Sign in to use this feature.

Years

Between: -

Subjects

remove_circle_outline
remove_circle_outline
remove_circle_outline
remove_circle_outline
remove_circle_outline
remove_circle_outline
remove_circle_outline
remove_circle_outline
remove_circle_outline

Journals

remove_circle_outline
remove_circle_outline
remove_circle_outline
remove_circle_outline
remove_circle_outline
remove_circle_outline
remove_circle_outline
remove_circle_outline
remove_circle_outline

Article Types

Countries / Regions

remove_circle_outline
remove_circle_outline
remove_circle_outline
remove_circle_outline
remove_circle_outline

Search Results (710)

Search Parameters:
Keywords = fluorodeoxyglucose

Order results
Result details
Results per page
Select all
Export citation of selected articles as:
9 pages, 1780 KB  
Case Report
Not All PET-Avid Endobronchial Lesions Are Malignant: A Case of Chronic Foreign Body Aspiration
by Yordanka Diaz-Saez, Anandu Mathews Anto, Ruchita Kodakandla, Sanjana Voonna and Misbahuddin Khaja
Reports 2026, 9(2), 132; https://doi.org/10.3390/reports9020132 (registering DOI) - 26 Apr 2026
Abstract
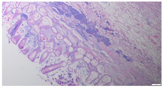
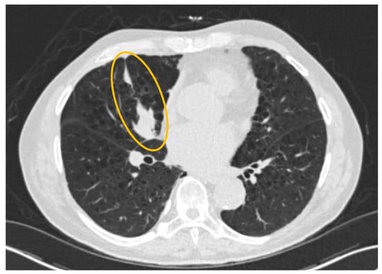
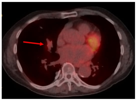
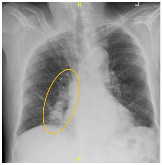
Background: Low-dose CT scanning is a key tool in lung cancer screening, enabling the detection of clinically significant abnormalities in asymptomatic individuals and often prompting further diagnostic evaluation. Case Presentation: We describe the case of an 80-year-old man with a heavy smoking history [...] Read more.
Background: Low-dose CT scanning is a key tool in lung cancer screening, enabling the detection of clinically significant abnormalities in asymptomatic individuals and often prompting further diagnostic evaluation. Case Presentation: We describe the case of an 80-year-old man with a heavy smoking history who was found to have a new right middle lobe collapse on screening CT. Subsequent positron emission tomography-computed tomography (PET/CT) imaging demonstrated mild fluorodeoxyglucose (FDG) uptake (SUVmax 2.7), raising concern for a low-grade endobronchial malignancy versus mucoid impaction. Flexible fiberoptic bronchoscopy revealed a large exophytic endobronchial mass occluding the airway. Histopathologic examination of the biopsy sample unexpectedly revealed vegetable material, consistent with chronic foreign-body aspiration. Discussion: Unrecognized aspiration events are relatively common in elderly adults and can mimic malignancy on imaging. This case highlights an important diagnostic pitfall: inflammatory endobronchial processes, including foreign-body granulomas, can demonstrate FDG uptake and mimic malignancy. Conclusion: Clinicians should maintain a broad differential diagnosis when evaluating PET-avid endobronchial lesions, especially in elderly patients. Full article
Show Figures

Figure 1

26 pages, 802 KB  
Review
FDG-PET in the Evaluation of Primary Progressive Aphasia: A Narrative Review
by Alexandros Giannakis, Emmanouil Anyfantis, Eleni Litsou, Chrissa Sioka and Spyridon Konitsiotis
Medicina 2026, 62(5), 800; https://doi.org/10.3390/medicina62050800 - 22 Apr 2026
Viewed by 230
Abstract
Background and Objectives: Primary progressive aphasia (PPA) and its variants—logopenic (lvPPA), semantic (svPPA), and nonfluent/agrammatic (nfvPPA)—are progressive neurocognitive syndromes characterized by predominant language impairment and associated with heterogeneous underlying neuropathologies. Accurate diagnosis remains challenging due to overlapping clinical features and complex pathobiological [...] Read more.
Background and Objectives: Primary progressive aphasia (PPA) and its variants—logopenic (lvPPA), semantic (svPPA), and nonfluent/agrammatic (nfvPPA)—are progressive neurocognitive syndromes characterized by predominant language impairment and associated with heterogeneous underlying neuropathologies. Accurate diagnosis remains challenging due to overlapping clinical features and complex pathobiological mechanisms. Fluorodeoxyglucose positron emission tomography (FDG-PET), which reflects regional cerebral glucose metabolism, may provide valuable insights into both the diagnosis and pathophysiological characterization of PPA. Materials and Methods: We reviewed the current literature and identified 48 original research articles that utilized FDG-PET in the evaluation of at least one PPA variant. Eight studies focused exclusively on lvPPA, six on svPPA, and two on nfvPPA, either alone or in comparison with other neurodegenerative diseases. Eighteen studies evaluated at least two PPA variants, while thirteen compared multiple PPA variants with other neurodegenerative disorders. Results: Most studies identified characteristic hypometabolic patterns for each PPA variant: left temporoparietal regions in lvPPA, bilateral anterior temporal regions with left predominance in svPPA, and left posterior frontal regions in nfvPPA. These variant-specific metabolic signatures may support differential diagnosis. Additionally, FDG-PET provided important insights into disease progression, including associations with worsening language impairment, evolution toward broader neurodegenerative syndromes, and correlations with specific neurocognitive deficits. These findings are largely consistent with other neuroimaging modalities and disease-specific biomarkers. However, limitations such as small sample sizes and the lack of autopsy confirmation in most studies limit the robustness of the results. Conclusions: FDG-PET appears to be a valuable tool for the diagnosis, differential diagnosis, and pathophysiological understanding of PPA. Nevertheless, large-scale, multicenter investigations incorporating pathologically confirmed cases to further validate its clinical utility are needed. Full article
(This article belongs to the Section Neurology)
Show Figures

