What Strain Analysis Adds to Diagnosis and Prognosis in Heart Failure Patients
Abstract
1. Background
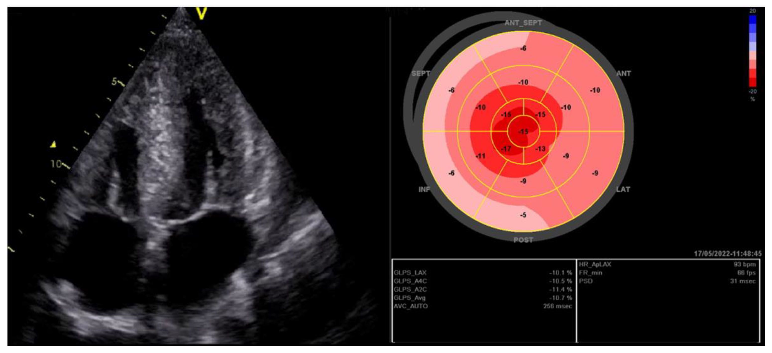
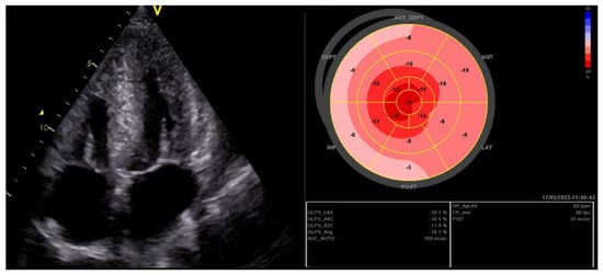
2. Global Longitudinal Strain
2.1. Recognition of the Different HF Phenotypes
2.1.1. HFrEF
2.1.2. HFpEF
2.1.3. HFmEF
2.1.4. Hypertrophic Cardiomyopathy
2.1.5. Restrictive Cardiomyopathies: Cardiac Amyloidosis and Cardiac Sarcoidosis
2.1.6. Cardiotoxicity
2.2. RV Failure
3. Conclusions
Author Contributions
Funding
Institutional Review Board Statement
Informed Consent Statement
Data Availability Statement
Conflicts of Interest
References
- Ponikowski, P.; Voors, A.A.; Anker, S.D.; Bueno, H.; Cleland, J.G.F.; Coats, A.J.S.; Falk, V.; González-Juanatey, J.R.; Harjola, V.-P.; Jankowska, E.A.; et al. 2016 ESC Guidelines for the Diagnosis and Treatment of Acute and Chronic Heart Failure. Eur. J. Heart Fail. 2016, 18, 891–975. [Google Scholar] [CrossRef] [PubMed]
- Bozkurt, B.; Coats, A.J.; Tsutsui, H.; Abdelhamid, M.; Adamopoulos, S.; Albert, N.; Anker, S.D.; Atherton, J.; Böhm, M.; Butler, J.; et al. Universal Definition and Classification of Heart Failure: A Report of the Heart Failure Society of America, Heart Failure Association of the European Society of Cardiology, Japanese Heart Failure Society and Writing Committee of the Universal Definition of Heart Failure. J. Card. Fail. 2021, 27, 387–413. [Google Scholar] [CrossRef]
- Hoffmann, R.; Von Bardeleben, S.; Ten Cate, F.; Borges, A.C.; Kasprzak, J.; Firschke, C.; Lafitte, S.; Al-Saadi, N.; Kuntz-Hehner, S.; Engelhardt, M.; et al. Assessment of Systolic Left Ventricular Function: A Multi-Centre Comparison of Cineventriculography, Cardiac Magnetic Resonance Imaging, Unenhanced and Contrast-Enhanced Echocardiography. Eur. Heart J. 2005, 26, 607–616. [Google Scholar] [CrossRef] [PubMed]
- Hoffmann, R.; Barletta, G.; von Bardeleben, S.; Vanoverschelde, J.L.; Kasprzak, J.; Greis, C.; Becher, H. Analysis of left ventricular volumes and function: A multicenter comparison of cardiac magnetic resonance imaging, cine ventriculography, and unenhanced and contrast-enhanced two-dimensional and three-dimensional echocardiography. J. Am. Soc. Echocardiogr. 2014, 27, 292–301. [Google Scholar] [CrossRef]
- Andersson, C.; Vasan, R.S. Epidemiology of Heart Failure with Preserved Ejection Fraction. Heart Fail. Clin. 2014, 10, 377. [Google Scholar] [CrossRef]
- Vaney, C.; Waeber, B.; Turini, G.; Margalith, D.; Brunner, H.R.; Perret, C. Renin and the Complications of Acute Myocardial Infarction. Chest 1984, 86, 40–43. [Google Scholar] [CrossRef]
- Stokke, T.M.; Hasselberg, N.E.; Smedsrud, M.K.; Sarvari, S.I.; Haugaa, K.H.; Smiseth, O.A.; Edvardsen, T.; Remme, E.W. Geometry as a Confounder When Assessing Ventricular Systolic Function: Comparison Between Ejection Fraction and Strain. J. Am. Coll. Cardiol. 2017, 70, 942–954. [Google Scholar] [CrossRef]
- Wang, J.; Khoury, D.S.; Yue, Y.; Torre-Amione, G.; Nagueh, S.F. Preserved Left Ventricular Twist and Circumferential Deformation, but Depressed Longitudinal and Radial Deformation in Patients with Diastolic Heart Failure. Eur. Heart J. 2008, 29, 1283–1289. [Google Scholar] [CrossRef]
