Pneumonia Detection on Chest X-ray Images Using Ensemble of Deep Convolutional Neural Networks
Abstract
:1. Introduction
- We suggested an ensemble method that uses forecasts from multiple CNN models to improve the classification results.
- Instead of training a CNN model from scratch, we looked at appropriate transfer learning and fine-tuning methods.
- The architecture of the proposed ensemble learning method is improved by using a batch normalization layer and a dropout layer.
- A comprehensive analysis of the developed method is compared with different state-of-the-art approaches using a real-world data set.
2. Related Works
3. Methodology
3.1. Deep Convolutional Neural Networks (DCNN) Models
3.1.1. MobileNet
3.1.2. DenseNet
3.1.3. Vision Transformer (VIT)
3.2. Proposed EL Method
4. Experimental Study
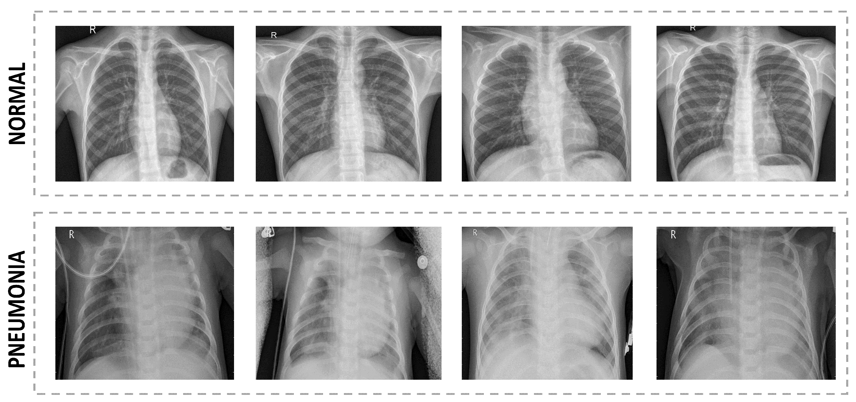
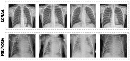
4.1. Data Set Description
4.2. Evaluation Metrics
4.3. Results and Analysis
4.4. Compared Methods
- Madani et al. [53] examined using Generative Adversarial Networks (GANs) to enrich a data set by producing chest X-ray data samples. GANs offer a method to learn about the underlying architecture of medical images, which can subsequently be used to make high-quality realistic samples.
- Kermany et al. [43] used transfer learning, which allows them to learn a neural network with a portion of the data required by traditional methods. They also made the diagnosis more transparent and understandable by highlighting the neural network’s known areas.
- Ayan and Ünver [31] employed two well-known CNN approaches, Xception and Vgg16. In the learning phase, they employed transfer learning and fine-tuning.
- Stephen et al. [28] proposed a CNN-based method. Unlike other methods based solely on transfer learning or traditional handcrafted techniques, they trained the CNN model from scratch to extract attributes from a given chest X-ray image to achieve remarkable classification performance. They used it to determine if a person was infected with pneumonia or not.
- Liang and Zheng [36] performed pneumonia detection with a CNN model architecture using residual connections and dilated convolution methods. They also discovered the transfer learning effect on CNN models when classifying chest X-ray images.
- Salehi et al. [54] proposed an automatic transfer-learning method based on CNN’s using DenseNet121 pretrained concepts.
