Bioactive Compounds and Antioxidant Efficacy of Djulis (Chenopodium formosanum) Leaves: Implications for Sustainable Cosmeceutical Development
Abstract
1. Introduction
2. Materials and Methods
2.1. Materials and Sample Preparation
2.2. Physicochemical Properties
2.2.1. Total Carbohydrate
2.2.2. Total Phenolic Content (TPC)
2.2.3. Total Flavonoid Content (TFC)
2.2.4. Chlorophyll
2.2.5. Betacyanin and Betaxanthin
2.3. Antioxidant Capacity
2.3.1. DPPH Free Radical Scavenging Assay
2.3.2. Ferric-Reducing Antioxidant Power (FRAP)
2.3.3. Trolox Equivalent Antioxidant Capacity (TEAC)
2.3.4. N, N-Dimethyl-p-Phenylenediamine (DMPD)
2.3.5. Cupric-Ion-Reducing Antioxidant Capacity Assay (CUPRAC)
2.4. Dermatology Skin Test
2.5. Statistical Analysis
3. Results and Discussion
3.1. Physicochemical Properties of Djulis Leaves
3.2. Antioxidant Capacity of Djulis Leaves
3.3. Color and Appearance of Djulis Leaf Gel
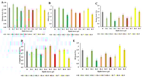
3.4. Dermatological Test of Djulis Leaf Gel
3.5. Correlation Analysis
4. Conclusions
Supplementary Materials
Author Contributions
Funding
Institutional Review Board Statement
Informed Consent Statement
Data Availability Statement
Conflicts of Interest
References
- Cheng, Y.-T.; Lu, W.-C.; Chan, Y.-J.; Huang, P.-H.; Chiang, P.-Y.; Chen, R.-S.; Li, P.-H. Effect of extruded djulis (Chenopodium formosanum) snacks on the ameliorative potential against diabetic cardiomyopathy. J. Funct. Foods 2024, 116, 106154. [Google Scholar] [CrossRef]
- Lu, W.-C.; Chan, Y.-J.; Tseng, F.-Y.; Chiang, P.-Y.; Li, P.-H. Production and physicochemical properties of starch isolated from djulis (Chenopodium formosanum). Foods 2019, 8, 551. [Google Scholar] [CrossRef] [PubMed]
- Chio, E.H.; Yang, E.-C.; Huang, H.-T.; Hsu, E.-L.; Chen, C.-R.; Huang, C.-G.; Huang, R.-N. Toxicity and repellence of Taiwanese indigenous djulis, Chenopodium formosaneum, against Aedes albopictus (Diptera: Culicidae) and Forcipomyia taiwana (Diptera: Ceratopogonidae). J. Pest Sci. 2013, 86, 705–712. [Google Scholar] [CrossRef]
- Ker, Y.-B.; Wu, H.-L.; Chen, K.-C.; Peng, R.Y. Nutrient composition of Chenopodium formosanum Koidz. bran: Fractionation and bioactivity of its soluble active polysaccharides. PeerJ 2022, 10, e13459. [Google Scholar] [CrossRef]
- Chu, C.-C.; Chen, S.-Y.; Chyau, C.-C.; Wang, S.-C.; Chu, H.-L.; Duh, P.-D. Djulis (Chenopodium formosanum) and its bioactive compounds protect human lung epithelial A549 cells from oxidative injury induced by particulate matter via Nrf2 signaling pathway. Molecules 2021, 27, 253. [Google Scholar] [CrossRef]
- Hsu, B.; Lin, S.; Inbaraj, B.S.; Chen, B. Simultaneous determination of phenolic acids and flavonoids in Chenopodium formosanum Koidz.(djulis) by HPLC-DAD-ESI–MS/MS. J. Pharm. Biomed. Anal. 2017, 132, 109–116. [Google Scholar] [CrossRef]
- Chen, S.-Y.; Chu, C.-C.; Chyau, C.-C.; Yang, J.-W.; Duh, P.-D. Djulis (Chenopodium formosanum) and its bioactive compounds affect vasodilation, angiotensin converting enzyme activity, and hypertension. Food Biosci. 2019, 32, 100469. [Google Scholar] [CrossRef]
- Li, P.-H.; Chan, Y.-J.; Hou, Y.-W.; Lu, W.-C.; Chen, W.-H.; Tseng, J.-Y.; Mulio, A.T. Functionality of djulis (Chenopodium formosanum) by-products and in vivo anti-diabetes effect in type 2 diabetes mellitus patients. Biology 2021, 10, 160. [Google Scholar] [CrossRef]
