–2636. [Google Scholar] [CrossRef]
- Sarfraz, S.; Mäntynen, P.H.; Laurila, M.; Rossi, S.; Leikola, J.; Kaakinen, M.; Suojanen, J.; Reunanen, J. Comparison of Titanium and PEEK Medical Plastic Implant Materials for Their Bacterial Biofilm Formation Properties. Polymers 2022, 14, 3862. [Google Scholar] [CrossRef] [PubMed]
- Goodson, A.M.C.; Parmar, S.; Ganesh, S.; Zakai, D.; Shafi, A.; Wicks, C.; O’Connor, R.; Yeung, E.; Khalid, F.; Tahim, A.; et al. Printed Titanium Implants in UK Craniomaxillofacial Surgery. Part I: Access to Digital Planning and Perceived Scope for Use in Common Procedures. Br. J. Oral Maxillofac. Surg. 2021, 59, 312–319. [Google Scholar] [CrossRef] [PubMed]
- Kim, K.T.; Eo, M.Y.; Nguyen, T.T.H.; Kim, S.M. General Review of Titanium Toxicity. Int. J. Implant. Dent. 2019, 5, 10. [Google Scholar] [CrossRef]
- Han, J.; Guo, Z.; Wang, Z.; Zhou, Z.; Liu, Y.; Liu, J. Comparison of the Complications of Mandibular Reconstruction Using Fibula versus Iliac Crest Flaps: An Updated Systematic Review and Meta-Analysis. Int. J. Oral Maxillofac. Surg. 2022, 51, 1149–1156. [Google Scholar] [CrossRef]
- Ma, H.; Van Dessel, J.; Shujaat, S.; Bila, M.; Gu, Y.; Sun, Y.; Politis, C.; Jacobs, R. Long-Term Functional Outcomes of Vascularized Fibular and Iliac Flap for Mandibular Reconstruction: A Systematic Review and Meta-Analysis. J. Plast. Reconstr. Aesthetic Surg. 2021, 74, 247–258. [Google Scholar] [CrossRef]
- De Moor, A.; Willaert, R.; Bila, M.; Geusens, J.; Sun, Y.; Missinne, K.; Politis, C. Free Flap Maxillomandibular Reconstruction with Immediate Prosthodontic Rehabilitation: A Single-Center Cohort Series. Int. J. Oral Maxillofac. Surg. 2024, 52, 80–81. [Google Scholar] [CrossRef]
- Kent, J.N.; Zide, M.F.; Kay, J.F.; Jarcho, M. Hydroxylapatite Blocks and Particles as Bone Graft Substitutes in Orthognathic and Reconstructive Surgery. J. Oral Maxillofac. Surg. 1986, 44, 597–605. [Google Scholar] [CrossRef]
- Rosen, H.M.; McFarland, M.M. The Biologic Behavior of Hydroxyapatite Implanted into the Maxillofacial Skeleton. Plast. Reconstr. Surg. 1990, 85, 718–723. [Google Scholar] [CrossRef]
- Verbist, M.; Dubron, K.; Bila, M.; Jacobs, R.; Shaheen, E.; Willaert, R. Accuracy of Surgical Navigation for Patient-Specific Reconstructions of Orbital Fractures: A Systematic Review and Meta-Analysis. J. Stomatol. Oral Maxillofac. Surg. 2023, 125, 101683. [Google Scholar] [CrossRef] [PubMed]
- Scolozzi, P. Maxillofacial Reconstruction Using Polyetheretherketone Patient-Specific Implants by “‘Mirroring’” Computational Planning. Aesthetic Plast. Surg. 2012, 36, 660–665. [Google Scholar] [CrossRef] [PubMed]
- Khalid, S.I.; Thomson, K.B.; Maasarani, S.; Wiegmann, A.L.; Smith, J.; Adogwa, O.; Mehta, A.I.; Dorafshar, A.H. Materials Used in Cranial Reconstruction: A Systematic Review and Meta-Analysis. World Neurosurg. 2022, 164, e945–e963. [Google Scholar] [CrossRef] [PubMed]
- Hou, X.; Zhang, L.; Zhou, Z.; Luo, X.; Wang, T.; Zhao, X.; Lu, B.; Chen, F.; Zheng, L. Calcium Phosphate-Based Biomaterials for Bone Repair. J. Funct. Biomater. 2022, 13, 187. [Google Scholar] [CrossRef]





| Sex | Age (Years) | Etiology | Location | Approach | Bony Defect | Complications | Aesthetics | Follow-Up (Months) |
|---|---|---|---|---|---|---|---|---|
| Female | 42 | Intraosseous Hemangioma | Right supra-orbital rim | Hemicoronal | Supra-orbital and lateral orbital rim | None | Very good | 6 |
| Female | 19 | Parry–Romberg | Left mandibular angle | Extra-orally peri-angular | Atrophy of mandibular angle | None | Very good | 6 |
| Outcome | HA Implant | PEEK | Autologous Bone | Printed Titanium | References |
|---|---|---|---|---|---|
| Strength (MPa) | 1–12 at time of surgery 30 after 9 weeks | 140–170 | Cortical bone: 100–230 Cancellous bone: 0.22–10.44 | 190–639 (2 mm printed plate) | [5,6,7,10,26,27,28,29] |
