Could Fibrin Sealants (TISSEELTM) Be Effective in the Management of Burn Injuries? A Histopathological Study in Rats
Abstract
1. Introduction
2. Materials and Methods
2.1. Ethical Approval
2.2. Animal Care and Conditions
2.3. Fibrin Sealant
2.4. Experimental Protocol and Surgical Procedure
2.5. Pilot Experiment and Procedure Standardization
2.6. Histopathological Analysis
2.7. Statistical Analysis
3. Results
3.1. Animal Characteristics
3.2. Postoperative Outcomes
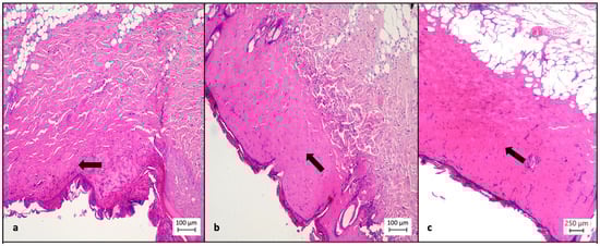
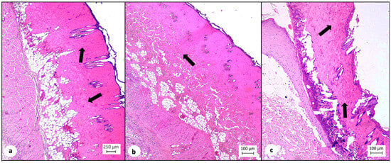
3.3. Histopathological Assessment
4. Discussion
5. Conclusions
Author Contributions
Funding
Institutional Review Board Statement
Informed Consent Statement
Data Availability Statement
Conflicts of Interest
References
- Miller, R.; Wormald, J.C.R.; Wade, R.G.; Collins, D.P. Systematic review of fibrin glue in burn wound reconstruction. Br. J. Surg. 2019, 106, 165–173. [Google Scholar] [CrossRef] [PubMed]
- Hop, M.J.; Polinder, S.; van der Vlies, C.H.; Middelkoop, E.; van Baar, M.E. Costs of burn care: A systematic review. Wound Repair Regen. 2014, 22, 436–450. [Google Scholar] [CrossRef] [PubMed]
- Guest, J.F.; Fuller, G.W.; Edwards, J. Cohort study evaluating management of burns in the community in clinical practice in the UK: Costs and outcomes. BMJ Open 2020, 10, e035345. [Google Scholar] [CrossRef]
- Kruger, E.; Kowal, S.; Bilir, S.P.; Han, E.; Foster, K. Relationship Between Patient Characteristics and Number of Procedures as well as Length of Stay for Patients Surviving Severe Burn Injuries: Analysis of the American Burn Association National Burn Repository. J. Burn Care Res. 2020, 41, 1037–1044. [Google Scholar] [CrossRef] [PubMed]
- Chukamei, Z.G.; Mobayen, M.; Toolaroud, P.B.; Ghalandari, M.; Delavari, S. The length of stay and cost of burn patients and the affecting factors. Int. J. Burn. Trauma 2021, 11, 397–405. [Google Scholar]
- Brusselaers, N.; Monstrey, S.; Vogelaers, D.; Hoste, E.; Blot, S. Severe burn injury in europe: A systematic review of the incidence, etiology, morbidity, and mortality. Crit. Care 2010, 14, R188. [Google Scholar] [CrossRef]
- Christofides, C.; Moore, R.; Nel, M. Baux score as a predictor of mortality at the CHBAH adult burns unit. J. Surg. Res. 2020, 251, 53–62. [Google Scholar] [CrossRef]
- Niazi, Z.; Essex, T.; Papini, R.; Scott, D.; McLean, N.; Black, M. New laser Doppler scanner, a valuable adjunct in burn depth assessment. Burns 1993, 19, 485–489. [Google Scholar] [CrossRef]
- Branski, L.K.; Mittermayr, R.; Herndon, D.N.; Jeschke, M.G.; Hofmann, M.; Masters, O.E.; Norbury, W.B.; Traber, D.L.; Tangl, S.; Redl, H. Fibrin sealant improves graft adherence in a porcine full-thickness burn wound model. Burns 2011, 37, 1360–1366. [Google Scholar] [CrossRef]
- Papini, R. Management of burn injuries of various depths. BMJ 2004, 329, 158–160. [Google Scholar] [CrossRef]
- Koenig, Z.A.; Henderson, J.T.; Meaike, J.D.; Gelman, J.J. Challenges in Rural Plastic Surgery: Availability, Scope of Practice, and Motivating Factors. Curr. Probl. Surg. 2024, 61, 101440. [Google Scholar] [CrossRef] [PubMed]
