Transcriptomic Analysis Provides New Insights into Oocyte Growth and Maturation in Greater Amberjack (Seriola dumerili)
Simple Summary
Abstract
1. Introduction
2. Materials and Methods
2.1. Experimental Fish and Sample Collection
2.2. Histological Observation of Ovaries
2.3. RNA Extraction, Library Preparation, and Sequencing
2.4. Sequence Assembly, Annotation, and Functional Analysis
2.5. Real-Time Quantitative PCR (qRT-PCR) Validation of DEGs
2.6. Statistical Analysis
3. Results
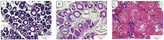
3.1. Classification of Ovarian Developmental Stages II, III, and IV
3.2. RNA-Seq Data Statistics
3.3. DEGs Profiles in Stage II, III, and IV Ovaries
3.4. Functional Annotation and Pathway Analysis of DEGs
3.5. Validation by qRT-PCR
3.6. Expression of Representative DEGs in Ovarian Growth and Development
3.6.1. Expression of DEGs Associated with Steroid Hormone Biosynthesis
3.6.2. Expression of DEGs Associated with Lipid Metabolism
3.6.3. Expression of DEGs Associated with Meiotic Arrest and Resumption
3.6.4. Expression of DEGs Associated with Ovarian Developmental Pathways
4. Discussion
4.1. The DEGs Involved in Steroid Hormone Synthesis
4.2. The DEGs Involved in Lipid Metabolism
4.3. The DEGs Involved in Meiotic Arrest and Resumption
4.4. Signaling Pathways Related to Oocyte Development
5. Conclusions
Supplementary Materials
Author Contributions
Funding
Institutional Review Board Statement
Informed Consent Statement
Data Availability Statement
Acknowledgments
Conflicts of Interest
References
- Lubzens, E.; Young, G.; Bobe, J.; Cerdà, J. Oogenesis in teleosts: How fish eggs are formed. Gen. Comp. Endocrinol. 2010, 165, 367–389. [Google Scholar] [CrossRef] [PubMed]
- Jia, Y.; Nan, P.; Zhang, W.; Wang, F.; Zhang, R. Transcriptome analysis of three critical periods of ovarian development in yellow river carp (Cyprinus carpio). Theriogenology 2018, 105, 15–26. [Google Scholar] [CrossRef] [PubMed]
- Picton, H.; Briggs, D.; Gosden, R. The molecular basis of oocyte growth and development. Mol. Cell. Endocrinol. 1998, 145, 27–37. [Google Scholar] [CrossRef] [PubMed]
- Selman, K.; Wallace, R.A.; Sarka, A.; Qi, X. Stages of oocyte development in the zebrafish, Brachydanio rerio. J. Morphol. 1993, 218, 203–224. [Google Scholar] [CrossRef] [PubMed]
- Jiao, S.; He, M.; Sun, Y. Research progress and several key scientific questions in studies of fish egg quality. ACTA Hydrobiol. Sinica 2023, 47, 1007–1024. [Google Scholar] [CrossRef]
- Sullivan, C.V.; Yilmaz, O. Vitellogenesis and yolk proteins, fish. RBK 2018, 6, 266–277. [Google Scholar] [CrossRef]
- Zhao, Y.F.; Ma, A.J.; Wang, X.A.; Sun, Z.B.; Wen, H.S. Advances in the evaluation of oviparous fish egg development potential. Mar. Sci. 2016, 40, 157–167. [Google Scholar]
- Tata, J.R. Coordinated assembly of the developing egg. Bioessays 1986, 4, 197–201. [Google Scholar] [CrossRef]
- Xu, W.G.; Liu, L.M.; Wang, J.L.; Zhang, J.B.; Yu, W.S.; Manabe, S.; Tang, Y.Z. Effects of water temperature and photoperiod on sex maturation and fshβ and lhβ gene expression in the yellowtail Seriola quinqueradiata. J. Dalian Ocean. Univ. 2022, 37, 42–48. [Google Scholar] [CrossRef]
- Zakeri, M.; Kochanian, P.; Marammazi, J.G.; Yavari, V.; Savari, A.; Haghi, M. Effects of dietary n-3 HUFA concentrations on spawning performance and fatty acids composition of broodstock, eggs and larvae in yellowfin sea bream, Acanthopagrus latus. Aquaculture 2011, 310, 388–394. [Google Scholar] [CrossRef]
