Sexual Maturation of Fan Mussel Pinna nobilis (Linnaeus, 1758) (Mollusca: Bivalvia) in Experimental Cages in the Mali Ston Bay (South Adriatic Sea)
Abstract
1. Introduction
2. Materials and Methods
2.1. Study Area
2.2. The Sampling of Juvenile Stages
2.3. Growth to Sexual Maturity
2.4. Sexual Maturation in Cage Cultivation
2.5. Histological Analysis
2.6. Statistical Analysis
3. Results
3.1. Hydrological Parameters
3.2. Growth to Sexual Maturity
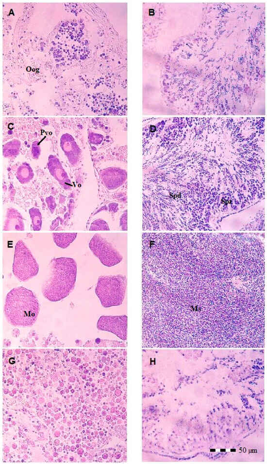
3.3. Histological Analysis
4. Discussion
4.1. Hydrological Parameters
4.2. Sexual Maturity
4.3. Histological Analysis
5. Conclusions
Author Contributions
Funding
Institutional Review Board Statement
Informed Consent Statement
Data Availability Statement
Conflicts of Interest
References
- Moreteau, J.; Vicente, N. Evolution dune population de Pinna nobilis L. (Mollusca, Bivalvia). Malacologia 1982, 22, 341–345. [Google Scholar]
- Zavodnik, D.; Hrs-Brenko, M.; Legac, M. Synopsis on the fan shell Pinna nobilis L. in the eastern Adriatic Sea. In Les Especes Marines a Protéger en Méditerranée; Boudourescque, C.F., Avon, M., Gravez, V., Eds.; GIS Posidonie: Marseille, France, 1991; pp. 169–178. [Google Scholar]
- Butler, A.; Vicente, N.; De Gaulejac, B. Ecology of the pterioid bivalves Pinna bicolor Gmelin and Pinna nobilis L. Mar. Life 1993, 3, 37–45. [Google Scholar]
- Galinou-Mitsoudi, S.; Vlahavas, G.; Papoutsi, O. Population study of the protected bivalve Pinna nobilis (Linnaeus, 1758) in Thermaikos Gulf (North Aegean Sea). J. Biol. Res. 2006, 5, 47–53. [Google Scholar]
- Katsanevakis, S. Population ecology of the endangered fan mussel Pinna nobilis in a marine lake. Endanger. Species Res. 2006, 1, 51–59. [Google Scholar] [CrossRef]
- Katsanevakis, S. Growth and mortality rates of the fan mussel Pinna nobilis in Lake Vouliagmeni (Korinthiakos Gulf, Greece): A generalized additive modelling approach. Mar. Biol. 2007, 152, 1319–1331. [Google Scholar] [CrossRef]
- Vicente, N.; Moreteau, J.C. Statut de P. nobilis L. en Me´diterrane´e (Mollusque Eulamellibranche). In Les Espèces Marines à Protéger en Méditerranée; Boudouresque, C.F., Avon, M., Gravez, V., Eds.; GIS Posidonie Publication: Marseille, France, 1991; pp. 159–168. [Google Scholar]
- Shahidul, I.; Masaru, T. Impacts of pollution on coastal and marine ecosystems including coastal and marine fisheries and approach for management: A review and synthesis. Mar. Pollut. Bull. 2004, 48, 624–649. [Google Scholar] [CrossRef] [PubMed]
- Cabanellas-Reboredo, M.; Vázquez-Luis, M.; Mourre, B.; Álvarez, E.; Deudero, S.; Amores, Á.; Addis, P.; Ballesteros, E.; Barrajón, A.; Coppa, S.; et al. Tracking a mass mortality outbreak of pen shell Pinna nobilis populations: A collaborative effort of scientists and citizens. Sci. Rep. 2019, 9, 1335. [Google Scholar] [CrossRef] [PubMed]
- Kersting, D.; Benabdi, M.; Čižmek, H.; Grau, A.; Jimenez, C.; Katsanevakis, S.; Öztürk, B.; Tuncer, S.; Tunesi, L.; Vázquez-Luis, M.; et al. Pinna nobilis. In The IUCN Red List of Threatened Species; IUCN Red List: Cambridge, UK, 2019; p. e.T160075998A160081499. [Google Scholar]
- Kožul, V.; Glavić, N.; Bolotin, J.; Antolović, N. Growth of the fan mussel Pinna nobilis (Linnaeus, 1758) (Mollusca: Bivalvia) in experimental cages in the South Adriatic Sea. Aquac. Res. 2012, 44, 31–40. [Google Scholar] [CrossRef]
