Point-of-Care Ultrasound in Detection, Severity and Mechanism of Significant Valvular Heart Disease and Clinical Management
Abstract
1. Introduction
2. Methods
2.1. Study Population
2.2. POCUS
2.3. Standard Transthoracic Echocardiography
2.4. Clinical Data
2.5. Follow-Up
2.6. Statistical Analysis
3. Results
3.1. Study Population
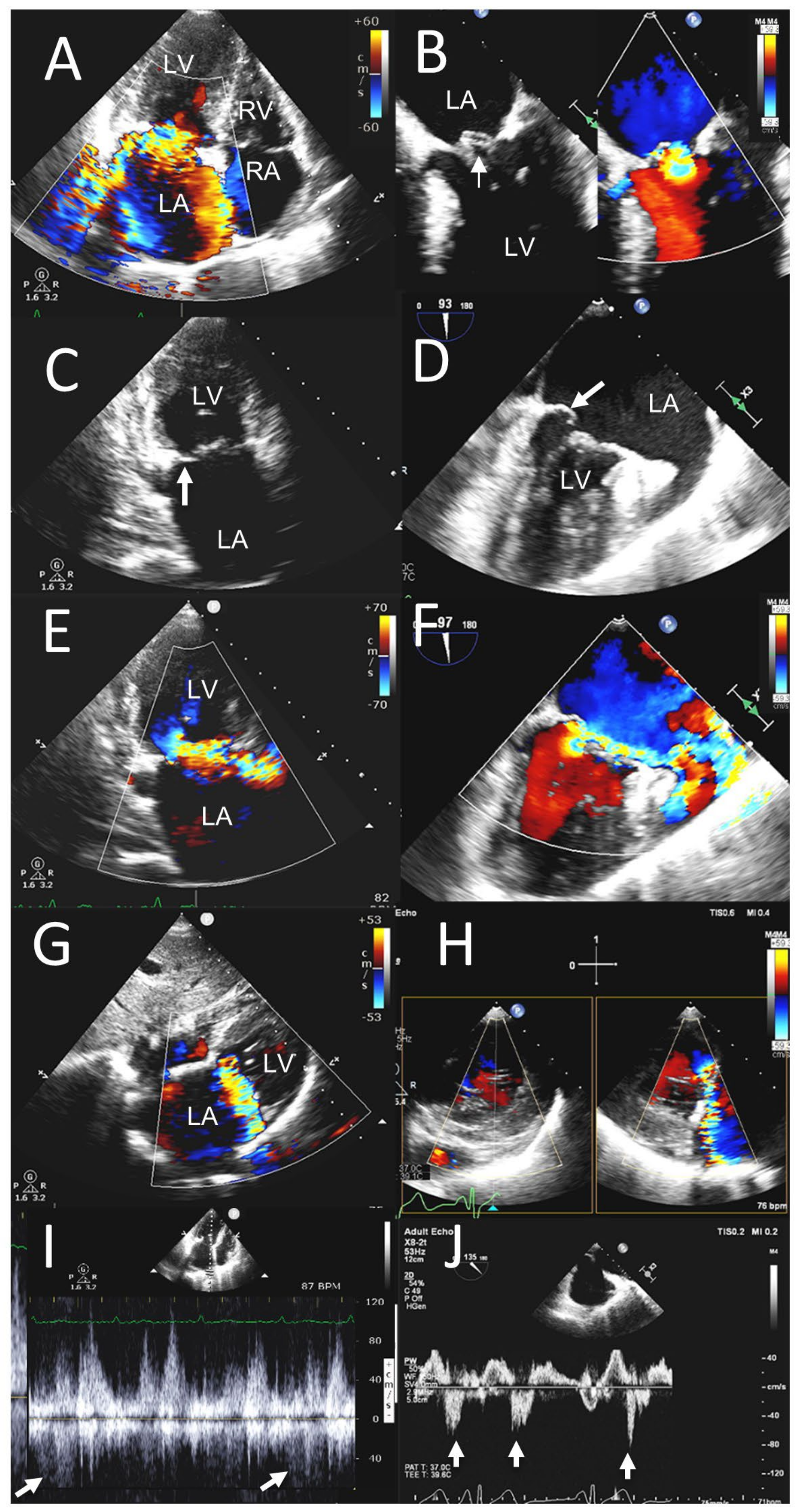
3.2. ≥Moderate Valvular Regurgitation
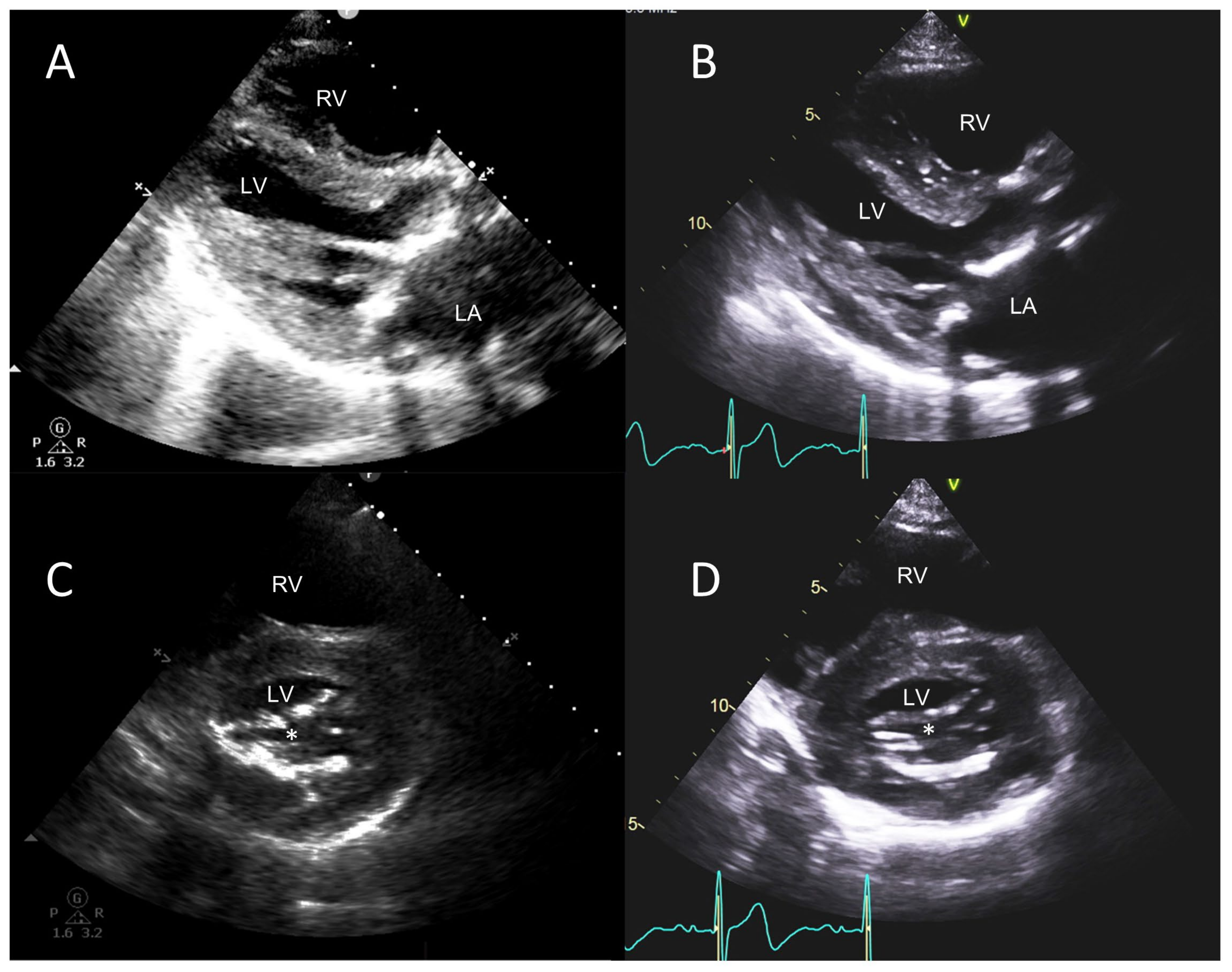
3.3. ≥Moderate Valvular Stenosis
3.4. Valve Repair and/or Valve Replacement
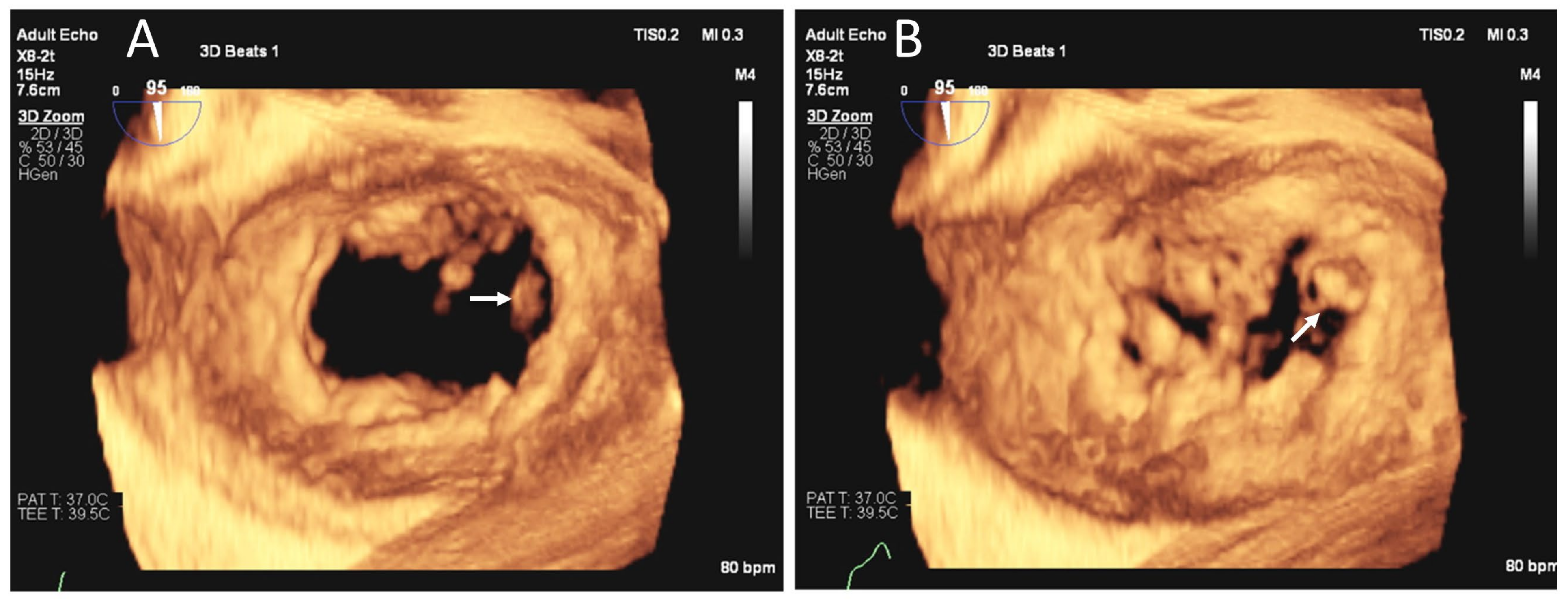
3.5. Other POCUS Findings
4. Discussion
4.1. POCUS Studies in VHD
4.1.1. POCUS with Handheld Units
4.1.2. POCUS with Portable Small Ultrasound Machines
5. Limitations
6. Conclusions
Supplementary Materials
Author Contributions
Funding
Institutional Review Board Statement
Informed Consent Statement
Data Availability Statement
Conflicts of Interest
Abbreviations
| AR | aortic regurgitation |
| AS | aortic stenosis |
| AVR | aortic valve replacement |
| MR | mitral regurgitation |
| MS | mitral stenosis |
| POCUS | point-of-care ultrasound |
| sTTE | standard transthoracic echocardiography |
| TR | tricuspid regurgitation |
| VHD | valvular heart disease |
References
- Nkomo, V.T.; Gardin, J.M.; Skelton, T.N.; Gottdiener, J.S.; Scott, C.G.; Enriquez-Sarano, M. Burden of valvular heart diseases: A population-based study. Lancet 2006, 368, 1005–1011. [Google Scholar] [CrossRef] [PubMed]
- D’Arcy, J.L.; Coffey, S.; Loudon, M.A.; Kennedy, A.; Pearson-Stuttard, J.; Birks, J.; Frangou, E.; Farmer, A.J.; Mant, D.; Wilson, J.; et al. Large-scale community echocardiographic screening reveals a major burden of undiagnosed valvular heart disease in older people: The OxVALVE Population Cohort Study. Eur. Heart J. 2016, 37, 3515–3522. [Google Scholar] [CrossRef]
