Intensive Multimodal Chemotherapy in a Dog Suffering from Grade III/Stage IV Solid Mammary Carcinoma
Abstract
Simple Summary
Abstract
1. Introduction
2. Materials and Methods
3. Case Report
3.1. Clinical Presentation
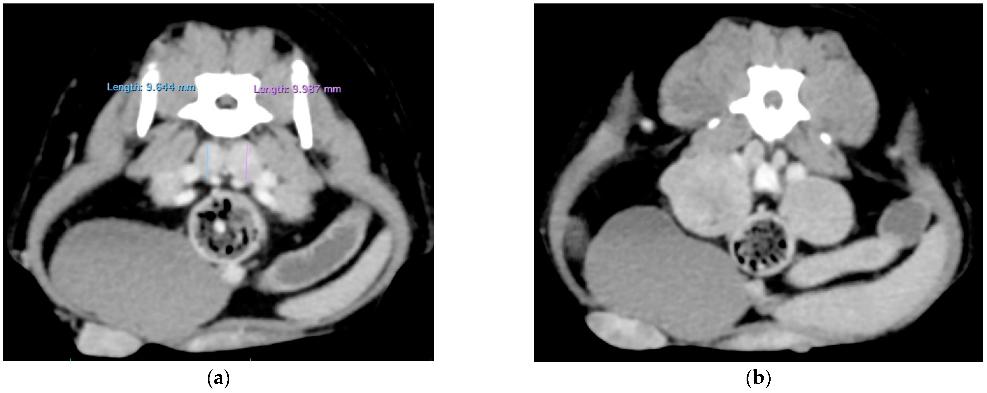
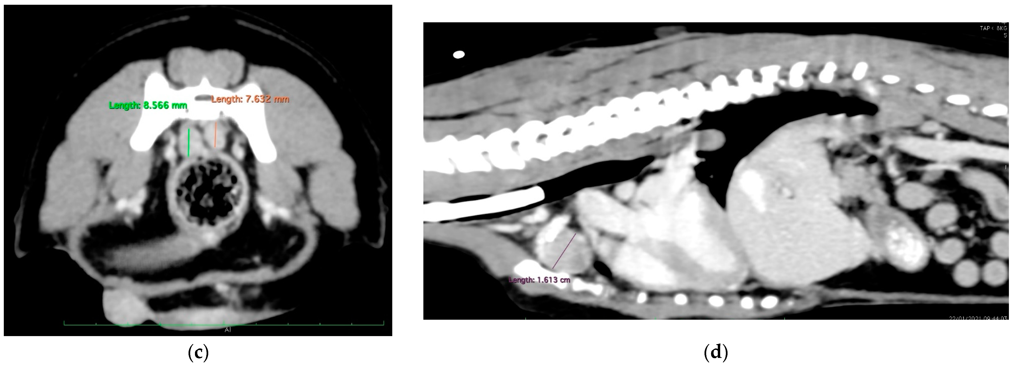
3.2. Additional Medical Tests
3.3. Surgery
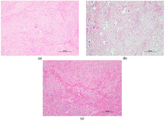
3.4. Histological Description
3.5. Adjuvant Treatment
3.6. Quality of Life and Follow-Up
4. Discussion
5. Conclusions
Author Contributions
Funding
Institutional Review Board Statement
Informed Consent Statement
Data Availability Statement
Acknowledgments
Conflicts of Interest
References
- Suryawanshi, R.V. Assessment of Efficacy and Toxicity of Cyclophosphamide Chemotherapy in Canines with Malignant Mammary Tumor: A Retrospective Study. Vet. Med. Int. 2021, 2021, 5520603. [Google Scholar] [CrossRef] [PubMed]
- Karayannopoulou, M.; Kaldrymidou, E.; Constantinidis, T.C.; Dessiris, A. Adjuvant Post-operative Chemotherapy in Bitches with Mammary Cancer. J. Vet. Med. A 2001, 48, 85–96. [Google Scholar] [CrossRef]
- Lavalle, G.E.; De Campos, C.B.; Bertagnolli, C.; Cassali, G.D. Canine Malignant Mammary Gland Neoplasms with Advanced Clinical Staging Treated with Carboplatin and Cyclooxygenase Inhibitors. Vivo 2012, 26, 375–380. [Google Scholar]
- Tran, C.M.; Moore, A.S.; Frimberger, A.E. Surgical treatment of mammary carcinomas in dogs with or without postoperative chemotherapy. Vet. Comp. Oncol. 2014, 14, 252–262. [Google Scholar] [CrossRef] [PubMed]
- Marconato, L.; Lorenzo, R.M.; Abramo, F.; Ratto, A.; Zini, E. Adjuvant gemcitabine after surgical removal of aggressive malignant mammary tumours in dogs. Vet. Comp. Oncol. 2008, 6, 90–101. [Google Scholar] [CrossRef]
- Simon, D.; Schoenrock, D.; Baumgartner, W.; Nolte, I. Postoperative Adjuvant Treatment of Invasive Malignant Mammary Gland Tumors in Dogs with Doxorubicin and Docetaxel. J. Vet. Intern. Med. 2006, 20, 1184–1190. [Google Scholar] [CrossRef]
- Machado, M.C.; da Costa-Neto, J.M.; Portela, R.D.; D’Assis, M.J.M.H.; Martins-Filho, O.A.; Barrouin-Mello, S.; Ferreira Borges, N.; Silva, F.L.; Estrela-Lima, A. The effect of naltrexone as a carboplatin chemotherapy-associated drug on the immune response, quality of life and survival of dogs with mammary carcinoma. PLoS ONE 2018, 13, e0204830. [Google Scholar] [CrossRef]
- Valdivia, G.; Alonso-Diez, Á.; Pérez-Alenza, D.; Peña, L. From Conventional to Precision Therapy in Canine Mammary Cancer: A Comprehensive Review. Front. Vet. Sci. 2021, 8, 623800. [Google Scholar] [CrossRef]
