Efficacy of the Newcastle Disease Virus Genotype VII.1.1-Matched Vaccines in Commercial Broilers
Abstract
1. Introduction
2. Materials and Methods
2.1. Ethical Statement
2.2. Challenge Virus and Vaccines
2.3. Experimental Design
2.4. Serology
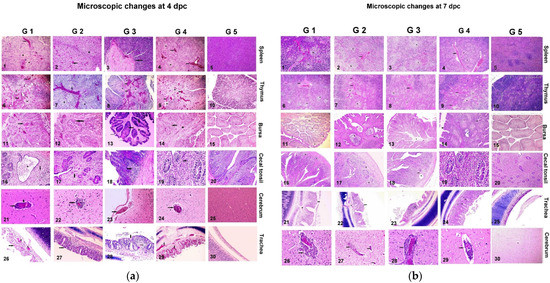
2.5. Histopathological Examination
2.6. Virus Shedding
2.7. Statistical Analysis
3. Results
3.1. Clinical Signs, Postmortem Gross Lesions, and Mortalities
3.2. Serum Antibody Response to Vaccination
3.3. Virus Shedding
3.4. Histopathological Examination
4. Discussion
5. Conclusions
Author Contributions
Funding
Data Availability Statement
Acknowledgments
Conflicts of Interest
References
- Dimitrov, K.M.; Abolnik, C.; Afonso, C.L.; Albina, E.; Bahl, J.; Berg, M.; Briand, F.-X.; Brown, I.H.; Choi, K.-S.; Chvala, I. Updated unified phylogenetic classification system and revised nomenclature for Newcastle disease virus. Infect. Genet. Evol. 2019, 74, 103917. [Google Scholar] [CrossRef]
- Aini, I.; Ibrahim, A.; Spradbrow, P. Field trials of a food-based vaccine to protect village chickens against Newcastle disease. Res. Vet. Sci. 1990, 49, 216–219. [Google Scholar] [CrossRef]
- Miller, P.J.; Koch, G. Newcastle disease. Dis. Poult. 2013, 13, 89–138. [Google Scholar]
- Toyoda, T.; Sakaguchi, T.; Imai, K.; Inocencio, N.M.; Gotoh, B.; Hamaguchi, M.; Nagai, Y. Structural comparison of the cleavage-activation site of the fusion glycoprotein between virulent and avirulent strains of Newcastle disease virus. Virology 1987, 158, 242–247. [Google Scholar] [CrossRef]
- Alexander, D.J. Newcastle disease diagnosis. In Newcastle Disease; Springer: Cham, Switzerland, 1988; pp. 147–160. [Google Scholar]
- Miller, P.J.; Afonso, C.L.; El Attrache, J.; Dorsey, K.M.; Courtney, S.C.; Guo, Z.; Kapczynski, D.R. Effects of Newcastle disease virus vaccine antibodies on the shedding and transmission of challenge viruses. Dev. Comp. Immunol. 2013, 41, 505–513. [Google Scholar] [CrossRef] [PubMed]
- Snoeck, C.J.; Owoade, A.A.; Couacy-Hymann, E.; Alkali, B.R.; Okwen, M.P.; Adeyanju, A.T.; Komoyo, G.F.; Nakouné, E.; Le Faou, A.; Muller, C.P. High genetic diversity of Newcastle disease virus in poultry in West and Central Africa: Cocirculation of genotype XIV and newly defined genotypes XVII and XVIII. J. Clin. Microbiol. 2013, 51, 2250–2260. [Google Scholar] [CrossRef]
- Alexander, D.; Senne, D. Newcastle disease and other paramyxoviruses. In A Laboratory Manual for the Isolation Identification and Characterization of Avian Pathogens, 5th ed.; Dufour-Zavala, L., Swayne, D.E., Pearson, J.E., Reed, W.M., Jackwood, M.W., Woolcock, P., Rglission, J.R., Eds.; OmniPress, Inc.: Norristown, PA, USA, 2008; pp. 135–141. [Google Scholar]
