Pioneering Augmented and Mixed Reality in Cranial Surgery: The First Latin American Experience
Abstract
1. Introduction
2. Materials and Methods
2.1. Study Design
2.2. Patient Selection
2.3. Equipment and Software
2.4. Preoperative Planning
- Imaging Acquisition: Preoperative MRI and CT scans were obtained for each patient, ensuring high-quality imaging data for 3D reconstruction.
- Image Processing: DICOM images were processed using VisAR software to create 3D virtual models of the patient’s anatomy, highlighting the lesions and surrounding critical structures.
- Registration: Radiopaque tags were placed around the surgical site on the patient’s skin or bones to facilitate the accurate registration of virtual images with real-time anatomy during surgery.
2.5. Surgical Procedure
- Setup: Patients were positioned according to standard neurosurgical protocols for the specific cranial approach. The HoloLens 2 device was calibrated, and the AR system was configured.
- Navigation: Surgeons wore the HoloLens 2 device, which superimposed the 3D virtual images onto the patient’s anatomy. Voice commands were used to manipulate the images.
- Surgical Intervention: The surgeries were performed using standard neurosurgical techniques with real-time AR guidance. The surgeon’s field of view included critical information overlaid on the patient’s anatomy, enhancing precision in lesion localization and resection.
3. Results
3.1. Case 1
3.2. Case 2
3.3. Case 3
4. Discussion
4.1. Technological Integration and Surgical Precision
4.2. Case Outcomes and Clinical Benefits
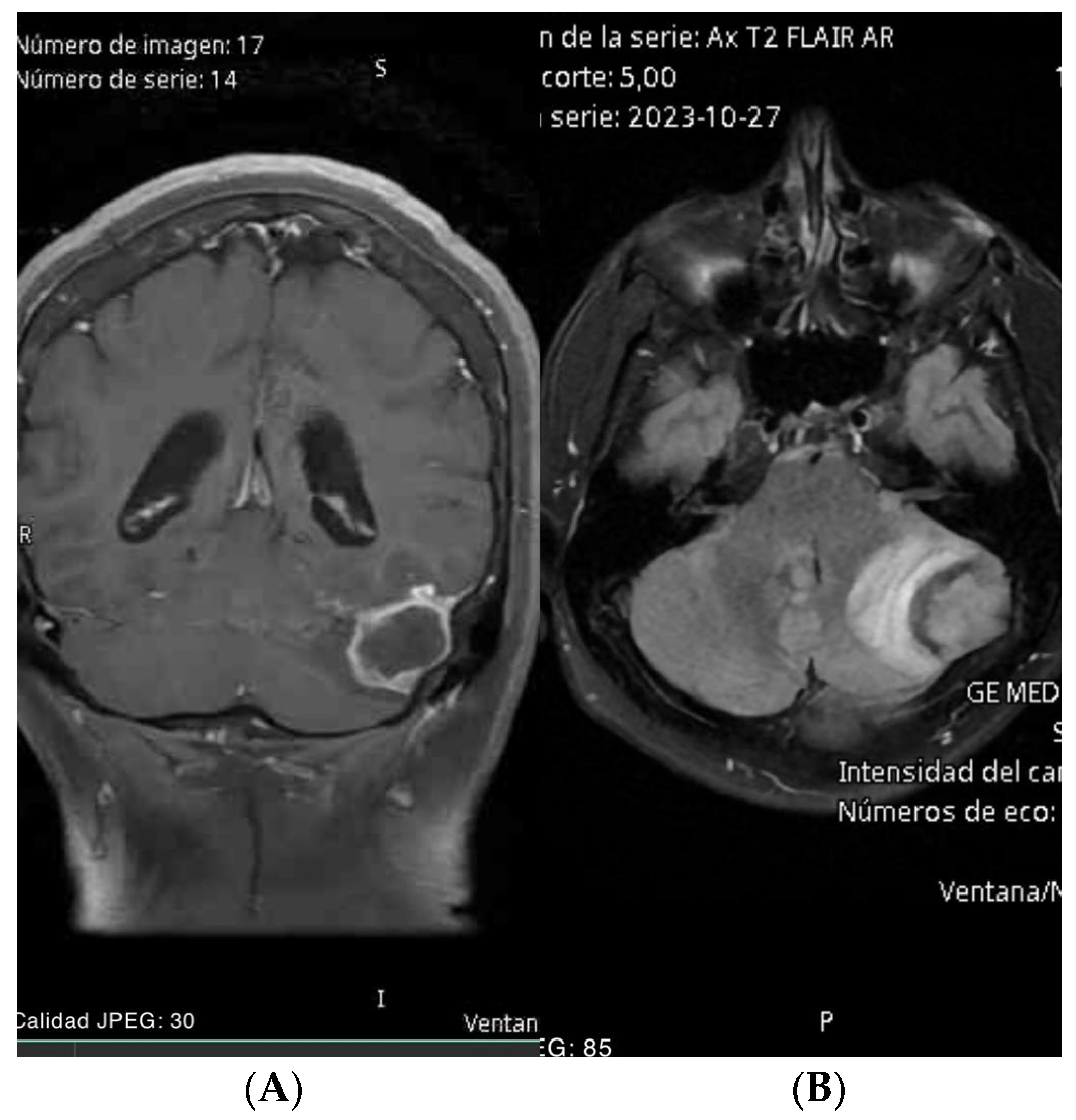
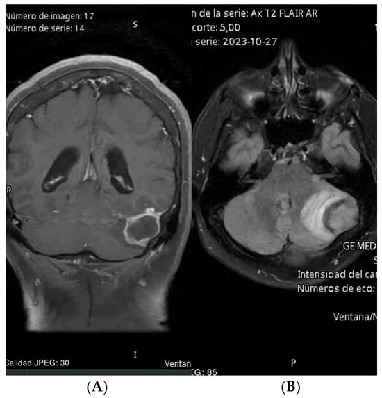
