Fatty Acid Oxidation and Pro-Resolving Lipid Mediators Are Related to Male Infertility
Abstract
:1. Introduction
2. Materials and Methods
2.1. Patients
- (i)
- idiopathic infertility (n° 23)
- (ii)
- varicocele (n° 21)—where left-sided varicocele was found in 16 cases (grade III in five patients, grade II in seven patients, and grade I in four patients) and right-sided varicocele and bilateral varicocele were diagnosed in two (grade II both) and three (grade I- II), respectively
- (iii)
- leukocytospermia (n° 23)
2.2. Semen Analysis
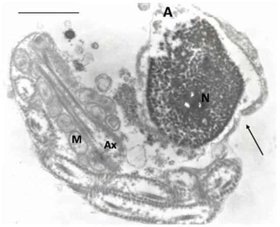
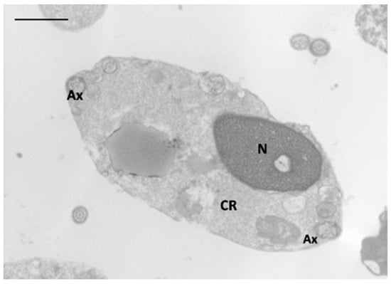
Light and Electron Microscopy
2.3. F2-Isoprostane (IsoP) Determination
2.4. Resolvin D1 (RvD1) Assay
2.5. Analyses of Sperm Membrane Fatty Acid (FA) Composition
2.6. Clinical Biochemistry Determinations
2.7. Phospholipase A2 (PLA2) Determination
2.8. Statistical Analysis
3. Results
4. Discussion
5. Conclusions
Author Contributions
Funding
Institutional Review Board Statement
Informed Consent Statement
Data Availability Statement
Conflicts of Interest
References
- Dennis, E.A.; Norris, P.C. Eicosanoid storm in infection and inflammation. Nat. Rev. Immunol. 2015, 15, 511–523. [Google Scholar] [CrossRef] [Green Version]
- Ripon, M.A.R.; Bhowmik, D.R.; Amin, M.T.; Hossain, M.S. Role of arachidonic cascade in COVID-19 infection: A review. Prostaglandins Other Lipid. Mediat. 2021, 154, 106539. [Google Scholar] [CrossRef] [PubMed]
- Wang, W.; Zhong, X.; Guo, J. Role of 2-series prostaglandins in the pathogenesis of type 2 diabetes mellitus and non-alcoholic fatty liver disease. Int. J. Mol. Med. 2021, 47, 114. [Google Scholar] [CrossRef]
- Chiang, N.; Serhan, C.N. Specialized pro-resolving mediator network: An update on production and actions. Essays Biochem. 2020, 64, 443–462. [Google Scholar] [CrossRef] [PubMed]
- Panigrahy, D.; Gilligan, M.M.; Serhan, C.N.; Kashfi, K. Resolution of inflammation: An organizing principle in biology and medicine. Pharmacol. Ther. 2021, 227, 107879. [Google Scholar] [CrossRef]
- Serhan, C.N.; Hong, S.; Gronert, K.; Colgan, S.P.; Devchand, P.R.; Mirick, G.; Moussignac, R.L. Resolvins: A family of bioactive products of omega-3 fatty acid transformation circuits initiated by aspirin treatment that counter proinflammation signals. J. Exp. Med. 2002, 196, 1025–1037. [Google Scholar] [CrossRef] [PubMed] [Green Version]
- Serhan, C.N.; Levy, B.D. Resolvins in inflammation: Emergence of the pro-resolving superfamily of mediators. J. Clin. Invest. 2018, 128, 2657–2669. [Google Scholar] [CrossRef]
- Chamani, S.; Bianconi, V.; Tasbandi, A.; Pirro, M.; Barreto, G.E.; Jamialahmadi, T.; Sahebkar, A. Resolution of Inflammation in Neurodegenerative Diseases: The Role of Resolvins. Mediat. Inflamm. 2020, 2020, 3267172. [Google Scholar] [CrossRef]
- Serhan, C.N. Pro-resolving lipid mediators are leads for resolution physiology. Nature 2014, 510, 92–101. [Google Scholar] [CrossRef] [Green Version]