5. Conclusions
Author Contributions
Funding
Institutional Review Board Statement
Informed Consent Statement
Data Availability Statement
Conflicts of Interest
References
- Ortiz-Toro, C.; García-Pedrero, A.; Lillo-Saavedra, M.; Gonzalo-Martín, C. Automatic pneumonia detection in chest X-ray images using textural features. Comput. Biol. Med. 2022, 145, 105466. [Google Scholar] [CrossRef]
- Ben Atitallah, S.; Driss, M.; Boulila, W.; Koubaa, A.; Ben Ghezala, H. Fusion of convolutional neural networks based on Dempster–Shafer theory for automatic pneumonia detection from chest X-ray images. Int. J. Imaging Syst. Technol. 2022, 32, 658–672. [Google Scholar] [CrossRef]
- Wang, L.; Wang, H.; Huang, Y.; Yan, B.; Chang, Z.; Liu, Z.; Zhao, M.; Cui, L.; Song, J.; Li, F. Trends in the application of deep learning networks in medical image analysis: Evolution between 2012 and 2020. Eur. J. Radiol. 2022, 146, 110069. [Google Scholar] [CrossRef]
- Singhal, A.; Phogat, M.; Kumar, D.; Kumar, A.; Dahiya, M.; Shrivastava, V.K. Study of deep learning techniques for medical image analysis: A review. Mater. Today Proc. 2022, 56, 209–214. [Google Scholar] [CrossRef]
- Iori, M.; Di Castelnuovo, C.; Verzellesi, L.; Meglioli, G.; Lippolis, D.G.; Nitrosi, A.; Monelli, F.; Besutti, G.; Trojani, V.; Bertolini, M.; et al. Mortality prediction of COVID-19 patients using radiomic and neural network features extracted from a wide chest X-ray sample size: A robust approach for different medical imbalanced scenarios. Appl. Sci. 2022, 12, 3903. [Google Scholar] [CrossRef]
- Salahuddin, Z.; Woodruff, H.C.; Chatterjee, A.; Lambin, P. Transparency of deep neural networks for medical image analysis: A review of interpretability methods. Comput. Biol. Med. 2022, 140, 105111. [Google Scholar] [CrossRef]
- Kale, S.P.; Patil, J.; Kshirsagar, A.; Bendre, V. Early Lungs Tuberculosis Detection Using Deep Learning. In Intelligent Sustainable Systems; Springer: New York, NY, USA, 2022; pp. 287–294. [Google Scholar]
- Bellens, S.; Probst, G.M.; Janssens, M.; Vandewalle, P.; Dewulf, W. Evaluating conventional and deep learning segmentation for fast X-ray CT porosity measurements of polymer laser sintered AM parts. Polym. Test. 2022, 110, 107540. [Google Scholar] [CrossRef]
- Zhang, L.; Mueller, R. Large-scale recognition of natural landmarks with deep learning based on biomimetic sonar echoes. Bioinspir. Biomimetics 2022, 17, 026011. [Google Scholar] [CrossRef]
- Le Dinh, T.; Lee, S.H.; Kwon, S.G.; Kwon, K.R. COVID-19 Chest X-ray Classification and Severity Assessment Using Convolutional and Transformer Neural Networks. Appl. Sci. 2022, 12, 4861. [Google Scholar] [CrossRef]
- Sajun, A.R.; Zualkernan, I.; Sankalpa, D. Investigating the Performance of FixMatch for COVID-19 Detection in Chest X-rays. Appl. Sci. 2022, 12, 4694. [Google Scholar] [CrossRef]
- Furtado, A.; Andrade, L.; Frias, D.; Maia, T.; Badaró, R.; Nascimento, E.G.S. Deep Learning Applied to Chest Radiograph Classification—A COVID-19 Pneumonia Experience. Appl. Sci. 2022, 12, 3712. [Google Scholar] [CrossRef]
