Tissue Interleukin-33: A Novel Potential Regulator of Innate Immunity and Biomarker of Disease Severity in Chronic Rhinosinusitis with Nasal Polyps
Abstract
:1. Introduction
1.1. Inflammatory Cytokines; Overview of Th2 Inflammatory Pathways in the Pathogenesis of Nasal Polyps
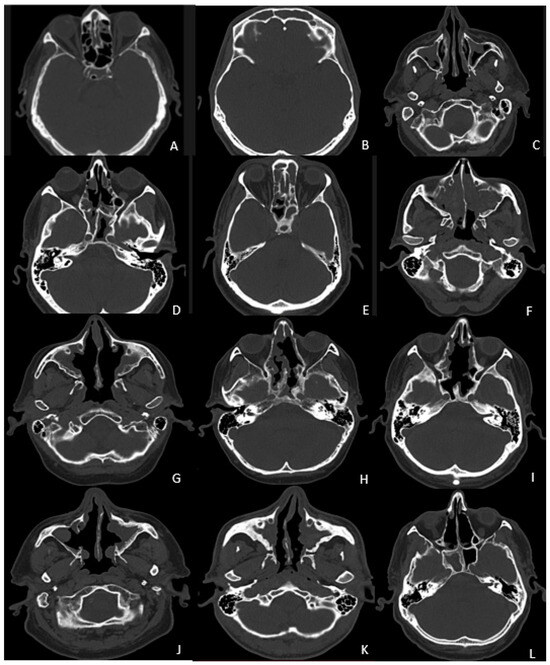
1.2. Assessment of CRSwNP-Associated Osteitis; Radiological Features in Computed Tomography
1.3. Correlation between Radiological Severity and Outcomes of Lund–Mackay Scores, Eosinophilia, and Nasal Endoscopy in CRSwNP
1.4. Relevance of the Study
2. Materials and Methods
2.1. Study Design and Protocol
2.2. Patient Group Selection
2.3. Sampling
2.4. Assessing Tissue IL-33 in Nasal Polyp Specimens
2.4.1. Extraction of Total Proteins
2.4.2. Enzyme-Linked Immunoassay (ELISA) Protein Quantification
2.5. CT Scan and Osteitis Score Assessments
2.5.1. Osteitis in Patients with CRSwNP
2.5.2. Computed Tomography (CT) Scan in Clinical Practice in CRSwNP
2.6. Statistical Analysis
3. Results
3.1. Correlation between CT Osteitis Score and IL-33 Expression (pg/mL)
3.2. Correlation between CT Osteitis Score and Eosinophiles (109 L)
3.3. Correlation between CT Osteitis Score and Lund–Mackay Score
3.4. Correlation between Nasal Endoscopy Score and IL-33 Expression pg/mL
3.5. Multiple Linear Regression Model Testing CT Osteitis Score, IL-33, Asthma and Endoscopy Score
4. Discussion
Relevance and Limitations of the Research
5. Conclusions
Author Contributions
Funding
Institutional Review Board Statement
Informed Consent Statement
Data Availability Statement
Conflicts of Interest
References
- Shah, S.A.; Kobayashi, M. Pathogenesis of chronic rhinosinusitis with nasal polyp and a prominent T2 endotype. Heliyon 2023, 9, e19249. [Google Scholar] [CrossRef] [PubMed]
- Orlandi, R.R.; Kingdom, T.T.; Smith, T.L.; Bleier, B.; Deconde, A.; Poetker, D.M.; Soler, Z.; Welch, K.C.; Wise, S.K. International Consensus Statement on Rhinology and Allergy: Rhinosinusitis. Int. Forum Allergy Rhinol. 2021, 11, 213–739. [Google Scholar] [CrossRef] [PubMed]
- Reh, D.D.; Wang, Y.; Ramanathan, M.; Lane, A.P. Treatment-recalcitrant chronic rhinosinusitis with polyps is associated with altered epithelial cell expression of interleukin-33. Am. J. Rhinol. Allergy 2010, 24, 105–109. [Google Scholar] [CrossRef]
- Ryu, G.; Kim, D.W. Th2 inflammatory responses in the development of nasal polyps and chronic rhinosinusitis. Curr. Opin. Allergy Clin. Immunol. 2020, 20, 1–8. [Google Scholar] [CrossRef] [PubMed]
- Georgalas, C. Osteitis and paranasal sinus inflammation: What we know and what we do not. Curr. Opin. Otolaryngol. Head Neck Surg. 2013, 21, 45–49. [Google Scholar] [CrossRef] [PubMed]
- Irimia, I.M.P.; Tabaran, A.F.; Gherman, M.L. Osteitis associated with endoscopic sinus surgery. A murine experimental model. Hum. Vet. Med. 2020, 13, 145–151. [Google Scholar]
- Snidvongs, K.; Sacks, R.; Harvey, R.J. Osteitis in Chronic Rhinosinusitis. Curr. Allergy Asthma Rep. 2019, 19, 24. [Google Scholar] [CrossRef]