- García-March, J.R.; García-Carrascosa, A.M.; Peña Cantero, A.L.; Wang, Y.G. Population structure, mortality and growth of Pinna nobilis Linnaeus, 1758 (Mollusca: Bivalvia) at different depths in Moraira bay (Alicante, Western Mediterranean). Mar. Biol. 2007, 150, 861–871. [Google Scholar] [CrossRef]
- Richardson, C.A.; Kennedy, H.; Duarte, C.M.; Kennedy, D.P.; Proud, S.V. Age and growth of the fan mussel Pinna nobilis from south-east Spanish Mediterranean seagrass (Posidonia oceanica) meadows. Mar. Biol. 1999, 133, 205–212. [Google Scholar] [CrossRef]
- Richardson, C.A.; Peharda, M.; Kennedy, H.; Kennedy, P.; Onofri, V. Age, growth rate and season of recruitment of Pinna nobilis (L) in the Croatian Adriatic determined from Mg:Ca and Sr:Ca shell profiles. J. Exp. Mar. Biol. Ecol. 2004, 299, 1–16. [Google Scholar] [CrossRef]
- Rabaoui, L.; Tlig Zouari, S.; Katsanevakis, S.; Ben Hassine, O.K. Comparison of absolute and relative growth patterns among five Pinna nobilis populations along the Tunisian coastline: An information theory approach. Mar. Biol. 2007, 152, 537–548. [Google Scholar] [CrossRef]
- Garcia-March, J.R.; Marquez-Aliaga, A. Pinna nobilis L., 1758 age determination by internal shell register. Mar. Biol. 2007, 151, 1077–1085. [Google Scholar] [CrossRef]
- Cosentino, A.; Giacobbe, S. Aspects of epizoobiontic mollusc assemblages on Pinna nobilis. I. Composition and structure. Cah. Biol. Mar. 2007, 48, 187–196. [Google Scholar]
- Rabaoui, L.; Zouari, S.T.; Ben Hassine, O.K. Two species of Crustacea (Decapoda) associated with the fan mussel, Pinna nobilis Linnaeus, 1758 (Mollusca, Bivalvia). Crustaceana 2008, 81, 433–446. [Google Scholar] [CrossRef]
- De Gaulejac, B.; Vicente, N. Ecologie de P. nobilis (L.) mollusque bivalve sur les côtes de Corse. Essais de transplantation et expériences en milieu contrôlé. Haliotis 1990, 10, 83–100. [Google Scholar]
- Centoducati, G.; Tarsitano, E.; Bottalico, A.; Marvulli, M.; Lai, O.R.; Crescenzo, G. Monitoring of the endangered Pinna nobilis Linné, 1758 in the Mar Grande of Taranto (Ionian Sea, Italy). Environ. Monit. Assess. 2007, 131, 339–347. [Google Scholar] [CrossRef] [PubMed]
- Vicente, N.; Moreteau, J.C.; Escoubet, P. Etude de l’evolution d’une population de Pinna nobilis L. (mollusque eulamelli- branche) au large de l’anse de la Palud (Parc National sous- marin de Port-Cros). Trav. Sci. Du Parc Natl. Port-Cros 1980, 6, 39–68. [Google Scholar]
- Vicente, N. Estudio ecológico y protección del molusco lamelibranquio Pinna nobilis L. 1758 en la costa mediterránea. Iberus 1990, 9, 269–279. [Google Scholar]
- Šiletić, T.; Peharda, M. Population study of the fan shell Pinna nobilis L. in Malo and Veliko Jazero of the Mljet National Park (Adriatic Sea). Sci. Mar. 2003, 67, 91–98. [Google Scholar] [CrossRef]
- De Gaulejac, B.; Henry, M.; Vicente, N. An ultrastructural study of gametogenesis of the marine bivalve Pinna nobilis (Linnaeus 1758) II. Spermatogenesis. J. Molluscan Stud. 1995, 61, 393–403. [Google Scholar] [CrossRef]
- Acarli, S.; Lok, A.; Yigitkurt, S.; Palaz, M. Culture of fan mussel (Pinna nobilis, Linnaeus 1758) in relation to size on suspended culture system in Izmir Bay, Aegean Sea, Turkey. Kafkas Univ. Vet. Fakültesi Derg. 2011, 17, 995–1002. [Google Scholar]