- Case 1: The AR-assisted retrosigmoid approach facilitated an 80% subtotal resection of a complex infratentorial meningioma, resulting in significant symptomatic relief and minimal postoperative complications. This underscores the potential of AR to enhance surgical outcomes in challenging anatomical regions (on the sigmoid and transverse sinuses). (Figure 1 and Figure 2). The patient’s rapid recovery and favorable outcome further emphasize the clinical advantages of AR-guided surgery.
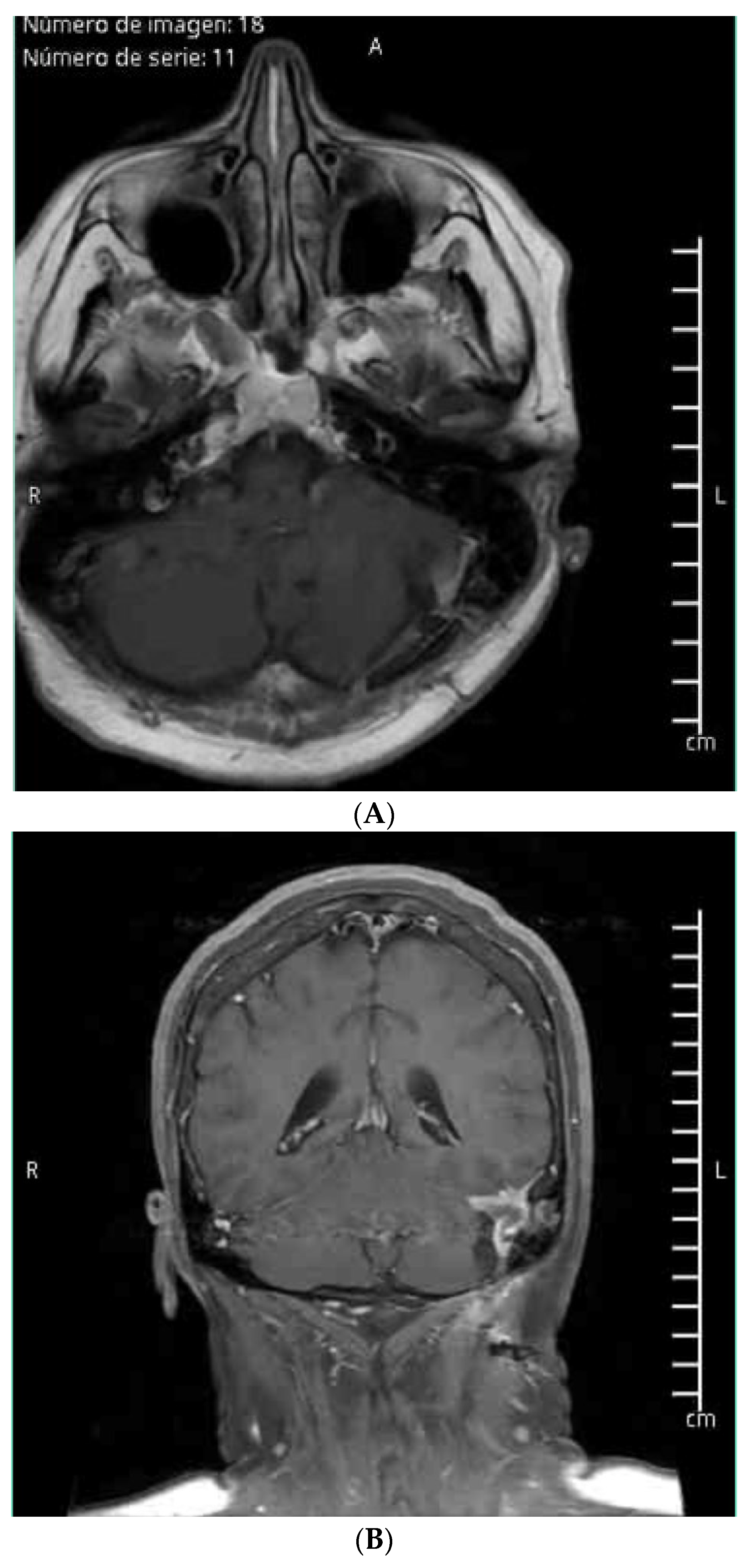
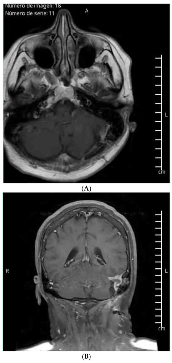
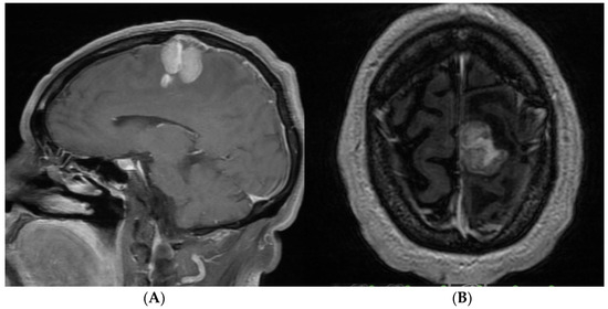
- Case 2: The AR-assisted transtentorial approach enabled near-total resection of a pineal region ependymoma, illustrating the technology’s efficacy in managing deep-seated tumors with complex vascular relationships; guided by AR to the pineal region where the tumor was located, in turn, AR allowed us to know the limits of the tumor; those limits were blocked to direct vision by the parenchyma and vascular structures (in-ferior sagittal sinuses, internal cerebral veins, basal of Rosenthal, vein of Galen, rectus, and inferior longitudinal sinus).
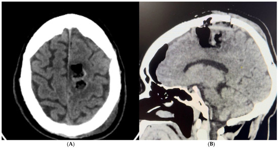
- Case 3: The use of AR in guiding craniectomy for a pre-rolandic lesion ensured complete resection with excellent functional recovery, demonstrating the precision and effectiveness of AR in locate cortical tumor and the main benefit was knowing the exact topographic relationship of vascular structures where we performed a classic craniotomy and posterior interhemispheric dissection preventing the risk of an inadvertent vascular lesion.
4.3. Clinical Outcomes
4.4. Comparison with Conventional Techniques
4.5. Challenges and Considerations
4.6. Cost-Effectiveness and Accessibility
4.7. Learning Curve
4.8. Looking Ahead
4.9. Limitations and Future Directions
- Limited Case Sample: The study only presents three case studies, which may not be sufficient to generalize the effectiveness and reliability of AR and MR technologies in cranial surgery across diverse patient populations and different types of cranial conditions.