- Callan, C.K.; Laidley, C.W.; Kling, L.J.; Breen, N.E.; Rhyne, A.L. The effects of dietary HUFA level on flame angelfish (Centropyge loriculus) spawning, egg quality and early larval characteristics. Aquac. Res. 2012, 45, 1176–1186. [Google Scholar] [CrossRef]
- Zhou, L.; Yao, B.; Xia, W.; Li, C.J.; Wang, Y.; Shi, Y.H.; Gui, J.F. EST-based identification of genes expressed in the hypothalamus of male orange-spotted grouper (Epinephelus coioides). Aquaculture 2006, 256, 129–139. [Google Scholar] [CrossRef]
- Yan, K.W.; Ma, X.D.; Shi, B.; Cheng, H.L.; Wang, C.N.; Zhao, X.Y. Cloning and expression analysis of clock genes during ovarian development and maturation of tongue sole (Cynoglossus semilaevis). Prog. Fish Sci. 2024, 45, 101–116. [Google Scholar] [CrossRef]
- Crespo, B.; Lan-Chow-Wing, O.; Rocha, A.; Zanuy, S.; Gómez, A. Foxl2 and Foxl3 are two ancient paralogs that remain fully functional in teleosts. Gen. Comp. Endocrinol. 2013, 194, 81–93. [Google Scholar] [CrossRef]
- Jiang, M.Y.; Zhou, Y.F.; Liu, H.; Peng, Y.X.; Huang, Y.Q.; Deng, S.P.; Huang, Y.; Shi, G.; Zhu, C.H.; Li, G.L.; et al. Transcriptomic analysis provides new insights into the secondary follicle growth in spotted scat (Scatophagus argus). Front. Mar. Sci. 2023, 10, 1114872. [Google Scholar] [CrossRef]
- Li, W.; He, P.P.; Wei, P.Y.; Zhu, P.; Jiang, W.M.; Hu, S.H.; Wei, Y.C.; Wei, M.L.; Peng, J.X. Transcriptome analysis of ovaries at the different developmental stages of Trachinotus ovatus. J. South Agric. 2022, 53, 714–724. [Google Scholar] [CrossRef]
- Lavecchia, A.; De Virgilio, C.; Mansi, L.; Manzari, C.; Mylonas, C.C.; Picardi, E.; Pousis, C.; Cox, S.N.; Ventriglia, G.; Zupa, R.; et al. Comparison of ovarian mRNA expression levels in wild and hatchery-produced greater amberjack Seriola dumerili. Sci. Rep. 2024, 14, 18034. [Google Scholar] [CrossRef]
- Lavecchia, A.; Manzari, C.; Pousis, C.; Mansi, L.; Cox, S.N.; Mylonas, C.C.; Zupa, R.; Lo Giudice, C.; De Virgilio, C.; Picardi, E.; et al. Dysregulation of testis mRNA expression levels in hatchery-produced vs wild greater amberjack Seriola dumerili. Sci. Rep. 2023, 13, 13662. [Google Scholar] [CrossRef]
- Andaloro, F.; Pipitone, C. Food and feeding habits of the amberjack, Seriola dumerili in the Central Mediterranean Sea during the spawning season. Cah. Biol. Mar. 1997, 38, 91–96. [Google Scholar]
- Harris, P.J.; Wyanski, D.M.; White, D.B.; Mikell, P.P.; Eyo, P.B. Age, growth, and reproduction of greater amberjack off the southeastern U.S. Atlantic coast. Trans. Am. Fish. Soc. 2007, 136, 1534–1545. [Google Scholar] [CrossRef]
- Hasegawa, T.; Lu, C.P.; Hsiao, S.T.; Uchino, T.; Sakakura, Y. Distribution and genetic variability of young-of-the-year greater amberjack (Seriola dumerili) in the East China Sea. Environ. Biol. Fish 2020, 103, 833–846. [Google Scholar] [CrossRef]
- Mylonas, C.C.; Papandroulakis, N.; Smboukis, A.; Papadaki, M.; Divanach, P. Induction of spawning of cultured greater amberjack (Seriola dumerili) using GnRHa implants. Aquaculture 2004, 237, 141–154. [Google Scholar] [CrossRef]
- Fakriadis, I.; Miccoli, A.; Karapanagiotis, S.; Tsele, N.; Mylonas, C.C. Optimization of a GnRHa treatment for spawning commercially reared greater amberjack Seriola dumerili dose response and extent of the reproductive season. Aquaculture 2020, 521, 735011. [Google Scholar] [CrossRef]
- Fakriadis, I.; Lisi, F.; Sigelaki, I.; Papadaki, M.; Mylonas, C.C. Spawning kinetics and egg/larval quality of greater amberjack (Seriola dumerili) in response to multiple GnRHa injections or implants. Gen. Comp. Endocrinol. 2019, 279, 78–87. [Google Scholar] [CrossRef] [PubMed]
