Evaluation of Age and Sex-Related Metabolic Changes in Healthy Subjects: An Italian Brain 18F-FDG PET Study
Abstract
:1. Introduction
2. Materials and Methods
2.1. Study Population
2.2. 18F-FDG PET Imaging
2.3. SPM Analysis
2.4. ROI Analysis
3. Results
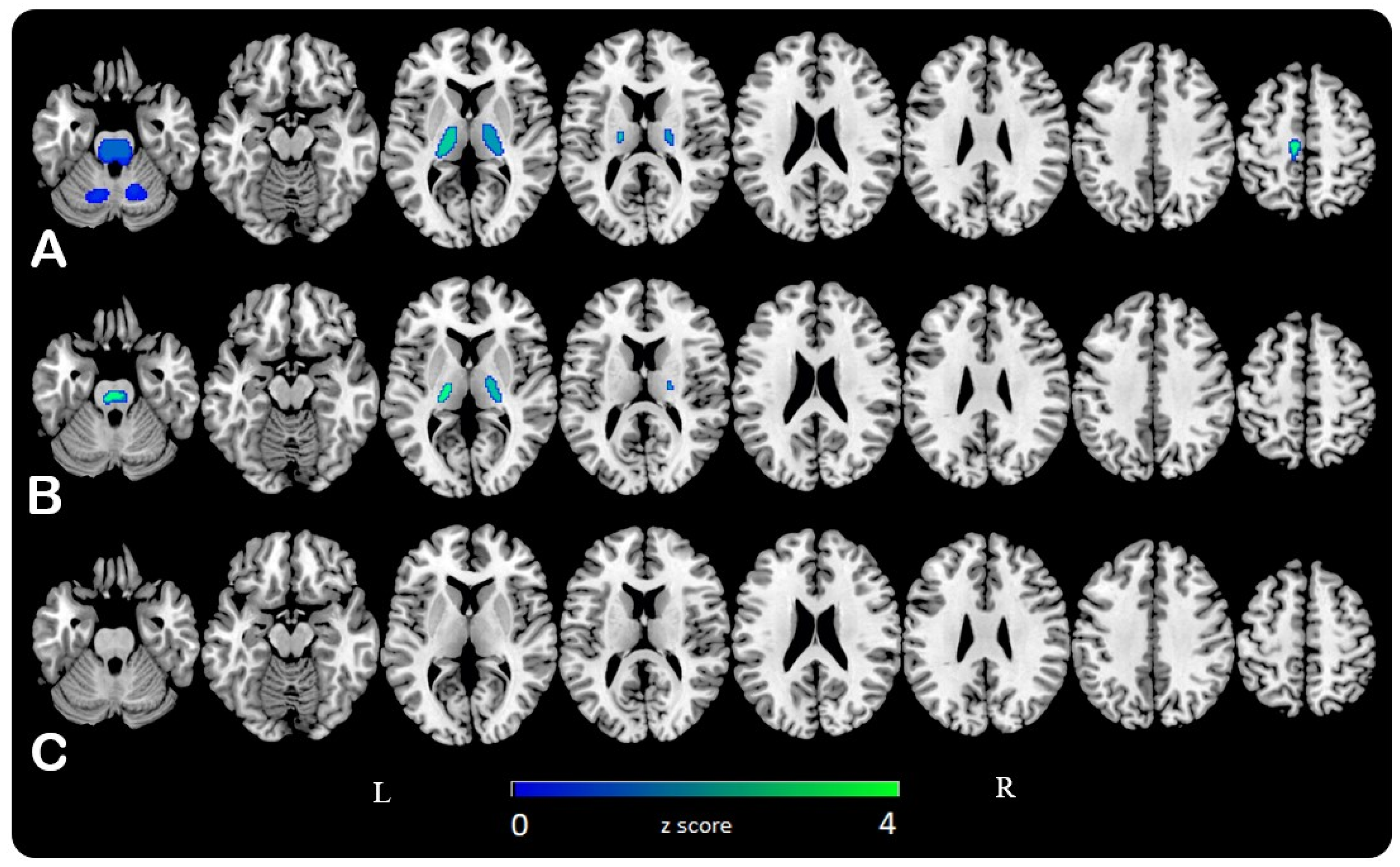
3.1. SPM Analysis
3.2. ROI Analysis
4. Discussion
5. Conclusions
Supplementary Materials
Author Contributions
Funding
Institutional Review Board Statement
Informed Consent Statement
Acknowledgments
Conflicts of Interest
References
- Sokoloff, L. Localization of Functional Activity in the Central Nervous System by Measurement of Glucose Utilization with Radioactive Deoxyglucose. J. Cereb. Blood Flow Metab. 1981, 1, 7–36. [Google Scholar] [CrossRef] [Green Version]
- Berti, V.; Mosconi, L.; Pupi, A. Brain: Normal variations and benign findings in fluorodeoxyglucose-PET/ computed tomography imaging. PET Clin. 2014, 9, 129–140. [Google Scholar] [CrossRef] [PubMed] [Green Version]
- Willis, M.W.; Ketter, A.T.; Kimbrell, A.T.; George, M.S.; Herscovitch, P.; Danielson, A.L.; Benson, B.E.; Post, R.M. Age, sex and laterality effects on cerebral glucose metabolism in healthy adults. Psychiatry Res. Neuroimaging 2002, 114, 23–37. [Google Scholar] [CrossRef]
- Fujimoto, T.; Matsumoto, T.; Fujita, S.; Takeuchi, K.; Nakamura, K.; Mitsuyama, Y.; Kato, N. Changes in glucose metabolism due to aging and gender-related differences in the healthy human brain. Psychiatry Res. Neuroimaging 2008, 164, 58–72. [Google Scholar] [CrossRef] [PubMed]
- Yoshizawa, H.; Gazes, Y.; Stern, Y.; Miyata, Y.; Uchiyama, S. Characterizing the normative profile of 18F-FDG PET brain imaging: Sex difference, aging effect, and cognitive reserve. Psychiatry Res. Neuroimaging 2014, 221, 78–85. [Google Scholar] [CrossRef]
- Shen, X.; Liu, H.; Hu, Z.; Hu, H.; Shi, P. The Relationship between Cerebral Glucose Metabolism and Age: Report of a Large Brain PET Data Set. PLoS ONE 2012, 7, e51517. [Google Scholar] [CrossRef]
- Malpetti, M.; Ballarini, T.; Presotto, L.; Garibotto, V.; Tettamanti, M.; Perani, D. Gender differences in healthy aging and Alzheimer’s Dementia: A 18 F-FDG-PET study of brain and cognitive reserve. Hum. Brain Mapp. 2017, 38, 4212–4227. [Google Scholar] [CrossRef] [PubMed] [Green Version]
- Shamchi, S.P.; Khosravi, M.; Taghvaei, R.; Zadeh, M.Z.; Paydary, K.; Emamzadehfard, S.; Werner, T.J.; Høilund-Carlsen, P.F.; Alavi, A. Normal patterns of regional brain 18F-FDG uptake in normal aging. Hell. J. Nucl. Med. 2018, 21, 175–180. [Google Scholar]