- Short-Term Follow-Up: The article primarily discusses immediate postoperative outcomes, with no information on long-term follow-up. Long-term data are crucial to assess the durability of surgical outcomes and the potential for delayed complications.
- Lack of a Control Group: The study does not include a control group undergoing traditional surgical navigation methods. This omission makes it difficult to directly compare the benefits and potential drawbacks of AR/MR-assisted surgeries versus conventional techniques.
- Training and Expertise: The article does not provide detailed information on the level of training and expertise required for surgeons to effectively use AR and MR technologies. The learning curve and proficiency levels of different surgeons could significantly impact the outcomes.
- Cost Analysis: There is a lack of detailed cost analysis comparing AR/MR-assisted surgeries to conventional methods. Understanding the financial implications, including initial setup costs, maintenance, and potential savings from improved outcomes, is essential for broader adoption.
- Technological Limitations: The study acknowledges the technological setup and accuracy (2–3 mm) but does not discuss potential technical failures, software glitches, or the impact of hardware limitations in real-time surgical environments.
- Subjective Assessments: The reported benefits, such as enhanced precision and better outcomes, are largely qualitative and based on the authors’ observations. More objective metrics and standardized assessment tools would strengthen the evidence for AR and MR technologies in cranial surgery.
- Potential Bias: The involvement of the authors in pioneering the use of these technologies could introduce bias. Independent studies by other researchers or institutions would be valuable to corroborate the findings and minimize potential bias [54].
