Elastodontic Therapy of Hyperdivergent Class II Patients Using AMCOP® Devices: A Retrospective Study
Abstract
1. Introduction
2. Materials and Methods
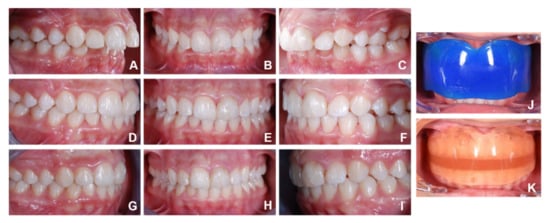
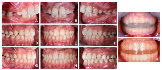
2.1. Sample Description
2.2. AMCOP® Bio-Activators Description
- HARMONIZER: harmonically reshapes the dental-cranial-facial structures;
- MULTIFUNCTIONAL: suitable for the treatment of various dysfunctional problems;
- CRANIAL-OCCLUSION-POSTURAL: acts on the relationship between the skull and jawbones, and between occlusion and posture, by acting on the first cervical vertebrae.
2.3. Treatment Protocol
- In very high-angle cases (S-N^-Go-Gn > 37°), first AMCOP® OPEN for 6–8 months and then the SC device;
- In slightly increased angle cases (32° < S-N^-Go-Gn ≤ 37°), first AMCOP® INTEGRAL for 6–8 months and then the SC device.
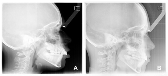
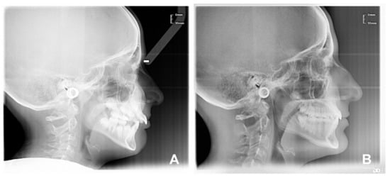
2.4. Data Assessment and Cephalometric Analysis
2.5. Statistical Analysis
3. Results
- Vertical skeletal outcomes: a significant increase in PFH/AFH (3.13, p = 0.0004), a reduction in Sna-Snp^Go-Gn (−2.51°, p = 0.0146) and S-N^Go-Gn (−2.87°, p = 0.0014);
- Sagittal skeletal outcomes: a significant mandibular advancement, SNB (2.17°, p = 0.0015) and a reduction in the ANB angle (−2.28°, p = 0.0001). On the contrary, no significant variation in the maxillary position, SNA, was noticed (−0.04°, p = 0.9484);
- Growth pattern outcomes: a significant reduction in the gonial angle, Ar-Go-Me (−3.13°, p = 0.0185), while there were no significant differences in the sellar (N-S-Ar −1.56°, p = 0.1141) and articular angles (S-Ar-Go 1.34°, p = 0.4442);
- Dental outcomes: an OVJ reduction (−2.64 mm p = 0.0002) without significant changes in the incisors inclination and position: Is^Ii (1.62 p = 0.4836); Is:NA (0.58 mm, p = 0.2822); and Ii:NB (0.92 mm, p = 0.0524);
- Airways outcomes: significant changes were found in the width of the upper airways, SPAS (2.21 mm, p = 0.0099), while the improvement in the middle and lower pharyngeal space was not significant, i.e., MAS (1.41 mm p = 0.0786) and IAS (1.64 mm p = 0.1342).
4. Discussion
5. Conclusions
6. Patents
- Title: “dispositivo ortodontico-elastico-armonizzatore dento cranio-facciale, scope: Italian, granted under n° 102015000057082;
- Title: dispositivo ortodontico-elastico-armonizzatore dento cranio-facciale, scope: International, n° WO 2017/056010.