- Andersson, J.L. How to Estimate Global Activity Independent of Changes in Local Activity. NeuroImage 1997, 6, 237–244. [Google Scholar] [CrossRef]
- Sakamoto, S.; Ishii, K.; Sasaki, M.; Hosaka, K.; Mori, T.; Matsui, M.; Hirono, N.; Mori, E. Differences in cerebral metabolic impairment between early and late onset types of Alzheimer’s disease. J. Neurol. Sci. 2002, 200, 27–32. [Google Scholar] [CrossRef]
- Dukart, J.; Mueller, K.; Horstmann, A.; Vogt, B.; Frisch, S.; Barthel, H.; Becker, G.; Möller, H.E.; Villringer, A.; Sabri, O.; et al. Differential effects of global and cerebellar normalization on detection and differentiation of dementia in FDG-PET studies. NeuroImage 2010, 49, 1490–1495. [Google Scholar] [CrossRef]
- Kim, E.J.; Cho, S.S.; Jeong, Y.; Park, K.C.; Kang, S.J.; Kang, E.; Kim, S.E.; Lee, K.H.; Na, D.L. Glucose metabolism in early onset versus late onset Alzheimer’s disease: An SPM analysis of 120 patients. Brain 2005, 128, 1790–1801. [Google Scholar] [CrossRef] [PubMed] [Green Version]
- Jeong, Y.; Cho, S.S.; Park, J.M.; Kang, S.J.; Lee, J.S.; Kang, E.; Na, D.L.; Kim, S.E. 18F-FDG PET findings in Frontotemporal De-mentia: An SPM Analysis of 29 Patients. J. Nucl. Med. 2005, 46, 233–239. [Google Scholar]
- Choo, I.H.; Lee, D.Y.; Youn, J.C.; Jhoo, J.H.; Kim, K.W.; Lee, J.S.; Woo, J.I. Topographic Patterns of Brain Functional Impairment Progression According to Clinical Severity Staging in 116 Alzheimer Disease Patients: FDG-PET Study. Alzheimer Dis. Assoc. Disord. 2007, 21, 77–84. [Google Scholar] [CrossRef]
- Yakushev, I.; Landvogt, C.; Buchholz, H.-G.; Fellgiebel, A.; Hammers, A.; Scheurich, A.; Schmidtmann, I.; Gerhard, A.; Schreckenberger, M.; Bartenstein, P. Choice of reference area in studies of Alzheimer’s disease using positron emission tomography with fluorodeoxyglucose-F18. Psychiatry Res. Neuroimaging 2008, 164, 143–153. [Google Scholar] [CrossRef]
- Yakushev, I.; Hammers, A.; Fellgiebel, A.; Schmidtmann, I.; Scheurich, A.; Buchholz, H.-G.; Peters, J.; Bartenstein, P.; Lieb, K.; Schreckenberger, M. SPM-based count normalization provides excellent discrimination of mild Alzheimer’s disease and amnestic mild cognitive impairment from healthy aging. NeuroImage 2009, 44, 43–50. [Google Scholar] [CrossRef]
- Borghammer, P.; Jonsdottir, K.Y.; Cumming, P.; Ostergaard, K.; Vang, K.; Ashkanian, M.; Vafaee, M.; Iversen, P.; Gjedde, A. Normalization in PET group comparison studies—The importance of a valid reference region. NeuroImage 2008, 40, 529–540. [Google Scholar] [CrossRef]