5. Conclusions
Author Contributions
Funding
Institutional Review Board Statement
Informed Consent Statement
Data Availability Statement
Conflicts of Interest
Abbreviations
References
- Hey, G.; Guyot, M.; Carter, A.; Lucke-Wold, B. Augmented Reality in Neurosurgery: A New Paradigm for Training. Medicina 2023, 59, 1721. [Google Scholar] [CrossRef] [PubMed] [PubMed Central]
- Barcali, E.; Iadanza, E.; Manetti, L.; Francia, P.; Nardi, C.; Bocchi, L. Augmented Reality in Surgery: A Scoping Review. Appl. Sci. 2022, 12, 6890. [Google Scholar] [CrossRef]
- Besharati Tabrizi, L.; Mahvash, M. Augmented reality-guided neurosurgery: Accuracy and intraoperative application of an image projection technique. J. Neurosurg. 2015, 123, 206–211. [Google Scholar] [CrossRef] [PubMed]
- Burström, G.; Persson, O.; Edström, E.; Elmi-Terander, A. Augmented reality navigation in spine surgery: A systematic review. Acta Neurochir. 2021, 163, 843–852. [Google Scholar] [CrossRef]
- Pratt, P.; Ives, M.; Lawton, G.; Simmons, J.; Radev, N.; Spyropoulou, L.; Amiras, D. Through the HoloLens™ looking glass: Augmented reality for extremity reconstruction surgery using 3D vascular models with perforating vessels. Eur. Radiol. Exp. 2018, 2, 2. [Google Scholar] [CrossRef]
- Vávra, P.; Roman, J.; Zonča, P.; Ihnát, P.; Němec, M.; Kumar, J.; Habib, N.; El-Gendi, A. Recent Development of Augmented Reality in Surgery: A Review. J. Healthc. Eng. 2017, 2017, 4574172. [Google Scholar] [CrossRef] [PubMed] [PubMed Central]
- Carl, B.; Bopp, M.; Saß, B.; Voellger, B.; Nimsky, C. Implementation of augmented reality support in spine surgery. Eur. Spine J. 2019, 28, 1697–1711. [Google Scholar] [CrossRef]
- Sharma, L.N.; Mallela, A.N.; Khan, T.; Canton, S.P.; Kass, N.M.; Steuer, F.; Jardini, J.; Biehl, J.; Andrews, E.G. Evolution of the meta-neurosurgeon: A systematic review of the current technical capabilities, limitations, and applications of augmented reality in neurosurgery. Surg. Neurol. Int. 2024, 15, 146. [Google Scholar] [CrossRef] [PubMed] [PubMed Central]
- Jean, W.C.; Piper, K.; Felbaum, D.R.; Saez-Alegre, M. The Inaugural “Century” of Mixed Reality in Cranial Surgery: Virtual Reality Rehearsal/Augmented Reality Guidance and Its Learning Curve in the First 100-Case, Single-Surgeon Series. Oper. Neurosurg. 2024, 26, 28–37. [Google Scholar] [CrossRef] [PubMed]
- Felix, B.; Kalatar, S.B.; Moatz, B.; Hofstetter, C.; Karsy, M.; Parr, R.; Gibby, W. Augmented Reality Spine Surgery Navigation: Increasing Pedicle Screw Insertion Accuracy for Both Open and Minimally Invasive Spine Surgeries. Spine 2022, 47, 865–872. [Google Scholar] [CrossRef]
- De Jesus Encarnacion Ramirez, M.; Chmutin, G.; Nurmukhametov, R.; Soto, G.R.; Kannan, S.; Piavchenko, G.; Nikolenko, V.; Efe, I.E.; Romero, A.R.; Mukengeshay, J.N.; et al. Integrating Augmented Reality in Spine Surgery: Redefining Precision with New Technologies. Brain Sci. 2024, 14, 645. [Google Scholar] [CrossRef] [PubMed]
- Dinh, A.; Yin, A.L.; Estrin, D.; Greenwald, P.; Fortenko, A. Augmented Reality in Real-time Telemedicine and Telementoring: Scoping Review. JMIR Mhealth Uhealth 2023, 11, e45464. [Google Scholar] [CrossRef] [PubMed] [PubMed Central]
- Tagaytayan, R.; Kelemen, A.; Sik-Lanyi, C. Augmented reality in neurosurgery. Arch. Med. Sci. 2018, 14, 572–578. [Google Scholar] [CrossRef] [PubMed] [PubMed Central]
