Morphology of Anterior Cingulate Cortex and Its Relation to Schizophrenia
Abstract
1. Introduction
2. Materials and Methods
2.1. Patient Characteristics and Demographics
2.2. MR Imaging
2.3. Processing of the MRI Images
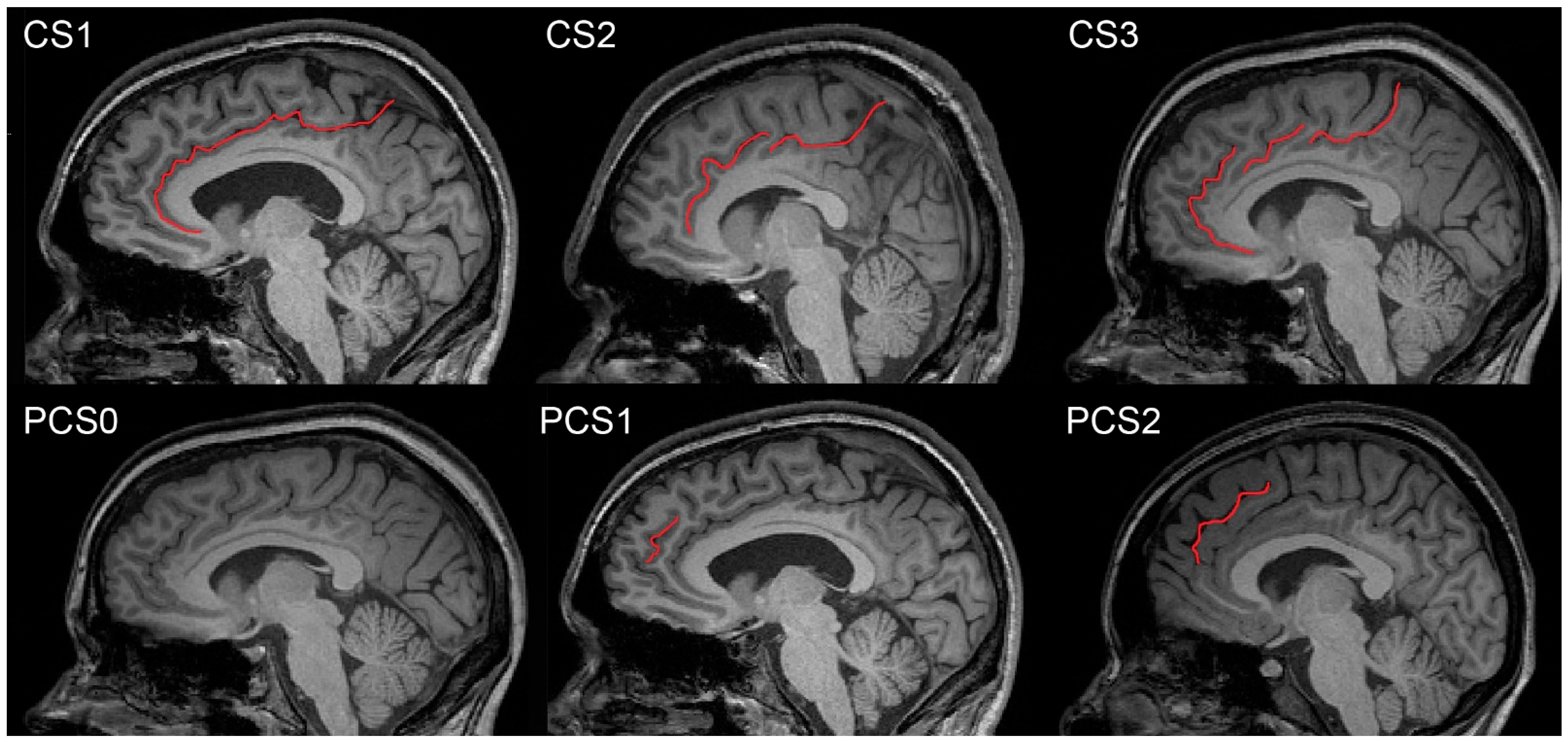
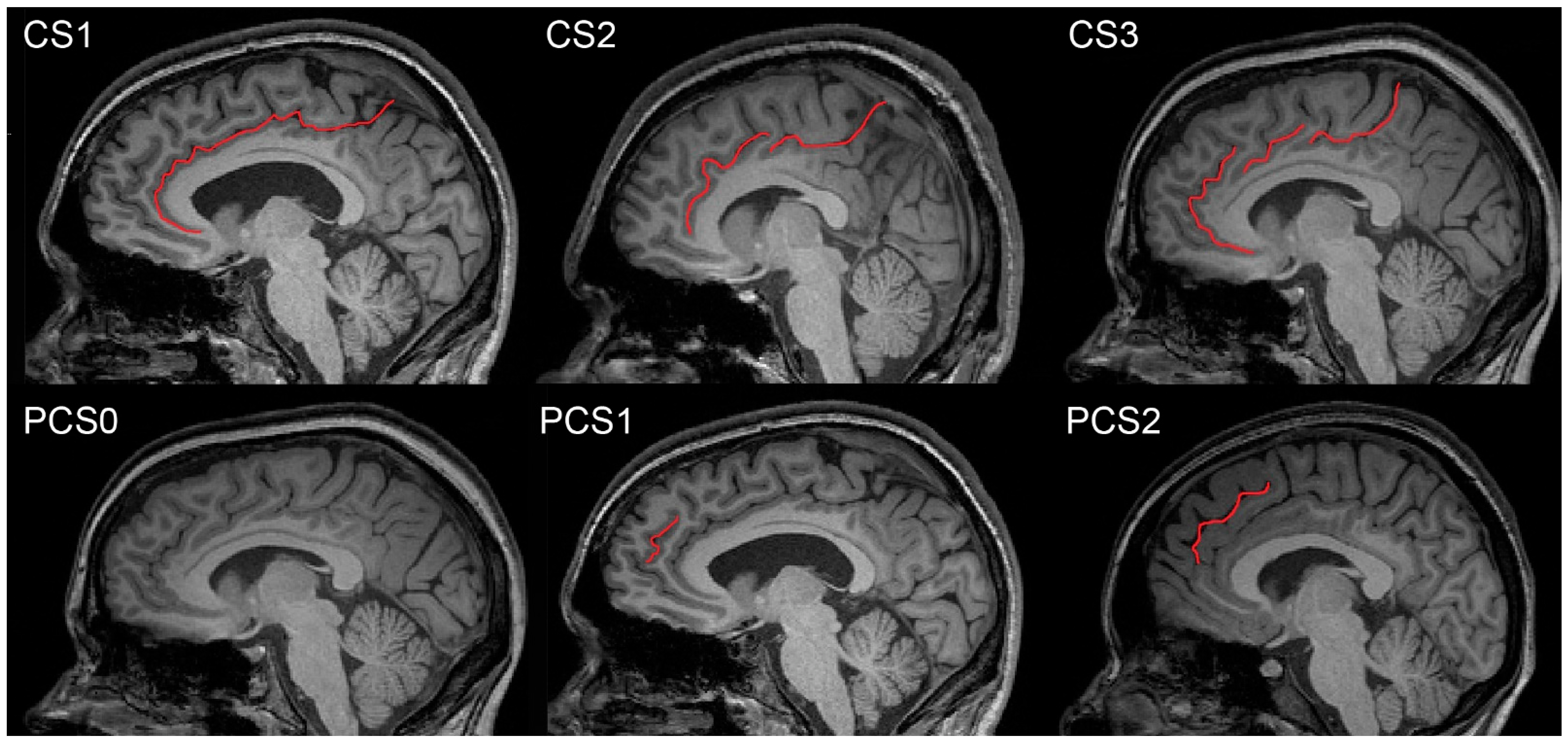
2.4. CS and PCS Neuroanatomy
2.4.1. CS and PCS Manual Delineation and Morphology Considerations
2.4.2. Description of CS and PCS Parcellation and Its Nomenclature
2.5. Statistics
2.5.1. t-Test between Groups
2.5.2. Mann–Whitney U Test and Kruskal–Wallis Test
2.5.3. ROC Curve Analysis
2.5.4. Chi-Squared Test and Cochran–Mantel–Haenszel Test
2.5.5. Generalized Additive Model
2.5.6. Adjustment for Sex and Age
3. Results
3.1. Length of CS and PCS without Parcellation
3.2. Length of Parcellated CS (1, 2, and 3) and PCS (0, 1, and 2)
3.3. Incidence and Distribution of Patients and Controls between CS and PCS Morphology Types
3.4. Adjustment for Age and Sex Performed by Generalized Additive Model
3.5. ROC Analysis Evaluation
4. Discussion
4.1. Distribution of CS and PCS Morphological Patterns
4.2. Length of the PCS
4.3. Length of the CS
4.4. Practical Use of CS and PCS Length as a Support Tool for Schizophrenia Diagnosis
5. Conclusions
Author Contributions
Funding
Institutional Review Board Statement
Informed Consent Statement
Data Availability Statement
Conflicts of Interest
References
- Amiez, C.; Wilson, C.R.E.; Procyk, E. Variations of cingulate sulcal organization and link with cognitive performance. Sci. Rep. 2018, 8, 13988. [Google Scholar] [CrossRef] [PubMed]
- Haller, C.S.; Padmanabhan, J.L.; Lizano, P.; Torous, J.; Keshavan, M. Recent advances in understanding schizophrenia. F1000 Prime Rep. 2014, 6, 57. [Google Scholar] [CrossRef] [PubMed]
- Birnbaum, R.; Weinberger, D.R. Genetic insights into the neurodevelopmental origins of schizophrenia. Nat. Rev. Neurosci. 2017, 18, 727. [Google Scholar] [CrossRef] [PubMed]
- Rund, B.R. The research evidence for schizophrenia as a neurodevelopmental disorder. Scand. J. Psychol. 2018, 59, 49–58. [Google Scholar] [CrossRef] [PubMed]
