Morphological Evaluation of the Incisive Canal in the Aspect of the Diagnosis and Planning of Orthodontic Treatment—CBCT Study
Abstract
:1. Introduction
Objective
2. Materials and Methods
2.1. Participants
- (1)
- Complete development of the upper incisor roots.
- (2)
- Clearly visible maxilla.
- (3)
- Patients with permanent dentition.
- (4)
- Without a history of orthodontic treatment.
- (5)
- Generally healthy patients with no history of bone diseases.
- (1)
- Missing maxillary incisor(s).
- (2)
- Maxillary incisor pathology.
- (3)
- Developmental anomalies of the incisive canal (additional canals in the area of the incisive canal, as well as clear asymmetries).
- (4)
- Poor quality of CBCT, preventing accurate measurements.
- (5)
- The presence of imaging artifacts hindering measurements in the anterior maxillary region.
- (6)
- Incomplete root development.
- (7)
- Root resorption due to trauma or inflammation.
- (8)
- History of previous orthodontic treatment.
- 13–20 years.
- 21–29 years.
- 30–39 years.
- 40–49 years.
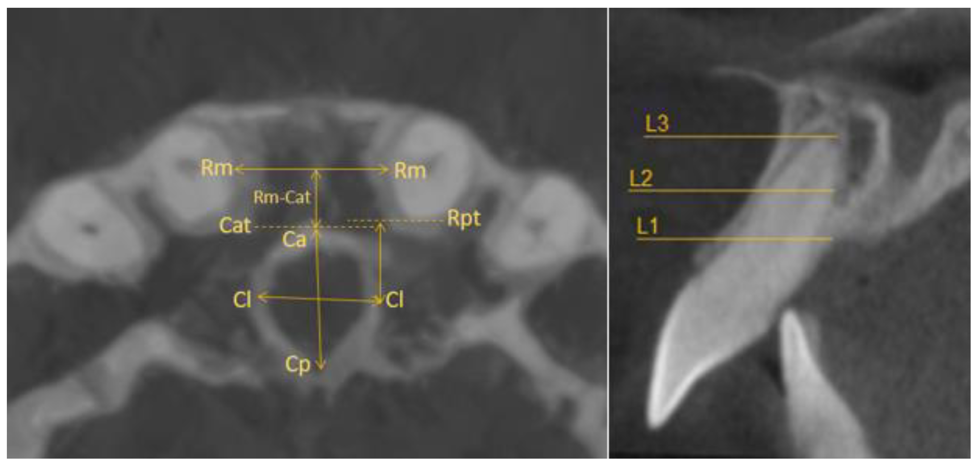
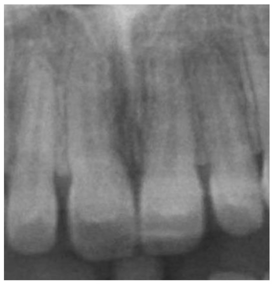
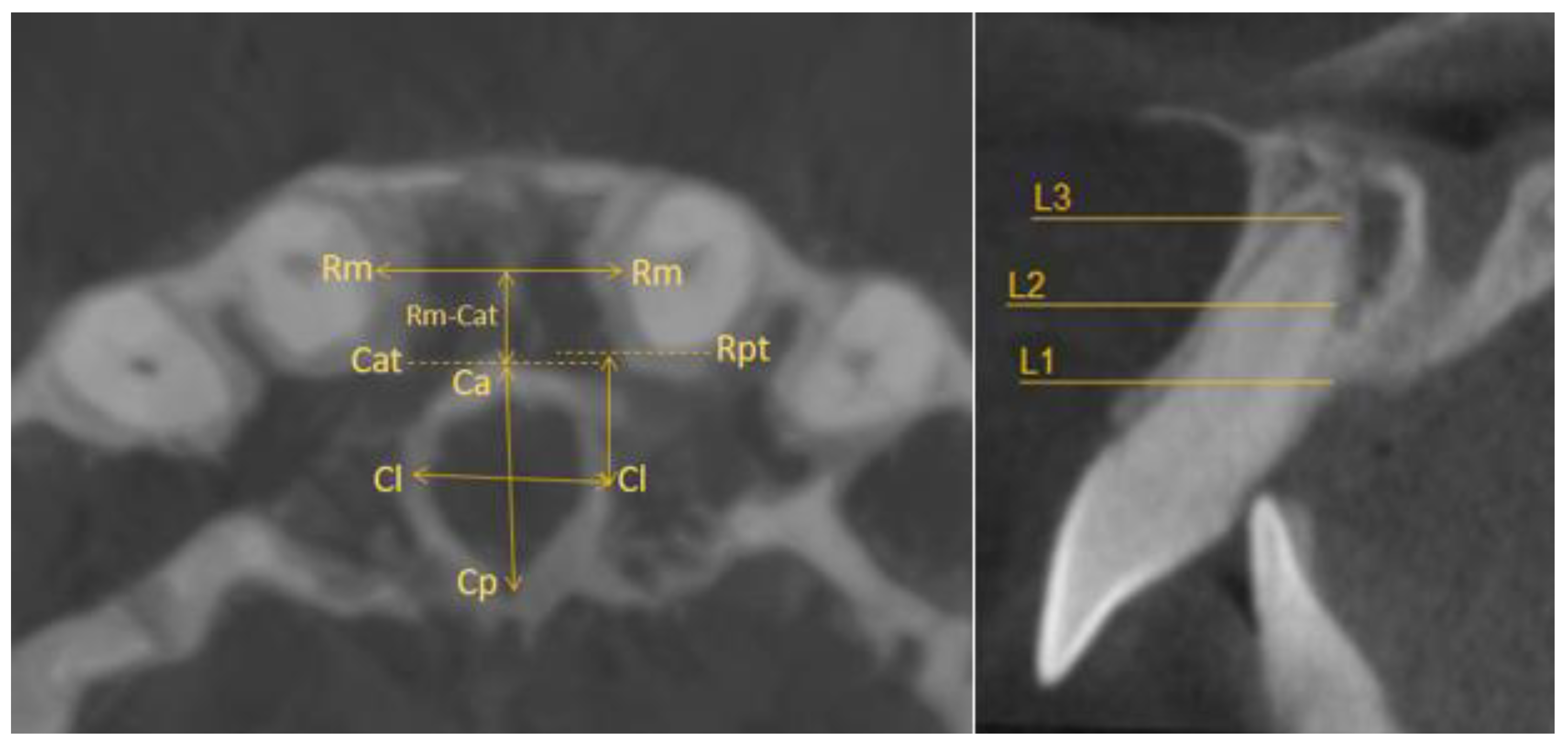
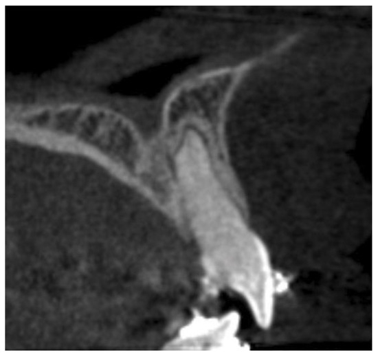
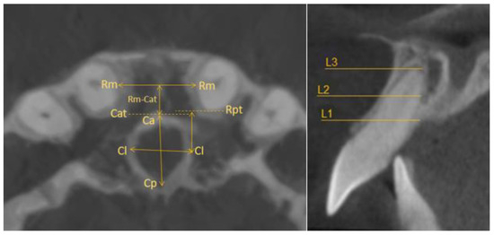
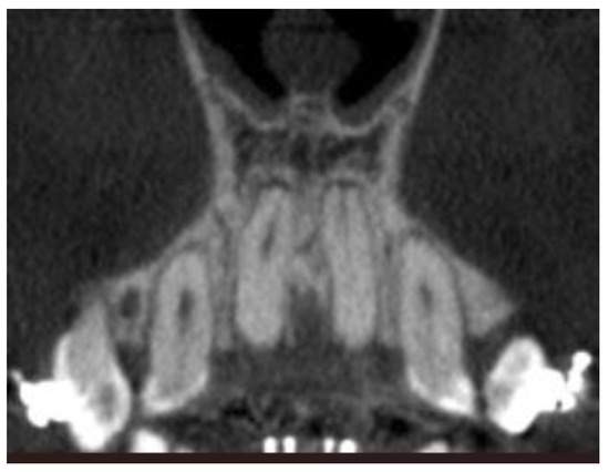
2.2. Data Acquisition and Measurements
- Horizontal plane separately for each level—L1, L2, and L3:
- Incisive canal width—|Cl-Cl|.
