A New Test for Achilles Tendinopathy Based on Kager’s Fat Pad Clinical Assessment Predictive Values
Abstract
1. Introduction
2. Materials and Methods
2.1. Study Design
2.2. Ethics
2.3. Clinical Assessment
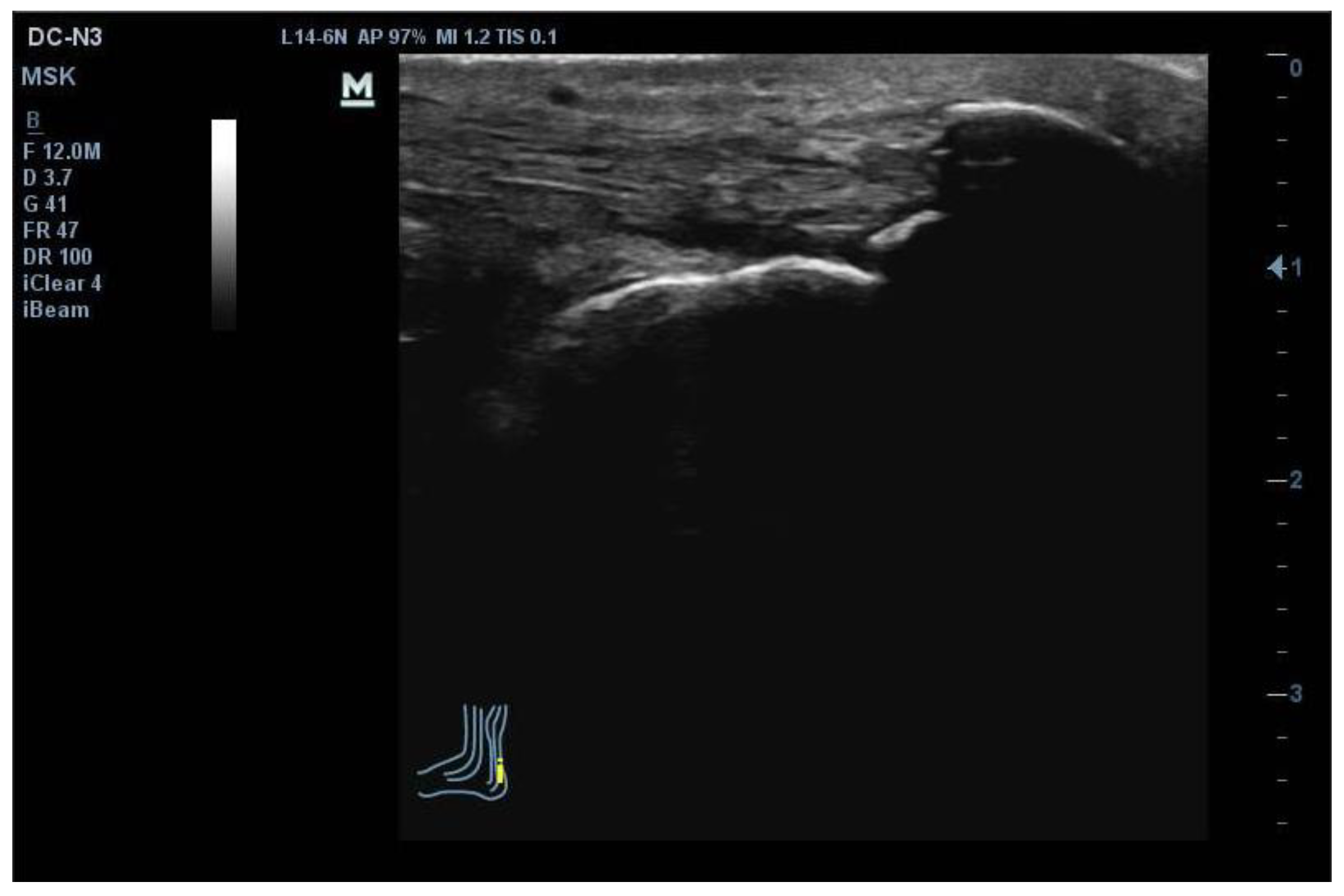
2.4. Ultrasound Imaging Assessment
2.5. Statistical Analysis
3. Results
4. Discussion
Limitations
5. Conclusions
Author Contributions
Funding
Institutional Review Board Statement
Informed Consent Statement
Data Availability Statement
Conflicts of Interest
References
- Nadeau, M.-J.; Desrochers, A.; Lamontagne, M.; Larivière, C.; Gagnon, D.H. Quantitative ultrasound imaging of Achilles tendon integrity in symptomatic and asymptomatic individuals: Reliability and minimal detectable change. J. Foot Ankle Res. 2016, 9, 30. [Google Scholar] [CrossRef]
- Lopes, A.D.; Hespanhol Junior, L.C.; Yeung, S.S.; Costa, L.O.P. What are the main running-related musculoskeletal injuries? A systematic review. Sports Med. 2012, 42, 891–905. [Google Scholar] [CrossRef]
- Albers, I.S.; Zwerver, J.; Diercks, R.L.; Dekker, J.H.; Van den Akker-Scheek, I. Incidence and prevalence of lower extremity tendinopathy in a Dutch general practice population: A cross sectional study. BMC Musculoskelet. Disord. 2016, 17, 16. [Google Scholar] [CrossRef] [PubMed]
- Cook, J.L.; Purdam, C.R. Is tendon pathology a continuum? A pathology model to explain the clinical presentation of load-induced tendinopathy. Br. J. Sports Med. 2009, 43, 409–416. [Google Scholar] [CrossRef] [PubMed]
- Chen, T.M.; Rozen, W.M.; Pan, W.-R.; Ashton, M.W.; Richardson, M.D.; Taylor, G.I. The arterial anatomy of the Achilles tendon: Anatomical study and clinical implications. Clin. Anat. 2009, 22, 377–385. [Google Scholar] [CrossRef] [PubMed]
- Sconfienza, L.M.; Albano, D.; Allen, G.; Bazzocchi, A.; Bignotti, B.; Chianca, V.; de Castro, F.F.; Drakonaki, E.E.; Gallardo, E.; Gielen, J.; et al. Clinical indications for musculoskeletal ultrasound updated in 2017 by European Society of Musculoskeletal Radiology (ESSR) consensus. Eur. Radiol. 2018, 28, 5338–5351. [Google Scholar] [CrossRef]
- Shaikh, Z.; Perry, M.; Morrissey, D.; Ahmad, M.; Del Buono, A.; Maffulli, N. Achilles tendinopathy in club runners. Int. J. Sports Med. 2012, 33, 390–394. [Google Scholar]
- Arya, S.; Kulig, K. Tendinopathy alters mechanical and material properties of the Achilles tendon. J. Appl. Physiol. 2010, 108, 670–675. [Google Scholar] [CrossRef]
