Assessment of Bacterial Contamination and Antimicrobial Resistance of Escherichia coli Isolates from Slovak Dairy Farms
Simple Summary
Abstract
1. Introduction
2. Materials and Methods
2.1. Collection, Processing and Identification
2.2. Antimicrobial Resistance Analysis
3. Results and Discussion
3.1. Microbial Contaminations and Microclimate Conditions
3.2. Antimicrobial Resistance of E. coli Isolates
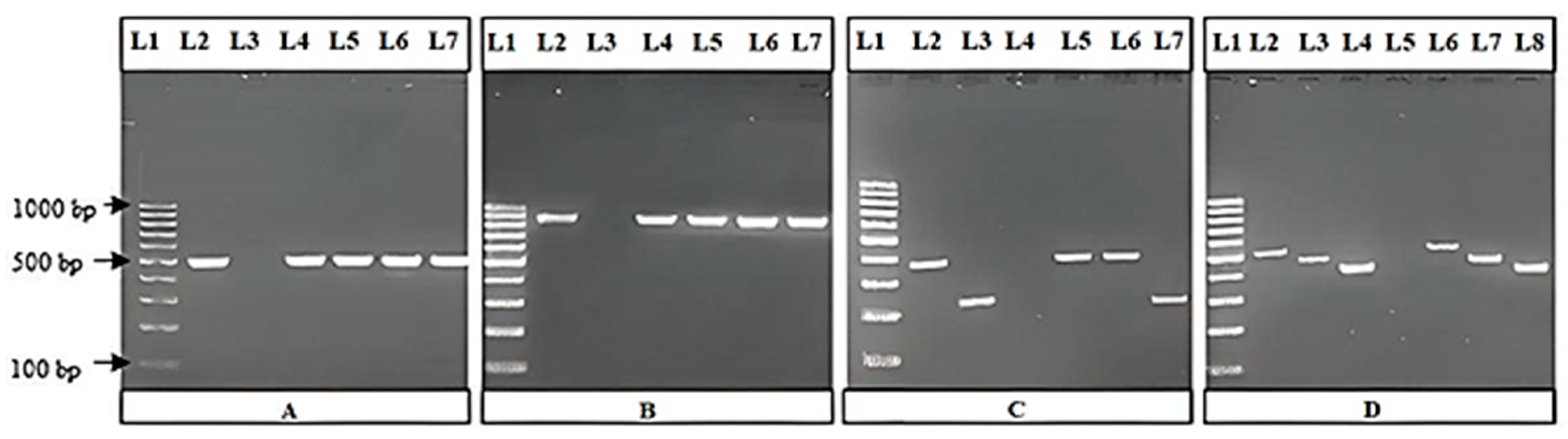
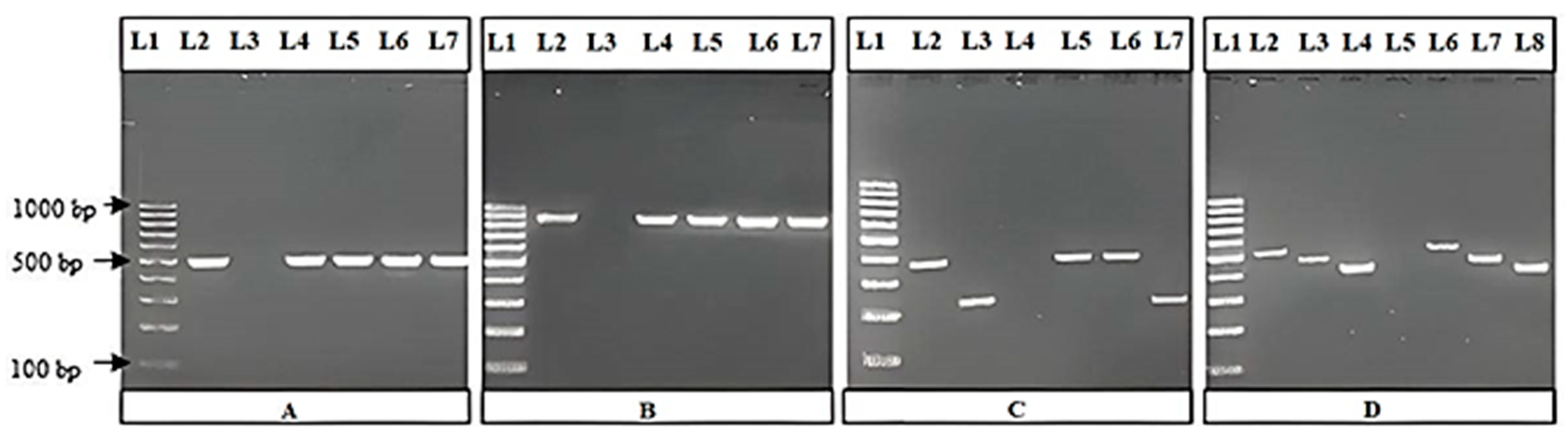
- (A)
- L1—standard GeneRuler 100 bp DNA ladder, L2—positive control, L3—negative control, L4—L7 isolates positive for 16S rRNA gene (585 bp);
- (B)
- L1—standard GeneRuler 100 bp DNA ladder, L2—positive control, L3—negative control, L4—L7 isolates positive for blaTEM gene (858 bp);
- (C)
- L1—standard GeneRuler 100 bp DNA ladder, L2—positive control (tetA), L3—positive control (tetB), L4—negative control, L5 and L6—isolates positive for tetA gene (372 bp), L7—isolate positive for tetB gene (228 bp);
- (D)
- L1—standard GeneRuler 100 bp DNA ladder, L2—positive control (qnrA), L3—positive control (qnrB), L4—positive control (qnrS), L5—negative control, L6—isolate positive for qnrA gene (516 bp), L7—isolate positive for qnrB gene (469 bp), L8—isolate positive for qnrS gene (417 bp).
4. Conclusions
Author Contributions
Funding
Institutional Review Board Statement
Informed Consent Statement
Data Availability Statement
Conflicts of Interest
References
- Farkašová, M.; Országhová, D. Slovakia’s Self-sufficiency in Selected Food Products. In Proceedings of the Sustainable, Resilient and Fair Food Systems in the EU and Globally International Scientific Symposium, Bratislava - Nitra, Slovak Republic, 6–7 October 2022. [Google Scholar]
- Ru, L.; Ding, L.; Deng, S.; Li, Q.; Zhao, W.; Wang, R.; Li, J.; Lu, Y.; Yao, C. Distribution characteristics and factors influencing culturable bacterial bioaerosols on a dairy farm in northern China. Agriculture 2023, 13, 1752. [Google Scholar] [CrossRef]
- Karwowska, E. Microbiological air contamination in farming environment. Pol. J. Environ. Stud. 2005, 14, 445–449. [Google Scholar]
- Jeżak, K.; Kozajda, A. Occurrence and spread of antibiotic-resistant bacteria on animal farms and in their vicinity in Poland and Ukraine—Review. Environ. Sci. Pollut. Res. 2022, 29, 9533–9559. [Google Scholar] [CrossRef] [PubMed]
