Ornipural® Mitigates Malathion-Induced Hepato-Renal Damage in Rats via Amelioration of Oxidative Stress Biomarkers, Restoration of Antioxidant Activity, and Attenuation of Inflammatory Response
Abstract
1. Introduction
2. Materials and Methods
2.1. Chemicals
2.2. Experimental Animals, Treatment Protocol, and Ethical Considerations
2.3. Assessment of Hepato-Renal Functional and Metabolic Serum Parameters
2.4. Investigation of Hepato-Renal Oxidant and Antioxidant Tissue Parameters
2.5. Assay of Pro-Inflammatory Cytokines Gene Expression in Livers and Kidneys
2.6. Histopathological Examination
2.7. Statistical Analysis
3. Results
3.1. Performance and Relative Weight of Livers and Kidneys
3.2. Hepato-Renal Functional and Metabolic Serum Parameters
3.3. Evaluation of Oxidative Stress in Liver and Kidney Tissue
3.4. Inflammatory Cytokines Genes Expression
3.5. Changes on 8-Hydroxydeoxyguanosine (8-OHdG) and TNF-Alpha
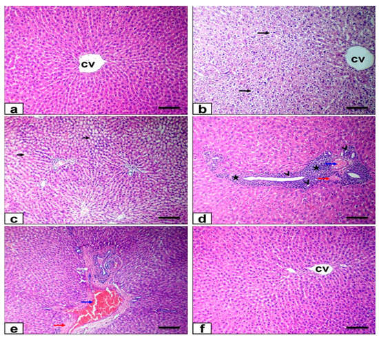
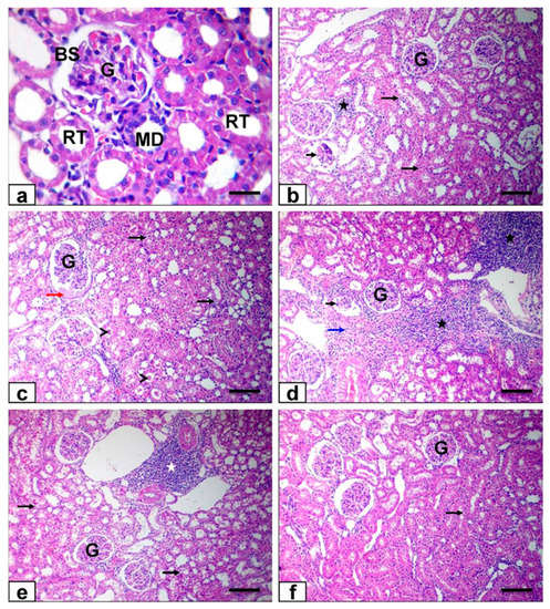
3.6. Histopathological Findings
4. Discussion
5. Conclusions
Author Contributions
Funding
Institutional Review Board Statement
Informed Consent Statement
Data Availability Statement
Acknowledgments
Conflicts of Interest
References
- Selmi, S.; Rtibi, K.; Grami, D.; Sebai, H.; Marzouki, L. Malathion, an organophosphate insecticide, provokes metabolic, histopathologic and molecular disorders in liver and kidney in prepubertal male mice. Toxicol. Rep. 2018, 5, 189–195. [Google Scholar] [CrossRef]
- Zidan, N.E.-H.A. Hepato-and nephrotoxicity in male albino rats exposed to malathion and spinosad in stored wheat grains. Acta Biol. Hung. 2015, 66, 133–148. [Google Scholar] [CrossRef] [PubMed]
- Badr, A.M. Organophosphate toxicity: Updates of malathion potential toxic effects in mammals and potential treatments. Environ. Sci. Pollut. Res. 2020, 27, 26036–26057. [Google Scholar] [CrossRef] [PubMed]
- Fortunato, J.J.; Feier, G.; Vitali, A.M.; Petronilho, F.C.; Dal-Pizzol, F.; Quevedo, J. Malathion-induced oxidative stress in rat brain regions. Neurochem. Res. 2006, 31, 671–678. [Google Scholar] [CrossRef] [PubMed]
- Varol, S.; Başarslan, S.; Fırat, U.; Alp, H.; Uzar, E.; Arıkanoğlu, A.; Evliyaoğlu, O.; Acar, A.; Yücel, Y.; Kıbrıslı, E. Detection of borderline dosage of malathion intoxication in a rat’s brain. Eur. Rev. Med. Pharm. Sci. 2015, 19, 2318–2323. [Google Scholar]
- Del-Rahman, A.; Dechkovskaia, A.M.; Goldstein, L.B.; Bullman, S.H.; Khan, W.; El-Masry, E.M.; Abou-Donia, M.B. Neurological deficits induced by malathion, DEET, and permethrin, alone or in combination in adult rats. J. Toxicol. Environ. Health Part A 2004, 67, 331–356. [Google Scholar] [CrossRef]
- Dos Santos, A.A.; dos Santos, D.B.; Ribeiro, R.P.; Colle, D.; Peres, K.C.; Hermes, J.; Barbosa, A.M.; Dafré, A.L.; de Bem, A.F.; Kuca, K. Effects of K074 and pralidoxime on antioxidant and acetylcholinesterase response in malathion-poisoned mice. Neurotoxicology 2011, 32, 888–895. [Google Scholar] [CrossRef]
- Dos Santos, A.A.; Naime, A.A.; de Oliveira, J.; Colle, D.; Dos Santos, D.B.; Hort, M.A.; Moreira, E.L.G.; Suñol, C.; de Bem, A.F.; Farina, M. Long-term and low-dose malathion exposure causes cognitive impairment in adult mice: Evidence of hippocampal mitochondrial dysfunction, astrogliosis and apoptotic events. Arch. Toxicol. 2016, 90, 647–660. [Google Scholar] [CrossRef]
