Two Sides of the Same Coin in Female Borderline Personality Disorder: Self-Reported Guilt and Shame and Their Neurofunctional Correlates
Abstract
1. Introduction
1.1. Neural Representations of Shame and Guilt in General
1.2. Neural Representations of Shame and Guilt in BPD
1.3. The Present Study
2. Methods
2.1. Sample
2.2. Measures
2.3. Magnetic Resonance
2.4. Experimental Stimuli
2.5. Statistical Analysis
3. Results
3.1. Self-Reported Disposition
3.2. Experimental Stimulation
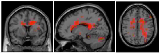
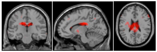
3.3. fMRI: Contrast Analysis
4. Discussion
4.1. Self-Reported Disposition to Shame and Guilt in BPD
4.2. Experimental Stimulation
4.3. Functional Imaging
4.4. Limitations
5. Conclusions
Author Contributions
Funding
Institutional Review Board Statement
Informed Consent Statement
Data Availability Statement
Conflicts of Interest
Appendix A
| Deutsch | English |
|---|---|
| Scham | Shame |
| Ich muss im Krankenhaus eine Bettpfanne benutzen. | I have to use a bedpan in hospital. |
| Ich werde beim Nase bohren beobachtet. | I am being watched while picking my nose. |
| Ich habe Mundgeruch. | I have bad breath. |
| Ich pupse laut in der Kirche. | I fart loudly in church. |
| Ich verwechsle einen Fremden mit meinem Partner. | I mistake a stranger for my partner. |
| Ich rülpse laut im Restaurant. | I burp loudly in a restaurant. |
| Ich spucke beim Sprechen. | I spit when I speak. |
| Ich treffe meinen Chef in der Sauna. | I bump into my boss in the sauna. |
| Ich schnarche laut während eines Vortrags. | I snore loudly during a lecture. |
| Ich werde von Nachbarn beim Sex beobachtet. | I am watched by neighbors during sex. |
| Ich bemerke, dass meine Hose offen steht. | I notice that my pants are open. |
| Ich bin der einzig verkleidete auf einer Party. | I am the only person dressed up at a party. |
| Ich erkenne einen alten Bekannten nicht. | I don’t recognize an old acquaintance. |
| Ich schwitze sichtlich unter den Armen. | I’m visibly sweating under my arms. |
| Ich pinkele in die Hose. | I pee in my pants. |
| Schuld | Guilt |
| Ich teile mein Wasser nicht mit jemand durstigem. | I don’t share my water with someone thirsty. |
| Ich habe kaum Zeit für meinen Partner. | I barely have time for my partner. |
| Ich schicke einen Touristen in die falsche Richtung. | I send a tourist in the wrong direction. |
| Ich hindere jemanden nicht, Fehler zu begehen. | I don’t stop someone from making mistakes. |
| Ich schlage einem Freund einen Gefallen aus. | I refuse to do a friend a favor. |
| Ich überfahre einen Igel. | I run over a hedgehog. |
| Ich übertrage eine Grippe an Kollegen. | I pass on the flu to colleagues. |
| Ich ruhe mich auf Lorbeeren anderer aus. | I rest on the laurels of others. |
| Ich mache Urlaub, während mein Partner im Krankenhaus liegt. | I go on vacation while my partner is in the hospital. |
| Ich mobbe Kollegen. | I bully colleagues. |
| Ich remple eine alte Dame um. | I knock over an old lady. |
| Ich war lange nicht mehr am Grab meiner Großeltern. | I haven’t been to my grandparents’ grave for a long time. |
| Ich sage kurzfristig ein wichtiges Gespräch ab. | I cancel an important meeting at short notice. |
| Ich nehme keine Rücksicht auf andere. | I show no consideration for others. |
| Ich stolpere über einen Welpen. | I trip over a puppy. |
| Neutral | Neutral |