- Khishigtuya, T.; Matsuyama, H.; Suzuki, K.; Watanabe, T.; Nishiyama, M. Prevalence of antibiotic-resistant Escherichia coli isolated from beef cattle and dairy cows in a livestock farm in Yamagata, Japan. Microorganisms 2024, 12, 1342. [Google Scholar] [CrossRef]
- Tabaran, A.; Soulageon, V.; Chirila, F.; Reget, O.L.; Mihaiu, M.; Borzan, M.; Dan, S.D. Pathogenic E. coli from cattle as a reservoir of resistance genes to various groups of antibiotics. Antibiotics 2022, 11, 404. [Google Scholar] [CrossRef]
- Kerluku, M.; Ratkova Manovska, M.; Prodanov, M.; Stojanovska-Dimzoska, B.; Hajrulai-Musliu, Z.; Jankuloski, D.; Blagoevska, K. Phenotypic and genotypic analysis of antimicrobial resistance of commensal Escherichia coli from dairy cows’ feces. Processes 2023, 11, 1929. [Google Scholar] [CrossRef]
- Poirel, L.; Madec, J.; Lupo, A.; Schink, A.; Kieffer, N.; Nordmann, P.; Schwarz, S. Antimicrobial resistance in Escherichia coli. Microbiol. Spectr. 2018, 6, 10–1128. [Google Scholar] [CrossRef]
- Guo, L.; Zhao, B.; Jia, Y.; He, F.; Chen, W. Mitigation strategies of air pollutants for mechanical ventilated livestock and poultry housing—A review. Atmosphere 2022, 13, 452. [Google Scholar] [CrossRef]
- Wang, H.; Qi, J.F.; Qin, R.; Ding, K.; Graham, D.W.; Zhu, Y.G. Intensified livestock farming increases antibiotic resistance genotypes and phenotypes in animal feces. Commun. Earth Environ. 2023, 4, 123. [Google Scholar] [CrossRef]
- ISO Standard 6887-1; Microbiology of the Food Chain—Preparation of Test Samples, Initial Suspension and Decimal Dilutions for Microbiological Examination—Part 1: General Rules for the Preparation of the Initial Suspension and Decimal Dilutions. Slovak Standards Institute: Bratislava, Slovakia, 2017.
- Gattringer, R.; Niks, M.; Ostertag, R.; Schwarz, K.; Medvedovic, H.; Graninger, W.; Georgopoulos, A. Evaluation of MIDITECH automated colorimetric MIC reading for antimicrobial susceptibility testing. J. Antimicrob. Chemother. 2002, 49, 651–659. [Google Scholar] [CrossRef]
- European Committee on Antimicrobial Susceptibility Testing. Breakpoint Tables for Interpretation of MICs and Zone Diameters, Version 14.0. 2024. Available online: https://www.eucast.org/fileadmin/src/media/PDFs/EUCAST_files/Breakpoint_tables/v_14.0_Breakpoint_Tables.pdf (accessed on 1 January 2024).
- Gregová, G.; Kmeť, V.; Szabóová, T. New insight on antibiotic resistance and virulence of Escherichia coli from municipal and animal wastewater. Antibiotics 2021, 10, 1111. [Google Scholar] [CrossRef] [PubMed]