- Fredberg, U.; Stengaard-Pedersen, K. Chronic tendinopathy tissue pathology, pain mechanisms, and etiology with a special focus on inflammation. Scand. J. Med. Sci. Sports 2008, 18, 3–15. [Google Scholar] [CrossRef]
- Hodgson, R.J.; O’Connor, P.J.; Grainger, A.J. Tendon and ligament imaging. Br. J. Radiol. 2012, 85, 1157–1172. [Google Scholar] [CrossRef]
- Sharma, P.; Maffulli, N. Biology of tendon injury: Healing, modeling and remodeling. J. Musculoskelet. Neuronal Interact. 2006, 6, 181–190. [Google Scholar]
- O’Connor, P.J.; Grainger, A.J.; Morgan, S.R.; Smith, K.L.; Waterton, J.C.; Nash, A.F.P. Ultrasound assessment of tendons in asymptomatic volunteers: A study of reproducibility. Eur. Radiol. 2004, 14, 1968–1973. [Google Scholar] [CrossRef]
- Fredberg, U.; Bolvig, L.; Andersen, N.T.; Stengaard-Pedersen, K. Ultrasonography in evaluation of Achilles and patella tendon thickness. Ultraschall Med. 2008, 29, 60–65. [Google Scholar] [CrossRef]
- Theobald, P.; Bydder, G.; Dent, C.; Nokes, L.; Pugh, N.; Benjamin, M. The functional anatomy of Kager’s fat pad in relation to retrocalcaneal problems and other hindfoot disorders. J. Anat. 2006, 208, 91–97. [Google Scholar] [CrossRef] [PubMed]
- Benjamin, M.; Moriggl, B.; Brenner, E.; Emery, P.; McGonagle, D.; Redman, S. The ‘enthesis organ’ concept: Why enthesopathies may not present as focal insertional disorders. Arthritis Rheum. 2004, 50, 3306–3313. [Google Scholar] [CrossRef] [PubMed]
- Brodie, J.T.; Dormans, J.P.; Gregg, J.R.; Davidson, R.S. Accessory soleus muscle. A report of 4 cases and review of literature. Clin. Orthop. Relat. Res. 1997, 337, 180–186. [Google Scholar] [CrossRef] [PubMed]
- Bureau, N.J.; Cardinal, E.; Hobden, R.; Aubin, B. Posterior ankle impingement syndrome: MR imaging findings in seven patients. Radiology 2000, 215, 497–503. [Google Scholar] [CrossRef] [PubMed]
- Canoso, J.J.; Liu, N.; Traill, M.R.; Runge, V.M. Physiology of the retrocalcaneal bursa. Ann. Rheum. Dis. 1988, 47, 910–912. [Google Scholar] [CrossRef]
- Cole, B.J.; Schumacher, H.R., Jr. Injectable corticosteroids in modern practice. J. Am. Acad. Orthop. 2005, 13, 37–46. [Google Scholar] [CrossRef]
- Bossuyt, P.M.; Reitsma, J.B.; Bruns, D.E.; Gatsonis, C.A.; Glasziou, P.P.; Irwig, L.; Lijmer, J.G.; Moher, D.; Rennie, D.; de Vet, H.C.; et al. STARD 2015: An updated list of essential items for reporting diagnostic accuracy studies. BMJ 2015, 351, h55272015. [Google Scholar]