- Borghammer, P.; Aanerud, J.; Gjedde, A. Data-driven intensity normalization of PET group comparison studies is superior to global mean normalization. NeuroImage 2009, 46, 981–988. [Google Scholar] [CrossRef] [PubMed]
- Borghammer, P.; Cumming, P.; Aanerud, J.; Gjedde, A. Artefactual subcortical hyperperfusion in PET studies normalized to global mean: Lessons from Parkinson’s disease. NeuroImage 2009, 45, 249–257. [Google Scholar] [CrossRef] [PubMed]
- Dukart, J.; Kherif, F.; Mueller, K.; Adaszewski, S.; Schroeter, M.L.; Frackowiak, R.S.J.; Draganski, B. Generative FDG-PET and MRI Model of Aging and Disease Progression in Alzheimer’s Disease. PLoS Comput. Biol. 2013, 9, e1002987. [Google Scholar] [CrossRef] [Green Version]
- López-González, F.J.; Silva-Rodríguez, J.; Paredes-Pacheco, J.; Niñerola-Baizán, A.; Efthimiou, N.; Martín-Martín, C.; Moscoso, A.; Ruibal, Á.; Roé-Vellvé, N.; Aguiar, P. Intensity normalization methods in brain FDG-PET quantification. NeuroImage 2020, 222, 117229. [Google Scholar] [CrossRef]
- Varrone, A.; Asenbaum, S.; Borght, T.V.; Booij, J.; Nobili, F.; Någren, K.; Darcourt, J.; Kapucu, Ö.L.; Tatsch, K.; Bartenstein, P.; et al. EANM procedure guidelines for PET brain imaging using [18F]FDG, version 2. Eur. J. Nucl. Med. Mol. Imaging 2009, 36, 2103–2110. [Google Scholar] [CrossRef] [PubMed]
- Pardo, J.V.; Lee, J.T.; Sheikh, S.A.; Surerus-Johnson, C.; Shah, H.; Munch, K.R.; Carlis, J.V.; Lewis, S.M.; Kuskowski, M.A.; Dysken, M.W. Where the brain grows old: Decline in anterior cingulate and medial prefrontal function with normal aging. NeuroImage 2007, 35, 1231–1237. [Google Scholar] [CrossRef] [Green Version]
- Kim, I.-J.; Kim, S.-J.; Kim, Y.-K. Age- and sex-associated changes in cerebral glucose metabolism in normal healthy subjects: Statistical parametric mapping analysis of f-18 fluorodeoxyglucose brain positron emission tomography. Acta Radiol. 2009, 50, 1169–1174. [Google Scholar] [CrossRef]
- Kalpouzos, G.; Chételat, G.; Baron, J.-C.; Landeau, B.; Mevel, K.; Godeau, C.; Barré, L.; Constans, J.-M.; Viader, F.; Eustache, F.; et al. Voxel-based mapping of brain gray matter volume and glucose metabolism profiles in normal aging. Neurobiol. Aging 2009, 30, 112–124. [Google Scholar] [CrossRef] [PubMed] [Green Version]
- Hazlett, E.A.; Byne, W.; Brickman, A.M.; Mitsis, E.M.; Newmark, R.; Haznedar, M.M.; Knatz, D.T.; Chen, A.D.; Buchsbaum, M.S. Effects of sex and normal aging on regional brain activation during verbal memory performance. Neurobiol. Aging 2010, 31, 826–838. [Google Scholar] [CrossRef] [Green Version]