- Mittermayr, R.; Wassermann, E.; Thurnher, M.; Simunek, M.; Redl, H. Skin graft fixation by slow clotting fibrin sealant applied as a thin layer. Burns 2006, 32, 305–311. [Google Scholar] [CrossRef] [PubMed]
- Chapin, J.C.; Hajjar, K.A. Fibrinolysis and the control of blood coagulation. Blood Rev. 2015, 29, 17–24. [Google Scholar] [CrossRef] [PubMed]
- Tsukamoto, A.; Niino, N.; Sakamoto, M.; Ohtani, R.; Inomata, T. The validity of anesthetic protocols for the surgical procedure of castration in rats. Exp. Anim. 2018, 67, 329–336. [Google Scholar] [CrossRef]
- Cai, E.Z.; Ang, C.H.; Raju, A.; Tan, K.B.; Hing, E.C.H.; Loo, Y.; Wong, Y.C.; Lee, H.; Lim, J.; Moochhala, S.M.; et al. Creation of consistent burn wounds: A rat model. Arch. Plast. Surg. 2014, 41, 317–324. [Google Scholar] [CrossRef]
- Pereira, D.d.S.T.; Lima-Ribeiro, M.H.M.; de Pontes-Filho, N.T.; Carneiro-Leão, A.M.d.A.; Correia, M.T.d.S. Development of animal model for studying deep second-degree thermal burns. J. Biomed. Biotechnol. 2012, 2012, 460841. [Google Scholar]
- Gupta, A.; Kumar, P. Assessment of the histological state of the healing wound. Plast. Aesthetic Res. 2015, 2, 239–242. [Google Scholar] [CrossRef]
- Gorgulu, T.; Olgun, A.; Torun, M.; Kargi, E. Application of N-Butyl Cyanoacrylate to Split-Thickness Skin Grafts in Rats: An Experimental Study. Dermatol. Surg. 2015, 41, 1024–1029. [Google Scholar] [CrossRef]
- Yuan, Z.; Wang, Y.; Li, Y.; Lin, C.; Wang, S.; Wang, J.; Ma, C.; Wu, S. Comparison of Leukocyte-Rich and Leukocyte-Poor Platelet-Rich Plasma on Pressure Ulcer in a Rat Model. J. Burn Care Res. 2023, 44, 860–868. [Google Scholar] [CrossRef]
- Greenhalgh, D.; Sprugel, K.; Murray, M.; Ross, R. PDGF and FGF stimulate wound-healing in the genetically diabetic mouse. Am. J. Pathol. 1990, 136, 1235–1246. [Google Scholar]
- Cheng, F.; Shen, Y.; Mohanasundaram, P.; Lindstrom, M.; Ivaska, J.; Ny, T.; Eriksson, J.E. Vimentin coordinates fibroblast proliferation and keratinocyte differentiation in wound healing via TGF-beta-Slug signaling. Proc. Natl. Acad. Sci. USA 2016, 113, E4320–E4327. [Google Scholar] [CrossRef] [PubMed]
- Wang, D.; Stockard, C.R.; Harkins, L.; Lott, P.; Salih, C.; Yuan, K.; Buchsbaum, D.; Hashim, A.; Zayzafoon, M.; Hardy, R.W.; et al. Immunohistochemistry in the evaluation of neovascularization in tumor xenografts. Biotech. Histochem. 2008, 83, 179–189. [Google Scholar] [CrossRef] [PubMed]
- Abramov, Y.; Golden, B.; Sullivan, M.; Botros, S.M.; Miller, J.J.; Alshahrour, A.; Goldberg, R.P.; Sand, P.K. Histologic characterization of vaginal vs. abdominal surgical wound healing in a rabbit model. Wound Repair. Regen. 2007, 15, 80–86. [Google Scholar] [CrossRef] [PubMed]
- Chan, J.K.C. The Wonderful Colors of the Hematoxylin–Eosin Stain in Diagnostic Surgical Pathology. Int. J. Surg. Pathol. 2014, 22, 12–32. [Google Scholar] [CrossRef]
- Yiran, Z.; Rita, H.; Anna, R.; Rudolph, R.; Sabrina, R.; Xin, M.T. Post hoc power analysis: Is it an informative and meaningful analysis? Gen. Psychiatry 2019, 32, e100069. [Google Scholar]