- Andell, P.; Li, X.; Martinsson, A.; Andersson, C.; Stagmo, M.; Zöller, B.; Sundquist, K.; Smith, J.G. Epidemiology of valvular heart disease in a Swedish nationwide hospital-based register study. Heart 2017, 103, 1696–1703. [Google Scholar] [CrossRef] [PubMed]
- Iung, B.; Baron, G.; Butchart, E.G.; Delahaye, F.; Gohlke-Bärwolf, C.; Levang, O.W.; Tornos, P.; Vanoverschelde, J.-L.; Vermeer, F.; Boersma, E.; et al. A prospective survey of patients with valvular heart disease in Europe: The Euro Heart Survey on Valvular Heart Disease. Eur. Heart J. 2003, 24, 1231–1243. [Google Scholar] [CrossRef]
- Soler-Soler, J.; Galve, E. Valve disease: Worldwide perspective of valve disease. Heart 2000, 83, 721–725. [Google Scholar] [CrossRef] [PubMed]
- Coffey, S.; Cairns, B.J.; Iung, B. The modern epidemiology of heart valve disease. Heart 2016, 102, 75–85. [Google Scholar] [CrossRef] [PubMed]
- Iung, B.; Delgado, V.; Lazure, P.; Murray, S.; Sirnes, P.A.; Rosenhek, R.; Price, S.; Metra, M.; Carrera, C.; De Bonis, M.; et al. Educational needs and application of guidelines in the management of patients with mitral regurgitation. A European mixed-methods study. Eur. Heart J. 2018, 39, 1295–1303. [Google Scholar] [CrossRef] [PubMed]
- Thomas, F.; Flint, N.; Setareh-Shenas, S.; Rader, F.; Kobal, S.L.; Siegel, R.J. Accuracy and Efficacy of Hand-Held Echocardiography in Diagnosing Valve Disease: A Systematic Review. Am. J. Med. 2018, 131, 1155–1160. [Google Scholar] [CrossRef]
- Kikoïne, J.; Hauguel-Moreau, M.; Hergault, H.; Aidan, V.; Ouadahi, M.; Dubourg, O.; Szymanski, C.; Mansencal, N. Screening of native valvular heart disease using a pocket-sized transthoracic echocardiographic device. J. Am. Soc. Echocardiogr. 2022, 35, 196–202. [Google Scholar] [CrossRef]