- Hsieh, T.-C.; Lin, W.-Y.; Ding, H.-J.; Sun, S.-S.; Wu, Y.-C.; Yen, K.-Y.; Kao, C.-H. Sex- and Age-Related Differences in Brain FDG Metabolism of Healthy Adults: An SPM Analysis. J. Neuroimaging 2012, 22, 21–27. [Google Scholar] [CrossRef]
- Nugent, S.; Castellano, C.-A.; Goffaux, P.; Whittingstall, K.; Lepage, M.; Paquet, N.; Bocti, C.; Fulop, T.; Cunnane, S.C. Glucose hypometabolism is highly localized, but lower cortical thickness and brain atrophy are widespread in cognitively normal older adults. Am. J. Physiol. Endocrinol. Metab. 2014, 306, E1315–E1321. [Google Scholar] [CrossRef] [PubMed] [Green Version]
- Kakimoto, A.; Ito, S.; Okada, H.; Nishizawa, S.; Minoshima, S.; Ouchi, Y. Age-Related Sex-Specific Changes in Brain Metabolism and Morphology. J. Nucl. Med. 2016, 57, 221–225. [Google Scholar] [CrossRef] [Green Version]
- Bonte, S.; Vandemaele, P.; Verleden, S.; Audenaert, K.; Deblaere, K.; Goethals, I.; Van Holen, R. Healthy brain ageing assessed with 18F-FDG PET and age-dependent recovery factors after partial volume effect correction. Eur. J. Nucl. Med. Mol. Imaging 2016, 44, 838–849. [Google Scholar] [CrossRef]
- Moeller, J.R.; Ishikawa, T.; Dhawan, V.; Spetsieris, P.; Mandel, F.; Alexander, G.E.; Grady, C.; Pietrini, P.; Eidelberg, D. The Metabolic Topography of Normal Aging. J. Cereb. Blood Flow Metab. 1996, 16, 385–398. [Google Scholar] [CrossRef] [Green Version]
- Bentourkia, M.; Bol, A.; Ivanoiu, A.; Labar, D.; Sibomana, M.; Coppens, A.; Michel, C.; Cosnard, G.; De Volder, A.G. Comparison of regional cerebral blood flow and glucose metabolism in the normal brain: Effect of aging. J. Neurol. Sci. 2000, 181, 19–28. [Google Scholar] [CrossRef]
- Herholz, K.; Salmon, E.; Perani, D.; Baron, J.-C.; Holthoff, V.; Frölich, L.; Schönknecht, P.; Ito, K.; Mielke, R.; Kalbe, E.; et al. Discrimination between Alzheimer Dementia and Controls by Automated Analysis of Multicenter FDG PET. NeuroImage 2002, 17, 302–316. [Google Scholar] [CrossRef] [PubMed] [Green Version]
- Salthouse, T.A. Decomposing age correlations on neuropsychological and cognitive variables. J. Int. Neuropsychol. Soc. 2009, 15, 650–661. [Google Scholar] [CrossRef] [PubMed] [Green Version]
- Schacter, D.L.; Savage, C.R.; Alpert, N.M.; Rauch, S.L.; Albert, M.S. The role of hippocampus and frontal cortex in age- related memory changes. NeuroReport 1996, 7, 1165–1169. [Google Scholar] [CrossRef]
- Tisserand, D.J.; Jolles, J. On the Involvement of Prefrontal Networks in Cognitive Ageing. Cortex 2003, 39, 1107–1128. [Google Scholar] [CrossRef]