- Scherschinski, L.; McNeill, I.T.; Schlachter, L.; Shuman, W.H.; Oemke, H.; Yaeger, K.A.; Bederson, J.B. Augmented reality-assisted microsurgical resection of brain arteriovenous malformations: Illustrative case. J. Neurosurg. Case Lessons 2022, 3, CASE21135. [Google Scholar] [CrossRef] [PubMed] [PubMed Central]
- Liu, X.; Xiao, W.; Yang, Y.; Yan, Y.; Liang, F. Augmented reality technology shortens aneurysm surgery learning curve for residents. Comput. Assist. Surg. 2024, 29, 2311940. [Google Scholar] [CrossRef]
- Bocanegra-Becerra, J.E.; Acha Sánchez, J.L.; Castilla-Encinas, A.M.; Rios-Garcia, W.; Mendieta, C.D.; Quiroz-Marcelo, D.A.; Alhwaishel, K.; Aguilar-Zegarra, L.; Lopez-Gonzalez, M.A. Toward a Frontierless Collaboration in Neurosurgery: A Systematic Review of Remote Augmented and Virtual Reality Technologies. World Neurosurg. 2024, 187, 114–121. [Google Scholar] [CrossRef]
- Lee, C.; Wong, G.K.C. Virtual reality and augmented reality in the management of intracranial tumors: A review. J. Clin. Neurosci. 2019, 62, 14–20. [Google Scholar] [CrossRef]
- Edström, E.; Burström, G.; Omar, A.; Nachabe, R.; Söderman, M.; Persson, O.; Gerdhem, P.; Elmi-Terander, A. Augmented Reality Surgical Navigation in Spine Surgery to Minimize Staff Radiation Exposure. Spine 2020, 45, E45–E53. [Google Scholar] [CrossRef]
- Alizadeh, M.; Xiao, Y.; Kersten-Oertel, M. Virtual and augmented reality in ventriculostomy: A systematic review. World Neurosurg. 2024, 189, 90–107. [Google Scholar] [CrossRef]
- Cho, J.; Rahimpour, S.; Cutler, A.; Goodwin, C.R.; Lad, S.P.; Codd, P. Enhancing Reality: A Systematic Review of Augmented Reality in Neuronavigation and Education. World Neurosurg. 2020, 139, 186–195. [Google Scholar] [CrossRef]
- Krause, Q.; McCrory, B. Using Cost Efficient Augmented Reality Glasses in Anatomical Identification. Proc. Hum. Factors Ergon. Soc. Annu. Meet. 2021, 65, 1004–1008. [Google Scholar] [CrossRef]
- Gómez Bergin, A.D.; Craven, M.P. Virtual, augmented, mixed, and extended reality interventions in healthcare: A systematic review of health economic evaluations and cost-effectiveness. BMC Digit. Health 2023, 1, 53. [Google Scholar] [CrossRef]
- Madhavan, K.; Kolcun, J.P.G.; Chieng, L.O.; Wang, M.Y. Augmented-reality integrated robotics in neurosurgery: Are we there yet? Neurosurg. Focus 2017, 42, E3. [Google Scholar] [CrossRef]
- Urakov, T.M.; Wang, M.Y.; Levi, A.D. Workflow Caveats in Augmented Reality-Assisted Pedicle Instrumentation: Cadaver Lab. World Neurosurg. 2019, 126, e1449–e1455. [Google Scholar] [CrossRef]
- Wood, M.J.; McMillen, J. The surgical learning curve and accuracy of minimally invasive lumbar pedicle screw placement using CT based computer-assisted navigation plus continuous electromyography monitoring—A retrospective review of 627 screws in 150 patients. Int. J. Spine Surg. 2014, 8, 27. [Google Scholar] [CrossRef]
- Gasco, J.; Patel, A.; Ortega-Barnett, J.; Branch, D.; Desai, S.; Kuo, Y.F.; Luciano, C.; Rizzi, S.; Kania, P.; Matuyauskas, M.; et al. Virtual reality spine surgery simulation: An empirical study of its usefulness. Neurol. Res. 2014, 36, 968–997. [Google Scholar] [CrossRef]
- FDA. Clears Microsoft’s HoloLens for Pre-Operative Surgical Planning. Available online: https://www.fdanews.com/articles/188966-fda-clears-microsofts-hololens-for-pre-operative-surgical-planning (accessed on 10 January 2023).