- Malhotra, P.; Gupta, S.; Koundal, D.; Zaguia, A.; Kaur, M.; Lee, H.N. Deep Learning-Based Computer-Aided Pneumothorax Detection Using Chest X-ray Images. Sensors 2022, 22, 2278. [Google Scholar] [CrossRef]
- Abd Elaziz, M.; Mabrouk, A.; Dahou, A.; Chelloug, S.A. Medical Image Classification Utilizing Ensemble Learning and Levy Flight-Based Honey Badger Algorithm on 6G-Enabled Internet of Things. Comput. Intell. Neurosci. 2022, 2022, 5830766. [Google Scholar] [CrossRef]
- Adel, H.; Dahou, A.; Mabrouk, A.; Abd Elaziz, M.; Kayed, M.; El-Henawy, I.M.; Alshathri, S.; Amin Ali, A. Improving Crisis Events Detection Using DistilBERT with Hunger Games Search Algorithm. Mathematics 2022, 10, 447. [Google Scholar] [CrossRef]
- Niu, S.; Liu, M.; Liu, Y.; Wang, J.; Song, H. Distant domain transfer learning for medical imaging. IEEE J. Biomed. Health Inform. 2021, 25, 3784–3793. [Google Scholar] [CrossRef]
- Lee, H.C.; Aqil, A.F. Combination of Transfer Learning Methods for Kidney Glomeruli Image Classification. Appl. Sci. 2022, 12, 1040. [Google Scholar] [CrossRef]
- Mabrouk, A.; Redondo, R.P.D.; Kayed, M. SEOpinion: Summarization and Exploration of Opinion from E-Commerce Websites. Sensors 2021, 21, 636. [Google Scholar] [CrossRef]
- Chandrasekaran, G.; Antoanela, N.; Andrei, G.; Monica, C.; Hemanth, J. Visual Sentiment Analysis Using Deep Learning Models with Social Media Data. Appl. Sci. 2022, 12, 1030. [Google Scholar] [CrossRef]
- Mabrouk, A.; Redondo, R.P.D.; Kayed, M. Deep learning-based sentiment classification: A comparative survey. IEEE Access 2020, 8, 85616–85638. [Google Scholar] [CrossRef]
- Howard, A.G.; Zhu, M.; Chen, B.; Kalenichenko, D.; Wang, W.; Weyand, T.; Andreetto, M.; Adam, H. Mobilenets: Efficient convolutional neural networks for mobile vision applications. arXiv 2017, arXiv:1704.04861. [Google Scholar]
- Iandola, F.; Moskewicz, M.; Karayev, S.; Girshick, R.; Darrell, T.; Keutzer, K. Densenet: Implementing efficient convnet descriptor pyramids. arXiv 2014, arXiv:1404.1869. [Google Scholar]
- Dosovitskiy, A.; Beyer, L.; Kolesnikov, A.; Weissenborn, D.; Zhai, X.; Unterthiner, T.; Dehghani, M.; Minderer, M.; Heigold, G.; Gelly, S.; et al. An image is worth 16 × 16 words: Transformers for image recognition at scale. arXiv 2020, arXiv:2010.11929. [Google Scholar]
- Maselli, G.; Bertamino, E.; Capalbo, C.; Mancini, R.; Orsi, G.; Napoli, C.; Napoli, C. Hierarchical convolutional models for automatic pneu-monia diagnosis based on X-ray images: New strategies in public health. Ann. IG 2021, 33, 644–655. [Google Scholar]
- Han, K.; Wang, Y.; Chen, H.; Chen, X.; Guo, J.; Liu, Z.; Tang, Y.; Xiao, A.; Xu, C.; Xu, Y.; et al. A survey on vision transformer. IEEE Trans. Pattern Anal. Mach. Intell. 2022. [Google Scholar] [CrossRef]
- Ayan, E.; Karabulut, B.; Ünver, H.M. Diagnosis of Pediatric Pneumonia with Ensemble of Deep Convolutional Neural Networks in Chest X-ray Images. Arab. J. Sci. Eng. 2022, 47, 2123–2139. [Google Scholar] [CrossRef]
