Clinical Characteristics and Prognostic Factors of Non-Infectious Cerebral Venous Sinus Thrombosis
Abstract
1. Introduction
2. Materials and Methods
2.1. Study Design and Participants
2.2. Statistical Analysis
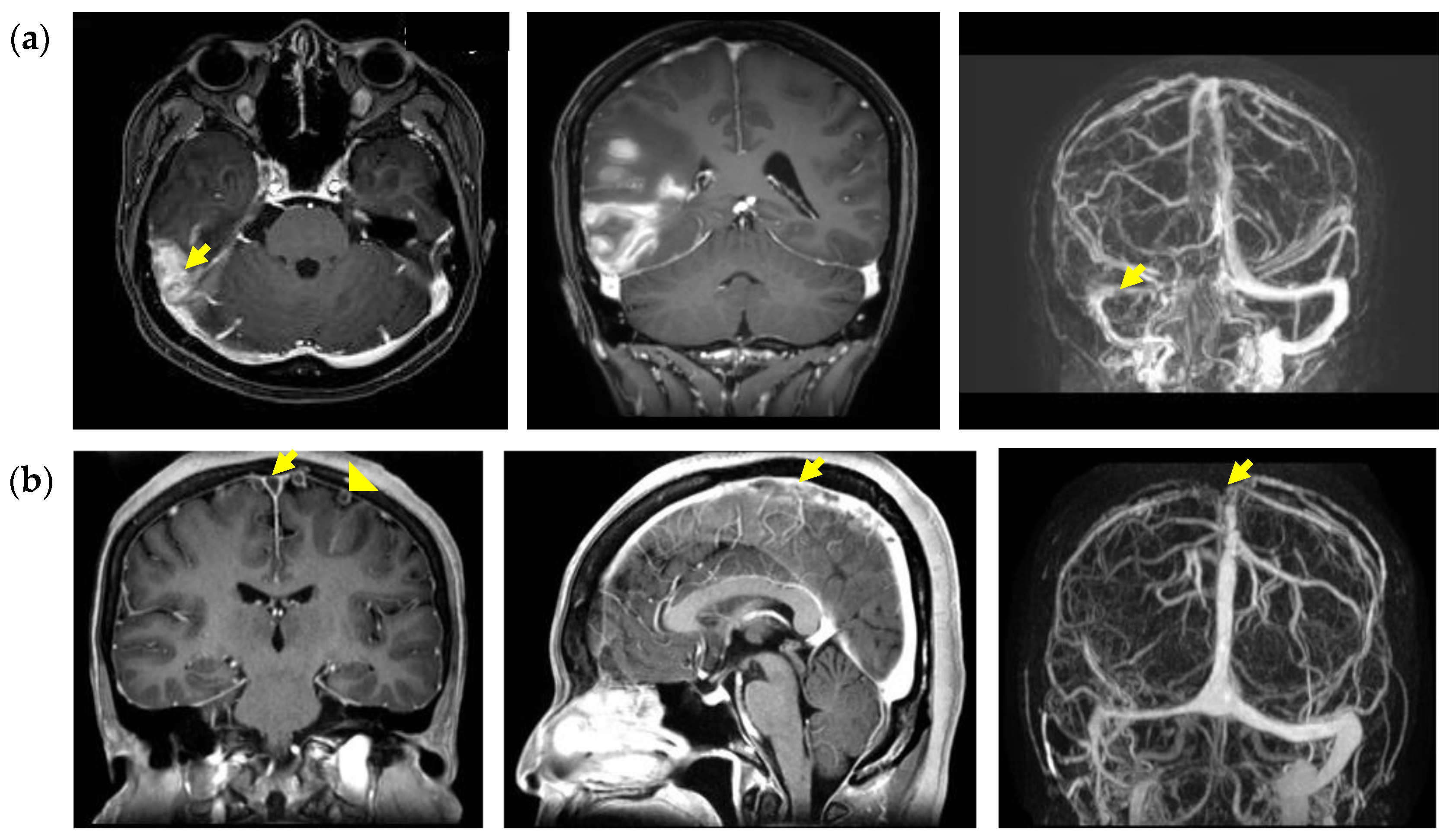
3. Results
3.1. Demographic Characteristics of Patients with Cerebral Venous Thrombosis
3.2. Clinical Presentations of Patients with Cerebral Venous Thrombosis
3.3. Identification of Factors Associated with Clinical Outcome
4. Discussion
5. Conclusions
Author Contributions
Funding
Institutional Review Board Statement
Informed Consent Statement
Data Availability Statement
Acknowledgments
Conflicts of Interest
References
- Ferro, J.M.; Aguiar de Sousa, D. Cerebral Venous Thrombosis: An Update. Curr. Neurol. Neurosci. Rep. 2019, 19, 74. [Google Scholar] [CrossRef]
- Coutinho, J.M.; Ferro, J.M.; Canhao, P.; Barinagarrementeria, F.; Cantu, C.; Bousser, M.G.; Stam, J. Cerebral venous and sinus thrombosis in women. Stroke 2009, 40, 2356–2361. [Google Scholar] [CrossRef] [PubMed]
- Ulivi, L.; Squitieri, M.; Cohen, H.; Cowley, P.; Werring, D.J. Cerebral venous thrombosis: A practical guide. Pract. Neurol. 2020, 20, 356–367. [Google Scholar] [CrossRef]
- Marjot, T.; Yadav, S.; Hasan, N.; Bentley, P.; Sharma, P. Genes associated with adult cerebral venous thrombosis. Stroke 2011, 42, 913–918. [Google Scholar] [CrossRef]
- Duman, T.; Uluduz, D.; Midi, I.; Bektas, H.; Kablan, Y.; Goksel, B.K.; Milanlioglu, A.; Necioglu Orken, D.; Aluclu, U. A Multicenter Study of 1144 Patients with Cerebral Venous Thrombosis: The VENOST Study. J. Stroke Cerebrovasc. Dis. 2017, 26, 1848–1857. [Google Scholar] [CrossRef] [PubMed]
- Giladi, O.; Steinberg, D.M.; Peleg, K.; Tanne, D.; Givon, A.; Grossman, E.; Klein, Y.; Avigdori, S.; Greenberg, G.; Katz, R.; et al. Head trauma is the major risk factor for cerebral sinus-vein thrombosis. Thromb. Res. 2016, 137, 26–29. [Google Scholar] [CrossRef]
- Idiculla, P.S.; Gurala, D.; Palanisamy, M.; Vijayakumar, R.; Dhandapani, S.; Nagarajan, E. Cerebral Venous Thrombosis: A Comprehensive Review. Eur. Neurol. 2020, 83, 369–379. [Google Scholar] [CrossRef] [PubMed]
- Lippi, G.; Favaloro, E.J. Cerebral Venous Thrombosis Developing after COVID-19 Vaccination: VITT, VATT, TTS, and More. Semin. Thromb. Hemost. 2022, 48, 8–14. [Google Scholar] [CrossRef]
- Wittstock, M.; Walter, U.; Volmer, E.; Storch, A.; Weber, M.A.; Grossmann, A. Cerebral venous sinus thrombosis after adenovirus-vectored COVID-19 vaccination: Review of the neurological-neuroradiological procedure. Neuroradiology 2022, 64(5), 865–874. [Google Scholar] [CrossRef] [PubMed]