- Zoghbi, W.A.; Enriquez-Sarano, M.; Foster, E.; Grayburn, P.A.; Kraft, C.D.; Levine, R.A.; Nihoyannopoulos, P.; Otto, C.M.; Quinones, M.A.; Rakowski, H.; et al. American Society of Echocardiography. Recommendations for evaluation of the severity of native valvular regurgitation with two-dimensional and Doppler echocardiography. J. Am. Soc. Echocardiogr. 2003, 16, 777–802. [Google Scholar] [CrossRef]
- Lang, R.M.; Bierig, M.; Devereux, R.B.; Flachskampf, F.A.; Foster, E.; Pellikka, P.A.; Picard, M.H.; Roman, M.J.; Seward, J.; Shanewise, J.S.; et al. Recommendations for chamber quantification: A report from the American Society of Echocardiography’s guidelines and standards committee and the Chamber Quantification Writing Group, developed in conjunction with the European Association of Echocardiography. J. Am. Soc. Echocardiogr. 2005, 18, 1440–1463. [Google Scholar] [CrossRef]
- Lang, R.M.; Badano, L.P.; Mor-Avi, V.; Afilalo, J.; Armstrong, A.; Ernande, L.; Flachskampf, F.A.; Foster, E.; Goldstein, S.A.; Kuznetsova, T.; et al. Recommendations for Cardiac Chamber Quantification by Echocardiography in Adults: An Update from the American Society of Echocardiography and the European Association of Cardiovascular Imaging. J. Am. Soc. Echocardiogr. 2015, 28, 1–39.e14. [Google Scholar] [CrossRef] [PubMed]
- Maganti, K.; Rigolin, V.H.; Sarano, M.E.; Bonow, R.O. Valvular Heart Disease: Diagnosis and Management. Mayo Clin. Proc. 2010, 85, 483–500. [Google Scholar] [CrossRef] [PubMed]
- Coffey, S.; Cox, B.; Williams, M.J. Lack of progress in valvular heart disease in the pre–transcatheter aortic valve replacement era: Increasing deaths and minimal change in mortality rate over the past three decades. Am. Heart J. 2014, 167, 562–567.e2. [Google Scholar] [CrossRef] [PubMed]
- Ultrasound Guidelines: Emergency, Point-of-Care and Clinical Ultrasound Guidelines in Medicine. Ann. Emerg. Med. 2017, 69, e27–e54. [CrossRef] [PubMed]