- Antero-posterior IC—|Ca-Cp|.
- Distance between the most mesial point of the root and the tangent passing through the most anterior point of the incisive canal—|Rm-Cat|.
- Distance from Cl to the posterior edge of the incisor root—|Cl-Rpt|.
- Distance between roots |Rm-Rm|.
- Sagittal plane:
- Angle formed by the long axis of the incisor and the palatine plane—CP angle.
- Angle formed by the long axis of the incisive canal and the palatine plane—IP angle.
- Coronal plane:
- Angle formed by the long axes of the central incisors (values above zero for convergent roots, negative values for divergent roots).
2.3. Statistical Analysis
3. Results
3.1. Width vs. Length of Incisal Canal
3.1.1. Level 1 (L1)
3.1.2. Level 2 (L2)
3.1.3. Level 3 (L3)
3.1.4. Width and Length across Groups
3.2. Width vs. Inclination of the Upper Central Incisors (Convergent/Divergent)
3.2.1. L1 level
3.2.2. L2 Level
3.2.3. L3 Level
3.3. Inclination of the Incisors (Angle Formed by the Long Axis and the Palatal Plane) vs. Inclination of the Incisal Canal
3.4. Width vs. Rm-Cat
3.5. Width, Length vs. Age, and Sex
3.6. Incisor Inclination vs. Age and Sex
3.7. Rm-Cat vs. Angulation of the Upper Central Incisors (Convergent/Divergent)
4. Discussion
5. Conclusions
Author Contributions
Funding
Institutional Review Board Statement
Informed Consent Statement
Data Availability Statement
Conflicts of Interest
References
- Yu, J.H.; Nguyen, T.; Kim, Y.I.; Hwang, S.; Kim, K.H.; Chung, C.J. Morphologic changes of the incisive canal and its proximity to maxillary incisor roots after anterior tooth movement. Am. J. Orthod. Dentofac. Orthop. 2022, 161, 396–403.e1. [Google Scholar] [CrossRef] [PubMed]
- Pan, Y.; Chen, S. Contact of the incisive canal and upper central incisors causing root resorption after retraction with orthodontic mini-implants: A CBCT study. Angle Orthod. 2019, 89, 200–205. [Google Scholar] [CrossRef] [PubMed]
- Chung, C.J.; Nguyen, T.; Lee, J.H.; Kim, K.H. Incisive canal remodelling following maximum anterior retraction reduces apical root resorption. Orthod. Craniofac. Res. 2021, 24 (Suppl. S1), 59–65. [Google Scholar] [CrossRef]
- Nakada, T.; Motoyoshi, M.; Horinuki, E.; Shimizu, N. Cone-beam computed tomoFigurey evaluation of the association of cortical plate proximity and apical root resorption after orthodontic treatment. J. Oral. Sci. 2016, 58, 231–236. [Google Scholar] [CrossRef] [PubMed]
- Kuc, A.E.; Kotuła, J.; Nawrocki, J.; Babczyńska, A.; Lis, J.; Kawala, B.; Sarul, M. The Assessment of the Rank of Torque Control during Incisor Retraction and Its Impact on the Resorption of Maxillary Central Incisor Roots According to Incisive Canal Anatomy-Systematic Review. J. Clin. Med. 2023, 12, 2774. [Google Scholar] [CrossRef]
- Mao, H.; Yang, A.; Pan, Y.; Li, H.; Lei, L. Displacement in root apex and changes in incisor inclination affect alveolar bone remodeling in adult bimaxillary protrusion patients: A retrospective study. Head Face Med. 2020, 16, 29. [Google Scholar] [CrossRef]
