Development of a 3D-Printed Chest Phantom with Simulation of Lung Nodules for Studying Ultra-Low-Dose Computed Tomography Protocols
Abstract
1. Introduction
2. Materials and Methods
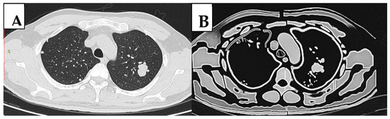
2.1. Selection of Sample Case and Image Segmentation
2.2. 3D Printing of the Phantom
2.3. Selection of 3D Printing Materials
2.4. Scanning Protocols
- Low-dose CT: 100 kVp with 180, 150, 120, 100, 80, 50, and 30 mAs
- Ultra-low-dose CT: 80 kVp with 180, 150, 120, 100, 80, 50, and 30 mAs
2.5. Qualitative Assessment of Image Quality
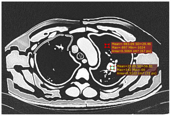
2.6. Quantitative Assessment of Image Quality
2.7. Radiation Dose
2.8. Anatomical Measurements
2.9. Statistical Analysis
3. Results
3.1. Radiation Equivalence
3.2. CT Protocol Dose Optimisation
4. Discussion
4.1. Phantom Equivalence
4.2. Optimising CT Protocols for Lung Nodule Detection
5. Conclusions
Supplementary Materials
Author Contributions
Funding
Institutional Review Board Statement
Informed Consent Statement
Data Availability Statement
Acknowledgments
Conflicts of Interest
References
- International Agency for Research on Cancer. Global Cancer Observatory. Available online: https://gco.iarc.who.int/media/globocan/factsheets/cancers/39-all-cancers-fact-sheet.pdf (accessed on 9 October 2024).
- de Koning, H.J.; van der Aalst, C.M.; de Jong, P.A.; Scholten, E.T.; Nackaerts, K.; Heuvelmans, M.A.; Lammers, J.-W.J.; Weenink, C.; Yousaf-Khan, U.; Horeweg, N.; et al. Reduced Lung-Cancer Mortality with Volume CT Screening in a Randomized Trial. N. Engl. J. Med. 2020, 382, 503–513. [Google Scholar] [CrossRef]
- Aberle, D.R.; Berg, C.D.; Black, W.C.; Church, T.R.; Fagerstrom, R.M.; Galen, B.; Gareen, I.F.; Gatsonis, C.; Goldin, J.; Gohagan, J.K.; et al. The National Lung Screening Trial: Overview and study design. Radiology 2011, 258, 243–253. [Google Scholar] [CrossRef] [PubMed]
- National Lung Screening Trial Research Team. Lung Cancer Incidence and Mortality with Extended Follow-up in the National Lung Screening Trial. J. Thorac. Oncol. 2019, 14, 1732–1742. [Google Scholar] [CrossRef] [PubMed]
- Burgard, C.A.; Gaass, T.; Bonert, M.; Bondesson, D.; Thaens, N.; Reiser, M.F.; Dinkel, J. Detection of artificial pulmonary lung nodules in ultralow-dose CT using an ex vivo lung phantom. PLoS ONE 2018, 13, e0190501. [Google Scholar] [CrossRef] [PubMed]
- Bach, P.B.; Mirkin, J.N.; Oliver, T.K.; Azzoli, C.G.; Berry, D.A.; Brawley, O.W.; Byers, T.; Colditz, G.A.; Gould, M.K.; Jett, J.R.; et al. Benefits and Harms of CT Screening for Lung Cancer: A Systematic Review. JAMA 2012, 307, 2418–2429. [Google Scholar] [CrossRef]
- Hsieh, J.; Flohr, T. Computed tomography recent history and future perspectives. J. Med. Imaging 2021, 8, 052109. [Google Scholar] [CrossRef]
- Miller, A.R.; Jackson, D.; Hui, C.; Deshpande, S.; Kuo, E.; Hamilton, G.S.; Lau, K.K. Lung nodules are reliably detectable on ultra-low-dose CT utilising model-based iterative reconstruction with radiation equivalent to plain radiography. Clin. Radiol. 2019, 74, 409.e17–409.e22. [Google Scholar] [CrossRef]
- Christe, A.; Leidolt, L.; Huber, A.; Steiger, P.; Szucs-Farkas, Z.; Roos, J.E.; Heverhagen, J.T.; Ebner, L. Lung cancer screening with CT: Evaluation of radiologists and different computer assisted detection software (CAD) as first and second readers for lung nodule detection at different dose levels. Eur. J. Radiol. 2013, 82, e873–e878. [Google Scholar] [CrossRef] [PubMed]