- Collier, P.; Phelan, D.; Klein, A. Myocardial Strain ROLMeasured by Speckle-Tracking Echocardiography. J. Am. Coll. Cardiol. 2017, 69, 1043–1056. [Google Scholar] [CrossRef]
- Longobardo, L.; Suma, V.; Jain, R.; Carerj, S.; Zito, C.; Zwicke, D.L.; Khandheria, B.K. Role of Two-Dimensional Speckle-Tracking Echocardiography Strain in the Assessment of Right Ventricular Systolic Function and Comparison with Conventional Parameters. J. Am. Soc. Echocardiogr. 2017, 30, 937–946.e6. [Google Scholar] [CrossRef]
- Yang, H.; Marwick, T.H.; Fukuda, N.; Oe, H.; Saito, M.; Thomas, J.D.; Negishi, K. Improvement in strain concordance between two major vendors after the strain standardization initiative. J. Am. Soc. Echocardiogr. 2015, 28, 642–648.e7. [Google Scholar] [CrossRef]
- Tröbs, S.O.; Prochaska, J.H.; Schwuchow-Thonke, S.; Schulz, A.; Müller, F.; Heidorn, M.W.; Göbel, S.; Diestelmeier, S.; Lerma Monteverde, J.; Lackner, K.J.; et al. Association of Global Longitudinal Strain With Clinical Status and Mortality in Pa-tients With Chronic Heart Failure. JAMA Cardiol. 2021, 6, 448–456. [Google Scholar] [CrossRef]
- MacGowan, G.A.; Shapiro, E.P.; Azhari, H.; Siu, C.O.; Hees, P.S.; Hutchins, G.M.; Weiss, J.L.; Rademakers, F.E. Noninvasive Measurement of Shortening in the Fiber and Cross-Fiber Directions in the Normal Human Left Ventricle and in Idiopathic Dilated Cardiomyopathy. Circulation 1997, 96, 535–541. [Google Scholar] [CrossRef]
- Yeon, S.B.; Reichek, N.; Tallant, B.A.; Lima, J.A.C.; Calhoun, L.P.; Clark, N.R.; Hoffman, E.A.; Ho, K.K.L.; Axel, L. Validation of in Vivo Myocardial Strain Measurement by Magnetic Resonance Tagging with Sonomicrometry. J. Am. Coll. Cardiol. 2001, 38, 555–561. [Google Scholar] [CrossRef]
- Buchalter, M.B.; Weiss, J.L.; Rogers, W.J.; Zerhouni, E.A.; Weisfeldt, M.L.; Beyar, R.; Shapiro, E.P. Noninvasive Quantification of Left Ventricular Rotational Deformation in Normal Humans Using Magnetic Resonance Imaging Myocardial Tagging. Circulation 1990, 81, 1236–1244. [Google Scholar] [CrossRef]
- Yingchoncharoen, T.; Agarwal, S.; Popović, Z.B.; Marwick, T.H. Normal Ranges of Left Ventricular Strain: A Meta-Analysis. J. Am. Soc. Echocardiogr. 2013, 26, 185–191. [Google Scholar] [CrossRef]
- Park, J.J.; Park, J.B.; Park, J.H.; Cho, G.Y. Global Longitudinal Strain to Predict Mortality in Patients With Acute Heart Failure. J. Am. Coll. Cardiol. 2018, 71, 1947–1957. [Google Scholar] [CrossRef]
- Pieske, B.; Tschöpe, C.; de Boer, R.A.; Fraser, A.G.; Anker, S.D.; Donal, E.; Edelmann, F.; Fu, M.; Guazzi, M.; Lam, C.S.P.; et al. How to Diagnose Heart Failure with Preserved Ejection Fraction: The HFA-PEFF Diagnostic Algorithm: A Consensus Recommendation from the Heart Failure Association (HFA) of the European Society of Cardiology (ESC). Eur. J. Heart Fail. 2020, 22, 391–412. [Google Scholar] [CrossRef]
- Haugaa, K.H.; Smedsrud, M.K.; Steen, T.; Kongsgaard, E.; Loennechen, J.P.; Skjaerpe, T.; Voigt, J.U.; Willems, R.; Smith, G.; Smiseth, O.A.; et al. Mechanical dispersion assessed by myocardial strain in patients after myocardial infarction for risk prediction of ventricular arrhythmia. JACC Cardiovasc. Imaging 2010, 3, 247–256. [Google Scholar] [CrossRef]
