Nonextraction Orthodontic Treatment of Severely Impacted Maxillary Canines through Transalveolar Transplantation in a 10-Year-Old Patient: A Case Report with a 6-Year Follow-Up Period
Abstract
:1. Introduction
2. Case Presentation
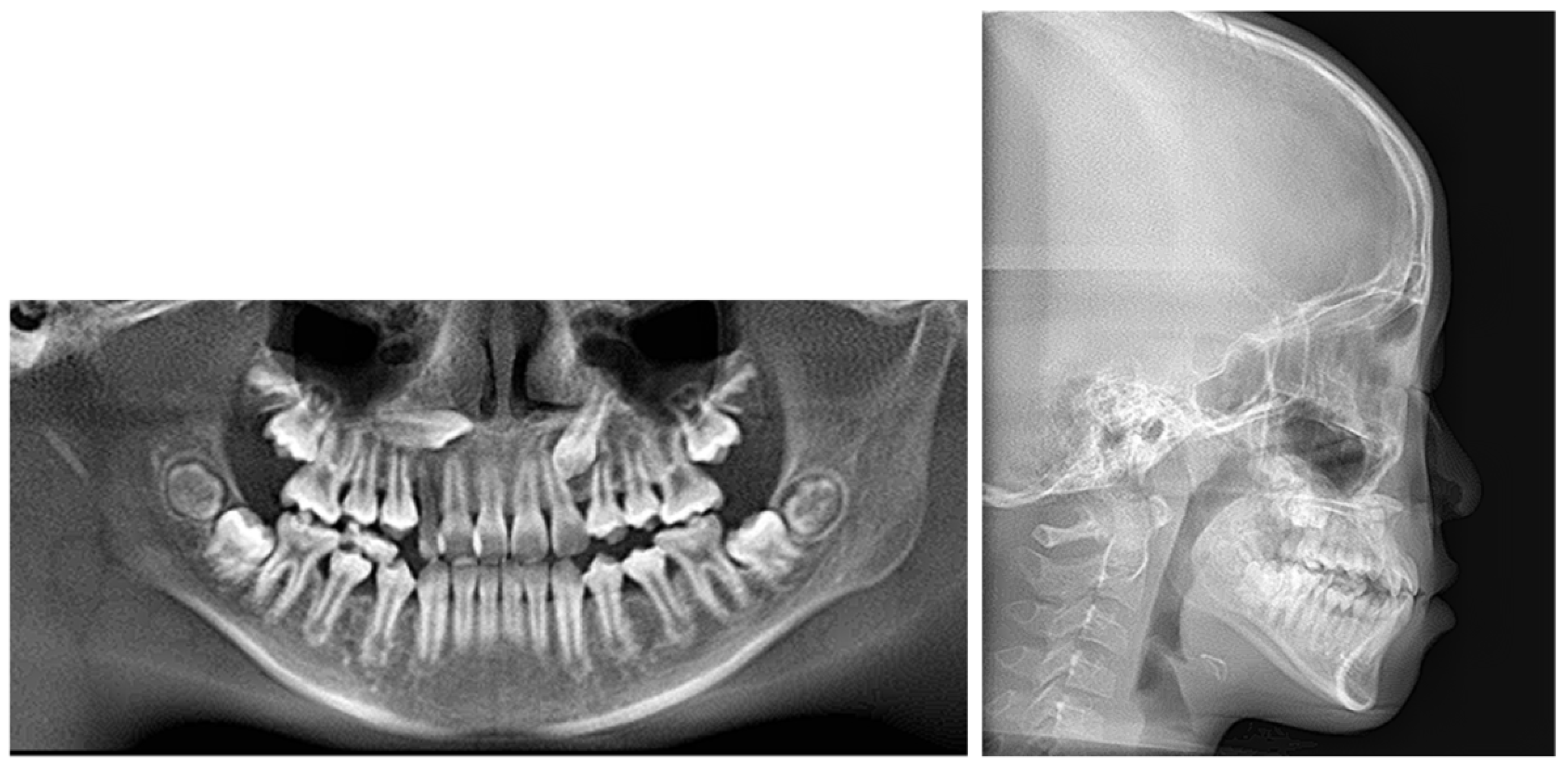
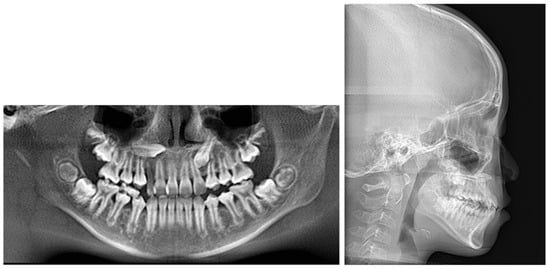
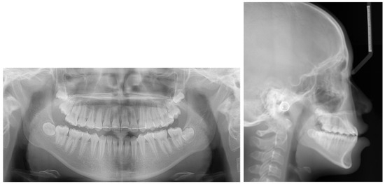
2.1. Diagnosis and Etiology
2.2. Treatment Objectives
2.3. Treatment Alternatives
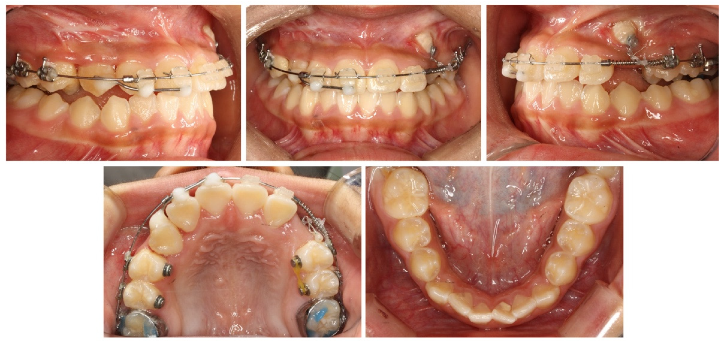
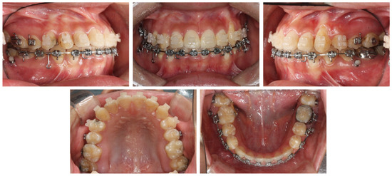
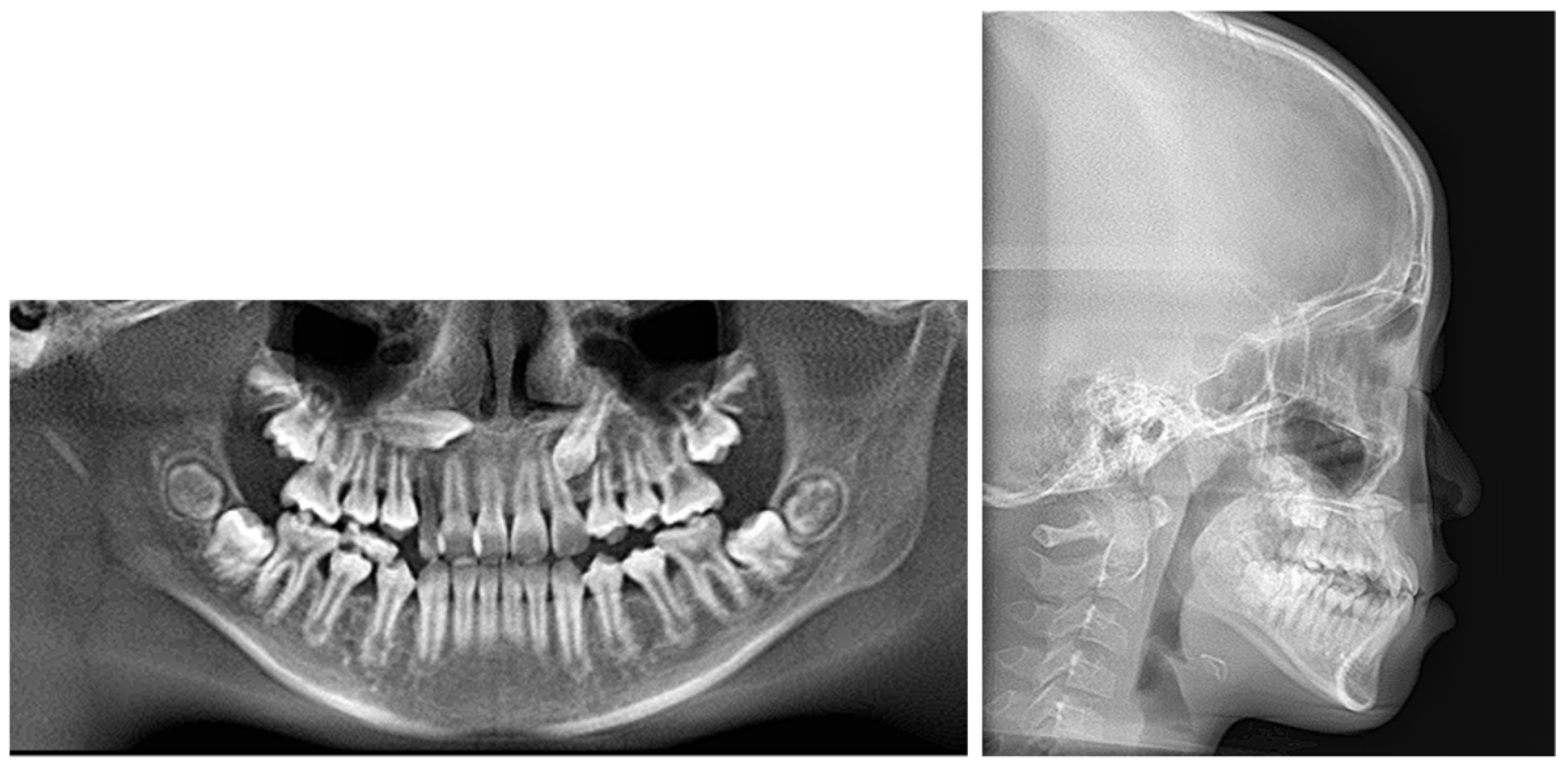
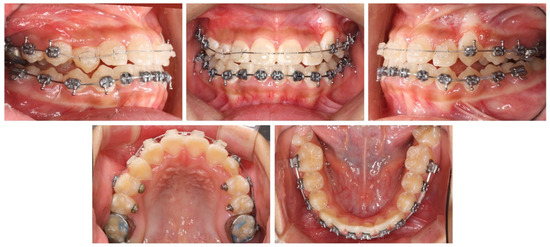
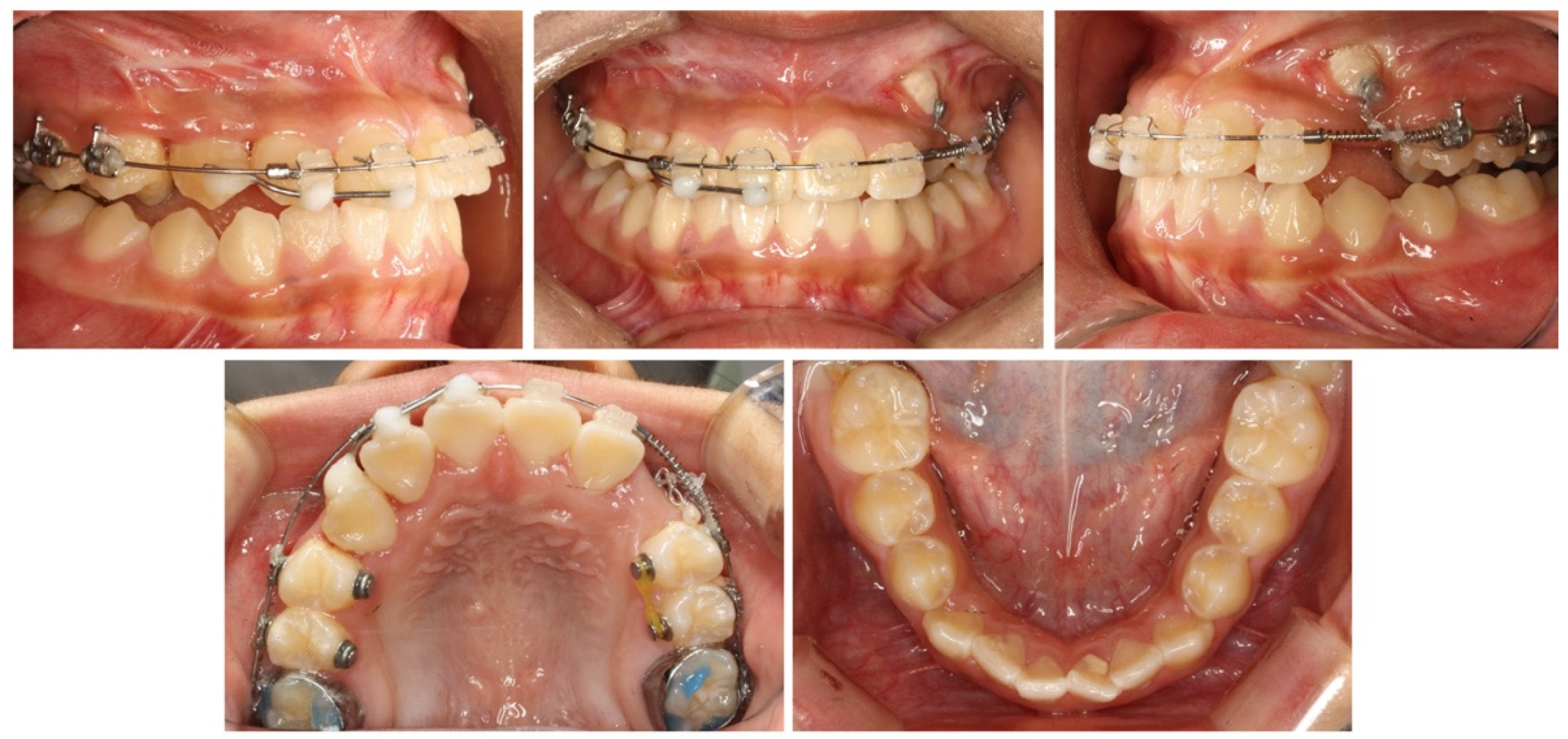
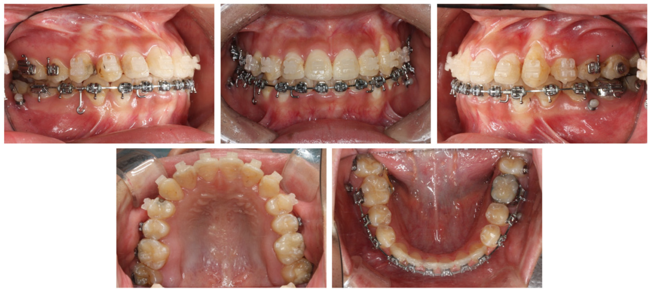
2.4. Treatment Progress
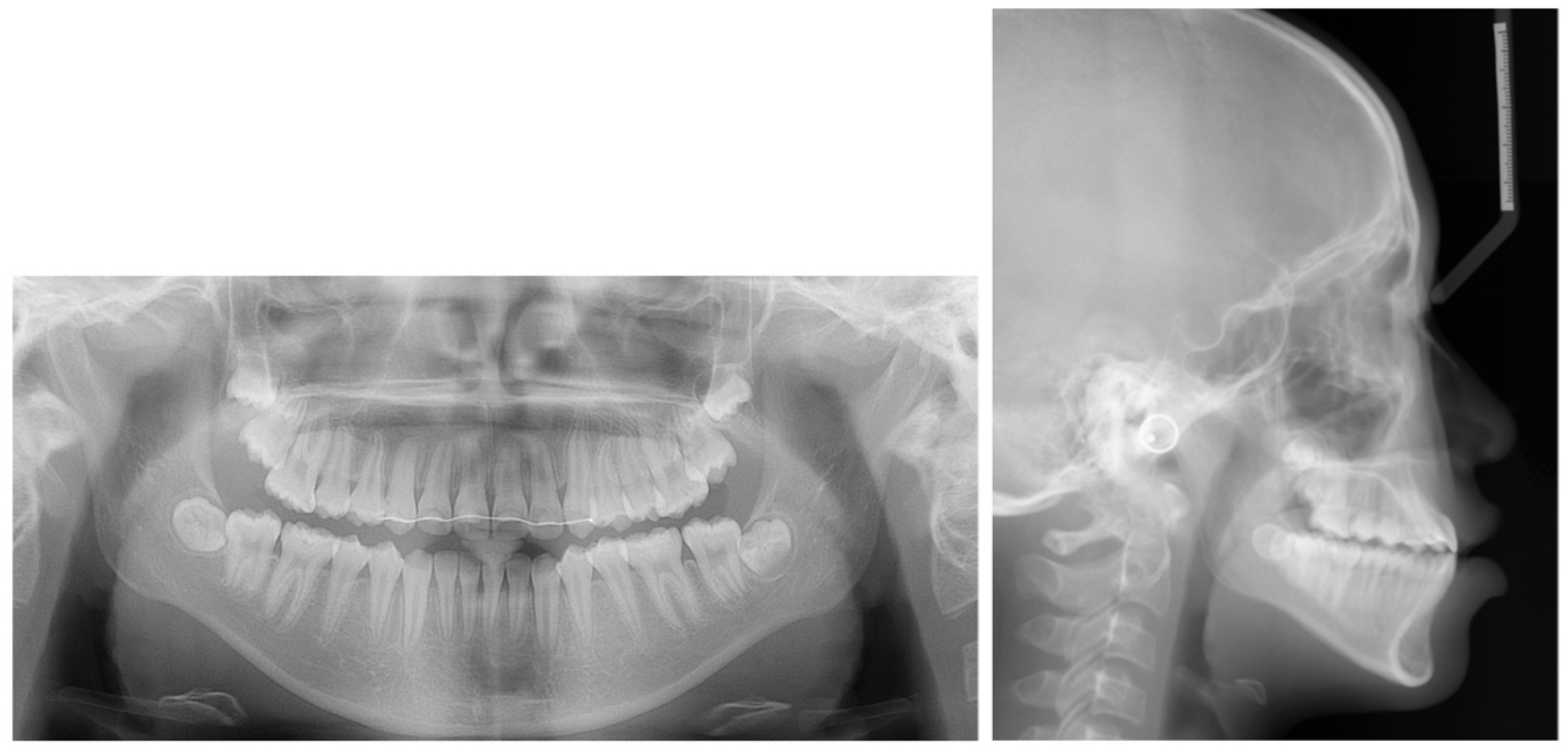
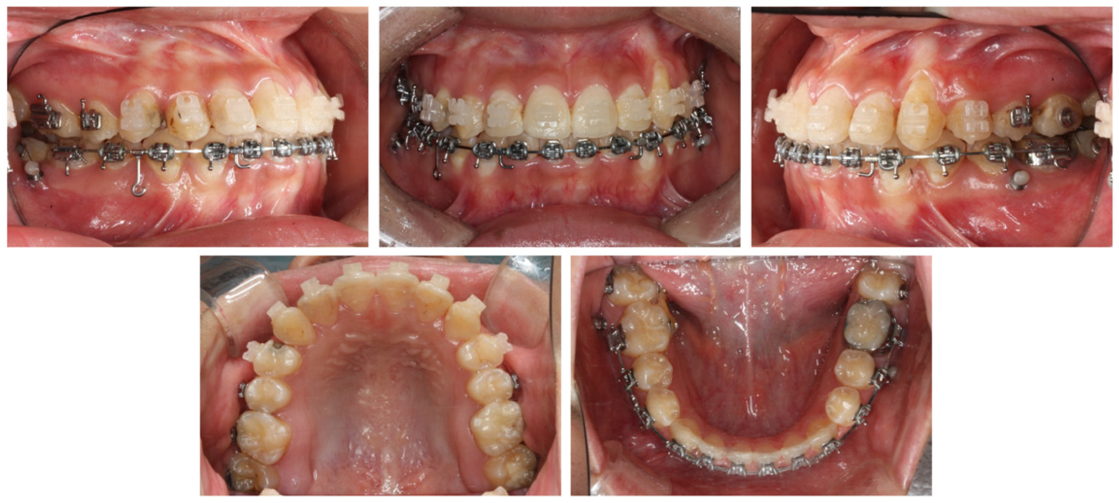
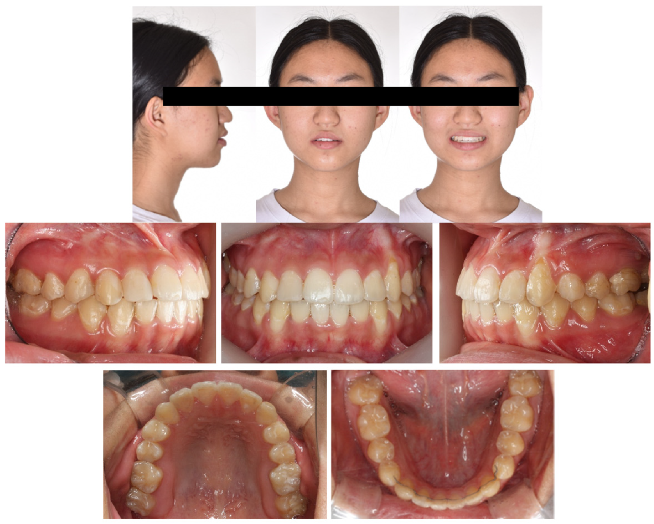
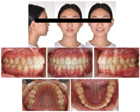
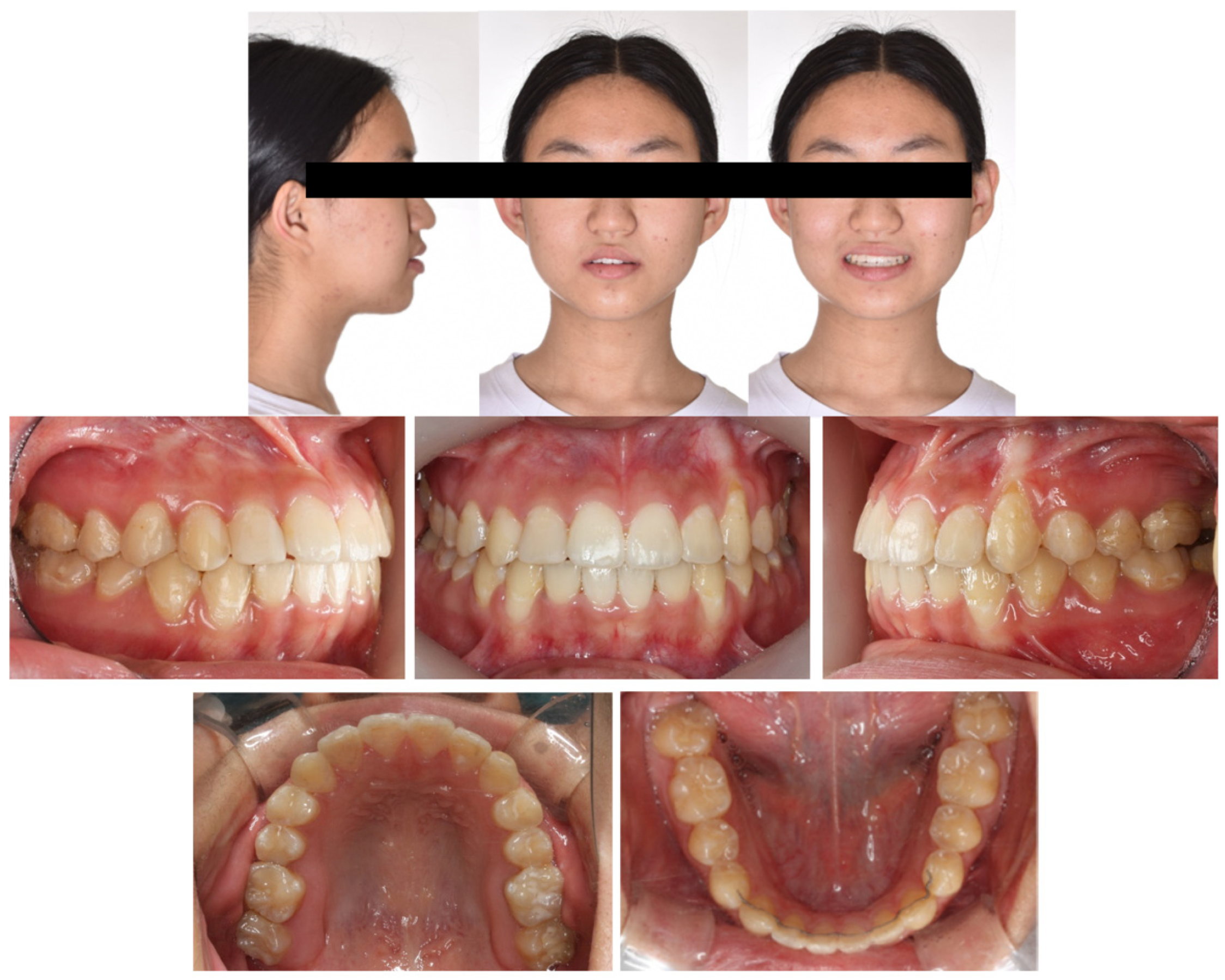
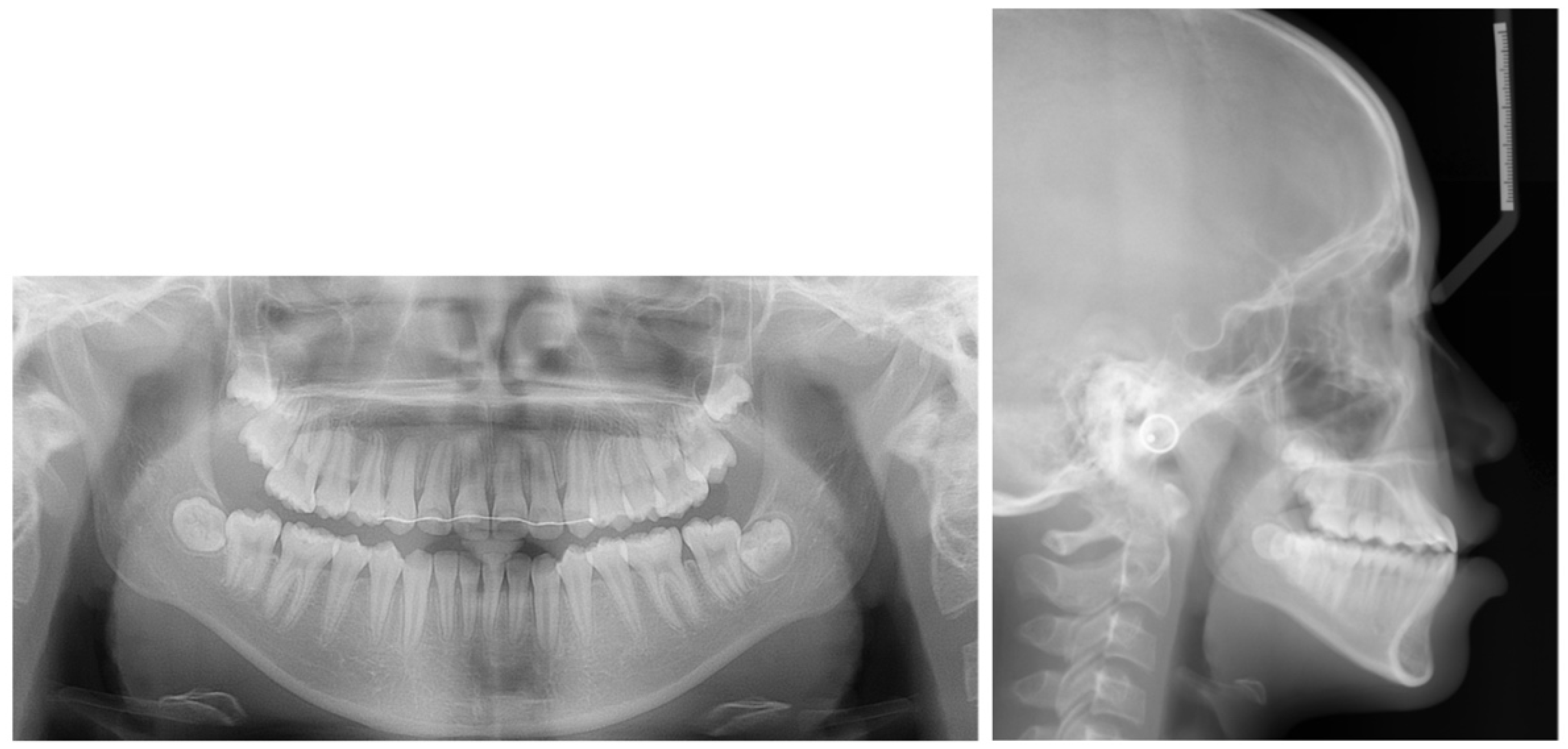
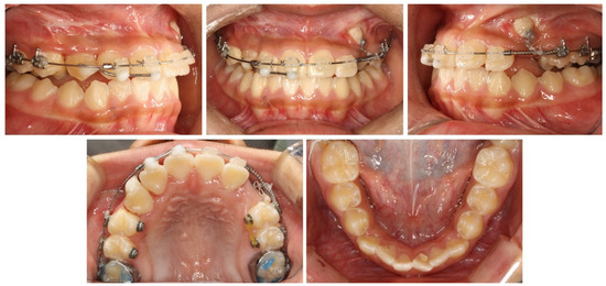
2.5. Treatment Results
3. Discussion
4. Conclusions
- Dental autotransplantation offers valuable treatment alternatives for the management of severe impaction cases.
- Root canal treatment may not be required for autogenous transplanted teeth with incomplete root formation.
- TSADs can provide simple yet versatile and efficient treatment mechanics in various clinical situations.
Author Contributions
Funding
Informed Consent Statement
Data Availability Statement
Acknowledgments
Conflicts of Interest
References