- Fakriadis, I.; Mylonas, C.C. Sperm quality of greater amberjack Seriola dumerili throughout the reproductive season and in response to GnRHa treatment with controlled release implants. Fish Physiol. Biochem. 2021, 47, 281–292. [Google Scholar] [CrossRef] [PubMed]
- Lancerotto, S.; Fakriadis, I.; Papadaki, M.; Mandalakis, M.; Sigelaki, I.; Mylonas, C.C. Timing of puberty in f1-generation hatchery-produced greater amberjack (Seriola dumerili). Gen. Comp. Endocrinol. 2024, 347, 114414. [Google Scholar] [CrossRef]
- Ventriglia, G.; Fakriadis, I.; Papadaki, M.; Zupa, R.; Pousis, C.; Mandalakis, M.; Corriero, A.; Mylonas, C.C. Effects of different hormonal treatments on spermatogenesis advancement in hatchery-produced greater amberjack Seriola dumerili (Risso 1810). Gen. Comp. Endocrinol. 2024, 348, 114447. [Google Scholar] [CrossRef]
- Zupa, R.; Rodríguez, C.; Mylonas, C.C.; Rosenfeld, H.; Fakriadis, I.; Papadaki, M.; Pérez, J.A.; Pousis, C.; Basilone, G.; Corriero, A. Comparative study of reproductive development in wild and captive-reared greater amberjack Seriola dumerili (Risso, 1810). PLoS ONE 2017, 12, e0169645. [Google Scholar] [CrossRef]
- Papadaki, M.; Mylonas, C.C.; Sarropoulou, E. MicroRNAs are involved in ovarian physiology of greater amberjack (Seriola dumerili) under captivity. Gen. Comp. Endocrinol. 2024, 357, 114581. [Google Scholar] [CrossRef]
- Shi, H.; Ru, X.; Mustapha, U.F.; Jiang, D.; Huang, Y.; Pan, S.; Zhu, C.; Li, G. Characterization, expression, and regulatory effects of nr0b1a and nr0b1b in spotted scat (Scatophagus argus). Comp. Biochem. Physiol. B Biochem. Mol. Biol. 2021, 256, 110644. [Google Scholar] [CrossRef]
- Wang, T. Study on the mechanism of dietary fish oil on ovarian development in broodstock spotted scat (Scatophagus argus). Ph.D. Thesis, Guangdong Ocean University, Zhanjiang, China, 2023. [Google Scholar]
- Araki, K.; Aokic, J.Y.; Kawase, J.; Hamada, K.; Ozaki, A.; Fujimoto, H.; Yamamoto, I.; Usuki, H. Whole genome sequencing of greater amberjack (Seriola dumerili) for SNP identification on aligned scaffolds and genome structural variation analysis using parallel resequencing. Int. J. Genom. 2018, 28, 7984292. [Google Scholar] [CrossRef] [PubMed]
- Ru, X.; Huang, Y.; Shi, H.; Peng, Y.; Hao, R.; Yang, T.; Zhu, K.; Li, G.; Zhu, C. RNA-Seq of hypo- and hyper-salinity stress-response transcriptome in the liver of greater amberjack (Seriola dumerili) juveniles. Aquac. Rep. 2023, 29, 101498. [Google Scholar] [CrossRef]
- Pousis, C.; Mylonas, C.C.; De Virgilio, C.; Gadaleta, G.; Santamaria, N.; Passantino, L.; Zupa, R.; Papadaki, M.; Fakriadis, I.; Ferreri, R.; et al. The observed oogenesis impairment in greater amberjack Seriola dumerili (Risso, 1810) reared in captivity is not related to an insufficient liver transcription or oocyte uptake of vitellogenin. Aquac. Res. 2018, 49, 243–252. [Google Scholar] [CrossRef]
- Sarropoulou, E.; Sundaram, A.Y.M.; Kaitetzidou, E.; Kotoulas, G.; Gilfillan, G.D.; Papandroulakis, N.; Mylonas, C.C.; Magoulas, A. Full genome survey and dynamics of gene expression in the greater amberjack Seriola dumerili. Gigascience 2017, 6, 1–13. [Google Scholar] [CrossRef]
- Goldstone, J.V.; Sundaramoorthy, M.; Zhao, B.; Waterman, M.R.; Stegeman, J.J.; Lamb, D.C. Genetic and structural analyses of cytochrome P450 hydroxylases in sex hormone biosynthesis: Sequential origin and subsequent coevolution. Mol. Phylogenet. Evol. 2016, 94, 676–687. [Google Scholar] [CrossRef]
