Evidence of Pneumopericardium after Elective Ovariectomy in a Peritoneopericardial Diaphragmatic Hernia-Affected Dog: A Case Report
Abstract
Simple Summary
Abstract
1. Introduction
2. Materials and Methods
2.1. Case Description
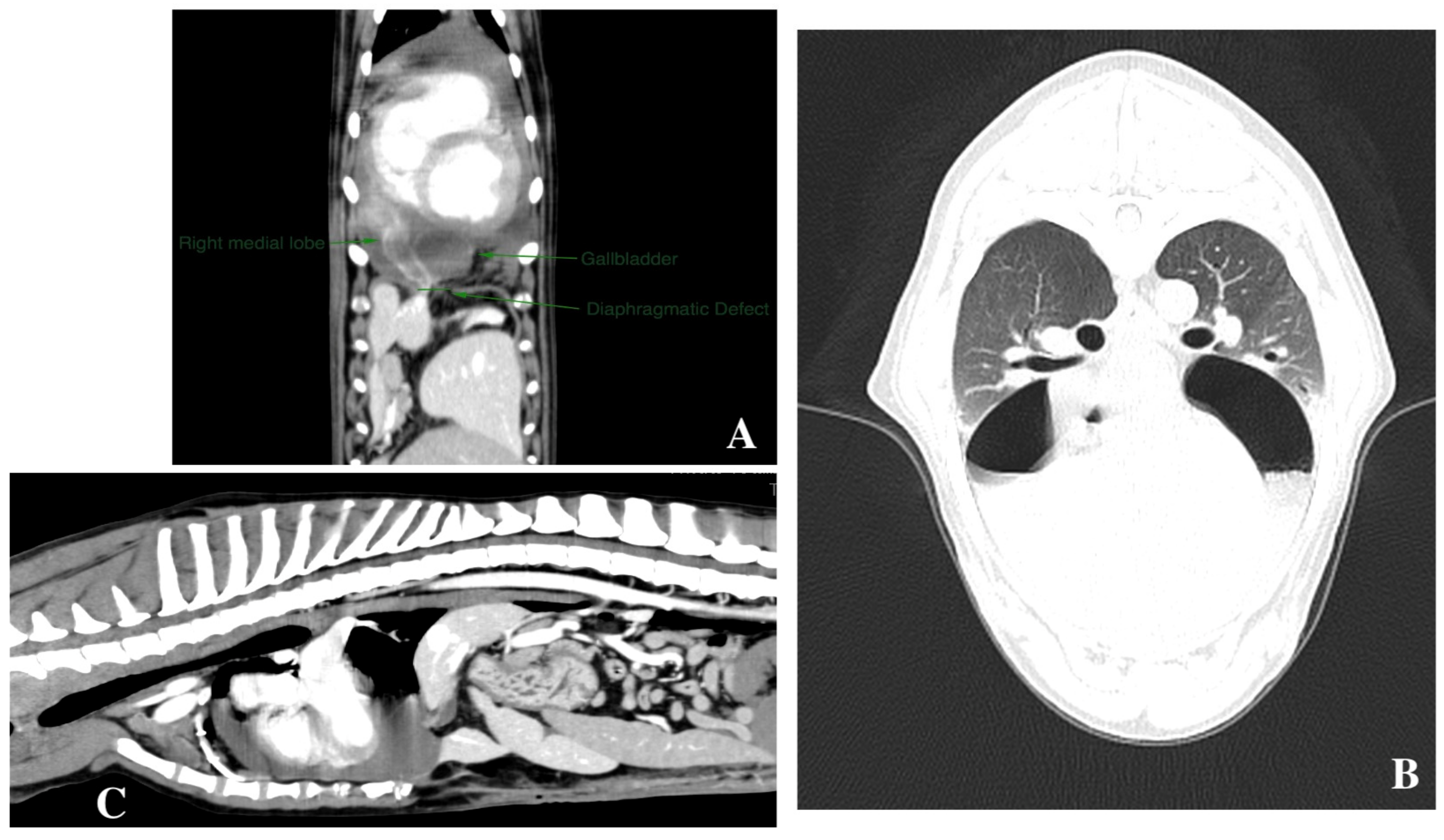
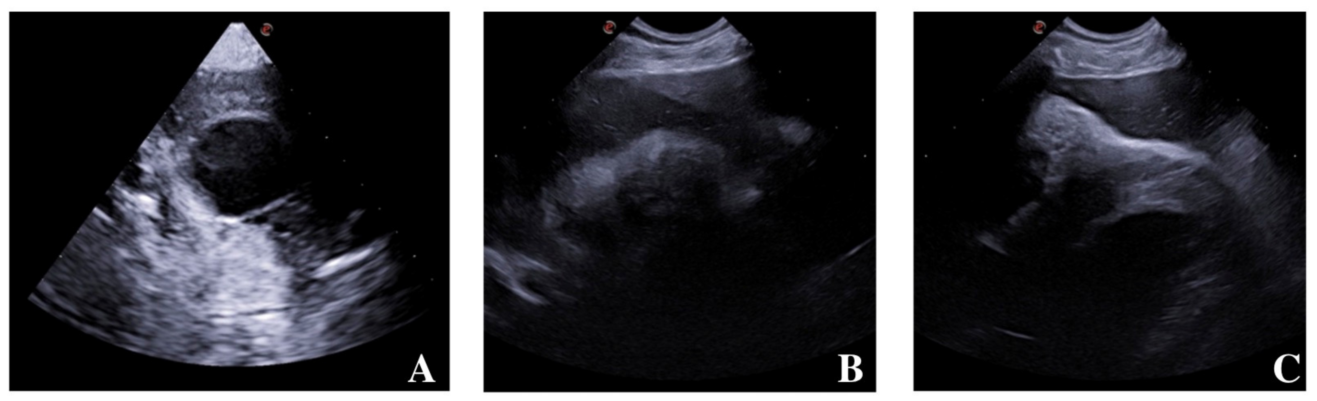
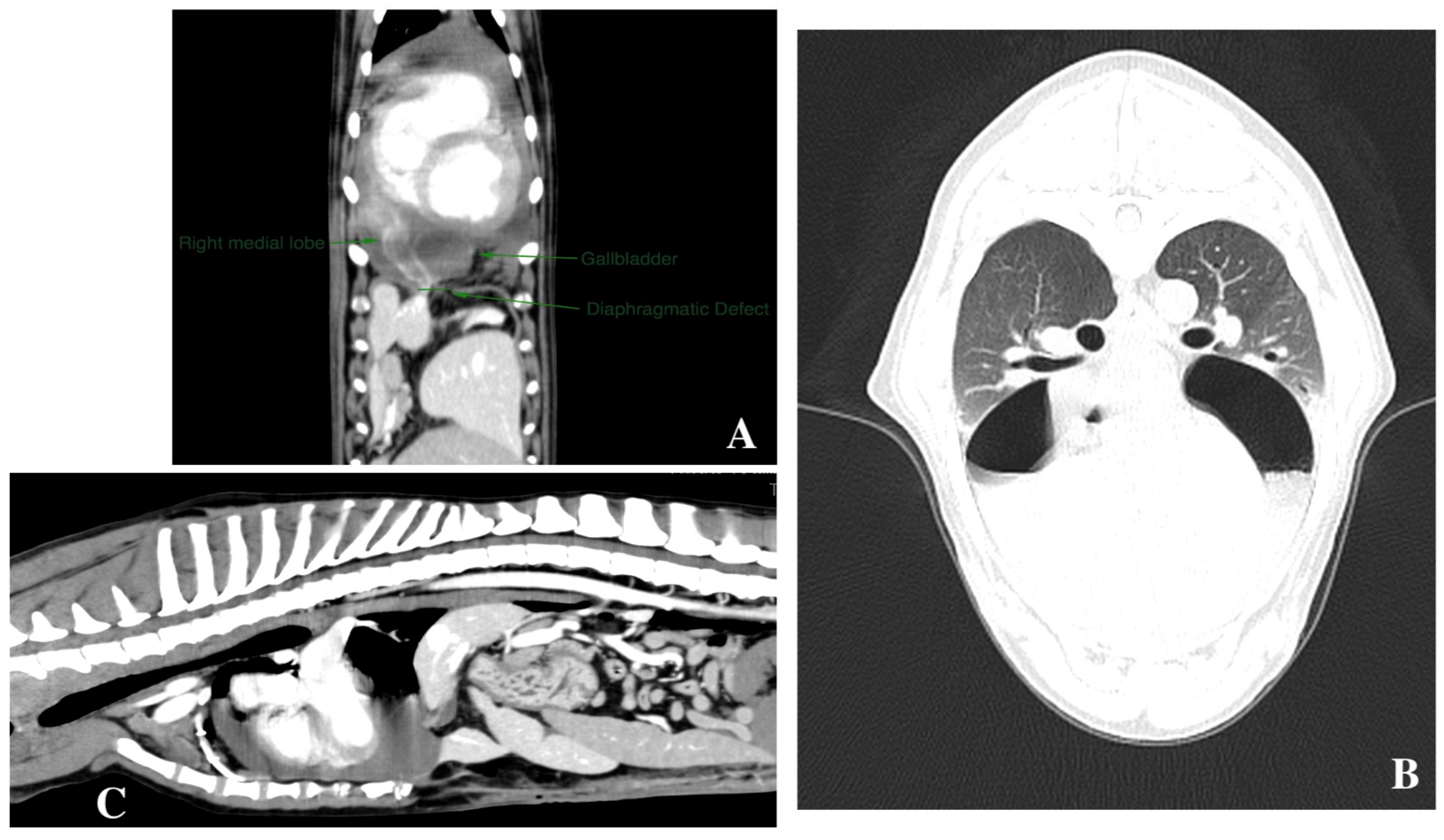
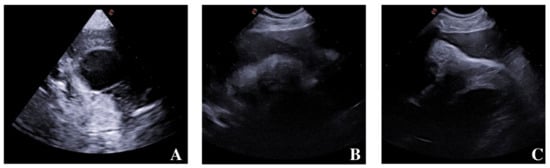
2.2. Diagnostic Imaging
2.3. Surgical Technique
2.4. Postoperative Management and Outcome
3. Discussion
4. Conclusions
Author Contributions
Funding
Institutional Review Board Statement
Informed Consent Statement
Data Availability Statement
Conflicts of Interest
References
- Papazoglou, L.G.; Patsikas, L.M.; Deligianni, A.; Wisner, E.R.; Kazakos, G. Pneumopericardium associated with peritoneal pericardial diaphragmatic hernia repair in a dog. J. Vet. Med. 2015, 110, 94–98. [Google Scholar]
- Nikiphorou, X.; Chioti, R.; Patsikas, M.N.; Papazoglou, L.G. Peritoneopericardial diaphragmatic hernia in the dog and cat. J. Hell. Vet. Med. Soc. 2016, 67, 189–194. [Google Scholar] [CrossRef]
- Lohinger, C.; Degasperi, B. Pneumopericardium with concomitant pericardial effusion following peritoneopericardial diaphragmatic hernia repair in a dog. Vet. Rec. Case Rep. 2022, 10, e278. [Google Scholar] [CrossRef]
- Evans, S.M.; Biery, D.N. congenital peritoneo pericardial diaphragmatic hernia in the dog and cat: A literature review and 17 additional case histories. Am. Coll. Vet. Med. 1980, 3, 108–116. [Google Scholar]
- Burns, C.G.; McLoughlin, M.A. surgical and nonsurgical treatment of peritoneopericardial diaphragmatic hernia in dogs and cats: 58 cases (1999–2008). J. Am. Vet. Med. Assoc. 2013, 242, 643–650. [Google Scholar] [CrossRef] [PubMed]