- Zuendorf, G.; Kerrouche, N.; Herholz, K.; Baron, J.-C. Efficient principal component analysis for multivariate 3D voxel-based mapping of brain functional imaging data sets as applied to FDG-PET and normal aging. Hum. Brain Mapp. 2003, 18, 13–21. [Google Scholar] [CrossRef]
- Volkow, N.D.; Wang, G.J.; Fowler, J.S.; Ding, Y.S.; Gur, R.C.; Gatley, J.; Logan, J.; Moberg, P.J.; Hitzemann, R.; Smith, G.; et al. Parallel loss of presynaptic and postsynaptic dopamine markers in normal aging. Ann. Neurol. 1998, 44, 143–147. [Google Scholar] [CrossRef]
- Mozley, L.H.; Gur, R.C.; Mozley, P.D.; Gur, R.E. Striatal Dopamine Transporters and Cognitive Functioning in Healthy Men and Women. Am. J. Psychiatry 2001, 158, 1492–1499. [Google Scholar] [CrossRef]
- Kaasinen, V.; Joutsa, J.; Noponen, T.; Johansson, J.; Seppänen, M. Effects of aging and gender on striatal and extrastriatal [ 123 I]FP-CIT binding in Parkinson’s disease. Neurobiol. Aging 2015, 36, 1757–1763. [Google Scholar] [CrossRef] [PubMed]
- Matsuda, H.; Murata, M.; Mukai, Y.; Sako, K.; Ono, H.; Toyama, H.; Inui, Y.; Taki, Y.; Shimomura, H.; Nagayama, H.; et al. Japanese multicenter database of healthy controls for [123I]FP-CIT SPECT. Eur. J. Nucl. Med. Mol. Imaging 2018, 45, 1405–1416. [Google Scholar] [CrossRef] [PubMed] [Green Version]
- Fjell, A.M.; McEvoy, L.; Holland, D.; Dale, A.M.; Walhovd, K.B. What is normal in normal aging? Effects of aging, amyloid and Alzheimer’s disease on the cerebral cortex and the hippocampus. Prog. Neurobiol. 2014, 117, 20–40. [Google Scholar] [CrossRef] [PubMed] [Green Version]
- Ge, Y.; Grossman, R.I.; Babb, J.S.; Rabin, M.L.; Mannon, L.J.; Kolson, D.L. Age-related total gray matter and white matter changes in normal adult brain. Part I: Volumetric MR imaging analysis. Am. J. Neuroradiol. 2002, 23, 1327–1333. [Google Scholar] [PubMed]
- Grieve, S.M.; Clark, C.R.; Williams, L.M.; Peduto, A.J.; Gordon, E. Preservation of limbic and paralimbic structures in aging. Hum. Brain Mapp. 2005, 25, 391–401. [Google Scholar] [CrossRef]
- Kochunov, P.; Mangin, J.-F.; Coyle, T.; Lancaster, J.; Thompson, P.; Rivière, D.; Cointepas, Y.; Régis, J.; Schlosser, A.; Royall, D.R.; et al. Age-related morphology trends of cortical sulci. Hum. Brain Mapp. 2005, 26, 210–220. [Google Scholar] [CrossRef] [PubMed]
- Raz, N.; Gunning-Dixon, F.; Head, D.; Rodrigue, K.; Williamson, A.; Acker, J.D. Aging, sexual dimorphism, and hemispheric asymmetry of the cerebral cortex: Replicability of regional differences in volume. Neurobiol. Aging 2004, 25, 377–396. [Google Scholar] [CrossRef]