- Amit-Romach, E.; Sklan, D.; Uni, Z. Microflora ecology of the chicken intestine using 16S ribosomal DNA primers. Poult. Sci. 2004, 83, 1093–1098. [Google Scholar] [CrossRef]
- Guillaume, G.; Verbrugge, D.; Chasseur-Libotte, M.L.; Moens, W.; Collard, J. PCR typing of tetracycline resistance determinants (tetA-E) in Salmonella enterica serotype Hadar and in the microbial community of activated sludges from hospital and urban wastewater treatment facilities in Belgium. FEMS Microbiol. Ecol. 2000, 32, 77–85. [Google Scholar] [CrossRef] [PubMed][Green Version]
- Robicsek, A.; Strahilevitz, J.; Sahm, D.F.; Jacoby, G.A.; Hooper, D.C. Qnr prevalence in ceftazidime-resistant Enterobacteriaceae isolates from the United States. Antimicrob. Agents Chemother. 2006, 50, 2872–2874. [Google Scholar] [CrossRef]
- Kerrn, M.B.; Klemmensen, T.; Frimodt-Møller, N.; Espersen, F. Susceptibility of Danish Escherichia coli strains isolated from urinary tract infections and bacteraemia, and distribution of sul genes conferring sulphonamide resistance. J. Antimicrob. Chemother. 2002, 50, 513–516. [Google Scholar] [CrossRef]
- Yates, C.; Brown, D.J.; Edwards, G.F.S.; Amyes, S.G.B. Detection of TEM-52 in Salmonella enterica serovar Enteritidis isolated in Scotland. J. Antimicrob. Chemother. 2004, 53, 407–408. [Google Scholar] [CrossRef]
- Socohou, A.; Adjobimey, T.; Nanoukon, C.H.; Sina, H.; Kakossou, M.; Moussé, W.; Adjanohoun, A.; Baba-Moussa, L. Genetic diversity and virulence factors of Gram-negative bacilli isolated at the CHU-Z in Abomey-Calavi/So-Ava (Benin). Sci. Afr. 2022, 18, e01426. [Google Scholar] [CrossRef]
- Pérez-Pérez, F.J.; Hanson, N.D. Detection of plasmid-mediated AmpC β-lactamase genes in clinical isolates by using multiplex PCR. J. Clin. Microbiol. 2002, 40, 2153–2162. [Google Scholar] [CrossRef] [PubMed]
- Clark, B.; Panzone, L.A.; Stewart, G.B.; Kyriazakis, I.; Niemi, J.K.; Latvala, T.; Tranter, R.; Jones, P.; Frewer, L.J. Consumer attitudes towards production diseases in intensive production systems. PLoS ONE 2019, 14, e0210432. [Google Scholar] [CrossRef]
- Lou, C.H.; Bai, Y.; Chai, T.; Yu, H.; Lin, T.; Hu, G.; Guan, Y.; Wu, B. Research progress on distribution and exposure risk of microbial aerosols in animal houses. Front. Vet. Sci. 2022, 9, 1015238. [Google Scholar] [CrossRef]