- Payne, A.H.; Hales, D.B. Overview of Steroidogenic Enzymes in the pathway from cholesterol to active steroid hormones. Endocr. Rev. 2004, 25, 947–970. [Google Scholar] [CrossRef]
- Meng, F.; Sun, S.; Xu, X.; Yu, W.; Gan, R.; Zhang, L.; Zhang, W. Transcriptomic analysis provides insights into the growth and maturation of ovarian follicles in the ricefield eel (Monopterus albus). Aquaculture 2022, 555, 738251. [Google Scholar] [CrossRef]
- Reshma, K.J.; Sumithra, T.G.; Vishnu, B.; Jyothi, R.; Ratheesh Kumar, R.; Pootholathil, S.; Sanil, N.K. Indexing serum biochemical attributes of Lutjanus argentimaculatus (Forsskal, 1775) to instrument in health assessment. Aquac. Res. 2020, 51, 2590–2602. [Google Scholar] [CrossRef]
- Bai, X.Y.; Zhou, W.; Zhao, X.L.; Hu, K.; Wang, R.T.; Jiang, Y.F.; Xiao, Z.; Wang, W.H.; Han, Z.P.; Tuo, Y.L.; et al. The differential expression of CYP11A1 mRNA in different diameter antral follicles. Chin. J. Anim. Sci. 2023, 59, 210–213+237. [Google Scholar] [CrossRef]
- Wang, X.; Wen, H.; Li, Y.; Lyu, L.; Song, M.; Zhang, Y.; Li, J.; Yao, Y.; Li, J.; Qi, X. Characterization of CYP11A1 and Its potential role in sex asynchronous gonadal development of viviparous black rockfish Sebastes schlegelii (Sebastidae). Gen. Comp. Endocrinol. 2021, 302, 113689. [Google Scholar] [CrossRef]
- Zhou, L.; Li, M.; Wang, D. Role of Sex Steroids in Fish Sex Determination and Differentiation as revealed by gene editing. Gen. Comp. Endocrinol. 2021, 313, 113893. [Google Scholar] [CrossRef] [PubMed]
- Zhou, Y.F.; Jiang, Z.T.; Li, Y.; Jiao, K.Z.; Pan, S.H.; Xu, R.; Li, G.L.; Jiang, D.N. Effect of DNA methylation modification on expression level of cyp17a1 in ovary of spotted scat (Scatophagus argus). J. Guangdong Ocean Univ. 2024, 44, 46–53. [Google Scholar]
- Meng, L.; Yu, H.; Qu, J.; Niu, J.; Ni, F.; Han, P.; Yu, H.; Wang, X. Two cyp17 genes perform different functions in the sex hormone biosynthesis and gonadal differentiation in Japanese Flounder (Paralichthys olivaceus). Gene 2019, 702, 17–26. [Google Scholar] [CrossRef]
- Zhou, L.Y.; Wang, D.S.; Kobayashi, T.; Yano, A.; Paul, P.B.; Suzuki, A.; Sakai, F.; Nagahama, Y. A novel type of p450c17 lacking the lyase activity is responsible for c21-steroid biosynthesis in the fish ovary and head kidney. Endocrinology 2007, 148, 4282–4291. [Google Scholar] [CrossRef]
- Zhou, L.; Wang, D. Characterization, expression and transcriptional regulation of p450c17-i and -ii in the medaka, Oryzias Latipes. Biochem. Biophys. Res. Commun. 2007, 362, 619–625. [Google Scholar] [CrossRef]
- Kazeto, Y.; Ijiri, S.; Todo, T.; Adachi, S.; Yamauchi, K. Molecular cloning and characterization of Japanese eel ovarian p450c17 (CYP17) cDNA. Gen. Comp. Endocrinol. 2000, 118, 123–133. [Google Scholar] [CrossRef]
- Sakai, N.; Tanaka, M.; Adachi, S.; Miller, W.L.; Nagahama, Y. Rainbow trout cytochrome p-450c17 (17 alpha-hydroxylase/17,20-lyase). cDNA cloning, enzymatic properties and temporal pattern of ovarian p-450c17 mRNA expression during oogenesis. FEBS Lett. 1992, 301, 60–64. [Google Scholar] [CrossRef]
- Zhai, Y.; Liu, J.Y.; Jia, L.Y.; Jiang, D.N.; Chen, H.P.; Li, G.L.; Deng, S.P. Cloning, tissue distribution and expression of cyp17a1 at different ovarian development stages in spotted scat (Scatophagus argus). J. Guangdong Ocean Univ. 2018, 38, 1–7. [Google Scholar]