- Ramirez, M.E.; Peralta, I.; Nurmukhametov, R.; Castillo, R.E.B.; Castro, J.S.; Volovich, A.; Dosanov, M.; Efe, I.E. Expanding access to microneurosurgery in low-resource settings: Feasibility of a low-cost exoscope in transforaminal lumbar interbody fusion. J. Neurosci. Rural Pract. 2023, 14, 156–160. [Google Scholar] [CrossRef] [PubMed] [PubMed Central]
- Encarnacion, M.J.; Castillo, R.E.B.; Matos, Y.; Bernard, E.; Elenis, B.; Oleinikov, B.; Nurmukhametov, R.; Castro, J.S.; Volovich, A.; Dosanov, M.; et al. EasyGO!-assisted microsurgical anterior cervical decompression: Technical report and literature review. Neurol. Neurochir. Pol. 2022, 56, 281–284. [Google Scholar] [CrossRef]
- Condino, S.; Montemurro, N.; Cattari, N.; D’amato, R.; Thomale, U.; Ferrari, V.; Cutolo, F. Evaluation of a Wearable AR Platform for Guiding Complex Craniotomies in Neurosurgery. Ann. Biomed. Eng. 2021, 49, 2590–2605. [Google Scholar] [CrossRef]
- Nurmukhametov, R.; Dosanov, M.; Encarnacion, M.D.J.; Barrientos, R.; Matos, Y.; Alyokhin, A.I.; Baez, I.P.; Efe, I.E.; Restrepo, M.; Chavda, V.; et al. Transforaminal Fusion Using Physiologically Integrated Titanium Cages with a Novel Design in Patients with Degenerative Spinal Disorders: A Pilot Study. Surgeries 2022, 3, 175–184. [Google Scholar] [CrossRef]
- Torres, C.S.O.; Mora, A.E.; Campero, A.; Cherian, I.; Sufianov, A.; Sanchez, E.F.; Ramirez, M.E.; Pena, I.R.; Nurmukhametov, R.; Beltrán, M.A.; et al. Enhancing microsurgical skills in neurosurgery residents of low-income countries: A comprehensive guide. Surg. Neurol. Int. 2023, 14, 437. [Google Scholar] [CrossRef] [PubMed]
- Nurmukhametov, R.; Dosanov, M.; Medetbek, A.; Encarnacion Ramirez, M.D.; Chavda, V.; Chmutin, G.; Montemurro, N. Comparative Analysis of Open Transforaminal Lumbar Interbody Fusion and Wiltse Transforaminal Lumbar Interbody Fusion Approaches for Treating Single-Level Lumbar Spondylolisthesis: A Single-Center Retrospective Study. Surgeries 2023, 4, 623–634. [Google Scholar] [CrossRef]
- Fortunato, G.M.; Sigismondi, S.; Nicoletta, M.; Condino, S.; Montemurro, N.; Vozzi, G.; Ferrari, V.; De Maria, C. Analysis of the Robotic-Based In Situ Bioprinting Workflow for the Regeneration of Damaged Tissues through a Case Study. Bioengineering 2023, 10, 560. [Google Scholar] [CrossRef]
- Reyes Soto, G.; Ovalle Torres, C.; Perez Terrazas, J.; Partida, K.H.; Rosario, A.R.; Campero, A.; Baldoncini, M.; Ramirez, M.D.J.E.; Montemurro, N. Multiple Myeloma Treatment Challenges: A Case Report of Vertebral Artery Pseudoaneurysm Complicating Occipitocervical Arthrodesis and a Review of the Literature. Cureus 2023, 15, e49716. [Google Scholar] [CrossRef]
- Reyes-Soto, G.; Corona De la Torre, A.; Honda Partida, K.G.; Nurmukhametov, R.; Encarnacion Ramirez, M.D.J.; Montemurro, N. Clivus-Cervical Stabilization through Transoral Approach in Patients with Craniocervical Tumor: Three Cases and Surgical Technical Note. Brain Sci. 2024, 14, 254. [Google Scholar] [CrossRef]
- Ramirez, M.D.J.E.; Nurmukhametov, R.; Musa, G.; Castillo, R.E.B.; Encarnacion, V.L.A.; Sanchez, J.A.S.; Vazquez, C.A.; Efe, I.E. Three-Dimensional Plastic Modeling on Bone Frames for Cost-Effective Neuroanatomy Teaching. Cureus 2022, 14, e27472. [Google Scholar] [CrossRef]
- Meulstee, J.W.; Nijsink, J.; Schreurs, R.; Verhamme, L.M.; Xi, T.; Delye, H.H.K.; Borstlap, W.A.; Maal, T.J.J. Toward Holographic-Guided Surgery. Surg. Innov. 2019, 26, 86–94. [Google Scholar] [CrossRef]