- Uslu, O.; Akcam, M.O.; Evirgen, S.; Cebeci, I. Prevalence of dental anomalies in various malocclusions. Am. J. Orthod. Dentofac. Orthop. 2009, 135, 328–335. [Google Scholar] [CrossRef] [PubMed]
- Aitasalo, K.; Lehtinen, R.; Oksala, E. An orthopantomographic study of prevalence of impacted teeth. Int. J. Oral Surg. 1972, 1, 117–120. [Google Scholar] [CrossRef] [PubMed]
- Grover, P.S.; Lorton, L. The incidence of unerupted permanent teeth and related clinical cases. Oral Surg. Oral Med. Oral Pathol. 1985, 59, 420–425. [Google Scholar] [CrossRef]
- Cicek, O.; Gurel, T.; Demir Cicek, B. Investigation of the Relationship of Impacted Maxillary Canines with Orthodontic Malocclusion: A Retrospective Study. Children 2023, 10, 950. [Google Scholar] [CrossRef] [PubMed]
- Northway, W.M.; Konigsberg, S. Autogenic tooth transplantation. The “state of the art”. Am. J. Orthod. 1980, 77, 146–162. [Google Scholar] [CrossRef]
- Sangiovanni, G.; Giordano, F.; Acerra, A.; Chiacchio, A.; Valletta, A. Surgical extrusion: State of the art and literature review. J. Osseointegr. 2023, 15, 83–90. [Google Scholar]
- Al-Khanati, N.M.; Albassal, A.; Beit, Z.K. Unusual Indications of Teeth Transplantation: A Literature Review. Cureus 2022, 12, e29030. [Google Scholar] [CrossRef]
- Grisar, K.; Chaabouni, D.; Romero, L.P.G.; Vandendriessche, T.; Politis, C.; Jacobs, R. Autogenous transalveolar transplantation of maxillary canines: A systematic review and meta-analysis. Eur. J. Orthod. 2018, 40, 608–616. [Google Scholar] [CrossRef]
