Effect of Two-Port Laparoscopic Surgery on Pregnancy Outcomes of Patients with Concurrent Adnexal Masses
Abstract
:1. Introduction
2. Materials and Methods
Procedure
3. Results
3.1. Laparoscopic and Pregnancy Outcomes of the Four Cases
3.1.1. Case 1: Seromucinous Borderline Tumor (GA of 8 Weeks)
3.1.2. Case 2: Teratoma (GA of 10 Weeks)
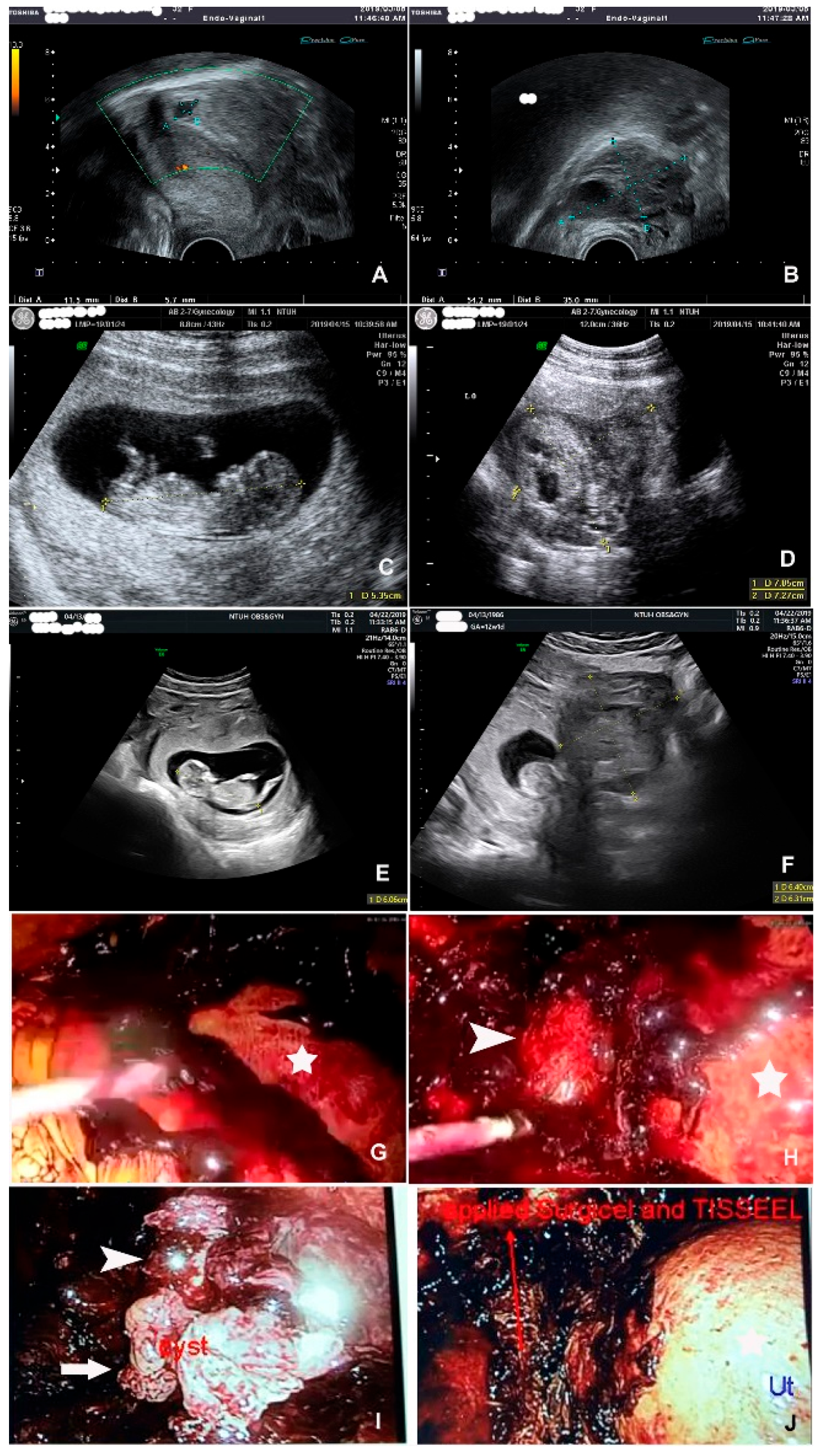
3.1.3. Case 3: Heterotopic Pregnancy (GA 12 of Weeks)
3.1.4. Case 4: Mucinous Tumor (GA of 21 Weeks)
4. Discussion
4.1. Treatment Option: Expectant Management or Surgery
4.2. Timing of Surgery: Early or Advanced Pregnancy
4.3. Type of Surgery: Laparoscopy or Laparotomy
4.4. Route of Delivery: Normal Spontaneous Delivery or Cesarean Section
5. Conclusions
Author Contributions
Funding
Institutional Review Board Statement
Informed Consent Statement
Data Availability Statement
Conflicts of Interest
References
- Hoover, K.; Jenkins, T.R. Evaluation and management of adnexal mass in pregnancy. Am. J. Obstet. Gynecol. 2011, 205, 97–102. [Google Scholar] [CrossRef] [PubMed]
- Leiserowitz, G.S.; Xing, G.; Cress, R.; Brahmbhatt, B.; Dalrymple, J.L.; Smith, L.H. Adnexal masses in pregnancy: How often are they malignant? Gynecol. Oncol. 2006, 101, 315–321. [Google Scholar] [CrossRef] [PubMed]
- Sayar, H.; Lhomme, C.; Verschraegen, C.F. Malignant Adnexal Masses in Pregnancy. Obstet. Gynecol. Clin. N. Am. 2005, 32, 569–593. [Google Scholar] [CrossRef] [PubMed]
- Sherard, G.B., 3rd; Hodson, C.A.; Williams, H.J.; Semer, D.A.; Hadi, H.A.; Tait, D.L. Adnexal masses and pregnancy: A 12-year experience. Am. J. Obstet. Gynecol. 2003, 189, 358–362. [Google Scholar] [CrossRef]
- Huang, K.J.; Li, Y.X.; Sheu, B.C.; Chang, W.C. Two-port access for laparoscopic surgery for endometrial cancer using conventional laparoscopic in-struments. Sci. Rep. 2021, 11, 615. [Google Scholar] [CrossRef] [PubMed]
- Huang, K.J.; Lin, K.T.; Wu, C.J.; Li, Y.X.; Chang, W.C.; Sheu, B.C. Single incision laparoscopic surgery using conventional laparoscopic instruments versus two-port laparoscopic surgery for adnexal lesions. Sci. Rep. 2021, 11, 4118. [Google Scholar] [CrossRef] [PubMed]
- Wu, P.-C.; Sheu, B.-C.; Huang, K.-J.; Huang, S.-C.; Chang, W.-C. Laparoendoscopic two-site myomectomy (LETS-M) using conventional laparoscopic instruments and the glove-port technique. J. Formos. Med. Assoc. 2022. [Google Scholar] [CrossRef] [PubMed]