- Encarnacion Ramirez, M.; Ramirez Pena, I.; Barrientos Castillo, R.E.; Sufianov, A.; Goncharov, E.; Soriano Sanchez, J.A.; Colome-Hidalgo, M.; Nurmukhametov, R.; Cerda Céspedes, J.R.; Montemurro, N. Development of a 3D Printed Brain Model with Vasculature for Neurosurgical Procedure Visualisation and Training. Biomedicines 2023, 11, 330. [Google Scholar] [CrossRef]
- Urlings, J.; de Jong, G.; Maal, T.; Henssen, D. Views on Augmented Reality, Virtual Reality, and 3D Printing in Modern Medicine and Education: A Qualitative Exploration of Expert Opinion. J. Digit. Imaging 2023, 36, 1930–1939. [Google Scholar] [CrossRef]
- Ramirez, M.D.J.E.; Nurmukhametov, R.; Bernard, E.; Peralta, I.; Efe, I.E. A Low-Cost Three-Dimensional Printed Retractor for Transforaminal Lumbar Interbody Fusion. Cureus 2022, 14, e24185. [Google Scholar] [CrossRef]
- Chen, J.; Kumar, S.; Shallal, C.; Leo, K.T.; Girard, A.; Bai, Y.; Li, Y.; Jackson, E.M.; Cohen, A.R.; Yang, R. Caregiver Preferences for Three-Dimensional Printed or Augmented Reality Craniosynostosis Skull Models: A Cross-Sectional Survey. J. Craniofac. Surg. 2022, 33, 151–155. [Google Scholar] [CrossRef]
- Haemmerli, J.; Davidovic, A.; Meling, T.R.; Chavaz, L.; Schaller, K.; Bijlenga, P. Evaluation of the precision of operative augmented reality compared to standard neuronavigation using a 3D-printed skull. Neurosurg. Focus 2021, 50, E17. [Google Scholar] [CrossRef]
- Boyaci, M.G.; Fidan, U.; Yuran, A.F.; Yildizhan, S.; Kaya, F.; Kimsesiz, O.; Ozdil, M.; Cengiz, A.; Aslan, A. Augmented Reality Supported Cervical Transpedicular Fixation on 3D-Printed Vertebrae Model: An Experimental Education Study. Turk. Neurosurg. 2020, 30, 937–943. [Google Scholar] [CrossRef]
- Azad, T.D.; Warman, A.; Tracz, J.A.; Hughes, L.P.; Judy, B.F.; Witham, T.F. Augmented reality in spine surgery–past, present, and future. Spine J. 2024, 24, 1–13. [Google Scholar] [CrossRef]
- Lohre, R.; Wang, J.C.; Lewandrowski, K.U.; Goel, D.P. Virtual reality in spinal endoscopy: A paradigm shift in education to support spine surgeons. J. Spine Surg. 2020, 6 (Suppl. S1), S208–S223. [Google Scholar] [CrossRef]
- Zawy Alsofy, S.; Nakamura, M.; Ewelt, C.; Kafchitsas, K.; Lewitz, M.; Schipmann, S.; Suero Molina, E.; Santacroce, A.; Stroop, R. Retrospective Comparison of Minimally Invasive and Open Monosegmental Lumbar Fusion, and Impact of Virtual Reality on Surgical Planning and Strategy. J. Neurol. Surg. Part A Cent. Eur. Neurosurg. 2021, 82, 399–409. [Google Scholar] [CrossRef]
- Nurmukhametov, R.; Encarnacion Ramirez, M.D.; Dosanov, M.; Medetbek, A.; Kudryakov, S.; Wisam Alsaed, L.; Chmutin, G.; Reyes Soto, G.; Ntalaja Mukengeshay, J.; Mpoyi Chérubin, T.; et al. Quantifying Lumbar Foraminal Volumetric Dimensions: Normative Data and Implications for Stenosis—Part 2 of a Comprehensive Series. Med. Sci. 2024, 12, 34. [Google Scholar] [CrossRef] [PubMed]
- Avrumova, F.; Lebl, D.R. Augmented reality for minimally invasive spinal surgery. Front. Surg. 2023, 9, 1086988. [Google Scholar] [CrossRef] [PubMed]
- Condino, S.; Cutolo, F.; Carbone, M.; Cercenelli, L.; Badiali, G.; Montemurro, N.; Ferrari, V. Registration Sanity Check for AR-guided Surgical Interventions: Experience from Head and Face Surgery. IEEE J. Transl. Eng. Health Med. 2023, 12, 258–267. [Google Scholar] [CrossRef] [PubMed]
- Sufianov, A.; Ovalle, C.S.; Cruz, O.; Contreras, J.; Begagić, E.; Kannan, S.; Rosario Rosario, A.; Chmutin, G.; Askatovna, G.N.; Lafuente, J.; et al. Low-Cost 3D Models for Cervical Spine Tumor Removal Training for Neurosurgery Residents. Brain Sci. 2024, 14, 547. [Google Scholar] [CrossRef]