- Navarrete-Meneses, M.; Salas-Labadía, C.; Sanabrais-Jiménez, M.; Santana-Hernández, J.; Serrano-Cuevas, A.; Juárez-Velázquez, R.; Olaya-Vargas, A.; Pérez-Vera, P. Exposure to the insecticides permethrin and malathion induces leukemia and lymphoma-associated gene aberrations in vitro. Toxicol. Vitr. 2017, 44, 17–26. [Google Scholar] [CrossRef]
- Waheed, S.; Halsall, C.; Sweetman, A.J.; Jones, K.C.; Malik, R.N. Pesticides contaminated dust exposure, risk diagnosis and exposure markers in occupational and residential settings of Lahore, Pakistan. Environ. Toxicol. Pharmacol. 2017, 56, 375–382. [Google Scholar] [CrossRef]
- Selmi, S.; El-Fazaa, S.; Gharbi, N. Oxidative stress and cholinesterase inhibition in plasma, erythrocyte and brain of rats’ pups following lactational exposure to malathion. Environ. Toxicol. Pharmacol. 2012, 34, 753–760. [Google Scholar] [CrossRef] [PubMed]
- Baiomy, A.A.; Attia, H.F.; Soliman, M.M.; Makrum, O. Protective effect of ginger and zinc chloride mixture on the liver and kidney alterations induced by malathion toxicity. Int. J. Immunopathol. Pharmacol. 2015, 28, 122–128. [Google Scholar] [CrossRef]
- Yan, J.; Xiang, B.; Wang, D.; Tang, S.; Teng, M.; Yan, S.; Zhou, Z.; Zhu, W. Different toxic effects of racemate, enantiomers, and metabolite of malathion on HepG2 cells using high-performance liquid chromatography–quadrupole–time-of-flight-based metabolomics. J. Agric. Food Chem. 2019, 67, 1784–1794. [Google Scholar] [CrossRef] [PubMed]
- Shieh, P.; Jan, C.-R.; Liang, W.-Z. The protective effects of the antioxidant N-acetylcysteine (NAC) against oxidative stress-associated apoptosis evoked by the organophosphorus insecticide malathion in normal human astrocytes. Toxicology 2019, 417, 1–14. [Google Scholar] [CrossRef] [PubMed]
- Bhardwaj, J.K.; Saraf, P.; Kumari, P.; Mittal, M.; Kumar, V. N-Acetyl-cysteine mediated inhibition of spermatogonial cells apoptosis against malathion exposure in testicular tissue. J. Biochem. Mol. Toxicol. 2018, 32, e22046. [Google Scholar] [CrossRef]
- Abdel-Salam, O.M.; Youness, E.R.; Mohammed, N.A.; Yassen, N.N.; Khadrawy, Y.A.; El-Toukhy, S.E.; Sleem, A.A. Nitric oxide synthase inhibitors protect against brain and liver damage caused by acute malathion intoxication. Asian Pac. J. Trop. Med. 2017, 10, 773–786. [Google Scholar] [CrossRef]
- Akbel, E.; Arslan-Acaroz, D.; Demirel, H.H.; Kucukkurt, I.; Ince, S. The subchronic exposure to malathion, an organophosphate pesticide, causes lipid peroxidation, oxidative stress, and tissue damage in rats: The protective role of resveratrol. Toxicol. Res. 2018, 7, 503–512. [Google Scholar] [CrossRef]
- Selmi, S.; El-Fazaa, S.; Gharbi, N. Oxidative stress and alteration of biochemical markers in liver and kidney by malathion in rat pups. Toxicol. Ind. Health 2015, 31, 783–788. [Google Scholar] [CrossRef]
- Ramadan, G.; El-Beih, N.M.; Ahmed, R.S. Aged garlic extract ameliorates immunotoxicity, hematotoxicity and impaired burn-healing in malathion-and carbaryl-treated male albino rats. Environ. Toxicol. 2017, 32, 789–798. [Google Scholar] [CrossRef]
- World Health Organization. The World Health Report 2006: Working Together for Health; World Health Organization: Geneva, Switzerland, 2006.
