Bone Lengthening with a Motorized Intramedullary Nail in 34 Patients with Posttraumatic Limb Length Discrepancies
Abstract
1. Introduction
2. Materials and Methods
2.1. Surgical Technique
2.2. Postoperative Follow-Up
2.3. Lengthening Outcome Parameters
2.4. Statistical Analysis
3. Results
- Eight hematomas at the osteotomy site that resolved spontaneously (severity I).
- Six lengthening delays relative to preoperative planning, which were offset by an increase in the number of daily distraction sessions (severity I).
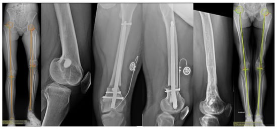
- Six cases of locking screw migration, mostly occurring during the distraction phase, and revised with cemented screws (Figure 3, severity II).
- Two cases of subcutaneous receiver removal before nail extraction because of discomfort (severity II).
- One percutaneous hamstring tenotomy to treat a persistent 50° knee flexion contracture in a patient with a 50 mm LLD. At the latest follow-up and after an intensive rehabilitation program, the flexion contracture had resolved (severity II).
- Five patients had delayed union among the femoral lengthening cases. Three of them had cancellous bone graft harvested from the anterior iliac crest; a short lateral approach was used to insert the graft after decortication of the site. This procedure was performed on average 14 months after implantation. The device had to be removed in one patient (nail breakage and malunion); treatment consisted of reaming and a trauma nail. Bone healing was achieved in all cases at the latest follow-up (severity II).
- One failure of the lengthening nail that was replaced 35 days after implantation with revision osteotomy. Lengthening proceeded satisfactorily thereafter with a final LLD of 7 mm (severity IIIA).
- One acute infection in a 54-year-old female patient with a 70 mm LLD associated with significant femur deformity and treated during childhood with monolateral external fixator. She was reoperated on postoperative day 10 with debridement and antibiotic therapy. Later on, deep vein thrombosis was found and treated with anticoagulant therapy. At the latest follow-up, the post lengthening LLD was 40 mm (severity IIIB).
- One case of significant stiffness in a 27-year-old patient with an 80 mm LLD resulting from a gunshot injury with a flexion deficit. The patient underwent Judet’s quadricepsplasty twice. The first resulted in a thrombosis of the femoral vascular graft and the second in an infection warranting surgical debridement and IV antibiotics. The limb was painful and non-functional at the last follow-up (0/0/20° knee ROM) (severity IIIB).
4. Discussion
5. Conclusions
Author Contributions
Funding
Institutional Review Board Statement
Informed Consent Statement
Data Availability Statement
Conflicts of Interest
References
- Winquist, R.A.; Hansen, S.T.; Clawson, D.K. Closed intramedullary nailing of femoral fractures. A report of five hundred and twenty cases. J. Bone Joint Surg. Am. 1984, 66, 529–539. [Google Scholar] [CrossRef]
- Vaidya, R.; Anderson, B.; Elbanna, A.; Colen, R.; Hoard, D.; Sethi, A. CT scanogram for limb length discrepancy in comminuted femoral shaft fractures following IM nailing. Injury 2012, 43, 1176–1181. [Google Scholar] [CrossRef]
- Ricci, W.M.; Gallagher, B.; Haidukewych, G.J. Intramedullary nailing of femoral shaft fractures: Current concepts. J. Am. Acad. Orthop. Surg. 2009, 17, 296–305. [Google Scholar] [CrossRef]
- Herscovici, D.; Scaduto, J.M. Assessing leg length after fixation of comminuted femur fractures. Clin. Orthop. Relat. Res. 2014, 472, 2745–2750. [Google Scholar] [CrossRef]
