Identification of a Novel Frameshift Variant of ARR3 Related to X-Linked Female-Limited Early-Onset High Myopia and Study on the Effect of X Chromosome Inactivation on the Myopia Severity
Abstract
1. Introduction
2. Materials and Methods
2.1. Study Participants
2.2. Whole-Exome Sequencing (WES)
2.3. Variant Confirmation and Structure Prediction
2.4. X-Chromosome Inactivation Experiment
3. Results
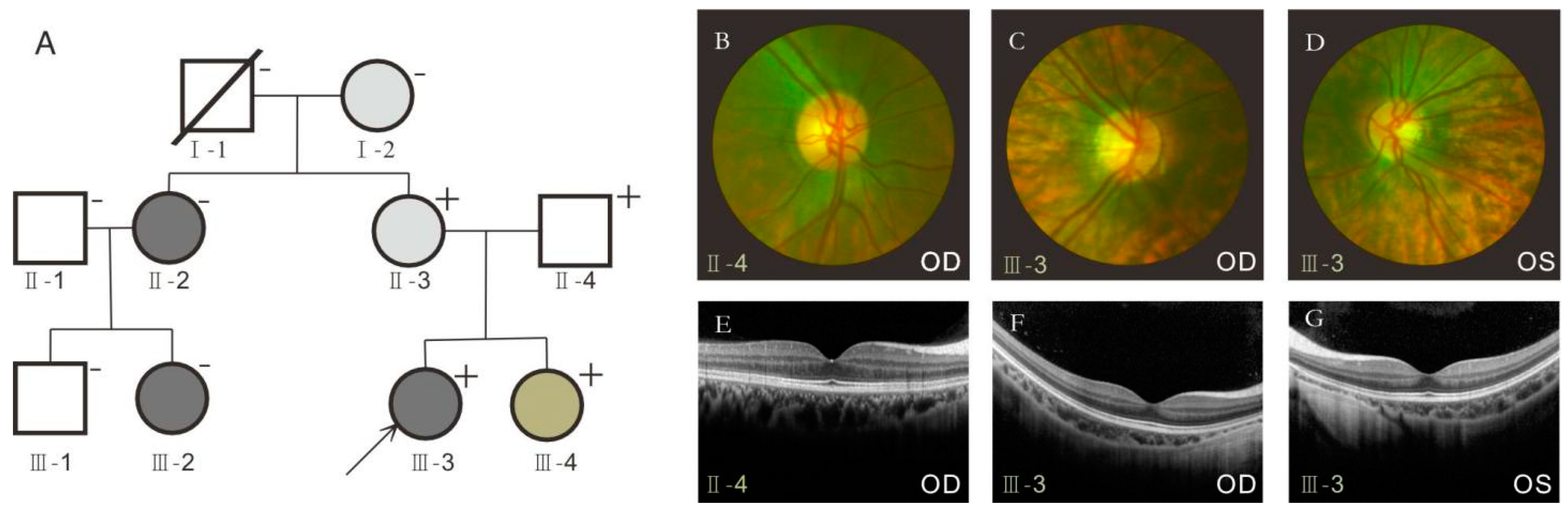
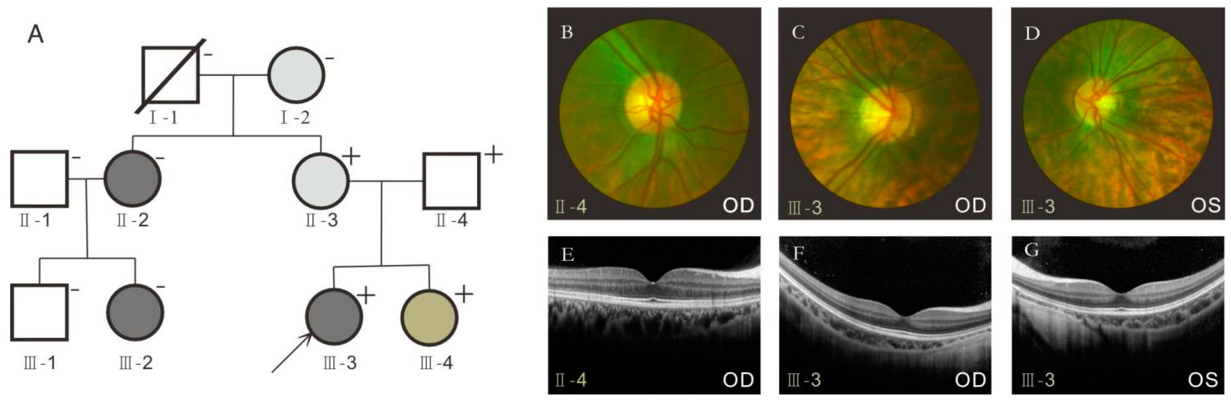
3.1. Clinical Characterizations
3.2. The Mutation in ARR3 Accounts for Early-Onset High Myopia
3.3. The Role of X-Chromosome Inactivation in Early-Onset High Myopia
4. Discussion
5. Conclusions
Author Contributions
Funding
Institutional Review Board Statement
Informed Consent Statement
Data Availability Statement
Acknowledgments
Conflicts of Interest
References
- Resnikoff, S.; Pascolini, D.; Mariotti, S.P.; Pokharel, G.P. Global magnitude of visual impairment caused by uncorrected refractive errors in 2004. Bull. World Health Organ. 2008, 86, 63–70. [Google Scholar] [CrossRef] [PubMed]
- Haarman, A.E.G.; Enthoven, C.A.; Tideman, J.W.L.; Tedja, M.S.; Verhoeven, V.J.M.; Klaver, C.C.W. The Complications of Myopia: A Review and Meta-Analysis. Investig. Ophthalmol. Vis. Sci. 2020, 61, 49. [Google Scholar] [CrossRef] [PubMed]
- Young, T.L.; Ronan, S.M.; Alvear, A.B.; Wildenberg, S.C.; Oetting, W.S.; Atwood, L.D.; Wilkin, D.J.; King, R.A. A second locus for familial high myopia maps to chromosome 12q. Am. J. Hum. Genet. 1998, 63, 1419–1424. [Google Scholar] [CrossRef]
- Xu, L.; Wang, Y.; Li, Y.; Wang, Y.; Cui, T.; Li, J.; Jonas, J.B. Causes of blindness and visual impairment in urban and rural areas in Beijing: The Beijing Eye Study. Ophthalmology 2006, 113, e1131–e1134. [Google Scholar] [CrossRef] [PubMed]
- Hosoda, Y.; Yoshikawa, M.; Miyake, M.; Tabara, Y.; Shimada, N.; Zhao, W.; Oishi, A.; Nakanishi, H.; Hata, M.; Akagi, T.; et al. CCDC102B confers risk of low vision and blindness in high myopia. Nat. Commun. 2018, 9, 1782. [Google Scholar] [CrossRef]
- Liang, Y.B.; Wong, T.Y.; Sun, L.P.; Tao, Q.S.; Wang, J.J.; Yang, X.H.; Xiong, Y.; Wang, N.L.; Friedman, D.S. Refractive errors in a rural Chinese adult population the Handan eye study. Ophthalmology 2009, 116, 2119–2127. [Google Scholar] [CrossRef]
- Holden, B.A.; Fricke, T.R.; Wilson, D.A.; Jong, M.; Naidoo, K.S.; Sankaridurg, P.; Wong, T.Y.; Naduvilath, T.J.; Resnikoff, S. Global Prevalence of Myopia and High Myopia and Temporal Trends from 2000 through 2050. Ophthalmology 2016, 123, 1036–1042. [Google Scholar] [CrossRef]