- Smit, L.A.M.; Heederik, D. Impacts of intensive livestock production on human health in densely populated regions. GeoHealth 2017, 1, 272–277. [Google Scholar] [CrossRef] [PubMed]
- Szulc, J.; Okrasa, M.; Dybka-Stępień, K.; Sulyok, M.; Nowak, A.; Otlewska, A.; Szponar, B.; Majchrzycka, K. Assessment of microbiological indoor air quality in cattle breeding farms. Aerosol Air Qual. Res. 2020, 20, 1353–1373. [Google Scholar] [CrossRef]
- Lange, J.L.; Thorne, P.S.; Kullman, G.J. Determinants of culturable bioaerosol concentrations in dairy barns. Ann. Agric. Environ. Med. 1997, 4, 187–194. [Google Scholar]
- Black, C.A.; Benavides, R.; Bandy, S.M.; Dallas, S.D.; Gawrys, G.; So, W.; Moreira, A.G.; Aguilar, S.; Quidilla, K.; Smelter, D.F.; et al. Diverse role of blaCTX-M and porins in mediating ertapenem resistance among carbapenem-resistant Enterobacterales. Antibiotics 2024, 13, 185. [Google Scholar] [CrossRef]
- Virto, M.; Santamarina-Garcia, G.; Amores, G.; Hernandéz, I. Antibiotics in dairy production: Where is the problem? Dairy 2022, 3, 541–564. [Google Scholar] [CrossRef]
- Widodo, A.; Lamid, M.; Effendi, M.H.; Tyasningsih, V.; Raharjo, D.; Khairullah, A.R.; Kurniawan, S.C.; Yustinasari, L.R.; Riwu, K.H.P.; Silaen, O.S.M. Molecular identification of blaTEM and blaCTX-M genes in multidrug-resistant Escherichia coli found in milk samples from dairy cattle farms in Tulungagung, Indonesia. J. Vet. Res. 2023, 67, 381–388. [Google Scholar] [CrossRef]
- Heider, L.C.; Hoet, A.E.; Wittum, T.E.; Khaitsa, M.L.; Love, B.C.; Huston, C.L.; Morley, P.S.; Funk, J.A.; Gebreyes, W.A. Genetic and phenotypic characterization of the blaCMY gene from Escherichia coli and Salmonella enterica isolated from food-producing animals, humans, the environment, and retail meat. Foodborne Pathog. Dis. 2009, 6, 1235–1240. [Google Scholar] [CrossRef]
- Shoaib, M.; He, Z.; Geng, X.; Tang, M.; Hao, R.; Wang, S.; Shang, R.; Wang, X.; Zhang, H.; Pu, W. The emergence of multi-drug resistant and virulence gene carrying Escherichia coli strains in the dairy environment: A rising threat to the environment, animal, and public health. Front. Microbiol. 2023, 14, 1197579. [Google Scholar] [CrossRef]
- Sobur, M.A.; Sabuj, A.A.M.; Sarker, R.; Rahman, A.M.M.T.; Kabir, S.M.L.; Rahman, M.T. Antibiotic-resistant Escherichia coli and Salmonella spp. associated with dairy cattle and farm environment having public health significance. Vet. World 2019, 12, 984–993. [Google Scholar] [CrossRef]