- Lake, S.; Iwanaga, J.; Kikuta, S.; Oskouian, R.J.; Loukas, M.; Tubbs, R.S. The Incisive Canal: A Comprehensive Review. Cureus 2018, 10, e3069. [Google Scholar] [CrossRef] [PubMed]
- Costa, E.D.; de Oliveira Reis, L.; Gaêta-Araujo, H.; Martins, L.A.C.; Oliveira-Santos, C.; Freitas, D.Q. Comparison of distance of upper central incisor root and incisive canal in different sagittal and vertical skeletal patterns and sex: A retrospective CBCT study. Int. Orthod. 2021, 19, 462–470. [Google Scholar] [CrossRef] [PubMed]
- Magat, G.; Akyuz, M. Are morphological and morphometric characteristics of maxillary anterior region and nasopalatine canal related to each other? Oral Radiol. 2023, 39, 372–385. [Google Scholar] [CrossRef]
- Görürgöz, C.; Öztaş, B. Anatomic characteristics and dimensions of the nasopalatine canal: A radioFigureic study using cone-beam computed tomoFigurey. Folia Morphol. 2021, 80, 923–934. [Google Scholar] [CrossRef]
- Bahşi, I.; Orhan, M.; Kervancıoğlu, P.; Yalçın, E.D.; Aktan, A.M. Anatomical evaluation of nasopalatine canal on cone beam computed tomoFigurey images. Folia Morphol. 2019, 78, 153–162. [Google Scholar] [CrossRef]
- Thakur, A.R.; Burde, K.; Guttal, K.; Naikmasur, V.G. Anatomy and morphology of the nasopalatine canal using cone-beam computed tomoFigurey. Imaging Sci. Dent. 2013, 43, 273–281. [Google Scholar] [CrossRef]
- Milanovic, P.; Selakovic, D.; Vasiljevic, M.; Jovicic, N.U.; Milovanović, D.; Vasovic, M.; Rosic, G. Morphological Characteristics of the Nasopalatine Canal and the Relationship with the Anterior Maxillary Bone-A Cone Beam Computed TomoFigurey Study. Diagnostics 2021, 11, 915. [Google Scholar] [CrossRef]
- Cho, E.A.; Kim, S.J.; Choi, Y.J.; Kim, K.H.; Chung, C.J. Morphologic evaluation of the incisive canal and its proximity to the maxillary central incisors using computed tomoFigurey images. Angle Orthod. 2016, 86, 571–576. [Google Scholar] [CrossRef] [PubMed]
- Al-Rokhami, R.K.; Sakran, K.A.; Alhammadi, M.S.; Mashrah, M.A.; Cao, B.; Alsomairi, M.A.A.; Al-Worafi, N.A. Proximity of upper central incisors to incisive canal among subjects with maxillary dentoalveolar protrusion in various facial growth patterns. Angle Orthod. 2022, 92, 529–536. [Google Scholar] [CrossRef] [PubMed]
- Matsumura, T.; Ishida, Y.; Kawabe, A.; Ono, T. Quantitative analysis of the relationship between maxillary incisors and the incisive canal by cone-beam computed tomoFigurey in an adult Japanese population. Prog. Orthod. 2017, 18, 24. [Google Scholar] [CrossRef] [PubMed]
- Özeren Keşkek, C.; Aytuğar, E.; Çene, E. Retrospective Assessment of the Anatomy and Dimensions of Nasopalatine Canal with Cone-Beam Computed TomoFigurey. J. Oral Maxillofac. Res. 2022, 13, e4. [Google Scholar] [CrossRef]