| Ich falte eine Decke und lege diese auf das Sofa. | I fold a blanket and lay it on the sofa. |
| Ich knipse das Licht an. | I switch on the light. |
| Ich rühre die Milch im Kaffee um. | I stir the milk in my coffee. |
| Ich nehme ein Stück Seife um meine Hände zu waschen. | I take a bar of soap to wash my hands. |
| Ich wische den Tisch ab. | I wipe the table. |
| Ich spaziere gemütlich zum Bus. | I take a leisurely stroll to the bus. |
| Ich putze mir die Zähne. | I brush my teeth. |
| Ich creme mir die Hände ein. | I put lotion on my hands. |
| Ich schüttele die Kissen meines Bettes auf. | I fluff the pillows on my bed. |
| Ich blättere in einem Katalog. | I leaf through a catalog. |
| Ich gieße die Blumen auf meinem Balkon. | I water the flowers on my balcony. |
| Ich esse zu Abend. | I eat dinner. |
| Ich verschließe einen Brief. | I seal a letter. |
| Ich reiße eine Milchtüte auf. | I tear open a carton of milk. |
| Ich trinke in meiner Pause einen Kaffee. | I drink a coffee during my break. |
References
- Gunderson, J.G.; Herpertz, S.C.; Skodol, A.E.; Torgersen, S.; Zanarini, M.C. Borderline personality disorder. Nat. Rev. Dis. Primers 2018, 4, 18029. [Google Scholar] [CrossRef]
- Buchman-Wildbaum, T.; Unoka, Z.; Dudas, R.; Vizin, G.; Demetrovics, Z.; Richman, M.J. Shame in borderline personality disorder: Meta-analysis. J. Pers. Disord. 2021, 35, 149–161. [Google Scholar] [CrossRef]
- Scheel, C.N.; Schneid, E.M.; Tuescher, O.; Lieb, K.; Tuschen-Caffier, B.; Jacob, G.A. Effects of shame induction in borderline personality disorder. Cognit. Ther. Res. 2013, 37, 1160–1168. [Google Scholar] [CrossRef]
- Spitzer, C.; Jelinek, L.; Baumann, E.; Benecke, C.; Schmidt, A.F. Negative self-conscious emotions in women with borderline personality disorder as assessed by an implicit association test. Personal Disord. 2021, 12, 456–465. [Google Scholar] [CrossRef]
- Jankowski, K.F.; Takahashi, H. Cognitive neuroscience of social emotions and implications for psychopathology: Examining embarrassment, guilt, envy, and schadenfreude. Psychiatry Clin. Neurosci. 2014, 68, 319–336. [Google Scholar] [CrossRef]
- Schoenleber, M.; Berenbaum, H. Shame regulation in personality pathology. J. Abnorm. Psychol. 2012, 121, 433–446. [Google Scholar] [CrossRef]
- Brown, M.Z.; Linehan, M.M.; Comtois, K.A.; Murray, A.; Chapman, A.L. Shame as a prospective predictor of self-inflicted injury in borderline personality disorder: A multi-modal analysis. Behav. Res. Ther. 2009, 47, 815–822. [Google Scholar] [CrossRef]
- Rüsch, N.; Lieb, K.; Göttler, I.; Hermann, C.; Schramm, E.; Richter, H.; Jacob, G.A.; Corrigan, P.W.; Bohus, M. Shame and implicit self-concept in women with borderline personality disorder. Am. J. Psychiatry 2007, 164, 500–508. [Google Scholar] [CrossRef]
- Sanchez, H.; Angus Clark, D.; Fields, S.A. The relationship between impulsivity and shame and guilt proneness on the prediction of internalizing and externalizing behaviors. Heliyon 2019, 5, e02746. [Google Scholar] [CrossRef]
- Sekowski, M.; Gambin, M.; Cudo, A.; Wozniak-Prus, M.; Penner, F.; Fonagy, P.; Sharp, C. The relations between childhood maltreatment, shame, guilt, depression and suicidal ideation in inpatient adolescents. J. Affect. Disord. 2020, 276, 667–677. [Google Scholar] [CrossRef]