- Yee, R.; Bard, J.D.; Simner, P.J. The genopype-to-phenotype dilemma: How should laboratories approach discordant susceptibility results? J. Clin. Microbiol. 2021, 59, e00138-20. [Google Scholar] [CrossRef]
- Corona, F.; Martinez, J.L. Phenotypic resistance to antibiotics. Antibiotics 2013, 2, 237–255. [Google Scholar] [CrossRef] [PubMed]


| Selective Medium | Microorganisms | Incubation | |
|---|---|---|---|
| Temperature [°C] | Time [h] | ||
| Meat Peptone Agar | Total count of bacteria | 37 | 24 |
| Endo Agar | Coliform bacteria | 37 | 24 |
| Sabouraud Agar | Molds | 22 | 72 |
| Gene | Primer Sequences (5′–3′) | Annealing Temperature (°C) | Product Size (bp) | References |
|---|---|---|---|---|
| 16S rRNA | GACCTCGGTTTAGTTCACAGA CACACGCTGACGCTGACCA | 55 | 585 | [15] |
| tetA | GGCCTCAATTTCCTGACG AAGCAGGATGTAGCCTGTGC | 54 | 372 | [16] |
| tetB | GAGACGCAATCGAATTCGG TTTAGTGGCTATTCTTCCTGCC | 54 | 228 | |
| qnrA | ATTTCTCACGCCAGGATTTG GATCGGCAAAGGTTAGGTCA | 57 | 516 | [17] |
| qnrB | GATCGTGAAAGCCAGAAAGG ACGATGCCTGGTAGTTGTCC | 57 | 469 | |
| qnrS | ACGACATTCGTCAACTGCAA TAAATTGGCACCCTGTAGGC | 57 | 417 | |
| sul1 | CGGCGTGGGCTACCTGAACG GCCGATCGCGTGAAGTTCCG | 55 | 433 | [18] |
| sul2 | GCGCTCAAGGCAGATGGCATT GCGTTTGATACCGGCACCCGT | 68 | 293 | |
| blaTEM | ATGAGTATTCAACATTTCCG CCAATGCTTAATCAGTGAGG | 55 | 858 | [19] |
| blaSHV | ATGCGTTATATTCGCCTGTG TTAGCGTTGCCAGTGCTC | 57 | 400 | [20] |
| blaCMY | TGGCCAGAACTGACAGGCAAA TTTCTCCTGAACGTGGCTGGC | 64 | 462 | [21] |
| Place of Sampling | TCB | CB | Molds | T [°C] | RH [%] |
|---|---|---|---|---|---|
| log10 CFU/mL | |||||
| Delivery room | 5.72 ± 2.3 | 3.34 ± 1.3 | 4.33 ± 2.1 | 10.8 ± 1.2 | 75.4 ± 6.1 |
| Calves in milk nutrition period | 3.01 ± 0.8 | 2.39 ± 1.0 | 3.00 ± 1.1 | 7.7 ± 0.8 | 86.7 ± 10.3 |
| Calves in vegetable nutrition period | 4.13 ± 1.7 | 2.78 ± 0.9 | 4.16 ± 2.4 | 8.9 ± 2.7 | 77.3 ± 5.7 |
| Dairy cows | 4.91 ± 1.2 | 3.15 ± 1.5 | 4.05 ± 2.8 | 6.5 ± 3.4 | 90.5 ± 6.4 |
| Gravid cows | 4.21 ± 2.6 | 2.18 ± 0.4 | 4.03 ± 1.7 | 10.1 ± 4.1 | 69.9 ± 7.2 |
| Heifers | 6.90 ± 4.1 | 3.7 ± 2.7 | 4.57 ± 2.2 | 7.4 ± 1.7 | 88.2 ± 9.8 |
| No. of Isolate | Phenotypic Resistance | Mechanism of Resistance | Genotypic Resistance |
|---|---|---|---|
| 1 | AMP, CFT, TZL, NAL, STM, AMI, COT | Multiresistance | qnrS, blaTEM, sul1, sul2 |