Figure 1

16 pages, 1861 KB  
Article
Preventive Effect of Butyrate in Colon Cancer Cell Metabolism
by Telmo José Gonçalves, Ana Margarida Abrantes, Ana Salomé Pires, Ana Cristina Gonçalves, Ludgero Canário Tavares, João Casalta-Lopes, Ana Bela Sarmento-Ribeiro, Rui A. Carvalho and Maria Filomena Botelho
Int. J. Mol. Sci. 2026, 27(8), 3696; https://doi.org/10.3390/ijms27083696 - 21 Apr 2026
Viewed by 161
Abstract
Butyrate, a short-chain fatty acid produced by the fermentation of soluble dietary fiber by gut bacteria, also functions as a histone deacetylase inhibitor known to induce apoptosis and promote differentiation in colon tumor cells. During tumorigenesis, cancer cells undergo metabolic reprogramming to meet [...] Read more.
Butyrate, a short-chain fatty acid produced by the fermentation of soluble dietary fiber by gut bacteria, also functions as a histone deacetylase inhibitor known to induce apoptosis and promote differentiation in colon tumor cells. During tumorigenesis, cancer cells undergo metabolic reprogramming to meet energetic and biosynthetic demands, increasing glycolytic metabolism and reducing oxidative metabolism—a phenomenon known as the Warburg effect. This study aimed to evaluate the impact of butyrate on the aggressiveness-related metabolic phenotype of three colon cancer cell lines (LS1034, C2BBe1, and WiDr). Butyrate’s effects were assessed through fluorine-18 fluorodeoxyglucose ([18F]FDG) uptake, flow cytometry analysis of cytoplasmic and membrane expression of glucose transporters (GLUT1, GLUT3, GLUT5, and GLUT12), lactate production, and analysis of Krebs cycle turnover and glycolysis–Krebs cycle coupling using nuclear magnetic resonance isotopomer profiling. [18F]FDG uptake decreased in C2BBe1 and WiDr cells, whereas an opposite response was observed in LS1034 cells, which also exhibited reduced GLUT5 expression. These uptake patterns were consistent with lactate production measurements, and an enhancement of oxidative metabolism was detected in C2BBe1 and WiDr cells. Although butyrate was consumed by all three cell lines, its metabolic handling appeared to differ in LS1034 cells, possibly reflecting cytotoxic stress and/or distinct metabolic regulation mechanisms. Overall, these findings indicate that butyrate exerts cell-line-dependent metabolic effects in colorectal cancer cells. In C2BBe1 and WiDr cells, butyrate exposure was broadly consistent with the attenuation of glycolytic/Warburg-associated features, whereas LS1034 cells displayed a divergent response and were interpreted separately. These data support further investigation of butyrate as a modulator of colorectal cancer cell metabolism, while highlighting the heterogeneity of metabolic responses across tumor models. Full article
Show Figures