- Brinton, R.D.; Yao, J.; Yin, F.; Mack, W.J.; Cadenas, E. Perimenopause as a neurological transition state. Nat. Rev. Endocrinol. 2015, 11, 393–405. [Google Scholar] [CrossRef]
- Mosconi, L.; Berti, V.; Quinn, C.; McHugh, P.; Petrongolo, G.; Varsavsky, I.; Osorio, R.S.; Pupi, A.; Vallabhajosula, S.; Isaacson, R.S.; et al. Sex differences in Alzheimer risk: Brain imaging of endocrine vs chronologic aging. Neurology 2017, 89, 1382–1390. [Google Scholar] [CrossRef]
- Mosconi, L.; Berti, V.; Guyara-Quinn, C.; McHugh, P.; Petrongolo, G.; Osorio, R.; Connaughty, C.; Pupi, A.; Vallabhajosula, S.; Isaacson, R.S.; et al. Perimenopause and emergence of an Alzheimer’s bioenergetic phenotype in brain and periphery. PLoS ONE 2017, 12, e0185926. [Google Scholar] [CrossRef] [Green Version]
- Rasgon, N.L.; Small, G.W.; Siddarth, P.; Miller, K.; Ercoli, L.M.; Bookheimer, S.; Lavretsky, H.; Huang, S.; Barrio, J.R.; Phelps, M.E. Estrogen use and brain metabolic change in older adults. A preliminary report. Psychiatry Res. Neuroimaging 2001, 107, 11–18. [Google Scholar] [CrossRef]
- Rasgon, N.L.; Silverman, D.; Siddarth, P.; Miller, K.; Ercoli, L.M.; Elman, S.; Lavretsky, H.; Huang, S.-C.; Phelps, M.E.; Small, G.W. Estrogen use and brain metabolic change in postmenopausal women. Neurobiol. Aging 2005, 26, 229–235. [Google Scholar] [CrossRef] [PubMed]
- Mosconi, L. Brain glucose metabolism in the early and specific diagnosis of Alzheimer’s disease. Eur. J. Nucl. Med. Mol. Imaging 2005, 32, 486–510. [Google Scholar] [CrossRef]
- Zhang, H.; Wang, Y.; Lyu, D.; Li, Y.; Li, W.; Wang, Q.; Qin, Q.; Wang, X.; Gong, M.; Jiao, H.; et al. Cerebral blood flow in mild cognitive impairment and Alzheimer’s disease: A systematic review and meta-analysis. Ageing Res. Rev. 2021, 71, 101450. [Google Scholar] [CrossRef] [PubMed]
- Mosconi, L.; Rahman, A.; Diaz, I.; Wu, X.; Scheyer, O.; Hristov, H.W.; Vallabhajosula, S.; Isaacson, R.S.; De Leon, M.J.; Brinton, R.D. Increased Alzheimer’s risk during the menopause transition: A 3-year longitudinal brain imaging study. PLoS ONE 2018, 13, e0207885. [Google Scholar] [CrossRef]
- Curiati, P.; Tamashiro-Duran, J.; Duran, F.; Buchpiguel, C.; Squarzoni, P.; Romano, D.; Vallada, H.; Menezes, P.; Scazufca, M.; Busatto, G.; et al. Age-Related Metabolic Profiles in Cognitively Healthy Elders: Results from a Voxel-Based [18F]Fluorodeoxyglucose–Positron-Emission Tomography Study with Partial Volume Effects Correction. Am. J. Neuroradiol. 2011, 32, 560–565. [Google Scholar] [CrossRef] [Green Version]