- Lee, J.T.; Kennedy, D.W.; Palmer, J.N.; Feldman, M.; Chiu, A.G. The incidence of concurrent osteitis in patients with chronic rhinosinusitis: A clinicopathological study. Am. J. Rhinol. 2006, 20, 278–282. [Google Scholar] [CrossRef]
- Amodu, E.J.; Fasunla, A.J.; Akano, A.O.; Olusesi, A.D. Chronic rhinosinusitis: Correlation of symptoms with computed tomography scan findings. Pan Afr. Med. J. 2014, 18, 1–6. [Google Scholar] [CrossRef]
- Khalmuratova, R.; Lee, M.; Park, J.W.; Shin, H.W. Evaluation of neo-osteogenesis in eosinophilic chronic rhinosinusitis using a nasal polyp murine model. Allergy Asthma Immunol. Res. 2020, 12, 306–321. [Google Scholar] [CrossRef]
- Fokkens, W.J.; Lund, V.J.; Hopkins, C.; Hellings, P.W.; Kern, R.; Reitsma, S.; Toppila-Salmi, S.; Bernal-Sprekelsen, M.; Mullol, J.; Alobid, I.; et al. European Position Paper on Rhinosinusitis and Nasal Polyps 2020. Rhinology 2020, 58 (Suppl. S29), 1–464. [Google Scholar] [CrossRef]
- Fraczek, M.; Guzinski, M.; Morawska-Kochman, M.; Nelke, K.H.; Krecicki, T. Nasal endoscopy: An adjunct to patient selection for preoperative low-dose CT examination in chronic rhinosinusitis. Dentomaxillofac. Radiol. 2016, 45, 20160173. [Google Scholar] [CrossRef]
- Fokkens, W.J.; Lund, V.J.; Hopkins, C.; Hellings, P.W.; Kern, R.; Reitsma, S.; Toppila-salmi, S.; Bernal-sprekelsen, M.; Mullol, J.; Alobid, I.; et al. Executive summary of EPOS 2020 including integrated care pathways. Rhinology 2020, 58, 11. [Google Scholar] [CrossRef]
- de Campos, C.A.C.; Dolci, E.L.L.; da Silva, L.; Dolci, J.E.L.; de Campos, C.A.H.; Dolci, R.L.L. Osteitis and mucosal inflammation in a rabbit model of sinusitis. Braz. J. Otorhinolaryngol. 2015, 81, 312–320. [Google Scholar] [CrossRef]
- Kim, H.Y.; Dhong, H.J.; Lee, H.J.; Chung, Y.J.; Yim, Y.J.; Oh, J.W.; Chung, S.K.; Kim, H.J. Hyperostosis may affect prognosis after primary endoscopic sinus surgery for chronic rhinosinusitis. Otolaryngol.-Head Neck Surg. 2006, 135, 94–99. [Google Scholar] [CrossRef]
- Cho, S.H.; Shin, K.S.; Lee, Y.S.; Jeong, J.H.; Lee, S.H.; Tae, K.; Kim, K.R. Impact of chronic rhinosinusitis and endoscopic sinus surgery on bone remodeling of the paranasal sinuses. Am. J. Rhinol. 2008, 22, 537–541. [Google Scholar] [CrossRef]
- Georgalas, C.; Videler, W.; Freling, N.; Fokkens, W. Global Osteitis Scoring Scale and chronic rhinosinusitis: A marker of revision surgery. Clin. Otolaryngol. 2010, 35, 455–461. [Google Scholar] [CrossRef]
- Bai, J.; Huang, J.H.; Price, C.P.E.; Schauer, J.M.; Suh, L.A.; Harmon, R.; Conley, D.B.; Welch, K.C.; Kern, R.C.; Shintani-Smith, S.; et al. Prognostic factors for polyp recurrence in chronic rhinosinusitis with nasal polyps. J. Allergy Clin. Immunol. 2022, 150, 352–361.e7. [Google Scholar] [CrossRef]
- Werder, R.B.; Zhang, V.; Lynch, J.P.; Snape, N.; Upham, J.W.; Spann, K.; Phipps, S. Chronic IL-33 expression predisposes to virus-induced asthma exacerbations by increasing type 2 inflammation and dampening antiviral immunity. J. Allergy Clin. Immunol. 2018, 141, 1607–1619.e9. [Google Scholar] [CrossRef]
- Radajewski, K.; Wierzchowska, M.; Grzanka, D.; Antosik, P.; Zdrenka, M. Tissue remodelling in chronic rhinosinusitis—Review of literature. Pol. J. Otolaryngol. 2019, 73, 1–4. [Google Scholar]