Author Contributions
Funding
Institutional Review Board Statement
Informed Consent Statement
Data Availability Statement
Conflicts of Interest
References
- Buschang, P.H.; Jacob, H.; Carrillo, R. The Morphological Characteristics, Growth, and Etiology of the Hyperdivergent Phenotype. Semin. Orthod. 2013, 19, 212–226. [Google Scholar] [CrossRef]
- Schudy, F.F. Vertical Growth versus Anteroposterior Growth as Related to Function and Treatment. Angle Orthod. 1964, 34, 75–93. [Google Scholar] [CrossRef]
- Buschang, P.H.; Carrillo, R.; Rossouw, P.E. Orthopedic Correction of Growing Hyperdivergent, Retrognathic Patients with Miniscrew Implants. J. Oral Maxillofac. Surg. 2011, 69, 754–762. [Google Scholar] [CrossRef] [PubMed]
- Laudadio, C.; Inchingolo, A.D.; Malcangi, G.; Limongelli, L.; Marinelli, G.; Coloccia, G.; Montenegro, V.; Patano, A.; Inchingolo, F.; Bordea, I.R.; et al. Management of Anterior Open-Bite in the Deciduous, Mixed and Permanent Dentition Stage: A Descriptive Review. J. Biol. Regul. Homeost. Agents 2021, 35, 271–281. [Google Scholar] [CrossRef]
- Czarnecki, S.T.; Nanda, R.S.; Currier, G.F. Perceptions of a Balanced Facial Profile. Am. J. Orthod. Dentofac. Orthop. 1993, 104, 180–187. [Google Scholar] [CrossRef]
- Maple, J.R.; Vig, K.W.L.; Beck, F.M.; Larsen, P.E.; Shanker, S. A Comparison of Providers’ and Consumers’ Perceptions of Facial-Profile Attractiveness. Am. J. Orthod. Dentofac. Orthop. 2005, 128, 690–696. [Google Scholar] [CrossRef] [PubMed]
- Naini, F.B.; Donaldson, A.N.A.; McDonald, F.; Cobourne, M.T. Influence of Chin Height on Perceived Attractiveness in the Orthognathic Patient, Layperson, and Clinician. Angle Orthod. 2012, 82, 88–95. [Google Scholar] [CrossRef] [PubMed]
- Proffit, W.R.; Fields, H.W.; Nixon, W.L. Occlusal Forces in Normal- and Long-Face Adults. J. Dent. Res. 1983, 62, 566–570. [Google Scholar] [CrossRef]
- Proffit, W.R.; Fields, H.W. Occlusal Forces in Normal- and Long-Face Children. J. Dent. Res. 1983, 62, 571–574. [Google Scholar] [CrossRef]
- Ballini, A.; Cantore, S.; Scacco, S.; Perillo, L.; Scarano, A.; Aityan, S.K.; Contaldo, M.; Cd Nguyen, K.; Santacroce, L.; Syed, J.; et al. A Comparative Study on Different Stemness Gene Expression between Dental Pulp Stem Cells vs. Dental Bud Stem Cells. Eur. Rev. Med. Pharm. Sci. 2019, 23, 1626–1633. [Google Scholar] [CrossRef]
- Proffit, W.R.; White, R.P.; Sarver, D.M. Contemporary Treatment of Dentofacial Deformity; Mosby: St. Louis, MO, USA, 2003; ISBN 978-0-323-01697-1. [Google Scholar]
- Cantore, S.; Ballini, A.; Farronato, D.; Malcangi, G.; Dipalma, G.; Assandri, F.; Garagiola, U.; Inchingolo, F.; De Vito, D.; Cirulli, N. Evaluation of an Oral Appliance in Patients with Mild to Moderate Obstructive Sleep Apnea Syndrome Intolerant to Continuous Positive Airway Pressure Use: Preliminary Results. Int. J. Immunopathol. Pharm. 2016, 29, 267–273. [Google Scholar] [CrossRef] [PubMed]
- Sankey, W.L.; Buschang, P.H.; English, J.; Owen, A.H. Early Treatment of Vertical Skeletal Dysplasia: The Hyperdivergent Phenotype. Am. J. Orthod. Dentofac. Orthop. 2000, 118, 317–327. [Google Scholar] [CrossRef]
- Nielsen, I.L. Vertical Malocclusions: Etiology, Development, Diagnosis and Some Aspects of Treatment. Angle Orthod. 1991, 61, 247–260. [Google Scholar] [CrossRef]