- LeBlanc, A.K.; Atherton, M.; Bentley, R.T.; Boudreau, C.E.; Burton, J.H.; Curran, K.M.; Dow, S.; Giuffrida, M.A.; Kellihan, H.B.; Mason, N.J.; et al. Veterinary Cooperative Oncology Group-Common Terminology Criteria for Adverse Events (VCOG-CTCAE v2) following investigational therapy in dogs and cats. Vet. Comp. Oncol. 2021, 19, 311–352. [Google Scholar] [CrossRef]
- Goldschmidt, M.; Peña, L.; Rasotto, R.; Zappulli, V. Classification and grading of canine mammary tumors. Vet. Pathol. 2011, 48, 117–131. [Google Scholar] [CrossRef]
- Abadie, J.; Nguyen, F.; Loussouarn, D.; Peña, L.; Gama, A.; Rieder, N.; Belousov, A.; Bemelmans, I.; Jaillardon, L.; Ibisch, C.; et al. Canine invasive mammary carcinomas as models of human breastcancer. Part 2: Immunophenotypes and prognostic significance. Breast Cancer Res. Treat. 2018, 167, 459–468. [Google Scholar] [CrossRef] [PubMed]
- Peña, L.; De Andrés, P.J.; Clemente, M.; Cuesta, P.; Pérez-Alenza, M.D. Prognostic Value of Histological Grading in Noninflammatory Canine Mammary Carcinomas in a Prospective Study with Two-Year Follow-Up: Relationship with Clinical and Histological Characteristics. Vet. Pathol. 2013, 50, 94–105. [Google Scholar] [CrossRef]
- Canadas, A.; França, M.; Pereira, C.; Vilaça, R.; Vilhena, H.; Tinoco, F.; Silva, M.J.; Ribeiro, J.; Medeiros, R.; Oliveira, P.; et al. Canine Mammary Tumors: Comparison of Classification and Grading Methods in a Survival Study. Vet. Pathol. 2019, 56, 208–219. [Google Scholar] [CrossRef] [PubMed]
- de Araújo, M.R.; Campos, L.C.; Ferreira, E.; Cassali, G.D. Quantitation of the Regional Lymph Node Metastatic Burden and Prognosis in Malignant Mammary Tumors of Dogs. J. Vet. Intern. Med. 2015, 29, 1360–1367. [Google Scholar] [CrossRef]
- Chocteau, F.; Abadie, J.; Loussouarn, D.; Nguyen, F. Proposal for a Histological Staging System of Mammary Carcinomas in Dogs and Cats. Part 1: Canine Mammary Carcinomas. Front. Vet. Sci. 2019, 6, 388. [Google Scholar] [CrossRef]
- Nguyen, F.; Peña, L.; Ibisch, C.; Loussouarn, D.; Gama, A.; Rieder, N.; Belousov, A.; Campone, M.; Abadie, J. Canine invasive mammary carcinomas as models of human breast cancer. Part 1: Natural history and prognostic factors. Breast Cancer Res. Treat. 2018, 167, 635–648. [Google Scholar] [CrossRef]
- Marconato, L.; Facchinetti, A.; Zanardello, C.; Rossi, E.; Vidotto, R.; Capello, K.; Melchiotti, E.; Laganga, P.; Zamarchi, R.; Vascellari, M. Detection and Prognostic Relevance of Circulating and Disseminated Tumour Cell in Dogs with Metastatic Mammary Carcinoma: A Pilot Study. Cancers 2019, 11, 163. [Google Scholar] [CrossRef]
- Jaillardon, L.; Barthélemy, A.; Goy-Thollot, I.; Pouzot-Nevoret, C.; Fournel-Fleury, C. Mammary gland carcinoma in a dog with peripheral blood and bone marrow involvement associated with disseminated intravascular coagulation. Vet. Clin. Pathol. 2012, 41, 261–265. [Google Scholar] [CrossRef] [PubMed]