- Machado, L.; Nascimento, R.D.; Ferreira, D.; Mattos, C.; Vilella, O. Long-term prognosis of tooth autotransplantation: A systematic review and meta-analysis. Int. J. Oral Maxillofac. Surg. 2016, 45, 610–617. [Google Scholar] [CrossRef]
- Tanaka, T.; Deguchi, T.; Kageyama, T.; Kanomi, R.; Inoue, M.; Foong, K.W.C.; Tanakaa, T.D.T.; Kvint, S.; Lindsten, R.; Magnusson, A.; et al. Autotransplantation of 28 Premolar Donor Teeth in 24 Orthodontic Patients. Angle Orthod. 2008, 78, 12–19. [Google Scholar] [CrossRef]
- Singh, A.K.; Khanal, N.; Acharya, N.; Hasan, R.; Saito, T. What Are the Complications, Success and Survival Rates for Autotransplanted Teeth? An Overview of Systematic Reviews and Metanalyses. Healthcare 2022, 10, 835. [Google Scholar] [CrossRef] [PubMed]
- Patel, S.; Fanshawe, T.; Bister, D.; Cobourne, M.T. Survival and success of maxillary canine autotransplantation: A retrospective investigation. Eur. J. Orthod. 2011, 33, 298–304. [Google Scholar] [CrossRef]
- Grisar, K.; Luyten, J.; Preda, F.; Martin, C.; Hoppenreijs, T.; Politis, C.; Jacobs, R. Interventions for impacted maxillary canines: A systematic review of the relationship between initial canine position and treatment outcome. Orthod. Craniofac. Res. 2021, 24, 180–193. [Google Scholar] [CrossRef] [PubMed]
- Sicilia-Pasos, J.; Kewalramani, N.; Peña-Cardelles, J.-F.; Salgado-Peralvo, A.-O.; Madrigal-Martínez-Pereda, C.; López-Carpintero, Á. Autotransplantation of teeth with incomplete root formation: Systematic review and meta-analysis. Clin. Oral Investig. 2022, 26, 3795–3805. [Google Scholar] [CrossRef] [PubMed]
