A Novel Ultrasound-Guided Cervical Plexus Block: A Cadaveric Canine Study
Simple Summary
Abstract
1. Introduction
2. Materials and Methods
2.1. Animal Use and Euthanasia
2.2. Study Phases
2.2.1. Phase I: Ultrasonographic Examination and Anatomic Study
2.2.2. Phase II: Ultrasound-Guided CPP Injections, CT-Scans, and Gross Anatomical Dissections
Ultrasound-Guided CPP Injection
CT-Scan
Gross Anatomical Dissection
2.3. Statistics
3. Results
3.1. Phase I. Ultrasonographic Examination and Anatomic Study
3.2. Phase II Ultrasound-Guided CPP Injections, CT-Scans, and Gross Anatomical Dissections
3.2.1. Ultrasound-Guided CPP Injection
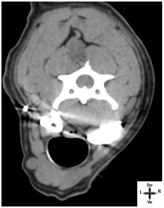
3.2.2. CT-Scan
3.2.3. Gross Anatomical Dissection
4. Discussion
5. Conclusions
Supplementary Materials
Author Contributions
Funding
Institutional Review Board Statement
Informed Consent Statement
Data Availability Statement
Acknowledgments
Conflicts of Interest
References
- Degani, M.; Di Franco, C.; Tayari, H.; Fages Carcéles, A.; Figà Talamanca, G.; Sandersen, C.; Briganti, A. Postoperative Analgesic Effect of Bilateral Quadratus Lumborum Block (QLB) for Canine Laparoscopic Ovariectomy: Comparison of Two Concentrations of Ropivacaine. Animals 2023, 13, 3604. [Google Scholar] [CrossRef] [PubMed]
- Portela, D.A.; Romano, M.; Zamora, G.A.; Garcia-Pereira, F.; Pablo, L.S.; Gatson, B.J.; Otero, P.E. The effect of erector spinae plane block on perioperative analgesic consumption and complications in dogs undergoing hemilaminectomy surgery: A retrospective cohort study. Vet. Anaesth. Analg. 2021, 48, 116–124. [Google Scholar] [CrossRef] [PubMed]
- Garbin, M.; Ruel, H.L.; Watanabe, R.; Malo, A.; Monteiro, B.P.; Steagall, P.V. Analgesic efficacy of an ultrasound-guided transversus abdominis plane block with bupivacaine in cats: A randomised, prospective, masked, placebo-controlled clinical trial. J. Feline Med. Surg. 2023, 25, 1098612X2311544. [Google Scholar] [CrossRef] [PubMed]
- Portela, D.A.; Romano, M.; Koehler, P.; Donati, P.A.; Zamora, G.A.; Gandi, K.Y.; Otero, P.E. Greater ischiatic notch plane versus parasacral block in dogs undergoing pelvic limb surgery: A retrospective noninferiority cohort study on perioperative opioid consumption. Vet. Anaesth. Analg. 2024, 51, S1467298724001326. [Google Scholar] [CrossRef]
- Kim, J.S.; Ko, J.S.; Bang, S.; Kim, H.; Lee, S.Y. Cervical plexus block. Korean J. Anesthesiol. 2018, 71, 274–288. [Google Scholar] [CrossRef]
- Hipskind, J.E.; Hendrix, J.M.; Ahmed, A.A. Cervical Plexus Block. In StatPearls [Internet]; StatPearls Publishing: Treasure Island, FL, USA, 2024. Available online: http://www.ncbi.nlm.nih.gov/books/NBK557382/ (accessed on 18 October 2024).
- Li, R. Application of Ultrasound-Guided Cervical Plexus Block in Type I Thyroid Cartilage Laryngoplasty and Vocal Cord Medialization Surgery. Ear Nose Throat J. 2022, 20, 014556132211151. [Google Scholar] [CrossRef]
- Martinez-Pereira, M.A. Comparative Anatomy of the Cervical Plexus. In Surgical Anatomy of the Cervical Plexus and Its Branches; Elsevier: Amsterdam, The Netherlands, 2022; pp. 71–79. Available online: https://linkinghub.elsevier.com/retrieve/pii/B9780323831321000147 (accessed on 18 October 2024).