- Rai, S.; Misra, D.; Misra, A.; Khatri, M.; Kidwai, S.; Bisla, S.; Jain, P. Significance of Morphometric and Anatomic Variations of Nasopalatine Canal on Cone-Beam Computed TomoFigurey in Anterior Functional Zone—A Retrospective Study. Ann. Maxillofac. Surg. 2021, 11, 108–114. [Google Scholar] [CrossRef]
- Friedrich, R.E.; Laumann, F.; Zrnc, T.; Assaf, A.T. The Nasopalatine Canal in Adults on Cone Beam Computed Tomograms-A Clinical Study and Review of the Literature. In Vivo 2015, 29, 467–486. [Google Scholar]
- Arnaut, A.; Milanovic, P.; Vasiljevic, M.; Jovicic, N.; Vojinovic, R.; Selakovic, D.; Rosic, G. The Shape of Nasopalatine Canal as a Determining Factor in Therapeutic Approach for Orthodontic Teeth Movement-A CBCT Study. Diagnostics 2021, 11, 2345. [Google Scholar] [CrossRef]
- Kotuła, J.; Kuc, A.; Szeląg, E.; Babczyńska, A.; Lis, J.; Matys, J.; Kawala, B.; Sarul, M. Comparison of Diagnostic Validity of Cephalometric Analyses of the ANB Angle and Tau Angle for Assessment of the Sagittal Relationship of Jaw and Mandible. J. Clin. Med. 2023, 12, 6333. [Google Scholar] [CrossRef] [PubMed]
- Guilford, J.P.; Lacey, J.I. Printed Classification Tests. In Army Air Forces Aviation Psychology Program Research Reports; No. 5; U.S. Government Printing Office: Washington, DC, USA, 1947. [Google Scholar]
- Costa, E.D.D.; Nejaim, Y.; Martins, L.A.C.; Peyneau, P.D.; Ambrosano, G.M.B.; Oliveira, M.L. Morphological Evaluation of the Nasopalatine Canal in Patients With Different Facial Profiles and Ages. J. Oral Maxillofac. Surg. 2019, 77, 721–729. [Google Scholar] [CrossRef] [PubMed]
- Linge, L.; Linge, B.O. Patient characteristics and treatment variables associated with apical root resorption during orthodontic treatment. Am. J. Orthod. Dentofacial Orthop. 1991, 99, 35–43. [Google Scholar] [CrossRef]
- Güncü, G.N.; Yıldırım, Y.D.; Yılmaz, H.G.; Galindo-Moreno, P.; Velasco-Torres, M.; Al-Hezaimi, K.; Al-Shawaf, R.; Karabulut, E.; Wang, H.; Tözüm, T.F. Is there a gender difference in anatomic features of incisive canal and maxillary environmental bone? Clin. Oral. Implants Res. 2013, 24, 1023–1026. [Google Scholar] [CrossRef]
- Khojastepour, L.; Haghnegahdar, A.; Keshtkar, M. Morphology and Dimensions of Nasopalatine Canal: A RadioFigureic Analysis Using Cone Beam Computed TomoFigurey. J. Dent. 2017, 18, 244–250. [Google Scholar]
- Kaley, J.; Phillips, C. Factors related to root resorption in edgewise practice. Angle Orthod. 1991, 61, 125–132. [Google Scholar]
- Handelman, C.S. The anterior alveolus: Its importance in limiting orthodontic treatment and its influence on the occurrence of iatrogenic sequelae. Angle Orthod. 1996, 66, 95–110. [Google Scholar]
- Sadek, M.M.; Sabet, N.E.; Hassan, I.T. Alveolar bone mapping in subjects with different vertical facial dimensions. Eur. J. Orthod. 2015, 37, 194–201. [Google Scholar] [CrossRef]
- Ponraj, R.R.; Korath, V.A.; Vijayalakshmi, D.; Parameswaran, R.; Raman, P.; Sunitha, C.; Khan, N. Relationship of Anterior Alveolar Dimensions with Mandibular Divergence in Class I Malocclusion—A Cephalometric Study. J. Clin. Diagn. Res. 2016, 10, ZC29–ZC33. [Google Scholar] [CrossRef]
