Isolated Hypoglossal Nerve Palsy in the Setting of Concurrent Vertebral Artery Dissection and Internal Carotid Artery Dissection Plus Pseudoaneurysm: Case Report and Literature Review
Abstract
1. Introduction
2. Detailed Case Description
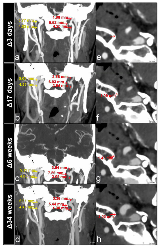
2.1. Initial Presentation
2.2. Two-Week Follow-Up Visit
2.3. Six-Week Follow-Up Visit
2.4. Six-Month Follow-Up Visit
3. Discussion

4. Conclusions
Author Contributions
Funding
Institutional Review Board Statement
Informed Consent Statement
Data Availability Statement
Conflicts of Interest
Abbreviations
| ANCA | anti-neutrophil cytoplasmic antibody |
| BMI | body mass index |
| CT | computed tomography |
| CTA | computed tomography angiography |
| d | day(s) |
| DAPT | dual antiplatelet therapy |
| DSA | digital subtraction angiography |
| DWI | diffusion-weighted imaging |
| F | female |
| HIV | human immunodeficiency virus |
| HSV | herpes simplex virus |
| ICA | internal carotid artery |
| M | male |
| mo | month(s) |
| MRA | magnetic resonance angiography |
| MRI | magnetic resonance imaging |
| ND | no data |
| VA | vertebral artery |
| VZV | varicella zoster virus |
| wk | week(s) |
| yr | year(s) |
References
- Lee, V.H.; Brown, R.D.; Mandrekar, J.N.; Mokri, B. Incidence and Outcome of Cervical Artery Dissection. Neurology 2006, 67, 1809–1812. [Google Scholar] [CrossRef] [PubMed]
- Debette, S.; Leys, D. Cervical-Artery Dissections: Predisposing Factors, Diagnosis, and Outcome. Lancet Neurol. 2009, 8, 668–678. [Google Scholar] [CrossRef] [PubMed]
- Wu, E.M.; Khan, N.R.; Yunga Tigre, J.; Abdelsalam, A.; Cote, I.; Ivan, M.E.; Morcos, J.J. Vertebral Artery Pseudoaneurysm After Extreme Lateral Transcondylar Transodontoid Approach for Clival Chordoma: 2-Dimensional Operative Video. Oper. Neurosurg. 2022; Online ahead of print. [Google Scholar] [CrossRef]
- Mokri, B.; Silbert, P.L.; Schievink, W.I.; Piepgras, D.G. Cranial Nerve Palsy in Spontaneous Dissection of the Extracranial Internal Carotid Artery. Neurology 1996, 46, 356–359. [Google Scholar] [CrossRef] [PubMed]
- Yokota, J.-I.; Amakusa, Y.; Tomita, Y.; Takahashi, S.-I. The medial medullary infarction (Dejerine syndrome) following chiropractic neck manipulation. No To Shinkei 2003, 55, 121–125. [Google Scholar] [PubMed]
- Arai, M.; Shichi, D. Medial medullary infarction: Report of three patients presented with central vestibular dysfunction without limb and lingual weakness. Rinsho Shinkeigaku 1999, 39, 1059–1063. [Google Scholar]
- Bramer, W.M.; Rethlefsen, M.L.; Kleijnen, J.; Franco, O.H. Optimal Database Combinations for Literature Searches in Systematic Reviews: A Prospective Exploratory Study. Syst. Rev. 2017, 6, 245. [Google Scholar] [CrossRef]
- Page, M.J.; McKenzie, J.E.; Bossuyt, P.M.; Boutron, I.; Hoffmann, T.C.; Mulrow, C.D.; Shamseer, L.; Tetzlaff, J.M.; Akl, E.A.; Brennan, S.E.; et al. The PRISMA 2020 Statement: An Updated Guideline for Reporting Systematic Reviews. Syst. Rev. 2021, 10, 89. [Google Scholar] [CrossRef]
- Abukeshek, T.; Gbande, P.; Hamed, R. Hypoglossal Nerve Palsy Due to Internal Carotid Artery Dissection with Pseudoaneurysm Formation: An Unusual Presentation. Acta Radiol. Open 2022, 11, 205846012211117. [Google Scholar] [CrossRef]