- World Health Organization. International Classification of Functioning, Disability, and Health: Children & Youth Version: ICF-CY; World Health Organization: Geneva, Switzerland, 2007.
- Kiely, T.; Donaldson, D.; Grube, A. Pesticides Industry Sales and Usage: 2000 and 2001 Market Estimates; US Environmental Protection Agency: Washington, DC, USA, 2004; p. 114.
- Oneta, C.M. Non-alcoholic fatty liver disease: Treatment options based on pathogenic considerations. Swiss Med. Wkly. 2002, 132, 493–505. [Google Scholar]
- Frame, L.A.; Costa, E.; Jackson, S.A. Current explorations of nutrition and the gut microbiome: A comprehensive evaluation of the review literature. Nutr. Rev. 2020, 78, 798–812. [Google Scholar] [CrossRef] [PubMed]
- Breuillard, C.; Cynober, L.; Moinard, C. Citrulline and nitrogen homeostasis: An overview. Amino Acids 2015, 47, 685–691. [Google Scholar] [CrossRef] [PubMed]
- Stewart, P.M.; Walser, M. Short term regulation of ureagenesis. J. Biol. Chem. 1980, 255, 5270–5280. [Google Scholar] [CrossRef]
- Uzun, F.G.; Kalender, S.; Durak, D.; Demir, F.; Kalender, Y. Malathion-induced testicular toxicity in male rats and the protective effect of vitamins C and E. Food Chem. Toxicol. 2009, 47, 1903–1908. [Google Scholar] [CrossRef] [PubMed]
- Reitman, S.; Frankel, S. A colorimetric method for the determination of serum glutamic oxalacetic and glutamic pyruvic transaminases. Am. J. Clin. Pathol. 1957, 28, 56–63. [Google Scholar] [CrossRef] [PubMed]
- Tietz, N.; Burtis, C.; Duncan, P.; Ervin, K.; Petitclerc, C.; Rinker, A.; Shuey, D.; Zygowicz, E. A reference method for measurement of alkaline phosphatase activity in human serum. Clin. Chem. 1983, 29, 751–761. [Google Scholar] [CrossRef] [PubMed]
- Doumas, B.; Baysa, D.; Carter, R.; Peters, T.; Schaffer, R. Determination of serum total protein. Clin. Chem. 1981, 27, 1642. [Google Scholar] [CrossRef] [PubMed]
- Coulombe, J.J.; Favreau, L. A new simple semimicro method for colorimetric determination of urea. Clin. Chem. 1963, 9, 102–108. [Google Scholar] [CrossRef]
- Bartels, H. Serum creatinine without interference. Clin. Chem. Acta 1972, 37, 193–197. [Google Scholar] [CrossRef]
- CARAWAY, W.T.; HALD, P.M. Uric acid. In Standard Methods of Clinical Chemistry; Elsevier: Amsterdam, The Netherlands, 1963; Volume 4, pp. 239–247. [Google Scholar]
- Lopes-Virella, M.F.; Stone, P.G.; Colwell, J.A. Serum high density lipoprotein in diabetic patients. Diabetologia 1977, 13, 285–291. [Google Scholar] [CrossRef]
- Friedewald, W.T.; Levy, R.I.; Fredrickson, D.S. Estimation of the concentration of low-density lipoprotein cholesterol in plasma, without use of the preparative ultracentrifuge. Clin. Chem 1972, 18, 499–502. [Google Scholar] [CrossRef] [PubMed]
- Bancroft, J.D.; Gamble, M. Theory and Practice of Histological Techniques; Elsevier Health Sciences: Amsterdam, The Netherlands, 2008. [Google Scholar]
- Lasram, M.M.; Annabi, A.B.; Rezg, R.; Elj, N.; Slimen, S.; Kamoun, A.; El-Fazaa, S.; Gharbi, N. Effect of short-time malathion administration on glucose homeostasis in Wistar rat. Pestic. Biochem. Physiol. 2008, 92, 114–119. [Google Scholar] [CrossRef]