- Rajpurkar, P.; Irvin, J.; Zhu, K.; Yang, B.; Mehta, H.; Duan, T.; Ding, D.; Bagul, A.; Langlotz, C.; Shpanskaya, K.; et al. Chexnet: Radiologist-level pneumonia detection on chest x-rays with deep learning. arXiv 2017, arXiv:1711.05225. [Google Scholar]
- Stephen, O.; Sain, M.; Maduh, U.J.; Jeong, D.U. An efficient deep learning approach to pneumonia classification in healthcare. J. Healthc. Eng. 2019, 2019, 4180949. [Google Scholar] [CrossRef] [Green Version]
- Wu, H.; Xie, P.; Zhang, H.; Li, D.; Cheng, M. Predict pneumonia with chest X-ray images based on convolutional deep neural learning networks. J. Intell. Fuzzy Syst. 2020, 39, 2893–2907. [Google Scholar] [CrossRef]
- Cheplygina, V.; de Bruijne, M.; Pluim, J.P. Not-so-supervised: A survey of semi-supervised, multi-instance, and transfer learning in medical image analysis. Med Image Anal. 2019, 54, 280–296. [Google Scholar] [CrossRef] [Green Version]
- Ayan, E.; Ünver, H.M. Diagnosis of pneumonia from chest X-ray images using deep learning. In Proceedings of the 2019 IEEE Scientific Meeting on Electrical-Electronics & Biomedical Engineering and Computer Science (EBBT), Istanbul, Turkey, 24–26 April 2019; pp. 1–5. [Google Scholar]
- Chouhan, V.; Singh, S.K.; Khamparia, A.; Gupta, D.; Tiwari, P.; Moreira, C.; Damaševičius, R.; De Albuquerque, V.H.C. A novel transfer learning based approach for pneumonia detection in chest X-ray images. Appl. Sci. 2020, 10, 559. [Google Scholar] [CrossRef] [Green Version]
- Rahman, T.; Chowdhury, M.E.; Khandakar, A.; Islam, K.R.; Islam, K.F.; Mahbub, Z.B.; Kadir, M.A.; Kashem, S. Transfer learning with deep convolutional neural network (CNN) for pneumonia detection using chest X-ray. Appl. Sci. 2020, 10, 3233. [Google Scholar] [CrossRef]
- Toğaçar, M.; Ergen, B.; Cömert, Z.; Özyurt, F. A deep feature learning model for pneumonia detection applying a combination of mRMR feature selection and machine learning models. IRBM 2020, 41, 212–222. [Google Scholar] [CrossRef]
- Mittal, A.; Kumar, D.; Mittal, M.; Saba, T.; Abunadi, I.; Rehman, A.; Roy, S. Detecting pneumonia using convolutions and dynamic capsule routing for chest X-ray images. Sensors 2020, 20, 1068. [Google Scholar] [CrossRef] [Green Version]
- Liang, G.; Zheng, L. A transfer learning method with deep residual network for pediatric pneumonia diagnosis. Comput. Methods Programs Biomed. 2020, 187, 104964. [Google Scholar] [CrossRef]
- Chen, Y.; Fan, H.; Xu, B.; Yan, Z.; Kalantidis, Y.; Rohrbach, M.; Yan, S.; Feng, J. Drop an octave: Reducing spatial redundancy in convolutional neural networks with octave convolution. In Proceedings of the IEEE/CVF International Conference on Computer Vision, Seoul, Korea, 27–28 October 2019; pp. 3435–3444. [Google Scholar]
- Li, P.; Yang, Y.; Grosu, R.; Wang, G.; Li, R.; Wu, Y.; Huang, Z. Driver Distraction Detection Using Octave-Like Convolutional Neural Network. IEEE Trans. Intell. Transp. Syst. 2021. [Google Scholar] [CrossRef]