- Lombardo, S.J.; Harvey, J.P. Fractures of the distal femoral epiphyses. Factors influencing prognosis: A review of thirty-four cases. J. Bone Joint Surg. Am. 1977, 59, 742–751. [Google Scholar] [CrossRef]
- Arkader, A.; Warner, W.C.; Horn, B.D.; Shaw, R.N.; Wells, L. Predicting the outcome of physeal fractures of the distal femur. J. Pediatric Orthop. 2007, 27, 703–708. [Google Scholar] [CrossRef]
- Axelrod, D.; Rubinger, L.; Shah, A.; Guy, P.; Johal, H. How should we lengthen post-traumatic limb defects? A systematic review and comparison of motorized lengthening systems, combined internal and external fixation and external fixation alone. Eur. J. Orthop. Surg. Traumatol. 2020. [Google Scholar] [CrossRef]
- Singh, S.; Lahiri, A.; Iqbal, M. The results of limb lengthening by callus distraction using an extending intramedullary nail (Fitbone) in non-traumatic disorders. J. Bone Joint Surg. Br. Vol. 2006, 88, 938–942. [Google Scholar] [CrossRef]
- Gordon, J.E.; Manske, M.C.; Lewis, T.R.; O’Donnell, J.C.; Schoenecker, P.L.; Keeler, K.A. Femoral Lengthening Over a Pediatric Femoral Nail: Results and Complications. J. Pediatric Orthop. 2013, 33, 730–736. [Google Scholar] [CrossRef]
- Horn, J.; Grimsrud, Ø.; Dagsgard, A.H.; Huhnstock, S.; Steen, H. Femoral lengthening with a motorized intramedullary nail: A matched-pair comparison with external ring fixator lengthening in 30 cases. Acta Orthop. 2015, 86, 248–256. [Google Scholar] [CrossRef]
- AL-Sayyad, M.J. Lower limb lengthening and deformity correction using the Fitbone motorized nail system in the adolescent patient. J. Pediatric Orthop. B 2012, 21, 131–136. [Google Scholar] [CrossRef]
- Accadbled, F.; Pailhé, R.; Cavaignac, E.; Sales de Gauzy, J. Bone lengthening using the Fitbone ® motorized intramedullary nail: The first experience in France. Orthop. Traumatol. Surg. Res. 2016, 102, 217–222. [Google Scholar] [CrossRef]
- Baumgart, R. The reverse planning method for lengthening of the lower limb using a straight intramedullary nail with or without deformity correction: A new method. Orthop. Traumatol. 2009, 21, 221–233. [Google Scholar] [CrossRef] [PubMed]
- Krettek, C.; Stephan, C.; Schandelmaier, P.; Richter, M.; Pape, H.C.; Miclau, T. The use of Poller screws as blocking screws in stabilising tibial fractures treated with small diameter intramedullary nails. J. Bone Joint Surg. Br. Vol. 1999, 81, 963–968. [Google Scholar] [CrossRef]
- Rozbruch, S.R.; Fragomen, A.T.; Muthusamy, S. The use of blocking screws with internal lengthening nail and reverse rule of thumb for blocking screws in limb lengthening and deformity correction surgery. Strateg. Trauma Limb Reconstr. 2016, 11, 199–205. [Google Scholar] [CrossRef]
- Rozbruch, S.R. Adult posttraumatic reconstruction using a magnetic internal lengthening nail. J. Orthop. Trauma 2017, 31 (Suppl. 6), S14. [Google Scholar] [CrossRef] [PubMed]
- Herzenberg, J.E.; Paley, D. Principles of Deformity Correction; Springer: Berlin/Heidelberg, Germany, 2014. [Google Scholar]
- Paley, D. Problems, obstacles, and complications of limb lengthening by the Ilizarov Technique. Clin. Orthop. Relat. Res. 1990, 81, 104. [Google Scholar] [CrossRef]
- Black, S.R.; Kwon, M.S.; Cherkashin, A.M.; Samchukov, M.L.; Birch, J.G.; Jo, C.H. Lengthening in congenital femoral deficiency: A comparison of circular external fixation and a motorized intramedullary nail. J. Bone Joint Surg. Am. Vol. 2015, 97, 1432–1440. [Google Scholar] [CrossRef]
- Horn, J.; Hvid, I.; Huhnstock, S.; Breen, A.B.; Steen, H. Limb lengthening and deformity correction with externally controlled motorized intramedullary nails: Evaluation of 50 consecutive lengthenings. Acta Orthop. 2019, 90, 81–87. [Google Scholar] [CrossRef] [PubMed]