- Raghis, T.R.; Alsulaiman, T.M.A.; Mahmoud, G.; Youssef, M. Efficiency of maxillary total arch distalization using temporary anchorage devices (TADs) for treatment of Class II-malocclusions: A systematic review and meta-analysis. Int. Orthod. 2022, 20, 100666. [Google Scholar] [CrossRef]
- Miranda, F.; Bastos, J.C.d.C.; dos Santos, A.M.; Vieira, L.S.; Castillo, A.A.-D.; Janson, G.; Garib, D. Miniscrew-anchored maxillary protraction in growing Class III patients. J. Orthod. 2020, 47, 170–180. [Google Scholar] [CrossRef]
- Jung, M.-H. Treatment of facial asymmetry and severe midline deviation with orthodontic mini-implants. Am. J. Orthod. Dentofac. Orthop. 2021, 160, 312–324. [Google Scholar] [CrossRef]
- Choi, S.; Jeon, J.Y.; Lee, K.; Hwang, C. Clinical applications of miniscrews that broaden the scope of non-surgical orthodontic treatment. Orthod. Craniofacial Res. 2021, 24, 48–58. [Google Scholar] [CrossRef] [PubMed]
- Quinzi, V.; Scibetta, E.T.; Marchetti, E.; Mummolo, S.; Giannì, A.B.; Romano, M.; Beltramini, G.; Marzo, G. Analyze my face. J. Biol. Regul. Homeost. Agents 2018, 32 (Suppl. S1), 149–158. [Google Scholar]
- Pasini, M.; Giuca, M.R.; Ligori, S.; Mummolo, S.; Fiasca, F.; Marzo, G.; Quinzi, V. Association between Anatomical Variations and Maxillary Canine Impaction: A Retrospective Study in Orthodontics. Appl. Sci. 2020, 10, 5638. [Google Scholar] [CrossRef]
- Demirjian, A.; Goldstein, H.; Tanner, J.M. A new system of dental age assessment. Hum. Biol. 1973, 45, 211–227. [Google Scholar]