- Spitzen, T.L.; Tull, M.T.; Baer, M.M.; Dixon-Gordon, K.L.; Chapman, A.L.; Gratz, K.L. Predicting engagement in nonsuicidal self-injury (NSSI) over the course of 12 months: The roles of borderline personality disorder pathology and emotional consequences of nssi. J. Affect. Disord. 2020, 277, 631–639. [Google Scholar] [CrossRef]
- Weatherford, J.V.; Ruork, A.K.; Yin, Q.; Lopez, A.C.; Rizvi, S.L. Shame, suicidal ideation, and urges for non-suicidal self-injury among individuals with borderline personality disorder receiving dialectical behavior therapy: The mediating role of anger. Suicide Life Threat. Behav. 2024, 54, 338–348. [Google Scholar] [CrossRef]
- Peters, J.R.; Geiger, P.J. Borderline personality disorder and self-conscious affect: Too much shame but not enough guilt? Personal Disord. 2016, 7, 303–308. [Google Scholar] [CrossRef]
- Cameron, A.Y.; Benz, M.; Reed, K.P. The role of guilt and shame in psychosocial functioning in a sample of women with borderline personality disorder. J. Nerv. Ment. Dis. 2021, 209, 13–16. [Google Scholar] [CrossRef]
- Kim, S.; Thibodeau, R.; Jorgensen, R.S. Shame, guilt, and depressive symptoms: A meta-analytic review. Psychol. Bull. 2011, 137, 68–96. [Google Scholar] [CrossRef]
- Cândea, D.M.; Szentagotai-Tăta, A. Shame-proneness, guilt-proneness and anxiety symptoms: A meta-analysis. J. Anxiety Disord. 2018, 58, 78–106. [Google Scholar] [CrossRef]
- Schuster, P.; Beutel, M.E.; Hoyer, J.; Leibing, E.; Nolting, B.; Salzer, S.; Strauss, B.; Wiltink, J.; Steinert, C.; Leichsenring, F. The role of shame and guilt in social anxiety disorder. J. Affect. Disord. Rep. 2021, 6, 100208. [Google Scholar] [CrossRef]
- Hennig-Fast, K.; Michl, P.; Müller, J.; Niedermeier, N.; Coates, U.; Müller, N.; Engel, R.R.; Möller, H.J.; Reiser, M.; Meindl, T. Obsessive-compulsive disorder—A question of conscience? An fmri study of behavioural and neurofunctional correlates of shame and guilt. J. Psychiatr. Res. 2015, 68, 354–362. [Google Scholar] [CrossRef]
- Bannister, J.A.; Colvonen, P.J.; Angkaw, A.C.; Norman, S.B. Differential relationships of guilt and shame on posttraumatic stress disorder among veterans. Psychol. Trauma 2019, 11, 35–42. [Google Scholar] [CrossRef]
- Sanftner, J.L.; Barlow, D.H.; Marschall, D.E.; Tangney, J.P. The relation of shame and guilt to eating disorder symptomatology. J. Soc. Clin. Psychol. 1995, 14, 315–324. [Google Scholar] [CrossRef]
- Dearing, R.L.; Stuewig, J.; Tangney, J.P. On the importance of distinguishing shame from guilt: Relations to problematic alcohol and drug use. Addict. Behav. 2005, 30, 1392–1404. [Google Scholar] [CrossRef]
- Irwin, H.J. Affective predictors of dissociation ii: Shame and guilt. J. Clin. Psychol. 1998, 54, 237–245. [Google Scholar] [CrossRef]
- Winter, D.; Bohus, M.; Lis, S. Understanding negative self-evaluations in borderline personality disorder—A review of self-related cognitions, emotions, and motives. Curr. Psychiatry Rep. 2017, 19, 17. [Google Scholar] [CrossRef]
- Biermann, M.; Schulze, A.; Vonderlin, R.; Bohus, M.; Lyssenko, L.; Lis, S. Shame, self-disgust, and envy: An experimental study on negative emotional response in borderline personality disorder during the confrontation with the own face. Front. Psychiatry 2023, 14, 1082785. [Google Scholar] [CrossRef]
- Bozzatello, P.; Rocca, P.; Baldassarri, L.; Bosia, M.; Bellino, S. The role of trauma in early onset borderline personality disorder: A biopsychosocial perspective. Front. Psychiatry 2021, 12, 721361. [Google Scholar] [CrossRef]