- Diel, D.G.; da Silva, L.H.; Liu, H.; Wang, Z.; Miller, P.J.; Afonso, C.L. Genetic diversity of avian paramyxovirus type 1: Proposal for a unified nomenclature and classification system of Newcastle disease virus genotypes. Infect. Genet. Evol. 2012, 12, 1770–1779. [Google Scholar] [CrossRef]
- Gu, M.; Liu, W.; Xu, L.; Cao, Y.; Yao, C.; Hu, S.; Liu, X. Positive selection in the hemagglutinin-neuraminidase gene of Newcastle disease virus and its effect on vaccine efficacy. Virol. J. 2011, 8, 150. [Google Scholar] [CrossRef]
- Russell, P.; Alexander, D. Antigenic variation of Newcastle disease virus strains detected by monoclonal antibodies. Arch. Virol 1983, 75, 243–253. [Google Scholar] [CrossRef] [PubMed]
- Schloer, G.; Spalatin, J.; Hanson, R. Newcastle disease virus antigens and strain variations. Am. J. Vet. Res. 1975, 36, 505. [Google Scholar]
- Selim, K.M.; Selim, A.; Arafa, A.; Hussein, H.A.; Elsanousi, A.A. Molecular characterization of full fusion protein (F) of Newcastle disease virus genotype VIId isolated from Egypt during 2012–2016. Vet. World 2018, 11, 930. [Google Scholar] [CrossRef] [PubMed]
- Li, R.; Guo, K.; Liu, C.; Wang, J.; Tan, D.; Han, X.; Tang, C.; Zhang, Y.; Wang, J. Strong inflammatory responses and apoptosis in the oviducts of egg-laying hens caused by genotype VIId Newcastle disease virus. BMC Vet. Res. 2016, 12, 1–12. [Google Scholar] [CrossRef] [PubMed]
- Miller, P.J.; Estevez, C.; Yu, Q.; Suarez, D.L.; King, D.J. Comparison of viral shedding following vaccination with inactivated and live Newcastle disease vaccines formulated with wild-type and recombinant viruses. Avian Dis. 2009, 53, 39–49. [Google Scholar] [CrossRef] [PubMed]
- Miller, P.J.; King, D.J.; Afonso, C.L.; Suarez, D.L. Antigenic differences among Newcastle disease virus strains of different genotypes used in vaccine formulation affect viral shedding after a virulent challenge. Vaccine 2007, 25, 7238–7246. [Google Scholar] [CrossRef] [PubMed]
- Cho, S.-H.; Kwon, H.-J.; Kim, T.-E.; Kim, J.-H.; Yoo, H.-S.; Park, M.-H.; Park, Y.-H.; Kim, S.-J. Characterization of a Recombinant Newcastle Disease Virus Vaccine Strain. Clin. Vaccine Immunol. 2008, 15, 1572–1579. [Google Scholar] [CrossRef] [PubMed]
- Jeon, W.-J.; Lee, E.-K.; Lee, Y.-J.; Jeong, O.-M.; Kim, Y.-J.; Kwon, J.-H.; Choi, K.-S. Protective efficacy of commercial inactivated Newcastle disease virus vaccines in chickens against a recent Korean epizootic strain. J. Vet. Sci. 2008, 9, 295–300. [Google Scholar] [CrossRef][Green Version]
- Eid, H.M.; Algammal, A.M.; Elfeil, W.K.; Youssef, F.M.; Harb, S.M.; Abd-Allah, E.M. Prevalence, molecular typing, and antimicrobial resistance of bacterial pathogens isolated from ducks. Vet. World 2019, 12, 677–683. [Google Scholar] [CrossRef] [PubMed]