- Zhu, M.; Chen, H.; Fulati, Z.; Liu, Y.; Su, Y.; Shu, X. Left Ventricular Global Longitudinal Strain and Mechanical Dispersion Predict Response to Multipoint Pacing for Cardiac Resynchronization Therapy. J. Clin. Ultrasound 2019, 47, 356–365. [Google Scholar] [CrossRef]
- Hasselberg, N.E.; Haugaa, K.H.; Bernard, A.; Ribe, M.P.; Kongsgaard, E.; Donal, E.; Edvardsen, T. Left Ventricular Markers of Mortality and Ventricular Arrhythmias in Heart Failure Patients with Cardiac Resynchronization Therapy. Eur. Heart J. Cardiovasc. Imaging 2015, 17, 343–350. [Google Scholar] [CrossRef] [PubMed]
- Voelkel, N.F.; Quaife, R.A.; Leinwand, L.A.; Barst, R.J.; McGoon, M.D.; Meldrum, D.R.; Dupuis, J.; Long, C.S.; Rubin, L.J.; Smart, F.W.; et al. Right Ventricular Function and Failure: Report of a National Heart, Lung, and Blood Institute Working Group on Cellular and Molecular Mechanisms of Right Heart Failure. Circulation 2006, 114, 1883–1891. [Google Scholar] [CrossRef] [PubMed]
- Guendouz, S.; Rappeneau, S.; Nahum, J.; Dubois-Randé, J.L.; Gueret, P.; Monin, J.L.; Lim, P.; Adnot, S.; Hittinger, L.; Damy, T. Prognostic Significance and Normal Values of 2D Strain to Assess Right Ventricular Systolic Function in Chronic Heart Failure. Circ. J. 2012, 76, 127–136. [Google Scholar] [CrossRef] [PubMed]
- Hamada-Harimura, Y.; Seo, Y.; Ishizu, T.; Nishi, I.; Machino-Ohtsuka, T.; Yamamoto, M.; Sugano, A.; Sato, K.; Sai, S.; Obara, K.; et al. Incremental Prognostic Value of Right Ventricular Strain in Patients With Acute Decompensated Heart Failure. Circ. Cardiovasc. Imaging 2018, 11, e007249. [Google Scholar] [CrossRef] [PubMed]
- Sanderson, J. Heart Failure with a Normal Ejection Fraction. Heart 2007, 93, 155–158. [Google Scholar] [CrossRef]
- Shah, A.M.; Claggett, B.; Sweitzer, N.K.; Shah, S.J.; Anand, I.S.; Liu, L.; Pitt, B.; Pfeffer, M.A.; Solomon, S.D. Prognostic Importance of Impaired Systolic Function in Heart Failure With Preserved Ejection Fraction and the Impact of Spironolactone. Circulation 2015, 132, 402–414. [Google Scholar] [CrossRef]
- Persson, H.; Lonn, E.; Edner, M.; Baruch, L.; Lang, C.C.; Morton, J.J.; Östergren, J.; McKelvie, R.S. Diastolic Dysfunction in Heart Failure With Preserved Systolic Function: Need for Objective Evidence: Results From the CHARM Echocardiographic Substudy–CHARMES. J. Am. Coll. Cardiol. 2007, 49, 687–694. [Google Scholar] [CrossRef]
- Rasmussen-Torvik, L.J.; Colangelo, L.A.; Lima, J.A.; Jacobs, D.R.; Rodriguez, C.J.; Gidding, S.S.; Lloyd-Jones, D.M.; Shah, S.J. Prevalence and Predictors of Diastolic Dysfunction According to Different Classification Criteria: The Coronary Artery Risk Development in Young in Adults Study. Am. J. Epidemiol. 2017, 185, 1221–1227. [Google Scholar] [CrossRef]
- Kranias, E.G.; Hajjar, R.J. Modulation of Cardiac Contractility by the Phospholamban/SERCA2a Regulatome. Circ. Res. 2012, 110, 1646–1660. [Google Scholar] [CrossRef]
- Kouzu, H.; Yuda, S.; Muranaka, A.; Doi, T.; Yamamoto, H.; Shimoshige, S.; Hase, M.; Hashimoto, A.; Saitoh, S.; Tsuchihashi, K.; et al. Left Ventricular Hypertrophy Causes Different Changes in Longitudinal, Radial, and Circumferential Mechanics in Patients with Hypertension: A Two-Dimensional Speckle Tracking Study. J. Am. Soc. Echocardiogr. 2011, 24, 192–199. [Google Scholar] [CrossRef]