Figure 1

15 pages, 4408 KB  
Article
Immunohistochemical Expression of Integrin αvβ6 in Surgically Resected Pulmonary Inflammatory Lesions Mimicking Malignancy on 18F-FDG PET/CT: Implications for the Specificity of 68Ga-Trivehexin PET/CT
by Muin Tuffaha, Amro Tuffaha, Wael Hananeh, Mohammad Khalifeh, Jenny Sonke and Michael Starke
Biomolecules 2026, 16(4), 602; https://doi.org/10.3390/biom16040602 - 18 Apr 2026
Viewed by 226
Abstract
18F-fluorodeoxyglucose (FDG) PET/CT is widely used for the evaluation of pulmonary lesions but lacks specificity, as increased FDG uptake is frequently observed in inflammatory and reparative processes. This limitation may lead to false-positive interpretations and unnecessary surgical resections. This study aimed to [...] Read more.
18F-fluorodeoxyglucose (FDG) PET/CT is widely used for the evaluation of pulmonary lesions but lacks specificity, as increased FDG uptake is frequently observed in inflammatory and reparative processes. This limitation may lead to false-positive interpretations and unnecessary surgical resections. This study aimed to evaluate the immunohistochemical expression of integrin αvβ6 in 18 surgically resected pulmonary lesions that were falsely classified as malignant on FDG PET/CT, in order to find out if 68Ga-Trivehexin PET/CT could have superior preoperative diagnostic specificity. Histopathological examination classified all lesions as non-neoplastic inflammatory processes of varying etiologies. Integrin αvβ6 expression was detected in all immunohistochemically examined tissue specimens (18/18 cases (100%)), with moderate membranous overexpression in 2/18 cases (11.11%) and strong membranous overexpression in 16/18 cases (88.89%) observed in the alveolar and bronchial epithelium of inflammatory lung lesions. Our findings indicate that integrin αvβ6 is upregulated not only in neoplastic lung tissue but also in inflammatory lesions, suggesting that integrin αvβ6 may have limited specificity for distinguishing primary neoplastic from inflammatory pulmonary lesions when used alone. Its interpretation requires integration with other clinical imaging modalities and histopathological data. Full article
(This article belongs to the Section Molecular Medicine)
Show Figures

Figure 1

7 pages, 526 KB  
Case Report
Progressive Multifocal Leukoencephalopathy in AIDS: The Diagnostic Role of PET Imaging
by Virginia Donini, Riccardo Paggi, Alberto Farese, Costanza Malcontenti, Enrico Tagliaferri, Claudio Caroselli, Spartaco Sani, Maria Matteini, Alessandro Bartoloni and Lorenzo Zammarchi
Infect. Dis. Rep. 2026, 18(2), 33; https://doi.org/10.3390/idr18020033 - 8 Apr 2026
Viewed by 210
Abstract
Introduction: The majority of progressive multifocal leukoencephalopathy (PML) cases is still represented by patients affected by acquired immunodeficiency syndrome (AIDS). Diagnosis of PML relies on histopathological findings or by the combination of clinical signs, radiological evidence, and molecular positivity of the JC virus [...] Read more.
Introduction: The majority of progressive multifocal leukoencephalopathy (PML) cases is still represented by patients affected by acquired immunodeficiency syndrome (AIDS). Diagnosis of PML relies on histopathological findings or by the combination of clinical signs, radiological evidence, and molecular positivity of the JC virus in cerebrospinal fluid. However, AIDS status predisposes to various diseases involving the brain, testing the diagnostic ability of the clinician. Case description: We describe a PML case in a patient with AIDS, in whom lumbar puncture was initially impossible for severe thrombocytopenia and magnetic resonance showed an hyperintense lesion and was unable to distinguish between PML and lymphoma. In this case, [18F]-fluorodeoxyglucose (FDG)-PET imaging showing a hypometabolism of the lesion helped to initially orient toward PML, as diagnosis was later confirmed by lumbar puncture. We collected 21 cases in the literature in which [18F]-FDG-PET was helpful in cases of PML. Discussion and Conclusions: PET imaging is not considered a standard diagnostic tool for PML. However, in selected cases, it may provide valuable information to direct the diagnosis towards PML. Full article
Show Figures