- Barone, R. Muscles du cou. In Anatomie Comparée des Mammifères Domestiques, 4th ed.; Barone, R., Ed.; Vigot: Paris, France, 2000; Tome second: Arthrologie et Myologie; pp. 539–540. [Google Scholar]
- Campoy, L.; Morris, T.B.; Ducharme, N.G.; Gleed, R.D.; Martin-Flores, M. Unilateral cervical plexus block for prosthetic laryngoplasty in the standing horse. Equine Vet. J. 2018, 50, 727–732. [Google Scholar] [CrossRef]
- Morris, T.B.; Lumsden, J.M.; Dunlop, C.I.; Locke, V.; Sommerauer, S.; Hurcombe, S.D.A. Clinical Assessment of an Ipsilateral Cervical Spinal Nerve Block for Prosthetic Laryngoplasty in Anesthetized Horses. Front. Vet. Sci. 2020, 2, 284. [Google Scholar] [CrossRef]
- Cañón, A.; Viscasillas, J.; Hernández, E.Z.; Martínez, A.; Marti-Scharhausen, M.D.L.R.; Redondo, J.I. Line block and ultrasound-guided C2–C3 ventral branch block in a dog undergoing left arytenoid lateralization. Vet. Anaesth. Analg. 2022, 49, 513–515. [Google Scholar] [CrossRef]
- Raymond, S.A.; Steffensen, S.C.; Gugino, L.D.; Strichartz, G.R. The role of length of nerve exposed to local anesthetics in impulse blocking action. Anesth. Analg. 1989, 68, 563–570. [Google Scholar] [CrossRef]
- Viscasillas, J.; Terrado, J.; Marti-Scharfhausen, R.; Castiñeiras, D.; Esteve, V.; Clancy, N.; Redondo, J.I. A Modified Approach for the Ultrasound-Guided Quadratus Lumborum Block in Dogs: A Cadaveric Study. Animals 2021, 11, 2945. [Google Scholar] [CrossRef] [PubMed]
- Herrera-Linares, M.; Rico-Pérez, B.; Yaffy, D.; Fernández-Parra, R.; Llanos, C.; Parra-Martínez, C.; Herrera-Gutiérrez, M.; Sanchis-Mora, S. Cadaveric study of the ultrasound-guided erector spinae plane block over the transverse process of the twelfth thoracic vertebra in dogs: Transversal vs longitudinal approach. Vet. J. 2024, 304, 106094. [Google Scholar] [CrossRef] [PubMed]
- Breidenbach, K.A.; Wahezi, S.E.; Kim, S.Y.; Koushik, S.S.; Gritsenko, K.; Shaparin, N.; Kaye, A.D.; Viswanath, O.; Wu, H.; Kim, J.H. Contrast Spread After Erector Spinae Plane Block at the Fourth Lumbar Vertebrae: A Cadaveric Study. Pain Ther. 2023, 12, 241–249. [Google Scholar] [CrossRef] [PubMed]
- Portela, D.A.; Castro, D.; Romano, M.; Gallastegui, A.; Garcia-Pereira, F.; Otero, P.E. Ultrasound-guided erector spinae plane block in canine cadavers: Relevant anatomy and injectate distribution. Vet. Anaesth. Analg. 2020, 47, 229–237. [Google Scholar] [CrossRef] [PubMed]
- Garbin, M.; Portela, D.A.; Bertolizio, G.; Gallastegui, A.; Otero, P.E. A novel ultrasound-guided lateral quadratus lumborum block in dogs: A comparative cadaveric study of two approaches. Vet. Anaesth. Analg. 2020, 47, 810–818. [Google Scholar] [CrossRef]
- Freitag, F.A.; Muehlbauer, E.; Gaio, T.D.; dos Santos, A.A.; Machado, M.; Sanchez, A.; Duque, J.C. Evaluation of injection volumes for the transversus abdominis plane block in dog cadavers: A preliminary trial. Vet. Anaesth. Analg. 2021, 48, 142–146. [Google Scholar] [CrossRef]
- Garbin, M.; Portela, D.A.; Bertolizio, G.; Garcia-Pereira, F.; Gallastegui, A.; Otero, P.E. Description of ultrasound-guided quadratus lumborum block technique and evaluation of injectate spread in canine cadavers. Vet. Anaesth. Analg. 2020, 47, 249–258. [Google Scholar] [CrossRef]
- Alaman, M.; Bonastre, C.; de Blas, I.; Gomez-Alvarez, C.M.; Laborda, A. Description of a novel ultrasound-guided approach for a dorsal quadratus lumborum block: A canine cadaver study. Vet. Anaesth. Analg. 2022, 49, 118–125. [Google Scholar] [CrossRef]
- Marchina-Gonçalves, A.; Gil, F.; Laredo, F.G.; Soler, M.; Agut, A.; Belda, E. Evaluation of High-Volume Injections Using a Modified Dorsal Quadratus Lumborum Block Approach in Canine Cadavers. Animals 2021, 12, 18. [Google Scholar] [CrossRef]
- Pentsou, J.; Vagias, M.; Davies, T.; Hoey, S.; Huuskonen, V. Thoracolumbar Retrolaminar Block: Anatomical and Radiological Study of Injectate Pattern Distribution in Canine Cadavers. Animals 2023, 13, 3008. [Google Scholar] [CrossRef]