- Shivu, G.N.; Abozguia, K.; Phan, T.T.; Ahmed, I.; Weaver, R.; Narendran, P.; Stevens, M.; Frenneaux, M. Increased Left Ventricular Torsion in Uncomplicated Type 1 Diabetic PatientsThe Role of Coronary Microvascular Function. Diabetes Care 2009, 32, 1710–1712. [Google Scholar] [CrossRef]
- Biering-Sorensen, T.; Hoffmann, S.; Mogelvang, R.; Zeeberg Iversen, A.; Galatius, S.; Fritz-Hansen, T.; Bech, J.; Jensen, J.S. Myocardial strain analysis by 2-dimensional speckle tracking echocardiography improves diagnostics of coronary artery stenosis in stable angina pectoris. Circ. Cardiovasc. Imaging 2014, 7, 58–65. [Google Scholar] [CrossRef]
- Boyd, A.C.; Richards, D.A.B.; Marwick, T.; Thomas, L. Atrial Strain Rate Is a Sensitive Measure of Alterations in Atrial Phasic Function in Healthy Ageing. Heart 2011, 97, 1513–1519. [Google Scholar] [CrossRef]
- Cameli, M.; Caputo, M.; Mondillo, S.; Ballo, P.; Palmerini, E.; Lisi, M.; Marino, E.; Galderisi, M. Feasibility and Reference Values of Left Atrial Longitudinal Strain Imaging by Two-Dimensional Speckle Tracking. Cardiovasc. Ultrasound 2009, 7, 6. [Google Scholar] [CrossRef]
- Aung, S.M.; Güler, A.; Güler, Y.; Huraibat, A.; Karabay, C.Y.; Akdemir, I. Left Atrial Strain in Heart Failure with Preserved Ejection Fraction. Herz 2017, 42, 194–199. [Google Scholar] [CrossRef]
- Galderisi, M.; Lancellotti, P.; Donal, E.; Cardim, N.; Edvardsen, T.; Habib, G.; Magne, J.; Maurer, G.; Popescu, B.A. European multicentre validation study of the accuracy of E/e’ ratio in estimating invasive left ventricular filling pressure: EURO-FILLING study. Eur. Heart J. Cardiovasc. Imaging 2014, 15, 810–816. [Google Scholar] [CrossRef]
- Morris, D.A.; Belyavskiy, E.; Aravind-Kumar, R.; Kropf, M.; Frydas, A.; Braunauer, K.; Marquez, E.; Krisper, M.; Lindhorst, R.; Osmanoglou, E.; et al. Potential Usefulness and Clinical Relevance of Adding Left Atrial Strain to Left Atrial Volume Index in the Detection of Left Ventricular Diastolic Dysfunction. JACC. Cardiovasc. Imaging 2018, 11, 1405–1415. [Google Scholar] [CrossRef]
- Kusunose, K.; Motoki, H.; Popovic, Z.B.; Thomas, J.D.; Klein, A.L.; Marwick, T.H. Independent Association of Left Atrial Function with Exercise Capacity in Patients with Preserved Ejection Fraction. Heart 2012, 98, 1311–1317. [Google Scholar] [CrossRef]
- Fang, F.; Lee, A.P.W.; Yu, C.M. Left Atrial Function in Heart Failure with Impaired and Preserved Ejection Fraction. Curr. Opin. Cardiol. 2014, 29, 430–436. [Google Scholar] [CrossRef]
- Maffeis, C.; Rossi, A.; Cannata, L.; Zocco, C.; Belyavskiy, E.; Radhakrishnan, A.K.; Feuerstein, A.; Morris, D.A.; Pieske-Kraigher, E.; Pieske, B.; et al. Left Atrial Strain Predicts Exercise Capacity in Heart Failure Independently of Left Ventricular Ejection Fraction. ESC Heart Fail. 2022, 9, 842–852. [Google Scholar] [CrossRef]