- Baccetti, T.; Franchi, L.; McNamara, J.A., Jr. An improved version of the cervical vertebral maturation (CVM) method for the assessment of mandibular growth. Angle Orthod. 2002, 72, 316–323. [Google Scholar]
- Manne, R.; Gandikota, C.; Juvvadi, S.R.; Rama, H.R.; Anche, S. Impacted canines: Etiology, diagnosis, and orthodontic management. J. Pharm. Bioallied Sci. 2012, 4, S234–S238. [Google Scholar]
- Kim, C.-H.; Joh, B.; Lim, H.J.; Park, J.H.; Kook, Y.-A.; Kim, Y. A conservative approach for an adult patient with a fractured tooth and crowding: Autotransplantation at the fracture site. Am. J. Orthod. Dentofac. Orthop. 2021, 159, 234–245. [Google Scholar] [CrossRef] [PubMed]
- Kafourou, V.; Tong, H.J.; Day, P.; Houghton, N.; Spencer, R.J.; Duggal, M. Outcomes and prognostic factors that influence the success of tooth autotransplantation in children and adolescents. Dent. Traumatol. 2017, 33, 393–399. [Google Scholar] [CrossRef] [PubMed]
- Tsukiboshi, M. Autotransplantation of teeth: Requirements for predictable success. Dent. Traumatol. 2002, 18, 157–180. [Google Scholar] [CrossRef]
- Murtadha, L.; Kwok, J. Do Autotransplanted Teeth Require Elective Root Canal Therapy? A Long-Term Follow-Up Case Series. J. Oral Maxillofac. Surg. 2017, 75, 1817–1826. [Google Scholar] [CrossRef]
- Rohof, E.C.M.; Kerdijk, W.; Jansma, J.; Livas, C.; Ren, Y. Autotransplantation of teeth with incomplete root formation: A systematic review and meta-analysis. Clin. Oral Investig. 2018, 22, 1613–1624. [Google Scholar] [CrossRef] [PubMed]
- McCabe, P.S.; Dummer, P.M.H. Pulp canal obliteration: An endodontic diagnosis and treatment challenge. Int. Endod. J. 2012, 45, 177–197. [Google Scholar] [CrossRef]