- Clemente, M.; Pérez-Alenza, M.D.; Peña, L. Metastasis of canine inflammatory versus non-inflammatory mammary tumours. J. Comp. Pathol. 2010, 143, 157–163. [Google Scholar] [CrossRef]
- Cooley, D.M.; Waters, D.J. Skeletal metastasis as the initial clinical manifestation of metastatic carcinoma in 19 dogs. J. Vet. Intern. Med. 1998, 12, 288–293. [Google Scholar] [CrossRef]
- Taylor, B.E.; Leibman, N.F.; Luong, R.; Loar, A.S.; Craft, D.M. Detection of carcinoma micrometastases in bone marrow of dogs and cats using conventional and cell block cytology. Vet. Clin. Pathol. 2013, 42, 85–91. [Google Scholar] [CrossRef] [PubMed]
- Flory, A.; Kruglyak, K.M.; Tynan, J.A.; McLennan, L.M.; Rafalko, J.M.; Fiaux, P.C.; Hernandez, G.E.; Marass, F.; Nakashe, P.; Ruiz-Perez, C.A.; et al. Clinical validation of a next-generation sequencing-based multi-cancer early detection “liquid biopsy” blood test in over 1000 dogs using an independent testing set: The CANcer Detection in Dogs (CANDiD) study. PLoS ONE 2022, 17, e0266623. [Google Scholar] [CrossRef] [PubMed]
- Arenas, C.; Peña, L.; Granados-Soler, J.L.; Pérez-Alenza, M.D. Adjuvant therapy for highly malignant canine mammary tumours: Cox-2 inhibitor versus chemotherapy: A case–control prospective study. Vet. Rec. 2016, 179, 125. [Google Scholar] [CrossRef] [PubMed]
- Machado, M.C.; Yamamoto, P.A.; Pippa, L.F.; de Moraes, N.V.; Neves, F.M.F.; Portela, R.D.; Barrouin-Melo, S.M.; Hielm-Björkman, A.; Godoy, A.L.P.C.; Estrela-Lima, A. Pharmacokinetics of Carboplatin in Combination with Low-Dose Cyclophosphamide in Female Dogs with Mammary Carcinoma. Animals 2022, 12, 3109. [Google Scholar] [CrossRef] [PubMed]
- Queiroga, F.L.; Pires, I.; Lobo, L.; Lopes, C.S. The role of Cox-2 expression in the prognosis of dogs with malignant mammary tumours. Res. Vet. Sci. 2010, 88, 441–445. [Google Scholar] [CrossRef]
- Campos, C.B.D.E.; Lavalle, G.E.; Monteiro, L.N.; Pêgas, G.R.A.; Fialho, S.L.; Balabram, D. Adjuvant thalidomide and metronomic chemotherapy for the treatment of canine malignant mammary gland neoplasms. Vivo 2018, 32, 1659–1666. [Google Scholar] [CrossRef]
- De Souza, C.H.; Toledo-Piza, E.; Amorin, R.; Barboza, A.; Tobias, K.M. Inflammatory mammary carcinoma in 12 dogs: Clinical features, cyclooxygenase-2 expression, and response to piroxicam treatment. Can. Vet. J. 2009, 50, 506–510. [Google Scholar]
- Rossi, F.; Sabattini, S.; Vascellari, M.; Marconato, L. The impact of toceranib, piroxicam and thalidomide with or without hypofractionated radi ation therapy on clinical outcome in dogs with inflammatory mammary carcinoma. Vet. Comp. Oncol. 2018, 16, 497–504. [Google Scholar] [CrossRef]