- Catanese, G.; Grau, A.; Valencia, J.M.; Garcia-March, J.R.; Vázquez-Luis, M.; Alvarez, E.; Deudero, S.; Darriba, S.; Carballal, M.J.; Villalba, A. Haplosporidium pinnae sp. nov., a haplosporidan parasite associated with mass mortalities of the fan mussel, Pinna nobilis, in the Western Mediterranean Sea. J. Invertebr. Pathol. 2018, 157, 9–24. [Google Scholar] [CrossRef] [PubMed]
- Vázquez-Luis, M.; Álvarez, E.; Barrajón, A.; García-March, J.R.; Grau, A.; Hendriks, I.E.; Jiménez, S.; Kersting, D.; Moreno, D.; Pérez, M.; et al. SOS Pinna nobilis: A mass mortality event in western Mediterranean Sea. Front. Mar. Sci. 2017, 4, 220. [Google Scholar] [CrossRef]
- Katsanevakis, S.; Tsirintanis, K.; Tsaparis, D.; Doukas, D.; Sini, M.; Athanassopoulou, F.; Kolygas, M.N.; Tontis, D.; Koutsoubas, D.; Bakopoulos, V. The cryptogenic parasite Haplosporidium pinnae invades the Aegean Sea and causes the collapse of Pinna nobilis populations. Aquat. Invasions 2019, 14, 150–164. [Google Scholar] [CrossRef]
- Čizmek, H.; Colic, B.; Gracan, R.; Grau, A.; Catanese, G. An emergency situation for pen shells in the Mediterranean: The Adriatic Sea, one of the last Pinna nobilis shelters, is now affected by a mass mortality event. J. Invertebr. Pathol. 2020, 173, 107388. [Google Scholar] [CrossRef] [PubMed]
- Garcia-March, J.R.; Tena-Medialdea, J.; Henandis-Caballero, S.; Vázquez-Luis, M.; López, D.; Téllez, C.; Prado, P.; Navas, J.I.; Bernal, J.; Catanese, G.; et al. Can we save from extinction a marine species affected by a highly-infective-highly-lethal-waterborne disease? Biol. Conserv. 2020, 243, 108498. [Google Scholar] [CrossRef]
- Prado, P.; Grau, A.; Catanese, G.; Cabanes, P.; Carella, F.; Fernández-Tejedor, M.; Andree, K.B.; Añón, T.; Hernandis, S.; Tena, J.; et al. Pinna nobilis in suboptimal environments are more resilient to disease but more vulnerable to catastrophic events. Mar. Environ. Res. 2021, 163, 105220. [Google Scholar] [CrossRef] [PubMed]
- Nebot-Colomer, E.; Álvarez, E.; Belando, M.D.; Deudero, S.; Catanese, G.; Bernardeau-Esteller, J.; García-Muñoz, R.; Ramos-Segura, A.; Ruiz, J.M.; Vázquez-Luis, M.; et al. Living under threat: Will one of the last Pinna nobilis populations be able to survive? Aquat. Conserv. Mar. Freshw. Ecosyst. 2021, 32, 1–13. [Google Scholar] [CrossRef]
- Grau, A.; Villalba, A.; Navas, J.I.; Hansjosten, B.; Valencia, J.M.; García-March, J.R.; Prado, P.; Follana-Berná, G.; Morage, T.; Vázquez-Luis, M.; et al. Wide-Geographic and Long-Term Analysis of the Role of Pathogens in the Decline of Pinna nobilis to Critically Endangered Species. Front. Mar. Sci. 2022, 9, 666640. [Google Scholar] [CrossRef]
- Foulquie, M.; Coupe, S.; Vicente, N.; Bunet, R. First detection of Pinna nobilis infection by Haplosporidium pinnae in the sanctuary area of Thau lagoon, France. Mediterr. Mar. Sci. 2023, 24, 569–573. [Google Scholar] [CrossRef]
- Carella, F.; Aceto, S.; Pollaro, F.; Miccio, A.; Iaria, C.; Carrasco, N.; Prado, P.; De Vico, G. A mycobacterial disease is associated with the silent mass mortality of the pen shell Pinna nobilis along the Tyrrhenian coastline of Italy. Sci. Rep. 2019, 9, 2725. [Google Scholar] [CrossRef] [PubMed]
- Carella, F.; Elisabetta, A.; Simone, F.; Fulvio, S.; Daniela, M.; Prado, P.; Panarese, R.; Marino, F.; Fiocchi, E.; Pretto, T.; et al. In the Wake of the Ongoing Mass Mortality Events: Co-Occurrence of Mycobacterium, Haplosporidium and Other Pathogens in Pinna nobilis Collected in Italy and Spain (Mediterranean Sea). Front. Mar. Sci. 2020, 7, 48. [Google Scholar] [CrossRef]