- Chi, J.G.; Dooling, E.C.; Gilles, F.H. Gyral development of the human brain. Ann. Neurol. 1977, 1, 86–93. [Google Scholar] [CrossRef]
- Naidich, T.P.; Grant, J.L.; Altman, N.; Zimmerman, R.A.; Birchansky, S.B.; Braffmann, B.; Daniel, J.L. The developing cerebral surface. Preliminary report on the patterns of sulcal and gyral maturation—Anatomy, ultrasound, and magnetic resonance imaging. Neuroimaging Clin. N. Am. 1994, 4, 201–240. [Google Scholar]
- Feng, N.; Palaniyappan, L.; Robbins, T.W.; Cao, L.; Fang, S.; Luo, X.; Wang, X.; Luo, Q. Working memory processing deficit associated with a nonlinear response pattern of the anterior cingulate cortex in first-episode and drug-naïve schizophrenia. Neuropsychopharmacology 2022. [Google Scholar] [CrossRef]
- Fornito, A.; Yücel, M.; Dean, B.; Wood, S.J.; Pantelis, C. Anatomical abnormalities of the anterior cingulate cortex in schizophrenia: Bridging the gap between neuroimaging and neuropathology. Schizophr. Bull. 2009, 35, 973–993. [Google Scholar] [CrossRef]
- Brugger, S.P.; Howes, O.D. Heterogeneity and homogeneity of regional brain structure in schizophrenia: A meta-analysis. JAMA Psychiatry 2017, 74, 1104–1111. [Google Scholar] [CrossRef]
- Li, Q.; Yao, L.; You, W.; Liu, J.; Deng, S.; Li, B.; Luo, L.; Zhao, Y.; Wang, Y.; Wang, Y.; et al. Controllability of Functional Brain Networks and Its Clinical Significance in First-Episode Schizophrenia. Schizophr. Bull. 2022. [Google Scholar] [CrossRef]
- Smith, G.E. A New Topographical Survey of the Human Cerebral Cortex, being an Account of the Distribution of the Anatomically Distinct Cortical Areas and their Relationship to the Cerebral Sulci. J. Anat. Physiol. 1907, 41, 237–254. [Google Scholar]
- Wei, X.; Yin, Y.; Rong, M.; Zhang, J.; Wang, L.; Wu, Y.; Cai, Q.; Yu, C.; Wang, J.; Jiang, T. Paracingulate Sulcus Asymmetry in the Human Brain: Effects of Sex, Handedness, and Race. Sci. Rep. 2017, 7, 42033. [Google Scholar] [CrossRef]
- Amiez, C.; Sallet, J.; Novek, J.; Hadj-Bouziane, F.; Giacometti, C.; Andersson, J.; Hopkins, W.D.; Petrides, M. Chimpanzee histology and functional brain imaging show that the paracingulate sulcus is not human-specific. Commun. Biol. 2021, 4, 54. [Google Scholar] [CrossRef]