- Douglas, E.O. Non-Obstetric Surgery During Pregnancy. In Pneumoperitoneum for Laparoscopic Surgery During Pregnancy; Nezhat, C., Kavic, M.S., Lanzafame, R.J., Lindsay, M.K., Polk, T.M., Eds.; Springer: Cham, Switzerland, 2019; pp. 85–97. [Google Scholar]
- Montes de Oca, M.K.; Dotters-Katz, S.K.; Kuller, J.A.; Previs, R.A. Adnexal Masses in Pregnancy. Obstet. Gynecol. Surv. 2021, 76, 437–450. [Google Scholar] [CrossRef]
- Schmeler, K.M.; Mayo-Smith, W.W.; Peipert, J.F.; Weitzen, S.; Manuel, M.D.; Gordinier, M.E. Adnexal Masses in Pregnancy: Surgery Compared with Observation. Obstet. Gynecol. 2005, 105, 1098–1103. [Google Scholar] [CrossRef] [PubMed]
- Whitecar, M.P.; Turner, S.; Higby, M.K. Adnexal masses in pregnancy: A review of 130 cases undergoing surgical management. Am. J. Obstet. Gynecol. 1999, 181, 19–24. [Google Scholar] [CrossRef]
- Smith-Bindman, R.; Poder, L.; Johnson, E.; Miglioretti, D.L. Risk of Malignant Ovarian Cancer Based on Ultrasonography Findings in a Large Unselected Population. JAMA Intern. Med. 2019, 179, 71–77. [Google Scholar] [CrossRef]
- Engbersen, M.P.; Van Driel, W.; Lambregts, D.; Lahaye, M. The role of CT, PET-CT, and MRI in ovarian cancer. Br. J. Radiol. 2021, 94, 20210117. [Google Scholar] [CrossRef]
- Han, S.N.; Lotgerink, A.; Gziri, M.M.; Van Calsteren, K.; Hanssens, M.; Amant, F. Physiologic variations of serum tumor markers in gynecological malignancies during pregnancy: A systematic review. BMC Med. 2012, 10, 86. [Google Scholar] [CrossRef] [PubMed]
- Aggarwal, P.; Kehoe, S. Ovarian tumours in pregnancy: A literature review. Eur. J. Obstet. Gynecol. Reprod. Biol. 2011, 155, 119–124. [Google Scholar] [CrossRef] [PubMed]
- Cavaco-Gomes, J.; Moreira, C.J.; Rocha, A.; Mota, R.; Paiva, V.; Costa, A. Investigation and Management of Adnexal Masses in Pregnancy. Scientifica 2016, 2016, 3012802. [Google Scholar] [CrossRef] [PubMed]
- Minig, L.; Otaño, L.; Cruz, P.; Patrono, M.G.; Botazzi, C.; Zapardiel, I. Laparoscopic surgery for treating adnexal masses during the first trimester of pregnancy. J. Minimal Access Surg. 2016, 12, 22–25. [Google Scholar] [CrossRef] [PubMed]
- Solomon, N.; Warshaviak, M.; Gimple, A.; Ashwal, E.; Levin, I.; Tzur, T. Obstetrical outcomes following laparoscopy during pregnancy: A retrospective case–control study. Arch. Gynecol. Obstet. 2020, 302, 1421–1427. [Google Scholar] [CrossRef] [PubMed]