- Ye, J.-W.; Ong, W.A.; Chao, Y.-Y. Analysis of antioxidant capacity of different colour strain of djulis (Chenopodium formosanum Koidz.). Int. J. Agric. Innov. Technol. Glob. 2021, 2, 157–172. [Google Scholar] [CrossRef]
- Chao, Y.-Y.; Hsueh, I.E. Insights into Physiological Mechanisms of Salt Stress Tolerance in Djulis (Chenopodium formosanum Koidz.) Sprouts. J. Plant Biol. 2019, 62, 273. [Google Scholar] [CrossRef]
- Baranski, R.; Goldman, I.; Nothnagel, T.; Budahn, H.; Scott, J.W. Chapter 22—Improving color sources by plant breeding and cultivation. In Handbook on Natural Pigments in Food and Beverages (Second Edition); Schweiggert, R., Ed.; Woodhead Publishing: Cambridge, UK, 2024; pp. 507–553. [Google Scholar]
- Xie, G.-R.; Chen, H.-J. Comprehensive Betalain Profiling of Djulis (Chenopodium formosanum) Cultivars Using HPLC-Q-Orbitrap High-Resolution Mass Spectrometry. J. Agric. Food Chem. 2021, 69, 15699–15715. [Google Scholar] [CrossRef] [PubMed]
- Sepúlveda-Jiménez, G.; Rueda-Benítez, P.; Porta, H.; Rocha-Sosa, M. Betacyanin synthesis in red beet (Beta vulgaris) leaves induced by wounding and bacterial infiltration is preceded by an oxidative burst. Physiol. Mol. Plant Pathol. 2004, 64, 125–133. [Google Scholar] [CrossRef]
- Miguel, M.G. Betalains in Some Species of the Amaranthaceae Family: A Review. Antioxidants 2018, 7, 53. [Google Scholar] [CrossRef] [PubMed]
- Kuai, B.; Chen, J.; Hörtensteiner, S. The biochemistry and molecular biology of chlorophyll breakdown. J. Exp. Bot. 2017, 69, 751–767. [Google Scholar] [CrossRef]
- Lin, Y.-M.; Chung, Y.-C.; Chen, P.-Y.; Chang, Y.-C.; Chen, W.-L. Fermentation of Chenopodium formosanum Leaf Extract with Aspergillus oryzae Significantly Enhanced Its Physiological Activities. Appl. Sci. 2023, 13, 2917. [Google Scholar] [CrossRef]
- Li, P.-H.; Chan, Y.-J.; Lu, W.-C.; Huang, D.-W.; Chang, T.-C.; Chang, W.-H.; Nie, X.-B.; Jiang, C.-X.; Zhang, X.-L. Bioresource utilization of djulis (Chenopodium formosanum) biomass as natural antioxidants. Sustainability 2020, 12, 5926. [Google Scholar] [CrossRef]
- del Carpio-Jiménez, C.; Molleda-Gutierrez, R.S.; Tapia-Delgado, P. Evaluation of Properties of Chenopodium pallidicaule (Cañihua) Oil for Possible Use in Cosmetic Formulations. J. Oleo Sci. 2023, 72, 501–509. [Google Scholar] [CrossRef]
- Lin, Y.-K.; Chung, Y.-M.; Lin, Y.-H.; Lin, Y.-H.; Hu, W.-C.; Chiang, C.-F. Health functional properties of unhulled red djulis (Chenopodium formosanum) in anti-aging. Int. J. Food Prop. 2021, 24, 833–844. [Google Scholar] [CrossRef]
- Lyu, J.-L.; Liu, Y.-J.; Wen, K.-C.; Chiu, C.-Y.; Lin, Y.-H.; Chiang, H.-M. Protective Effect of Djulis (Chenopodium formosanum) Extract against UV- and AGEs-Induced Skin Aging via Alleviating Oxidative Stress and Collagen Degradation. Molecules 2022, 27, 2332. [Google Scholar] [CrossRef]
- Lu, W.-C.; Chiu, C.-S.; Chan, Y.-J.; Guo, T.-P.; Lin, C.-C.; Wang, P.-C.; Lin, P.-Y.; Mulio, A.T.; Li, P.-H. An In Vivo Study to Evaluate the Efficacy of Blue Shark (Prionace glauca) Cartilage Collagen as a Cosmetic. Mar. Drugs 2022, 20, 633. [Google Scholar] [CrossRef]
- Dzah, C.S.; Kpodo, F.M.K.; Asante-Donyinah, D.; Boateng, N.A.S. The influence of Morinda citrifolia fruit maturity level, parts and storage length on total phenols, ascorbic acid, antioxidant activity and ethylene gas emission. Food Chem. Adv. 2024, 4, 100599. [Google Scholar] [CrossRef]