- Yücel, M.; Stuart, G.W.; Maruff, P.; Velakoulis, D.; Crowe, S.F.; Savage, G.; Pantelis, C. Hemispheric and gender-related differences in the gross morphology of the anterior cingulate/paracingulate cortex in normal volunteers: An MRI morphometric study. Cereb. Cortex 2001, 11, 17–25. [Google Scholar] [CrossRef]
- Paus, T.; Tomaiuolo, F.; Otaky, N.; MacDonald, D.; Petrides, M.; Atlas, J.; Morris, R.; Evans, A.C. Evans, Human cingulate and paracingulate sulci: Pattern, variability, asymmetry, and probabilistic map. Cereb. Cortex. 1996, 6, 207–214. [Google Scholar] [CrossRef]
- Ono, M.; Kubik, S.; Abarnathey, C.D. Atlas of the Cerebral Sulci; Georg Thieme: New York, NY, USA, 1990. [Google Scholar]
- Nishikuni, K.; Ribas, G.C. Study of fetal and postnatal morphological development of the brain sulci. J. Neurosurg. Pediatr. 2013, 11, 1–11. [Google Scholar] [CrossRef]
- Meng, Y.; Li, G.; Wang, L.; Lin, W.; Gilmore, J.H.; Shen, D. Discovering cortical sulcal folding patterns in neonates using large-scale dataset. Hum. Brain Mapp. 2018, 39, 3625–3635. [Google Scholar] [CrossRef]
- Sun, Z.Y.; Perrot, M.; Tucholka, A.; Riviere, D.; Mangin, J.F. Constructing a dictionary of human brain folding patterns. In Proceedings of the Medical Image Computing and Computer-Assisted Intervention—MICCAI 2009, London, UK, 20–24 September 2009; Volume 12, pp. 117–124. [Google Scholar] [CrossRef]
- Cachia, A.; Borst, G.; Tissier, C.; Fisher, C.; Plaze, M.; Gay, O.; Riviere, D.; Gogtay, N.; Giedd, J.; Mangin, J.F.; et al. Longitudinal stability of the folding pattern of the anterior cingulate cortex during development. Dev. Cogn. Neurosci. 2016, 19, 122–127. [Google Scholar] [CrossRef]
- Weinberger, D.R.; Marenco, S. Schizophrenia as A Neurodevelopmental Disorder. In Schizophrenia, 2nd ed.; Hirsch, S.R.W., Ed.; Blackwell Publishing: London, UK, 2003; pp. 326–348. [Google Scholar]
- Woods, B.T. Is schizophrenia a progressive neurodevelopmental disorder? Toward a unitary pathogenetic mechanism. Am. J. Psychiatry 1998, 155, 1661–1670. [Google Scholar] [CrossRef]