| 2 | CFT, TZL, STM, AMI, CIP | AGL AAC (6′)I | qnrS |
| 3 | AMP, CFT, TZL, STM, CIP, TET | Multiresistance; AGL AAC (6′)I | tetA, blaTEM, qnrA |
| 4 | AMP, GEN, STM, TET, COT | Penicillinase resistance | tetB, blaTEM, sul1, sul2 |
| 5 | AMP, CFT, CTR, CFQ | ESBL | without genes |
| 6 | AMP, A + IB, CFT, CTR, TZL, CFQ, GEN, STM, CIP, TET, COT | ESBL; multiresistance | tetA, tetB, qnrA, blaTEM, blaCMY, sul1, sul2 |
| 7 | AMP, CIP, TET | Penicillinase resistance | tetB, qnrA, blaTEM, sul2 |
| 8 | AMP, NAL, TET | Quinolone resistance | tetA, qnrA, blaTEM, sul1, sul2 |
| 9 | AMP, A + IB, CFT, CTR, CFQ, TET, COL, COT | ESBL; quinolone resistance; multiresistance | blaTEM, sul1, sul2 |
| 10 | AMP, A + IB, CFT, CTR, NAL, TET, COL, COT | Multiresistance; quinolone resistance | blaTEM, blaSHV, sul1, sul2 |
Disclaimer/Publisher’s Note: The statements, opinions and data contained in all publications are solely those of the individual author(s) and contributor(s) and not of MDPI and/or the editor(s). MDPI and/or the editor(s) disclaim responsibility for any injury to people or property resulting from any ideas, methods, instructions or products referred to in the content. |
© 2024 by the authors. Licensee MDPI, Basel, Switzerland. This article is an open access article distributed under the terms and conditions of the Creative Commons Attribution (CC BY) license (https://creativecommons.org/licenses/by/4.0/).
Share and Cite
Dančová, N.; Gregová, G.; Szabóová, T. Assessment of Bacterial Contamination and Antimicrobial Resistance of Escherichia coli Isolates from Slovak Dairy Farms. Animals 2024, 14, 3095. https://doi.org/10.3390/ani14213095
Dančová N, Gregová G, Szabóová T. Assessment of Bacterial Contamination and Antimicrobial Resistance of Escherichia coli Isolates from Slovak Dairy Farms. Animals. 2024; 14(21):3095. https://doi.org/10.3390/ani14213095
Chicago/Turabian StyleDančová, Nikola, Gabriela Gregová, and Tatiana Szabóová. 2024. "Assessment of Bacterial Contamination and Antimicrobial Resistance of Escherichia coli Isolates from Slovak Dairy Farms" Animals 14, no. 21: 3095. https://doi.org/10.3390/ani14213095
APA StyleDančová, N., Gregová, G., & Szabóová, T. (2024). Assessment of Bacterial Contamination and Antimicrobial Resistance of Escherichia coli Isolates from Slovak Dairy Farms. Animals, 14(21), 3095. https://doi.org/10.3390/ani14213095