- Liu, F.; Wang, J.; Xing, Y.; Li, T. Mutation screening of 17 candidate genes in a cohort of 67 probands with early-onset high myopia. Ophthalmic Physiol. Opt. 2020, 40, 271–280. [Google Scholar] [CrossRef]
- Shi, Y.; Gong, B.; Chen, L.; Zuo, X.; Liu, X.; Tam, P.O.; Zhou, X.; Zhao, P.; Lu, F.; Qu, J.; et al. A genome-wide meta-analysis identifies two novel loci associated with high myopia in the Han Chinese population. Hum. Mol. Genet. 2013, 22, 2325–2333. [Google Scholar] [CrossRef]
- Xiao, X.; Li, S.; Jia, X.; Guo, X.; Zhang, Q. X-linked heterozygous mutations in cause female-limited early onset high myopia. Mol. Vis. 2016, 22, 1257–1266. [Google Scholar] [PubMed]
- Li, J.; Gao, B.; Guan, L.; Xiao, X.; Zhang, J.; Li, S.; Jiang, H.; Jia, X.; Yang, J.; Guo, X.; et al. Unique Variants in OPN1LW Cause Both Syndromic and Nonsyndromic X-Linked High Myopia Mapped to MYP1. Investig. Ophthalmol. Vis. Sci. 2015, 56, 4150–4155. [Google Scholar] [CrossRef] [PubMed]
- Sun, W.; Huang, L.; Xu, Y.; Xiao, X.; Li, S.; Jia, X.; Gao, B.; Wang, P.; Guo, X.; Zhang, Q. Exome Sequencing on 298 Probands with Early-Onset High Myopia: Approximately One-Fourth Show Potential Pathogenic Mutations in RetNet Genes. Investig. Ophthalmol. Vis. Sci. 2015, 56, 8365–8372. [Google Scholar] [CrossRef] [PubMed]
- Craft, C.M.; Whitmore, D.H.; Wiechmann, A.F. Cone arrestin identified by targeting expression of a functional family. J. Biol. Chem. 1994, 269, 4613–4619. [Google Scholar] [CrossRef] [PubMed]
- Consortium, G.T. The GTEx Consortium atlas of genetic regulatory effects across human tissues. Science 2020, 369, 1318–1330. [Google Scholar] [CrossRef] [PubMed]
- Reale, C.; Invernizzi, F.; Panteghini, C.; Garavaglia, B. Genetics, sex, and gender. J. Neurosci. Res. 2021. [Google Scholar] [CrossRef]
- Migeon, B.R. X-linked diseases: Susceptible females. Genet. Med. 2020, 22, 1156–1174. [Google Scholar] [CrossRef]
- Al-Salameh, A.; Chanson, P.; Bucher, S.; Ringa, V.; Becquemont, L. Cardiovascular Disease in Type 2 Diabetes: A Review of Sex-Related Differences in Predisposition and Prevention. Mayo Clin. Proc. 2019, 94, 287–308. [Google Scholar] [CrossRef]
- Gogos, A.; Ney, L.J.; Seymour, N.; Van Rheenen, T.E.; Felmingham, K.L. Sex differences in schizophrenia, bipolar disorder, and post-traumatic stress disorder: Are gonadal hormones the link? Br. J. Pharmacol. 2019, 176, 4119–4135. [Google Scholar] [CrossRef]
- Lu, Z.; Carter, A.C.; Chang, H.Y. Mechanistic insights in X-chromosome inactivation. Philos. Trans. R. Soc. Lond. B Biol. Sci. 2017, 372, 1733. [Google Scholar] [CrossRef]