- Ma, X.; Liu, Q.; Wang, L.M.; Wu, L.M.; Liu, H.F.; Li, X.J. A review on cyp19a1 function in sex differentiation and development of fish. J. Henan Normal Univ. 2019, 47, 96–101+111. [Google Scholar] [CrossRef]
- Zhang, W.; Lu, H.; Jiang, H.; Li, M.; Zhang, S.; Liu, Q.; Zhang, L. Isolation and characterization of cyp19a1a and cyp19a1b promoters in the protogynous hermaphrodite orange-spotted grouper (Epinephelus coioides). Gen. Comp. Endocrinol. 2012, 175, 473–487. [Google Scholar] [CrossRef]
- Conley, A.; Hinshelwood, M. Mammalian Aromatases. Reproduction 2001, 121, 685–695. [Google Scholar] [CrossRef] [PubMed]
- Sudhakumari, C.C.; Senthilkumaran, B.; Kobayashi, T.; Kajiura-Kobayashi, H.; Wang, D.S.; Yoshikuni, M.; Nagahama, Y. Ontogenic expression patterns of several nuclear receptors and cytochrome p450 aromatases in brain and gonads of the nile tilapia Oreochromis Niloticus suggests their involvement in sex differentiation. Fish Physiol. Biochem. 2005, 31, 129–135. [Google Scholar] [CrossRef] [PubMed]
- Tang, B.; Hu, W.; Hao, J.; Zhu, Z. Developmental expression of steroidogenic factor-1, cyp19a1a and cyp19a1b from common carp (Cyprinus carpio). Gen. Comp. Endocrinol. 2010, 167, 408–416. [Google Scholar] [CrossRef]
- Hu, X.; Liu, X.; Zhang, Y.; Li, S.; Lin, H. Expression Profiles of Gonadotropin Receptors during Ovary Development in the Orange-Spotted Grouper (Epinephelus coioides). J. Fish. Sci. China 2012, 19, 915–922. [Google Scholar] [CrossRef]
- Si, Y.; Ding, Y.; He, F.; Wen, H.; Li, J.; Zhao, J.; Huang, Z. DNA methylation level of cyp19a1a and foxl2 gene related to their expression patterns and reproduction traits during ovary development stages of Japanese flounder (Paralichthys olivaceus). Gene 2016, 575, 321–330. [Google Scholar] [CrossRef]
- Lu, H.; Zhang, S.; Liu, Q.; Zhang, L.; Zhang, W. Cytoplasmic localization of Lrh-1 down-regulates ovarian follicular cyp19a1a expression in a teleost, the orange-spotted grouper Epinephelus coioides. Biol. Reprod. 2014, 91, 29. [Google Scholar] [CrossRef]
- Shi, B.; Lu, H.; Zhang, L.; Zhang, W. A Homologue of Nr5a1 activates cyp19a1a transcription additively with Nr5a2 in ovarian follicular cells of the orange-spotted grouper. Mol. Cell. Endocrinol. 2018, 460, 85–93. [Google Scholar] [CrossRef]
- Lin, J.C.; Hu, S.; Ho, P.H.; Hsu, H.J.; Postlethwait, J.H.; Chung, B. Two zebrafish hsd3b genes are distinct in function, expression, and evolution. Endocrinology 2015, 156, 2854–2862. [Google Scholar] [CrossRef]
- Simard, J.; Ricketts, M.-L.; Gingras, S.; Soucy, P.; Feltus, F.A.; Melner, M.H. Molecular biology of the 3beta-hydroxysteroid dehydrogenase/delta5-delta4 isomerase gene family. Endocr. Rev. 2005, 26, 525–582. [Google Scholar] [CrossRef]
- Nakamoto, M.; Fukasawa, M.; Tanaka, S.; Shimamori, K.; Suzuki, A.; Matsuda, M.; Kobayashi, T.; Nagahama, Y.; Shibata, N. Expression of 3β-hydroxysteroid dehydrogenase (hsd3b), star and ad4bp/sf-1 during gonadal development in medaka (Oryzias latipes). Gen. Comp. Endocrinol. 2012, 176, 222–230. [Google Scholar] [CrossRef]
- Lynn, S.G.; Birge, W.J.; Shepherd, B.S. Molecular characterization and sex-specific tissue expression of estrogen receptor alpha (esr1), estrogen receptor betaa (esr2a) and ovarian aromatase (cyp19a1a) in yellow perch (Perca flavescens). Comp. Biochem. Physiol. B Biochem. Mol. Biol. 2008, 149, 126–147. [Google Scholar] [CrossRef] [PubMed]
- Mu, W.J.; Wen, H.S.; Shi, D.; Yang, Y.P. Molecular cloning and expression analysis of estrogen receptor betas (ERβ1 and ERβ2) during gonad development in the Korean rockfish, Sebastes schlegeli. Gene 2013, 523, 39–49. [Google Scholar] [CrossRef] [PubMed]