- Gordic, S.; Morsbach, F.; Schmidt, B.; Allmendinger, T.; Flohr, T.; Husarik, D.; Baumueller, S.; Raupach, R.; Stolzmann, P.; Leschka, S.; et al. Ultralow-Dose Chest Computed Tomography for Pulmonary Nodule Detection: First Performance Evaluation of Single Energy Scanning With Spectral Shaping. Investig. Radiol. 2014, 49, 465–473. [Google Scholar] [CrossRef] [PubMed]
- Huber, A.; Landau, J.; Ebner, L.; Bütikofer, Y.; Leidolt, L.; Brela, B.; May, M.; Heverhagen, J.; Christe, A. Performance of ultralow-dose CT with iterative reconstruction in lung cancer screening: Limiting radiation exposure to the equivalent of conventional chest X-ray imaging. Eur. Radiol. 2016, 26, 3643–3652. [Google Scholar] [CrossRef]
- Jungblut, L.; Blüthgen, C.; Polacin, M.; Messerli, M.; Schmidt, B.; Euler, A.; Alkadhi, H.; Frauenfelder, T.; Martini, K. First Performance Evaluation of an Artificial Intelligence-Based Computer-Aided Detection System for Pulmonary Nodule Evaluation in Dual-Source Photon-Counting Detector CT at Different Low-Dose Levels. Investig. Radiol. 2022, 57, 108–114. [Google Scholar] [CrossRef] [PubMed]
- Leitão, C.A.; Salvador, G.L.d.O.; Tazoniero, P.; Warszawiak, D.; Saievicz, C.; Jakubiak, R.R.; Escuissato, D.L. Dosimetry and comparison between different CT protocols (low dose, ultralow dose, and conventional CT) for lung nodules’ detection in a phantom. Radiol. Res. Pract. 2021, 2021, 6667779. [Google Scholar] [CrossRef] [PubMed]
- Martini, K.; Higashigaito, K.; Barth, B.K.; Baumueller, S.; Alkadhi, H.; Frauenfelder, T. Ultralow-dose CT with tin filtration for detection of solid and sub solid pulmonary nodules: A phantom study. Br. J. Radiol. 2015, 88, 20150389. [Google Scholar] [CrossRef]
- Milanese, G.; Silva, M.; Frauenfelder, T.; Eberhard, M.; Sabia, F.; Martini, C.; Marchianò, A.; Prokop, M.; Sverzellati, N.; Pastorino, U. Comparison of ultra-low dose chest CT scanning protocols for the detection of pulmonary nodules: A phantom study. Tumori J. 2019, 105, 394–403. [Google Scholar] [CrossRef] [PubMed]
- Wielpütz, M.O.; Wroblewski, J.; Lederlin, M.; Dinkel, J.; Eichinger, M.; Koenigkam-Santos, M.; Biederer, J.; Kauczor, H.-U.; Puderbach, M.U.; Jobst, B.J. Computer-aided detection of artificial pulmonary nodules using an ex vivo lung phantom: Influence of exposure parameters and iterative reconstruction. Eur. J. Radiol. 2015, 84, 1005–1011. [Google Scholar] [CrossRef]
- Kerpel, A.; Marom, E.M.; Green, M.; Eifer, M.; Konen, E.; Mayer, A.; Betancourt Cuellar, S.L. Ultra-low dose chest CT with denoising for lung nodule detection. Isr. Med. Assoc. J. 2021, 23, 550–555. [Google Scholar] [PubMed]
- Messerli, M.; Kluckert, T.; Knitel, M.; Wälti, S.; Desbiolles, L.; Rengier, F.; Warschkow, R.; Bauer, R.W.; Alkadhi, H.; Leschka, S.; et al. Ultralow dose CT for pulmonary nodule detection with chest x-ray equivalent dose—A prospective intra-individual comparative study. Eur. Radiol. 2017, 27, 3290–3299. [Google Scholar] [CrossRef]
- Cavaliere, C.; Baldi, D.; Brancato, V.; Aiello, M.; Salvatore, M. A customized anthropomorphic 3D-printed phantom to reproducibility assessment in computed tomography: An oncological case study. Front. Oncol. 2023, 13, 1123796. [Google Scholar] [CrossRef]
- Koyotokagaku. Product Data: Multipurpose Chest Phantom N1 “LUNGMAN”. Available online: https://www.kyotokagaku.com/en/products_data/ph-1_01/ (accessed on 2 July 2024).