- Kim, D.; Jin, H.R.; Eun, K.M.; Mo, J.; Cho, S.H.; Oh, S.; Cho, D.; Kim, D.W. The role of interleukin-33 in chronic rhinosinusitis. Thorax 2017, 72, 635–645. [Google Scholar] [CrossRef]
- Cayrol, C.; Girard, J.-P. Interleukin-33 (IL-33): A nuclear cytokine from the IL-1 family. Immunol. Rev. 2018, 281, 154–168. [Google Scholar] [CrossRef]
- Shaw, J.L.; Fakhri, S.; Citardi, M.J.; Porter, P.C.; Corry, D.B.; Kheradmand, F.; Liu, Y.J.; Luong, A. IL-33-responsive innate lymphoid cells are an important source of IL-13 in chronic rhinosinusitis with nasal polyps. Am. J. Respir. Crit. Care Med. 2013, 188, 432–439. [Google Scholar] [CrossRef]
- Ohno, T.; Morita, H.; Arae, K.; Matsumoto, K.; Nakae, S. Interleukin-33 in allergy. Allergy Eur. J. Allergy Clin. Immunol. 2012, 67, 1203–1214. [Google Scholar] [CrossRef]
- Li, Y.Q.; Zhong, Y.; Xiao, X.P.; Li, D.D.; Zhou, Z.; Tian, Y.Y. IL-33/ST2 axis promotes the inflammatory response of nasal mucosal epithelial cells through inducing the ERK1/2 pathway. Innate Immun. 2020, 26, 505–513. [Google Scholar] [CrossRef]
- Zielińska-Bliźniewska, H.; Paprocka-Zjawiona, M.; Merecz-Sadowska, A.; Zajdel, R.; Bliźniewska-Kowalska, K.; Malinowska, K. Serum IL-5, POSTN and IL-33 levels in chronic rhinosinusitis with nasal polyposis correlate with clinical severity. BMC Immunol. 2022, 23, 33. [Google Scholar] [CrossRef]
- Cayrol, C.; Girard, J.P. IL-33: An alarmin cytokine with crucial roles in innate immunity, inflammation and allergy. Curr. Opin. Immunol. 2014, 31, 31–37. [Google Scholar] [CrossRef]
- Lee, M.; Kim, D.W.; Shin, H.W. Targeting IL-25 as a novel therapy in chronic rhinosinusitis with nasal polyps. Curr. Opin. Allergy Clin. Immunol. 2017, 17, 17–22. [Google Scholar] [CrossRef]
- Meng, Y.; Zhang, L.; Lou, H.; Wang, C. Predictive value of computed tomography in the recurrence of chronic rhinosinusitis with nasal polyps. Int. Forum Allergy Rhinol. 2019, 9, 1236–1243. [Google Scholar] [CrossRef]
- Drake, L.Y.; Kita, H. IL-33: Biological properties, functions, and roles in airway disease. Immunol. Rev. 2017, 278, 173–184. [Google Scholar] [CrossRef]
- Ve, D.; Rafaels, N.; Kim, J. Peripheral blood eosinophilia correlates with hyperplastic nasal polyp growth. Int. Forum. Allergy Rhinol. 2016, 6, 926–934. [Google Scholar] [CrossRef]
- Tokunaga, T.; Sakashita, M.; Haruna, T.; Asaka, D.; Takeno, S.; Ikeda, H.; Nakayama, T.; Seki, N. Novel scoring system and algorithm for classifying chronic rhinosinusitis: The JESREC Study. Allergy 2015, 70, 995–1003. [Google Scholar] [CrossRef]
- Lou, H.; Zhang, N.; Bachert, C.; Zhang, L. Highlights of eosinophilic chronic rhinosinusitis with nasal polyps in definition, prognosis, and advancement. Int. Forum Allergy Rhinol. 2018, 8, 1218–1225. [Google Scholar] [CrossRef]
- Zhang, Y.; Zhu, K.; Chen, J.; Xia, C.; Yu, C.; Gao, T.; Yan, J. Predictive Values of Serum IL-33 and sST2 in Endotypes and Postoperative Recurrence of Chronic Rhinosinusitis with Nasal Polyps. Mediat. Inflamm. 2022, 2022, 9155080. [Google Scholar] [CrossRef]