- Vinagre, A.; Castanheira, C.; Messias, A.; Palma, P.J.; Ramos, J.C. Management of Pulp Canal Obliteration—Systematic Review of Case Reports. Medicina 2021, 57, 1237. [Google Scholar] [CrossRef]
- Yeon, B.M.; Lee, N.-K.; Park, J.H.; Kim, J.M.; Kim, S.-H.; Kook, Y.-A. Comparison of treatment effects after total mandibular arch distalization with miniscrews vs ramal plates in patients with Class III malocclusion. Am. J. Orthod. Dentofac. Orthop. 2022, 161, 529–536. [Google Scholar] [CrossRef] [PubMed]
- Al-Khanati, N.M.; Beit, Z.K. Is dental autotransplantation underestimated and underused by Syrian dentists? J. Educ. Eval. Health Prof. 2021, 18, 18. [Google Scholar] [CrossRef] [PubMed]

















| Norms | 1st Phase Pretreatment | 1st Phase Post-Treatment | 2nd Phase Pretreatment | 2nd Phase Post-Treatment | |
|---|---|---|---|---|---|
| Skeletal analysis | |||||
| SNA (°) | 81.5 ± 3.5 | 81.6 | 81.7 | 81.2 | 81.5 |
| SNB (°) | 77.7 ± 3.2 | 79.4 | 79.9 | 79.3 | 78.8 |
| ANB (°) | 4.0 ± 1.8 | 2.2 | 1.8 | 1.9 | 2.7 |
| SN-MP (°) | 33.0 ± 1.8 | 39.7 | 43.0 | 45.0 | 45.4 |
| Dental analysis | |||||
| U1-NA (mm) | 3.9 ± 2.1 | 2.7 | 4.8 | 4.9 | 4.7 |
| U1-NA (°) | 24.0 ± 4.0 | 23.5 | 26.4 | 27.9 | 25.6 |
| U1-SN (°) | 108.2 ± 5.4 | 107.1 | 109.4 | 109.0 | 107.1 |
| L1-NB (mm) | 6.6 ± 2.8 | 6.1 | 7.1 | 6.8 | 5.8 |
| L1-NB (°) | 25.0 ± 5.0 | 25.7 | 27.8 | 28.7 | 22.0 |
| L1-MP (°) | 96.8 ± 6.4 | 78.1 | 82.3 | 84.3 | 77.8 |
| U1-L1 (°) | 124.2 ± 8.0 | 128.9 | 124.1 | 121.5 | 129.7 |
| Facial analysis | |||||