- Vieira, T.C.; Oliveira, E.A.; Dos Santos, B.J.; Souza, F.R.; Veloso, E.S.; Nunes, C.B.; Del Puerto, H.L.; Cassali, G.D. COX-2 expression in mammary invasive micropapillary carcinoma is associated with prognostic factors and acts as a potential therapeutic target in comparative oncology. Front. Vet. Sci. 2022, 12, 983110. [Google Scholar] [CrossRef]
- Brandi, A.; de Faria Lainetti, P.; Elias, F.; Rodrigues, M.M.P.; Fagundes Moraes, L.; Laufer-Amorim, R.; de Camargo, L.S.; Salles Gomes, C.O.M.; Fonseca-Alves, C.E. Firocoxib as a Potential Neoadjuvant Treatment in Canine Patients with Triple-Negative Mammary Gland Tumors. Animals 2022, 13, 60. [Google Scholar] [CrossRef]
- Alonso-Miguel, D.; Valdivia, G.; García-San José, P.; Alonso-Diez, Á.; Clares, I.; Portero, M.; Peña, L.; Pérez-Alenza, M.D. Clinical outcome of dogs diagnosed with canine inflammatory mammary cancer treated with metronomic cyclophosphamide, a cyclooxygenase-2 inhibitor and toceranib phosphate. Vet. Comp. Oncol. 2022, 20, 179–188. [Google Scholar] [CrossRef] [PubMed]
- DeVita, V.T.; Chu, E. Principles of Medical Oncology. In Cancer: Principles and Practice of Oncology, 8th ed.; DeVita, V.T., Rosenberg, S.A., Eds.; Lippincott-Raven Publishers: Philadelphia, PA, USA, 2008; pp. 340–342. [Google Scholar]
- London, C.A.; Gardner, H.L.; Mathie, T.; Stingle, N.; Portela, R.; Pennell, M.L.; Clifford, C.A.; Rosenberg, M.P.; Vail, D.M.; Williams, L.E.; et al. Impact of Toceranib/Piroxicam/Cyclophosphamide Maintenance Therapy on Outcome of Dogs with Appendicular Osteosarcoma following Amputation and Carboplatin Chemotherapy: A Multi-Institutional Study. PLoS ONE 2015, 10, e0124889. [Google Scholar] [CrossRef] [PubMed]
- Chon, E.; McCartan, L.; Kubicek, L.N.; Vail, D.M. Safety evaluation of combination toceranib phosphate (Palladia®) and piroxicam in tumour-bearing dogs (excluding mast cell tumours): A phase I dose-finding study. Vet. Comp. Oncol. 2012, 10, 184–193. [Google Scholar] [CrossRef] [PubMed]
- Vargas Estrada, C.R.; Firmo, B.F.; Belchior Vela, D.; Maronezi, M.C.; Ramirez Uscategui, R.A.; Gasser, B.; Rossi Feliciano, M.A.; Pavan, L.; Nogueira Aires, L.P.; Piovan Lima, G.; et al. Ultrasonographic assessment of renal perfusion in bitches with mammary carcinoma treated with long-term carprofen. Sci. Rep. 2021, 11, 23277. [Google Scholar] [CrossRef] [PubMed]
- Wouda, R.M.; Hocker, S.E.; Higginbotham, M.L. Safety evaluation of combination carboplatin and toceranib phosphate (Palladia) in tumour-bearing dogs: A phase I dose finding study. Vet. Comp. Oncol. 2018, 16, E52–E60. [Google Scholar] [CrossRef]
- Beata, C.; Beaudu-Lange, C.; Muller, C. Jusqu’où va-t-on dans les soins donnés à nos animaux de compagnie? Rev. Vét. Clin. 2021, 56, 157–169. [Google Scholar] [CrossRef]