- Ayoub, M.A.; Elfeil, W.K.; El Boraey, D.; Hammam, H.; Nossair, M.A. Evaluation of Some Vaccination Programs in Protection of Experimentally Challenged Broiler Chicken against Newcastle Disease Virus. Am. J. Anim. Vet. Sci. 2019, 14, 197–206. [Google Scholar] [CrossRef][Green Version]
- Diab, M.S.; Abd El Hafez, M.S.; Ashry, M.A.; Elfeil, W.K. Occurrence of Avian Influenza H5N1 among Chicken, Duck Farms and Human in Egypt. Am. J. Anim. Vet. Sci. 2019, 14, 26–32. [Google Scholar] [CrossRef]
- Rady, M.; Ezz-El-Din, N.; Mohamed, K.F.; Nasef, S.; Samir, A.; Elfeil, W.K. Correlation between ESβL Salmonella Serovars Isolated from Broilers and their Virulence Genes. J. Hell. Vet. Med. Soc. 2020, 71, 2163–2170. [Google Scholar] [CrossRef]
- Elhady, M.A.; Ali, A.; Kilany, W.H.; Elfeil, W.K.; Ibrahim, H.; Nabil, A.; Samir, A.; El Sayed, M. Field efficacy of an attenuated infectious bronchitis variant 2 virus vaccine in commercial broiler chickens. Vet. Sci. 2018, 5, 49. [Google Scholar] [CrossRef] [PubMed]
- Sedeik, M.E.; Awad, A.M.; Rashed, H.; Elfeil, W.K. Variations in Pathogenicity and Molecular Characterization of Infectious Bursal Disease Virus (IBDV) In Egypt. Am. J. Anim. Vet. Sci. 2018, 13, 76–86. [Google Scholar] [CrossRef][Green Version]
- Sultan, H.A.; Ali, A.; El Feil, W.K.; Bazid, A.H.I.; Zain El-Abideen, M.A.; Kilany, W.H. Protective Efficacy of Different Live Attenuated Infectious Bronchitis Virus Vaccination Regimes Against Challenge with IBV Variant-2 Circulating in the Middle East. Front. Vet. Sci. 2019, 6, 341. [Google Scholar] [CrossRef] [PubMed]
- Talat, S.; Abouelmaatti, R.; Almeer, R.; Abdel-Daim, M.M.; Elfeil, W.K. Comparison of the effectiveness of two different vaccination regimes for avian influenza H9N2 in broiler chicken. Animals 2020, 10, 1875. [Google Scholar] [CrossRef]
- Al-Garib, S.O.; Gielkens, A.L.J.; Gruys, E.; Kochi, G. Review of Newcastle disease virus with particular references to immunity and vaccination. World’s Poult. Sci. J. 2007, 59, 185–200. [Google Scholar] [CrossRef]
- Sultan, H.A.; Talaat, S.; Elfeil, W.K.; Selim, K.; Kutkat, M.A.; Amer, S.A.; Choi, K.S. Protective efficacy of the Newcastle disease virus genotype VII–matched vaccine in commercial layers. Poult. Sci. 2020, 99, 1275–1286. [Google Scholar] [CrossRef]
- OIE. Newcastle disease. In OIE Manual of Standers for Diagnosis Test and Vaccines; OIE: Paris, France, 2012. [Google Scholar]
- Al-Habeeb, M.A.; Mohamed, M.; Sharawi, S. Detection and characterization of Newcastle disease virus in clinical samples using real time RT-PCR and melting curve analysis based on matrix and fusion genes amplification. World 2013, 6, 239–243. [Google Scholar] [CrossRef]
- Leary, S.L.; Underwood, W.; Anthony, R.; Cartner, S.; Corey, D.; Grandin, T.; Greenacre, C.; Gwaltney-Brant, S.; McCrackin, M.; Meyer, R. AVMA Guidelines for the Euthanasia of Animals, 2013 ed.; AVMA: Schaumburg, IL, USA, 2013. [Google Scholar]