- Solano-Hernández, B.; Antonarakis, G.S.; Scolozzi, P.; Kiliaridis, S. Combined Orthodontic and Orthognathic Surgical Treatment for the Correction of Skeletal Anterior Open-Bite Malocclusion: A Systematic Review on Vertical Stability. J. Oral Maxillofac. Surg. 2013, 71, 98–109. [Google Scholar] [CrossRef] [PubMed]
- Patianna, A.G.; Ballini, A.; Meneghello, M.; Cantore, S.; Inchingolo, A.M.; Dipalma, G.; Inchingolo, A.D.; Inchingolo, F.; Malcangi, G.; Lucchese, A.; et al. Comparison of Conventional Orthognathic Surgery and “Surgery-First” Protocol: A New Weapon against Time. J. Biol. Regul. Homeost. Agents 2019, 33, 59–67. [Google Scholar]
- Arat, M.; Iseri, H. Orthodontic and Orthopaedic Approach in the Treatment of Skeletal Open Bite. Eur. J. Orthod. 1992, 14, 207–215. [Google Scholar] [CrossRef] [PubMed]
- Ng, C.; Wong, R.; Hägg, U. Orthodontic Treatment of Anterior Open Bite. Int. J. Paediatr. Dent. 2008, 18, 78–83. [Google Scholar]
- Cozza, P.; Mucedero, M.; Baccetti, T.; Franchi, L. Early Orthodontic Treatment of Skeletal Open-Bite Malocclusion: A Systematic Review. Angle Orthod. 2005, 75, 707–713. [Google Scholar] [CrossRef]
- Ngan, P.; Wilson, S.; Florman, M.; Wei, S.H. Treatment of Class II Open Bite in the Mixed Dentition with a Removable Functional Appliance and Headgear. Quintessence Int. 1992, 23, 323–333. [Google Scholar]
- Chabre, C. Control of vertical dimension in the treatment of Class II malocclusion using a combined activator and extraoral traction appliance. Orthod. Fr. 1989, 60 Pt 2, 617–633. [Google Scholar]
- Pancherz, H. The Mandibular Plane Angle in Activator Treatment. Angle Orthod. 1979, 49, 11–20. [Google Scholar] [CrossRef] [PubMed]
- Coloccia, G.; Inchingolo, A.D.; Inchingolo, A.M.; Malcangi, G.; Montenegro, V.; Patano, A.; Marinelli, G.; Laudadio, C.; Limongelli, L.; Di Venere, D.; et al. Effectiveness of Dental and Maxillary Transverse Changes in Tooth-Borne, Bone-Borne, and Hybrid Palatal Expansion through Cone-Beam Tomography: A Systematic Review of the Literature. Medicina 2021, 57, 288. [Google Scholar] [CrossRef] [PubMed]
- Cardarelli, D.F. Il trattamento funzionale elastodontico con apparecchi AMCOP: Funzione, estetica e postura. Dent. Trib. 2019, 3, 23–25. [Google Scholar]
- Inchingolo, A.D.; Patano, A.; Coloccia, G.; Ceci, S.; Inchingolo, A.M.; Marinelli, G.; Malcangi, G.; Montenegro, V.; Laudadio, C.; Pede, C.D.; et al. The Efficacy of a New AMCOP® Elastodontic Protocol for Orthodontic Interceptive Treatment: A Case Series and Literature Overview. Int. J. Environ. Res. Public Health 2022, 19, 988. [Google Scholar] [CrossRef]
- Marinelli, G.; Inchingolo, A.D.; Inchingolo, A.M.; Malcangi, G.; Limongelli, L.; Montenegro, V.; Coloccia, G.; Laudadio, C.; Patano, A.; Inchingolo, F.; et al. White Spot Lesions in Orthodontics: Prevention and Treatment. A Descriptive Review. J. Biol. Regul. Homeost. Agents 2021, 35, 227–240. [Google Scholar] [CrossRef]
- Cardarelli, F.; Patano, A.; Montenegro, V.; Malcangi, G.; Coloccia, G.; Inchingolo, A.D.; Marinelli, G.; Laudadio, C.; Dipalma, G.; Di Venere, D.; et al. Elastodontic therapy un nuovo approccio alla terapia ortodontica funzionale. Il Dent. Mod. 2021, 10, 48–63. [Google Scholar]