- Smiseth, O.A.; Morris, D.A.; Cardim, N.; Cikes, M.; Delgado, V.; Donal, E.; Flachskampf, F.A.; Galderisi, M.; Gerber, B.L.; Gimelli, A.; et al. Reviewers: This docu-ment was reviewed by members of the 2018–2020 EACVI Scientific Documents Com-mittee. Multimodality imaging in patients with heart failure and preserved ejection fraction: An expert consensus document of the European Association of Cardiovascular Imaging. Eur. Heart J. Cardiovasc. Imaging 2022, 23, e34–e61. [Google Scholar] [CrossRef] [PubMed]
- Casaclang-Verzosa, G.; Gersh, B.J.; Tsang, T.S. Structural and Functional Remodeling of the Left Atrium: Clinical and Therapeutic Implications for Atrial Fibrillation: Clinical and Therapeutic Implications for Atrial Fibrillation. J. Am. Coll. Cardiol. 2008, 51, 1–11. [Google Scholar] [CrossRef] [PubMed]
- Genovese, D.; Singh, A.; Volpato, V.; Kruse, E.; Weinert, L.; Yamat, M.; Mor-Avi, V.; Addetia, K.; Lang, R.M. Load Dependency of Left Atrial Strain in Normal Subjects. J. Am. Soc. Echocardiogr. 2018, 31, 1221–1228. [Google Scholar] [CrossRef] [PubMed]
- Kapoor, J.R.; Ju, C.; Heidenreich, P.A.; Eapen, Z.J.; Hernandez, A.F.; Butler, J.; Yancy, C.W.; Fonarow, G.C. Precipitating clinical factors, heart failure characterization, and outcomes in patients hospitalized with heart failure with reduced, borderline, and preserved ejection fraction. JACC Heart Fail. 2016, 4, 464–472. [Google Scholar] [CrossRef] [PubMed]
- Hsu, J.J.; Ziaeian, B.; Fonarow, G.C. Heart failure with mid-range (borderline) ejection fraction: Clinical implications and future directions. JACC Heart Fail. 2017, 5, 763–771. [Google Scholar] [CrossRef]
- Santos, J.; Pires, I.; Neto, V.; Goncalves, L.; Correia, J.; Almeida, I.; Correia, E. Global longitudinal strain as a predictor of cardiovascular events and mortality in patients with ischemic heart disease and heart failure with preserved/mid-range ejection fraction. Eur. Heart J. 2021, 42, ehab724.006. [Google Scholar] [CrossRef]
- Wohlfahrt, P.; Nativi-Nicolau, J.; Zhang, M.; Selzman, C.H.; Greene, T.; Conte, J.; Biber, J.E.; Hess, R.; Mondesir, F.L.; Wever-Pinzon, O.; et al. Quality of life in patients with heart failure with recovered ejection fraction. JAMA Cardiol. 2021, 6, 957–962. [Google Scholar] [CrossRef]
- He, Y.; Ling, Y.; Guo, W.; Li, Q.; Yu, S.; Huang, H.; Zhang, R.; Gong, Z.; Liu, J.; Mo, L.; et al. Prevalence and Prognosis of HFimpEF Developed From Patients With Heart Failure With Reduced Ejection Fraction: Systematic Review and Meta-Analysis. Front. Cardiovasc. Med. 2021, 8, 757596. [Google Scholar] [CrossRef]
- Janwanishstaporn, S.; Cho, J.Y.; Feng, S.; Brann, A.; Seo, J.S.; Narezkina, A.; Greenberg, B. Prognostic Value of Global Longitudinal Strain in Patients With Heart Failure With Improved Ejection Fraction. JACC Heart Fail. 2022, 10, 27–37. [Google Scholar] [CrossRef]
- Serri, K.; Reant, P.; Lafitte, M.; Berhouet, M.; Le Bouffos, V.; Roudaut, R.; Lafitte, S. Global and Regional Myocardial Function Quantification by Two-Dimensional Strain: Application in Hypertrophic Cardiomyopathy. J. Am. Coll. Cardiol. 2006, 47, 1175–1181. [Google Scholar] [CrossRef]
- Urtado, S.; Hergault, H.; Binsse, S.; Aidan, V.; Ouadahi, M.; Szymanski, C.; Mallet, S.; Hauguel-Moreau, M.; Carlier, R.Y.; Dubourg, O.; et al. Usefulness of Longitudinal Strain Adjusted to Regional Thickness in Hypertrophic Cardiomyopathy. J. Clin. Med. 2022, 11, 2089. [Google Scholar] [CrossRef]