- Alrabai, H.M.; Gesheff, M.G.; Conway, J.D. Use of internal lengthening nails in post-traumatic sequelae. Int. Orthop. 2017, 41, 1915–1923. [Google Scholar] [CrossRef][Green Version]
- Hammouda, A.I.; Jauregui, J.J.; Gesheff, M.G.; Standard, S.C.; Conway, J.D.; Herzenberg, J.E. Treatment of post-traumatic femoral discrepancy with PRECICE magnetic-powered intramedullary lengthening nails. J. Orthop. Trauma 2017, 31, 369–374. [Google Scholar] [CrossRef]
- Krieg, A.H.; Lenze, U.; Speth, B.M.; Hasler, C.C. Intramedullary leg lengthening with a motorized nail: Indications, challenges, and outcome in 32 patients. Acta Orthop. 2011, 82, 344–350. [Google Scholar] [CrossRef]
- Frost, M.W.; Rahbek, O.; Traerup, J.; Ceccotti, A.A.; Kold, S. Systematic review of complications with externally controlled motorized intramedullary bone lengthening nails (FITBONE and PRECICE) in 983 segments. Acta Orthop. 2021, 92, 120–127. [Google Scholar] [CrossRef] [PubMed]
- Rölfing, J.D.; Kold, S.; Nygaard, T.; Mikuzis, M.; Brix, M.; Faergermann, C.; Gottliebsen, M.; Davidsen, M.; Petruskevicius, J.; Olesen, U.K. Pain, osteolysis, and periosteal reaction are associated with the STRYDE limb lengthening nail: A nationwide cross-sectional study. Acta Orthop. 2021. [Google Scholar] [CrossRef] [PubMed]
- Jellesen, M.S.; Lomholt, T.N.; Hansen, R.Q.; Mathiesen, T.; Gundlach, C.; Kold, S.; Nygaard, T.; Mikuzis, M.; Olesen, U.K. The STRYDE limb lengthening nail is susceptible to mechanically assisted crevice corrosion—An analysis of 23 retrieved implants. Acta Orthop. 2021. [Google Scholar] [CrossRef]
- Iliadis, A.D.; Wright, J.; Stoddart, M.T.; Goodier, W.D.; Calder, P. Early results from a single centre’s experience with the STRYDE nail. Bone Joint J. 2021. [Google Scholar] [CrossRef]
- Frommer, A.; Rödl, R.; Gosheger, G.; Schulze, M.; Hasselmann, J.; Fuest, C.; Toporowski, G.; Laufer, A.; Vogt, B. Focal osteolysis and corrosion at the junction of Precice Stryde intramedullary lengthening device—Preliminary clinical, radiographic and metallurgic analysis of 57 lengthened segments. Bone Joint Res. 2021. (under review/personal communication). [Google Scholar]
- Rölfing, J.D.; Bünger, M.; Petruskevicius, J.; Abood, A. Removal of broken PRECICE Stryde limb lengthening nails. Orthop. Traumatol. Surg. Res. 2021. [Google Scholar] [CrossRef] [PubMed]
- Thaller, P.H.; Frankenberg, F.; Degen, N.; Soo, C.; Wolf, F.; Euler, E.; Fürmetz, J. Complications and effectiveness of intramedullary limb lengthening: A matched pair analysis of two different lengthening nails. Strateg. Trauma Limb Reconstr. 2020, 15, 7–12. [Google Scholar]
- Zura, R.; Xiong, Z.; Einhorn, T.; Watson, J.T.; Ostrum, R.F.; Prayson, M.J.; Della Rocca, G.J.; Mehta, S.; McKinley, T.; Wang, Z.; et al. Epidemiology of fracture nonunion in 18 human bones. JAMA Surg. 2016, 151, e162775. [Google Scholar] [CrossRef]
- Krettek, C.; Mommsen, P. Implant removal after intramedullary osteosyntheses. Literature review, technical details, and tips and tricks. Unfallchirurg 2012, 115, 299–314. [Google Scholar] [CrossRef]
- Küçükkaya, M.; Karakoyun, Ö.; Sökücü, S.; Soydan, R. Femoral lengthening and deformity correction using the Fitbone motorized lengthening nail. J. Orthop. Sci. 2015, 20, 149–154. [Google Scholar] [CrossRef] [PubMed]
- Iobst, C.A.; Rozbruch, S.R.; Nelson, S.; Fragomen, A. Simultaneous acute femoral deformity correction and gradual limb lengthening using a retrograde femoral nail: Technique and clinical results. J. Am. Acad. Orthop. Surg. 2018, 26, 241–250. [Google Scholar] [CrossRef] [PubMed]