- Sun, Z.; Wong, Y.H.; Yeong, C.H. Patient-Specific 3D-Printed Low-Cost Models in Medical Education and Clinical Practice. Micromachines 2023, 14, 464. [Google Scholar] [CrossRef]
- Silberstein, J.; Sun, Z. Advances and Applications of Three-Dimensional-Printed Patient-Specific Chest Phantoms in Radiology: A Systematic Review. Appl. Sci. 2024, 14, 5467. [Google Scholar] [CrossRef]
- Hong, D.; Moon, S.; Seo, J.B.; Kim, N. Development of a patient-specific chest computed tomography imaging phantom with realistic lung lesions using silicone casting and three-dimensional printing. Sci. Rep. 2023, 13, 3941. [Google Scholar] [CrossRef] [PubMed]
- Aldosari, S.; Jansen, S.; Sun, Z. Patient-specific 3D printed pulmonary artery model with simulation of peripheral pulmonary embolism for developing optimal computed tomography pulmonary angiography protocols. Quant. Imaging Med. Surg. 2019, 9, 75–85. [Google Scholar] [CrossRef] [PubMed]
- Wu, C.A.; Squelch, A.; Sun, Z. Investigation of three-dimensional printing materials for printing aorta model replicating type B aortic dissection. Curr. Med. Imaging 2021, 17, 843–849. [Google Scholar] [CrossRef]
- Wu, C.A.; Squelch, A.; Jansen, S.; Sun, Z. Optimization of computed tomography angiography protocols for follow-up type b aortic dissection patients by using 3d printed model. Appl. Sci. 2021, 11, 6844. [Google Scholar] [CrossRef]
- Wasserthal, J.; Manfred, M.; Hanns-Christian Breit, H.C.; Cyriac, J.; Shan, Y.; Segeroth, M. TotalSegmentator: Robust Segmentation of 104 Anatomical Structures in CT Images Version 2.3.0. Available online: https://arxiv.org/abs/2208.05868 (accessed on 25 August 2024).
- Lasso, A.; MacNeil, K.; Fedorov, A. SegmentEditorExtraEffects. Last Updated 20/7/2024. Available online: https://github.com/lassoan/SlicerSegmentEditorExtraEffects.git (accessed on 25 August 2024).
- Sun, Z. Patient-Specific 3D-Printed Models in Pediatric Congenital Heart Disease. Children 2023, 10, 319. [Google Scholar] [CrossRef] [PubMed]
- Okkalidis, N. A novel 3D printing method for accurate anatomy replication in patient-specific phantoms. Med. Phys. 2018, 45, 4600–4606. [Google Scholar] [CrossRef] [PubMed]
- Yang, S.; Kim, J.; Choi, S.J.; Lee, K.W. Determining Average Linear Dimension and Volume of Korean Lungs for Lung Phantom Construction. Health Phys. 2021, 120, 487–494. [Google Scholar] [CrossRef] [PubMed]
- Laidlaw, J.; Earl, N.; Shavdia, N.; Davis, R.; Mayer, S.; Karaman, D.; Richtsmeier, D.; Rodesch, P.A.; Bazalova-Carter, M. Design and CT imaging of casper, an anthropomorphic breathing thorax phantom. Biomed. Phys. Eng. Express 2023, 9, 025008. [Google Scholar] [CrossRef]
- Joo, H.; Cho, S. Comparative Studies on Polyurethane Composites Filled with Polyaniline and Graphene for DLP-Type 3D Printing. Polymers 2020, 12, 67. [Google Scholar] [CrossRef]
- ARPANSA. Current Australian National Diagnostic Reference Levels for Multi Detector Computed Tomography. Available online: https://www.arpansa.gov.au/research-and-expertise/surveys/national-diagnostic-reference-level-service/current-australian-drls/mdct (accessed on 21 September 2024).
- Gheysens, G.; De Wever, W.; Cockmartin, L.; Bosmans, H.; Coudyzer, W.; De Vuysere, S.; Lefere, M. Detection of pulmonary nodules with scoutless fixed-dose ultra-low-dose CT: A prospective study. Eur. Radiol. 2022, 32, 4437–4445. [Google Scholar] [CrossRef] [PubMed]
- Guo, X.; Jia, D.; He, L.; Jia, X.; Zhang, D.; Dou, Y.; Shen, S.; Ji, H.; Zhang, S.; Chen, Y. Evaluation of ultralow-dose computed tomography on detection of pulmonary nodules in overweight or obese adult patients. J. Appl. Clin. Med. Phys. 2022, 23, e13589. [Google Scholar] [CrossRef]