- Cruciata, G.; Parikh, R.; Pradhan, M.; Shah, J.; Greif, E.; Stein, E.G. Internal Carotid Artery Dissection and Pseudoaneurysm Formation with Resultant Ipsilateral Hypoglossal Nerve Palsy. Radiol. Case Rep. 2017, 12, 371–375. [Google Scholar] [CrossRef]
- English, S.W.; Passe, T.J.; Lindell, E.P.; Klaas, J.P. Multiple Cranial Neuropathies as a Presentation of Spontaneous Internal Carotid Artery Dissection: A Case Report and Literature Review. J. Clin. Neurosci. 2018, 50, 129–131. [Google Scholar] [CrossRef]
- Evan, J.; Johansen, M.; Akst, L.M. Dysphagia, Dysphonia and a Deviated Tongue: Diagnosing Collet-Sicard Syndrome. BMJ Case Rep. 2021, 14, e243154. [Google Scholar] [CrossRef] [PubMed]
- Kaushik, S.; Abhishek, K.; Sofi, U. Spontaneous Dissection of Internal Carotid Artery Masquerading as Angioedema. J. Gen. Intern. Med. 2009, 24, 126–128. [Google Scholar] [CrossRef] [PubMed]
- Pumar, J.M.; Alvarez, M.; Arrojo, L.; Otero, E.; Mínguez, I.; Vidal, J. Pseudoaneurysm of the Cervical Carotid Artery with Hypoglossal and Glossopharyngeal Nerve Paralysis. Eur. J. Med. 1992, 1, 246–248. [Google Scholar] [PubMed]
- Stübgen, J.-P. Unilateral Macroglossia as Sole Presenting Manifestation of Internal Carotid Artery Dissection. Ear. Nose. Throat J. 2011, 90, 434–436. [Google Scholar] [CrossRef]
- Ursekar, M.A.; Singhal, B.S.; Konin, B.L. Hypoglossal Nerve Palsy Due to Spontaneous Dissection of the Internal Carotid Artery. Clin. Radiol. 2000, 55, 978–979. [Google Scholar] [CrossRef]
- Kim, S.Y.; Naqvi, I.A. Neuroanatomy, Cranial Nerve 12 (Hypoglossal); StatPearls Publishing: Treasure Island, FL, USA, 2024. [Google Scholar]
- Metso, T.M.; Metso, A.J.; Helenius, J.; Haapaniemi, E.; Salonen, O.; Porras, M.; Hernesniemi, J.; Kaste, M.; Tatlisumak, T. Prognosis and Safety of Anticoagulation in Intracranial Artery Dissections in Adults. Stroke 2007, 38, 1837–1842. [Google Scholar] [CrossRef]
- Schievink, W.I.; Mokri, B.; O’Fallon, W.M. Recurrent Spontaneous Cervical-Artery Dissection. N. Engl. J. Med. 1994, 330, 393–397. [Google Scholar] [CrossRef]
- Schievink, W.I. Spontaneous Dissection of the Carotid and Vertebral Arteries. N. Engl. J. Med. 2001, 344, 898–906. [Google Scholar] [CrossRef]
- Danuta, M.S.; Buxton, J.A.; Hestrin, M.; Keyes, R.D.; Lynch, K.; Halperin, S.A. Carotid Artery Dissection as a Possible Severe Complication of Pertussis in an Adult: Clinical Case Report and Review. Clin. Infect. Dis. 2003, 36, e1–e4. [Google Scholar] [CrossRef]
- Salameh, A.; Klein, M.; Klein, N.; Pfeiffer, D.; Dähnert, I.; Dhein, S. Coughing into the Darkness. Lancet 2011, 377, 1718. [Google Scholar] [CrossRef]
- Burke, A.; FitzGerald, G.A. Oxidative Stress and Smoking-Induced Vascular Injury. Prog. Cardiovasc. Dis. 2003, 46, 79–90. [Google Scholar] [CrossRef] [PubMed]
- Nordanstig, J.; Gelin, J.; Jensen, N.; Österberg, K.; Strömberg, S. National Experience with Extracranial Carotid Artery Aneurysms: Epidemiology, Surgical Treatment Strategy, and Treatment Outcome. Ann. Vasc. Surg. 2014, 28, 882–886. [Google Scholar] [CrossRef] [PubMed]