- Tower-Rader, A.; Mohananey, D.; To, A.; Lever, H.M.; Popovic, Z.B.; Desai, M.Y. Prognostic Value of Global Longitudinal Strain in Hypertrophic Cardiomyopathy: A Systematic Review of Existing Literature. JACC. Cardiovasc. Imaging 2019, 12, 1930–1942. [Google Scholar] [CrossRef]
- Saito, M.; Okayama, H.; Yoshii, T.; Higashi, H.; Morioka, H.; Hiasa, G.; Sumimoto, T.; Inaba, S.; Nishimura, K.; Inoue, K.; et al. Clinical significance of global two-dimensional strain as a surrogate parameter of myocardial fibrosis and cardiac events in patients with hypertrophic cardiomyopathy. Eur. Heart J. Cardiovasc. Imaging 2012, 13, 617–623. [Google Scholar] [CrossRef]
- Haland, T.F.; Almaas, V.M.; Hasselberg, N.E.; Saberniak, J.; Leren, I.S.; Hopp, E.; Edvardsen, T.; Haugaa, K.H. Strain Echocardiography Is Related to Fibrosis and Ventricular Arrhythmias in Hypertrophic Cardiomyopathy. Eur. Heart J. Cardiovasc. Imaging 2016, 17, 613–621. [Google Scholar] [CrossRef]
- Vasquez, N.; Ostrander, B.T.; Lu, D.Y.; Ventoulis, I.; Haileselassie, B.; Goyal, S.; Greenland, G.V.; Vakrou, S.; Olgin, J.E.; Abraham, T.P.; et al. Low Left Atrial Strain Is Associated With Adverse Outcomes in Hypertrophic Cardiomyopathy Patients. J. Am. Soc. Echocardiogr. 2019, 32, 593–603.e1. [Google Scholar] [CrossRef]
- Lee, H.J.; Kim, H.K.; Rhee, T.M.; Choi, Y.J.; Hwang, I.C.; Yoon, Y.E.; Park, J.B.; Lee, S.P.; Kim, Y.J.; Cho, G.Y. Left Atrial Reservoir Strain-Based Left Ventricular Diastolic Function Grading and Incident Heart Failure in Hypertrophic Cardiomyopathy. Circ Cardiovasc. Imaging 2022, 15, e013556. [Google Scholar] [CrossRef]
- Kint, J.A. Fabry’s disease: Alpha-galactosidase deficiency. Science 1970, 167, 1268–1269. [Google Scholar] [CrossRef]
- Linhart, A.; Kampmann, C.; Zamorano, J.L.; Sunder-Plassmann, G.; Beck, M.; Mehta, A.; Elliott, P.M. Cardiac manifestations of Anderson-Fabry disease: Results from the international Fabry outcome survey. Eur. Heart J. 2007, 28, 1228–1235. [Google Scholar] [CrossRef]
- Lu, D.Y.; Huang, W.M.; Wang, W.T.; Hung, S.C.; Sung, S.H.; Chen, C.H.; Yang, Y.J.; Niu, D.M.; Yu, W.C. Reduced global longitudinal strain as a marker for early detection of Fabry cardiomyopathy. Eur. Heart J. Cardiovasc. Imaging 2022, 23, 487–495. [Google Scholar] [CrossRef]
- Wang, S.C.; Tapia, D.; Kimonis, V.E.; Lombardo, D.M. Regional Strain Pattern and Correlation with Cardiac Magnetic Resonance Imaging in Fabry Disease. J. Cardiovasc. Echogr. 2021, 31, 131–136. [Google Scholar] [CrossRef]
- Phelan, D.; Collier, P.; Thavendiranathan, P.; Popović, Z.B.; Hanna, M.; Plana, J.C.; Marwick, T.H.; Thomas, J.D. Relative Apical Sparing of Longitudinal Strain Using Two-Dimensional Speckle-Tracking Echocardiography Is Both Sensitive and Specific for the Diagnosis of Cardiac Amyloidosis. Heart 2012, 98, 1442–1448. [Google Scholar] [CrossRef] [PubMed]
- Sanna, G.D.; Nusdeo, G.; Piras, M.R.; Forteleoni, A.; Murru, M.R.; Saba, P.S.; Dore, S.; Sotgiu, G.; Parodi, G.; Ganau, A. Cardiac Abnormalities in Alzheimer Disease: Clinical Relevance Beyond Pathophysiological Rationale and Instrumental Findings? JACC Heart Fail. 2019, 7, 121–128. [Google Scholar] [CrossRef] [PubMed]