- Ju, Y.H.; Lee, G.; Lee, J.W.; Hong, S.B.; Suh, Y.J.; Jeong, Y.J. Ultra-low-dose lung screening CT with model-based iterative reconstruction: An assessment of image quality and lesion conspicuity. Acta Radiol. 2018, 59, 553–559. [Google Scholar] [CrossRef] [PubMed]
- Ye, K.; Zhu, Q.; Li, M.; Lu, Y.; Yuan, H. A feasibility study of pulmonary nodule detection by ultralow-dose CT with adaptive statistical iterative reconstruction-V technique. Eur. J. Radiol. 2019, 119, 108652. [Google Scholar] [CrossRef]
- Ye, K.; Chen, M.; Li, J.; Zhu, Q.; Lu, Y.; Yuan, H. Ultra-low-dose CT reconstructed with ASiR-V using SmartmA for pulmonary nodule detection and Lung-RADS classifications compared with low-dose CT. Clin. Radiol. 2021, 76, 156.e1–156.e8. [Google Scholar] [CrossRef] [PubMed]
- Symons, R.; Pourmorteza, A.; Sandfort, V.; Ahlman, M.A.; Cropper, T.; Mallek, M.; Kappler, S.; Ulzheimer, S.; Mahesh, M.; Jones, E.C.; et al. Feasibility of Dose-reduced Chest CT with Photon-counting Detectors: Initial Results in Humans. Radiology 2017, 285, 980–989. [Google Scholar] [CrossRef] [PubMed]
- Chougule, V.; Mulay, A.; Ahuja, B. Clinical Case Study: Spine Modeling for Minimum Invasive Spine Surgeries (MISS) Using Rapid Prototyping. In Proceedings of the 10th International Conference on Precision, Meso, Micro and Nano Engineering (COPEN 10), Chennai, India, 7–9 December 2017. [Google Scholar]
- Hariyanto, A.; Christianti, K.; Rubiyanto, A.; Nasori, N.; Haekal, M.; Endarko, E. The Effect of Pattern and Infill Percentage in 3D Printer for Phantom Radiation Applications. J. Ilmu Dasar 2022, 23, 87–92. [Google Scholar] [CrossRef]
- Amini, I.; Akhlaghi, P. Evaluation of CT calibration curves from stoichiometric and tissue substitute methods according to tissue characteristics. Radioprotection 2019, 54, 117–123. [Google Scholar] [CrossRef]
- Washko, G.R.; Dransfield, M.T.; Estépar, R.S.; Diaz, A.; Matsuoka, S.; Yamashiro, T.; Hatabu, H.; Silverman, E.K.; Bailey, W.C.; Reilly, J.J. Airway wall attenuation: A biomarker of airway disease in subjects with COPD. J. Appl. Physiol. 2009, 107, 185–191. [Google Scholar] [CrossRef] [PubMed]
- Jung, H. Basic physical principles and clinical applications of computed tomography. Prog. Med. Phys. 2021, 32, 1–17. [Google Scholar] [CrossRef]
- Abadi, E.; Sanders, J.; Samei, E. Patient-specific quantification of image quality: An automated technique for measuring the distribution of organ Hounsfield units in clinical chest CT images. Med. Phys. 2017, 44, 4736–4746. [Google Scholar] [CrossRef]
- Donovan, A.A.; Johnston, G.; Moore, M.; Jensen, D.; Benedetti, A.; Coxson, H.O.; Gottfried, S.B.; Petrof, B.J.; Bourbeau, J.; Smith, B.M. Diaphragm morphology assessed by computed tomography in chronic obstructive pulmonary disease. Ann. Am. Thorac. Soc. 2021, 18, 955–962. [Google Scholar] [CrossRef]
- Swensen, S.J.; Viggiano, R.W.; Weaver, A.L.; Midthun, D.E.; MÜLler, N.L.; Sherrick, A.; Yamashita, K.; Naidich, D.P.; Patz, E.F.; Hartman, T.E.; et al. Lung nodule enhancement at CT: Multicenter study. Radiology 2000, 214, 73–80. [Google Scholar] [CrossRef] [PubMed]
- Kunert, P.; Schlattl, H.; Trinkl, S.; Giussani, A.; Klein, L.; Janich, M.; Reichert, D.; Brix, G. Reproduction of a conventional anthropomorphic female chest phantom by 3D-printing: Comparison of image contrasts and absorbed doses in CT. Med. Phys. 2023, 50, 4734–4743. [Google Scholar] [CrossRef]
- Villani, D.; Rodrigues, O.; Campos, L.L. Dosimetric characterization of 3D printed phantoms at different infill percentages for diagnostic X-ray energy range. Radiat. Phys. Chem. 2020, 172, 108728. [Google Scholar] [CrossRef]
- Savi, M.; Andrade, M.A.B.; Potiens, M.P.A. Commercial filament testing for use in 3D printed phantoms. Radiat. Phys. Chem. 2020, 174, 108906. [Google Scholar] [CrossRef]