- Romero-Morales, C.; Martín-Llantino, P.J.; Calvo-Lobo, C.; Palomo-López, P.; López- López, D.; Pareja-Galeano, H.; Rodríguez-Sanz, D. Comparison of the sonographic features of the Achilles tendon complex in patients with and without Achilles tendinopathy: A case-control study. Phys. Ther. Sport. 2019, 35, 122–126. [Google Scholar] [CrossRef] [PubMed]
- Romero-Morales, C.; Martín-Llantino, P.J.; Calvo-Lobo, C.; López-López, D.; Sánchez-Gómez, R.; De-La-Cruz-Torres, B.; Rodríguez-Sanz, D. Ultrasonography Features of the Plantar Fascia Complex in Patients with Chronic Non-Insertional Achilles Tendinopathy: A Case-Control Study. Sensors 2019, 19, 2052. [Google Scholar] [CrossRef]
- Kongsgaard, M.; Qvortrup, K.; Larsen, J.; Aagaard, P.; Doessing, S.; Hansen, P.; Kjaer, M.; Magnusson, S.P. Fibril morphology and tendon mechanical properties in patellar tendinopathy: Effects of heavy slow resistance training. Am. J. Sports Med. 2010, 38, 749–756. [Google Scholar] [CrossRef] [PubMed]
- Romero-Morales, C.; Martín-Llantino, P.J.; Calvo-Lobo, C.; Almazán-Polo, J.; López- López, D.; de la Cruz-Torres, B.; Palomo-López, P.; Rodríguez-Sanz, D. Intrinsic foot muscles morphological modifications in patients with Achilles tendinopathy: A novel case-control research study. Phys. Ther. Sport. 2019, 40, 208–212. [Google Scholar] [CrossRef] [PubMed]
- Romero-Morales, C.; Martín-Llantino, P.J.; Calvo-Lobo, C.; Sánchez-Gómez, R.; López- López, D.; Pareja-Galeano, H.; Rodríguez-Sanz, D. Ultrasound evaluation of extrinsic foot muscles in patients with chronic non-insertional Achilles tendinopathy: A case-control study. Phys. Ther. Sport. 2019, 37, 44–48. [Google Scholar] [CrossRef]
- Romero-Morales, C.; Martín-Llantino, P.; Calvo-Lobo, C.; San-Antolín, M.; López-López, D.; Blanco-Morales, M.; Rodríguez-Sanz, D. Ultrasound imaging of the abdominal wall and trunk muscles in patients with Achilles tendinopathy versus healthy participants. Diagnostics 2019, 30, 17. [Google Scholar] [CrossRef]
- Wang, J.H.-C. Mechanobiology of tendon. J. Biomech. 2006, 39, 1563–1582. [Google Scholar] [CrossRef]
- Malagelada, F.; Stephen, J.; Dalmau-Pastor, M.; Masci, L.; Yeh, M.; Vega, J.; Calder, J. Pressure changes in the Kager fat pad at the extremes of ankle motion suggest a potential role in Achilles tendinopathy. Knee Surg. Sports Traumatol. Arthrosc. 2020, 28, 148–154. [Google Scholar] [CrossRef]
- Hutchison, A.M.; Evans, R.; Bodger, O.; Pallister, I.; Topliss, C.; Williams, P.; Vannet, N.; Morris, V.; Beard, D. What is the best clinical test for Achilles tendinopathy? Foot Ankle Surg. 2013, 19, 112–117. [Google Scholar] [CrossRef]