- Hernanz, D.; Palomar, M.Á.; Moujanni, A.; Essamadi, A.; Heredia, F.J.; Terrab, A. Phenolic compounds and color of labeled resin spurge honey and their correlations with pollen content. LWT 2022, 169, 113987. [Google Scholar] [CrossRef]
- Sato, T.; Shimoda, Y.; Matsuda, K.; Tanaka, A.; Ito, H. Mg-dechelation of chlorophyll a by Stay-Green activates chlorophyll b degradation through expressing Non-Yellow Coloring 1 in Arabidopsis thaliana. J. Plant Physiol. 2018, 222, 94–102. [Google Scholar] [CrossRef]
- Chao, Y.-Y.; Wang, W.-J.; Liu, Y.-T. Effect of Calcium on the Growth of Djulis (Chenopodium formosanum Koidz.) Sprouts. Agronomy 2021, 11, 82. [Google Scholar] [CrossRef]
- López, M.A.H.; Luna-Suárez, S.; Macuil, R.J.D.; Cárdenas, F.d.F.R. Simple and efficient protocol for amaranth betalains extraction and stability analysis by ATR-FTIR spectroscopy. J. Cereal Sci. 2023, 113, 103745. [Google Scholar] [CrossRef]
- Lin, P.-H.; Chao, Y.-Y. Different drought-tolerant mechanisms in quinoa (Chenopodium quinoa Willd.) and djulis (Chenopodium formosanum Koidz.) based on physiological analysis. Plants 2021, 10, 2279. [Google Scholar] [CrossRef]
- Zhang, M.; Shen, J.; Wu, Y.; Zhang, X.; Zhao, Z.; Wang, J.; Cheng, T.; Zhang, Q.; Pan, H. Comparative transcriptome analysis identified ChlH and POLGAMMA2 in regulating yellow-leaf coloration in Forsythia. Front. Plant Sci. 2022, 13, 1009575. [Google Scholar] [CrossRef]
- Akula, R.; Ravishankar, G.A. Influence of abiotic stress signals on secondary metabolites in plants. Plant Signal. Behav. 2011, 6, 1720–1731. [Google Scholar] [CrossRef]
- Singh, A.K.; Dhanapal, S.; Yadav, B.S. The dynamic responses of plant physiology and metabolism during environmental stress progression. Mol. Biol. Rep. 2020, 47, 1459–1470. [Google Scholar] [CrossRef]
- Chowdhary, V.; Alooparampil, S.; Pandya, R.V.; Tank, J.G. Physiological function of phenolic compounds in plant defense system. In Phenolic Compounds—Chemistry, Synthesis, Diversity, Non-Conventional Industrial, Pharmaceutical and Therapeutic Applications; IntechOpen Limited: London, UK, 2021. [Google Scholar]
- Ustin, S.L.; Jacquemoud, S. How the optical properties of leaves modify the absorption and scattering of energy and enhance leaf functionality. In Remote Sensing of Plant Biodiversity; Springer: Berlin/Heidelberg, Germany, 2020; pp. 349–384. [Google Scholar]
- Rumpf, J.; Burger, R.; Schulze, M. Statistical evaluation of DPPH, ABTS, FRAP, and Folin-Ciocalteu assays to assess the antioxidant capacity of lignins. Int. J. Biol. Macromol. 2023, 233, 123470. [Google Scholar] [CrossRef]
- Paiva, L.; Rego, C.; Lima, E.; Marcone, M.; Baptista, J. Comparative Analysis of the Polyphenols, Caffeine, and Antioxidant Activities of Green Tea, White Tea, and Flowers from Azorean Camellia sinensis Varieties Affected by Different Harvested and Processing Conditions. Antioxidants 2021, 10, 183. [Google Scholar] [CrossRef] [PubMed]
- Maxiselly, Y.; Anusornwanit, P.; Rugkong, A.; Chiarawipa, R.; Chanjula, P. Morpho-physiological traits, phytochemical composition, and antioxidant activity of canephora coffee leaves at various stages. Int. J. Plant Biol. 2022, 13, 106–114. [Google Scholar] [CrossRef]
- Anju, T.R.; Parvathy, S.; Valiya Veettil, M.; Rosemary, J.; Ansalna, T.H.; Shahzabanu, M.M.; Devika, S. Green synthesis of silver nanoparticles from Aloe vera leaf extract and its antimicrobial activity. Mater. Today Proc. 2021, 43, 3956–3960. [Google Scholar] [CrossRef]