- Kirkpatrick, J.N.; Grimm, R.; Johri, A.M.; Kimura, B.J.; Kort, S.; Labovitz, A.J.; Lanspa, M.; Phillip, S.; Raza, S.; Thorson, K.; et al. Recommendations for Echocardiography Laboratories Participating in Cardiac Point of Care Cardiac Ultrasound (POCUS) and Critical Care Echocardiography Training: Report from the American Society of Echocardiography. J. Am. Soc. Echocardiogr. 2020, 33, 409–422.e4. [Google Scholar] [CrossRef]
- Cantisani, V.; Dietrich, C.F.; Badea, R.; Dudea, S.; Prosch, H.; Cerezo, E.; Nuernberg, D.; Serra, A.L.; Sidhu, P.S.; Radzina, M.; et al. EFSUMB statement on medical student education in ultrasound. Ultraschall. Med. 2016, 37, 100–102. [Google Scholar]
- Neskovic, A.N.; Edvardsen, T.; Galderisi, M.; Garbi, M.; Gullace, G.; Jurcut, R.; Dalen, H.; Hagendorff, A.; Lancellotti, P.; European Association of Cardiovascular Imaging Document Reviewers; et al. Focus cardiac ultrasound: The European Association of Cardiovascular Im-aging viewpoint. Eur. Heart J. Cardiovasc. Imaging 2014, 15, 956–960. [Google Scholar] [CrossRef]
- Beaton, A.; Lu, J.C.; Aliku, T.; Dean, P.; Gaur, L.; Weinberg, J.; Godown, J.; Lwabi, P.; Mirembe, G.; Okello, E.; et al. The utility of handheld echocardiography for early rheumatic heart disease diagnosis: A field study. Eur. Heart J. Cardiovasc. Imaging 2015, 16, 475–482. [Google Scholar] [CrossRef]
- Zühlke, L.J.; Engel, M.E.; Nkepu, S.; Mayosi, B.M. Evaluation of a focussed protocol for hand-held echocardiography and computer-assisted auscultation in detecting latent rheumatic heart disease in scholars. Cardiol. Young 2016, 26, 1097–1106. [Google Scholar] [CrossRef]
- Beaton, A.; Aliku, T.; Okello, E.; Lubega, S.; McCarter, R.; Lwabi, P.; Sable, C. The Utility of Handheld Echocardiography for Early Diagnosis of Rheumatic Heart Disease. J. Am. Soc. Echocardiogr. 2014, 27, 42–49. [Google Scholar] [CrossRef]