- Zoff, A.; Laborda-Vidal, P.; Mortier, J.; Amengual, M.; Rioja, E. Comparison of the spread of two different volumes of contrast medium when performing ultrasound-guided transversus abdominis plane injection in dog cadavers. J. Small Anim. Pract. 2017, 58, 269–275. [Google Scholar] [CrossRef] [PubMed]
- Pandit, J.J.; Satya-Krishna, R.; Gration, P. Superficial or deep cervical plexus block for carotid endarterectomy: A systematic review of complications †. Br. J. Anaesth. 2007, 99, 159–169. [Google Scholar] [CrossRef] [PubMed]
- Whalen, L.R.; Kitchell, L.R. Electrophysiologic studies of the cutaneous nerves of the head of the dog. Am. J. Vet. Res. 1983, 44, 615–627. [Google Scholar] [PubMed]
- Barrington, M.J.; Kluger, R. Ultrasound Guidance Reduces the Risk of Local Anesthetic Systemic Toxicity Following Peripheral Nerve Blockade. Reg. Anesth. Pain Med. 2013, 38, 289–297. [Google Scholar] [CrossRef] [PubMed]
- Stundner, O.; Meissnitzer, M.; Brummett, C.M.; Moser, S.; Forstner, R.; Koköfer, A.; Danninger, T.; Gerner, P.; Kirchmair, L.; Fritsch, G. Comparison of tissue distribution, phrenic nerve involvement, and epidural spread in standard- vs low-volume ultrasound-guided interscalene plexus block using contrast magnetic resonance imaging: A randomized, controlled trial. Br. J. Anaesth. 2016, 116, 405–412. [Google Scholar] [CrossRef]
- Han, C.; Shao, P.; Li, H.; Shi, R.; Wang, Y. Effects of Unilateral Intermediate Cervical Plexus Block on the Diaphragmatic Function in Patients Undergoing Unilateral Thyroidectomy: A Randomized Controlled Study. J. Pain Res. 2022, 15, 2663–2672. [Google Scholar] [CrossRef]
- Evans, H.E.; de Lahunta, A. Cervical Nerves. In Miller’s Anatomy of the Dog, 4th ed.; Evans, H.E., de Lahunta, A., Eds.; Elsevier Saunders: St. Louis, MI, USA, 2013; pp. 614–618. [Google Scholar]
- Lemke, K.A.; Creighton, C.M. Paravertebral Blockade of the Brachial Plexus in Dogs. Vet. Clin. North Am. Small Anim Prac. 2008, 38, 1231–1241. [Google Scholar] [CrossRef]
- Stradling, J.R.; Kozar, L.F.; Dark, J.; Kirby, T.; Andrey, S.M.; Phillipson, E.A. Effect of Acute Diaphragm Paralysis on Ventilation in Awake and Sleeping Dogs. Am. Rev. Respir. Dis. 1987, 136, 633–637. [Google Scholar] [CrossRef]







Disclaimer/Publisher’s Note: The statements, opinions and data contained in all publications are solely those of the individual author(s) and contributor(s) and not of MDPI and/or the editor(s). MDPI and/or the editor(s) disclaim responsibility for any injury to people or property resulting from any ideas, methods, instructions or products referred to in the content. |
© 2024 by the authors. Licensee MDPI, Basel, Switzerland. This article is an open access article distributed under the terms and conditions of the Creative Commons Attribution (CC BY) license (https://creativecommons.org/licenses/by/4.0/).
Share and Cite
Cañón Pérez, A.; Redondo García, J.I.; Hernández Magaña, E.Z.; Martínez Albiñana, A.; Marti-Scharhausen Sánchez, M.d.l.R.; Bonastre Ráfales, C.; Otero, P.E.; García Fernández, A.; Viscasillas, J. A Novel Ultrasound-Guided Cervical Plexus Block: A Cadaveric Canine Study. Animals 2024, 14, 3094. https://doi.org/10.3390/ani14213094
Cañón Pérez A, Redondo García JI, Hernández Magaña EZ, Martínez Albiñana A, Marti-Scharhausen Sánchez MdlR, Bonastre Ráfales C, Otero PE, García Fernández A, Viscasillas J. A Novel Ultrasound-Guided Cervical Plexus Block: A Cadaveric Canine Study. Animals. 2024; 14(21):3094. https://doi.org/10.3390/ani14213094
Chicago/Turabian StyleCañón Pérez, Ariel, José I. Redondo García, Eva Z. Hernández Magaña, Agustín Martínez Albiñana, María de los Reyes Marti-Scharhausen Sánchez, Cristina Bonastre Ráfales, Pablo E. Otero, Ana García Fernández, and Jaime Viscasillas. 2024. "A Novel Ultrasound-Guided Cervical Plexus Block: A Cadaveric Canine Study" Animals 14, no. 21: 3094. https://doi.org/10.3390/ani14213094
APA StyleCañón Pérez, A., Redondo García, J. I., Hernández Magaña, E. Z., Martínez Albiñana, A., Marti-Scharhausen Sánchez, M. d. l. R., Bonastre Ráfales, C., Otero, P. E., García Fernández, A., & Viscasillas, J. (2024). A Novel Ultrasound-Guided Cervical Plexus Block: A Cadaveric Canine Study. Animals, 14(21), 3094. https://doi.org/10.3390/ani14213094