- Ibáñez, V.; Pietrini, P.; Furey, M.L.; Alexander, E.G.; Millet, P.; Bokde, A.L.; Teichberg, D.; Schapiro, M.B.; Horwitz, B.; Rapoport, S.I. Resting state brain glucose metabolism is not reduced in normotensive healthy men during aging, after correction for brain atrophy. Brain Res. Bull. 2004, 63, 147–154. [Google Scholar] [CrossRef] [PubMed]
- Yanase, D.; Matsunari, I.; Yajima, K.; Chen, W.; Fujikawa, A.; Nishimura, S.; Matsuda, H.; Yamada, M. Brain FDG PET study of normal aging in Japanese: Effect of atrophy correction. Eur. J. Nucl. Med. Mol. Imaging 2005, 32, 794–805. [Google Scholar] [CrossRef] [Green Version]
- Mosconi, L.; Sorbi, S.; De Leon, M.J.; Li, Y.; Nacmias, B.; Myoung, P.S.; Tsui, W.; Ginestroni, A.; Bessi, V.; Fayyazz, M.; et al. Hypometabolism exceeds atrophy in presymptomatic early-onset familial Alzheimer’s disease. J. Nucl. Med. 2006, 47, 1778–1786. [Google Scholar]




| 151 Subjects | 84 F | 67 M | TWO SAMPLE T TEST M-F | |
|---|---|---|---|---|
| AGE (mean ± sd) YEARS | 60.78 ± 14.42 | 60.42 ± 15.21 [80.9% ≥ 50 y.o.] | 61.24 ± 13.45 [80.6% ≥ 50 y.o.] | p = 0.917 |
| MMSE score (mean ± sd) | 29.23 ± 0.94 | 29.21 ± 1.01 | 29.29 ± 0.81 | p = 0.720 |
| (a) | |||||
| Anatomical ROI Male | r | Anatomical ROI Male | r | Anatomical ROI Male | r |
| insula R | −0.648 | FRmed-orb R | −0.524 | supMotor area L | −0.457 |
| hipocamp L | −0.617 | olfactory L | −0.52 | Frsup-medial R | −0.451 |
| cing-ant L | −0.611 | paraHipp R | −0.52 | temp-pole sup R | −0.448 |
| insula L | −0.601 | temp-pole sup L | −0.517 | precentral L | −0.446 |
| paraHipp L | −0.593 | Frinf-oper L | −0.51 | temporal-mid L | −0.445 |
| rectus L | −0.588 | heschl R | −0.494 | heschl L | −0.441 |
| hippocamp R | −0.577 | Rolandic-oper L | −0.494 | Frinf-orb L | −0.432 |
| cing-ant R | −0.566 | Frinf-oper R | −0.488 | temporal sup L | −0.432 |
| olfactory R | −0.546 | cing-mid L | −0.484 | amigdala R | −0.427 |
| amigdala L | −0.545 | parietal-inf R | −0.481 | cing-mid R | −0.427 |
| Frsup-medial L | −0.545 | Frsup R | −0.478 | Rolandi R | −0.424 |
| Frmed-orb L | −0.542 | Frinf-orb R | −0.477 | Frsup-orb R | −0.419 |
| Rolandi L | −0.532 | Frsup-orb L | −0.465 | temporal sup R | −0.419 |
| rectus R | −0.531 | Frsup L | −0.458 | temporal-inf L | −0.414 |
| parietal-inf L | −0.528 | Rolandic-oper R | −0.458 | ||
| (b) | |||||
| Anatomical ROI Female | r | Anatomical ROI Female | r | Anatomical ROI Female | r |
| caudato L | −0.61 | FRinf-oper R | −0.484 | rectus R | −0.402 |