| E-line/UL (mm) | −1.1 ± 2.2 | 0.4 | 0.8 | −0.4 | −0.4 |
| E-line/LL (mm) | 0.5 ± 2.5 | 5.1 | 6.0 | 6.1 | 5.2 |
| Pros | Treatment Alternatives | Cons |
|---|---|---|
| Space gained for the impacted #13 and #23 Class I molar and canine at the end of treatment | Option 1 Extraction of #14, #24, #34, and #44 | Extraction of 4 healthy permanent teeth Risk of failure in aligning the highly impacted #13 |
| Space gained for the impacted #13 and #23 More conservative than Option 1 | Option 2 Extraction of #14 and #24 | Extraction of 2 healthy permanent teeth Risk of failure in aligning the highly impacted #13 |
| Reduced treatment time More conservative than Option 1 | Option 3 Extraction of #13 and #24 Substitution of #14 for #13 | Extraction of 2 permanent teeth Risk of periodontal defects near #13 extraction site |
| Most conservative among the available options Class I molar and canine at the end of treatment Closer monitoring of unfavorable mandibular growth | Option 4 No Extraction Autotransplantation of #13 | Potential risk of endodontic treatment for the autotransplanted #13 Longer treatment time due to 2-phase treatment approach |
Disclaimer/Publisher’s Note: The statements, opinions and data contained in all publications are solely those of the individual author(s) and contributor(s) and not of MDPI and/or the editor(s). MDPI and/or the editor(s) disclaim responsibility for any injury to people or property resulting from any ideas, methods, instructions or products referred to in the content. |