- Omoumi, P.; Becce, F.; Racine, D.; Ott, J.; Andreisek, G.; Verdun, F. Dual-Energy CT: Basic Principles, Technical Approaches, and Applications in Musculoskeletal Imaging (Part 1). Semin. Musculoskelet. Radiol. 2015, 19, 431–437. [Google Scholar] [CrossRef] [PubMed]
- Ma, X.; Buschmann, M.; Unger, E.; Homolka, P. Classification of X-ray attenuation properties of additive manufacturing and 3D printing materials using computed tomography from 70 to 140 kVp. Front. Bioeng. Biotechnol. 2021, 9, 763960. [Google Scholar] [CrossRef]
- Ahmed, A.M.; Buschmann, M.; Breyer, L.; Kuntner, C.; Homolka, P. Tailoring the Mass Density of 3D Printing Materials for Accurate X-ray Imaging Simulation by Controlled Underfilling for Radiographic Phantoms. Polymers 2024, 16, 1116. [Google Scholar] [CrossRef] [PubMed]
- Tong, H.; Pegues, H.; Samei, E.; Lo, J.Y.; Wiley, B.J. Controlling the attenuation of 3D-printed physical phantoms for computed tomography with a single material. Med. Phys. 2022, 49, 2582–2589. [Google Scholar] [CrossRef] [PubMed]
- Kanno, I.; Yamashita, Y.; Kimura, M.; Inoue, F. Effective atomic number measurement with energy-resolved X-ray computed tomography. Nucl. Instrum. Methods Phys. Res. A 2015, 787, 121–124. [Google Scholar] [CrossRef]
- Hong, D.; Lee, S.; Kim, G.B.; Lee, S.M.; Kim, N.; Seo, J.B. Development of a CT imaging phantom of anthromorphic lung using fused deposition modeling 3D printing. Medicine 2020, 99, e18617. [Google Scholar] [CrossRef] [PubMed]
- Mille, M.M.; Griffin, K.T.; Maass-Moreno, R.; Lee, C. Fabrication of a pediatric torso phantom with multiple tissues represented using a dual nozzle thermoplastic 3D printer. J. Appl. Clin. Med. Phys. 2020, 21, 226–236. [Google Scholar] [CrossRef] [PubMed]
- Madison, K.; Weygand, J.; Andreozzi, J.M.; Hunt, D.; Perez, B.A.; Graham, J.A.; Gage, R. Methodology for computed tomography characterization of commercially available 3D printing materials for use in radiology/radiation oncology. J. Appl. Clin. Med. Phys. 2023, 24, e13999. [Google Scholar] [CrossRef]
- Özsoy, K.; Erçetin, A.; Çevik, Z.A. Comparison of mechanical properties of PLA and ABS based structures produced by fused deposition modelling additive manufacturing. Eur. J. Sci. Technol. 2021, 27, 802–809. [Google Scholar] [CrossRef]
- Farah, S.; Anderson, D.G.; Langer, R. Physical and mechanical properties of PLA, and their functions in widespread applications—A comprehensive review. Adv. Drug Deliv. Rev. 2016, 107, 367–392. [Google Scholar] [CrossRef]
- Bambu Filament. PLA Glow Technical Data Sheet V1.0. Available online: https://join3d.es/wp-content/uploads/2023/12/6-Bambu_PLA_Glow_Technical_Data_Sheet.pdf (accessed on 10 December 2024).
- JG Maker. LCD 3D Printer Resin. Available online: https://www.jgmaker3d.com/products/lcd-3d-printer-resin (accessed on 10 December 2024).
- Ratinam, R.; Quayle, M.; Crock, J.; Lazarus, M.; Fogg, Q.; McMenamin, P. Challenges in creating dissectible anatomical 3D prints for surgical teaching. J. Anat. 2019, 234, 419–437. [Google Scholar] [CrossRef]
- Pierce, J.A. Tensile strength of human lung. J. Lab. Clin. Med. 1965, 66, 652–658. [Google Scholar] [PubMed]
- Lanzl, F.; Duddeck, F.; Willuweit, S.; Peldschus, S. Experimental characterisation of porcine subcutaneous adipose tissue under blunt impact up to irreversible deformation. Int. J. Leg. Med. 2022, 136, 897–910. [Google Scholar] [CrossRef]
- ICRU. Photon, Electron, Proton and Neutron Interaction Data for Body Tissues; ICRU Report 46; International Commission on Radiation Units and Measurements: Bethesda, MD, USA, 1992; ISBN 0-913394-41-6. [Google Scholar]
- Faturechi, R.; Hashemi, A.; Abolfathi, N.; Solouk, A. Mechanical guidelines on the properties of human healthy arteries in the design and fabrication of vascular grafts: Experimental tests and quasi-linear viscoelastic model. Acta Bioeng. Biomech. 2019, 21, 13–21. [Google Scholar] [CrossRef] [PubMed]