Figure 1

17 pages, 290 KB  
Article
Dietary Patterns and Cerebral Glucose Metabolism in Older Adults: Findings from the Western Australian Memory Study
by Carolina B. Castro, Samantha L. Gardener, Farzana Jahan, Juliana Chen, Belinda M. Brown, Ruey L. Loo, Kevin Taddei, Stephanie R. Rainey-Smith, Michael Weinborn, Ana Caroline R. dos Reis, Shipra Verma, Nick Carrigan, Charles Inderjeeth, Vincent Doré, Manohar L. Garg, Ralph N. Martins and Hamid R. Sohrabi
Nutrients 2026, 18(7), 1136; https://doi.org/10.3390/nu18071136 - 1 Apr 2026
Viewed by 626
Abstract
Alzheimer’s disease (AD) is characterized by significant reductions in glucose metabolism, reflecting underlying synaptic dysfunction, correlating with cognitive decline. We aimed to explore the impact of dietary patterns on the change in glucose metabolism. Methods: This longitudinal, prospective study included 132 community-dwelling older [...] Read more.
Alzheimer’s disease (AD) is characterized by significant reductions in glucose metabolism, reflecting underlying synaptic dysfunction, correlating with cognitive decline. We aimed to explore the impact of dietary patterns on the change in glucose metabolism. Methods: This longitudinal, prospective study included 132 community-dwelling older adults without a diagnosed dementia history enrolled in the Western Australian Memory Study (WAMS). Participants completed a food frequency questionnaire at baseline and underwent [18F]-Fluorodeoxyglucose positron emission tomography (FDG-PET) imaging at baseline and at up to two follow-up assessments scheduled approximately 18 months apart, over a maximum follow-up period of 43 months. Principal component analysis yielded two dietary patterns—named Western Diet and Prudent Diet. Linear mixed-effect models evaluated the association between dietary adherence and glucose metabolism, including potential confounders. Analysis was repeated stratified by sex. Results: Adherence to a Western Diet, characterized by high sugars and saturated fats, was associated with faster decline in glucose metabolism in the left fusiform gyrus (β = −0.00062; SE = 0.00025; FDR-adjusted p = 0.043), neocortex (β = −0.00063; SE = 0.00026; FDR-adjusted p = 0.047), left ventrolateral prefrontal (β = −0.00083; SE = 0.00032; FDR-adjusted p = 0.045 and inferior parietal region (β = −0.00344; SE = 0.00129; FDR-adjusted p = 0.033) in females. A Prudent Diet, characterized by a high intake of fruits, vegetables, and whole grains, showed no significant effects. Conclusions: Our study highlights the following: (a) The potential detrimental impact of a Western Diet on brain glucose metabolism, particularly for females, who are at higher risk for AD. The decline was observed in regions essential for cognitive functions, including visual processing and facial recognition, emphasizing the role of diet in brain health. (b) No significant associations were observed between adherence to a Prudent dietary pattern and changes in glucose metabolism. Full article
14 pages, 712 KB  
Article
Assessing Respiratory Motion Stability of Novel 18F-Fluorodeoxyglucose Positron Emission Tomography-Derived Morphological Features
by Sze Ian Tan, Kun-Han Lue, Yu-Hung Chen, Sung-Chao Chu, Chih-Bin Lin and Shu-Hsin Liu
Diagnostics 2026, 16(7), 994; https://doi.org/10.3390/diagnostics16070994 - 26 Mar 2026
Viewed by 434
Abstract
Background/Objectives: Novel hotspot displacement radiomic features (normalized hotspot-to-centroid distance [NHOC]/normalized hotspot-to-perimeter distance [NHOP]) are robust against image resampling and spatial resolution variations. However, their reproducibility under respiratory motion remains unvalidated. This study aimed to evaluate the reproducibility, reliability, and survival prognostic value of [...] Read more.
Background/Objectives: Novel hotspot displacement radiomic features (normalized hotspot-to-centroid distance [NHOC]/normalized hotspot-to-perimeter distance [NHOP]) are robust against image resampling and spatial resolution variations. However, their reproducibility under respiratory motion remains unvalidated. This study aimed to evaluate the reproducibility, reliability, and survival prognostic value of NHOC/NHOP features in thoracic 18F-fluorodeoxyglucose positron emission tomography/computed tomography (18F-FDG PET/CT) images with and without respiratory motion correction and to determine whether these features maintain stability and predictive performance for overall survival (OS) compared with respiratory-stable reference features. Methods: We analyzed 138 patients (203 lesions) who underwent 18F-FDG PET/CT with and without data-driven respiratory gating. Reproducibility and reliability were assessed using the coefficient of variation (CoV) and intraclass correlation coefficient (ICC), respectively. OS prediction was evaluated using Cox regression and concordance index (c-index) analyses. Results: Except for NHOCmax and NHOPpeak, which showed ICC values of 0.782 and 0.93, respectively, the novel morphological features generally exhibited poor reproducibility and moderate reliability (CoV > 20% and ICC < 0.75). In contrast, reference features (entropy-based and sphericity) demonstrated excellent robustness. Motion-corrected NHOCmax showed significant OS prediction for both spatially resampled and non-resampled images. No significant differences in c-indices were observed between motion-corrected and non-corrected features. Conclusions: The marked sensitivity of novel hotspot-displacement features to respiratory motion substantially limits their clinical applicability in thoracic disease. To ensure reproducibility and generalizability in future research, prioritizing inherently robust radiomic parameters, such as entropy-based features, is strongly recommended. Full article
(This article belongs to the Section Medical Imaging and Theranostics)
Show Figures