- Chakraborty, T.; Shibata, Y.; Zhou, L.-Y.; Katsu, Y.; Iguchi, T.; Nagahama, Y. Differential expression of three estrogen receptor subtype mRNAs in gonads and liver from embryos to adults of the medaka, Oryzias latipes. Mol. Cell. Endocrinol. 2011, 333, 47–54. [Google Scholar] [CrossRef] [PubMed]
- Qu, J.; Li, R.; Xie, Y.; Liu, Y.; Liu, J.; Zhang, Q. Differential transcriptomic profiling provides new insights into oocyte development and lipid droplet formation in Japanese flounder (Paralichthys olivaceus). Aquaculture 2022, 550, 737843. [Google Scholar] [CrossRef]
- Hiramatsu, N.; Luo, W.; Reading, B.J.; Sullivan, C.V.; Mizuta, H.; Ryu, Y.-W.; Nishimiya, O.; Todo, T.; Hara, A. Multiple ovarian lipoprotein receptors in teleosts. Fish Physiol. Biochem. 2013, 39, 29–32. [Google Scholar] [CrossRef]
- José Ibáñez, A.; Peinado-Onsurbe, J.; Sánchez, E.; Cerdá-Reverter, J.M.; Prat, F. Lipoprotein lipase (LPL) is highly expressed and active in the ovary of European sea bass (Dicentrarchus labrax L.), during Gonadal Development. Comp. Biochem. Physiol. A Mol. Integr. Physiol. 2008, 150, 347–354. [Google Scholar] [CrossRef]
- Esteves, A.; Knoll-Gellida, A.; Canclini, L.; Silvarrey, M.C.; André, M.; Babin, P.J. Fatty acid binding proteins have the potential to channel dietary fatty acids into enterocyte nuclei. J. Lipid Res. 2016, 57, 219–232. [Google Scholar] [CrossRef]
- Ren, G.; Lin, Y.; Xu, L.; Zhao, J.; Shao, Y.; Lu, T. Construction of eukaryotic expression vector, bioinformatics and tissue expression analysis of rainbow trout (Oncorhynchus mykiss) fabp10 Gene. Chin. J. Fish. 2023, 36, 1–7. [Google Scholar]
- Montané-Romero, M.E.; Martínez-Silva, A.V.; Poot-Hernández, A.C.; Escalante-Alcalde, D. Plpp3, a novel regulator of pluripotency exit and endodermal differentiation of mouse embryonic stem cells. Biol. Open 2023, 12, bio059665. [Google Scholar] [CrossRef]
- Park, S.H.; Kang, J.H.; Bae, Y.-S. The role and regulation of phospholipase D in metabolic disorders. Adv. Biol. Regul. 2024, 91, 100988. [Google Scholar] [CrossRef]
- Yang, G.; Qin, Z.; Lu, Z.; Liang, R.; Zhao, L.; Pan, G.; Lin, L.; Zhang, K. Comparative transcriptomics of gonads reveals the molecular mechanisms underlying gonadal development in giant freshwater prawns (Macrobrachium rosenbergii). J. Mar. Sci. Eng. 2022, 10, 737. [Google Scholar] [CrossRef]
- Weil, S.J.; Vendola, K.; Zhou, J.; Adesanya, O.O.; Wang, J.; Okafor, J.; Bondy, C.A. Androgen receptor gene expression in the primate ovary: Cellular localization, regulation, and functional correlations. J. Clin. Endocrinol. Metab. 1998, 83, 2479–2485. [Google Scholar] [CrossRef] [PubMed]
- Pu, L.; Han, K.; Xie, F.; Zou, Z.; Close, D.; Zhang, Z.; Wang, Y. Molecular cloning, characterization, and gene expression of the androgen receptor in the large yellow croaker, Larimichthys crocea. Fish Physiol. Biochem. 2013, 39, 309–324. [Google Scholar] [CrossRef] [PubMed]
- Shi, H.J.; Ru, X.Y.; Liu, Y.Q.; Zheng, Y.; Wu, X.H.; Huang, Y.; Li, G.L.; Jiang, D.N. Transcriptomic analysis of hypothalamus in female Scatophagus Argus after 17-estradiol Injection. J. Guangdong Ocean Univ. 2021, 41, 76–85. [Google Scholar]
- Shi, H.J.; Huang, J.X.; Zhu, C.Y.; Wu, J.G.; He, F.X.; Jiang, D.N.; Huang, Y.; Zhu, C.H.; Li, G.L. Molecular Cloning, Identification and expression analysis of progesterone receptor gene in spotted scat Scatophagus argus. Fish. Sci. 2022, 41, 23–34. [Google Scholar] [CrossRef]