- Rametti, G.; Junque, C.; Bartres-Faz, D.; Zubiaurre-Elorza, L.; Catalan, R.; Penades, R.; Bargallo, N.; Bernardo, M. Anterior cingulate and paracingulate sulci morphology in patients with schizophrenia. Schizophr. Res. 2010, 121, 66–74. [Google Scholar] [CrossRef]
- Fornito, A.; Yücel, M.; Wood, S.J.; Proffitt, T.; McGorry, P.D.; Velakoulis, D.; Pantelis, C. Morphology of the paracingulate sulcus and executive cognition in schizophrenia. Schizophr. Res. 2006, 88, 192–197. [Google Scholar] [CrossRef] [PubMed]
- Fujiwara, H.; Hirao, K.; Namiki, C.; Yamada, M.; Shimizu, M.; Fukuyama, H.; Hayashi, T.; Murai, T. Anterior cingulate pathology and social cognition in schizophrenia: A study of gray matter, white matter and sulcal morphometry. Neuroimage 2007, 36, 1236–1245. [Google Scholar] [CrossRef] [PubMed]
- Koo, M.S.; Levitt, J.J.; Salisbury, D.F.; Nakamura, M.; Shenton, M.E.; McCarley, R.W. A cross-sectional and longitudinal magnetic resonance imaging study of cingulate gyrus gray matter volume abnormalities in first episode schizophrenia and first episode affective psychosis. Arch. Gen. Psychiatry 2008, 65, 746–760. [Google Scholar] [CrossRef] [PubMed]
- Yücel, M.; Stuart, G.W.; Maruff, P.; Wood, S.J.; Savage, G.R.; Smith, D.J.; Crowe, S.F.; Copolov, D.L.; Velakoulis, D.; Pantelis, C. Paracingulate morphologic differences in males with established schizophrenia: A magnetic resonance imaging morphometric study. Biol. Psychiatry 2002, 52, 15–23. [Google Scholar] [CrossRef]
- Le Provost, J.B.; Bartres-Faz, D.; Paillere-Martinot, M.L.; Artiges, E.; Pappata, S.; Recasens, C.; Perez-Gomez, M.; Bernardo, M.; Baeza, I.; Bayle, F.; et al. Paracingulate sulcus morphology in men with early-onset schizophrenia. Br. J. Psychiat. 2003, 182, 228–232. [Google Scholar] [CrossRef]
- Marquardt, R.K.; Levitt, J.G.; Blanton, R.E.; Caplan, R.; Asarnow, R.; Siddarth, P.; Fadale, D.; McCracken, J.T.; Toga, A.W. Abnormal development of the anterior cingulate in childhood-onset schizophrenia: A preliminary quantitative MRI study. Psychiatry Res. 2005, 138, 221–233. [Google Scholar] [CrossRef]