- Bjork, G.R.; Tigerschiold, A. Peritoneo-pericardial diaphragmatic hernia in a dog. J. Small Anim. Pract. 1970, 11, 585–590. [Google Scholar] [CrossRef] [PubMed]
- Banz, A.C.; Gottfried, S.D. peritoneopericardial diaphragmatic hernia: A retrospective study of 31 cats and 8 dogs. J. Am. Hosp. Assoc. 2010, 46, 398–404. [Google Scholar] [CrossRef] [PubMed]
- Morgan, K.R.S.; Singh, A.; Giuffrida, M.A.; Balsa, I.M.; Hayes, G.; Chu, M.L. outcome after surgical and conservative treatments canine peritoneopericardial diaphragmatic hernia: A multi-institutional study of 128 dogs. Vet. Surg. 2020, 49, 138–145. [Google Scholar] [CrossRef] [PubMed]
- Wallace, J.; Mullen, H.S.; Lesser, M.B. A technique for surgical correction of peritoneal pericardial diaphragmatic hernia in dogs and cats. J. Am. Anim. Hosp. Assoc. 1992, 28, 503–510. [Google Scholar]
- Borgonovo, S.; Rocchi, P.M.; Raino, V.; Diana, D.; Greci, V. Spontaneous pneumopericardium in a dog with bronchopulmonary disease complicated by pyothorax and pneumothorax. Can. Vet. J. 2014, 55, 1186–1191. [Google Scholar] [PubMed]
- Elham, A.H.; Faisal, A.T.; Ashraf, A.S. Pneumopericardium secondary to pneumomediastinum in a golden retriever dog. Top. Companion Anim. Med. 2015, 30, 62–64. [Google Scholar]
- Brander, L.; Ramsay, D.; Dreier, D.; Peter, M.; Graeni, R. Continuous left semi-diaphragm sign revisited: A case of spontaneous pneumopericardium and literature review. Heart 2002, 88, e5. [Google Scholar] [CrossRef] [PubMed]
- Hennink, I.; Düver, P.; Rytz, U.; Meneses, F.; Moioli, M.; Adamik, K.N.; Kovačević, A. Case Report: Unusual Peritoneopericardial Diaphragmatic Hernia in an 8-Month-Old German Shepherd Dog, Associated with a Pericardial Pseudocyst and Coexisting Severe Pericardial Effusion Resulting in Right-Sided Heart Failure. Front. Vet. Sci. 2021, 8, 673543. [Google Scholar] [CrossRef] [PubMed]