- Leach, J.L.; Fortuna, R.B.; Jones, B.V.; Gaskill-Shipley, M.F. Imaging of cerebral venous thrombosis: Current techniques, spectrum of findings, and diagnostic pitfalls. Radiographics 2006, 26 (Suppl. 1), S19–S41; discussion S2–S3. [Google Scholar] [CrossRef]
- Ferro, J.M.; Bousser, M.G.; Canhao, P.; Coutinho, J.M.; Crassard, I.; Dentali, F.; di Minno, M.; Maino, A.; Martinelli, I.; Masuhr, F.; et al. European Stroke Organization guideline for the diagnosis and treatment of cerebral venous thrombosis-endorsed by the European Academy of Neurology. Eur. J. Neurol. 2017, 24, 1203–1213. [Google Scholar] [CrossRef]
- Saposnik, G.; Barinagarrementeria, F.; Brown, R.D., Jr.; Bushnell, C.D.; Cucchiara, B.; Cushman, M.; deVeber, G.; Ferro, J.M.; Tsai, F.Y. Diagnosis and management of cerebral venous thrombosis: A statement for healthcare professionals from the American Heart Association/American Stroke Association. Stroke 2011, 42, 1158–1192. [Google Scholar] [CrossRef] [PubMed]
- Ferro, J.M.; Canhao, P.; Stam, J.; Bousser, M.G.; Barinagarrementeria, F.; Investigators, I. Prognosis of cerebral vein and dural sinus thrombosis: Results of the International Study on Cerebral Vein and Dural Sinus Thrombosis (ISCVT). Stroke 2004, 35, 664–670. [Google Scholar] [CrossRef]
- Canhao, P.; Ferro, J.M.; Lindgren, A.G.; Bousser, M.G.; Stam, J.; Barinagarrementeria, F.; ISCVT Investigators. Causes and predictors of death in cerebral venous thrombosis. Stroke 2005, 36, 1720–1725. [Google Scholar] [CrossRef]
- Bath, P.M.; Lees, K.R.; Schellinger, P.D.; Altman, H.; Bland, M.; Hogg, C.; Howard, G.; Saver, J.L. Statistical analysis of the primary outcome in acute stroke trials. Stroke 2012, 43, 1171–1178. [Google Scholar] [CrossRef]
- Korathanakhun, P.; Petpichetchian, W.; Sathirapanya, P.; Geater, S.L. Cerebral venous thrombosis: Comparing characteristics of infective and non-infective aetiologies: A 12-year retrospective study. Postgrad. Med. J. 2015, 91, 670–674. [Google Scholar] [CrossRef] [PubMed]
- Pan, L.; Ding, J.; Ya, J.; Zhou, D.; Hu, Y.; Fan, C.; Ding, Y.; Ji, X.; Meng, R. Risk factors and predictors of outcomes in 243 Chinese patients with cerebral venous sinus thrombosis: A retrospective analysis. Clin. Neurol. Neurosurg. 2019, 183, 105384. [Google Scholar] [CrossRef]