- das Neves, R.B.; Verçosa, L.F.; Macêdo, D.; Bezerra, B.L.D.; Zanchettin, C. A fast fully octave convolutional neural network for document image segmentation. In Proceedings of the 2020 IEEE International Joint Conference on Neural Networks (IJCNN), Glasgow, UK, 18–23 June 2020; pp. 1–6. [Google Scholar]
- Wang, B.; Yang, J.; Ai, J.; Luo, N.; An, L.; Feng, H.; Yang, B.; You, Z. Accurate tumor segmentation via octave convolution neural network. Front. Med. 2021, 8, 501. [Google Scholar] [CrossRef]
- Mahmoudi, R.; Benameur, N.; Mabrouk, R.; Mohammed, M.A.; Garcia-Zapirain, B.; Bedoui, M.H. A Deep Learning-Based Diagnosis System for COVID-19 Detection and Pneumonia Screening Using CT Imaging. Appl. Sci. 2022, 12, 4825. [Google Scholar] [CrossRef]
- Chen, P.Y.; Zhang, X.H.; Wu, J.X.; Pai, C.C.; Hsu, J.C.; Lin, C.H.; Pai, N.S. Automatic Breast Tumor Screening of Mammographic Images with Optimal Convolutional Neural Network. Appl. Sci. 2022, 12, 4079. [Google Scholar] [CrossRef]
- Kermany, D.S.; Goldbaum, M.; Cai, W.; Valentim, C.C.; Liang, H.; Baxter, S.L.; McKeown, A.; Yang, G.; Wu, X.; Yan, F.; et al. Identifying medical diagnoses and treatable diseases by image-based deep learning. Cell 2018, 172, 1122–1131. [Google Scholar] [CrossRef]
- Rajaraman, S.; Candemir, S.; Kim, I.; Thoma, G.; Antani, S. Visualization and interpretation of convolutional neural network predictions in detecting pneumonia in pediatric chest radiographs. Appl. Sci. 2018, 8, 1715. [Google Scholar] [CrossRef] [Green Version]
- Ali, R.; Chuah, J.H.; Talip, M.S.A.; Mokhtar, N.; Shoaib, M.A. Structural crack detection using deep convolutional neural networks. Autom. Constr. 2022, 133, 103989. [Google Scholar] [CrossRef]
- Huang, G.; Liu, Z.; Van Der Maaten, L.; Weinberger, K.Q. Densely connected convolutional networks. In Proceedings of the IEEE Conference on Computer Vision and Pattern Recognition, Honolulu, HI, USA, 21–26 July 2017; pp. 4700–4708. [Google Scholar]
- Rahman, Z.; Hossain, M.S.; Islam, M.R.; Hasan, M.M.; Hridhee, R.A. An approach for multiclass skin lesion classification based on ensemble learning. Inform. Med. Unlocked 2021, 25, 100659. [Google Scholar] [CrossRef]
- Gupta, K.D.; Sharma, D.K.; Ahmed, S.; Gupta, H.; Gupta, D.; Hsu, C.H. A Novel Lightweight Deep Learning-Based Histopathological Image Classification Model for IoMT. Neural Process. Lett. 2021, 1–24. [Google Scholar] [CrossRef]
- Kassani, S.H.; Kassani, P.H.; Wesolowski, M.J.; Schneider, K.A.; Deters, R. Classification of histopathological biopsy images using ensemble of deep learning networks. arXiv 2019, arXiv:1909.11870. [Google Scholar]
- Li, Y.; Zhang, K.; Cao, J.; Timofte, R.; Van Gool, L. Localvit: Bringing locality to vision transformers. arXiv 2021, arXiv:2104.05707. [Google Scholar]
- He, K.; Zhang, X.; Ren, S.; Sun, J. Deep residual learning for image recognition. In Proceedings of the IEEE Conference on Computer Vision and Pattern Recognition, Las Vegas, NV, USA, 27–30 June 2016; pp. 770–778. [Google Scholar]
- Pérez, E.; Ventura, S. An ensemble-based convolutional neural network model powered by a genetic algorithm for melanoma diagnosis. Neural Comput. Appl. 2021, 1–20. [Google Scholar] [CrossRef]