- Nili-Ahmadabadi, A.; Pourkhalili, N.; Fouladdel, S.; Pakzad, M.; Mostafalou, S.; Hassani, S.; Baeeri, M.; Azizi, E.; Ostad, S.N.; Hosseini, R. On the biochemical and molecular mechanisms by which malathion induces dysfunction in pancreatic islets in vivo and in vitro. Pestic. Biochem. Physiol. 2013, 106, 51–60. [Google Scholar] [CrossRef]
- Lasram, M.M.; Dhouib, I.B.; Bouzid, K.; Lamine, A.J.; Annabi, A.; Belhadjhmida, N.; Ahmed, M.B.; El Fazaa, S.; Abdelmoula, J.; Gharbi, N. Association of inflammatory response and oxidative injury in the pathogenesis of liver steatosis and insulin resistance following subchronic exposure to malathion in rats. Environ. Toxicol. Pharmacol. 2014, 38, 542–553. [Google Scholar] [CrossRef]
- Khalifa, F.K.; Alkhalaf, M.I. Effects of black seed and thyme leaves dietary supplements against malathion insecticide-induced toxicity in experimental rat model. J. King Saud Univ.-Sci. 2020, 32, 914–919. [Google Scholar] [CrossRef]
- Jalili, C.; Roshankhah, S.; Moradi, Y.; Salahshoor, M.R. Resveratrol attenuates malathion-induced renal damage by declining oxidative stress in rats. Int. J. Pharm. Investig. 2018, 8, 192–199. [Google Scholar]
- Esen, M.; Uysal, M. Protective effects of intravenous lipid emulsion on malathion-induced hepatotoxicity. Bratisl. Lek. Listy 2018, 119, 373–378. [Google Scholar] [CrossRef]
- Moore, P.D.; Patlolla, A.K.; Tchounwou, P.B. Cytogenetic evaluation of malathion-induced toxicity in Sprague-Dawley rats. Mutat. Res./Genet. Toxicol. Environ. Mutagenes. 2011, 725, 78–82. [Google Scholar] [CrossRef][Green Version]
- Buratti, F.M.; D’aniello, A.; Volpe, M.T.; Meneguz, A.; Testai, E. Malathion bioactivation in the human liver: The contribution of different cytochrome P450 isoforms. Drug Metab. Dispos. 2005, 33, 295–302. [Google Scholar] [CrossRef]
- Shedid, S.M.; Abdel-Magied, N.; Saada, H.N. Role of betaine in liver injury induced by the exposure to ionizing radiation. Environ. Toxicol. 2019, 34, 123–130. [Google Scholar] [CrossRef]
- Elbassuoni, E.A.; Ragy, M.M.; Ahmed, S.M. Evidence of the protective effect of l-arginine and vitamin D against monosodium glutamate-induced liver and kidney dysfunction in rats. Biomed. Pharmacother. 2018, 108, 799–808. [Google Scholar] [CrossRef] [PubMed]
- Clark, T.; Tinsley, J.; Sigholt, T.; Macqueen, D.; Martin, S. Supplementation of arginine, ornithine and citrulline in rainbow trout (Oncorhynchus mykiss): Effects on growth, amino acid levels in plasma and gene expression responses in liver tissue. Comp. Biochem. Physiol. Part A Mol. Integr. Physiol. 2020, 241, 110632. [Google Scholar] [CrossRef] [PubMed]
- Vong, L.B.; Ibayashi, Y.; Lee, Y.; Ngo, D.-N.; Nishikawa, Y.; Nagasaki, Y. Poly (ornithine)-based self-assembling drug for recovery of hyperammonemia and damage in acute liver injury. J. Control. Release 2019, 310, 74–81. [Google Scholar] [CrossRef] [PubMed]
- Rashid, J.; Kumar, S.S.; Job, K.M.; Liu, X.; Fike, C.D.; Sherwin, C.M. Therapeutic potential of citrulline as an arginine supplement: A clinical pharmacology review. Pediatric Drugs 2020, 22, 279–293. [Google Scholar] [CrossRef] [PubMed]
- Lie, A.H.; Chandra-Hioe, M.V.; Arcot, J. Sorbitol enhances the physicochemical stability of B12 vitamers. Int. J. Vitam. Nutr. Res. 2019, 90, 1–9. [Google Scholar]
- Umeda, M.; Hiramoto, M.; Watanabe, A.; Tsunoda, N.; Imai, T. Arginine-induced insulin secretion in endoplasmic reticulum. Biochem. Biophys. Res. Commun. 2015, 466, 717–722. [Google Scholar] [CrossRef]