- Rausch, K.; Scalia, G.M.; Sato, K.; Edwards, N.; Lam, A.K.; Platts, D.G.; Chan, J. Left atrial strain imaging differentiates cardiac amyloidosis and hypertensive heart disease. Int. J. Cardiovasc. Imaging 2021, 37, 81–90. [Google Scholar] [CrossRef] [PubMed]
- Orii, M.; Imanishi, T.; Akasaka, T. Assessment of cardiac sarcoidosis with advanced imaging modalities. Biomed. Res. Int. 2014, 2014, 897956. [Google Scholar] [CrossRef] [PubMed]
- Perry, A.; Vuitch, F. Causes of death in patients with sarcoidosis. A morphologic study of 38 autopsies with clinicopathologic correlations. Arch. Pathol. Lab. Med. 1995, 119, 167–172. [Google Scholar] [PubMed]
- Birnie, D.H.; Sauer, W.H.; Bogun, F.; Cooper, J.M.; Culver, D.A.; Duvernoy, C.S.; Judson, M.A.; Kron, J.; Mehta, D.; Nielsen, J.C.; et al. HRS expert consensus statement on the diagnosis and management of arrhythmias associated with cardiac sarcoidosis. Heart Rhythm. 2014, 11, 1305–1323. [Google Scholar] [CrossRef]
- Rossides, M.; Kullberg, S.; Grunewald, J.; Eklund, A.; Di Giuseppe, D.; Askling, J.; Arkema, E.V. Risk and predictors of heart failure in sarcoidosis in a population-based cohort study from Sweden. Heart 2022, 108, 467–473. [Google Scholar] [CrossRef]
- Murtagh, G.; Laffin, L.J.; Patel, K.V.; Patel, A.V.; Bonham, C.A.; Yu, Z.; Addetia, K.; El-Hangouche, N.; Maffesanti, F.; Mor-Avi, V.; et al. Improved detection of myocardial damage in sarcoidosis using longitudinal strain in patients with preserved left ventricular ejection fraction. Echocardiography 2016, 33, 1344–1352. [Google Scholar] [CrossRef]
- Di Stefano, C.; Bruno, G.; Arciniegas Calle, M.C.; Acharya, G.A.; Fussner, L.M.; Ungprasert, P.; Cooper, L.T.; Blauwet, L.A.; Ryu, J.H.; Pellikka, P.A.; et al. Diagnostic and predictive value of speckle tracking echocardiography in cardiac sarcoidosis. BMC Cardiovasc. Disord. 2020, 20, 21. [Google Scholar] [CrossRef]
- Felekos, I.; Aggeli, C.; Gialafos, E.; Kouranos, V.; Rapti, A.; Sfikakis, P.; Koulouris, N.; Tousoulis, D. Global longitudinal strain and long-term outcomes in asymptomatic extracardiac sarcoid patients with no apparent cardiovascular disease. Echocardiography 2018, 35, 804–808. [Google Scholar] [CrossRef]
- Thavendiranathan, P.; Negishi, T.; Somerset, E.; Negishi, K.; Penicka, M.; Lemieux, J.; Aakhus, S.; Miyazaki, S.; Shirazi, M.; Galderisi, M.; et al. SUCCOUR Investigators. Strain-Guided Management of Potentially Cardiotoxic Cancer Therapy. J. Am. Coll. Cardiol. 2021, 77, 392–401. [Google Scholar] [CrossRef] [PubMed]
- Thavendiranathan, P.; Poulin, F.; Lim, K.D.; Plana, J.C.; Woo, A.; Marwick, T.H. Use of Myocardial Strain Imaging by Echocardiography for the Early Detection of Cardiotoxicity in Patients during and after Cancer Chemotherapy: A Systematic Review. J. Am. Coll. Cardiol. 2014, 63, 2751–2768. [Google Scholar] [CrossRef] [PubMed]
- Motoki, H.; Borowski, A.G.; Shrestha, K.; Hu, B.; Kusunose, K.; Troughton, R.W.; Tang, W.H.; Klein, A.L. Right ventricular global longitudinal strain provides prognostic value incremental to left ventricular ejection fraction in patients with heart failure. J. Am. Soc. Echocardiogr. 2014, 27, 726–732. [Google Scholar] [CrossRef] [PubMed]