| Osteoinductivity | Good, very good in combination with BMP2 | / | Excellent | / | [6,7,10] |
| Osteoconductivity | Very good | Poor | Excellent | Poor | [1,11,12,30] |
| Osseointegration | Very good | Poor | Excellent | Very good | [1,11,12,14,31] |
| Infection risk | Less than PEEK and titanium | Greater infection risk Prone to bacterial adhesion | Donor site morbidity | Less prone to bacterial adhesion | [9,11,15,16] |
| Thermal behaviour | No thermal sensitivity Thermostable | No thermal sensitivity Thermostable | No thermal sensitivity Thermostable | Thermal sensitivity Thermostable | [1,11] |
| Volumetric stability | Volumetrically stable | Volumetrically stable | Possible resorption | Volumetrically stable | [1,11] |
| Radiologic behavior | Similar to bone | Radiolucent | Similar to bone, artefacts of osteosynthesis screws | Artefacts on MRI and CT | [12,15,17,18] |
| Intraoperative adjustability | Possible | Possible | Good | Limited | [11,17,20] |
| Main advantage | Mimics cancellous bone | Strength | Biocompatibility | Strength and biocompatibility | [11,12,21,23] |
| Main disadvantage | Low strength | Lack of osseointegration | Resorption rate and Donor morbidity | Thermal sensitivity | [11,12,14,25,32] |
| Conclusion | Poor strength, good osteoinductivity/conductivity and osseointegration. Good thermal and radiological behavior, good volumetric stability. Possible to adapt intraoperatively. | Strength similar to bone, poor osteoconductivity and osteointegration. Prone to bacterial adhesion. Good thermal and radiological behavior, good volumetric stability. Possible to adapt intraoperatively. | Good strength for load-bearing structures. Excellent osteoinductivity, osteoconductivity, and osseointegration. Good thermal and radiological behavior, poor volumetric stability. Possible to adapt intraoperatively. | Excellent strength for load-bearing structures. Poor osteoconductivity and osteointegration. Suboptimal thermal and radiological behavior. Good volumetric stability, and difficult to adapt intraoperatively. |
Disclaimer/Publisher’s Note: The statements, opinions and data contained in all publications are solely those of the individual author(s) and contributor(s) and not of MDPI and/or the editor(s). MDPI and/or the editor(s) disclaim responsibility for any injury to people or property resulting from any ideas, methods, instructions or products referred to in the content. |
© 2024 by the authors. Licensee MDPI, Basel, Switzerland. This article is an open access article distributed under the terms and conditions of the Creative Commons Attribution (CC BY) license (https://creativecommons.org/licenses/by/4.0/).
Share and Cite
Verbist, M.; Vandevelde, A.-L.; Geusens, J.; Sun, Y.; Shaheen, E.; Willaert, R. Reconstruction of Craniomaxillofacial Bone Defects with 3D-Printed Bioceramic Implants: Scoping Review and Clinical Case Series. J. Clin. Med. 2024, 13, 2805. https://doi.org/10.3390/jcm13102805
Verbist M, Vandevelde A-L, Geusens J, Sun Y, Shaheen E, Willaert R. Reconstruction of Craniomaxillofacial Bone Defects with 3D-Printed Bioceramic Implants: Scoping Review and Clinical Case Series. Journal of Clinical Medicine. 2024; 13(10):2805. https://doi.org/10.3390/jcm13102805
Chicago/Turabian StyleVerbist, Maarten, Anne-Laure Vandevelde, Joris Geusens, Yi Sun, Eman Shaheen, and Robin Willaert. 2024. "Reconstruction of Craniomaxillofacial Bone Defects with 3D-Printed Bioceramic Implants: Scoping Review and Clinical Case Series" Journal of Clinical Medicine 13, no. 10: 2805. https://doi.org/10.3390/jcm13102805
APA StyleVerbist, M., Vandevelde, A.-L., Geusens, J., Sun, Y., Shaheen, E., & Willaert, R. (2024). Reconstruction of Craniomaxillofacial Bone Defects with 3D-Printed Bioceramic Implants: Scoping Review and Clinical Case Series. Journal of Clinical Medicine, 13(10), 2805. https://doi.org/10.3390/jcm13102805