- Mehta, M.; Jacobson, T.; Peters, D.; Le, E.; Chadderdon, S.; Allen, A.J.; Caughey, A.B.; Kaul, S. Handheld ultrasound versus physical examination in patients referred for transthoracic echocardiography for a suspected cardiac condition. J. Am. Coll. Cardiol. Imaging 2014, 7, 983–990. [Google Scholar] [CrossRef] [PubMed][Green Version]
- Solomon, S.D.; Saldana, F. Point-of-Care Ultrasound in Medical Education—Stop Listening and Look. N. Engl. J. Med. 2014, 370, 1083–1085. [Google Scholar] [CrossRef] [PubMed]
- Kirkpatrick, J.N.; Nguyen, H.T.T.; Doan, L.D.; Le, T.T.; Thai, S.P.; Adams, D.; Sanchez, L.Y.; Sprague, N.; Inafuku, J.; Quang, R.; et al. Focused cardiac ultrasound by nurses in rural Vietnam. J. Am. Soc. Echocardiogr. 2018, 31, 1109–1115. [Google Scholar] [CrossRef] [PubMed]
- Kirkpatrick, J.N.; Davis, A.; Decara, J.M.; Hong, A.E.; Kurtz, P.L.; Balasia, B.; Spencer, K.T. Hand-carried cardiac ultrasound as a tool to screen for important cardiovascular disease in an underserved minority health care clinic. J. Am. Soc. Echocardiogr. 2004, 17, 399–403. [Google Scholar] [CrossRef]
- Sachpekidis, V.; Papadopoulou, S.-L.; Kantartzi, V.; Styliadis, I.; Nihoyannopoulos, P. A Novel Handheld Echocardiography Device with Continuous-Wave Doppler Capability: Implications for the Evaluation of Aortic Stenosis Severity. J. Am. Soc. Echocardiogr. 2022, 35, 1273–1280. [Google Scholar] [CrossRef]
- Kobal, S.L.; Tolstrup, K.; Luo, H.; Neuman, Y.; Miyamoto, T.; Mirocha, J.; Naqvi, T.Z.; Siegel, R.J. Usefulness of a hand-carried cardiac ultrasound device to detect clinically significant valvular regurgitation in hospitalized patients. Am. J. Cardiol. 2004, 93, 1069–1072. [Google Scholar] [CrossRef]
- Aladham, R.; Liu, S.; Naqvi, T.Z. Impact of physician performed point of care ultrasound (POCUS) during first outpatient cardiology consultation on patient management and downstream testing. Echocardiography 2023, 40, 475–482. [Google Scholar] [CrossRef]