- Neuner, F. Physical and social trauma: Towards an integrative transdiagnostic perspective on psychological trauma that involves threats to status and belonging. Clin. Psychol. Rev. 2023, 99, 102219. [Google Scholar] [CrossRef]
- Bockers, E.; Roepke, S.; Michael, L.; Renneberg, B.; Knaevelsrud, C. The role of generalized explicit and implicit guilt and shame in interpersonal traumatization and posttraumatic stress disorder. J. Nerv. Ment. Dis. 2016, 204, 95–99. [Google Scholar] [CrossRef]
- Stuewig, J.; McCloskey, L.A. The relation of child maltreatment to shame and guilt among adolescents: Psychological routes to depression and delinquency. Child Maltreatment 2005, 10, 324–336. [Google Scholar] [CrossRef]
- Dorahy, M.J. The impact of dissociation, shame, and guilt on interpersonal relationships in chronically traumatized individuals: A pilot study. J. Trauma. Stress 2010, 23, 653–656. [Google Scholar] [CrossRef]
- Michl, P.; Meindl, T.; Meister, F.; Born, C.; Engel, R.R.; Reiser, M.; Hennig-Fast, K. Neurobiological underpinnings of shame and guilt: A pilot fmri study. Soc. Cogn. Affect. Neurosci. 2014, 9, 150–157. [Google Scholar] [CrossRef]
- Bastin, C.; Harrison, B.J.; Davey, C.G.; Moll, J.; Whittle, S. Feelings of shame, embarrassment and guilt and their neural correlates: A systematic review. Neurosci. Biobehav. Rev. 2016, 71, 455–471. [Google Scholar] [CrossRef]
- Piretti, L.; Pappaianni, E.; Garbin, C.; Rumiati, R.I.; Job, R.; Grecucci, A. The neural signtures of shame, embarrassment and guilt: A voxel-based meta-analysis on functional neuroimaging studies. Brain Sci. 2023, 13, 559. [Google Scholar] [CrossRef]
- Lloyd, C.S.; Nicholson, A.A.; Densmore, M.; Théberge, J.; Neufeld, R.W.J.; Jetly, R.; McKinnon, M.C.; Lanius, R.A. Shame on the brain: Neural correlates of moral injury event recall in posttraumatic stress disorder. Depress. Anxiety 2021, 38, 596–605. [Google Scholar] [CrossRef]
- Hazlett, E.A.; New, A.S.; Newmark, R.; Haznedar, M.M.; Lo, J.N.; Speiser, L.J.; Chen, A.D.; Mitropoulou, V.; Minzenberg, M.; Siever, L.J.; et al. Reduced anterior and posterior cingulate gray matter in borderline personality disorder. Biol. Psychiatry 2005, 58, 614–623. [Google Scholar] [CrossRef]
- Hazlett, E.A.; Zhang, J.; New, A.S.; Zelmanova, Y.; Goldstein, K.E.; Haznedar, M.M.; Meyerson, D.; Goodman, M.; Siever, L.J.; Chu, K.W. Potentiated amygdala response to repeated emotional pictures in borderline personality disorder. Biol. Psychiatry 2012, 72, 448–456. [Google Scholar] [CrossRef]
- Van Schie, C.C.; Chiu, C.D.; Rombouts, S.A.R.B.; Heiser, W.J.; Elzinga, B.M. Stuck in a negative me: Fmri study on the role of disturbed self-views in social feedback processing in borderline personality disorder. Psychol. Med. 2020, 50, 625–635. [Google Scholar] [CrossRef]
- Orth, L.; Zweerings, J.; Ibrahim, C.N.; Neuner, I.; Sarkheil, P. Altered functional connectivity during evaluation of self-relevance in women with borderline personality disorder. NeuroImage Clin. 2020, 27, 102324. [Google Scholar] [CrossRef]
- Göttlich, M.; Westermair, A.L.; Beyer, F.; Bußmann, M.L.; Schweiger, U.; Krämer, U.M. Neural basis of shame and guilt experience in women with borderline personality disorder. Eur. Arch. Psychiatry Clin. Neurosci. 2020, 270, 979–992. [Google Scholar] [CrossRef]