- Kanaley, J.A. Growth hormone, arginine and exercise. Curr. Opin. Clin. Nutr. Metab. Care 2008, 11, 50–54. [Google Scholar] [CrossRef]
- Day, C.R.; Kempson, S.A. Betaine chemistry, roles, and potential use in liver disease. Biochim. Biophys. Acta (BBA)-Gen. Subj. 2016, 1860, 1098–1106. [Google Scholar] [CrossRef]
- Zhang, L.; Qi, Y.; ALuo, Z.; Liu, S.; Zhang, Z.; Zhou, L. Betaine increases mitochondrial content and improves hepatic lipid metabolism. Food Funct. 2019, 10, 216–223. [Google Scholar] [CrossRef]
- Davies, N.A.; Wright, G.; Ytrebø, L.M.; Stadlbauer, V.; Fuskevåg, O.M.; Zwingmann, C.; Davies, D.C.; Habtesion, A.; Hodges, S.J.; Jalan, R. L-ornithine and phenylacetate synergistically produce sustained reduction in ammonia and brain water in cirrhotic rats. Hepatology 2009, 50, 155–164. [Google Scholar] [CrossRef]
- Paßlack, N.; Zentek, J. Effects of dietary arginine, ornithine, and zeolite supplementation on uremic toxins in cats. Toxins 2018, 10, 206. [Google Scholar] [CrossRef] [PubMed]
- Hassanpour, S.; Rezaei, H.; Razavi, S.M. Anti-nociceptive and antioxidant activity of betaine on formalin-and writhing tests induced pain in mice. Behav. Brain Res. 2020, 390, 112699. [Google Scholar] [CrossRef]
- Shin, S.; Gombedza, F.C.; Bandyopadhyay, B.C. L-ornithine activates Ca2+ signaling to exert its protective function on human proximal tubular cells. Cell. Signal. 2020, 67, 109484. [Google Scholar] [CrossRef] [PubMed]
- Sun, J.; Wen, S.; Zhou, J.; Ding, S. Association between malnutrition and hyperhomocysteine in Alzheimer’s disease patients and diet intervention of betaine. J. Clin. Lab. Anal. 2017, 31, e22090. [Google Scholar] [CrossRef] [PubMed]
- Nobari, H.; Cholewa, J.M.; Pérez-Gómez, J.; Castillo-Rodríguez, A. Effects of 14-weeks betaine supplementation on pro-inflammatory cytokines and hematology status in professional youth soccer players during a competition season: A double blind, randomized, placebo-controlled trial. J. Int. Soc. Sports Nutr. 2021, 18, 42. [Google Scholar] [CrossRef] [PubMed]
- Tonelli, C.; Chio, I.I.C.; Tuveson, D.A. Transcriptional regulation by Nrf2. Antioxid. Redox Signal. 2018, 29, 1727–1745. [Google Scholar] [CrossRef] [PubMed]
- Hassan, M.; Watari, H.; AbuAlmaaty, A.; Ohba, Y.; Sakuragi, N. Apoptosis and molecular targeting therapy in cancer. BioMed. Res. Int. 2014, 2014, 150845. [Google Scholar] [CrossRef]
- Doğru-Abbasoğlu, S.; Soluk-Tekkeşin, M.; Olgaç, V.; Uysal, M. Effect of betaine treatment on the regression of existing hepatic triglyceride accumulation and oxidative stress in rats fed on high fructose diet. Gen. Physiol. Biophys. 2018, 37, 563–570. [Google Scholar]
- Heidari, R.; Niknahad, H.; Sadeghi, A.; Mohammadi, H.; Ghanbarinejad, V.; Ommati, M.M.; Hosseini, A.; Azarpira, N.; Khodaei, F.; Farshad, O. Betaine treatment protects liver through regulating mitochondrial function and counteracting oxidative stress in acute and chronic animal models of hepatic injury. Biomed. Pharmacother. 2018, 103, 75–86. [Google Scholar] [CrossRef]
- Acquaviva, R.; Lanteri, R.; Li Destri, G.; Caltabiano, R.; Vanella, L.; Lanzafame, S.; Di Cataldo, A.; Li Volti, G.; Di Giacomo, C. Beneficial effects of rutin and L-arginine coadministration in a rat model of liver ischemia-reperfusion injury. Am. J. Physiol.-Gastrointest. Liver Physiol. 2009, 296, G664–G670. [Google Scholar] [CrossRef]