- Madani, A.; Moradi, M.; Karargyris, A.; Syeda-Mahmood, T. Chest x-ray generation and data augmentation for cardiovascular abnormality classification. In Proceedings of the Medical Imaging 2018: Image Processing, Houston, TX, USA, 11–13 February 2018; Volume 10574, p. 105741M. [Google Scholar]
- Salehi, M.; Mohammadi, R.; Ghaffari, H.; Sadighi, N.; Reiazi, R. Automated detection of pneumonia cases using deep transfer learning with paediatric chest X-ray images. Br. J. Radiol. 2021, 94, 20201263. [Google Scholar] [CrossRef]




| Model | Precision | Recall | F1-Score | Accuracy |
|---|---|---|---|---|
| Xception | 0.7971 | 0.7676 | 0.7713 | 0.7676 |
| VGG16 | 0.8126 | 0.8103 | 0.8087 | 0.8103 |
| MobileNetV2 | 0.9003 | 0.9073 | 0.9034 | 0.9087 |
| InceptionV3 | 0.8897 | 0.8871 | 0.8854 | 0.8871 |
| ResNet50 | 0.8233 | 0.8222 | 0.8226 | 0.8222 |
| DenseNet169 | 0.9133 | 0.9009 | 0.9063 | 0.9135 |
| ResNet152V2 | 0.8702 | 0.8687 | 0.8673 | 0.8687 |
| DenseNet121 | 0.8927 | 0.8922 | 0.8911 | 0.8922 |
| VIT | 0.9245 | 0.9247 | 0.9244 | 0.9247 |
| Model | Precision (%) | Recall (%) | F1-score (%) | Accuracy (%) |
|---|---|---|---|---|
| DenseNet169 | 91.33 | 90.09 | 90.63 | 91.35 |
| MobileNetV2 | 90.03 | 90.73 | 90.34 | 90.87 |
| VIT | 92.45 | 92.47 | 92.44 | 92.47 |
| EL (Our) | 93.96 | 92.99 | 93.43 | 93.91 |
| Method/Ref. | Accuracy (%) | Year |
|---|---|---|
| DCGAN/[53] | 84.19 | 2018 |
| [43] | 92.80 | 2018 |
| VGG16/[31] | 87.00 | 2019 |
| [28] | 93.73 | 2019 |
| [36] | 90.50 | 2020 |
| DenseNet121/[54] | 86.80 | 2021 |
| EL/Our | 93.91 | 2022 |
Publisher’s Note: MDPI stays neutral with regard to jurisdictional claims in published maps and institutional affiliations. |
© 2022 by the authors. Licensee MDPI, Basel, Switzerland. This article is an open access article distributed under the terms and conditions of the Creative Commons Attribution (CC BY) license (https://creativecommons.org/licenses/by/4.0/).
Share and Cite
Mabrouk, A.; Díaz Redondo, R.P.; Dahou, A.; Abd Elaziz, M.; Kayed, M. Pneumonia Detection on Chest X-ray Images Using Ensemble of Deep Convolutional Neural Networks. Appl. Sci. 2022, 12, 6448. https://doi.org/10.3390/app12136448
Mabrouk A, Díaz Redondo RP, Dahou A, Abd Elaziz M, Kayed M. Pneumonia Detection on Chest X-ray Images Using Ensemble of Deep Convolutional Neural Networks. Applied Sciences. 2022; 12(13):6448. https://doi.org/10.3390/app12136448
Chicago/Turabian StyleMabrouk, Alhassan, Rebeca P. Díaz Redondo, Abdelghani Dahou, Mohamed Abd Elaziz, and Mohammed Kayed. 2022. "Pneumonia Detection on Chest X-ray Images Using Ensemble of Deep Convolutional Neural Networks" Applied Sciences 12, no. 13: 6448. https://doi.org/10.3390/app12136448
APA StyleMabrouk, A., Díaz Redondo, R. P., Dahou, A., Abd Elaziz, M., & Kayed, M. (2022). Pneumonia Detection on Chest X-ray Images Using Ensemble of Deep Convolutional Neural Networks. Applied Sciences, 12(13), 6448. https://doi.org/10.3390/app12136448