- Migeon, B.R. The role of X inactivation and cellular mosaicism in women’s health and sex-specific diseases. JAMA 2006, 295, 1428–1433. [Google Scholar] [CrossRef]
- Viggiano, E.; Politano, L. X Chromosome Inactivation in Carriers of Fabry Disease: Review and Meta-Analysis. Int. J. Mol. Sci. 2021, 22, 7663. [Google Scholar] [CrossRef] [PubMed]
- Sun, Z.; Fan, J.; Wang, Y. X-Chromosome Inactivation and Related Diseases. Genet. Res. 2022, 2022, 1391807. [Google Scholar] [CrossRef] [PubMed]
- Juchniewicz, P.; Kloska, A.; Tylki-Szymanska, A.; Jakobkiewicz-Banecka, J.; Wegrzyn, G.; Moskot, M.; Gabig-Ciminska, M.; Piotrowska, E. Female Fabry disease patients and X-chromosome inactivation. Gene 2018, 641, 259–264. [Google Scholar] [CrossRef] [PubMed]
- Wimplinger, I.; Rauch, A.; Orth, U.; Schwarzer, U.; Trautmann, U.; Kutsche, K. Mother and daughter with a terminal Xp deletion: Implication of chromosomal mosaicism and X-inactivation in the high clinical variability of the microphthalmia with linear skin defects (MLS) syndrome. Eur. J. Med. Genet. 2007, 50, 421–431. [Google Scholar] [CrossRef]
- Széll, N.; Fehér, T.; Maróti, Z.; Kalmár, T.; Latinovics, D.; Nagy, I.; Orosz, Z.Z.; Janáky, M.; Facskó, A.; Sohajda, Z. Myopia-26, the female-limited form of early-onset high myopia, occurring in a European family. Orphanet. J. Rare Dis. 2021, 16, 45. [Google Scholar] [CrossRef]
- Van Mazijk, R.; Haarman, A.E.G.; Hoefsloot, L.H.; Polling, J.R.; van Tienhoven, M.; Klaver, C.C.W.; Verhoeven, V.J.M.; Loudon, S.E.; Thiadens, A.; Kievit, A.J.A. Early onset X-linked female limited high myopia in three multigenerational families caused by novel mutations in the ARR3 gene. Hum. Mutat. 2022, 43, 380–388. [Google Scholar] [CrossRef]
- Liu, C.; Wei, P.; Li, J. The thickness changes of retina in high myopia patients during the third trimester of pregnancy: A pilot study. BMC Ophthalmol. 2021, 21, 382. [Google Scholar] [CrossRef]
- Mohammadi, S.F.; Letafat-Nejad, M.; Ashrafi, E.; Delshad-Aghdam, H. A survey of ophthalmologists and gynecologists regarding termination of pregnancy and choice of delivery mode in the presence of eye diseases. J. Curr. Ophthalmol. 2017, 29, 126–132. [Google Scholar] [CrossRef]
- Jin, Z.-B.; Wu, J.; Huang, X.-F.; Feng, C.-Y.; Cai, X.-B.; Mao, J.-Y.; Xiang, L.; Wu, K.-C.; Xiao, X.; Kloss, B.A.; et al. Trio-based exome sequencing arrests de novo mutations in early-onset high myopia. Proc. Natl. Acad. Sci. USA 2017, 114, 4219–4224. [Google Scholar] [CrossRef]
- Mousavi, M.J.; Mahmoudi, M.; Ghotloo, S. Escape from X chromosome inactivation and female bias of autoimmune diseases. Mol. Med. 2020, 26, 127. [Google Scholar] [CrossRef]