- Matsuwaki, Y.; Ookushi, T.; Asaka, D.; Mori, E.; Nakajima, T.; Yoshida, T.; Kojima, J.; Chiba, S.; Ootori, N.; Moriyama, H. Chronic rhinosinusitis: Risk factors for the recurrence of chronic rhinosinusitis based on 5-year follow-up after endoscopic sinus surgery. Int. Arch. Allergy Immunol. 2008, 146 (Suppl. S1), 77–81. [Google Scholar] [CrossRef]
- Hulse, K.E.; Stevens, W.W.; Peters, A.T.; Kern, R.C.; Schleimer, R.P.; Kato, A. Epithelial activators of type 2 inflammation: Elevation of thymic stromal lymphopoietin, but not IL-25 or IL-33, in chronic rhinosinusitis with nasal polyps in Chicago, Illinois. Allergy 2018, 73, 2251–2254. [Google Scholar] [CrossRef]
- Song, W.; Wang, C.; Zhou, J.; Pan, S.; Lin, S. IL-33 Expression in Chronic Rhinosinusitis with Nasal Polyps and Its Relationship with Clinical Severity. Orl 2018, 79, 323–330. [Google Scholar] [CrossRef]
- Ozturan, A.; Eyigor, H.; Eyigor, M.; Osma, U.; Yilmaz, M.D.; Selcuk, O.T.; Renda, L.; Gultekin, M. The role of IL-25 and IL-33 in chronic rhinosinusitis with or without nasal polyps. Eur. Arch. Oto-Rhino-Laryngol. 2017, 274, 283–288. [Google Scholar] [CrossRef]





| CRSwNP | Tissue IL-33 Study | CT Osteitis Severity Score Study |
|---|---|---|
| Number of patients | 44 | 44 |
| Medical institutions involved in research | (II) Department of Otorhinolaryngology, University Clinical Hospital of Railway Company, Cluj-Napoca, Romania Research Center for Functional Genomics, Biomedicine and Translational Medicine, Iuliu Hatieganu University of Medicine and Pharmacy, Cluj-Napoca, Romania | (II) Department of Otorhinolaryngology, University CF Cluj Clinical Hospital, Cluj-Napoca, Romania Department of Radiology, University CF Cluj Clinical Hospital, Cluj-Napoca, Romania Diagnostical and Interventional Radiology Department, Emergency Clinical Hospital, Bucharest, Romania |
| Inclusion criteria | Patients undergoing primary surgery for CRSwNP, diagnosed according to EPOS 2020 [11] criteria and with histological postoperative diagnosis | Patients undergoing primary ESS for CRSwNP, diagnosed according to EPOS 2020 [11] criteria, with histological postoperative diagnosis; Signed agreement on CT scan evaluation |
| Exclusion criteria | Patients under 18 years of age Pregnancy Revision surgery Anterior nasal trauma Sinonasal malignancies Systemic corticosteroids treatment in the previous month Macrolides treatment in the previous month Concurrent immunomodulatory therapy Insufficient sampling tissue | Mid and moderate disease CRSwNP Patients under 18 years of age Pregnancy Revision surgery Anterior nasal trauma Sinonasal malignancies Insufficient sampling tissue Disagreement on CT scan evaluation |
| Research analyses | Histopathology for CRSwNP confirmation diagnosis Assessing of tissue IL-33 | Paranasal native CT scan Assessing of imaging osteitis severity scores |
| CRSwNP Cohort (n = 44) | Group Characteristics |
|---|---|
| Age (years) | 47.47 |
| Sex (male/female) | 21/13 |
| Asthma, n (%) | 13 (29.54) |
| Hypereosinophilia, n (%) | 18 (40.90) |
| Quality-of-life (SNOT-22 average value) | 42.79 |