- Steiner, C.C. The Use of Cephalometrics as an Aid to Planning and Assessing Orthodontic Treatment: Report of a Case. Am. J. Orthod. 1960, 46, 721–735. [Google Scholar] [CrossRef]
- Steiner, C.C. Cephalometrics in Clinical Practice. Angle Orthod. 1959, 29, 8–29. [Google Scholar] [CrossRef]
- Fernandez, C.C.A.; Pereira, C.V.C.A.; Luiz, R.R.; Vieira, A.R.; De Castro Costa, M. Dental Anomalies in Different Growth and Skeletal Malocclusion Patterns. Angle Orthod. 2018, 88, 195–201. [Google Scholar] [CrossRef]
- Riedel, R.A. An Analysis of Dentofacial Relationships. Am. J. Orthod. 1957, 43, 103–119. [Google Scholar] [CrossRef]
- Steiner, C.C. Cephalometrics for You and Me. Am. J. Orthod. 1953, 39, 729–755. [Google Scholar] [CrossRef]
- Brevi, B.; Di Blasio, A.; Di Blasio, C.; Piazza, F.; D’ascanio, L.; Sesenna, E. Which Cephalometric Analysis for Maxillo-Mandibular Surgery in Patients with Obstructive Sleep Apnoea Syndrome? Acta Otorhinolaryngol. Ital. 2015, 35, 332–337. [Google Scholar] [CrossRef] [PubMed]
- Fichera, G.; Martina, S.; Palazzo, G.; Musumeci, R.; Leonardi, R.; Isola, G.; Lo Giudice, A. New Materials for Orthodontic Interceptive Treatment in Primary to Late Mixed Dentition. A Retrospective Study Using Elastodontic Devices. Materials 2021, 14, 1695. [Google Scholar] [CrossRef] [PubMed]
- Ciavarella, D.; Campobasso, A.; Campa, R.; Suriano, C.; Illuzzi, G.; Cazzolla, A.P.; Tepedino, M. Cephalometric Effects of the Elastodontic Appliance in Managing Skeletal Class II Division 1 Cases. Australas. Orthod. J. 2021, 37, 251–258. [Google Scholar] [CrossRef]
- Keski-Nisula, K.; Keski-Nisula, L.; Salo, H.; Voipio, K.; Varrela, J. Dentofacial Changes after Orthodontic Intervention with Eruption Guidance Appliance in the Early Mixed Dentition. Angle Orthod. 2008, 78, 324–331. [Google Scholar] [CrossRef]
- Patano, A.; Cirulli, N.; Beretta, M.; Plantamura, P.; Inchingolo, A.D.; Inchingolo, A.M.; Bordea, I.R.; Malcangi, G.; Marinelli, G.; Scarano, A.; et al. Education Technology in Orthodontics and Paediatric Dentistry during the COVID-19 Pandemic: A Systematic Review. Int. J. Environ. Res. Public Health 2021, 18, 6056. [Google Scholar] [CrossRef]
- Anastasi, G.; Putrino, A. Cephalometric Evaluation of Mandibular Changes Following Orthodontic Treatment with Preformed Appliances on Class II Patients: A Meta-Analysis. WebmedCentral Orthod. 2014, 5, WMC004491. [Google Scholar]
- Keski-Nisula, K.; Keski-Nisula, L.; Varrela, J. Class II Treatment in Early Mixed Dentition with the Eruption Guidance Appliance: Effects and Long-Term Stability. Eur. J. Orthod. 2019, 42, 151–156. [Google Scholar] [CrossRef]
- Migliaccio, S.; Aprile, V.; Zicari, S.; Grenci, A. Eruption Guidance Appliance: A Review. Eur. J. Paediatr. Dent. 2014, 15, 163–166. [Google Scholar]
- Myrlund, R.; Dubland, M.; Keski-Nisula, K.; Kerosuo, H. One Year Treatment Effects of the Eruption Guidance Appliance in 7- to 8-Year-Old Children: A Randomized Clinical Trial. Eur. J. Orthod. 2015, 37, 128–134. [Google Scholar] [CrossRef]
- Janson, G.R.; Pereira, A.C.; Bergersen, E.O.; Henriques, J.F.; Pinzan, A.; de Almeida, R.R. Cephalometric Evaluation of the Eruption Guidance Appliance in Class II, Division 1 Treatment. J. Clin. Orthod. 1997, 31, 299–306. [Google Scholar] [PubMed]