- Neczypor, E.W.; Mears, M.J.; Ghosh, A.; Sassano, M.F.; Gumina, R.J.; Wold, L.E.; Tarran, R. E-Cigarettes and Cardiopulmonary Health: Review for Clinicians. Circulation 2022, 145, 219–232. [Google Scholar] [CrossRef] [PubMed]
- Sturzenegger, M. Spontaneous Internal Carotid Artery Dissection: Early Diagnosis and Management in 44 Patients. J. Neurol. 1995, 242, 231–238. [Google Scholar] [CrossRef]
- Rodallec, M.H.; Marteau, V.; Gerber, S.; Desmottes, L.; Zins, M. Craniocervical Arterial Dissection: Spectrum of Imaging Findings and Differential Diagnosis. RadioGraphics 2008, 28, 1711–1728. [Google Scholar] [CrossRef]
- Lapresle, J.; Lasjaunias, P. Cranial Nerve Ischaemic Arterial Syndromes: A Review. Brain 1986, 109, 207–215. [Google Scholar] [CrossRef]
- Mehdi, E.; Aralasmak, A.; Toprak, H.; Yıldız, S.; Kurtcan, S.; Kolukisa, M.; Asıl, T.; Alkan, A. Craniocervical Dissections: Radiologic Findings, Pitfalls, Mimicking Diseases: A Pictorial Review. Curr. Med. Imaging Rev. 2018, 14, 207–222. [Google Scholar] [CrossRef]
- Georgiadis, D.; Arnold, M.; von Buedingen, H.C.; Valko, P.; Sarikaya, H.; Rousson, V.; Mattle, H.P.; Bousser, M.G.; Baumgartner, R.W. Aspirin vs Anticoagulation in Carotid Artery Dissection. Neurology 2009, 72, 1810–1815. [Google Scholar] [CrossRef]
- Dittrich, R.; Nassenstein, I.; Bachmann, R.; Maintz, D.; Nabavi, D.G.; Heindel, W.; Kuhlenbäumer, G.; Ringelstein, E.B. Polyarterial Clustered Recurrence of Cervical Artery Dissection Seems to Be the Rule. Neurology 2007, 69, 180–186. [Google Scholar] [CrossRef]
- Romeiser Logan, L. Can a Systematic Review of Case Reports Be Useful? Quality Matters. Dev. Med. Child Neurol. 2021, 63, 1135. [Google Scholar] [CrossRef]



| Author (Year) | Age (Sex) | Smoking (Pack-Years) | Vascular Defect * | Presentation (Duration at Index Visit and Symptoms) | Imaging | Vascular Management | Residual Symptoms (Follow-Up Time in Months) | |
|---|---|---|---|---|---|---|---|---|
| 1 | Pumar et al. (1992) [14] | 57 (M) | ND | Right ICA pseudoaneurysm | 6 mo: right tongue incoordination and atrophy, right palatal arch numbness, dysphagia, submandibular swelling | MRI DSA | ND | ND (ND) |
| 2 | Ursekar et al. (2000) [16] | 37 (F) | ND | Left ICA pseudoaneurysm | 1 wk: transient ischemic attack, headache, left jaw pain, dysarthria | MRI DSA | Daily heparin, then 6 weeks oral anticoagulation | Tongue movement improved (1.5) |
| 3 | Kaushik et al. (2009) [13] | 44 (M) | ND | Left ICA dissection and pseudoaneurysm | 2 wk: dysarthria 2 d: tongue swelling, dyspnea | MRI/MRA | Heparin and warfarin | Asymptomatic (ND) |
| 4 | Stubgen (2011) [15] | 56 (M) | ND | Left ICA dissection and pseudoaneurysm | 6 wk: left tongue swelling, tongue biting, dysarthria 1 wk: left tongue weakness, palatal arches asymmetry | MRI | Antiplatelet regimen | Asymptomatic (12) |
| 5 | Cruciata et al. (2017) [10] | 56 (M) | ND | Left ICA dissection and pseudoaneurysm | Days: dysphagia, elevated blood pressure (170/90 mmHg) | MRI/MRA | Steroids and low-molecular-weight heparin, coil embolization | Dysphagia improved (2) |
| 6 | English et al. (2018) [11] | 48 (M) | ND | Left ICA dissection and pseudoaneurysm | 3 d: headache, sore throat, malaise 1 d: left tongue weakness, dysphagia, dysarthria, left arm incoordination | MRI CTA | Interval follow-ups | Asymptomatic (5) |