- Aziz, N.; Kamel, M.; Rifaai, R. Effects of hemin, a heme oxygenase-1 inducer in L-arginine-induced acute pancreatitis and associated lung injury in adult male albino rats. Endocr. Regul. 2017, 51, 20–30. [Google Scholar] [CrossRef] [PubMed][Green Version]
- Wu, G.; Bazer, F.W.; Davis, T.A.; Kim, S.W.; Li, P.; Marc Rhoads, J.; Carey Satterfield, M.; Smith, S.B.; Spencer, T.E.; Yin, Y. Arginine metabolism and nutrition in growth, health and disease. Amino Acids 2009, 37, 153–168. [Google Scholar] [CrossRef] [PubMed]
- Lorente, J.A.; Delgado, M.A.; Tejedor, C.; Mon, E.; Hervás, M.; Pascual, T.; Fernández-Segoviano, P.; Rieppi, G.; Soler, A.; Ayuso, D. Modulation of systemic hemodynamics by exogenous L-arginine in normal and bacteremic sheep. Crit. Care Med. 1999, 27, 2474–2479. [Google Scholar] [CrossRef] [PubMed]
- Wesseling, S.; Joles, J.A.; van Goor, H.; Bluyssen, H.A.; Kemmeren, P.; Holstege, F.C.; Koomans, H.A.; Braam, B. Transcriptome-based identification of pro-and antioxidative gene expression in kidney cortex of nitric oxide-depleted rats. Physiol. Genom. 2007, 28, 158–167. [Google Scholar] [CrossRef] [PubMed][Green Version]
- Wileman, S.M.; Mann, G.E.; Pearson, J.D.; Baydoun, A.R. Role of L-citrulline transport in nitric oxide synthesis in rat aortic smooth muscle cells activated with LPS and interferon-γ. Br. J. Pharmacol. 2003, 140, 179–185. [Google Scholar] [CrossRef]
- Ye, X.; Kim, W.S.; Rubakhin, S.S.; Sweedler, J.V. Ubiquitous presence of argininosuccinate at millimolar levels in the central nervous system of Aplysia californica. J. Neurochem. 2007, 101, 632–640. [Google Scholar] [CrossRef]
- Datta, P.K.; Gross, E.J.; Lianos, E.A. Interactions between inducible nitric oxide synthase and heme oxygenase-1 in glomerulonephritis. Kidney Int. 2002, 61, 847–850. [Google Scholar] [CrossRef]
- Kim, J.H.; Yang, J.I.; Jung, M.H.; Hwa, J.S.; Kang, K.-R.; Park, D.J.; Roh, G.S.; Cho, G.J.; Choi, W.S.; Chang, S.-H. Heme oxygenase-1 protects rat kidney from ureteral obstruction via an anti-apoptotic pathway. J. Am. Soc. Nephrol. 2006, 17, 1373–1381. [Google Scholar] [CrossRef]
- Ramana, K.V.; Chandra, D.; Srivastava, S.; Bhatnagar, A.; Srivastava, S.K. Nitric oxide regulates the polyol pathway of glucose metabolism in vascular smooth muscle cells. FASEB J. 2003, 17, 417–425. [Google Scholar] [CrossRef]
- Bonnefont-Rousselot, D. Glucose and reactive oxygen species. Curr. Opin. Clin. Nutr. Metab. Care 2002, 5, 561–568. [Google Scholar] [CrossRef]
- Obrosova, I.G. Increased sorbitol pathway activity generates oxidative stress in tissue sites for diabetic complications. Antioxid. Redox Signal. 2005, 7, 1543–1552. [Google Scholar] [CrossRef] [PubMed]
- Brownlee, M. Glycation products and the pathogenesis of diabetic complications. Diabetes Care 1992, 15, 1835–1843. [Google Scholar] [CrossRef] [PubMed]
- Son, H.-Y.; Kim, H.; Kwon, Y.H. Taurine prevents oxidative damage of high glucose-induced cataractogenesis in isolated rat lenses. J. Nutr. Sci. Vitaminol. 2007, 53, 324–330. [Google Scholar] [CrossRef]
- Mongkhon, J.-M.; Thach, M.; Shi, Q.; Fernandes, J.C.; Fahmi, H.; Benderdour, M. Sorbitol-modified hyaluronic acid reduces oxidative stress, apoptosis and mediators of inflammation and catabolism in human osteoarthritic chondrocytes. Inflamm. Res. 2014, 63, 691–701. [Google Scholar] [CrossRef] [PubMed]