- Vacca, M.; Della Ragione, F.; Scalabrì, F.; D’Esposito, M. X inactivation and reactivation in X-linked diseases. Semin. Cell Dev. Biol. 2016, 56, 78–87. [Google Scholar] [CrossRef] [PubMed]
- Allen, R.C.; Zoghbi, H.Y.; Moseley, A.B.; Rosenblatt, H.M.; Belmont, J.W. Methylation of HpaII and HhaI sites near the polymorphic CAG repeat in the human androgen-receptor gene correlates with X chromosome inactivation. Am. J. Hum. Genet. 1992, 51, 1229–1239. [Google Scholar] [PubMed]
- Bagislar, S.; Ustuner, I.; Cengiz, B.; Soylemez, F.; Akyerli, C.B.; Ceylaner, S.; Ceylaner, G.; Acar, A.; Ozcelik, T. Extremely skewed X-chromosome inactivation patterns in women with recurrent spontaneous abortion. Aust. N. Z. J. Obstet. Gynaecol. 2006, 46, 384–387. [Google Scholar] [CrossRef] [PubMed]
- Yoon, S.H.; Choi, Y.M.; Hong, M.A.; Kang, B.M.; Kim, J.J.; Min, E.G.; Kim, J.G.; Moon, S.Y. X chromosome inactivation patterns in patients with idiopathic premature ovarian failure. Hum. Reprod. 2008, 23, 688–692. [Google Scholar] [CrossRef]
- Cai, X.-B.; Shen, S.-R.; Chen, D.-F.; Zhang, Q.; Jin, Z.-B. An overview of myopia genetics. Exp. Eye Res. 2019, 188, 107778. [Google Scholar] [CrossRef]
- Li, J.; Zhang, Q. Insight into the molecular genetics of myopia. Mol. Vis. 2017, 23, 1048–1080. [Google Scholar]
- Yuan, D.; Yan, T.; Luo, S.; Huang, J.; Tan, J.; Zhang, J.; Zhang, V.W.; Lan, Y.; Hu, T.; Guo, J.; et al. Identification and Functional Characterization of a Novel Nonsense Variant in ARR3 in a Southern Chinese Family with High Myopia. Front. Genet. 2021, 12, 765503. [Google Scholar] [CrossRef]
- Sakuma, H.; Inana, G.; Murakami, A.; Higashide, T.; McLaren, M.J. Immunolocalization of X-arrestin in human cone photoreceptors. FEBS Lett. 1996, 382, 105–110. [Google Scholar] [CrossRef]




| Subject No. | Age | Gender | Affected Status | Refractive Error (DS) | Axial Length (mm) | Mutations of ARR3 | ||
|---|---|---|---|---|---|---|---|---|
| OD | OS | OD | OS | |||||
| II-4 | 34 | Male | U | −0.50 | −1.25 | 24.02 | 23.91 | NO |
| II-3 | 34 | Female | A | −2.25 | −1.75 | 24.41 | 24.57 | c.666delC: p.Asn222LysfsTer22 |
| III-3 | 5 | Female | A | −7.75 | −9.50 | 25.19 | 25.32 | c.666delC: p.Asn222LysfsTer22 |
| III-4 | 11 | Female | A | −4.50 | −5.00 | 27.26 | 27.55 | c.666delC: p.Asn222LysfsTer22 |
| Ancestry | Gender | cDNA Change | Het/Hemi | Consequence | Protein | Reference |
|---|---|---|---|---|---|---|
| Chinese | Female | c.893C>A | Het | Missense | p.Ala298Asp | [10] |
| Chinese | Female | c.298C>T | Het | Prem. Stop codon | p.Arg100Ter | |