© 2023 by the authors. Licensee MDPI, Basel, Switzerland. This article is an open access article distributed under the terms and conditions of the Creative Commons Attribution (CC BY) license (https://creativecommons.org/licenses/by/4.0/).
Share and Cite
Park, J.H.; Oh, J.; Lim, K.; Chou, A.H.K.; Kook, Y.-A.; Han, S.H. Nonextraction Orthodontic Treatment of Severely Impacted Maxillary Canines through Transalveolar Transplantation in a 10-Year-Old Patient: A Case Report with a 6-Year Follow-Up Period. Appl. Sci. 2023, 13, 11665. https://doi.org/10.3390/app132111665
Park JH, Oh J, Lim K, Chou AHK, Kook Y-A, Han SH. Nonextraction Orthodontic Treatment of Severely Impacted Maxillary Canines through Transalveolar Transplantation in a 10-Year-Old Patient: A Case Report with a 6-Year Follow-Up Period. Applied Sciences. 2023; 13(21):11665. https://doi.org/10.3390/app132111665
Chicago/Turabian StylePark, Jae Hyun, Jiyoung Oh, Kooyoung Lim, Alex Hung Kuo Chou, Yoon-Ah Kook, and Seong Ho Han. 2023. "Nonextraction Orthodontic Treatment of Severely Impacted Maxillary Canines through Transalveolar Transplantation in a 10-Year-Old Patient: A Case Report with a 6-Year Follow-Up Period" Applied Sciences 13, no. 21: 11665. https://doi.org/10.3390/app132111665
APA StylePark, J. H., Oh, J., Lim, K., Chou, A. H. K., Kook, Y.-A., & Han, S. H. (2023). Nonextraction Orthodontic Treatment of Severely Impacted Maxillary Canines through Transalveolar Transplantation in a 10-Year-Old Patient: A Case Report with a 6-Year Follow-Up Period. Applied Sciences, 13(21), 11665. https://doi.org/10.3390/app132111665