| Overall Cohort (n = 77) | |
|---|---|
| Age, years | 72 ± 11 |
| Male, n (%) | 45 (58.4) |
| BMI, kg/m2 | 26.5 ± 4.9 |
| Heart rate, beats/min | 69 ± 15 |
| Systolic blood pressure, mmHg | 135 ± 22 |
| Diastolic blood pressure, mmHg | 73 ± 11 |
| Hypertension | 61 (79.2) |
| HF | 37 (48.1) |
| DM | 10 (13.0) |
| COPD | 8 (10.4) |
| AF | 25 (32.5) |
| CAD | 37 (48.1) |
| Stroke/TIA | 9 (11.7) |
| Renal insufficiency | 27(35.1) |
| Cancer | 9 (11.7) |
| GFR, ml/min/kg | 60 ± 18 |
| Hemoglobin, g/dl | 10.3 ± 3.2 |
| Creatinine, mg/dL | 1.4 ± 1.8 |
| NT-proBNP, pg/Ml a | 828 (182,1868) |
| Value | |
|---|---|
| Body surface area, m2 | 1.9 ± 0.3 |
| IVS, mm | 11 ± 2 |
| PW, mm | 10 ± 2 |
| LV end-diastolic diameter, mm | 51 ± 10 |
| LV end-systolic diameter, mm | 35 ± 10 |
| LVEF, % | 58 ± 11 |
| LVEDV, ml | 125 ± 55 |
| LVESV, ml | 56 ± 38 |
| LAVi, mL/m2 | 46 ± 20 |
| TR velocity, m/s | 2.7 ± 0.5 |
| RVSP, mmHg | 38 ± 15 |
| Number of Patients (%) | |
|---|---|
| Standard TTE/TEE/Stress echocardiography | 24 (31.2) |
| Other tests (cardiopulmonary exercise test, contrast CT) | 5 (6.5) |
| Initiate/increase/decrease/discontinue diuretics | 25 (32.5) |
| Other medications (antihypertension, antiarrhythmic drugs, beta-blocker, anticoagulation, etc.) | 10 (13.0) |
| TEE guide cardioversion | 1 (1.3) |
| Cardiac rehabilitation | 2 (2.6) |
| Right/left heart catheterization | 6 (7.8) |
| Surgical or percutaneous intervention | 17 (22.1) |
| Follow-up (no progression, normal function of prosthetic valve) | 15 (19.5) |
| sTTE | POCUS | |
|---|---|---|
| ≥moderate valvular heart disease, n (%). | ||
| Mitral regurgitation | 16 (20.8) | 17 (22.1) |
| Mitral stenosis | 1 (1.3) | 1 (1.3) |
| Aortic regurgitation | 10 (13.0) | 11 (14.3) |