- Feldman, A.T.; Wolfe, D. Tissue processing and hematoxylin and eosin staining. Methods Mol. Biol. 2014, 1180, 31–43. [Google Scholar] [CrossRef]
- Gibson-Corley, K.N.; Olivier, A.K.; Meyerholz, D.K. Principles for valid histopathologic scoring in research. Vet. Pathol. 2013, 50, 1007–1015. [Google Scholar] [CrossRef]
- Sultan, H.A.; Arafa, A.-E.; Talaat, S.; Gaballa, A.A.; Kilany, W.H.; Elfeil, W.K.; Shehata, A.A.; Amarin, N. Efficacy of Clade 2.3. 2 H5-Recombinant Baculovirus Vaccine in Protecting Muscovy and Pekin Ducks from Clade 2.3. 4.4 H5N8 Highly Pathogenic Avian Influenza Infection. Avian Dis. 2019, 63, 219–229. [Google Scholar] [CrossRef]
- Nolan, T.; Hands, R.E.; Bustin, S.A. Quantification of mRNA using real-time RT-PCR. Nat. Protoc. 2006, 1, 1559. [Google Scholar] [CrossRef]
- Steel, R.G.D.; Torrie, J.H. Principles and Procedures of Statics; Mcgraw Hill Book Comp. Inc.: London, UK, 1960. [Google Scholar]
- Cho, S.-H.; Kim, S.-J.; Kwon, H.-J. Genomic sequence of an antigenic variant Newcastle disease virus isolated in Korea. Virus Genes 2007, 35, 293–302. [Google Scholar] [CrossRef] [PubMed]
- Khan, T.A.; Rue, C.A.; Rehmani, S.F.; Ahmed, A.; Wasilenko, J.L.; Miller, P.J.; Afonso, C.L. Phylogenetic and biological characterization of Newcastle disease virus isolates from Pakistan. J. Clin. Microbiol. 2010, 48, 1892–1894. [Google Scholar] [CrossRef]
- Rehmani, S.F.; Wajid, A.; Bibi, T.; Nazir, B.; Mukhtar, N.; Hussain, A.; Lone, N.A.; Yaqub, T.; Afonso, C.L. Presence of Virulent Newcastle Disease Virus in Vaccinated Chickens in Farms in Pakistan. J. Clin. Microbiol. 2015, 53, 1715–1718. [Google Scholar] [CrossRef] [PubMed]
- Fawzy, M.; Ali, R.; Elfeil, W.; Saleh, A.; Eltarabilli, M. Efficacy of inactivated velogenic Newcastle disease virus genotype VII vaccine in broiler chickens. Vet. Res. Forum 2020, 11, 113–120. [Google Scholar] [CrossRef]
- Moharam, I.; Razik, A.A.E.; Sultan, H.; Ghezlan, M.; Meseko, C.; Franzke, K.; Harder, T.; Beer, M.; Grund, C. Investigation of suspected Newcastle disease (ND) outbreaks in Egypt uncovers a high virus velogenic ND virus burden in small-scale holdings and the presence of multiple pathogens. Avian Pathol. 2019, 48, 406–415. [Google Scholar] [CrossRef] [PubMed]
- Liu, J.; Zhu, J.; Xu, H.; Li, J.; Hu, Z.; Hu, S.; Wang, X.; Liu, X. Effects of the HN antigenic difference between the vaccine strain and the challenge strain of Newcastle Disease virus on virus shedding and transmission. Viruses 2017, 9, 225. [Google Scholar] [CrossRef]