| Chinese | Female | c.239T>C | Het | Missense | p.Leu80Pro | |
| Caucasian | Female | c.214C>T | Het | Prem. Stop codon | p.Arg72Ter | [25,26] |
| Caucasian | Female | c.767+1G>A | Het | Splicing | [26] | |
| Caucasian | Female | c.848delG | Het | Frameshift | p.Gly283AlafsTer42 | |
| Chinese | Female | c.569C>G | Het | Prem. Stop codon | p.Ser190Ter | [37] |
| Male | Hemi | |||||
| Chinese | Female | c.666delC | Het | Frameshift | p.Asn222LysfsTer22 | This work |
Disclaimer/Publisher’s Note: The statements, opinions and data contained in all publications are solely those of the individual author(s) and contributor(s) and not of MDPI and/or the editor(s). MDPI and/or the editor(s) disclaim responsibility for any injury to people or property resulting from any ideas, methods, instructions or products referred to in the content. |
© 2023 by the authors. Licensee MDPI, Basel, Switzerland. This article is an open access article distributed under the terms and conditions of the Creative Commons Attribution (CC BY) license (https://creativecommons.org/licenses/by/4.0/).
Share and Cite
Xiao, X.; Yang, J.; Li, Y.; Yang, H.; Zhu, Y.; Li, L.; Zhou, Q.; Lu, D.; Chen, T.; Tian, Y. Identification of a Novel Frameshift Variant of ARR3 Related to X-Linked Female-Limited Early-Onset High Myopia and Study on the Effect of X Chromosome Inactivation on the Myopia Severity. J. Clin. Med. 2023, 12, 835. https://doi.org/10.3390/jcm12030835
Xiao X, Yang J, Li Y, Yang H, Zhu Y, Li L, Zhou Q, Lu D, Chen T, Tian Y. Identification of a Novel Frameshift Variant of ARR3 Related to X-Linked Female-Limited Early-Onset High Myopia and Study on the Effect of X Chromosome Inactivation on the Myopia Severity. Journal of Clinical Medicine. 2023; 12(3):835. https://doi.org/10.3390/jcm12030835
Chicago/Turabian StyleXiao, Xuan, Jingmin Yang, Ying Li, Hongxia Yang, Yijian Zhu, Lianbing Li, Qinlinglan Zhou, Daru Lu, Ting Chen, and Yafei Tian. 2023. "Identification of a Novel Frameshift Variant of ARR3 Related to X-Linked Female-Limited Early-Onset High Myopia and Study on the Effect of X Chromosome Inactivation on the Myopia Severity" Journal of Clinical Medicine 12, no. 3: 835. https://doi.org/10.3390/jcm12030835
APA StyleXiao, X., Yang, J., Li, Y., Yang, H., Zhu, Y., Li, L., Zhou, Q., Lu, D., Chen, T., & Tian, Y. (2023). Identification of a Novel Frameshift Variant of ARR3 Related to X-Linked Female-Limited Early-Onset High Myopia and Study on the Effect of X Chromosome Inactivation on the Myopia Severity. Journal of Clinical Medicine, 12(3), 835. https://doi.org/10.3390/jcm12030835