- Rottenstreich, M.; Rotem, R.; Hirsch, A.; Moran, I.; Ben-Shushan, A.; Armon, S.; Grisaru-Granovsky, S.; Rottenstreich, A. Maternal and perinatal outcomes following laparoscopy for suspected adnexal torsion during pregnancy: A multicenter cohort study. Arch. Gynecol. Obstet. 2020, 302, 1413–1419. [Google Scholar] [CrossRef] [PubMed]
- Dvash, S.; Pekar, M.; Melcer, Y.; Weiner, Y.; Vaknin, Z.; Smorgick, N. Adnexal Torsion in Pregnancy Managed by Laparoscopy Is Associated with Favorable Obstetric Outcomes. J. Minim. Invasive Gynecol. 2019, 27, 1295–1299. [Google Scholar] [CrossRef] [PubMed]
- Ball, E.; Waters, N.; Cooper, N.; Talati, C.; Mallick, R.; Rabas, S.; Mukherjee, A.; Ranjan, Y.S.; Thaha, M.; Doodia, R.; et al. Evidence-Based Guideline on Laparoscopy in Pregnancy: Commissioned by the British Society for Gynaeco-logical Endoscopy (BSGE) Endorsed by the Royal College of Obstetricians & Gynaecologists (RCOG). Facts Views Vis. Obgyn. 2019, 11, 5–25. [Google Scholar] [PubMed]
- Koo, Y.; Kim, H.J.; Lim, K.; Lee, I.; Lee, K.-H.; Shim, J.; Yoon, S.-N.; Kim, J.R.; Kim, T.-J. Laparotomy versus laparoscopy for the treatment of adnexal masses during pregnancy. Aust. N. Z. J. Obstet. Gynaecol. 2011, 52, 34–38. [Google Scholar] [CrossRef] [PubMed]
- Ngu, S.-F.; Cheung, V.Y.T.; Pun, T.-C. Surgical Management of Adnexal Masses in Pregnancy. JSLS J. Soc. Laparoendosc. Surg. 2014, 18, 71–75. [Google Scholar] [CrossRef]
- Bras, R.; Braga, J.; Tomé, A.; Ferreira, H. Adnexal Torsion in the First Trimester of Pregnancy: Diagnosis, Laparoscopic Management, and Review of the Literature. Surg. Technol. Online 2017, 30, 210–214. [Google Scholar]
- Ko, M.L.; Lai, T.H.; Chen, S.C. Laparoscopic management of complicated adnexal masses in the first trimester of pregnancy. Fertil. Steril. 2009, 92, 283–287. [Google Scholar] [CrossRef] [PubMed]
- Yuen, P.M.; Ng, P.S.; Leung, P.L.; Rogers, M.S. Outcome in laparoscopic management of persistent adnexal mass during the second trimester of pregnancy. Surg. Endosc. 2004, 18, 1354–1357. [Google Scholar] [CrossRef] [PubMed]
- Ngu, S.-F.; Cheung, V.Y.T.; Pun, T.-C. Left upper quadrant approach in gynecologic laparoscopic surgery. Acta Obstet. Gynecol. Scand. 2011, 90, 1406–1409. [Google Scholar] [CrossRef] [PubMed]
- Stepp, K.J.; Tulikangas, P.K.; Goldberg, J.M.; Attaran, M.; Falcone, T. Laparoscopy for Adnexal Masses in the Second Trimester of Pregnancy. J. Am. Assoc. Gynecol. Laparosc. 2003, 10, 55–59. [Google Scholar] [CrossRef]