- Sedeik, M.E.; Elbestawy, A.R.; El-shall, N.A.; Abd El-Hack, M.E.; Saadeldin, I.M.; Swelum, A.A. Comparative efficacy of commercial inactivated Newcastle disease virus vaccines against Newcastle disease virus genotype VII in broiler chickens. Poult. Sci. 2018, 98, 2000–2007. [Google Scholar] [CrossRef] [PubMed]
- Nagy, A.; Ali, A.; Zain El-Abideen, M.A.; Kilany, W.; Elsayed, M. Characterization and genetic analysis of recent and emergent virulent newcastle disease viruses in Egypt. Transbound. Emerg. Dis. 2020, 67, 2000–2012. [Google Scholar] [CrossRef]
- Amer, S.A.-M.; Ali, M.A.; Kandeil, A.M.; Kutkat, M.A.-A. Advancement in Vaccination of Broiler Chickens with Genotype-Matched Vaccines to Currently Epidemic Newcastle Disease Virus Genotype VII in Egypt. Egypt. J. Vet. Sci. 2019, 50, 117–123. [Google Scholar]
- Choi, J.G.; Lee, Y.J.; Kim, Y.J.; Lee, E.K.; Jeong, O.M.; Sung, H.W.; Kim, J.H.; Kwon, J.H. An inactivated vaccine to control the current H9N2 low pathogenic avian influenza in Korea. J. Vet. Sci. 2008, 9, 67–74. [Google Scholar] [CrossRef] [PubMed]
- Palya, V.; Kiss, I.; Tatar-Kis, T.; Mato, T.; Felföldi, B.; Gardin, Y. Advancement in vaccination against Newcastle disease: Recombinant HVT NDV provides high clinical protection and reduces challenge virus shedding with the absence of vaccine reactions. Avian Dis. 2012, 56, 282–287. [Google Scholar] [CrossRef] [PubMed]





| Gene | Primer | Primer Sequence 5′-3′ | Reference |
|---|---|---|---|
| NDV F-gene | Forward | 5′-TCCGGAGGATACAAGGGTCT-3′ | [31] |
| Reverse | 5′-AGCTGTTGCAACCCCAAG-3′ | ||
| Probe | 5′-FAM-AAGCGTTTCTGTCTCCTTCCTCCA-BHQ1-3′ |
| Groups | Inactivated Vaccine | Eye Lesion | Resp. Signs | Greenish Diarrhea | Nasal Discharge | Paresis | Nervous Signs | Mortality No. (%) |
|---|---|---|---|---|---|---|---|---|
| G1 | NDV-GII | 0/35 a | 13/35 b | 25/35 b | 3/35 a | 0/35 | 0/35 | 8/35 b (23%) |
| G2 | rNDV-GVII | 2/35 a | 10/35 b | 20/35 b | 8/35 a | 2/35 | 1/35 | 5/35 a (14%) |
| G3 | Auto-NDV-GVII | 0/35 a | 3/35 a | 10/35 a | 2/35 a | 0/35 | 0/35 | 1/35 a (3%) |
| G4 | Non-Vac | 15/35 b | 35/35 b | 32/35 b | 18/35 b | 2/35 | 1/35 | 32/35 b (91%) |
| G5 | Non-Vac/Non-Chal | 0/35 | 0/35 | 0/35 | 0/35 | 0/35 | 0/35 | 0/35 (0%) |
| Lesion Scores at Dpc | |||||||||||||||
|---|---|---|---|---|---|---|---|---|---|---|---|---|---|---|---|
| 4 Dpc | 7 Dpc | ||||||||||||||
| G. | Sp | Tr | C.T | Br | Thy | Cerb | MSI | G. | Sp. | Tr. | C.T. | Br. | Thy. | Cerb. | MSI |
| G1 | 3 | 2 | 2.3 | 2.4 | 2.4 | 2 | 2.6 ± 0.78 | G1 | 2.1 | 2.3 | 1.8a | 2.3 | 2.3 | 2.1 | 1.98 ± 0.28 |
| G2 | 2.3 | 2 | 2.3 | 2.3 | 1.3 | 2 | 2.0 ± 0.23 | G2 | 2 | 1.5 a | 1.6 a | 1.4 a | 1.9 | 1.5 | 1.6 ± 0.17 |
| G3 | 1.8 | 1.9 | 1.7 | 1.7 | 2 | 1.9 | 1.7 ± 0.12 a | G3 | 1.3 a | 2 | 1.4 a | 1.4 a | 1.6 a | 1.3 | 1.25 ± 0.18 a |
| G4 | 3.4 | 3.4 | 3 | 3.3 | 3.3 | 3.4 | 3.4 ± 0.5 b | G4 | 3.5 b | 3.6 b | 3.1 b | 3.3 b | 3.3 b | 3.4 | 3.5 ± 0.2 b |