- Janson, G.R.; da Silva, C.C.; Bergersen, E.O.; Henriques, J.F.; Pinzan, A. Eruption Guidance Appliance Effects in the Treatment of Class II, Division 1 Malocclusions. Am. J. Orthod. Dentofac. Orthop. 2000, 117, 119–129. [Google Scholar] [CrossRef]
- Dimonte, M.; Inchingolo, F.; Minonne, A.; Arditi, G.; Dipalma, G. Bone SPECT in Management of Mandibular Condyle Hyperplasia. Report of a Case and Review of Literature. Minerva Stomatol. 2004, 53, 281–285. [Google Scholar]
- Pearson, L.E. Vertical Control in Treatment of Patients Having Backward-Rotational Growth Tendencies. Angle Orthod. 1978, 48, 132–140. [Google Scholar] [CrossRef] [PubMed]
- Inchingolo, A.D.; Patano, A.; Coloccia, G.; Ceci, S.; Inchingolo, A.M.; Marinelli, G.; Malcangi, G.; Montenegro, V.; Laudadio, C.; Palmieri, G.; et al. Genetic Pattern, Orthodontic and Surgical Management of Multiple Supplementary Impacted Teeth in a Rare, Cleidocranial Dysplasia Patient: A Case Report. Medicina 2021, 57, 1350. [Google Scholar] [CrossRef]
- Schiavoni, R.; Grenga, V.; Macri, V. Treatment of Class II High Angle Malocclusions with the Herbst Appliance: A Cephalometric Investigation. Am. J. Orthod. Dentofac. Orthop. 1992, 102, 393–409. [Google Scholar] [CrossRef]
- Ramirez-Yañez, G.; Paulo, F. Early Treatment of a Class II, Division 2 Malocclusion with the Trainer for Kids (T4K): A Case Report. J. Clin. Pediatr. Dent. 2008, 32, 325–329. [Google Scholar] [CrossRef][Green Version]
- Fleming, P.S. Timing Orthodontic Treatment: Early or Late? Aust. Dent. J. 2017, 62, 11–19. [Google Scholar] [CrossRef]
- Kluemper, G.T.; Beeman, C.S.; Hicks, E.P. Early Orthodontic Treatment: What Are the Imperatives. J. Am. Dent. Assoc. 2000, 131, 613–620. [Google Scholar] [CrossRef]
- Corsalini, M.; Di Venere, D.; Sportelli, P.; Magazzino, D.; Ripa, M.; Cantatore, F.; Cagnetta, C.; Rinaldis, C.; Montemurro, N.; Giacomo, A.; et al. Evaluation of Prosthetic Quality and Masticatory Efficiency in Patients with Total Removable Prosthesis Study of 12 Cases. Oral Implantol. 2018, 11, 230–240. [Google Scholar]
- Stavridi, R.; Ahlgren, J. Muscle Response to the Oral-Screen Activator. An EMG Study of the Masseter, Buccinator, and Mentalis Muscles. Eur. J. Orthod. 1992, 14, 339–349. [Google Scholar] [CrossRef] [PubMed]
- Tallgren, A.; Christiansen, R.L.; Ash, M.; Miller, R.L. Effects of a Myofunctional Appliance on Orofacial Muscle Activity and Structures. Angle Orthod. 1998, 68, 249–258. [Google Scholar] [CrossRef] [PubMed]
- Yagci, A.; Uysal, T.; Kara, S.; Okkesim, S. The Effects of Myofunctional Appliance Treatment on the Perioral and Masticatory Muscles in Class II, Division 1 Patients. World J. Orthod. 2010, 11, 117–122. [Google Scholar] [PubMed]
- DI Venere, D.; Pettini, F.; Nardi, G.M.; Laforgia, A.; Stefanachi, G.; Notaro, V.; Rapone, B.; Grassi, F.R.; Corsalini, M. Correlation between Parodontal Indexes and Orthodontic Retainers: Prospective Study in a Group of 16 Patients. Oral Implant. 2017, 10, 78–86. [Google Scholar] [CrossRef]
- Di Venere, D.; Rapone, B.; Corsalini, M. Dental Trauma in the Anterior Sector: An Analysis of the Predisposing Factors in a Group of Orthodontic Patients. Clin. Ter. 2020, 171, e481–e485. [Google Scholar] [CrossRef]
- Battista, G.; Guida, L.; Avvanzo, P.; Mastrovincenzo, M.; Chimenti, C.; Muzio, L.L.; Ciavarella, D. Instrumental evaluation of angle Class II. Mondo Ortod. 2011, 36, 175–182. [Google Scholar] [CrossRef]