- Meredith, S.M.; Whyler, N.C.; Stanfield, A.C.; Chakirova, G.; Moorhead, T.W.; Job, D.E.; Giles, S.; McIntosh, A.M.; Johnstone, E.C.; Lawrie, S.M. Anterior cingulate morphology in people at genetic high-risk of schizophrenia. Eur. Psychiatry 2012, 27, 377–385. [Google Scholar] [CrossRef]
- Buda, M.; Fornito, A.; Bergstrom, Z.; Simons, J.S. A specific brain structural basis for individual differences in reality monitoring. J. Neurosci. 2011, 31, 14308–14313. [Google Scholar] [CrossRef]
- Garrison, J.R.; Fernyhough, C.; McCarthy-Jones, S.; Haggard, M.; Simons, J.S. Paracingulate sulcus morphology is associated with hallucinations in the human brain. Nat. Commun. 2015, 6, 8956. [Google Scholar] [CrossRef]
- Destrieux, C.; Terrier, L.M.; Andersson, F.; Love, S.A.; Cottier, J.P.; Duvernoy, H.; Velut, S.; Janot, K.; Zemmoura, I. Practical guide for the identification of major sulcogyral structures of the human cortex. Brain Struct. Funct. 2017, 222, 2001–2015. [Google Scholar] [CrossRef]
- FIPAT. Terminologia Neuroanatomica. 2017. Available online: https://fipat.library.dal.ca/TNA/ (accessed on 12 July 2021).
- Marinescu, I.; Melinte, P.R.; Dincă, I.; Pătrascu, E.; Botoran Meșină, M.I.; Drăgoi, G.S. Human gyrus cinguli as an anatomic marker in the neuronal system processing behavioural and cognitive act. Implications in forensic psychopathology. Rom. J. Leg. Med. 2018, 26, 1–11. [Google Scholar] [CrossRef]
- Garrison, J. Paracingulate Sulcus Measurement Protocol; University of Cambridge: Cambridge, UK, 2017. [Google Scholar] [CrossRef]
- Hastie, T.J.; Tibshirani, R.J. Generalized Additive Models, 1st ed.; Chapman & Hall; CRC: London, UK, 1990. [Google Scholar]
- Wood, S.N. Generalized Additive Models: An Introduction with R, 2nd ed.; Chapman & Hall; CRC: London, UK, 2017. [Google Scholar]
- Wood, S.N.; Pya, N.; Saefken, B. Smoothing parameter and model selection for general smooth models (with discussion). J. Am. Stat. Assoc. 2016, 111, 1548–1575. [Google Scholar] [CrossRef]
- R Core Team. R: A Language and Environment for Statistical Computing; R Foundation for Statistical Computing: Vienna, Austria, 2019; Available online: https://www.R-project.org/ (accessed on 16 October 2022).