Figure 1

20 pages, 4175 KB  
Review
Unmasking Cardiac Sarcoidosis: Integrating Multimodal Imaging with Histochemical and Ultrastructural Analysis
by Jakub Kancerek, Damian Świerczek, Wiktoria Baron, Marcin Rojek, Piotr Lewandowski and Romuald Wojnicz
Int. J. Mol. Sci. 2026, 27(7), 2969; https://doi.org/10.3390/ijms27072969 - 25 Mar 2026
Viewed by 460
Abstract
Cardiac sarcoidosis (CS) is a critical and frequently underdiagnosed phenotype of sarcoidosis, characterized by non-caseating granulomatous infiltration of the myocardium. This review synthesizes current knowledge regarding the pathogenesis, diagnosis, and management of CS. The disease manifests with a heterogeneous clinical spectrum ranging from [...] Read more.
Cardiac sarcoidosis (CS) is a critical and frequently underdiagnosed phenotype of sarcoidosis, characterized by non-caseating granulomatous infiltration of the myocardium. This review synthesizes current knowledge regarding the pathogenesis, diagnosis, and management of CS. The disease manifests with a heterogeneous clinical spectrum ranging from asymptomatic conduction abnormalities to life-threatening ventricular arrhythmias and heart failure. Diagnosis remains challenging due to the patchy distribution of granulomas, which limits the sensitivity of endomyocardial biopsy. Consequently, a multimodal diagnostic approach is essential, integrating advanced imaging modalities such as cardiac magnetic resonance (CMR) with late gadolinium enhancement (LGE) and 18F-fluorodeoxyglucose positron emission tomography (FDG-PET). These tools not only facilitate detection but also enable the differentiation of active inflammation from chronic fibrosis. Histopathological assessment, supported by specific immunophenotyping and electron microscopy, remains the gold standard for confirming diagnosis and excluding mimics like giant cell myocarditis or infectious granulomatous diseases. Management requires a multidisciplinary strategy combining immunosuppressive therapy, primarily corticosteroids and steroid-sparing agents, with guideline-directed cardiac care, including implantable cardioverter-defibrillators for arrhythmia risk stratification. Emerging biomarkers and artificial intelligence-driven imaging analysis promise to further refine risk stratification and therapeutic monitoring, advancing precision medicine in this complex disorder. Full article
(This article belongs to the Special Issue Myocardial Disease: Molecular Pathology and Treatments)
Show Figures

Figure 1

10 pages, 2681 KB  
Case Report
A Multidisciplinary Approach to the Diagnosis and Management of a Mammary Myofibroblastoma in a Male with a History of Diffuse Large B-Cell Lymphoma: A Case Report
by Carmen Montes Fernández, Norma C. Gutiérrez, Elena Alejo Alonso, Susana Gallego García, Luis Gonzaga Díaz-González, José Luis Revilla Hernández, María Ángeles Hernández García, Idalia González Morais, Miguel Ángel Cruz Sánchez, José María Sayagués and Luis Miguel Chinchilla-Tábora
Hematol. Rep. 2026, 18(2), 23; https://doi.org/10.3390/hematolrep18020023 - 17 Mar 2026
Viewed by 422
Abstract
Background and Clinical Significance: Diffuse Large B-Cell Lymphoma (DLBCL) is a morphologically and molecularly heterogeneous lymphoproliferative disorder that originates from a clonal B-cell ancestor. Patients usually present with rapidly enlarging lymph nodes or mass(es) at single or multiple sites. Generally, 18F-Fluorodeoxyglucose (18F-FDG) [...] Read more.
Background and Clinical Significance: Diffuse Large B-Cell Lymphoma (DLBCL) is a morphologically and molecularly heterogeneous lymphoproliferative disorder that originates from a clonal B-cell ancestor. Patients usually present with rapidly enlarging lymph nodes or mass(es) at single or multiple sites. Generally, 18F-Fluorodeoxyglucose (18F-FDG) positron emission tomography with computed tomography (PET-CT) is performed post-treatment to evaluate remission status, especially in radiologically residual tumors. Myofibroblastoma (MFB) is a benign mesenchymal tumor of the mammary stroma composed of fibroblasts and myofibroblasts. These entities do not often present concurrently. Case presentation: The patient was an 80-year-old man with a history of stage IV-BS Diffuse Large B-Cell Lymphoma (DLBCL) with a high-risk International Prognostic Index (IPI). The patient underwent treatment with a six-cycle R-CHOP regimen. Immediately after the last cycle, an 18F-Fluorodeoxyglucose (18F-FDG) positron emission tomography with computed tomography (PET-CT) scan revealed a nodular solid lesion with a faintly increased metabolic standardized uptake value (SUVmax) of 3 in the upper outer quadrant of his left breast. A biopsy of the breast lesion was performed, and it revealed a benign mesenchymal tumor, specifically a Myofibroblastoma. The patient has not presented any symptoms or complications since surgery (12 months) and remains in complete remission (CR). Conclusions: Given the potential diagnostic pitfalls and therapeutic implications of residual tumors in the context of DLBCL, a conscientious evaluation by a multidisciplinary team (MDT) is highly recommended. Full article
Show Figures