- Wu, X.J.; Zhu, Y. Downregulation of nuclear progestin receptor (Pgr) and subfertility in double knockouts of progestin receptor membrane component 1 (Pgrmc1) and Pgrmc2 in zebrafish. Gen. Comp. Endocrinol. 2020, 285, 113275. [Google Scholar] [CrossRef]
- Gilchrist, R.B.; Luciano, A.M.; Richani, D.; Zeng, H.T.; Wang, X.; Vos, M.D.; Sugimura, S.; Smitz, J.; Richard, F.J.; Thompson, J.G. Oocyte maturation and quality: Role of cyclic nucleotides. Reproduction 2016, 152, R143–R157. [Google Scholar] [CrossRef]
- Lu, L.; Zhang, L.; Zeng, T.; Du, X.; Tao, Z.; Li, G.; Zhong, S.; Wen, J.; Zhou, C.; Xu, X. Transcriptome analyses of potential regulators of pre- and post-ovulatory follicles in the pigeon (Columba livia). Reprod. Fertil. Dev. 2022, 34, 689–697. [Google Scholar] [CrossRef]
- Li, J.; Jiao, Y.; Shi, D. Research progress of PI3K/Akt signaling pathway on follicular development and oocyte maturation. Chin. J. Anim. Husb. 2021, 57, 33–37. [Google Scholar]
- Zhou, R.; Yu, S.M.Y.; Ge, W. Expression and functional characterization of intrafollicular GH–IGF system in the zebrafish ovary. Gen. Comp. Endocrinol. 2016, 232, 32–42. [Google Scholar] [CrossRef]
- Bevers, M.M.; Izadyar, F. Role of growth hormone and growth hormone receptor in oocyte maturation. Mol. Cell. Endocrinol. 2002, 197, 173–178. [Google Scholar] [CrossRef] [PubMed]
- Kołodziejczyk, J.; Gregoraszczuk, E.L.; Leibovich, H.; Gertler, A. Different action of ovine GH on porcine theca and granulosa cells proliferation and insulin-like growth factors I- and II-stimulated estradiol production. Reprod. Biol. 2001, 1, 33–41. [Google Scholar] [PubMed]
- Stubbs, S.A.; Webber, L.J.; Stark, J.; Rice, S.; Margara, R.; Lavery, S.; Trew, G.H.; Hardy, K.; Franks, S. Role of insulin-like growth factors in initiation of follicle growth in normal and polycystic human ovaries. J. Clin. Endocrinol. Metab. 2013, 98, 3298–3305. [Google Scholar] [CrossRef] [PubMed]
- Spicer, L.J.; Aad, P.Y. Insulin-like growth factor (IGF) 2 stimulates steroidogenesis and mitosis of bovine granulosa cells through the IGF1 receptor: Role of follicle-stimulating hormone and IGF2 receptor. Biol. Reprod. 2007, 77, 18–27. [Google Scholar] [CrossRef]
- Higuchi, K.; Kazeto, Y.; Ozaki, Y.; Izumida, D.; Hotta, T.; Soyano, K.; Gen, K. Insulin-like growth factors 1 and 2 regulate gene expression and enzymatic activity of cyp17a1 in ovarian follicles of the yellowtail, Seriola quinqueradiata. Heliyon 2020, 6, e04181. [Google Scholar] [CrossRef]
- Lankford, S.E.; Weber, G.M. The maturation-inducing hormone 17α,20β-dihydroxy-4-pregnen-3-one regulates gene expression of inhibin βa and bambi (bone morphogenetic protein and activin-membrane-bound inhibitor) in the rainbow trout ovary. Gen. Comp. Endocr. 2010, 168, 369–376. [Google Scholar] [CrossRef]
- Wang, H.-X.; Li, T.Y.; Kidder, G.M. WNT2 regulates proliferation of mouse granulosa cells through beta-catenin. Biol. Reprod. 2010, 82, 865–875. [Google Scholar] [CrossRef]
- Xue, L.; Bi, X.; Wang, K.; Dang, W.; Han, Q.; Luo, H.; Cao, N.; Lv, L. Expression and function analysis of WNT2 in ovine follicular granulosa cells. CJAVS 2020, 51, 74–82. [Google Scholar]
- Gao, G.; Wang, Y. Advances in the study of the GnRH. Livest. Poultry Ind. 2016, 326, 48–50. [Google Scholar] [CrossRef]
- Bliss, S.P.; Navratil, A.M.; Xie, J.; Roberson, M.S. Gnrh signaling, the gonadotrope and endocrine control of fertility. Front. Neuroendocrinol. 2010, 31, 322–340. [Google Scholar] [CrossRef]