- Shivapatham, G.; Richards, S.; Bamber, J.; Screen, H.; Morrissey, D. Ultrasound measurement of local deformation in the human free achilles tendon produced by dynamic muscle-induced loading: A systematic review. Ultrasound Med. Biol. 2023, 49, 1499–1509. [Google Scholar] [CrossRef]
- Mifsud, T.; Gatt, A.; Micallef-Stafrace, K.; Chockalingam, N.; Padhiar, N. Elastography in the assessment of the Achilles tendon: A systematic review of measurement properties. J. Foot Ankle Res. 2023, 27, 23. [Google Scholar] [CrossRef]
- Maffulli, N.; Nilsson Helander, K.; Migliorini, F. Tendon appearance at imaging may be altered, but it may not indicate pathology. Knee Surg. Sports Traumatol. Arthrosc. 2023, 31, 1625–1628. [Google Scholar] [CrossRef]
- Padhiar, N.; Al-Sayeagh, H.; Chan, O.; King, J.; Maffulli, N. Pennation angle of the soleus in patients with unilateral Achilles tendinopathy. Disabil. Rehabil. 2008, 30, 1640–1645. [Google Scholar] [CrossRef] [PubMed]
- Mulder, C.F.L.; van der Vlist, A.C.; van Middelkoop, M.; van Oosterom, R.F.; van Veldhoven, P.L.J.; Weir, A.; Verhaar, J.A.N.; de Vos, R.J. Do physical tests have a prognostic value in chronic midportion Achilles tendinopathy? J. Sci. Med. Sport. 2023, 4, S1440-2440(23)00150-0. [Google Scholar] [CrossRef] [PubMed]
- Kim, M.; Lin, C.I.; Henschke, J.; Quarmby, A.; Engel, T.; Cassel, M. Effects of exercise treatment on functional outcome parameters in mid-portion Achilles tendinopathy: A systematic review. Front. Sports Act. Living. 2023, 17, 1144484. [Google Scholar] [CrossRef]
- Hanlon, S.L.; Scattone Silva, R.; Honick, B.J.; Silbernagel, K.G. Effect of symptom duration on injury severity and recovery in patients with Achilles tendinopathy. Orthop. J. Sports Med. 2023, 22, 23259671231164956. [Google Scholar] [CrossRef] [PubMed]
- Martin, S.; Moriñigo, J.G. Ultrasonography-guided intervention in the Achilles tendon and plantar fascia. Semin. Musculoskelet. Radiol. 2023, 27, 351–366. [Google Scholar] [CrossRef]
- Desouza, C.; Dubey, R.; Shetty, V. Platelet-rich plasma in chronic Achilles tendinopathy. Eur. J. Orthop. Surg. Traumatol. 2023. [Google Scholar] [CrossRef]


| Ultrasound Assessment | |||
|---|---|---|---|
| Test | Positive | Negative | Sum Value |
| Positive | 60 | 0 | 60 |
| Negative | 10 | 70 | 80 |
| Sum Value | 70 | 70 | 140 |
| Statistical Diagnostic Accuracy Measures | |
|---|---|
| Sensitivity | 85.71% (95% CI 77.51% to 93.91%) |
| Specificity | 100% (95% CI 100% to 100%) |
| Positive predictive value | 100% (95% CI 100% to 100%) |