- Silvis, S.M.; de Sousa, D.A.; Ferro, J.M.; Coutinho, J.M. Cerebral venous thrombosis. Nat. Rev. Neurol. 2017, 13, 555–565. [Google Scholar] [CrossRef] [PubMed]
- Triquenot Bagan, A.; Crassard, I.; Drouet, L.; Barbieux-Guillot, M.; Marlu, R.; Robinet-Borgomino, E.; Morange, P.E.; Wolff, V.; Grunebaum, L.; Klapczynski, F.; et al. Cerebral Venous Thrombosis: Clinical, Radiological, Biological, and Etiological Characteristics of a French Prospective Cohort (FPCCVT)-Comparison with ISCVT Cohort. Front. Neurol. 2021, 12, 753110. [Google Scholar] [CrossRef]
- Foschi, M.; Pavolucci, L.; Rondelli, F.; Amore, G.; Spinardi, L.; Rinaldi, R.; Favaretto, E.; Favero, L.; Russo, M.; Pensato, U.; et al. Clinicoradiological Profile and Functional Outcome of Acute Cerebral Venous Thrombosis: A Hospital-Based Cohort Study. Cureus 2021, 13, e17898. [Google Scholar] [CrossRef]
- Mehta, A.; Danesh, J.; Kuruvilla, D. Cerebral Venous Thrombosis Headache. Curr. Pain Headache Rep. 2019, 23, 47. [Google Scholar] [CrossRef]
- Pfefferkorn, T.; Crassard, I.; Linn, J.; Dichgans, M.; Boukobza, M.; Bousser, M.G. Clinical features, course and outcome in deep cerebral venous system thrombosis: An analysis of 32 cases. J. Neurol. 2009, 256, 1839–1845. [Google Scholar] [CrossRef]
- Kowoll, C.M.; Kaminski, J.; Weiss, V.; Bosel, J.; Dietrich, W.; Juttler, E.; Flechsenhar, J.; Guenther, A.; Huttner, H.B.; Niesen, W.D.; et al. Severe Cerebral Venous and Sinus Thrombosis: Clinical Course, Imaging Correlates, and Prognosis. Neurocrit. Care 2016, 25, 392–399. [Google Scholar] [CrossRef]
- Stein, P.D.; Hull, R.D.; Patel, K.C.; Olson, R.E.; Ghali, W.A.; Brant, R.; Biel, R.K.; Bharadia, V.; Kalra, N.K. D-dimer for the exclusion of acute venous thrombosis and pulmonary embolism: A systematic review. Ann. Intern. Med. 2004, 140, 589–602. [Google Scholar] [CrossRef]
- Scarvelis, D.; Wells, P.S. Diagnosis and treatment of deep-vein thrombosis. CMAJ 2006, 175, 1087–1092. [Google Scholar] [CrossRef]
- Di Nisio, M.; Squizzato, A.; Rutjes, A.W.; Buller, H.R.; Zwinderman, A.H.; Bossuyt, P.M. Diagnostic accuracy of D-dimer test for exclusion of venous thromboembolism: A systematic review. J. Thromb. Haemost. 2007, 5, 296–304. [Google Scholar]
- Alons, I.M.; Jellema, K.; Wermer, M.J.; Algra, A. D-dimer for the exclusion of cerebral venous thrombosis: A meta-analysis of low risk patients with isolated headache. BMC Neurol. 2015, 15, 118. [Google Scholar] [CrossRef]