- Li, L.; Shi, X.; Shi, Y.; Wang, Z. The signaling pathways involved in ovarian follicle development. Front. Physiol. 2021, 12, 730196. [Google Scholar] [CrossRef] [PubMed]
- Campbell, J.H.; Dixon, B.; Whitehouse, L.M. The intersection of stress, sex and immunity in fishes. Immunogenetics 2021, 73, 111–129. [Google Scholar] [CrossRef] [PubMed]
- Li, R.; Song, W.; Qu, J.; Liu, H.; Qi, J.; He, Y.; Niu, J. Transcriptome sequencing reveals ovarian immune response and development during female sperm storage in viviparous black rockfish (Sebastes schlegelii). Comp. Biochem. Phys. D 2023, 45, 101050. [Google Scholar] [CrossRef] [PubMed]
- Kodzik, N.; Ciereszko, A.; Szczepkowska, B.; Malinowska, A.; Dietrich, M.A. Comparative proteomic analysis of the ovarian fluid and eggs of Siberian sturgeon. BMC Genom. 2024, 25, 451. [Google Scholar] [CrossRef]









| Sample | Raw Reads | Clean Reads | Q20 (%) | Q30 (%) | GC (%) | Unique_ Mapped | Multiple_ Mapped | Total_ Mapped |
|---|---|---|---|---|---|---|---|---|
| FII-1 | 46,712,628 | 46,578,780 | 97.90 | 93.88 | 50.17 | 89.92% | 6.12% | 96.04% |
| FII-2 | 48,756,308 | 48,594,360 | 97.58 | 93.20 | 49.69 | 90.04% | 5.53% | 95.58% |
| FII-3 | 48,180,720 | 48,024,268 | 97.65 | 93.34 | 50.25 | 89.95% | 5.95% | 95.91% |
| FⅢ-1 | 48,835,906 | 48,675,068 | 97.71 | 93.49 | 49.93 | 90.50% | 5.22% | 95.72% |
| FⅢ-2 | 56,750,310 | 56,548,516 | 97.64 | 93.27 | 49.58 | 90.89% | 5.03% | 95.92% |
| FⅢ-3 | 52,184,252 | 52,019,122 | 97.66 | 93.37 | 49.68 | 90.54% | 5.05% | 95.59% |
| FⅣ-1 | 51,845,668 | 51,689,044 | 97.81 | 93.68 | 48.76 | 91.14% | 4.98% | 96.12% |
| FⅣ-2 | 38,087,518 | 37,954,794 | 97.53 | 93.02 | 49.52 | 90.91% | 4.62% | 95.53% |
| FⅣ-3 | 42,647,088 | 42,509,416 | 97.75 | 93.58 | 49.42 | 91.36% | 4.44% | 95.81% |
Disclaimer/Publisher’s Note: The statements, opinions and data contained in all publications are solely those of the individual author(s) and contributor(s) and not of MDPI and/or the editor(s). MDPI and/or the editor(s) disclaim responsibility for any injury to people or property resulting from any ideas, methods, instructions or products referred to in the content. |
© 2025 by the authors. Licensee MDPI, Basel, Switzerland. This article is an open access article distributed under the terms and conditions of the Creative Commons Attribution (CC BY) license (https://creativecommons.org/licenses/by/4.0/).
Share and Cite
Yang, J.; Ru, X.; Huang, Y.; Wu, J.; Yang, T.; Chen, P.; Li, J.; Zhu, K.; Zhu, C. Transcriptomic Analysis Provides New Insights into Oocyte Growth and Maturation in Greater Amberjack (Seriola dumerili). Animals 2025, 15, 333. https://doi.org/10.3390/ani15030333
Yang J, Ru X, Huang Y, Wu J, Yang T, Chen P, Li J, Zhu K, Zhu C. Transcriptomic Analysis Provides New Insights into Oocyte Growth and Maturation in Greater Amberjack (Seriola dumerili). Animals. 2025; 15(3):333. https://doi.org/10.3390/ani15030333
Chicago/Turabian StyleYang, Jiahui, Xiaoying Ru, Yang Huang, Jinhui Wu, Tonglin Yang, Peipei Chen, Jin Li, Kunfeng Zhu, and Chunhua Zhu. 2025. "Transcriptomic Analysis Provides New Insights into Oocyte Growth and Maturation in Greater Amberjack (Seriola dumerili)" Animals 15, no. 3: 333. https://doi.org/10.3390/ani15030333
APA StyleYang, J., Ru, X., Huang, Y., Wu, J., Yang, T., Chen, P., Li, J., Zhu, K., & Zhu, C. (2025). Transcriptomic Analysis Provides New Insights into Oocyte Growth and Maturation in Greater Amberjack (Seriola dumerili). Animals, 15(3), 333. https://doi.org/10.3390/ani15030333