- Guex, R.; Mendez-Bertolo, C.; Moratti, S.; Strange, B.A.; Spinelli, L.; Murray, R.J.; Sander, D.; Seeck, M.; Vuilleumier, P.; Dominguez-Borras, J. Temporal dynamics of amygdala response to emotion- and action-relevance. Sci. Rep. 2020, 10, 11138. [Google Scholar] [CrossRef]
- Schmidt, K.H.; Metzler, P. Wst-Wortschatztest, 16th ed.; Beltz Test: Göttingen, Germany, 1992. [Google Scholar]
- Wittchen, H.-U.; Zaudig, M.; Fydrich, T. Skid. Strukturiertes Klinisches Interview für Dsm-iv. Achse i und ii; Handanweisung. Hogrefe-Verlag: Göttingen, Germany, 1997. [Google Scholar]
- Thirion, B.; Pinel, P.; Mériaux, S.; Roche, A.; Dehaene, S.; Poline, J.-B. Analysis of a large fmri cohort: Statistical and methodological issues for group analyses. Neuroimage 2007, 35, 105–120. [Google Scholar] [CrossRef]
- Leichsenring, F. Boderline-Persönlichkeits-Inventar: (bpi); Hogrefe: Newburyport, MA, USA, 1997. [Google Scholar]
- Kämmerer, A. Heidelberger Fragebogen zu Schamgefühlen (hfs); Skala-1 Körper und Sexualität; Skala-2 Leistung und Soziale Kompetenz; Swets & Zeitlinger: Lisse, The Netherlands, 2003. [Google Scholar]
- O’Connor, L.E.; Berry, J.W.; Weiss, J.; Bush, M.; Sampson, H. Interpersonal guilt: The development of a new measure. J. Clin. Psychol. 1997, 53, 73–89. [Google Scholar] [CrossRef]
- Parpart, H.M. Die Rolle Sozialer Emotionen in der Borderline-Persönlichkeitsstörung. Klinische, Behavoirale und Neurofunktioelle Untersuchungen von Scham und Schuld im Vergleich mit Angst und Ärger; Utz-Verlag: München, Germany, 2016. [Google Scholar]
- IBM Corp. IBM SPSS Statistics for Windows; IBM Corp.: Armonk, NY, USA, 2017. [Google Scholar]
- R Foundation for Statistical Computing. R: A Language and Environment for Statistical Computing; R Foundation for Statistical Computing: Vienna, Austria, 2021. [Google Scholar]
- Ashburner, J.; Gareth, B.; Chen, C.-C.; Daunizeau, J.; Flandin, G.; Friston, K.; Kiebel, S.; Kilner, J.; Litvak, V.; Moran, R.; et al. Statistical Parametric Mapping®, Spm 8 [Software]; Welcome Trust Centre for Neuroimaging, Institute of Neurology: London, UK, 2011.
- MathWorks. Matlab, Version 7.14.0.739 [Software]; The MathWorks Inc.: Natick, MA, USA, 2012.
- Talairach, J.; Tournoux, P. Co-Planar Stereotaxic Atlas of the Human Brain: 3-Dimensional Proportional System: An Approach to Cerebral Imaging; Thieme Medical Publischers, Inc.: New York, NY, USA, 1988. [Google Scholar]
- Stark, C.E.L.; Squire, L.R. When zero is not zero: The problem of ambiguous baseline conditions in FMRI. Proc. Natl. Acad. Sci. USA 2001, 98, 12760–12765. [Google Scholar] [CrossRef]
- Gratz, K.L.; Rosenthal, M.Z.; Tull, M.T.; Lejuez, C.W.; Gunderson, J.G. An experimental investigation of emotional reactivity and delayed emotional recovery in borderline personality disorder: The role of shame. Compr. Psychiatry 2010, 51, 275–285. [Google Scholar] [CrossRef]
- Kocherscheidt, K.; Fiedler, P.; Kronmüller, K.T.; Backenstraß, M.; Mundt, C. Zur empirischen unterscheidung von scham und schuld: Beschreibung und evaluierung der dt. Version des tosca. [on differentiating shame and guilt: Description and validation of the german version of the tosca.]. Z. Für Differ. Und Diagn. Psychol. 2002, 23, 217–224. [Google Scholar]
- Ruocco, A.C.; Amirthavasagam, S.; Choi-Kain, L.W.; McMain, S.F. Neural correlates of negative emotionality in borderline personality disorder: An activation-likelihood-estimation meta-analysis. Biol. Psychiatry 2013, 73, 153–160. [Google Scholar] [CrossRef]