- Bellah, J.R.; Spencer, C.P.; Brown, D.J.; Whitton, D.L. Congenital cranioventral abdominal wall, caudal sternal, diaphragmatic, pericardial, and intracardiac defects in cocker spaniel littermates. J. Am. Vet. Med. Assoc. 1989, 194, 1741–1746. [Google Scholar] [PubMed]
- Leclerc, A.; Brisson, B.A.; Dobson, H. Pneumopericardium associated with a pulmonary-pericardial communication in a dog. J. Am. Vet. Med. Assoc. 2004, 224, 710–712. [Google Scholar] [CrossRef] [PubMed]
- Reed, J.R.; Thomas, W.P. hemodynamics of progressive pneumopericardium in the dog. Am. J. Vet. Res. 1984, 45, 301–307. [Google Scholar] [PubMed]
- Smith, L.G.; Tasneem, N. Images in clinical medicine: Tension pneumopericardium. N. Engl. J. Med. 1995, 332, 1481. [Google Scholar] [CrossRef] [PubMed]
- Best, E.J.; Hellewell, E. Pneumopericardium as a complication of laparoscopic for ovariectomy. J. Small Anim. Pract. 2017, 58, 246–248. [Google Scholar] [CrossRef] [PubMed]
- Montiel Trujillo, A.; Ruiz Ruiz, M.; Jiménez Navarro, M.; Gómez Doblas, J.J.; Rueda Calle, E.; de Teresa, E. Neumopericardio en un paciente asmático. Descripción de un caso y revisión de la bibliografía [Pneumopericardium in an asthmatic patient. A case report and review of the bibliography]. Rev. Esp. Cardiol. 1999, 52, 1015–1018. (In Spanish) [Google Scholar] [CrossRef] [PubMed]
- Imazio, M.; Brian, D.H. Post cardiac injury syndrome. An emerging cause of pericardial diseases. Int. J. Cardiol. 2013, 168, 648–652. [Google Scholar] [CrossRef] [PubMed]