- Lee, J.M.; Boughner, D.R. Mechanical properties of human pericardium. Differences in viscoelastic response when compared with canine pericardium. Circ. Res. 1985, 57, 475–481. [Google Scholar] [CrossRef] [PubMed]
- Hatamikia, S.; Kronreif, G.; Unger, A.; Oberoi, G.; Jaksa, L.; Unger, E.; Koschitz, S.; Gulyas, I.; Irnstorfer, N.; Buschmann, M.; et al. 3D printed patient-specific thorax phantom with realistic heterogenous bone radiopacity using filament printer technology. J. Med. Phys. 2022, 32, 438–452. [Google Scholar] [CrossRef] [PubMed]
- Abdullah, K.A.; McEntee, M.F.; Reed, W.; Kench, P.L. Development of an organ-specific insert phantom generated using a 3D printer for investigations of cardiac computed tomography protocols. J. Med. Radiat. Sci. 2018, 65, 175–183. [Google Scholar] [CrossRef] [PubMed]
- Mørup, S.D.; Stowe, J.; Precht, H.; Gervig, M.H.; Foley, S. Design of a 3D printed coronary artery model for CT optimization. Radiography 2022, 28, 426–432. [Google Scholar] [CrossRef] [PubMed]
- Hatamikia, S.; Oberoi, G.; Unger, E.; Kronreif, G.; Kettenbach, J.; Buschmann, M.; Figl, M.; Knäusl, B.; Moscato, F.; Birkfellner, W. Additively Manufactured Patient-Specific Anthropomorphic Thorax Phantom With Realistic Radiation Attenuation Properties. Front. Bioeng. Biotechnol. 2020, 8, 385. [Google Scholar] [CrossRef] [PubMed]
- Hazelaar, C.; Eijnatten, M.; Dahele, M.; Wolff, J.; Forouzanfar, T.; Slotman, B.; Verbakel, W.F.A.R. Using 3D printing techniques to create an anthropomorphic thorax phantom for medical imaging purposes. J. Med. Phys. 2018, 45, 92–100. [Google Scholar] [CrossRef] [PubMed]
- Hernandez-Giron, I.; den Harder, J.M.; Streekstra, G.J.; Geleijns, J.; Veldkamp, W.J.H. Development of a 3D printed anthropomorphic lung phantom for image quality assessment in CT. Phys. Medica 2019, 57, 47–57. [Google Scholar] [CrossRef] [PubMed]
- Martini, K.; Moon, J.W.; Revel, M.P.; Dangeard, S.; Ruan, C.; Chassagnon, G. Optimization of acquisition parameters for reduced-dose thoracic CT: A phantom study. Diagn. Interv. Imaging 2020, 101, 269–279. [Google Scholar] [CrossRef]
- Tompe, A.; Sargar, K. X-Ray Image Quality Assurance; StatPearls Publishing: Treasure Island, FL, USA, 2022. Available online: https://www.ncbi.nlm.nih.gov/books/NBK564362/ (accessed on 13 November 2024).
- Iranmakani, S.; Jahanshahi, A.R.; Mehnati, P.; Mortezazadeh, T.; Khezerloo, D. Image Quality and Pulmonary Nodule Detectability at Low-dose Computed Tomography (low kVp and mAs): A phantom study. J. Med. Signals Sens. 2022, 12, 64–68. [Google Scholar] [CrossRef] [PubMed]
- Vonder, M.; Dorrius, M.D.; Vliegenthart, R. Latest CT technologies in lung cancer screening: Protocols and radiation dose reduction. Transl. Lung Cancer Res. 2021, 10, 1154–1164. [Google Scholar] [CrossRef]
- Australian Government. National Lung Cancer Screening Program. Available online: https://www.health.gov.au/our-work/nlcsp (accessed on 7 October 2024).
- Zhu, C.; Gemeda, H.B.; Duoss, E.B.; Spadaccini, C.M. Toward Multiscale, Multimaterial 3D Printing. Adv. Mater. 2024, 36, 2314204. [Google Scholar] [CrossRef]














| Model | Nozzle Temperature | Bed Temperature | Printing Time (h) | Weight (g) | Printing Cost (AUD) |
|---|---|---|---|---|---|
| (°C) | (°C) | ||||
| Lung Blood Vessels | - | - | 20 | - | 183.6 |
| Bone | 215 | 60 | 220 | 1680 | 57.1 |
| Lung Nodules | 215 | 60 | 3.5 | 22 | 0.6 |
| Pulmonary Venous System | 215 | 60 | 3 | 26 | 0.7 |
| Skin | 235 | 90 | 98 | 552 | 15 |
| Oesophagus | 215 | 60 | 2.5 | 32 | 0.9 |
| Stomach | 215 | 60 | 12 | 280 | 7.6 |
| Trachea | 215 | 60 | 1.5 | 22 | 0.6 |