- Fragomen, A.T.; Rozbruch, S.R. Lengthening and deformity correction about the knee using a magnetic internal lengthening nail. SICOT J 2017, 3, 25. [Google Scholar] [CrossRef] [PubMed]
- Abood, A.; Petruskevicius, P.; Vogt, B.; Frommer, A.; Rödl, R.; Rölfing, J.D. The Joint Angle Tool for intraoperative assessment of coronal alignment of the lower limb. Strateg. Trauma Limb Reconstr. 2020, 15, 169–173. [Google Scholar] [CrossRef]



| N = 34 | ||
|---|---|---|
| Immature skeleton | Femur | 10 |
| Tibia | 2 | |
| Mature skeleton | Femur | |
| Proximal | 3 | |
| Shaft | 10 | |
| Distal | 6 | |
| Tibia | 2 | |
| Functional LLD | Pelvis | 1 |
| ID | Gender | Age | Segment | Injury | Initial Treatment | Previous Complications | LLD (mm) | LLD (mm) | MAD (mm) | mLDFA (°) | MPTA (°) | Complications | ||
|---|---|---|---|---|---|---|---|---|---|---|---|---|---|---|
| 1 | M | 30 | Femur | proximal | Trauma in childhood | dynamic hip screw | Coxa vara | 45 | 9 | Delayed union of regenerate | ||||
| 2 | M | 13 | Femur | proximal | Unknown | cannulated screws | Coxa vara | 40 | 18 | 27 | 89 | 80 | Screw migration | |
| 3 | M | 28 | Femur | proximal | Motocross accident | dynamic hip screw | 30 | 1 | 12 | 83 | 86 | Hematoma, lengthening delay | ||
| 4 | M | 31 | Femur | proximal | Skiing accident | trauma nail | 30 | 4 | 4 | 89 | 88 | |||
| 5 | M | 36 | Femur | proximal | Fall from height | trauma nail | Implant failure, osteoporosis | 27 | 4 | 12 | 88 | 85 | ||
| 6 | F | 18 | Femur | shaft | Fall in childhood | ESIN | 35 | 7 | 19 | 94 | 89 | Receiver removal (discomfort) | ||
| 7 | M | 31 | Femur | shaft | Road traffic accident | trauma nail | Pseudarthrosis | 71 | 30 | 8 | 90 | 88 | ||
| 8 | M | 42 | Femur | shaft | Road traffic accident, motorcycle | trauma nail | Pseudarthrosis | 30 | 2 | 20 | 93 | 86 | ||
| 9 | M | 26 | Femur | shaft | Road traffic accident | trauma nail | Pseudarthrosis | 55 | 5 | 16 | 89 | 86 | Hematoma | |
| 10 | M | 35 | Femur | shaft | Work related accident | trauma nail | 40 | 3 | 14 | 86 | 82 | Hematoma, lengthening delay | ||
| 11 | M | 32 | Femur | shaft | Road traffic accident, motorcycle | trauma nail | 40 | 10 | 1 | 94 | 96 | Hematoma | ||
| 12 | M | 27 | Femur | shaft | Ballistic trauma | external fixation | Arterial bypass due to femoral ischemia, sepsis, angular deformity, knee contracture | 80 | 7 | 40 | 96 | 84 | Screw migration, lengthening delay, extreme knee stiffness | |
| 13 | M | 42 | Femur | shaft | Road traffic accident | trauma nail | Angular deformity | 45 | 8 | |||||
| 14 | M | 53 | Femur | shaft | Fall from height | trauma nail | Angular deformity | 25 | 20 | 8 | 88 | 92 | Screw migration | |
| 15 | M | 19 | Femur | shaft | Motocross accident | trauma nail | Angular deformity | 45 | 11 | 25 | 91 | 86 | ||
| 16 | M | 27 | Femur | shaft | Trauma in childhood | tibial traction | Angular deformity | 50 | 6 | 13 | 95 | 95 | ||
| 17 | F | 27 | Femur | shaft | Road traffic accident | trauma nail | 30 | 5 | 8 | 89 | 85 | |||
| 18 | F | 26 | Femur | shaft | Road traffic accident, motorcycle | ESIN | Angular deformity | 30 | 9 | 30 | 95 | 87 | ||
| 19 | M | 34 | Femur | distal | open | Road traffic accident | trauma nail | Pseudarthrosis | 24 | 3 | 6 | 86 | 86 | Delayed union of regenerate |
| 20 | M | 28 | Femur | distal | open | Road traffic accident, motorcycle | plate | Knee contracture | 37 | 6 | 4 | 88 | 87 | Screw migration |