| insula L | −0.567 | FRinf-oper L | −0.481 | cing-mid L | −0.395 |
| insula R | −0.559 | cing-ant R | −0.446 | temp-pole sup L | −0.395 |
| olfactory L | −0.551 | FRsup-medial L | −0.446 | talamo L | −0.394 |
| paraHipp L | −0.539 | cing-mid R | −0.431 | parietal-inf L | −0.393 |
| lingual R | −0.528 | paraHipp R | −0.429 | amigdala L | −0.387 |
| cing-ant L | −0.517 | cing-post R | −0.417 | FRinf-tri L | −0.387 |
| caudato R | −0.515 | rectus L | −0.414 | FRmed-orb R | −0.386 |
| heschl L | −0.507 | cing-post L | −0.413 | parietal-inf R | −0.377 |
| olfactory R | −0.493 | FRmed-orb L | −0.41 | ||
| heschl R | −0.486 | lingual L | −0.41 | ||
Publisher’s Note: MDPI stays neutral with regard to jurisdictional claims in published maps and institutional affiliations. |
© 2021 by the authors. Licensee MDPI, Basel, Switzerland. This article is an open access article distributed under the terms and conditions of the Creative Commons Attribution (CC BY) license (https://creativecommons.org/licenses/by/4.0/).
Share and Cite
Allocca, M.; Linguanti, F.; Calcagni, M.L.; Cistaro, A.; Gaudieri, V.; Guerra, U.P.; Morbelli, S.; Nobili, F.; Pappatà, S.; Sestini, S.; et al. Evaluation of Age and Sex-Related Metabolic Changes in Healthy Subjects: An Italian Brain 18F-FDG PET Study. J. Clin. Med. 2021, 10, 4932. https://doi.org/10.3390/jcm10214932
Allocca M, Linguanti F, Calcagni ML, Cistaro A, Gaudieri V, Guerra UP, Morbelli S, Nobili F, Pappatà S, Sestini S, et al. Evaluation of Age and Sex-Related Metabolic Changes in Healthy Subjects: An Italian Brain 18F-FDG PET Study. Journal of Clinical Medicine. 2021; 10(21):4932. https://doi.org/10.3390/jcm10214932
Chicago/Turabian StyleAllocca, Michela, Flavia Linguanti, Maria Lucia Calcagni, Angelina Cistaro, Valeria Gaudieri, Ugo Paolo Guerra, Silvia Morbelli, Flavio Nobili, Sabina Pappatà, Stelvio Sestini, and et al. 2021. "Evaluation of Age and Sex-Related Metabolic Changes in Healthy Subjects: An Italian Brain 18F-FDG PET Study" Journal of Clinical Medicine 10, no. 21: 4932. https://doi.org/10.3390/jcm10214932
APA StyleAllocca, M., Linguanti, F., Calcagni, M. L., Cistaro, A., Gaudieri, V., Guerra, U. P., Morbelli, S., Nobili, F., Pappatà, S., Sestini, S., Volterrani, D., Berti, V., & for the Neurology Study Group of the Italian Association of Nuclear Medicine. (2021). Evaluation of Age and Sex-Related Metabolic Changes in Healthy Subjects: An Italian Brain 18F-FDG PET Study. Journal of Clinical Medicine, 10(21), 4932. https://doi.org/10.3390/jcm10214932