- Vanini, L.; Cardarelli, F.; D’arcangelo, C. Elastodonzia: La Bioortodonzia Con Funzione Posturale. Teamwork Clinic. 2021, 3, 60–76. [Google Scholar]
- Mani, P.; Muthukumar, K.; Krishnan, P.; Senthil Kumar, K.P. Upper and Lower Pharyngeal Airway Space in West-Tamil Nadu Population. J. Pharm. Bioallied Sci. 2015, 7, S539–S542. [Google Scholar] [CrossRef]
- Joseph, A.A.; Elbaum, J.; Cisneros, G.J.; Eisig, S.B. A Cephalometric Comparative Study of the Soft Tissue Airway Dimensions in Persons with Hyperdivergent and Normodivergent Facial Patterns. J. Oral Maxillofac. Surg. 1998, 56, 135–139. [Google Scholar] [CrossRef]
- Di Venere, D.; Corsalini, M.; Nardi, G.M.; Laforgia, A.; Grassi, F.R.; Rapone, B.; Pettini, F. Obstructive Site Localization in Patients with Obstructive Sleep Apnea Syndrome: A Comparison between Otolaryngologic Data and Cephalometric Values. Oral Implant. 2017, 10, 295–310. [Google Scholar] [CrossRef]
- Balian, A.; Malerba, A.; Strohmenger, L. Obstructive Sleep Apnea Syndrome (OSAS) Treated with Orthodontic Appliances in Children: A New Feasible Approach. Ann. Dent. Oral Disord. 2018, 1, 105. [Google Scholar]
- Grauer, D.; Cevidanes, L.S.H.; Styner, M.A.; Ackerman, J.L.; Proffit, W.R. Pharyngeal Airway Volume and Shape from Cone-Beam Computed Tomography: Relationship to Facial Morphology. Am. J. Orthod. Dentofac. Orthop. 2009, 136, 805–814. [Google Scholar] [CrossRef] [PubMed]
- Opdebeeck, H.; Bell, W.H.; Eisenfeld, J.; Mishelevich, D. Comparative Study between the SFS and LFS Rotation as a Possible Morphogenic Mechanism. Am. J. Orthod. 1978, 74, 509–521. [Google Scholar] [CrossRef]
- Ciavarella, D.; Lo Russo, L.; Mastrovincenzo, M.; Padalino, S.; Montaruli, G.; Giannatempo, G.; Cassano, M.; Laino, L.; Lo Muzio, L. Cephalometric Evaluation of Tongue Position and Airway Remodelling in Children Treated with Swallowing Occlusal Contact Intercept Appliance (S.O.C.I.A.). Int. J. Pediatr. Otorhinolaryngol. 2014, 78, 1857–1860. [Google Scholar] [CrossRef]







| Sagittal plane analysis: SNA (angle comprised between Sella–Nasion and Nasion point A segments) SNB (angle comprised between Sella–Nasion and Nasion point B segments) ANB (angle comprised between Nasion point A and Nasion point B segments) Vertical plane analysis: Sna-Snp^Go-Gn (intermaxillary angle, angle comprised between the bispinal plane and the mandibular plane) S-N^Go-Gn (mandibular angle, angle comprised between the Sella–Nasion segment and the mandibular plane) PFH/AFH (posterior facial height and anterior facial height ratio) Growth predictors: N-S-Ar (saddle angle comprised between Nasion–Sella and Sella–Articular segments) S-Ar-Go (articular angle comprised between Sella–Articular and Articular–Gonion segments) Ar-Go-Me (gonial angle comprised between Articular–Gonion and Gonion–Menton segments) Ar-Go-N (upper gonial angle comprised between Articular–Gonion and Gonion–Nasion segments) N-Go-Me (lower gonial angle comprised between Nasion–Gonion and Gonion–Menton) Dental analysis: Is:NA (maxillary incisor distance) Ii:NB (mandibular incisor distance) OVJ (overjet) OVB (overbite) IsIi: interincisal angle (angle between the major axis of the upper and lower incisors). Upper airway space analysis: SPAS: superior posterior airway space (distance between