| Heart | 235 | 90 | 22 | 440 | 12 |
| Left Deep Back Muscle | 235 | 90 | 23 | 263 | 7.2 |
| Right Deep Back Muscle | 235 | 90 | 21.5 | 243 | 6.6 |
| Lung | 215 | 60 | 95 | 1105 | 30.1 |
| Thyroid | 215 | 60 | 1 | 15 | 0.4 |
| Stomach | 215 | 60 | 34.5 | 806 | 21.9 |
| Spleen | 215 | 60 | 24 | 530 | 14.4 |
| Pancreas | 215 | 60 | 3 | 50 | 1.4 |
| Liver | 215 | 60 | 80 | 1300 | 35.4 |
| Left Atrial Appendage | 215 | 60 | 0.5 | 8 | 0.2 |
| Diaphragm | 235 | 90 | 48 | 530 | 14.4 |
| Brachiocephalic Trunk | 215 | 60 | 1 | 5.2 | 0.1 |
| Aorta | 235 | 90 | 11.5 | 230 | 6.3 |
| Inferior Vena Cava | 235 | 90 | 4.5 | 42 | 1.1 |
| Left Brachiocephalic Vein | 235 | 90 | 1.5 | 10 | 0.3 |
| Left Common Carotid Artery | 235 | 90 | 2 | 5.3 | 0.1 |
| Left Subclavian Artery | 235 | 90 | 1.5 | 8 | 0.2 |
| Right Brachiocephalic Vein | 235 | 90 | 1 | 6.4 | 0.2 |
| Right Common Carotid Artery | 235 | 90 | 1 | 3.4 | 0.1 |
| Right Subclavian Artery | 235 | 90 | 1 | 7.3 | 0.2 |
| Superior Vena Cava | 235 | 90 | 2.5 | 16.7 | 0.5 |
| Subcutaneous Fat | 215 | 60 | 191 | 1840 | 50 |
| Muscle | 215 | 60 | 247 | 2124 | 57.8 |
| TOTAL | 1178.5 h | ||||
| 49 days and 2.5 h | 527 | ||||
| Model | Material | Infill | Printer Type |
|---|---|---|---|
| Lung nodules, lung, left atrial appendage | PLA | 100% | FDM |
| Pulmonary venous system | PLA | 95% | FDM |
| Skin, deep back muscles, inferior vena cava, aorta, brachiocephalic veins, common carotid arteries, subclavian arteries. | ABS | 100% | FDM |
| Oesophagus, stomach, liver, spleen, thyroid | PLA | 87% | FDM |
| Muscle, pancreas | PLA | 88% | FDM |
| Trachea | PLA | 15% | FDM |
| Heart, diaphragm | ABS | 95% | FDM |
| Brachiocephalic trunk, subcutaneous fat | PLA | 73% | FDM |
| Pulmonary vessels | Polyurethane resin (Fabbxible Rubber Like UV photosensitive resin) | 100% | LCD resin printer |
| Bone | PLA-Glow | 100% | FDM |
| Tissue | Mean/Median HU in Patient | Standard HU Reported in the Literature | Mean/Median HU in Phantom | Mean Difference Between Phantom and Patient | p Value [95% CI] |
|---|---|---|---|---|---|
| Muscle | 50.6 ± 16.2 | −5 to 135 [41] | −120 ± 48.5 | −166 | p < 0.001 [114, 196] |
| Fat | −112 ± 4.87 | −200 to −20 [42] | −287 ± 28.3 | −176 | 0.008 [24.4, 303] |
| Pulmonary vessels | 61.1 ± 16.5 | ~blood: 52.19 [43] | 155 ± 27.6 | 93.9 | p < 0.001 [64.6, 123] |
| Airway | −970 ± 8.07 | −1000 [44] | −892 ± 57.7 | 77.7 | 0.037 [6.44, 149] |
| Lung | −853 ± 54.6 | −550 to −950 [42] | −987 ± 124 | −116 | 0.105 [−143, 35.9] |
| Heart | 35 ± 8.24 | 20–50 [45] | −81.3 ± 14.1 | −116 | p < 0.001 [−131, −102] |
| Blood vessels | 48.1 ± 9.94 | 26.52 ± 12.52 [46] | −69.7 ± 110 | −114 | 0.024 [−168, −12.7] |
| Diaphragm | 45.6 ± 32.4 | 30 to 150 [47] | −65.7 ± 93.6 | −111 | 0.066 [−232, 9.96] |
| Bone | 273 ± 87.3 | 226–3071 [40] | 77.1 ± 38.5 | −196 | p < 0.001 [−283, −110] |
| Lung nodules | 41.9 ± 28.9 | −20 to 165 [48] | 36 ± 53 | −4.59 | 0.557 [−13.5, 19.8] |
| Skin | 71 ± 14.9 | 70 | 12.5 ± 67.6 | −58.5 | 0.006 [−95.2, −17] |
| Protocol | CTDIvol (mGy) | DLP (mGy.cm) | ED (mSv) | SNR | CNR | Radiologist Scores (1–5) | ||||
|---|---|---|---|---|---|---|---|---|---|---|
| kVp | mAs | Reader 1 | Reader 2 | Reader 3 | Median | |||||
| 100 | 352 | 11.9 | 412.7 | 5.8 | 1.23 | 85.8 | 4 | 3 | 5 | 4 |
| 180 | 6.09 | 213.1 | 2.98 | 1.03 | 72.6 | 4 | 4 | 5 | 4 | |
| 150 | 5.09 | 176.5 | 2.47 | 0.885 | 61.3 | 4 | 4 | 5 | 4 | |
| 120 | 4.10 | 142.2 | 1.99 | 0.771 | 62.3 | 4 | 4 | 5 | 4 | |
| 100 | 3.33 | 117.7 | 1.65 | 0.718 | 57.0 | 4 | 4 | 5 | 4 | |
| 80 | 2.74 | 93.6 | 1.31 | 0.661 | 50.8 | 4 | 4 | 5 | 4 | |
| 50 | 1.72 | 58.8 | 0.82 | 0.743 | 42.2 | 4 | 4 | 5 | 4 | |
| 30 | 1.04 | 35.7 | 0.50 | 0.618 | 38.2 | 4 | 3 | 5 | 4 | |
| 80 | 180 | 2.8 | 98.3 | 1.38 | 0.604 | 54.3 | 4 | 4 | 5 | 4 |