| G5 | 1 | 1 | 1 | 1 | 1 | 1 | 1 ± 0.0 | G5 | 1 | 1 | 1 | 1 | 1 | 1 | 1 ± 0.0 |
| G | HI ± SD | Viral Shedding 1 | |||||||||||
|---|---|---|---|---|---|---|---|---|---|---|---|---|---|
| 2nd Dpc | 4th Dpc | 7th Dpc | |||||||||||
| Tr | Cl | Tr | Cl | Tr | Cl | ||||||||
| Pos 2/Ex No. | Mean ± SD | No/Ex | Mean ± SD | No/Ex | Mean ± SD | No/Ex | Mean+ SD | No/Ex | Mean ± SD | No/Ex | Mean ± SD | ||
| G1 | 4.2 ± 0.45 | 4/10 (40%) | 6.3 × 105 ± 1.2 a | 4/10 (40%) | 4 × 105 ± 1.4 a | 4/10 (40%) | 9.4 × 104 ± 2.3 a | 4/10 (40%) | 1.6 × 104 ± 1.32 a | 0/10 (0%) | 0 | 0/10 (0%) | 0 |
| G2 | 4.2 ± 0.55 | 2/10 (20%) | 2.3 × 105 ± 0.0 a | 2/10 (20%) | 5.5 × 104 ± 0.0 a | 2/10 (20%) | 1.4 × 104 ± 0.0 a | 4/10 (40%) | 4 × 104 ± 1.3 a | 0/10 (0%) | 0 | 0/10 (0%) | 0 |
| G3 | 4.8 ± 0.67 | 2/10 (20%) | 2.1 × 105 ± 0.0 a | 2/10 (20%) | 4.5 × 104 ± 0.0 a | 2/10 (20%) | 1.1 × 104± 0.0 a | 2/10 (20%) | 3 × 104 + 0.0 a | 0/10 (0%) | 0 | 0/10 (0%) | 0 |
| G4 | nd | 6/10 (60%) | 1.5 × 106 ± 1.4 b | 6/10 (60%) | 1.3 × 106 ± 0.8 b | 10/10 (100%) | 6.2 × 106 ± 1.76 b | 10/10 (100%) | 4.6 × 106 ± 1.31 b | 10/10 (100%) | 1.7 × 107 ± 0.87 | 10/10 (100%) | 2.6 × 106 ± 0.63 |
| G5 | nd | 0/10 (0%) | Nd | nd | nd | nd | nd | nd | nd | nd | nd | nd | nd |
Publisher’s Note: MDPI stays neutral with regard to jurisdictional claims in published maps and institutional affiliations. |
© 2021 by the authors. Licensee MDPI, Basel, Switzerland. This article is an open access article distributed under the terms and conditions of the Creative Commons Attribution (CC BY) license (https://creativecommons.org/licenses/by/4.0/).
Share and Cite
Sultan, H.A.; Elfeil, W.K.; Nour, A.A.; Tantawy, L.; Kamel, E.G.; Eed, E.M.; El Askary, A.; Talaat, S. Efficacy of the Newcastle Disease Virus Genotype VII.1.1-Matched Vaccines in Commercial Broilers. Vaccines 2022, 10, 29. https://doi.org/10.3390/vaccines10010029
Sultan HA, Elfeil WK, Nour AA, Tantawy L, Kamel EG, Eed EM, El Askary A, Talaat S. Efficacy of the Newcastle Disease Virus Genotype VII.1.1-Matched Vaccines in Commercial Broilers. Vaccines. 2022; 10(1):29. https://doi.org/10.3390/vaccines10010029
Chicago/Turabian StyleSultan, Hesham A., Wael K. Elfeil, Ahmed A. Nour, Laila Tantawy, Elsayed G. Kamel, Emad M. Eed, Ahmad El Askary, and Shaimaa Talaat. 2022. "Efficacy of the Newcastle Disease Virus Genotype VII.1.1-Matched Vaccines in Commercial Broilers" Vaccines 10, no. 1: 29. https://doi.org/10.3390/vaccines10010029
APA StyleSultan, H. A., Elfeil, W. K., Nour, A. A., Tantawy, L., Kamel, E. G., Eed, E. M., El Askary, A., & Talaat, S. (2022). Efficacy of the Newcastle Disease Virus Genotype VII.1.1-Matched Vaccines in Commercial Broilers. Vaccines, 10(1), 29. https://doi.org/10.3390/vaccines10010029