- Jacob, G.A.; Arendt, J.; Kolley, L.; Scheel, C.N.; Bader, K.; Lieb, K.; Arntz, A.; Tüscher, O. Comparison of different strategies to decrease negative affect and increase positive affect in women with borderline personality disorder. Behav. Res. Ther. 2011, 49, 68–73. [Google Scholar] [CrossRef]
- Marissen, M.A.E.; Meuleman, L.; Franken, I.H.A. Altered emotional information processing in borderline personality disorder: An electrophysiological study. Psychiatry Res. Neuroimaging 2010, 181, 226–232. [Google Scholar] [CrossRef]
- Limberg, A.; Barnow, S.; Freyberger, H.J.; Hamm, A.O. Emotional vulnerability in borderline personality disorder is cue specific and modulated by traumatization. Biol. Psychiatry 2011, 69, 574–582. [Google Scholar] [CrossRef]
- Fernando, S.C.; Beblo, T.; Lamers, A.; Schlosser, N.; Woermann, F.G.; Driessen, M.; Toepper, M. Neural correlates of emotion acceptance and suppression in borderline personality disorder. Front. Psychiatry 2023, 13, 1066218. [Google Scholar] [CrossRef]
- Blasi, G.; Goldberg, T.E.; Weickert, T.; Das, S.; Kohn, P.; Zoltick, B.; Callicott, J.H.; Weinberger, D.R.; Mattay, V.S. Brain regions underlying response inhibition and interference monitoring and suppression. Eur. J. Neurosci. 2006, 23, 1658–1664. [Google Scholar] [CrossRef]
- Fourie, M.M.; Thomas, K.G.F.; Amodio, D.M.; Warton, C.M.R.; Meintjes, E.M. Neural correlates of experienced moral emotion: An fmri investigation of emotion in response to prejudice feedback. Soc. Neurosci. 2014, 9, 203–218. [Google Scholar] [CrossRef]
- Lei, X.; Zhong, M.; Zhang, B.; Yang, H.; Peng, W.; Liu, Q.; Zhang, Y.; Yao, S.; Tan, C.; Yi, J. Structural and functional connectivity of the anterior cingulate cortex in patients with borderline personality disorder. Front. Neurosci. 2019, 13, 971. [Google Scholar] [CrossRef]
- Herpertz, S.C.; Dietrich, T.M.; Wenning, B.; Krings, T.; Erberich, S.G.; Willmes, K.; Thron, A.; Sass, H. Evidence of abnormal amygdala functioning in borderline personality disorder: A functional MRI study. Biol. Psychiatry 2001, 50, 292–298. [Google Scholar] [CrossRef]
- Koenigsberg, H.W.; Siever, L.J.; Lee, H.; Pizzarello, S.; New, A.S.; Goodman, M.; Cheng, H.; Flory, J.; Prohovnik, I. Neural correlates of emotion processing in borderline personality disorder. Psychiatry Res. Neuroimaging 2009, 172, 192–199. [Google Scholar] [CrossRef]
- Phan, K.L.; Wager, T.; Taylor, S.F.; Liberzon, I. Functional neuroanatomy of emotion: A meta-analysis of emotion activation studies in pet and FMRI. Neuroimage 2002, 16, 331–348. [Google Scholar] [CrossRef]
- Kosslyn, S.M.; Ganis, G.; Thompson, W.L. Neural foundations of imagery. Neuroscience 2001, 2, 635–642. [Google Scholar] [CrossRef]
- Kosslyn, S.M.; Thompson, W.L. When is early visual cortex activated during visual mental imagery? Psychol. Bull. 2003, 129, 723–746. [Google Scholar] [CrossRef]
- Decety, J.; Grèzes, J. The power of simulation: Imagining one’s own and other’s behavior. Brain Res. 2006, 1079, 4–14. [Google Scholar] [CrossRef]
- Grahn, J.A.; Parkinson, J.A.; Owen, A.M. The cognitive functions of the caudate nucleus. Prog. Neurobiol. 2008, 86, 141–155. [Google Scholar] [CrossRef]
- Lewis, H.B. Shame and guilt in neurosis. Psychoanal. Rev. 1971, 58, 419. [Google Scholar]
- Buchner, A. Funktionen und Modelle des Gedächtnisses, 3rd ed.; Karnath, H.O., Thier, P., Eds.; Springer: Berlin/Heidelberg, Germany, 2012; pp. 541–552. [Google Scholar]