- Staartjes, V.E.; Stumpo, V.; Kernbach, J.M.; Klukowska, A.M.; Gadjradj, P.S.; Schröder, M.L.; Veeravagu, A.; Stienen, M.N.; van Niftrik, C.H.; Serra, C.; et al. Machine learning in neurosurgery: A global survey. Acta Neurochir. 2020, 162, 3081–3091. [Google Scholar] [CrossRef] [PubMed]
- Jumah, F.; Raju, B.; Nagaraj, A.; Shinde, R.; Lescott, C.; Sun, H.; Gupta, G.; Nanda, A. Uncharted Waters of Machine and Deep Learning for Surgical Phase Recognition in Neurosurgery. World Neurosurg. 2022, 160, 4–12. [Google Scholar] [CrossRef] [PubMed]
- Nurmukhametov, R.; Medetbek, A.; Ramirez, M.E.; Afsar, A.; Sharif, S.; Montemurro, N. Factors affecting return to work following endoscopic lumbar foraminal stenosis surgery: A single-center series. Surg. Neurol. Int. 2023, 14, 408. [Google Scholar] [CrossRef] [PubMed] [PubMed Central]
- Mah, E.T. Metaverse, AR, machine learning & AI in Orthopaedics? J. Orthop. Surg. 2023, 31, 10225536231165362. [Google Scholar]
- Gamba, I.A.D.; Hartery, A. The Virtual Reality Radiology Workstation: Current Technology and Future Applications. Can. Assoc. Radiol. J. 2024, 16, 1–16. [Google Scholar] [CrossRef]
- Maisto, M.; Pacchierotti, C.; Chinello, F.; Salvietti, G.; De Luca, A.; Prattichizzo, D. Evaluation of Wearable Haptic Systems for the Fingers in Augmented Reality Applications. IEEE Trans. Haptics 2017, 10, 511–522. [Google Scholar] [CrossRef]
- Mutlu, R.; Singh, D.; Tawk, C.; Sariyildiz, E. A 3D-Printed Soft Haptic Device with Built-in Force Sensing Delivering Bio-Mimicked Feedback. Biomimetics 2023, 8, 127. [Google Scholar] [CrossRef]
- Aggravi, M.; De Momi, E.; DiMeco, F.; Cardinale, F.; Casaceli, G.; Riva, M.; Ferrigno, G.; Prattichizzo, D. Hand-tool-tissue interaction forces in neurosurgery for haptic rendering. Med. Biol. Eng. Comput. 2016, 54, 1229–1241. [Google Scholar] [CrossRef]









Disclaimer/Publisher’s Note: The statements, opinions and data contained in all publications are solely those of the individual author(s) and contributor(s) and not of MDPI and/or the editor(s). MDPI and/or the editor(s) disclaim responsibility for any injury to people or property resulting from any ideas, methods, instructions or products referred to in the content. |
© 2024 by the authors. Licensee MDPI, Basel, Switzerland. This article is an open access article distributed under the terms and conditions of the Creative Commons Attribution (CC BY) license (https://creativecommons.org/licenses/by/4.0/).
Share and Cite
Ramírez Romero, A.; Rodríguez Herrera, A.R.; Sánchez Cuellar, J.F.; Cevallos Delgado, R.E.; Ochoa Martínez, E.E. Pioneering Augmented and Mixed Reality in Cranial Surgery: The First Latin American Experience. Brain Sci. 2024, 14, 1025. https://doi.org/10.3390/brainsci14101025
Ramírez Romero A, Rodríguez Herrera AR, Sánchez Cuellar JF, Cevallos Delgado RE, Ochoa Martínez EE. Pioneering Augmented and Mixed Reality in Cranial Surgery: The First Latin American Experience. Brain Sciences. 2024; 14(10):1025. https://doi.org/10.3390/brainsci14101025
Chicago/Turabian StyleRamírez Romero, Alberto, Andrea Rebeca Rodríguez Herrera, José Francisco Sánchez Cuellar, Raúl Enrique Cevallos Delgado, and Edith Elizabeth Ochoa Martínez. 2024. "Pioneering Augmented and Mixed Reality in Cranial Surgery: The First Latin American Experience" Brain Sciences 14, no. 10: 1025. https://doi.org/10.3390/brainsci14101025
APA StyleRamírez Romero, A., Rodríguez Herrera, A. R., Sánchez Cuellar, J. F., Cevallos Delgado, R. E., & Ochoa Martínez, E. E. (2024). Pioneering Augmented and Mixed Reality in Cranial Surgery: The First Latin American Experience. Brain Sciences, 14(10), 1025. https://doi.org/10.3390/brainsci14101025