- Vita, A.; Sacchetti, E.; Calzeroni, A.; Cazzullo, L.C. Cortical atrophy in schizophrenia. Prevalence and associated features. Schizophr. Res. 1988, 1, 329–337. [Google Scholar] [CrossRef]
- Mahon, P.B.; Eldridge, H.; Crocker, B.; Notes, L.; Gindes, H.; Postell, E.; King, S.; Potash, J.B.; Ratnanather, J.T.; Barta, P.E. An MRI study of amygdala in schizophrenia and psychotic bipolar disorder. Schizophr. Res. 2012, 138, 188–191. [Google Scholar] [CrossRef]
- Heckers, S. Neuroimaging studies of the hippocampus in schizophrenia. Hippocampus 2001, 11, 520–528. [Google Scholar] [CrossRef]
- Breier, A.; Buchanan, R.W.; Elkashef, A.; Munson, R.C.; Kirkpatrick, B.; Gellad, F. Brain morphology and schizophrenia. A magnetic resonance imaging study of limbic, prefrontal cortex, and caudate structures. Arch. Gen. Psychiatry 1992, 49, 921–926. [Google Scholar] [CrossRef]
- Artiges, E.; Martelli, C.; Naccache, L.; Bartres-Faz, D.; Leprovost, J.B.; Viard, A.; Paillere-Martinot, M.L.; Dehaene, S.; Martinot, J.L. Paracingulate sulcus morphology and fMRI activation detection in schizophrenia patients. Schizophr. Res. 2006, 82, 143–151. [Google Scholar] [CrossRef]
- Garrison, J.R.; Fernyhough, C.; McCarthy-Jones, S.; Simons, J.S.; Sommer, I.E.C. Paracingulate Sulcus Morphology and Hallucinations in Clinical and Nonclinical Groups. Schizophr. Bull. 2019, 45, 733–741. [Google Scholar] [CrossRef]
- Fornito, A.; Wood, S.J.; Whittle, S.; Fuller, J.; Adamson, C.; Saling, M.M.; Velakoulis, D.; Pantelis, C.; Yücel, M. Variability of the paracingulate sulcus and morphometry of the medial frontal cortex: Associations with cortical thickness, surface area, volume, and sulcal depth. Hum. Brain Mapp. 2008, 29, 222–236. [Google Scholar] [CrossRef]
- Noga, J.T.; Aylward, E.; Barta, P.E.; Pearlson, G.C. Cingulate gyrus in schizophrenic patients and normal volunteers. Psychiatry Res. 1995, 61, 201–208. [Google Scholar] [CrossRef] [PubMed]
- Kubicki, M.; McCarley, R.W.; Shenton, M.E. Evidence for white matter abnormalities in schizophrenia. Curr. Opin. Psychiatry 2005, 18, 121–134. [Google Scholar] [CrossRef] [PubMed]
- Rushworth, M.F.S.; Walton, M.E.; Kennerley, S.W.; Bannermann, D.M. Action sets and decisions in the medial frontal cortex. Trends Cogn. Sci. 2004, 8, 410–417. [Google Scholar] [CrossRef] [PubMed]
- Tesli, M.; Degerud, E.; Plana-Ripoll, O.; Gustavson, K.; Torvik, F.A.; Ystrom, E.; Ask, H.; Tesli, N.; Høye, A.; Stoltenberg, C.; et al. Educational attainment and mortality in schizophrenia. Acta Psychiatr. Scand. 2022, 145, 481–493. [Google Scholar] [CrossRef]
- Crossley, N.A.; Alliende, L.M.; Czepielewski, L.S.; Aceituno, D.; Castañeda, C.P.; Diaz, C.; Iruretagoyena, B.; Mena, C.; Mena, C.; Ramirez-Mahaluf, J.P.; et al. The enduring gap in educational attainment in schizophrenia according to the past 50 years of published research: A systematic review and meta-analysis. Lancet Psychiatry 2022, 9, 565–573. [Google Scholar] [CrossRef]