- Recchiuti, A. Resolvin D1 and its GPCRs in resolution circuits of inflammation. Prostaglandins Other Lipid. Mediat. 2013, 107, 64–76. [Google Scholar] [CrossRef]
- Collodel, G.; Castellini, C.; Lee, J.C.; Signorini, C. Relevance of Fatty Acids to Sperm Maturation and Quality. Oxid. Med. Cell. Longev. 2020, 2020, 7038124. [Google Scholar] [CrossRef] [PubMed]
- Esmaeili, V.; Shahverdi, A.H.; Moghadasian, M.H.; Alizadeh, A.R. Dietary fatty acids affect semen quality: A review. Andrology 2015, 3, 450–461. [Google Scholar] [CrossRef] [PubMed]
- Ferreira, G.; Costa, C.; Bassaizteguy, V.; Santos, M.; Cardozo, R.; Montes, J.; Settineri, R.; Nicolson, G.L. Incubation of human sperm with micelles made from glycerophospholipid mixtures increases sperm motility and resistance to oxidative stress. PLoS ONE 2018, 13, e0197897. [Google Scholar] [CrossRef] [PubMed] [Green Version]
- Agarwal, A.; Rana, M.; Qiu, E.; AlBunni, H.; Bui, A.D.; Henkel, R. Role of oxidative stress, infection and inflammation in male infertility. Andrologia 2018, 50, e13126. [Google Scholar] [CrossRef] [PubMed]
- Arab, D.; Doustmohammadi, H.; Ardestani Zadeh, A. Dietary supplements in the management of varicocele-induced infertility: A review of potential mechanisms. Andrologia 2021, 53, e13879. [Google Scholar] [CrossRef]
- Cannarella, R.; Crafa, A.; Barbagallo, F.; Mongioì, L.M.; Condorelli, R.A.; Aversa, A.; Calogero, A.E.; La Vignera, S. Seminal Plasma Proteomic Biomarkers of Oxidative Stress. Int. J. Mol. Sci. 2020, 21, 9113. [Google Scholar] [CrossRef]
- Yuxin, L.; Chen, L.; Xiaoxia, L.; Yue, L.; Junjie, L.; Youzhu, L.; Huiliang, Z.; Qicai, L. Research Progress on the Relationship between Obesity-Inflammation-Aromatase Axis and Male Infertility. Oxid. Med. Cell. Longev. 2021, 2021, 6612796. [Google Scholar] [CrossRef] [PubMed]
- Agarwal, A.; Parekh, N.; Panner Selvam, M.K.; Henkel, R.; Shah, R.; Homa, S.T.; Ramasamy, R.; Ko, E.; Tremellen, K.; Esteves, S.; et al. Male Oxidative Stress Infertility (MOSI): Proposed Terminology and Clinical Practice Guidelines for Management of Idiopathic Male Infertility. World J. Men’s Health 2019, 37, 296–312. [Google Scholar] [CrossRef] [PubMed]
- Grande, G.; Milardi, D.; Baroni, S.; Luca, G.; Pontecorvi, A. Identification of seminal markers of male accessory gland inflammation: From molecules to proteome. Am. J. Reprod. Immunol. 2018, 80, e12992. [Google Scholar] [CrossRef] [PubMed]
- Syriou, V.; Papanikolaou, D.; Kozyraki, A.; Goulis, D.G. Cytokines and male infertility. Eur. Cytokine Netw. 2018, 29, 73–82. [Google Scholar] [CrossRef] [PubMed]
- Lee, C.H. Role of specialized pro-resolving lipid mediators and their receptors in virus infection: A promising therapeutic strategy for SARS-CoV-2 cytokine storm. Arch. Pharm. Res. 2021, 44, 84–98. [Google Scholar] [CrossRef]