Disclaimer/Publisher’s Note: The statements, opinions and data contained in all publications are solely those of the individual author(s) and contributor(s) and not of MDPI and/or the editor(s). MDPI and/or the editor(s) disclaim responsibility for any injury to people or property resulting from any ideas, methods, instructions or products referred to in the content. |
© 2024 by the authors. Licensee MDPI, Basel, Switzerland. This article is an open access article distributed under the terms and conditions of the Creative Commons Attribution (CC BY) license (https://creativecommons.org/licenses/by/4.0/).
Share and Cite
Campanile, D.; Cafaro, M.; Paci, S.; Panarese, M.; Sparapano, G.; Masi, M.; De Simone, A. Evidence of Pneumopericardium after Elective Ovariectomy in a Peritoneopericardial Diaphragmatic Hernia-Affected Dog: A Case Report. Animals 2024, 14, 633. https://doi.org/10.3390/ani14040633
Campanile D, Cafaro M, Paci S, Panarese M, Sparapano G, Masi M, De Simone A. Evidence of Pneumopericardium after Elective Ovariectomy in a Peritoneopericardial Diaphragmatic Hernia-Affected Dog: A Case Report. Animals. 2024; 14(4):633. https://doi.org/10.3390/ani14040633
Chicago/Turabian StyleCampanile, Debora, Mariateresa Cafaro, Serena Paci, Michele Panarese, Giammarino Sparapano, Marina Masi, and Antonio De Simone. 2024. "Evidence of Pneumopericardium after Elective Ovariectomy in a Peritoneopericardial Diaphragmatic Hernia-Affected Dog: A Case Report" Animals 14, no. 4: 633. https://doi.org/10.3390/ani14040633
APA StyleCampanile, D., Cafaro, M., Paci, S., Panarese, M., Sparapano, G., Masi, M., & De Simone, A. (2024). Evidence of Pneumopericardium after Elective Ovariectomy in a Peritoneopericardial Diaphragmatic Hernia-Affected Dog: A Case Report. Animals, 14(4), 633. https://doi.org/10.3390/ani14040633