- Resnick, S.M. Matching for Education in Studies of Schizophrenia. Arch. Gen Psychiatry 1992, 49, 246. [Google Scholar] [CrossRef]
- Kremen, W.S.; Seidman, L.J.; Faraone, S.V.; Pepple, J.R.; Lyons, M.J.; Tsuang, M.T. The ‘3 Rs’ and neuropsychological function in schizophrenia: A test of the matching fallacy in biological relatives. Psychiatry Res. 1995, 56, 135–143. [Google Scholar] [CrossRef]
- Ghai, S.; Fong, K.W.; Toi, A.; Chitayat, D.; Pantazi, S.; Blaser, S. Prenatal US and MR imaging findings of lissencephaly: Review of fetal cerebral sulcal development. Radiographics 2006, 26, 389–405. [Google Scholar] [CrossRef]



| Demographic Data | Patients Sample Total (n = 93) | Healthy Controls (n = 42) |
|---|---|---|
| Sex, n = male/female | 47/46 | 17/25 |
| Age at baseline MRI (V1), year | 30.1 ± 7.4 | 31.6 ± 6.2 |
| Age at second, follow up MRI (V2), year | 31.3 ± 7.4 | 32.6 ± 5.6 |
| Years of education at V2 | 14.8 ± 3.1 * | 17.9 ± 3.6 * |
| Interscan interval (V1–V2), month | 13.0 ± 1.8 | 16.0 ± 3.8 |
| Detailed Overview of Patient’s Examination | |
|---|---|
| Age at onset, year | 29.4 ± 7.3 |
| Duration of illness (DUI) at baseline V1, month | 7.7 ± 11.2 |
| Duration of untreated psychosis (DUP), month | 4 ± 11.9 |
| Global Assessment of Functioning (GAF) at V1 | 65.6 ± 15.4 |
| Global Assessment of Functioning (GAF) at V2 | 79.9 ± 13.0 |
| Positive and Negative Syndrome Scale (PANSS) negative 1 | 15.7 ± 5.8 |
| Positive and Negative Syndrome Scale (PANSS) negative 2 | 13.3 ± 5.4 |
| Positive and Negative Syndrome Scale (PANSS) 1Σ | 60 ± 16.0 |
| Positive and Negative Syndrome Scale (PANSS) 2Σ | 48.2 ± 14.6 |
| Final Diagnosis (M/F) | |
| Schizophrenia | 29/30 |
| Acute polymorphic psychotic disorder without symptoms of schizophrenia | 3/2 |
| Acute polymorphic psychotic disorder with symptoms of schizophrenia | 9/11 |
| Acute schizophrenia-like psychotic disorder | 2/0 |
| Other acute predominantly delusional psychotic disorders | 1/0 |
| Schizoaffective disorder | 1/5 |
| Brain Structures | Patients | Controls | ||
|---|---|---|---|---|
| Length in mm | Incidence n (%) | Length in mm | Incidence n (%) | |
| Left cingulate sulcus type 1 (CS1) | 110.7 ± 15.8 | 61 (66) | 105.2 ± 21.7 | 6 (14) |
| Left cingulate sulcus type 2a (CS2a) | 59.8 ± 16.3 | 26 (28) | 52 ± 19.3 | 17 (41) |
| Left cingulate sulcus type 2b (CS2b) | 55.9 ± 18.3 | 62.9 ± 26 | ||
| Left cingulate sulcus type 3a (CS3a) | 53.8 ± 25.7 p < 0.05 | 6 (6) | 32.7 ± 19.4 p < 0.05 | 19 (45) |
| Left cingulate sulcus type 3b (CS3b) | 20.5 ± 9 | 22.3 ± 12.9 | ||
| Left cingulate sulcus type 3c (CS3c) | 36.2 ± 12.9 | 52.5 ± 22.5 | ||
| Right cingulate sulcus type 1 (CS1) | 113.3 ± 18.7 | 58 (63) | 123.2 ± 19.1 | 5 (12) |
| Right cingulate sulcus type 2a (CS2a) | 65.9 ± 23.8 | 30 (32) | 57.2 ± 26.7 | 18 (43) |
| Right cingulate sulcus type 2b (CS2b) | 53.6 ± 2.3 | 63.8 ± 27.5 | ||
| Right cingulate sulcus type 3a (CS3a) | 47.7 ± 7.7 | 5 (5) | 35.9 ± 16.1 | 19 (45) |