- Kumar, N.; Singh, N.K. Emerging role of Novel Seminal Plasma Bio-markers in Male Infertility: A Review. Eur. J. Obstet. Gynecol. Reprod. Biol. 2020, 253, 170–179. [Google Scholar] [CrossRef] [PubMed]
- Collodel, G.; Signorini, C.; Nerucci, F.; Gambera, L.; Iacoponi, F.; Moretti, E. Semen Biochemical Components in Varicocele, Leukocytospermia, and Idiopathic Infertility. Reprod. Sci. 2021, 28, 91–101. [Google Scholar] [CrossRef]
- World Health Organization. WHO Laboratory Manual for the Examination and Processing of Human Semen, 5th ed.; WHO Press: Geneva, Switzerland, 2010. [Google Scholar]
- Baccetti, B.; Bernieri, G.; Burrini, A.G.; Collodel, G.; Crisà, N.; Mirolli, M.; Moretti, E.; Piomboni, P. Notulae seminologicae. 5. Mathematical evaluation of interdependent submicroscopic sperm alterations. J. Androl. 1995, 16, 356–371. [Google Scholar] [CrossRef] [PubMed]
- Collodel, G.; Moretti, E. Morphology and meiotic segregation in spermatozoa from men of proven fertility. J. Androl. 2008, 29, 106–114. [Google Scholar] [CrossRef] [PubMed]
- Micheli, L.; Collodel, G.; Moretti, E.; Noto, D.; Menchiari, A.; Cerretani, D.; Crispino, S.; Signorini, C. Redox imbalance induced by docetaxel in the neuroblastoma SH-SY5Y cells: A study of docetaxel-induced neuronal damage. Redox Rep. 2021, 26, 18–28. [Google Scholar] [CrossRef] [PubMed]
- Signorini, C.; Cardile, V.; Pannuzzo, G.; Graziano, A.C.E.; Durand, T.; Galano, J.M.; Oger, C.; Leoncini, S.; Cortelazzo, A.; Lee, J.C.; et al. Increased isoprostanoid levels in brain from murine model of Krabbe disease—Relevance of isoprostanes, dihomo-isoprostanes and neuroprostanes to disease severity. Free Radic. Biol. Med. 2019, 139, 46–54. [Google Scholar] [CrossRef]
- Signorini, C.; De Felice, C.; Leoncini, S.; Durand, T.; Galano, J.M.; Cortelazzo, A.; Zollo, G.; Guerranti, R.; Gonnelli, S.; Caffarelli, C.; et al. Altered erythrocyte membrane fatty acid profile in typical Rett syndrome: Effects of omega-3 polyunsaturated fatty acid supplementation. Prostaglandins Leukot. Essent. Fat. Acids 2014, 91, 183–193. [Google Scholar] [CrossRef]
- Feng, R.X.; Lu, J.C.; Zhang, H.Y.; Lü, N.Q. A pilot comparative study of 26 biochemical markers in seminal plasma and serum in infertile men. BioMed Res. Int. 2015, 2015, 805328. [Google Scholar] [CrossRef] [PubMed] [Green Version]
- Stafforini, D.M.; Sheller, J.R.; Blackwell, T.S.; Sapirstein, A.; Yull, F.E.; McIntyre, T.M.; Bonventre, J.V.; Prescott, S.M.; Roberts, L.J. Release of free F2-iso-prostanes from esterified phospholipids is catalyzed by intracellular and plasma platelet activating factor acetylhydrolases. J. Biol. Chem. 2006, 281, 4616–4623. [Google Scholar] [CrossRef] [Green Version]
- Abdolmaleki, F.; Kovanen, P.T.; Mardani, R.; Gheibi-Hayat, S.M.; Bo, S.; Sahebkar, A. Resolvins: Emerging Players in Autoimmune and Inflammatory Diseases. Clin. Rev. Allergy Immunol. 2020, 58, 82–91. [Google Scholar] [CrossRef] [PubMed]