- Dentali, F.; Squizzato, A.; Marchesi, C.; Bonzini, M.; Ferro, J.M.; Ageno, W. D-dimer testing in the diagnosis of cerebral vein thrombosis: A systematic review and a meta-analysis of the literature. J. Thromb. Haemost. 2012, 10, 582–589. [Google Scholar] [CrossRef]
- Olson, J.D. D-dimer: An Overview of Hemostasis and Fibrinolysis, Assays, and Clinical Applications. Adv. Clin. Chem. 2015, 69, 1–46. [Google Scholar]

| Poor Clinical Outcome (n = 103) | Favorable Clinical Outcome (n = 157) | Total (n = 260) | |
|---|---|---|---|
| Female (%) | 60 (58.3%) | 87 (55.4%) | 147 (56.5%) |
| BMI (kg/m2) | 24.23 ± 4.22 | 25.53 ± 4.85 | 25.04 ± 4.65 |
| Age (years) | 52.13 ± 19.38 | 45.39 ± 14.10 | 48.06 ± 16.69 |
| Hemoglobin (g/dL) | 12.51 ± 2.78 | 13.27 ± 2.54 | 12.96 ± 2.66 |
| Platelet Count (1000/uL) | 231.75 ± 105.23 | 248.94 ± 91.75 | 3149.06 ± 2878.81 |
| D-dimer (ng/mL FEU) | 4137.76 ± 3317.07 | 2476.74 ± 2330.87 | 242.04 ± 97.55 |
| Hospitalization days | 31.81 ± 26.29 | 13.96 ± 8.82 | 21.03 ± 19.89 |
| Hypertension | 32 (31.1%) | 30 (19.1%) | 62 (23.8%) |
| Smoking | 18 (17.5%) | 32 (20.4%) | 50 (19.2%) |
| Oral contraceptives | 8 (7.8%) | 24 (15.3%) | 32 (12.3%) |
| Diabetes mellitus | 14 (13.6%) | 11 (7.0%) | 25 (9.6%) |
| Pregnancy or postpartum | 9 (8.7%) | 13 (8.3%) | 22 (8.5%) |
| Malignancy | 6 (5.8%) | 4 (2.5%) | 10 (3.8%) |
| Hereditary coagulopathy | 3 (2.9%) | 4 (2.5%) | 7 (2.7%) |
| Previous DVT or CVT | 2 (1.9%) | 5 (3.2%) | 7 (2.7%) |
| Old ICH history | 1 (1.0%) | 2 (1.3%) | 3 (1.2%) |
| PAOD | 2 (1.9%) | 0 (0.0%) | 2 (0.8%) |
| Anemia | 1 (1.0%) | 1 (0.6%) | 2 (0.8%) |
| Hyperthyroid | 1 (1.0%) | 1 (0.6%) | 2 (0.8%) |
| Atrial fibrillation | 0 (0.0%) | 1 (0.6%) | 1 (0.4%) |
| Thalassemia | 1 (1.0%) | 0 (0.0%) | 1 (0.4%) |
| Adrenal insufficiency | 1 (1.0%) | 0 (0.0%) | 1 (0.4%) |
| Poor Clinical Outcome (n = 103) | Favorable Clinical Outcome (n = 157) | Total (n = 260) | |
| Signs and symptoms, n (%) | |||
| Headache | 27 (26.2%) | 99 (63.1%) | 126 (48.5%) |
| Limb weakness | 33 (32.0%) | 35 (22.3%) | 68 (26.2%) |
| Seizure | 27 (26.2%) | 26 (16.6%) | 53 (20.4%) |
| Consciousness disturbance | 41 (39.8%) | 12 (7.6%) | 53 (20.4%) |
| Speech disturbance | 7 (6.8%) | 6 (3.8%) | 13 (5.0%) |
| Visual disturbance | 5 (4.9%) | 12 (7.6%) | 17 (6.5%) |
| Tinnitus | 0 (0.0%) | 3 (1.9%) | 3 (1.2%) |
| Sinus thrombosis site, n (%) | |||
| Transverse-sigmoid sinus | 58 (56.3%) | 115 (73.2%) | 173 (66.5%) |
| Superior sagittal sinus | 66 (64.1%) | 89 (56.7%) | 155 (59.6%) |
| Cortical vein | 12 (11.7%) | 25 (15.9%) | 37 (14.2%) |