- Gracco, A.; Lombardo, L.; Mancuso, G.; Gravina, V.; Siciliani, G. Upper incisor position and bony support in untreated patients as seen on CBCT. Angle Orthod. 2009, 79, 692–702. [Google Scholar] [CrossRef]
- Son, E.J.; Kim, S.J.; Hong, C.; Chan, V.; Sim, H.Y.; Ji, S.; Hong, S.Y.; Baik, U.-B.; Shin, J.W.; Kim, Y.H.; et al. A study on the morphologic change of palatal alveolar bone shape after intrusion and retraction of maxillary incisors. Sci. Rep. 2020, 10, 14454. [Google Scholar] [CrossRef] [PubMed]
- Zhang, F.; Lee, S.C.; Lee, J.B.; Lee, K.M. Geometric analysis of alveolar bone around the incisors after anterior retraction following premolar extraction. Angle Orthod. 2020, 90, 173–180. [Google Scholar] [CrossRef] [PubMed]
- Ten Hoeve, A.; Mulie, R.M. The effect of antero-postero incisor repositioning on the palatal cortex as studied with laminaFigurey. J. Clin. Orthod. 1976, 10, 804–822. [Google Scholar]
- Al-Rokhami, R.K.; Sakran, K.A.; Alhammadi, M.S.; Al-Tayar, B.; Al-Gumaei, W.S.; Al-Yafrusee, E.S.; Al-Shoaibi, L.H.; Cao, B. Tridimensional Analysis of Incisive Canal and Upper Central Incisor Approximation. Int. Dent. J. 2023, 73, 410–416. [Google Scholar] [CrossRef]
- Wainwright, W.M. Faciolingual tooth movement: Its influence on the root and cortical plate. Am. J. Orthod. 1973, 64, 278–302. [Google Scholar] [CrossRef] [PubMed]
- Matsumoto, K.; Sherrill-Mix, S.; Boucher, N.; Tanna, N. A cone-beam computed tomoFigureic evaluation of alveolar bone dimensional changes and the periodontal limits of mandibular incisor advancement in skeletal Class II patients. Angle Orthod. 2020, 90, 330–338. [Google Scholar] [CrossRef]
- Alqahtani, K.A.; Shaheen, E.; Morgan, N.; Shujaat, S.; Politis, C.; Jacobs, R. Impact of orthognathic surgery on root resorption: A systematic review. J. Stomatol. Oral. Maxillofac. Surg. 2022, 123, e260–e267. [Google Scholar] [CrossRef]
- Sarul, M.; Rutkowska-Gorczyca, M.; Detyna, J.; Zięty, A.; Kawala, M.; Antoszewska-Smith, J. Do Mechanical and Physicochemical Properties of Orthodontic NiTi Wires Remain Stable In Vivo? Biomed. Res. Int. 2016, 2016, 5268629. [Google Scholar] [CrossRef]
- Sarul, M.; Kawala, B.; Antoszewska, J. Comparison of elastic properties of nickel-titanium orthodontic archwires. Adv. Clin. Exp. Med. 2013, 22, 253–260. [Google Scholar]
- Sarul, M.; Kawala, B.; Kawala, M.; Antoszewska-Smith, J. Do the NiTi low and constant force levels remain stable in vivo? Eur. J. Orthod. 2015, 37, 656–664. [Google Scholar] [CrossRef]











| Gender/Age | Mean Width (SD) | Mean Length (SD) | r(X,Y) | r2 | t | p |
|---|---|---|---|---|---|---|
| F 13–20 | 4 (±0.81) | 4.49 (±0.97) | 0.845 | 0.71 | 4.19 | 0 |
| M 13–20 | 4.03 (±0.82) | 4.53 (±1.57) | 0.762 | 0.58 | 2.63 | 0.05 |
| F 21–29 | 4.61 (±0.89) | 4.16 (±0.62) | 0.729 | 0.53 | 2.82 | 0.03 |