| Aortic stenosis | 15 (19.5) | 18 (23.4) |
| Tricuspid regurgitation | 13 (16.9) | 14 (18.2) |
| Valve function abnormalities, n (%) | ||
| Paravalvular leak on MV | 2 (2.6) | 2 (2.6) |
| Paravalvular leak on AV | 2 (2.6) | 2 (2.6) |
| Aortic prosthetic valve stenosis | 1 (1.3) | 1 (1.3) |
Disclaimer/Publisher’s Note: The statements, opinions and data contained in all publications are solely those of the individual author(s) and contributor(s) and not of MDPI and/or the editor(s). MDPI and/or the editor(s) disclaim responsibility for any injury to people or property resulting from any ideas, methods, instructions or products referred to in the content. |
© 2023 by the authors. Licensee MDPI, Basel, Switzerland. This article is an open access article distributed under the terms and conditions of the Creative Commons Attribution (CC BY) license (https://creativecommons.org/licenses/by/4.0/).
Share and Cite
Wen, S.; Naqvi, T.Z. Point-of-Care Ultrasound in Detection, Severity and Mechanism of Significant Valvular Heart Disease and Clinical Management. J. Clin. Med. 2023, 12, 6474. https://doi.org/10.3390/jcm12206474
Wen S, Naqvi TZ. Point-of-Care Ultrasound in Detection, Severity and Mechanism of Significant Valvular Heart Disease and Clinical Management. Journal of Clinical Medicine. 2023; 12(20):6474. https://doi.org/10.3390/jcm12206474
Chicago/Turabian StyleWen, Songnan, and Tasneem Z. Naqvi. 2023. "Point-of-Care Ultrasound in Detection, Severity and Mechanism of Significant Valvular Heart Disease and Clinical Management" Journal of Clinical Medicine 12, no. 20: 6474. https://doi.org/10.3390/jcm12206474
APA StyleWen, S., & Naqvi, T. Z. (2023). Point-of-Care Ultrasound in Detection, Severity and Mechanism of Significant Valvular Heart Disease and Clinical Management. Journal of Clinical Medicine, 12(20), 6474. https://doi.org/10.3390/jcm12206474