- Ghosh, S.; Sarkar, T.; Das, A.; Chakraborty, R. Natural colorants from plant pigments and their encapsulation: An emerging window for the food industry. Lwt 2022, 153, 112527. [Google Scholar] [CrossRef]
- Majeed, M.; Majeed, S.; Jain, R.; Mundkur, L.; Rajalakshmi, H.; Lad, P.S.; Neupane, P. An open-label single-arm, monocentric study assessing the efficacy and safety of natural pterostilbene (Pterocarpus marsupium) for skin brightening and antiaging effects. Clin. Cosmet. Investig. Dermatol. 2020, 13, 105–116. [Google Scholar] [CrossRef]
- Ferruzzi, M.G.; Blakeslee, J. Digestion, absorption, and cancer preventative activity of dietary chlorophyll derivatives. Nutr. Res. 2007, 27, 1–12. [Google Scholar] [CrossRef]
- Tossi, V.E.; Martínez Tosar, L.; Pitta-Álvarez, S.I.; Causin, H.F. Casting light on the pathway to betalain biosynthesis: A review. Environ. Exp. Bot. 2021, 186, 104464. [Google Scholar] [CrossRef]
- Stajčić, S.; Ćetković, G.; Tumbas Šaponjac, V.; Travičić, V.; Ilić, P.; Brunet, S.; Tomić, A. Bioactive Compounds and the Antioxidant Activity of Selected Vegetable Microgreens: A Correlation Study. Processes 2024, 12, 1743. [Google Scholar] [CrossRef]






| Djulis Leaves Extracts (g) | Water (mL) | Carbopol (g) | TEA (g) | Glycerin (g) | Anti-Microbial Agent (g) |
|---|---|---|---|---|---|
| 0 | 100 | 0.6 | 0.2 | 5 | 0.3 |
| 0.0625 | 100 | 0.6 | 0.2 | 5 | 0.3 |
| 0.125 | 100 | 0.6 | 0.2 | 5 | 0.3 |
| 0.25 | 100 | 0.6 | 0.2 | 5 | 0.3 |
Disclaimer/Publisher’s Note: The statements, opinions and data contained in all publications are solely those of the individual author(s) and contributor(s) and not of MDPI and/or the editor(s). MDPI and/or the editor(s) disclaim responsibility for any injury to people or property resulting from any ideas, methods, instructions or products referred to in the content. |
© 2025 by the authors. Licensee MDPI, Basel, Switzerland. This article is an open access article distributed under the terms and conditions of the Creative Commons Attribution (CC BY) license (https://creativecommons.org/licenses/by/4.0/).
Share and Cite
Chiu, C.-S.; Chan, Y.-J.; Wu, Y.-Z.; Lu, W.-C.; Chiang, P.-Y.; Li, P.-H. Bioactive Compounds and Antioxidant Efficacy of Djulis (Chenopodium formosanum) Leaves: Implications for Sustainable Cosmeceutical Development. Antioxidants 2025, 14, 202. https://doi.org/10.3390/antiox14020202
Chiu C-S, Chan Y-J, Wu Y-Z, Lu W-C, Chiang P-Y, Li P-H. Bioactive Compounds and Antioxidant Efficacy of Djulis (Chenopodium formosanum) Leaves: Implications for Sustainable Cosmeceutical Development. Antioxidants. 2025; 14(2):202. https://doi.org/10.3390/antiox14020202
Chicago/Turabian StyleChiu, Chien-Shan, Yung-Jia Chan, Yan-Zhen Wu, Wen-Chien Lu, Po-Yuan Chiang, and Po-Hsien Li. 2025. "Bioactive Compounds and Antioxidant Efficacy of Djulis (Chenopodium formosanum) Leaves: Implications for Sustainable Cosmeceutical Development" Antioxidants 14, no. 2: 202. https://doi.org/10.3390/antiox14020202
APA StyleChiu, C.-S., Chan, Y.-J., Wu, Y.-Z., Lu, W.-C., Chiang, P.-Y., & Li, P.-H. (2025). Bioactive Compounds and Antioxidant Efficacy of Djulis (Chenopodium formosanum) Leaves: Implications for Sustainable Cosmeceutical Development. Antioxidants, 14(2), 202. https://doi.org/10.3390/antiox14020202