- Prado, P.; Carrasco, N.; Catanese, G.; Grau, A.; Cabanes, P.; Carella, F.M.; Garcia-March, J.R.; Tena, J.; Roque, A.; Bertomeu, E.; et al. Presence of Vibrio mediterranei associated to major mortality in stabled individuals of Pinna nobilis L. Aquaculture 2020, 519, 734899. [Google Scholar] [CrossRef]
- Trigos, S.; Vicente, N.; Prado, P.; Espinós, F.J. Adult spawning and early larval development of the endangered bivalve Pinna nobilis. Aquaculture 2018, 483, 102–110. [Google Scholar] [CrossRef]
- Hernandis, S.; Prado, P.; García-March, J.R.; Gairin, I.; Vázquez-Luis, M.; Tena-Medialdea, J. Reproduction of the endangeredfan mussel Pinna nobilis under natural and captivity conditions. Aquat. Conserv. Mar. Freshw. Ecosyst. 2023, 33, 1501–1513. [Google Scholar] [CrossRef]
- Hernandis, S.; Tena-Medialdea, J.; Téllez, C.; López, D.; Prado, P.; García-March, J.R. Suspended culture of Pinna rudis enhances survival and allows the 2 development of a seasonal growth model for Mediterranean Pinnids. Aquaculture 2021, 543, 736964. [Google Scholar] [CrossRef]
- Bolotin, J.; Glavić, N.; Njire, J.; Kožul, V.; Antolović, N. Fan mussel Pinna nobilis Linneaus, 1758 spat collection on “Christmas tree” rope in the Mali Ston Bay area (South Adriatic Sea). Nat. Croat. 2023, 32, 333–340. [Google Scholar] [CrossRef]
- Katavić, I. Malostonski zaljev—Izuzetno školjkarsko područje. Priroda 1978, 67, 44–46. [Google Scholar]
- Benović, A. The history, present condition, and future of the molluscan fisheries of Croatia. In U.S. Department of Commerce, NOAA/NMFS Technical Report; U.S. Department of Commerce: Washington, DC, USA, 1997; Volume 129, pp. 217–226. [Google Scholar]
- Deudero, S.; Grau, A.; VázqueZ-Luis, M.; Álvarez, E.; Alomar, C.; Hendriks, I.E. Reproductive investment of the pen shell Pinna nobilis Linnaeus, 1758 in Cabrera National Park (Spain). Mediterr. Mar. Sci. 2017, 18, 271–284. [Google Scholar] [CrossRef]
- Peharda Uljević, M. Rasprostranjenost i Sastav Prirodnih Populacija Školjkaša (Mollusca, Bivalvia) u Malostonskom Zaljevu, Doktorska Disertacija, Prirodoslovno Matematički Fakultet. Ph.D. Thesis, Faculty of Science, University of Zagreb, Zagreb, Croatia, 2003. [Google Scholar]
- Viličić, D. Phytoplankton population density and volume as indicators of eutrophication in the eastern part of the Adriatic Sea. Hydrobiologia 1989, 174, 117–132. [Google Scholar] [CrossRef]
- Carić, M.; Jasprica, N.; Viličić, D. Nutrient and chlorophylla concentations in Gruz and Mali Ston Bays (Southern Adriatic). Rapp. Comm. Int. Mer. Medit. 1992, 33, 367. [Google Scholar]
- Gosling, E. Bivalve Molluscs—Biology, Ecology and Culture; Fishing News Books: Oxford, UK, 2003; 443p. [Google Scholar]
- De Gaulejac, B. Ecologie de Pinna nobilis (L). Mollusque Eulamellibranche en Baie de Calvi. Étude de la Coquille Larvaire. Étude des Possibilités de Réimplantation de L’espèce. In DEA “Environnement Marin”; Université d’Aix-Marseille III: Marseille, France, 1989; 220p. [Google Scholar]
- Cabanellas-Reboredo, M.; Deudero, S.; Alos, J.; Valencia, J.M.; March, D.; Hendriks, I.E.; Álvarez, E. Recruitment of Pinna nobilis (Mollusca: Bivalvia) on artificial structures. Mar. Biodivers. Rec. 2009, 2, e216. [Google Scholar] [CrossRef]