Figure 1

16 pages, 319 KB  
Review
Intravascular Lymphoma Associated with the Female Genital Tract—Diagnostic Considerations, Therapeutic Approaches, and Outcomes
by Aleksandar Ristic, Marija Rovcanin, Ana Tomic, Aleksandar Rakic, Nebojsa Zecevic and Svetlana Jankovic
Diseases 2026, 14(3), 109; https://doi.org/10.3390/diseases14030109 - 17 Mar 2026
Viewed by 373
Abstract
Intravascular lymphoma (IVL) is an uncommon subtype of non-Hodgkin’s extranodal lymphoma, distinguished by the proliferation of neoplastic cells within the lumen of small- to medium-sized arteries, with various organs recorded as impacted. The objective of this study was to evaluate the current literature [...] Read more.
Intravascular lymphoma (IVL) is an uncommon subtype of non-Hodgkin’s extranodal lymphoma, distinguished by the proliferation of neoplastic cells within the lumen of small- to medium-sized arteries, with various organs recorded as impacted. The objective of this study was to evaluate the current literature about IVL and its involvement in the female genital tract, including an overview of diagnostic methods, imaging, and pathological features, selected therapy modalities, and outcomes in patients afflicted by this malignancy. We performed a narrative review with a systematic identification and presentation of published cases of IVL affecting the female genital tract. A literature search was carried out across PubMed, Scopus, and Web of Science for relevant studies presenting data on IVL affecting the female genital tract. Case reports and series that met predefined inclusion and exclusion criteria specified by the modified PECOS (“Population,” “Exposure,” “Comparison,” “Outcomes,” and “Study design”) framework were included. Patients most commonly presented with abnormal vaginal bleeding, pelvic pain, and B symptoms. Fluorodeoxyglucose positron emission tomography computed tomography (FDG PET/CT), often performed alongside abnormal laboratory findings such as elevated lactate dehydrogenase (LDH), played a key role in raising suspicion for hematologic involvement of the female genital tract and guiding biopsy. Most cases represented B-cell intravascular lymphoma and were treated with Rituximab plus (CHOPR-CHOP) based chemotherapy, frequently combined with hysterectomy. Full article
8 pages, 820 KB  
Case Report
Plasma Cell Granuloma Mimicking Plasmacytoma Illustrated by 18F-Fluorodeoxyglucose Positron Emission Tomography
by Osamu Imataki, Hiroaki Ide, Akihiro Takeuchi and Makiko Uemura
Hematol. Rep. 2026, 18(2), 22; https://doi.org/10.3390/hematolrep18020022 - 17 Mar 2026
Viewed by 387
Abstract
Background: Plasma cell granuloma is generally considered a pseudotumor formed by reactive, polyclonal plasma cells. Although most cases can show polyclonal gammaglobulin production, quite a minority may exhibit monoclonal gammopathy, which mimics plasma cell neoplasms such as multiple myeloma or plasmacytoma. Because of [...] Read more.
Background: Plasma cell granuloma is generally considered a pseudotumor formed by reactive, polyclonal plasma cells. Although most cases can show polyclonal gammaglobulin production, quite a minority may exhibit monoclonal gammopathy, which mimics plasma cell neoplasms such as multiple myeloma or plasmacytoma. Because of this overlap, distinguishing reactive monoclonal proliferation from true malignancy is clinically essential. Case report: A 79-year-old man was presented with an anterior chest wall mass that had grown during investigation for fever of unknown origin. 18F-fluorodeoxyglucose positron emission tomography (FDG-PET) revealed a sternal bone mass (SUVmax 9.04), aortic uptake of bifurcation (SUVmax 7.08), and Th7/8 soft tissue mass (SUVmax 5.32). Results from the FDG-PET revealed infectious reactions. A chest wall biopsy revealed high degree proliferation of plasma cells. Hematologists suspected plasmacytoma. The pathologist did not diagnose plasmacytoma; thus, there remains a possibility of reactive granuloma lesion. Lastly, the patient’s vertebral soft tissue mass culture yielded Staphylococcus aureus. The patient was treated with antimicrobials and responded well. Discussion: In the presented case, FDG-PET revealed an aortic mass with an aortic aneurysm, a sternal mass, and a vertebral mass, as multiple lesions. The abscess lesions that initially resembled multiple plasmacytomas were identified as plasma cell granuloma. The final diagnosis required demonstrating biopsy and definitive monoclonality. Light-chain restriction or monoclonal protein should be considered in the clinical context. Ultimately, this case highlights the diagnostic value of FDG-PET and the importance of differentiating reactive plasma cell granuloma from true plasma cell neoplasm to guide appropriate management. In conclusion, a reactive plasma cell granuloma associated with infectious aortitis can exhibit monoclonal gammopathy, mimicking plasma cell neoplasm. Careful pathological and clinical evaluation is essential to avoid misdiagnosis and ensure proper treatment. Full article
Show Figures