- Kang, K.-W.; Kwak, S.-H.; Yun, S.-Y.; Kim, S.-K. Evaluation of antioxidant activity of sugar alcohols using TOSC (total oxy-radical scavenging capacity) assay. Toxicol. Res. 2007, 23, 143–150. [Google Scholar] [CrossRef]
- Chukwuma, C.I.; Islam, M.S. Sorbitol increases muscle glucose uptake ex vivo and inhibits intestinal glucose absorption ex vivo and in normal and type 2 diabetic rats. Appl. Physiol. Nutr. Metab. 2017, 42, 377–383. [Google Scholar] [CrossRef]
- Livesey, G. Health potential of polyols as sugar replacers, with emphasis on low glycaemic properties. Nutr. Res. Rev. 2003, 16, 163–191. [Google Scholar] [CrossRef]
- Akgün, S.; Ertel, N.H. A comparison of carbohydrate metabolism after sucrose, sorbitol, and fructose meals in normal and diabetic subjects. Diabetes Care 1980, 3, 582–585. [Google Scholar] [CrossRef]
- McClain, C.J.; Kromhout, J.P.; Zieve, L.; Duane, W.C. Effect of sorbitol on psychomotor function: Its use in alcoholic cirrhosis. Arch. Intern. Med. 1981, 141, 901–903. [Google Scholar] [CrossRef]
- Peters, R.; Lock, R. Laxative effect of sorbitol. Br. Med. J. 1958, 2, 677. [Google Scholar] [CrossRef][Green Version]







| Gene | Direction | Primer Sequence | Accession Number |
|---|---|---|---|
| Bax | Sense | GGCGAATTGGCGATGAACTG | NM_017059.2 |
| Antisense | ATGGTTCTGATCAGCTCGGG | ||
| Bcl-2 | Sense | GATTGTGGCCTTCTTTGAGT | NM_016993.1 |
| Antisense | ATAGTTCCACAAAGGCATCC | ||
| GAPDH | Sense | TCAAGAAGGTGGTGAAGCAG | NM_017008.4 |
| Antisense | AGGTGGAAGAATGGGAGTTG | ||
| IL-1β | Sense | ACC CAA GCA CCT TCT TTT CCT T | NM_031512.2 |
| Antisense | ACG GGA AAC CCA TCA CCA T | ||
| HMOX1 | Sense | AGCATGTCCCAGGATTTGTC | NM_012580.2 |
| Antisense | TCACCAGCTTAAAGCCTTCC | ||
| NRF2 | Sense | TTGTAGATGACCATGAGTCGC | NM_031789 |
| Antisense | TGTCCTGCTGTATGCTGCTT | ||
| IFN-γ | Sense | AGGTGAACAACCCACAGAT | NM_138880.3 |
| Antisense | CTTCTTATTGGCACACTCTCTAC |
| Control | Corn Oil Group (Sham) | Malathion | Malathion + Ornipural® | Ornipural® | |
|---|---|---|---|---|---|
| Initial body Weight (g) | 135.05 ± 5.14 | 137.5 ± 5.3 | 144.45 ± 5.4 | 139.48 ± 6.48 | 141.45 ± 4.15 |
| Final body Weight (g) | 268.15 ± 6.45 | 267.9 ± 6.5 | 231.01 ± 6.9 ## | 248.15 ± 8.45 *+ | 265.1 ± 5.3 |
| Bodyweight gain | 133.15 ± 4.8 | 130.4 ± 7.45 | 86.56 ± 4.5 ## | 108.67 ± 4.15 *+ | 123.65 ± 4.15 |
| Absolute Weight of Liver (g) | 6.45 ± 0.52 | 6.63 ± 0.15 | 5.321 ± 0.22 | 5.48 ± 0.6 | 6.51 ± 0.2 |
| Relative liver Weight (g/100 g BW) | 2.40 ± 0.14 | 2.47 ± 0.15 | 2.30 ± 0.14 | 2.20 ± 0.14 | 2.45 ± 0.01 |
| Absolute Weight of Kidney (g) | 1.79 ± 0.12 | 1.77 ± 0.14 | 1.69 ± 0.014 | 1.75 ± 0.1 | 1.76 ± 0.05 |
| Relative Weight of Kidney (g/100 g BW) | 0.66 ± 0.01 | 0.660 ± 0.014 | 0.733 ± 0.01 | 0.70 ± 0.01 | 0.66 ± 0.1 |
| Control | Corn Oil Group | Malathion | Malathion + Ornipural® | Ornipural® | |
|---|---|---|---|---|---|
| AST (U/mL) | 80.58 ± 5.2 | 79.00 ± 5.9 | 172.86 ± 8.6 ## | 89.82 ± 4.5 *+ | 75.26 ± 2.3 |
| ALT (U/mL) | 35.15 ± 3.1 | 34.46 ± 2.5 | 77.07 ± 4.2 ## | 48.43 ± 3.2 *+ | 36.29 ± 1.5 |
| ALP (U/L) | 85.20 ± 4.45 | 83.53 ± 3.6 | 202.49 ± 15.14 ## | 99.82 ± 5.3 **+ | 77.88 ± 4.6 & |
| LDH (U/L) | 194.66 ± 10.2 | 195.75 ± 12.3 | 431.95 ± 17.2 ## | 298.03 ± 10.2 **+ | 192.87 ± 9.01 |