| Negative predictive value | 87.5% (95% CI 80.25% to 94.74%) |
| False positive rate | 0% |
| False negative rate | 14.28% |
| Youden’s index | 0.875 |
| Provided properly classified | 92.85% |
| Provided unproperly classified | 7.14% |
| The number needed to diagnose (Bayesian calculations) | 1.167 |
| The number needed to misdiagnose (Bayesian calculations) | 14 |
Disclaimer/Publisher’s Note: The statements, opinions and data contained in all publications are solely those of the individual author(s) and contributor(s) and not of MDPI and/or the editor(s). MDPI and/or the editor(s) disclaim responsibility for any injury to people or property resulting from any ideas, methods, instructions or products referred to in the content. |
© 2023 by the authors. Licensee MDPI, Basel, Switzerland. This article is an open access article distributed under the terms and conditions of the Creative Commons Attribution (CC BY) license (https://creativecommons.org/licenses/by/4.0/).
Share and Cite
Rodríguez-Sanz, D.; Losa-Iglesias, M.E.; de Bengoa-Vallejo, R.B.; Sánchez-Milá, Z.; Dorgham, H.A.A.; Elerian, A.E.; Yu, T.; Calvo-Lobo, C.; Velázquez-Saornil, J.; Martínez Jimene, E.M. A New Test for Achilles Tendinopathy Based on Kager’s Fat Pad Clinical Assessment Predictive Values. J. Clin. Med. 2023, 12, 5183. https://doi.org/10.3390/jcm12165183
Rodríguez-Sanz D, Losa-Iglesias ME, de Bengoa-Vallejo RB, Sánchez-Milá Z, Dorgham HAA, Elerian AE, Yu T, Calvo-Lobo C, Velázquez-Saornil J, Martínez Jimene EM. A New Test for Achilles Tendinopathy Based on Kager’s Fat Pad Clinical Assessment Predictive Values. Journal of Clinical Medicine. 2023; 12(16):5183. https://doi.org/10.3390/jcm12165183
Chicago/Turabian StyleRodríguez-Sanz, David, Marta Elena Losa-Iglesias, Ricardo Becerro de Bengoa-Vallejo, Zacarías Sánchez-Milá, Hend Adel Abdelhalim Dorgham, Ahmed Ebrahim Elerian, Tian Yu, César Calvo-Lobo, Jorge Velázquez-Saornil, and Eva María Martínez Jimene. 2023. "A New Test for Achilles Tendinopathy Based on Kager’s Fat Pad Clinical Assessment Predictive Values" Journal of Clinical Medicine 12, no. 16: 5183. https://doi.org/10.3390/jcm12165183
APA StyleRodríguez-Sanz, D., Losa-Iglesias, M. E., de Bengoa-Vallejo, R. B., Sánchez-Milá, Z., Dorgham, H. A. A., Elerian, A. E., Yu, T., Calvo-Lobo, C., Velázquez-Saornil, J., & Martínez Jimene, E. M. (2023). A New Test for Achilles Tendinopathy Based on Kager’s Fat Pad Clinical Assessment Predictive Values. Journal of Clinical Medicine, 12(16), 5183. https://doi.org/10.3390/jcm12165183