| Straight sinus | 16 (15.5%) | 14 (8.9%) | 30 (11.5%) |
| Others | 14 (13.9%) | 15 (9.6%) | 29 (11.2%) |
| Multiple sites | 56 (54.4%) | 85 (54.1%) | 141 (54.2%) |
| Treatment, n (%) | |||
| Anticoagulant | 83 (80.6%) | 121 (77.1%) | 204 (78.5%) |
| Antiplatelet | 5 (4.9%) | 11 (7.0%) | 16 (6.2%) |
| None | 15 (14.6%) | 25 (15.9%) | 40 (15.4%) |
| Complications, n (%) | |||
| Intracranial hemorrhage | 61 (59.2%) | 60 (38.2%) | 121 (46.5%) |
| Cerebral infarction | 32 (31.1%) | 27 (17.2%) | 59 (22.7%) |
| Arteriovenous fistula | 10 (9.7%) | 11 (7.0%) | 21 (8.1%) |
| Poor Clinical Outcome (n = 103) | Favorable Clinical Outcome (n = 157) | T Value | pValue | Adjusted p Value # | Effect Size† | |
| BMI (kg/m2) | 24.23 ± 4.22 | 25.53 ± 4.85 | 1.761 | 0.085 | 0.50 | |
| Age (years) | 52.13 ± 19.38 | 45.39 ± 14.10 | −3.241 | 0.002 * | 0.70 | |
| Hemoglobin (g/dL) | 12.51 ± 2.78 | 13.27 ± 2.54 | 2.266 | 0.024 * | 0.50 | |
| Platelet count (1000/uL) | 231.75 ± 105.23 | 248.94 ± 91.75 | 1.380 | 0.20 | 0.60 | |
| D-dimer (ng/mL FEU) | 4137.76 ± 3317.07 | 2476.74 ± 2330.87 | −3.303 | 0.003 * | 0.029 * | −0.419 |
| Hospitalization days | 31.81 ± 26.29 | 13.96 ± 8.82 | −7.863 | <0.001 * | <0.001 * | −0.997 |
| Poor Clinical Outcome (n = 103) | Favorable Clinical Outcome (n = 157) | Univariate OR (95% CI) p Value | Multivariate OR (95% CI) p Value | |
| Risk factor | ||||
| Oral contraceptives | 8 (7.8%) | 24 (15.3%) | 0.47 (0.19–1.04) 0.076 | 0.65 (0.20–1.96) 0.500 |
| Pregnancy or postpartum | 9 (8.7%) | 13 (8.3%) | 1.06 (0.42–2.56) 0.90 | |
| Hereditary coagulopathy | 3 (2.9%) | 4 (2.5%) | 1.15 (0.22–5.31) 0.90 | |
| Malignancy | 6 (5.8%) | 4 (2.5%) | 2.37 (0.66–9.45) 0.20 | |
| Previous DVT/CVT | 2 (1.9%) | 5 (3.2%) | 0.60 (0.09–2.85) 0.50 | |
| Hypertension | 32 (31.1%) | 30 (19.1%) | 1.91 (1.07–3.41) 0.028 * | 1.22 (0.45–3.24) 0.700 |
| Diabetes | 14 (13.6%) | 11 (7.0%) | 2.09 (0.91–4.90) 0.083 | 1.00 (0.27–3.68) >0.900 |
| Smoking | 18 (17.5%) | 32 (20.4%) | 0.83 (0.43–1.55) 0.60 | |
| Anticoagulant | 83 (80.6%) | 121 (77.1%) | 1.23 (0.67–2.31) 0.50 | |
| Male | 43 (41.7%) | 70 (44.6%) | 0.89 (0.54–1.47) 0.70 | |
| Symptoms and signs | ||||
| Headache | 27 (26.2%) | 99 (63.1%) | 0.21 (0.12–0.36) <0.001 *** | 0.50 (0.23–1.11) 0.088 |
| Limb numbness/weakness | 33 (32.0%) | 35 (22.3%) | 1.64 (0.94–2.88) 0.082 | 1.24 (0.53–2.91) 0.600 |
| Seizure | 27 (26.2%) | 26 (16.6%) | 1.79 (0.97–3.30) 0.061 | 0.94 (0.37–2.39) >0.900 |