- Fijak, M.; Pilatz, A.; Hedger, M.P.; Nicolas, N.; Bhushan, S.; Michel, V.; Tung, K.S.K.; Schuppe, H.C.; Meinhardt, A. Infectious, inflammatory and ‘autoimmune’ male factor infertility: How do rodent models inform clinical practice? Hum. Reprod. Update 2018, 24, 416–441. [Google Scholar] [CrossRef] [PubMed] [Green Version]
- Zerbinati, C.; Caponecchia, L.; Rago, R.; Leoncini, E.; Bottaccioli, A.G.; Ciacciarelli, M.; Pacelli, A.; Salacone, P.; Sebastianelli, A.; Pastore, A.; et al. Fatty acids profiling reveals potential candidate markers of semen quality. Andrology 2016, 4, 1094–1101. [Google Scholar] [CrossRef] [PubMed]
- Serhan, C.N.; Yacoubian, S.; Yang, R. Anti-inflammatory and proresolving lipid mediators. Ann. Rev. Pathol. 2008, 3, 279–312. [Google Scholar] [CrossRef] [Green Version]
- Zhang, C.; Wang, K.; Yang, L.; Liu, R.; Chu, Y.; Qin, X.; Yang, P.; Yu, H. Lipid metabolism in inflammation-related diseases. Analyst 2018, 143, 4526–4536. [Google Scholar] [CrossRef]
- Galano, J.M.; Lee, Y.Y.; Oger, C.; Vigor, C.; Vercauteren, J.; Durand, T.; Giera, M.; Lee, J.C. Isoprostanes, neuroprostanes and phytoprostanes: An overview of 25years of research in chemistry and biology. Prog. Lipid Res. 2017, 68, 83–108. [Google Scholar] [CrossRef]
- Longini, M.; Moretti, E.; Signorini, C.; Noto, D.; Iacoponi, F.; Collodel, G. Relevance of seminal F2-dihomo-IsoPs, F2-IsoPs and F4-NeuroPs in idiopathic infertility and varicocele. Prostaglandins Other Lipid. Mediat. 2020, 149, 106448. [Google Scholar] [CrossRef]
- Hsiao, H.M.; Thatcher, T.H.; Colas, R.A.; Serhan, C.N.; Phipps, R.P.; Sime, P.J. Resolvin D1 Reduces Emphysema and Chronic Inflammation. Am. J. Pathol. 2015, 185, 3189–3201. [Google Scholar] [CrossRef]
- Serhan, C.N.; Brain, S.D.; Buckley, C.D.; Gilroy, D.W.; Haslett, C.; O’Neill, L.A.; Perretti, M.; Rossi, A.G.; Wallace, J.L. Resolution of inflammation: State of the art, definitions and terms. FASEB J. 2007, 21, 325–332. [Google Scholar] [CrossRef] [Green Version]
- Sugimoto, M.A.; Sousa, L.P.; Pinho, V.; Perretti, M.; Teixeira, M.M. Resolution of Inflammation: What Controls Its Onset? Front. Immunol. 2016, 7, 160. [Google Scholar] [CrossRef] [Green Version]
- Sarkar, O.; Bahrainwala, J.; Chandrasekaran, S.; Kothari, S.; Mathur, P.P.; Agarwal, A. Impact of inflammation on male fertility. Front. Biosci. 2011, 3, 89–95. [Google Scholar] [CrossRef] [Green Version]
- Rusz, A.; Pilatz, A.; Wagenlehner, F.; Linn, T.; Diemer, T.; Schuppe, H.C.; Lohmeyer, J.; Hossain, H.; Weidner, W. Influence of urogenital infections and inflammation on semen quality and male fertility. World J. Urol. 2012, 30, 23–30. [Google Scholar] [CrossRef] [PubMed]
- La Vignera, S.; Condorelli, R.A.; Vicari, E.; Tumino, D.; Morgia, G.; Favilla, V.; Cimino, S.; Calogero, A.E. Markers of semen inflammation: Supplementary semen analysis? J. Reprod. Immunol. 2013, 100, 2–10. [Google Scholar] [CrossRef]