- Landén, N.X.; Li, D.; Ståhle, M. Transition from inflammation to proliferation: A critical step during wound healing. Cell. Mol. Life Sci. 2016, 73, 3861–3885. [Google Scholar] [CrossRef]
- Lin, H.J.; Hsieh, Y.H.; Tseng, G.Y.; Perng, C.L.; Chang, F.Y.; Lee, S.D. Endoscopic injection with fibrin sealant versus epinephrine for arrest of peptic ulcer bleeding: A randomized, comparative trial. J. Clin. Gastroenterol. 2002, 35, 218–221. [Google Scholar] [CrossRef]
- Stergios, K.; Frountzas, M.; Pergialiotis, V.; Korou, L.M.; Kontzoglou, K.; Stefanidis, K.; Nikiteas, N.; Perrea, D.N.; Vaos, G. The Effect of TISSEEL(R) on Colorectal Anastomosis Healing Process in a Diabetic Animal Experimental Model. In Vivo 2020, 34, 659–665. [Google Scholar] [CrossRef]
- Frountzas, M.; Pergialiotis, V.; Stergios, K.; Nikolaou, C.; Katafygiotis, P.; Lazaris, A.C.; Schizas, D.; Perrea, D.N.; Nikiteas, N.; Toutouzas, K.G. The Effect of TISSEELTM on Confined Bowel Perforation: An Experimental Study. Eur. Surg. Res. 2021, 62, 151–160. [Google Scholar] [CrossRef]
- Chittoria, R.K.; Reddy, K.S.; Babu, P.; Marimuthu, S.K.; Kumar, S.H.; Subbarayan, E.K.; Chavan, V.; Mohapatra, D.P.; Sivakumar, D.K.; Friji, M. Effectiveness of Fibrin Glue in Adherence of Skin Graft. J. Cutan. Aesthetic Surg. 2017, 10, 72–75. [Google Scholar] [CrossRef]
- Vedung, S.; Hedlung, A. Fibrin glue: Its use for skin grafting of contaminated burn wounds in areas difficult to immobilize. J. Burn Care Rehabil. 1993, 14, 356–358. [Google Scholar] [CrossRef] [PubMed]
- Nervi, C.; Gamelli, R.L.; Greenhalgh, D.G.; Luterman, A.; Hansbrough, J.F.; Achauer, B.M.; Gomperts, E.D.; Lee, M.; Navalta, L.; Cruciani, T.R. A multicenter clinical trial to evaluate the topical hemostatic efficacy of fibrin sealant in burn patients. J. Burn Care Rehabil. 2001, 22, 99–103. [Google Scholar] [CrossRef] [PubMed]
- Loor, M.M.; Truong, A.-T.; Kowal-Vern, A.; Latenser, B.; Wiley, D.; Walter, R. Neovascularization during healing of wounds treated with dermal substitutes and fibrin glue in nude mice. J. Am. Coll. Surg. 2004, 199, 63–64. [Google Scholar] [CrossRef]
- Mulder, P.P.; Vlig, M.; Fasse, E.; Stoop, M.M.; Pijpe, A.; van Zuijlen, P.P.; Joosten, I.; Boekema, B.K.; Koenen, H.J. Burn-injured skin is marked by a prolonged local acute inflammatory response of innate immune cells and pro-inflammatory cytokines. Front. Immunol. 2022, 13, 1034420. [Google Scholar] [CrossRef]
- Korkmaz, H.I.; Flokstra, G.; Waasdorp, M.; Pijpe, A.; Papendorp, S.G.; de Jong, E.; Rustemeyer, T.; Gibbs, S.; van Zuijlen, P.P.M. The Complexity of the Post-Burn Immune Response: An Overview of the Associated Local and Systemic Complications. Cells 2023, 12, 345. [Google Scholar] [CrossRef]






| Inflammation Grading | ||
|---|---|---|
| Leucocyte Infiltration | Mild: <30% | 1 |
| Moderate: 30–60% | 2 | |
| Marked: >60%; dense infiltration | 3 | |
| Fibrosis Assessment | ||
|---|---|---|
| Fibroblastic Proliferation | 0–40% of wound | 1 |
| 40–80% of wound | 2 | |
| >80% of wound | 3 | |
| Grading Scale for Neovascularization | ||
|---|---|---|
| Neovascularization | None | 1 |
| 1–5 vessels | 2 | |