- Noulhiane, M.; Piolino, P.; Hasboun, D.; Clemenceau, S.; Baulac, M.; Samson, S. Autobiographical memory after temporal lobe resection: Neuropsychological and mri volumetric findings. Brain 2007, 130, 3184–3199. [Google Scholar] [CrossRef]
- Beer, J.S. Neural Systems for Self-Conscious Emotions and Their Underlying Appraisals; Tracy, J.L., Robins, R.W., Tangney, J.P., Eds.; Guilford Publications: New York, NY, USA, 2007; pp. 53–67. [Google Scholar]
- Takahashi, H.; Yahata, N.; Koeda, M.; Matsuda, T.; Asai, K.; Okubo, Y. Brain activation associated with evaluative processes of guilt and embarrassment: An FMRI study. Neuroimage 2004, 23, 967–974. [Google Scholar] [CrossRef]
- Carvalho Fernando, S.; Beblo, T.; Schlosser, N.; Terfehr, K.; Otte, C.; Löwe, B.; Wolf, O.T.; Spitzer, C.; Driessen, M.; Wingenfeld, K. The impact of self-reported childhood trauma on emotion regulation in borderline personality disorder and major depression. J. Trauma Dissociation 2014, 15, 384–401. [Google Scholar] [CrossRef]
- Zhu, R.; Feng, C.; Zhang, S.; Mai, X.; Liu, C. Differentiating guilt and shame in an interpersonal context with univariate activation and multivariate pattern analyses. Neuroimage 2019, 186, 476–486. [Google Scholar] [CrossRef]
- Desmond, J.E.; Glover, G.H. Estimating sample size in functional mri (fmri) neuroimaging studies: Statistical power analyses. J. Neurosci. Methods 2002, 118, 115–128. [Google Scholar] [CrossRef]
- Chapman, A.L.; Dixon-Gordon, K.L.; Walters, K.N. Experiential avoidance and emotion regulation in borderline personality disorder. J. Ration. Emot. Cogn. Behav. Ther. 2011, 29, 35–52. [Google Scholar] [CrossRef]
- Dixon-Gordon, K.L.; Turner, B.J.; Rosenthal, M.Z.; Chapman, A.L. Emotion regulation in borderline personality disorder: An experimental investigation of the effects of instructed acceptance and suppression. Behav. Ther. 2017, 48, 750–764. [Google Scholar] [CrossRef]
- Daros, A.R.; Williams, G.E. A meta-analysis and systematic review of emotion-regulation strategies in borderline personality disorder. Harv. Rev. Psychiatry 2019, 27, 217–232. [Google Scholar] [CrossRef]
- Nicolaou, S.; Goldberg, S.F.; Michael, K.M.; Berenson, K.R. Responses to validating versus reframing support strategies as a function of borderline personality features and interpersonal problems. Cogent Psychol. 2023, 10, 2146280. [Google Scholar] [CrossRef]



| Measure | Scale | Mean (SD) or % BPD Patients | Mean (SD) or % Healthy Controls | t(df) | p |
|---|---|---|---|---|---|
| HFS | Body and sexuality | 76.53 (14.55) | 70.15 (12.55) | 1.47 (37) | 0.151 |
| Performance and social competence | 71.75 (17.16) | 67.65 (17.34) | 0.75 (38) | 0.457 | |
| IGQ | Total | 65.80 (11.91) | 52.65 (13.50) | 3.27 (38) | 0.002 |
| Cluster | Cluster-Size | Brain Regions | Hemisphere | BA | MNI-Coordinates (x, y, z) | T | ||
|---|---|---|---|---|---|---|---|---|
| Shame: BPD patients > healthy controls | ||||||||
| 1 | 6266 | Gyrus cinguli | R | 24 | 16 | 8 | 32 | 4.12 |
| Cingulum posterior | R | 23 | 14 | −38 | 18 | 4.07 | ||
| Cingulum anterior | R | 33 | 10 | 26 | 12 | 3.58 | ||
| 2 | 1273 | Declive (Cerebellum) | L | * | −30 | −82 | −16 | 3.56 |
| Gyrus fusiformis | R | 19 | 32 | −80 | −10 | 3.46 | ||
| Pyramis (Declive) | R | * | 16 | −80 | −26 | 2.98 | ||
| Shame: healthy controls > BPD patients | ||||||||
| 1 | 1920 | Cuneus | L | 18 | −2 | −94 | 12 | 3.22 |
| Cuneus | L | 18 | −8 | −88 | 32 | 2.70 | ||