- Skrzypczyk-Ostaszewicz, A.; Rubach, M. Gynaecological cancers coexisting with pregnancy—A literature review. Contemp. Oncol. 2016, 3, 193–198. [Google Scholar] [CrossRef] [PubMed]
- Morice, P.; Uzan, C.; Gouy, S.; Verschraegen, C.; Haie-Meder, C. Gynaecological cancers in pregnancy. Lancet 2012, 379, 558–569. [Google Scholar] [CrossRef]
- Wang, L.; Huang, S.; Sheng, X.; Ren, C.; Wang, Q.; Yang, L.; Zhao, S.; Xu, T.; Ma, X.; Guo, R.; et al. Malignant Ovarian Tumors During Pregnancy: A Multicenter Retrospective Analysis. Cancer Manag. Res. 2020, 12, 10841–10848. [Google Scholar] [CrossRef] [PubMed]
- Schlaerth, A.C.; Chi, D.S.; Poynor, E.A.; Barakat, R.R.; Brown, C.L. Long-Term Survival After Fertility-Sparing Surgery for Epithelial Ovarian Cancer. Int. J. Gynecol. Cancer 2009, 19, 1199–1204. [Google Scholar] [CrossRef] [PubMed]
- Yin, J.; Wang, Y.; Shan, Y.; Li, Y.; Jin, Y.; Pan, L. Pregnancy and oncologic outcomes of early stage low grade epithelial ovarian cancer after fertility sparing surgery: A retrospective study in one tertiary hospital of China. J. Ovarian Res. 2019, 12, 44. [Google Scholar] [CrossRef]
- Amant, F.; Berveiller, P.; Boere, I.; Cardonick, E.; Fruscio, R.; Fumagalli, M.; Halaska, M.; Hasenburg, A.; Johansson, A.; Lambertini, M.; et al. Gynecologic cancers in pregnancy: Guidelines based on a third international consensus meeting. Ann. Oncol. 2019, 30, 1601–1612. [Google Scholar] [CrossRef] [PubMed]
- McGoldrick, E.; Stewart, F.; Parker, R.; Dalziel, S.R. Antenatal corticosteroids for accelerating fetal lung maturation for women at risk of preterm birth. Cochrane Database Syst. Rev. 2020, 2021, CD004454. [Google Scholar] [CrossRef]
- Visser, B.C.; Glasgow, R.E.; Mulvihill, K.K.; Mulvihill, S.J. Safety and Timing of Nonobstetric Abdominal Surgery in Pregnancy. Dig. Surg. 2001, 18, 409–417. [Google Scholar] [CrossRef]
- Michalczyk, K.; Cymbaluk-Płoska, A. Approaches to the Diagnosis and Management of Ovarian Cancer in Pregnancy. Cancer Manag. Res. 2021, 13, 2329–2339. [Google Scholar] [CrossRef]
- Cardonick, E.; Iacobucci, A. Use of chemotherapy during human pregnancy. Lancet Oncol. 2004, 5, 283–291. [Google Scholar] [CrossRef]
- Mantovani, G.; Mais, V.; Parodo, G.; Gramignano, G.; Carrucciu, G.M.; Melis, G.B. Use of chemotherapy for ovarian cancer during human pregnancy: Case report and literature review. Eur. J. Obstet. Gynecol. Reprod. Biol. 2007, 131, 238–239. [Google Scholar] [CrossRef]