| 6–10 vessels | 3 | |
| >10 vessels | 4 | |
| Tissue Healing | ||
|---|---|---|
| Matrix deposition | Focal around capillaries | 1 |
| Moderate in repair tissue | 2 | |
| Dominant | 3 | |
| Histologic Parameters | Group 1 CONTROL | Group 2 SYLFIO | Group 3 TISSEELTM | p-Value | |
|---|---|---|---|---|---|
| 1 vs. 2 vs. 3 | 3 vs. 1 & 2 | ||||
| Inflammation (Leukocyte infiltration) | |||||
| Mild (≤30%) | 6 | 3 | 0 | p = 0.009 | p = 0.012 |
| Moderate (30–60%) | 1 | 5 | 4 | ||
| Marked (≥60%) | 1 | 2 | 6 | ||
| Fibrosis (Fibroblastic proliferation) | |||||
| 0–40% of wound | 7 | 1 | 1 | p = 0.002 | p = 0.087 |
| 40–80% of wound | 1 | 6 | 4 | ||
| >80% of wound | 0 | 3 | 5 | ||
| Neovascularization (CD31 expression) | |||||
| 1–5 vessels | 7 | 5 | 1 | p = 0.000 | p = 0.000 |
| 6–10 vessels | 1 | 4 | 0 | ||
| >10 vessels | 0 | 1 | 9 | ||
| Tissue healing (collagen deposition) | |||||
| Focal around capillaries | 5 | 1 | 0 | p = 0.000 | p = 0.001 |
| Moderate in repair tissue | 3 | 8 | 3 | ||
| Dominant | 0 | 1 | 7 | ||
Disclaimer/Publisher’s Note: The statements, opinions and data contained in all publications are solely those of the individual author(s) and contributor(s) and not of MDPI and/or the editor(s). MDPI and/or the editor(s) disclaim responsibility for any injury to people or property resulting from any ideas, methods, instructions or products referred to in the content. |
© 2024 by the authors. Licensee MDPI, Basel, Switzerland. This article is an open access article distributed under the terms and conditions of the Creative Commons Attribution (CC BY) license (https://creativecommons.org/licenses/by/4.0/).
Share and Cite
Nikolaou, C.; Frountzas, M.; Schizas, D.; Pergialiotis, V.; Kapetanakis, E.I.; Kontzoglou, K.; Perrea, D.N.; Koniaris, E.; Kykalos, S.; Iliopoulos, D. Could Fibrin Sealants (TISSEELTM) Be Effective in the Management of Burn Injuries? A Histopathological Study in Rats. Med. Sci. 2024, 12, 75. https://doi.org/10.3390/medsci12040075
Nikolaou C, Frountzas M, Schizas D, Pergialiotis V, Kapetanakis EI, Kontzoglou K, Perrea DN, Koniaris E, Kykalos S, Iliopoulos D. Could Fibrin Sealants (TISSEELTM) Be Effective in the Management of Burn Injuries? A Histopathological Study in Rats. Medical Sciences. 2024; 12(4):75. https://doi.org/10.3390/medsci12040075
Chicago/Turabian StyleNikolaou, Christina, Maximos Frountzas, Dimitrios Schizas, Vasilios Pergialiotis, Emmanouil I. Kapetanakis, Konstantinos Kontzoglou, Despina N. Perrea, Efthymios Koniaris, Stylianos Kykalos, and Dimitrios Iliopoulos. 2024. "Could Fibrin Sealants (TISSEELTM) Be Effective in the Management of Burn Injuries? A Histopathological Study in Rats" Medical Sciences 12, no. 4: 75. https://doi.org/10.3390/medsci12040075
APA StyleNikolaou, C., Frountzas, M., Schizas, D., Pergialiotis, V., Kapetanakis, E. I., Kontzoglou, K., Perrea, D. N., Koniaris, E., Kykalos, S., & Iliopoulos, D. (2024). Could Fibrin Sealants (TISSEELTM) Be Effective in the Management of Burn Injuries? A Histopathological Study in Rats. Medical Sciences, 12(4), 75. https://doi.org/10.3390/medsci12040075