| Gyrus lingualis | L | * | −14 | −74 | 6 | 2.63 | ||
| Cluster | Cluster-Size | Brain Regions | Hemisphere | BA | MNI-Coordinates (x, y, z) | T | ||
|---|---|---|---|---|---|---|---|---|
| Guilt: BPD patients > healthy controls | ||||||||
| 1 | 2302 | Nucleus caudatus | L | * | −12 | −22 | 28 | 6.22 |
| Gyrus cinguli | L | 23 | −4 | −12 | 24 | 4.62 | ||
| Gyrus cinguli | R | 23 | 12 | −16 | 26 | 4.16 | ||
| 2 | 890 | Gyrus fusiformis | R | 19 | 32 | −80 | −10 | 4.38 |
| Pyramis (CB) | R | * | 14 | −80 | −26 | 2.92 | ||
| Declive (CB) | R | * | 6 | −82 | −20 | 2.37 | ||
| 3 | 872 | Declive (CB) | L | * | −28 | −82 | −14 | 3.76 |
| Gyrus occipitalis inferior | L | 19 | −44 | −82 | 2 | 3.62 | ||
| Gyrus fusiformis | L | 19 | −46 | −76 | −8 | 2.78 | ||
| Guilt: Healthy controls > BPD patients | ||||||||
| 1 | 7154 | Cuneus | R | 18 | 6 | −78 | 24 | 4.05 |
| Gyrus lingualis | L | * | −14 | −74 | 6 | 4.02 | ||
| Gyrus lingualis | R | 18 | 16 | −68 | 2 | 4.00 | ||
| 2 | 1279 | Gyrus praecentralis | R | 6 | 62 | 2 | 22 | 3.73 |
| Gyrus praecentralis | R | 4 | 52 | −12 | 44 | 3.00 | ||
| Gyrus postcentralis | R | 4 | 62 | −10 | 32 | 2.86 | ||
| 3 | 838 | Gyrus temporalis superior | R | 22 | 64 | 14 | −8 | 4.03 |
| Gyrus temporalis superior | R | 38 | 62 | 14 | −16 | 3.40 | ||
| Uncus | R | 36 | 24 | −4 | −34 | 3.24 | ||
Disclaimer/Publisher’s Note: The statements, opinions and data contained in all publications are solely those of the individual author(s) and contributor(s) and not of MDPI and/or the editor(s). MDPI and/or the editor(s) disclaim responsibility for any injury to people or property resulting from any ideas, methods, instructions or products referred to in the content. |
© 2024 by the authors. Licensee MDPI, Basel, Switzerland. This article is an open access article distributed under the terms and conditions of the Creative Commons Attribution (CC BY) license (https://creativecommons.org/licenses/by/4.0/).
Share and Cite
Parpart, H.; Blass, J.; Meindl, T.; Blautzik, J.; Michl, P.; Beblo, T.; Engel, R.; Reiser, M.; Falkai, P.; Moeller, H.-J.; et al. Two Sides of the Same Coin in Female Borderline Personality Disorder: Self-Reported Guilt and Shame and Their Neurofunctional Correlates. Brain Sci. 2024, 14, 549. https://doi.org/10.3390/brainsci14060549
Parpart H, Blass J, Meindl T, Blautzik J, Michl P, Beblo T, Engel R, Reiser M, Falkai P, Moeller H-J, et al. Two Sides of the Same Coin in Female Borderline Personality Disorder: Self-Reported Guilt and Shame and Their Neurofunctional Correlates. Brain Sciences. 2024; 14(6):549. https://doi.org/10.3390/brainsci14060549
Chicago/Turabian StyleParpart, Hella, Jakob Blass, Thomas Meindl, Janusch Blautzik, Petra Michl, Thomas Beblo, Rolf Engel, Maximilian Reiser, Peter Falkai, Hans-Juergen Moeller, and et al. 2024. "Two Sides of the Same Coin in Female Borderline Personality Disorder: Self-Reported Guilt and Shame and Their Neurofunctional Correlates" Brain Sciences 14, no. 6: 549. https://doi.org/10.3390/brainsci14060549
APA StyleParpart, H., Blass, J., Meindl, T., Blautzik, J., Michl, P., Beblo, T., Engel, R., Reiser, M., Falkai, P., Moeller, H.-J., Driessen, M., & Hennig-Fast, K. (2024). Two Sides of the Same Coin in Female Borderline Personality Disorder: Self-Reported Guilt and Shame and Their Neurofunctional Correlates. Brain Sciences, 14(6), 549. https://doi.org/10.3390/brainsci14060549