| 21 | M | 27 | Femur | distal | open | Ballistic trauma | external fixation | Septic pseudarthrosis treated with induced membrane technique, plate failure, Judet’s quadricepsplasty, angular deformity | 50 | 7 | 18 | 95 | 90 | Screw migration, lengthening delay, implant failure |
| 22 | M | 22 | Femur | distal | Trauma in childhood | cast | Fracture after lengthening with external fixator, angular deformity | 55 | 1 | Delayed union of regenerate | ||||
| 23 | F | 54 | Femur | distal | Trauma in childhood | cast | Sepsis during lengthening with external fixator, angular deformity. | 70 | 40 | 19 | 86 | 80 | Lengthening delay, sepsis | |
| 24 | M | 17 | Femur | distal | open | Road traffic accident, motorcycle | trauma nail | 25 | 2 | 8 | 89 | 84 | ||
| 25 | M | 17 | Femur | distal | Trauma in childhood | cannulated screws | 40 | 17 | 17 | 89 | 84 | |||
| 26 | M | 14 | Femur | distal | open | Trauma in childhood | Kirschner wires | Arterial bypass, sciatic palsy, sepsis, skin graft | 50 | 14 | 15 | 91 | 95 | Knee contracture |
| 27 | M | 39 | Femur | distal | Road traffic accident, motorcycle | plate | 35 | 9 | 14 | 90 | 86 | Hematoma, delayed union of regenerate | ||
| 28 | M | 39 | Femur | distal | open | Road traffic accident, motorcycle | plate | Angular deformity | 55 | 1 | 26 | 95 | 86 | Delayed union of regenerate, screw migration |
| 29 | F | 26 | Femur | distal | Defenestration | unkown | Angular deformity | 100 | 2 | Hematoma | ||||
| 30 | F | 26 | Pelvis | Tile type C | Riding accident | plate + screws | Loss of reduction | 22 | 1 | Hematoma, lengthening delay, receiver removal (discomfort) | ||||
| 31 | F | 34 | Tibia | distal | open | Road traffic accident, motorcycle | external fixation antero-medial plate | 30 | 4 | 3 | 86 | 86 | Hematoma | |
| 32 | F | 14 | Tibia | distal | open | Trauma in childhood | Kirschner wires | Angular deformity | 29 | 7 | 10 | 86 | 89 | |
| 33 | M | 24 | Tibia | shaft | open | Road traffic accident, pedestrian | trauma nail | 45 | 19 | 19 | 84 | 93 | ||
| 34 | F | 17 | Tibia | shaft | open | Road traffic accident, pedestrian | trauma nail | Angular deformity, skin graft | 25 | 5 | 15 | 88 | 83 | |
Publisher’s Note: MDPI stays neutral with regard to jurisdictional claims in published maps and institutional affiliations. |
© 2021 by the authors. Licensee MDPI, Basel, Switzerland. This article is an open access article distributed under the terms and conditions of the Creative Commons Attribution (CC BY) license (https://creativecommons.org/licenses/by/4.0/).
Share and Cite
Teulières, M.; Langlais, T.; de Gauzy, J.S.; Rölfing, J.D.; Accadbled, F. Bone Lengthening with a Motorized Intramedullary Nail in 34 Patients with Posttraumatic Limb Length Discrepancies. J. Clin. Med. 2021, 10, 2393. https://doi.org/10.3390/jcm10112393
Teulières M, Langlais T, de Gauzy JS, Rölfing JD, Accadbled F. Bone Lengthening with a Motorized Intramedullary Nail in 34 Patients with Posttraumatic Limb Length Discrepancies. Journal of Clinical Medicine. 2021; 10(11):2393. https://doi.org/10.3390/jcm10112393
Chicago/Turabian StyleTeulières, Maxime, Tristan Langlais, Jérôme Sales de Gauzy, Jan Duedal Rölfing, and Franck Accadbled. 2021. "Bone Lengthening with a Motorized Intramedullary Nail in 34 Patients with Posttraumatic Limb Length Discrepancies" Journal of Clinical Medicine 10, no. 11: 2393. https://doi.org/10.3390/jcm10112393
APA StyleTeulières, M., Langlais, T., de Gauzy, J. S., Rölfing, J. D., & Accadbled, F. (2021). Bone Lengthening with a Motorized Intramedullary Nail in 34 Patients with Posttraumatic Limb Length Discrepancies. Journal of Clinical Medicine, 10(11), 2393. https://doi.org/10.3390/jcm10112393