| Allergies, n (%) | 16 (36.36) |
| Endoscopy scores (average value) | 4.36 |
| Scoring System | Evaluated Sites | Grading Description | Total Score |
|---|---|---|---|
| Global Osteitis Scoring Scale | 10 sinuses (right and left frontal, anterior ethmoid, posterior ethmoid, maxillary, and sphenoid) | Grade 1: <50% sinus walls involvement and thickening < 3 mm wide | Composite score range 0–50 |
| Grade 2: <50% sinus walls involvement and thickening 3–5 mm wide | |||
| Grade 3: <50% of sinus walls involvement and thickening > 5 mm wide or >50% sinus walls involved and thickening < 3 mm wide | |||
| Grade 4: >50% of sinus walls involvement and thickening 3–5 mm wide | |||
| Grade 5: >50% of sinus walls involvement and thickening > 5 mm wide |
| Variable | Adjusted B | (95% CI) | p |
|---|---|---|---|
| IL-33 (pg/mL) | 0.09 | (0.05–0.12) | <0.001 |
| Asthma | −0.67 | (−1.51–0.16) | 0.112 |
| Endoscopy score | −0.16 | (−0.49–0.17) | 0.334 |
Disclaimer/Publisher’s Note: The statements, opinions and data contained in all publications are solely those of the individual author(s) and contributor(s) and not of MDPI and/or the editor(s). MDPI and/or the editor(s) disclaim responsibility for any injury to people or property resulting from any ideas, methods, instructions or products referred to in the content. |
© 2023 by the authors. Licensee MDPI, Basel, Switzerland. This article is an open access article distributed under the terms and conditions of the Creative Commons Attribution (CC BY) license (https://creativecommons.org/licenses/by/4.0/).
Share and Cite
Porfire, I.M.; Berindan-Neagoe, I.; Budisan, L.; Leucuta, D.-C.; Gata, A.; Minoiu, A.C.; Georgescu, B.A.; Covaliu, B.F.; Albu, S. Tissue Interleukin-33: A Novel Potential Regulator of Innate Immunity and Biomarker of Disease Severity in Chronic Rhinosinusitis with Nasal Polyps. J. Clin. Med. 2023, 12, 7537. https://doi.org/10.3390/jcm12247537
Porfire IM, Berindan-Neagoe I, Budisan L, Leucuta D-C, Gata A, Minoiu AC, Georgescu BA, Covaliu BF, Albu S. Tissue Interleukin-33: A Novel Potential Regulator of Innate Immunity and Biomarker of Disease Severity in Chronic Rhinosinusitis with Nasal Polyps. Journal of Clinical Medicine. 2023; 12(24):7537. https://doi.org/10.3390/jcm12247537
Chicago/Turabian StylePorfire (Irimia), Ioana Maria, Ioana Berindan-Neagoe, Livia Budisan, Daniel-Corneliu Leucuta, Anda Gata, Aurelian Costin Minoiu, Bogdan Alexandru Georgescu, Bogdan Florin Covaliu, and Silviu Albu. 2023. "Tissue Interleukin-33: A Novel Potential Regulator of Innate Immunity and Biomarker of Disease Severity in Chronic Rhinosinusitis with Nasal Polyps" Journal of Clinical Medicine 12, no. 24: 7537. https://doi.org/10.3390/jcm12247537
APA StylePorfire, I. M., Berindan-Neagoe, I., Budisan, L., Leucuta, D.-C., Gata, A., Minoiu, A. C., Georgescu, B. A., Covaliu, B. F., & Albu, S. (2023). Tissue Interleukin-33: A Novel Potential Regulator of Innate Immunity and Biomarker of Disease Severity in Chronic Rhinosinusitis with Nasal Polyps. Journal of Clinical Medicine, 12(24), 7537. https://doi.org/10.3390/jcm12247537