| Consciousness disturbance | 41 (39.8%) | 12 (7.6%) | 7.99 (4.04–16.90) <0.001 * | 5.01 (2.07–12.80) <0.001 * |
| Speech disturbance | 7 (6.8%) | 6 (3.8%) | 1.84 (0.59–5.86) 0.30 | |
| Visual disturbance | 5 (4.9%) | 12 (7.6%) | 0.62 (0.19–1.72) 0.40 | |
| Tinnitus | 0 (0.0%) | 3 (1.9%) | - | |
| Thrombosis site | ||||
| Sagittal sinus | 66 (64.1%) | 89 (56.7%) | 1.36 (0.82–2.28) 0.20 | |
| Transverse-sigmoid sinus | 58 (56.3%) | 115 (73.2%) | 0.47 (0.28–0.80) 0.005 *** | 0.57 (0.25–1.29) 0.200 |
| Cortical vein | 12 (11.7%) | 25 (15.9%) | 0.70 (0.32–1.43) 0.30 | |
| Straight sinus | 16 (15.5%) | 14 (8.9%) | 1.88 (0.87–4.09) 0.11 | |
| Others | 14 (13.9%) | 15 (9.6%) | 1.49 (0.68–3.25) 0.30 | |
| Multiple sites | 56 (54.4%) | 85 (54.1%) | 1.01 (0.61–1.66) >0.90 | |
| Complication | ||||
| Intracranial hemorrhage | 61 (59.2%) | 60 (38.2%) | 2.35 (1.42–3.92) <0.001 * | 0.86 (0.29–2.53) 0.800 |
| Cerebral infarction | 32 (31.1%) | 27 (17.2%) | 2.17 (1.21–3.93) 0.010 * | 1.02 (0.36–2.94) >0.900 |
| Arteriovenous fistula | 10 (9.7%) | 11 (7.0%) | 1.43 (0.57–3.52) 0.40 |
Publisher’s Note: MDPI stays neutral with regard to jurisdictional claims in published maps and institutional affiliations. |
© 2022 by the authors. Licensee MDPI, Basel, Switzerland. This article is an open access article distributed under the terms and conditions of the Creative Commons Attribution (CC BY) license (https://creativecommons.org/licenses/by/4.0/).
Share and Cite
Chen, Y.-C.; Chang, C.-W.; Wu, H.-C.; Chen, C.-M.; Chang, C.-H.; Chang, K.-H. Clinical Characteristics and Prognostic Factors of Non-Infectious Cerebral Venous Sinus Thrombosis. J. Clin. Med. 2022, 11, 6096. https://doi.org/10.3390/jcm11206096
Chen Y-C, Chang C-W, Wu H-C, Chen C-M, Chang C-H, Chang K-H. Clinical Characteristics and Prognostic Factors of Non-Infectious Cerebral Venous Sinus Thrombosis. Journal of Clinical Medicine. 2022; 11(20):6096. https://doi.org/10.3390/jcm11206096
Chicago/Turabian StyleChen, Yu-Chieh, Chun-Wei Chang, Hsiu-Chuan Wu, Chiung-Mei Chen, Chien-Hung Chang, and Kuo-Hsuan Chang. 2022. "Clinical Characteristics and Prognostic Factors of Non-Infectious Cerebral Venous Sinus Thrombosis" Journal of Clinical Medicine 11, no. 20: 6096. https://doi.org/10.3390/jcm11206096
APA StyleChen, Y.-C., Chang, C.-W., Wu, H.-C., Chen, C.-M., Chang, C.-H., & Chang, K.-H. (2022). Clinical Characteristics and Prognostic Factors of Non-Infectious Cerebral Venous Sinus Thrombosis. Journal of Clinical Medicine, 11(20), 6096. https://doi.org/10.3390/jcm11206096