| Date | Weight | Surgery | Molecular Compounds | Clinical Events | |||||
|---|---|---|---|---|---|---|---|---|---|
| Carboplatine | Chloraminophene | Firocoxib, 14.2 mg/d | Toceranib, 10 mg | ||||||
| 27 January 2021-28 j0 | 4 | ||||||||
| 28 January 2021 | |||||||||
| 7 February 2021 j+11 | 2 mg EOD | ||||||||
| 6 February 2021 | wound dehiscence | ||||||||
| 8 February 2021 | wound dehiscence surgery | ||||||||
| 10 February 2021 | |||||||||
| 11 February 2021 j+25 | 4 | 270 mg/m² | |||||||
| 18 February 2021 | 2 mg EOD | ||||||||
| 4 March 2021 | |||||||||
| 5 March 2021 j+37 | 4.1 | 202 mg/m² | |||||||
| 13 March 2021 | 2 mg EOD | ||||||||
| 18 March 2021 | 4.450 | vulvar edema, | |||||||
| 26 March 2021 | 4.1 | 2.43 mg/kg EOD | vulvar edema, granulation of mammary tissue (ex Left M4–M5 location), bilateral increased prescapular LN. | ||||||
| 30 March 2021 j+62 | prescapular lymph nodes | ||||||||
| 16 April 2021 | 4 | correct surgical scar | |||||||
| 18 April 2021 | |||||||||
| 20 April 2021 | |||||||||
| 21 April 2021 | |||||||||
| 22 April 2021 | |||||||||
| 23 April 2021 j+86 | 4.2 | 162 mg/m² | |||||||
| 26 April 2021 | 2 mg every 3 days | ||||||||
| 28 April 2021 | 2.43 mg/kg EOD | ||||||||
| 1 May 2021 | |||||||||
| 10 May 2021 | 5 | normal clinical examination | |||||||
| 18 May 2021 | |||||||||
| 19 May 2021 | |||||||||
| 20 May 2021 j+113 | 4.89 | 151 mg/m² | |||||||
| 29 May 2021 | 2 mg every 3 days | ||||||||
| 1 June 2021 | |||||||||
| 3 June 2021 | |||||||||
| 12 June 2021 | |||||||||
| 13 June 2021 | |||||||||
| 22 June 2021 | |||||||||
| 23 June 2021 | |||||||||
| 25 June 2021 j+149 | 4.850 | 151 mg/m² | normal clinical examination | ||||||
| 29 June 2021 | 2 mg every 3 days | ||||||||
| 1 July 2021 | |||||||||
| 3 July 2021 | |||||||||
| 10 July 2021 | 5.250 | ||||||||
| 21 July 2021 | |||||||||
| 22 July 2021 | |||||||||
| 23 July 2021 j+175 | 4.930 | 151 mg/m² | normal clinical examination | ||||||
| 27 July 2021 | 2 mg every 3 days | ||||||||
| 29 July 2021 | |||||||||
| 31 July 2021 | |||||||||
| 2 August 2021 j+187 | left himb limb edema and ventral hematoma | ||||||||
| 7 August 2021 | left pelvic member edema, ventral hematoma, inguinal LN 18 mm (not infiltrated by cancer cells) | ||||||||
| 16 August 2021 | the hematoma is shrinking and the limb edema has disappeared | ||||||||
| 25 August 2021 | |||||||||
| 1 September 2021 | flaccid tail, evolving into posterior paresis within 24 h, spinal metastasis (CT examination) | ||||||||
| 2 September 2021 j+218 | death | ||||||||
| Date | RBCs (1012/L) SV [5.6–8.8] | PCV (%) SV [37.3–61.7] | Hb (g/dL) SV [13.1–20.5] | WBCs (109/L) SV [5.05–16.7] | Neutrophils (109/L) SV [2.9–11.6] | Monocytes (109/L) SV [0.16–1.12] | Lymphocytes (109/L) SV [1–5.1] | Platelets (103/µL) SV [148–484] | ALT (IU/L) SV [10–125] | Blood Creatinine (mg/L) SV [5–18] |