Figure 1

23 pages, 3027 KB  
Article
Enhancing Access to Cancer Diagnostics with Drone Delivery of PET Isotopes: The Significance of Weather and Clinical Workflows
by Karl Arne Johannessen, Paul G. Royall, Anders Mjøs, Thor Audun Saga and Mona-Elisabeth R. Revheim
Drones 2026, 10(3), 202; https://doi.org/10.3390/drones10030202 - 13 Mar 2026
Viewed by 685
Abstract
The short half-life of positron emission tomography (PET) radioisotopes makes transport time a critical factor in medical logistics. While drones have demonstrated advantages in short-range medical deliveries, the feasibility and benefits of long-distance drone transport remain largely unexplored. In a comparative simulation-based modelling [...] Read more.
The short half-life of positron emission tomography (PET) radioisotopes makes transport time a critical factor in medical logistics. While drones have demonstrated advantages in short-range medical deliveries, the feasibility and benefits of long-distance drone transport remain largely unexplored. In a comparative simulation-based modelling framework, this study explores whether long-range drone transport (117–376 km) can improve delivery performance of fluorodeoxyglucose-18 ([18F]FDG) PET isotopes compared with two existing ground-only routes (146 km and 348 km) and two combined car–airplane routes (532 km and 546 km). Simulated transport times, radioactive decay losses, and economic implications were estimated using drone speeds of 150, 200, and 250 km/h. Hourly weather data from 2023–2024 were incorporated to model flight feasibility and weather-related no-fly conditions. Time savings were translated into preserved radioactive activity and analyzed together with break-even transport costs. A drone speed of 150 km/h provided limited benefit, whereas speeds of 200–250 km/h preserved activity corresponding to a reduction from the current total use of 118 GBq to 72 and 65 GBq, respectively. Weather constraints reduced feasible winter flights by up to 30%. Estimated break-even drone costs ranged from EUR 3–18/km and increased to EUR 14–20/km when accounting for preserved isotopes, corresponding to annual economic gains of EUR 1.0–1.7 million. These results suggest that long-range drone transport could reduce isotope losses and improve diagnostic capacity, although feasibility depends on drone costs, weather resilience, and integration into clinical logistics systems. Full article
(This article belongs to the Special Issue Advances in Drone Applications for Last-Mile Delivery Operations)
Show Figures

Figure 1

17 pages, 2937 KB  
Article
Diagnostic Value of 18F-FDG PET/CT in Guiding Biopsy Decisions and Differentiating Infectious, Inflammatory and Malignant Lesions
by Özlem Güler, Sonay Arslan, Zeynep Bayraktar, Oğuzhan Sözen, Birsen Mutlu, Sibel Balcı, Serkan İşgören and Sıla Akhan
J. Clin. Med. 2026, 15(6), 2132; https://doi.org/10.3390/jcm15062132 - 11 Mar 2026
Viewed by 377
Abstract
Background/Objectives: 18F-fluorodeoxyglucose (FDG) positron emission tomography/computed tomography (PET/CT) is used in oncology but has limited specificity due to uptake in infectious and inflammatory conditions. This study evaluated the diagnostic value of 18F-FDG PET/CT in patients with infectious, inflammatory, and malignant lesions and its [...] Read more.
Background/Objectives: 18F-fluorodeoxyglucose (FDG) positron emission tomography/computed tomography (PET/CT) is used in oncology but has limited specificity due to uptake in infectious and inflammatory conditions. This study evaluated the diagnostic value of 18F-FDG PET/CT in patients with infectious, inflammatory, and malignant lesions and its role in guiding histopathological biopsy decisions in an infectious disease setting. Methods: A retrospective cohort study included 186 adult patients who underwent 18F-FDG PET/CT between 2018 and 2023 for diagnostic evaluation at a tertiary care hospital. Clinical indications were fever of unknown origin (FUO), inflammation of unknown origin (IUO), lymphadenopathy of unknown origin, and suspected solid mass. Diagnostic yield, biopsy decisions, and factors associated with biopsy were analyzed. Results: The diagnostic yield of 18F-FDG PET/CT was 58.6%, with higher in malignant conditions (hematologic malignancy 85.7%, solid organ malignancy 88.9%) and lower in autoimmune/inflammatory diseases (20.8%) and mycobacterial infections. PET/CT showed moderate sensitivity (59.8%) and high specificity (98.7%) for infection detection, improving to 67.8% sensitivity after excluding mycobacterial infections. Biopsy was performed more in patients with lymphadenopathy, higher SUVmax (>7.4), and PET/CT findings not suggestive of infection. Analysis identified lymphadenopathy (aOR = 2.77), PET/CT not suggestive of infection (aOR = 4.73), and SUVmax > 7.4 (aOR = 4.98) as predictors of biopsy. Conclusions: 18F-FDG PET/CT provides moderate diagnostic value across infectious, inflammatory, and malignant diseases and guides biopsies effectively, particularly in patients with lymphadenopathy, elevated SUVmax, and non-infectious findings. Its limited performance in mycobacterial and autoimmune diseases requires cautious interpretation. Overall, 18F-FDG PET/CT supports clinical decisions in complex diagnostic scenarios. Full article
(This article belongs to the Section Infectious Diseases)
Show Figures