| 7 | Evan et al. (2021) [12] | 42 (M) | 0 | Right ICA dissection and pseudoaneurysm | 1 wk: sore throat, sinus congestion, heavy non-productive coughing, right tongue swelling, right tongue deviation, left uvula deviation, right vocal cord paralysis, dysphagia, dysarthria, posterior neck swelling | CT MRI DSA | Aspirin and clopidogrel, coil embolization | Dysarthria improved; residual tongue movement, and palatal deviation (2); dysphagia resolved (3) |
| 8 | Abukeshek et al. (2022) [9] | 56 (M) | 20 | Left ICA dissection and pseudoaneurysm | 1.5 mo: left tongue atrophy, left tongue deviation, poor mastication, dysphagia, dysarthria | MRI/MRA | Endovascular stenting | Dysarthria resolved (3); poor mastication, dysphagia (3) |
| 9 | Present Case (2023) | 43 (M) | 4.5 | Left ICA dissection and pseudoaneurysm, right VA dissection | 3 d: tongue deviation, dysarthria | MRI CTA Angiography | 325 mg aspirin plus 75 mg clopidogrel daily | Asymptomatic (1.5) |
| Demographics |
|
| Etiology and Risk Factors |
|
| Presentation |
|
| Diagnosis |
|
| Treatment |
|
| Prognosis |
|
Disclaimer/Publisher’s Note: The statements, opinions and data contained in all publications are solely those of the individual author(s) and contributor(s) and not of MDPI and/or the editor(s). MDPI and/or the editor(s) disclaim responsibility for any injury to people or property resulting from any ideas, methods, instructions or products referred to in the content. |
© 2025 by the authors. Licensee MDPI, Basel, Switzerland. This article is an open access article distributed under the terms and conditions of the Creative Commons Attribution (CC BY) license (https://creativecommons.org/licenses/by/4.0/).
Share and Cite
Luu, C.P.; Lee, B.; Larson, M.E.; Greeneway, G.P.; Baskaya, M.K. Isolated Hypoglossal Nerve Palsy in the Setting of Concurrent Vertebral Artery Dissection and Internal Carotid Artery Dissection Plus Pseudoaneurysm: Case Report and Literature Review. Brain Sci. 2025, 15, 225. https://doi.org/10.3390/brainsci15030225
Luu CP, Lee B, Larson ME, Greeneway GP, Baskaya MK. Isolated Hypoglossal Nerve Palsy in the Setting of Concurrent Vertebral Artery Dissection and Internal Carotid Artery Dissection Plus Pseudoaneurysm: Case Report and Literature Review. Brain Sciences. 2025; 15(3):225. https://doi.org/10.3390/brainsci15030225
Chicago/Turabian StyleLuu, Cuong P., Benjamin Lee, Matthew E. Larson, Garret P. Greeneway, and Mustafa K. Baskaya. 2025. "Isolated Hypoglossal Nerve Palsy in the Setting of Concurrent Vertebral Artery Dissection and Internal Carotid Artery Dissection Plus Pseudoaneurysm: Case Report and Literature Review" Brain Sciences 15, no. 3: 225. https://doi.org/10.3390/brainsci15030225
APA StyleLuu, C. P., Lee, B., Larson, M. E., Greeneway, G. P., & Baskaya, M. K. (2025). Isolated Hypoglossal Nerve Palsy in the Setting of Concurrent Vertebral Artery Dissection and Internal Carotid Artery Dissection Plus Pseudoaneurysm: Case Report and Literature Review. Brain Sciences, 15(3), 225. https://doi.org/10.3390/brainsci15030225