- Melenovsky, V.; Hwang, S.J.; Lin, G.; Redfield, M.M.; Borlaug, B.A. Right heart dysfunction in heart failure with preserved ejection fraction. Eur. Heart J. 2014, 35, 3452–3462. [Google Scholar] [CrossRef]
- Lejeune, S.; Roy, C.; Ciocea, V.; Slimani, A.; de Meester, C.; Amzulescu, M.; Pasquet, A.; Vancraeynest, D.; Beauloye, C.; Vanoverschelde, J.L.; et al. Right Ventricular Global Longitudinal Strain and Outcomes in Heart Failure with Preserved Ejection Fraction. J. Am. Soc. Echocardiogr. 2020, 33, 973–984.e2. [Google Scholar] [CrossRef]
- Binder, C.; Duca, F.; Stelzer, P.D.; Nitsche, C.; Rettl, R.; Aschauer, S.; Kammerlander, A.A.; Binder, T.; Agis, H.; Kain, R.; et al. Mechanisms of Heart Failure in Transthyretin vs. Light Chain Amyloidosis. Eur. Heart J. Cardiovasc. Imaging 2019, 20, 512–524. [Google Scholar] [CrossRef]
- Carluccio, E.; Biagioli, P.; Lauciello, R.; Zuchi, C.; Mengoni, A.; Bardelli, G.; Alunni, G.; Gronda, E.G.; Ambrosio, G. Superior prognostic value of right ventricular free wall compared to global longitudinal strain in patients with heart failure. J. Am. Soc. Echocardiogr. 2019, 32, 836–844.e1. [Google Scholar] [CrossRef]
- Moon, M.G.; Hwang, I.C.; Lee, H.J.; Kim, S.H.; Yoon, Y.E.; Park, J.B.; Lee, S.P.; Kim, H.K.; Kim, Y.J.; Cho, G.Y. Reverse Remodeling Assessed by Left Atrial and Ventricular Strain Reflects Treatment Response to Sacubitril/Valsartan. JACC Cardiovasc. Imaging 2022, 15, 1525–1541. [Google Scholar] [CrossRef]



| Diagnostic | Prognostic |
|---|---|
|
|
| LV-GLS | LA Strain |
|---|---|
|
|
Disclaimer/Publisher’s Note: The statements, opinions and data contained in all publications are solely those of the individual author(s) and contributor(s) and not of MDPI and/or the editor(s). MDPI and/or the editor(s) disclaim responsibility for any injury to people or property resulting from any ideas, methods, instructions or products referred to in the content. |
© 2023 by the authors. Licensee MDPI, Basel, Switzerland. This article is an open access article distributed under the terms and conditions of the Creative Commons Attribution (CC BY) license (https://creativecommons.org/licenses/by/4.0/).
Share and Cite
Pastorini, G.; Anastasio, F.; Feola, M. What Strain Analysis Adds to Diagnosis and Prognosis in Heart Failure Patients. J. Clin. Med. 2023, 12, 836. https://doi.org/10.3390/jcm12030836
Pastorini G, Anastasio F, Feola M. What Strain Analysis Adds to Diagnosis and Prognosis in Heart Failure Patients. Journal of Clinical Medicine. 2023; 12(3):836. https://doi.org/10.3390/jcm12030836
Chicago/Turabian StylePastorini, Guido, Fabio Anastasio, and Mauro Feola. 2023. "What Strain Analysis Adds to Diagnosis and Prognosis in Heart Failure Patients" Journal of Clinical Medicine 12, no. 3: 836. https://doi.org/10.3390/jcm12030836
APA StylePastorini, G., Anastasio, F., & Feola, M. (2023). What Strain Analysis Adds to Diagnosis and Prognosis in Heart Failure Patients. Journal of Clinical Medicine, 12(3), 836. https://doi.org/10.3390/jcm12030836