Figure 1

11 pages, 1625 KB  
Interesting Images
HPV16-Positive Pelvic Nodal Squamous Cell Carcinoma with No Detectable Cervical Malignancy
by In Sun Hwang, Su Jeong Lee, Chan Joo Kim, Jin-Hwi Kim and Kwangil Yim
Diagnostics 2026, 16(5), 787; https://doi.org/10.3390/diagnostics16050787 - 6 Mar 2026
Viewed by 392
Abstract
Isolated pelvic nodal metastasis from carcinoma of unknown primary origin (CUP) is rare. Evaluation should prioritize gynecological and anorectal sites based on pelvic lymphatic drainage. Although spontaneous regression of these primary lesions is exceptional, regressed lesions can present as CUP, necessitating diagnostic caution. [...] Read more.
Isolated pelvic nodal metastasis from carcinoma of unknown primary origin (CUP) is rare. Evaluation should prioritize gynecological and anorectal sites based on pelvic lymphatic drainage. Although spontaneous regression of these primary lesions is exceptional, regressed lesions can present as CUP, necessitating diagnostic caution. Here, we report the case of a 40-year-old woman with a solitary, intensely fluorodeoxyglucose F-18 avid left obturator lymph node and a subtle endocervical abnormality on pelvic magnetic resonance imaging. Loop electrosurgical excision revealed a Nabothian cyst only. Excisional nodal biopsy by polymerase chain reaction revealed metastatic squamous cell carcinoma with diffuse block-type p16 and human papillomavirus (HPV) 16. Considering the potential for a primary cervical tumor along the obturator drainage pathway, the patient underwent hysterectomy with pelvic lymph node dissection. No residual invasive carcinoma was found; however, HPV16 was detected in the cervix with a low-grade squamous intraepithelial lesion, supporting a regressed cervical focus. She received adjuvant cisplatin-based chemoradiotherapy and has remained disease-free for 56 months. This case highlights the diagnostic value of integrating lymphatic anatomy with the molecular profile of HPV. Cervical squamous cell carcinoma rarely regresses and presents solely as an isolated nodal disease. Full article
Show Figures

Figure 1

18 pages, 1944 KB  
Article
Preoperative Prediction of Spread Through Air Spaces in Lung Cancer Using 18F-FDG PET–Based Radiomics and Peritumoral Microenvironment Features
by Damla Serçe Unat, Nurşin Agüloğlu, Ömer Selim Unat, Ayşegül Aksu, Bahar Ağaoğlu, Bahattin Dulkadir, Özer Özdemir, Nur Yücel, Kenan Can Ceylan and Gülru Polat
Diagnostics 2026, 16(5), 784; https://doi.org/10.3390/diagnostics16050784 - 5 Mar 2026
Cited by 1 | Viewed by 537
Abstract
Background/Objectives: Spread through air spaces (STAS) represents an aggressive invasion pattern in lung cancer and is associated with unfavorable oncologic outcomes. As STAS is currently identifiable only on postoperative pathology, reliable preoperative, noninvasive prediction remains a clinical challenge. This study aimed to [...] Read more.
Background/Objectives: Spread through air spaces (STAS) represents an aggressive invasion pattern in lung cancer and is associated with unfavorable oncologic outcomes. As STAS is currently identifiable only on postoperative pathology, reliable preoperative, noninvasive prediction remains a clinical challenge. This study aimed to evaluate the feasibility of predicting STAS using 18F-fluorodeoxyglucose positron emission tomography/computed tomography (18F-FDG PET/CT)-derived radiomic and clinicoradiomic models. Methods: In this retrospective study, patients who underwent surgical resection for lung cancer with available preoperative 18F-FDG PET/CT imaging were analyzed. Radiomic features were extracted from intratumoral and peritumoral regions. Clinical, radiomic-only, and combined clinicoradiomic models were developed using LASSO-based feature selection and multivariable logistic regression. Model performance was evaluated using nested cross-validation, receiver operating characteristic analysis, calibration assessment, and decision curve analysis. Results: Radiomic features reflecting intratumoral metabolic characteristics and peritumoral tissue heterogeneity were significantly associated with STAS. The combined clinicoradiomic model demonstrated superior discriminative performance compared with the clinical and radiomic-only models (mean AUC ≈ 0.75), along with favorable calibration (Brier score = 0.20) and improved clinical net benefit across relevant threshold probabilities. Lower eosinophil count, lower SUVmin_tumor, and lower intratumoral SUV skewness emerged as independent predictors of STAS. Conclusions: Preoperative prediction of STAS in lung cancer is feasible using PET/CT-based radiomic analysis integrating intratumoral, peritumoral, and clinical features. This noninvasive approach provides biologically relevant information beyond conventional anatomical assessment and warrants further validation in prospective, multicenter cohorts. Full article
(This article belongs to the Section Machine Learning and Artificial Intelligence in Diagnostics)
Show Figures

Figure 1

Back to TopTop