- Ronquillo, J.D.; Mckinley, R.S. Developmental stages and potential mariculture for coastal rehabilitation of endangered Pacific angelwing clam, Pholas orientalis. Aquaculture 2006, 256, 180–191. [Google Scholar] [CrossRef]
- Thomas, G.R.; Taylor, J.; L De Leaniz, C.G. Captive breeding of the endangered freshwater pearl mussel Margaritifera margaritifera. Endanger. Species Res. 2010, 12, 1–9. [Google Scholar] [CrossRef]
- Theodorou, J.A.; James, R.; Tzοvenis, I.; Hellio, C. The recruitment of the endangered fan mussel (Pinna nobilis, Linnaeus 1758) on the ropes of a Mediterranean mussel long line farm. J. Shellfish Res. 2015, 34, 409–414. [Google Scholar] [CrossRef]







| Month | Weight Shell (g) | Length Shell (mm) | Width Shell (mm) |
|---|---|---|---|
| March | 290.48 ± 64.28 | 306.6 ± 23.37 | 123.4 ± 2.07 |
| Apilr | 220.52 ± 37.47 | 292.2 ± 14.02 | 110.2 ± 8.76 |
| May | 291.22 ± 59.56 | 326 ± 31.02 | 122.6 ± 8.41 |
| June | 221.44 ± 45.88 | 291.8 ± 22.04 | 117 ± 3.39 |
| July | 221.1 ± 34.13 | 285.6 ± 30.39 | 112.8 ± 7.66 |
| August | 240.54 ± 54.28 | 285.2 ± 30.69 | 119.8 ± 7.95 |
| September | 203.34 ± 25.98 | 269.6 ± 20.94 | 107.2 ± 3.83 |
| October | 338.28 ± 76.75 | 311.4 ± 24.32 | 126.4 ± 9.84 |
| November | 259.84 ± 25.98 | 288.4 ± 22.83 | 111.8 ± 11.73 |
| December | 232.42 ± 76.75 | 275.4 ± 13.18 | 114.2 ± 4.49 |
| January | 245.14 ± 73.39 | 276.4 ± 33.00 | 118.8 ± 11.54 |
| February | 320.2 ± 134.59 | 307.6 ± 54.97 | 123.6 ± 18.45 |
| AVG/year | 257.04 ± 43.35 | 293.01 ± 16.78 | 117.31 ± 6.09 |
Disclaimer/Publisher’s Note: The statements, opinions and data contained in all publications are solely those of the individual author(s) and contributor(s) and not of MDPI and/or the editor(s). MDPI and/or the editor(s) disclaim responsibility for any injury to people or property resulting from any ideas, methods, instructions or products referred to in the content. |
© 2024 by the authors. Licensee MDPI, Basel, Switzerland. This article is an open access article distributed under the terms and conditions of the Creative Commons Attribution (CC BY) license (https://creativecommons.org/licenses/by/4.0/).
Share and Cite
Kožul, V.; Bolotin, J.; Glavić, N.; Antolović, N. Sexual Maturation of Fan Mussel Pinna nobilis (Linnaeus, 1758) (Mollusca: Bivalvia) in Experimental Cages in the Mali Ston Bay (South Adriatic Sea). Appl. Sci. 2024, 14, 4092. https://doi.org/10.3390/app14104092
Kožul V, Bolotin J, Glavić N, Antolović N. Sexual Maturation of Fan Mussel Pinna nobilis (Linnaeus, 1758) (Mollusca: Bivalvia) in Experimental Cages in the Mali Ston Bay (South Adriatic Sea). Applied Sciences. 2024; 14(10):4092. https://doi.org/10.3390/app14104092
Chicago/Turabian StyleKožul, Valter, Jakša Bolotin, Nikša Glavić, and Nenad Antolović. 2024. "Sexual Maturation of Fan Mussel Pinna nobilis (Linnaeus, 1758) (Mollusca: Bivalvia) in Experimental Cages in the Mali Ston Bay (South Adriatic Sea)" Applied Sciences 14, no. 10: 4092. https://doi.org/10.3390/app14104092
APA StyleKožul, V., Bolotin, J., Glavić, N., & Antolović, N. (2024). Sexual Maturation of Fan Mussel Pinna nobilis (Linnaeus, 1758) (Mollusca: Bivalvia) in Experimental Cages in the Mali Ston Bay (South Adriatic Sea). Applied Sciences, 14(10), 4092. https://doi.org/10.3390/app14104092