| 150 | 2.36 | 81.8 | 1.15 | 0.602 | 51.5 | 4 | 3 | 5 | 4 | |
| 120 | 1.89 | 65.9 | 0.92 | 0.567 | 45.5 | 4 | 4 | 5 | 4 | |
| 100 | 1.58 | 53.9 | 0.75 | 0.668 | 48.75 | 4 | 4 | 5 | 4 | |
| 80 | 1.26 | 42.9 | 0.60 | 0.524 | 39.4 | 4 | 4 | 5 | 4 | |
| 50 | 0.80 | 27.3 | 0.38 | 0.440 | 34.15 | 4 | 4 | 5 | 4 | |
| 30 | 0.47 | 16.1 | 0.23 | 0.347 | 26.2 | 4 | 4 | 5 | 4 | |
| Tissue | Mass Density (kg/m3) | Tensile Strength (MPa) | Young’s Modulus (GPa) |
|---|---|---|---|
| Material used in study | |||
| PLA | 1210–1250 [60] | 60 [61] | 0.35–3.5 [60] |
| ABS | 1040 [61] | 40 [61] | 2.2 [61] |
| Glow-PLA | 1260 [62] | 32 [62] | 2.3 [62] |
| Polyurethane resin | 1050–1250 [63] | 36–52 [63] | 1.2–1.6 [63] |
| Human Tissue | |||
| Lung | 380 [64] | 10.8 [65] | 1.4–6.1 × 10−3 [64] |
| Adipose | 950 [64] | 10–13 [66] | 2.9 × 10−6 [66] |
| Muscle | 1050 [64] | 150.4 [64] | 462.5 [64] |
| Skin | 1090 [67] | 15.6–28 [64] | 0.07–0.168 [64] |
| Bone | 1031–1092 [64] | 165.7 [64] | 4.5–16.7 [64] |
| Blood vessels | 1060 [67] | 2.7 [68] | 1.17 × 10−3 [68] |
| Heart | 1050 [67] | 2.51 [69] | 0.02 [69] |
| Author/Study | Phantom | Cost (AUD) | Time (h) | Radiation Equivalence Relative to Patient/Human Norms |
|---|---|---|---|---|
| [71] | Heart | 110 | 12.1 | Maximum error of 8% (27HU) |
| [72] | Coronary arteries | 70 | 7 | Maximum error of 15% (61HU) |
| [73] | Skeletal thorax | N/P | 120 | −8.8% to 1.6% error (maximum 19HU) |
| [19] | Lung, fat, muscle, bone, vessels, nodules | 450 | 72 | −7% to −1772% error (maximum 505HU) |
| [74] | Lung shell, bone, airway, lung vessels, nodules | 5450 | N/P | −28.6% to 124% error (maximum 221HU) |
| [75] | Lung and vessels | few hundred | N/P | 11.43% to 2000% (maximum 99HU) |
| [49] | 3D-printed replica of an axial slice from a commercial phantom | 64 | 58 | Maximum error 160HU |
| [58] | Axial slice of skeletal thorax, lung, soft tissue, heart, oesophagus | 250 | 120 | 22.5–63% error (maximum 451HU) |
| This study | 527 | 1178.5 | −331% to 8% error (maximum −196 HU) | |
Disclaimer/Publisher’s Note: The statements, opinions and data contained in all publications are solely those of the individual author(s) and contributor(s) and not of MDPI and/or the editor(s). MDPI and/or the editor(s) disclaim responsibility for any injury to people or property resulting from any ideas, methods, instructions or products referred to in the content. |
© 2024 by the authors. Licensee MDPI, Basel, Switzerland. This article is an open access article distributed under the terms and conditions of the Creative Commons Attribution (CC BY) license (https://creativecommons.org/licenses/by/4.0/).
Share and Cite
Silberstein, J.; Tran, S.; Wong, Y.H.; Yeong, C.H.; Sun, Z. Development of a 3D-Printed Chest Phantom with Simulation of Lung Nodules for Studying Ultra-Low-Dose Computed Tomography Protocols. Appl. Sci. 2025, 15, 309. https://doi.org/10.3390/app15010309
Silberstein J, Tran S, Wong YH, Yeong CH, Sun Z. Development of a 3D-Printed Chest Phantom with Simulation of Lung Nodules for Studying Ultra-Low-Dose Computed Tomography Protocols. Applied Sciences. 2025; 15(1):309. https://doi.org/10.3390/app15010309
Chicago/Turabian StyleSilberstein, Jenna, Steven Tran, Yin How Wong, Chai Hong Yeong, and Zhonghua Sun. 2025. "Development of a 3D-Printed Chest Phantom with Simulation of Lung Nodules for Studying Ultra-Low-Dose Computed Tomography Protocols" Applied Sciences 15, no. 1: 309. https://doi.org/10.3390/app15010309
APA StyleSilberstein, J., Tran, S., Wong, Y. H., Yeong, C. H., & Sun, Z. (2025). Development of a 3D-Printed Chest Phantom with Simulation of Lung Nodules for Studying Ultra-Low-Dose Computed Tomography Protocols. Applied Sciences, 15(1), 309. https://doi.org/10.3390/app15010309