- Micillo, A.; Vassallo, M.R.; Cordeschi, G.; D’Andrea, S.; Necozione, S.; Francavilla, F.; Francavilla, S.; Barbonetti, A. Semen leukocytes and oxidative-dependent DNA damage of spermatozoa in male partners of subfertile couples with no symptoms of genital tract infection. Andrology 2016, 4, 808–815. [Google Scholar] [CrossRef] [Green Version]
- Eldamnhoury, E.M.; Elatrash, G.A.; Rashwan, H.M.; El-Sakka, A.I. Association between leukocytospermia and semen interleukin-6 and tumor necrosis factor-alpha in infertile men. Andrology 2018, 6, 775–780. [Google Scholar] [CrossRef] [PubMed] [Green Version]
- Hassanin, A.M.; Ahmed, H.H.; Kaddah, A.N. A global view of the pathophysiology of varicocele. Andrology 2018, 6, 654–661. [Google Scholar] [CrossRef] [Green Version]
- Serhan, M.; Serhan, C. The Impact of Food Service Attributes on Customer Satisfaction in a Rural University Campus Environment. Int. J. Food Sci. 2019, 2019, 2154548. [Google Scholar] [CrossRef] [PubMed] [Green Version]
- Bozinovski, S.; Hutchinson, A.; Thompson, M.; Macgregor, L.; Black, J.; Giannakis, E.; Karlsson, A.S.; Silvestrini, R.; Smallwood, D.; Vlahos, R.; et al. Serum amyloid a is a biomarker of acute exacerbations of chronic obstructive pulmonary disease. Am. J. Respir. Crit. Care Med. 2008, 177, 269–278. [Google Scholar] [CrossRef] [Green Version]
- Bozinovski, S.; Uddin, M.; Vlahos, R.; Thompson, M.; McQualter, J.L.; Merritt, A.S.; Wark, P.A.; Hutchinson, A.; Irving, L.B.; Levy, B.D.; et al. Serum amyloid A opposes lipoxin A4 to mediate glucocorticoid refractory lung inflammation in chronic obstructive pulmonary disease. Proc. Natl. Acad. Sci. USA 2012, 109, 935–940. [Google Scholar] [CrossRef] [PubMed] [Green Version]
- Levy, B.D. Resolvin D1 and Resolvin E1 Promote the Resolution of Allergic Airway Inflammation via Shared and Distinct Molecular Counter-Regulatory Pathways. Front. Immunol. 2012, 3, 390. [Google Scholar] [CrossRef] [Green Version]
- Collodel, G.; Nerucci, F.; Signorini, C.; Iacoponi, F.; Moretti, E. Associations between biochemical components of human semen with seminal conditions. Syst. Biol. Reprod. Med. 2019, 65, 155–163. [Google Scholar] [CrossRef]
- Aksoy, Y.; Aksoy, H.; Altinkaynak, K.; Aydin, H.R.; Ozkan, A. Sperm fatty acid composition in subfertile men. Prostaglandins Leukot. Essent. Fat. Acids 2006, 75, 75–79. [Google Scholar] [CrossRef] [PubMed]
- Tang, L.X.; Yuan, D.J.; Wang, Q.L.; Jiang, F.; Guo, J.; Tang, Y.G.; Zheng, L.X.; Kang, J.X. Association of decreased spermatozoa omega-3 fatty acid levels and increased oxidative DNA damage with varicocele in infertile men: A case control study. Reprod. Fertil. Dev. 2016, 28, 648–654. [Google Scholar] [CrossRef]
- Agmon, E.; Solon, J.; Bassereau, P.; Stockwell, B.R. Modeling the effects of lipid peroxidation during ferroptosis on membrane properties. Sci. Rep. 2018, 8, 5155. [Google Scholar] [CrossRef] [PubMed] [Green Version]