| M 21–29 | 4.5 (±1.33) | 4.79 (±0.52) | 0.536 | 0.29 | 1.56 | 0.17 |
| F 30–39 | 4.68 (±1.36) | 4.01 (±0.8) | −0.318 | 0.1 | −0.82 | 0.44 |
| M 30–39 | 4.4 (±1.06) | 4.73 (±0.82) | 0.668 | 0.45 | 2.2 | 0.07 |
| F 40–49 | 4.78 (±0.52) | 4.27 (±0.62) | −0.417 | 0.17 | −1.21 | 0.26 |
| M 40–49 | 5.04 (±0.96) | 4.79 (±1.14) | 0.618 | 0.38 | 2.08 | 0.08 |
| Gender/Age | Mean Width (SD) | Mean Length (SD) | r(X,Y) | r2 | t | p |
|---|---|---|---|---|---|---|
| F 13–20 | 3.58 (±0.97) | 3.46 (±0.56) | 0.753 | 0.57 | 3.03 | 0.02 |
| M13–20 | 3.66 (±0.98) | 3.54 (±1.66) | 0.629 | 0.4 | 1.81 | 0.13 |
| F 21–29 | 4.29 (±0.87) | 4.02 (±1.02) | 0.815 | 0.66 | 3.72 | 0.01 |
| M 21–29 | 3.86 (±1.43) | 4.05 (±1.33) | 0.945 | 0.89 | 7.08 | 0 |
| F 30–39 | 4.19 (±1.33) | 3.88 (±0.97) | 0.361 | 0.13 | 0.95 | 0.38 |
| M 30–39 | 4.14 (±1.13) | 3.73 (±1.15) | 0.876 | 0.77 | 4.45 | 0 |
| F 40–49 | 4.66 (±0.64) | 4.16 (±0.52) | 0.479 | 0.23 | 1.44 | 0.2 |
| M 40–49 | 4.22 (±1.12) | 4.39 (±1.13) | 0.623 | 0.39 | 2.11 | 0.07 |
| Gender/Age | Mean Width (SD) | Mean Length (SD) | R(X,Y) | r2 | t | p |
|---|---|---|---|---|---|---|
| F 13–20 | 3.93 (±1.13) | 3.59 (±0.95) | 0.72 | 0.52 | 2.75 | 0.03 |
| M13–20 | 3.49 (±1.2) | 3.53 (±1.58) | 0.729 | 0.53 | 2.38 | 0.06 |
| F 21–29 | 3.68 (±0.8) | 3.77 (±1.25) | 0.936 | 0.88 | 7.03 | 0 |
| M 21–29 | 3.28 (±0.9) | 2.94 (±0.8) | 0.128 | 0.02 | 0.32 | 0.76 |
| F 30–39 | 4.06 (±1.19) | 3.43 (±1.09) | 0.678 | 0.46 | 2.26 | 0.06 |
| M 30–39 | 4 (±1.59) | 3.24 (±1.63) | 0.921 | 0.85 | 5.78 | 0 |
| F 40–49 | 4.46 (±1.02) | 4.2 (±1.17) | 0.423 | 0.18 | 1.23 | 0.26 |
| M 40–49 | 4.49 (±0.97) | 3.83 (±0.93) | 0.71 | 0.5 | 2.67 | 0.03 |
| Gender/Age | Mean Width (SD) | Mean Inclination of the Central Incisors (SD) | r(X,Y) | r2 | t | p |
|---|---|---|---|---|---|---|
| F 13–20 | 4 (±0.81) | 0.11 (±6.13) | −0.617 | 0.38 | −2.08 | 0.08 |
| M13–20 | 4.03 (±0.82) | −1.29 (±7.95) | 0.64 | 0.41 | 1.86 | 0.12 |
| F 21–29 | 4.61 (±0.89) | −1.72 (±4.8) | −0.492 | 0.24 | −1.49 | 0.18 |
| M 21–29 | 4.5 (±1.33) | −2.13 (±5.79) | 0.623 | 0.39 | 1.95 | 0.1 |
| F 30–39 | 4.68 (±1.36) | −4.13 (±6.03) | −0.225 | 0.05 | −0.57 | 0.59 |
| M 30–39 | 4.4 (±1.06) | 0.63 (±2.77) | −0.536 | 0.29 | −1.55 | 0.17 |
| F 40–49 | 4.78 (±0.52) | −1.11 (±8.51) | −0.53 | 0.28 | −1.65 | 0.14 |
| M 40–49 | 5.04 (±0.96) | −1.61 (±4.41) | 0.262 | 0.07 | 0.72 | 0.5 |
| Gender/Age | Mean Angle Formed by the Long Axis of the Incisor and the Palatal Plane (SD) | Mean Angle Formed by the Long Axis of the Incisal Canal and the Palatal Plane (SD) | r(X,Y) | r2 | t | p |
|---|---|---|---|---|---|---|
| F 13–20 | 113.33 (±7.25) | 107.44 (±10.91) | 0.828 | 0.69 | 3.91 | 0.01 |
| M13–20 | 115.71 (±11.86) | 103.14 (±7.29) | −0.429 | 0.18 | −1.06 | 0.33 |
| F 21–29 | 109.11 (±11.03) | 105.22 (±9.34) | 0.238 | 0.06 | 0.65 | 0.54 |
| M 21–29 | 113.38 (±6.23) | 109.13 (±8.2) | 0.868 | 0.75 | 4.28 | 0.01 |