the soft palate and the posterior wall of the nasopharynx measured along a line parallel to Gonion–Menton (Go–Me) plane) MAS: medium airway space (distance between the lower tip of the soft palate and the posterior wall of the oropharynx measured on a line parallel to Go–Me plane) IAS Inferior Airway Space (distance between the lingual base along the mandibular Go-Me plane and the posterior wall of the pharynx) Mandible measurements Ar-Go (ramus height measured on Articular-Gonion segment) Go-Me (corpus length measured on Gonion-Menton) |
| T1–T0 | T-Value | p-Value | |
|---|---|---|---|
| Mean Differences | |||
| SNA | −0.04 | −0.0657 | 0.9484 |
| SNB | 2.17 | 3.7935 | 0.0015 * |
| ANB | −2.28 | −4.8857 | 0.0001 * |
| Sna–Snp^Go–Gn | −2.51 | −2.7185 | 0.0146 * |
| S–N^Go–Gn | −2.87 | −3.8090 | 0.0014 * |
| PFH/AFH | 3.09 | 4.4464 | 0.0004 * |
| N–S–Ar | −1.56 | −1.6658 | 0.1141 |
| S–Ar–Go | 1.34 | 0.7833 | 0.4442 |
| Ar-Go-Me | −3.13 | −2.6041 | 0.0185 * |
| N–Go–Me | −0.71 | −1.2368 | 0.2330 |
| Ar–Go–N | −1.64 | −1.7560 | 0.0971 |
| Ar–Go | 3.24 | 2.5629 | 0.0202 * |
| Go–Me | 2.91 | 1.6680 | 0.1136 |
| Is:NA | 0.58 | 1.1106 | 0.2822 |
| Ii:NB | 0.92 | 2.0856 | 0.0524 |
| OVJ | −2.64 | −4.7315 | 0.0002 * |
| OVB | 2.12 | 1.5256 | 0.1245 |
| INTERINCISAL ANGLE | 1.62 | 0.7162 | 0.4836 |
| SPAS | 2.21 | 2.9040 | 0.0099 * |
| MAS | 1.41 | 1.8718 | 0.0786 |
| IAS | 1.64 | 1.5728 | 0.1342 |
Publisher’s Note: MDPI stays neutral with regard to jurisdictional claims in published maps and institutional affiliations. |
© 2022 by the authors. Licensee MDPI, Basel, Switzerland. This article is an open access article distributed under the terms and conditions of the Creative Commons Attribution (CC BY) license (https://creativecommons.org/licenses/by/4.0/).
Share and Cite
Inchingolo, A.D.; Ceci, S.; Patano, A.; Inchingolo, A.M.; Montenegro, V.; Di Pede, C.; Malcangi, G.; Marinelli, G.; Coloccia, G.; Garibaldi, M.; et al. Elastodontic Therapy of Hyperdivergent Class II Patients Using AMCOP® Devices: A Retrospective Study. Appl. Sci. 2022, 12, 3259. https://doi.org/10.3390/app12073259
Inchingolo AD, Ceci S, Patano A, Inchingolo AM, Montenegro V, Di Pede C, Malcangi G, Marinelli G, Coloccia G, Garibaldi M, et al. Elastodontic Therapy of Hyperdivergent Class II Patients Using AMCOP® Devices: A Retrospective Study. Applied Sciences. 2022; 12(7):3259. https://doi.org/10.3390/app12073259
Chicago/Turabian StyleInchingolo, Alessio Danilo, Sabino Ceci, Assunta Patano, Angelo Michele Inchingolo, Valentina Montenegro, Chiara Di Pede, Giuseppina Malcangi, Grazia Marinelli, Giovanni Coloccia, Mariagrazia Garibaldi, and et al. 2022. "Elastodontic Therapy of Hyperdivergent Class II Patients Using AMCOP® Devices: A Retrospective Study" Applied Sciences 12, no. 7: 3259. https://doi.org/10.3390/app12073259
APA StyleInchingolo, A. D., Ceci, S., Patano, A., Inchingolo, A. M., Montenegro, V., Di Pede, C., Malcangi, G., Marinelli, G., Coloccia, G., Garibaldi, M., Kruti, Z., Palmieri, G., De Leonardis, N., Rapone, B., Mancini, A., Semjonova, A., Nucci, L., Bordea, I. R., Scarano, A., ... Dipalma, G. (2022). Elastodontic Therapy of Hyperdivergent Class II Patients Using AMCOP® Devices: A Retrospective Study. Applied Sciences, 12(7), 3259. https://doi.org/10.3390/app12073259