- Grimm, D.; Woelber, L.; Trillsch, F.; Keller-V; Amsberg, G.; Mahner, S. Clinical management of epithelial ovarian cancer during pregnancy. Eur. J. Cancer 2014, 50, 963–971. [Google Scholar] [CrossRef]




| Case 1 | Case 2 | Case 3 | Case 4 | |
|---|---|---|---|---|
| Borderline tumor | Teratoma | Heterotopic pregnancy | Mucinous tumor | |
| Year | 2016 | 2015 | 2019 | 2012 |
| Age (y) | 32 | 34 | 33 | 33 |
| GP | G2P1 | G1P0 | G1P0 | G2P1 |
| GA (weeks) | 8 | 10 | 12 | 21 |
| Side | Left | Right | Left | Right |
| Size (cm) | 7 | 17.5 | 6 | 27 |
| operation | Salpingo-oophorectomy | Cystectomy | Excision | Partial oophorectomy |
| Operation time (minutes) | 58 | 90 | 52 | 68 |
| Hospital stay | 2 | 5 | 4 | 4 |
| Blood loss | 10 | 50 | 50 | 10 |
| delivery | NSD | NSD | NSD | NSD |
| DA (weeks) | 38 | 38 | 37 | 39 |
| BBW (g) | 3008 | 2232 | 2954 | 3102 |
Publisher’s Note: MDPI stays neutral with regard to jurisdictional claims in published maps and institutional affiliations. |
© 2022 by the authors. Licensee MDPI, Basel, Switzerland. This article is an open access article distributed under the terms and conditions of the Creative Commons Attribution (CC BY) license (https://creativecommons.org/licenses/by/4.0/).
Share and Cite
Li, Y.-X.; Ko, M.-E.; Hsu, C.; Huang, K.-J.; Sheu, B.-C.; Chang, W.-C. Effect of Two-Port Laparoscopic Surgery on Pregnancy Outcomes of Patients with Concurrent Adnexal Masses. J. Clin. Med. 2022, 11, 4697. https://doi.org/10.3390/jcm11164697
Li Y-X, Ko M-E, Hsu C, Huang K-J, Sheu B-C, Chang W-C. Effect of Two-Port Laparoscopic Surgery on Pregnancy Outcomes of Patients with Concurrent Adnexal Masses. Journal of Clinical Medicine. 2022; 11(16):4697. https://doi.org/10.3390/jcm11164697
Chicago/Turabian StyleLi, Ying-Xuan, Mu-En Ko, Ching Hsu, Kuan-Ju Huang, Bor-Ching Sheu, and Wen-Chun Chang. 2022. "Effect of Two-Port Laparoscopic Surgery on Pregnancy Outcomes of Patients with Concurrent Adnexal Masses" Journal of Clinical Medicine 11, no. 16: 4697. https://doi.org/10.3390/jcm11164697
APA StyleLi, Y.-X., Ko, M.-E., Hsu, C., Huang, K.-J., Sheu, B.-C., & Chang, W.-C. (2022). Effect of Two-Port Laparoscopic Surgery on Pregnancy Outcomes of Patients with Concurrent Adnexal Masses. Journal of Clinical Medicine, 11(16), 4697. https://doi.org/10.3390/jcm11164697