| Right cingulate sulcus type 3b (CS3b) | 39.2 ± 17.2 | 24.9 ± 19.7 | ||
| Right cingulate sulcus type 3c (CS3c) | 34.5 ± 16.3 | 49.3 ± 20.1 | ||
| Left paracingulate sulcus type 0 (PCS0) | 10.8 ± 4.8 | 63 (68) | 10.9 ± 4.3 | 34 (81) |
| Left paracingulate sulcus type 1 (PCS1) | 27.1 ± 4.7 | 30 (32) | 29.3 ± 6.5 | 8 (19) |
| Left paracingulate sulcus type 2 (PCS2) | N/A | 0 (0) | N/A | 0 (0) |
| Right paracingulate sulcus type 0 (PCS0) | 11.7 ± 5.2 p < 0.001 | 51 (55) | 6.2 ± 6 p < 0.001 | 32 (76) |
| Right paracingulate sulcus type 1 (PSC1) | 28.4 ± 5.2 | 41 (44) | 28.2 ± 6.3 | 8 (19) |
| Right paracingulate sulcus type 2 (PCS2) | 47.7 ± N/A | 1 (1) | 41.6 ± 2 | 2 (5) |
| Brain Structures | Patients Length (mm) | Controls Length (mm) | p-Values |
|---|---|---|---|
| Left cingulate sulcus | 112.4 ± 16.3 | 111.5 ± 18.8 | n.s. |
| Right cingulate sulcus | 114.7 ± 22.7 | 116.6 ± 24.4 | n.s. |
| Left paracingulate sulcus | 16.1 ± 9.1 | 14.4 ± 8.7 | n.s. |
| Right paracingulate sulcus | 19.4 ± 10.2 | 12.1 ± 12.4 | p < 0.001 |
| Group. | CS1 Left/Right | CS2 Left/Right | CS3 Left/Right | PCS0 Left/Right | PCS1 Left/Right | PCS2 Left/Right |
|---|---|---|---|---|---|---|
| Patients | 61/58 | 2/30 | 6/5 | 63/51 | 30/41 | N/A |
| Controls | 6/5 | 17/19 | 19/19 | 34/32 | 8/8 | N/A |
Disclaimer/Publisher’s Note: The statements, opinions and data contained in all publications are solely those of the individual author(s) and contributor(s) and not of MDPI and/or the editor(s). MDPI and/or the editor(s) disclaim responsibility for any injury to people or property resulting from any ideas, methods, instructions or products referred to in the content. |
© 2022 by the authors. Licensee MDPI, Basel, Switzerland. This article is an open access article distributed under the terms and conditions of the Creative Commons Attribution (CC BY) license (https://creativecommons.org/licenses/by/4.0/).
Share and Cite
Lahutsina, A.; Spaniel, F.; Mrzilkova, J.; Morozova, A.; Brabec, M.; Musil, V.; Zach, P. Morphology of Anterior Cingulate Cortex and Its Relation to Schizophrenia. J. Clin. Med. 2023, 12, 33. https://doi.org/10.3390/jcm12010033
Lahutsina A, Spaniel F, Mrzilkova J, Morozova A, Brabec M, Musil V, Zach P. Morphology of Anterior Cingulate Cortex and Its Relation to Schizophrenia. Journal of Clinical Medicine. 2023; 12(1):33. https://doi.org/10.3390/jcm12010033
Chicago/Turabian StyleLahutsina, Anastasiya, Filip Spaniel, Jana Mrzilkova, Alexandra Morozova, Marek Brabec, Vladimir Musil, and Petr Zach. 2023. "Morphology of Anterior Cingulate Cortex and Its Relation to Schizophrenia" Journal of Clinical Medicine 12, no. 1: 33. https://doi.org/10.3390/jcm12010033
APA StyleLahutsina, A., Spaniel, F., Mrzilkova, J., Morozova, A., Brabec, M., Musil, V., & Zach, P. (2023). Morphology of Anterior Cingulate Cortex and Its Relation to Schizophrenia. Journal of Clinical Medicine, 12(1), 33. https://doi.org/10.3390/jcm12010033