- Mohammadi, V.; Sharifi, S.D.; Sharafi, M.; Mohammadi-Sangcheshmeh, A.; Shahverdi, A.; Alizadeh, A. Manipulation of fatty acid profiles in roosters’ testes, alteration in sexual hormones, improvements in testicular histology characteristics and elevation sperm quality factor by L-carnitine. Theriogenology 2021, 161, 8–15. [Google Scholar] [CrossRef] [PubMed]
- Calder, P.C. Omega-3 fatty acids and inflammatory processes. Nutrients 2010, 2, 355–374. [Google Scholar] [CrossRef] [Green Version]






| Sperm/ mL × 106 | Prog Mot% | NormMorp% | Vital % | FI | A% | N% | IM% | RvD1 | F2-IsoPs |
|---|---|---|---|---|---|---|---|---|---|
| 45.5 (0.3–260) | 38 (0–82) | 7 (1–32) | 72 (10–95) | 554,162.5 (2–9,732,213) | 8.7 (3.4–28.3) | 21.9 (12.5–76.6) | 58.6 (33.2–82.4) | 69.53 (4.8–125.7) | 39.2 (2.5–106.8) |
| Sperm/mL × 106 | Progressive Motility% | Normal Morphology% | Vitality % | FI | A% | N% | IM% | RvD1 (pg/mL) | F2-IsoPs (ng/mL) | |
|---|---|---|---|---|---|---|---|---|---|---|
| Sperm/mL × 106 | 1 | |||||||||
| Progressive Motility% | 0.366 *** | 1 | ||||||||
| Normal Morphology% | 0.647 *** | 0.464 *** | 1 | |||||||
| Vitality % | 0.419 *** | 0.579 *** | 0.526 *** | 1 | ||||||
| FI | 0.619 *** | 0.489 *** | 0.716 *** | 0.479 *** | 1 | |||||
| A% | −0.423 *** | −0.285 * | −0.435 *** | −0.408 *** | −0.522 *** | 1 | ||||
| N% | −0.253 * | −0.283 * | −0.302 * | −0.476 *** | −0.395 *** | 0.133 | 1 | |||
| IM% | −0.433 *** | −0.066 | −0.339 ** | −0.026 | −0.192 | 0.176 | 0.047 | 1 | ||
| RvD1 (pg/mL) | −0.136 | −0.389 *** | −0.202 | −0.381 *** | −0.335 ** | 0.163 | 0.558 *** | 0.387 ** | 1 | |
| F2-IsoPs (ng/mL) | −0.172 | −0.075 | −0.238 * | −0.133 | −0.172 | 0.05 | 0.393 ** | 0.522 *** | 0.640 *** | 1 |
| Variables | Fertile Men (F, n° 18) | Idiopathic Infertility (I, n° 23) | Varicocele (V, n° 21) | Leukocytospermic (L, n° 23) | Statistics Kruskal–Wallis | |
|---|---|---|---|---|---|---|
| Post-Hoc Tukey | Post-Hoc Dunn | |||||
| Sperm/mL × 106 | 101.0 (56.7–127.5) | 13 (1.7–52) | 19 (9.5–46.2) | 32 (13.6–88) | F vs. I (p < 0.001) F vs. V (p < 0.001) F vs. L (p < 0.01) | |
| Progressive motility% | 52 (45.5–61) | 32 (24–48) | 35 (18–50) | 26 (18–40) | F vs. I (p < 0.02) F vs. V (p < 0.02) F vs. L (p < 0.001) | |
| Normal Morphology% | 16 (14–20) | 5 (3–7) | 6 (5–8.5) | 8 (5–10) | F vs. I (p < 0.001) F vs. V (p < 0.001) F vs. L (p < 0.001) | |
| Vitality % | 85 (79.5–90) | 65 (50–72) | 74.5 (70–79) | 55 (50–60) | F vs. I (p < 0.001) F vs. V (p < 0.05) F vs. L (p < 0.001) L vs. V (p < 0.001) | |
| FI | 3,218,673 (1,993,270–5,297,726) | 12,234 (6811–343,253) | 410,361 (218,322–835,762) | 524,212 (27,261–1,131,947) | F vs. I (p < 0.01) F vs. V (p < 0.01) F vs. L (p < 0.05) I vs. V (p < 0.05) | |
| A% | 4.7 (4.1–5.7) | 11.27 (10.2–12.5) | 9 (5.6–10.9) | 8.7 (6.9–14) | F vs. I (p < 0.001) F vs. L (p < 0.01) | |