| F 30–39 | 99.63 (±7.67) | 102.63 (±6.23) | 0.385 | 0.15 | 1.02 | 0.35 |
| M 30–39 | 113.88 (±5.79) | 107.25 (±3.77) | −0.496 | 0.25 | −1.4 | 0.21 |
| F 40–49 | 104.78 (±14.4) | 105.44 (±7.73) | 0.603 | 0.36 | 2 | 0.09 |
| M 40–49 | 109.33 (±9.59) | 112.67 (±8.93) | 0.169 | 0.03 | 0.45 | 0.66 |
| Risk Factor | Potential Risk Group |
|---|---|
| Incisive canal width | Males |
| AP canal length | Males—cervical (excessive lingual movement of the incisors) Females—apical (axial movement, torquing, and proclination) Females over 40 years—lingual movement, torquing and retraction, especially after osteodistraction |
| Root angulation of the upper central incisors (convergent/divergent) | Males aged 13–30 years (axial movement, excessive torque, and proclination) |
| Canal inclination vs. incisor inclination | Age 13–20 years Females—pericervical (lingual movement, excessive retraction) Males—apical (proclination, torque and axial movement) |
| Canal width vs. root distance from the canal | Males—pericervical (lingual movement, excessive retraction) Males 13–20—L2 (axial movement) Females over 40 years—pericervical and apical (all movements) |
Disclaimer/Publisher’s Note: The statements, opinions and data contained in all publications are solely those of the individual author(s) and contributor(s) and not of MDPI and/or the editor(s). MDPI and/or the editor(s) disclaim responsibility for any injury to people or property resulting from any ideas, methods, instructions or products referred to in the content. |
© 2023 by the authors. Licensee MDPI, Basel, Switzerland. This article is an open access article distributed under the terms and conditions of the Creative Commons Attribution (CC BY) license (https://creativecommons.org/licenses/by/4.0/).
Share and Cite
Kuc, A.E.; Kotuła, J.; Nawrocki, J.; Szeląg, E.; Kawala, B.; Lis, J.; Sarul, M. Morphological Evaluation of the Incisive Canal in the Aspect of the Diagnosis and Planning of Orthodontic Treatment—CBCT Study. Appl. Sci. 2023, 13, 12010. https://doi.org/10.3390/app132112010
Kuc AE, Kotuła J, Nawrocki J, Szeląg E, Kawala B, Lis J, Sarul M. Morphological Evaluation of the Incisive Canal in the Aspect of the Diagnosis and Planning of Orthodontic Treatment—CBCT Study. Applied Sciences. 2023; 13(21):12010. https://doi.org/10.3390/app132112010
Chicago/Turabian StyleKuc, Anna Ewa, Jacek Kotuła, Jakub Nawrocki, Ewa Szeląg, Beata Kawala, Joanna Lis, and Michał Sarul. 2023. "Morphological Evaluation of the Incisive Canal in the Aspect of the Diagnosis and Planning of Orthodontic Treatment—CBCT Study" Applied Sciences 13, no. 21: 12010. https://doi.org/10.3390/app132112010
APA StyleKuc, A. E., Kotuła, J., Nawrocki, J., Szeląg, E., Kawala, B., Lis, J., & Sarul, M. (2023). Morphological Evaluation of the Incisive Canal in the Aspect of the Diagnosis and Planning of Orthodontic Treatment—CBCT Study. Applied Sciences, 13(21), 12010. https://doi.org/10.3390/app132112010