| ACP(U/L) | 101.12 ± 11.2 | 102.14 ± 10.2 | 181.3 ± 10.14 ## | 119.34 ± 10.45 *+ | 100.14 ± 2.9 |
| Bilirubin (mg/dL) | 5.22 ± 0.14 | 5.10 ± 0.10 | 7.15 ± 0.6 # | 6.12 ± 0.4 *+ | 5.01 ± 0.4 |
| Total protein (g/L) | 5.10 ± 0.5 | 5.00 ± 0.1 | 3.42 ± 0.4 # | 4.20 ± 0.2 *+ | 4.95 ± 0.5 |
| Albumin (g/L) | 4.02 ± 0.4 | 3.94 ± 0.6 | 2.92 ± 0.1 # | 3.47 ± 0.1 *+ | 3.91 ± 0.1 |
| Triglycerides (g/L) | 110.29 ± 6.3 | 108.12 ± 10.4 | 67.78 ± 1.3 ## | 84.23 ± 4.5 *+ | 105.05 ± 3.8 |
| HDL-C (mg/dL) | 65.84 ± 4.45 | 63.01 ± 6.48 | 49.12 ± 3.8 ## | 53.14 ± 4.7 *+ | 66.8 ± 5.6 |
| LDL-C (mg/dL) | 101.14 ± 6.1 | 100.4 ± 6.2 | 125.14 ± 6.4 ## | 114.12 ± 4.5 *+ | 99.15 ± 5.2 |
| Cholesterol (mg/dL) | 77.44 ± 4.6 | 79.88 ± 3.4 | 149.10 ± 9.5 ## | 104.20 ± 5.6 *+ | 71.19 ± 3.5 & |
| Uric acid (mg/dL) | 25.46 ± 3.6 | 24.96 ± 1.01 | 80.05 ± 7.5 ## | 41.05 ± 2.5 *+ | 20.97 ± 1.01 |
| Urea (mg/dL) | 21.83 ± 2.3 | 21.40 ± 1.0 | 73.99 ± 4.5 ## | 40.26 ± 3.2 *+ | 18.35 ± 1.04 |
| Creatinine (mg %) | 0.66 ± 0.01 | 0.64 ± 0.01 | 2.05 ± 0.3 # | 1.76 ± 0.1 *+ | 0.57 ± 0.1 |
| AChE (U/L) | 250.01 ± 10.15 | 245.15 ± 11.2 | 75.96 ± 5.8 ## | 126.15 ± 6.48 *+ | 233.15 ± 12.4 |
| Paraoxonase (U/L) | 176.14 ± 13.1 | 177.5 ± 12.4 | 120.14 ± 5.4 ## | 138.56 ± 7.14 *+ | 181.14 ± 13.1 |
| Ammonia (μmol/L) | 128.15 ± 10.12 | 131.14 ± 9.48 | 256.1 ± 17.69 ## | 186.14 ± 12.14 **+ | 130.14 ± 12.69 |
Publisher’s Note: MDPI stays neutral with regard to jurisdictional claims in published maps and institutional affiliations. |
© 2022 by the authors. Licensee MDPI, Basel, Switzerland. This article is an open access article distributed under the terms and conditions of the Creative Commons Attribution (CC BY) license (https://creativecommons.org/licenses/by/4.0/).
Share and Cite
El Okle, O.S.; Tohamy, H.G.; Althobaiti, S.A.; Soliman, M.M.; Ghamry, H.I.; Farrag, F.; Shukry, M. Ornipural® Mitigates Malathion-Induced Hepato-Renal Damage in Rats via Amelioration of Oxidative Stress Biomarkers, Restoration of Antioxidant Activity, and Attenuation of Inflammatory Response. Antioxidants 2022, 11, 757. https://doi.org/10.3390/antiox11040757
El Okle OS, Tohamy HG, Althobaiti SA, Soliman MM, Ghamry HI, Farrag F, Shukry M. Ornipural® Mitigates Malathion-Induced Hepato-Renal Damage in Rats via Amelioration of Oxidative Stress Biomarkers, Restoration of Antioxidant Activity, and Attenuation of Inflammatory Response. Antioxidants. 2022; 11(4):757. https://doi.org/10.3390/antiox11040757
Chicago/Turabian StyleEl Okle, Osama S., Hossam G. Tohamy, Saed A. Althobaiti, Mohamed Mohamed Soliman, Heba I. Ghamry, Foad Farrag, and Mustafa Shukry. 2022. "Ornipural® Mitigates Malathion-Induced Hepato-Renal Damage in Rats via Amelioration of Oxidative Stress Biomarkers, Restoration of Antioxidant Activity, and Attenuation of Inflammatory Response" Antioxidants 11, no. 4: 757. https://doi.org/10.3390/antiox11040757
APA StyleEl Okle, O. S., Tohamy, H. G., Althobaiti, S. A., Soliman, M. M., Ghamry, H. I., Farrag, F., & Shukry, M. (2022). Ornipural® Mitigates Malathion-Induced Hepato-Renal Damage in Rats via Amelioration of Oxidative Stress Biomarkers, Restoration of Antioxidant Activity, and Attenuation of Inflammatory Response. Antioxidants, 11(4), 757. https://doi.org/10.3390/antiox11040757