|---|---|---|---|---|---|---|---|---|---|---|
| 27–28 January 2021 | 7.85 | 49.4 | 17.3 | 9.33 | 7.83 | 0.61 | 0.68 | 195 | 157 | 5 |
| 5 March 2021 | 7.27 | 46.8 | 18.3 | 3.6 | 1.85 | 0.14 | 1.62 | 198 | 160 | 5 |
| 18 March 2021 | 7.36 | 46.5 | 15.9 | 6.16 | 2.94 | 0.36 | 2.85 | 65 | ||
| 26 March 2021 | 7.09 | 44.9 | 15.4 | 6.77 | 4.41 | 0.23 | 2.12 | 175 | 88 | 6.4 |
| 23 April 2021 | 6.92 | 44 | 15.1 | 4.69 | 3.94 | 0.3 | 0.19 | 314 | 56 | 5.8 |
| 10 May 2021 | 6.97 | 45.1 | 18.8 | 3.06 | 1.93 | 0.08 | 1.05 | 220 | 41 | 10.5 |
| 20 May 2021 | 7.75 | 50.3 | 16.8 | 4.18 | 3.52 | 0.27 | 0.17 | 266 | ||
| 5 June 2021 | 7.61 | 49 | 17 | 2.75 | 1.61 | 0.06 | 1.08 | 145 | 32 | 7.3 |
| 16 June 2021 | 8.05 | 52.5 | 15.4 | 4.18 | 2.61 | 0.06 | 1.51 | 158 | ||
| 25 June 2021 | 7.06 | 45.9 | 15.4 | 3.55 | 2.67 | 0.32 | 0.13 | 176 | 41 | 5.4 |
| 10 July 2021 | 6.88 | 45.5 | 15.7 | 2.88 | 2.2 | 0.07 | 0.61 | 147 | 32 | 10 |
| 7 August 2021 | 5.83 | 37.5 | 12.9 | 1.31 | 0.88 | 0.11 | 0.09 | 39 | ||
| 16 August 2021 | 6.94 | 44.9 | 14.6 | 3.83 | 3.32 | 0.08 | 0.42 | 35 | ||
| 25 August 2021 | 7.24 | 47.7 | 16 | 4.66 | 3.63 | 0.15 | 0.88 | 42 |
Disclaimer/Publisher’s Note: The statements, opinions and data contained in all publications are solely those of the individual author(s) and contributor(s) and not of MDPI and/or the editor(s). MDPI and/or the editor(s) disclaim responsibility for any injury to people or property resulting from any ideas, methods, instructions or products referred to in the content. |
© 2024 by the authors. Licensee MDPI, Basel, Switzerland. This article is an open access article distributed under the terms and conditions of the Creative Commons Attribution (CC BY) license (https://creativecommons.org/licenses/by/4.0/).
Share and Cite
Beaudu-Lange, C.; Lange, E. Intensive Multimodal Chemotherapy in a Dog Suffering from Grade III/Stage IV Solid Mammary Carcinoma. Animals 2024, 14, 2618. https://doi.org/10.3390/ani14172618
Beaudu-Lange C, Lange E. Intensive Multimodal Chemotherapy in a Dog Suffering from Grade III/Stage IV Solid Mammary Carcinoma. Animals. 2024; 14(17):2618. https://doi.org/10.3390/ani14172618
Chicago/Turabian StyleBeaudu-Lange, Claire, and Emmanuel Lange. 2024. "Intensive Multimodal Chemotherapy in a Dog Suffering from Grade III/Stage IV Solid Mammary Carcinoma" Animals 14, no. 17: 2618. https://doi.org/10.3390/ani14172618
APA StyleBeaudu-Lange, C., & Lange, E. (2024). Intensive Multimodal Chemotherapy in a Dog Suffering from Grade III/Stage IV Solid Mammary Carcinoma. Animals, 14(17), 2618. https://doi.org/10.3390/ani14172618