| N% | 23.2 (21.7–27.2) | 26.7 (24–29.3) | 31.7 (28–35.6) | 43.3 (34–50) | F vs. L (p < 0.001) | |
| IM% | 53.2 (45.6–55.6) | 59.9 (55.6–61.2) | 75.8 (71.4–78.9) | 51.6 (46.2–58.7) | F vs. I (p < 0.01) F vs. V (p < 0.001) L vs. V (p < 0.001) I vs. V (p < 0.001) | |
| RvD1 (pg/mL) | 27.9 (14.7–37.7) | 42.5 (30.4–55.9) | 101.1 (77.1–112.8) | 97.4 (81.3–106) | F vs. I (p < 0.02) F vs. V (p < 0.001) F vs. L (p < 0.001) I vs. L (p < 0.001) I vs. V (p < 0.001) | |
| F2-IsoPs (ng/mL) | 13.8 (6.1–23.8) | 23.9 (12.3–41.2) | 73.7 (62.6–82.1) | 40.5 (37.2–55.8) | F vs. V (p < 0.001) F vs. L (p < 0.001) I vs. L (p < 0.01) I vs. V (p < 0.001) L vs. V (p < 0.001) | |
| Fe | TRSF | FERR | CHOL | TESTO | E2 | cPLA2 | Palmit | Oleic | Linol | |
|---|---|---|---|---|---|---|---|---|---|---|
| 15 (9–40) | 1 (1–20) | 259 (131.2–723.4) | 17.5 (3–40) | 1.1 (0.4–6) | 51.3 (20–147.2) | 0.8 (0.5–5.3) | 0.5 (0.2–2) | 7.2 (3–17.2) | 4.8 (2.5–9.2) | |
| eicosadi | eicosatr | AA | EPA | DPA | DHA | total n-6 | total n-3 | EPA/AA | n-6/n-3 | RvD1 |
| 0.8 (0.3–6) | 0.3 (0.7–11.7) | 2.55 (1–5.1) | 0.2 (0.1–2.3) | 1 (0.5–1.9) | 19.5 (7.8–33.2) | 12.1 (7–22.8) | 20.8 (8.7–34.8) | 0.1 (0–0.8) | 0.6 (0.2–1.9) | 99.8 (7.3–119.6) |
| Patients | RvD1 | FERR | DHA | n 6/n 3 | Total n-3 |
|---|---|---|---|---|---|
| Fertile (n° 6) | 31.2 (7.3–38.1) | 158.8 (131.2–246.8) | 24.4 (10.1–33.2) | 0.45 (0.2–0.8) | 25.4 (11.3–34.8) |
| Infertile (n° 14) | 106.0 (34.3–119.6) | 283.1 (190–723.4) | 16.5 (7.8–23.8) | 0.6 (0.3–1.9) | 17.8 (8.7–25) |
| Statistics | p < 0.001 | p < 0.01 | p < 0.02 | p < 0.5 | p < 0.02 |
Publisher’s Note: MDPI stays neutral with regard to jurisdictional claims in published maps and institutional affiliations. |
© 2022 by the authors. Licensee MDPI, Basel, Switzerland. This article is an open access article distributed under the terms and conditions of the Creative Commons Attribution (CC BY) license (https://creativecommons.org/licenses/by/4.0/).
Share and Cite
Signorini, C.; Moretti, E.; Noto, D.; Micheli, L.; Ponchia, R.; Collodel, G. Fatty Acid Oxidation and Pro-Resolving Lipid Mediators Are Related to Male Infertility. Antioxidants 2022, 11, 107. https://doi.org/10.3390/antiox11010107
Signorini C, Moretti E, Noto D, Micheli L, Ponchia R, Collodel G. Fatty Acid Oxidation and Pro-Resolving Lipid Mediators Are Related to Male Infertility. Antioxidants. 2022; 11(1):107. https://doi.org/10.3390/antiox11010107
Chicago/Turabian StyleSignorini, Cinzia, Elena Moretti, Daria Noto, Lucia Micheli, Rosetta Ponchia, and Giulia Collodel. 2022. "Fatty Acid Oxidation and Pro-Resolving Lipid Mediators Are Related to Male Infertility" Antioxidants 11, no. 1: 107. https://doi.org/10.3390/antiox11010107
APA StyleSignorini, C., Moretti, E., Noto, D., Micheli, L., Ponchia, R., & Collodel, G. (2022). Fatty Acid Oxidation and Pro-Resolving Lipid Mediators Are Related to Male Infertility. Antioxidants, 11(1), 107. https://doi.org/10.3390/antiox11010107

