Preliminary Evidence of the Possible Roles of the Ferritinophagy-Iron Uptake Axis in Canine Testicular Cancer
Abstract
Simple Summary
Abstract
1. Introduction
2. Materials and Methods
2.1. Animals
2.2. Histology
2.3. Immunohistochemistry
2.4. Western Blot
2.5. Statistical Analysis
3. Results
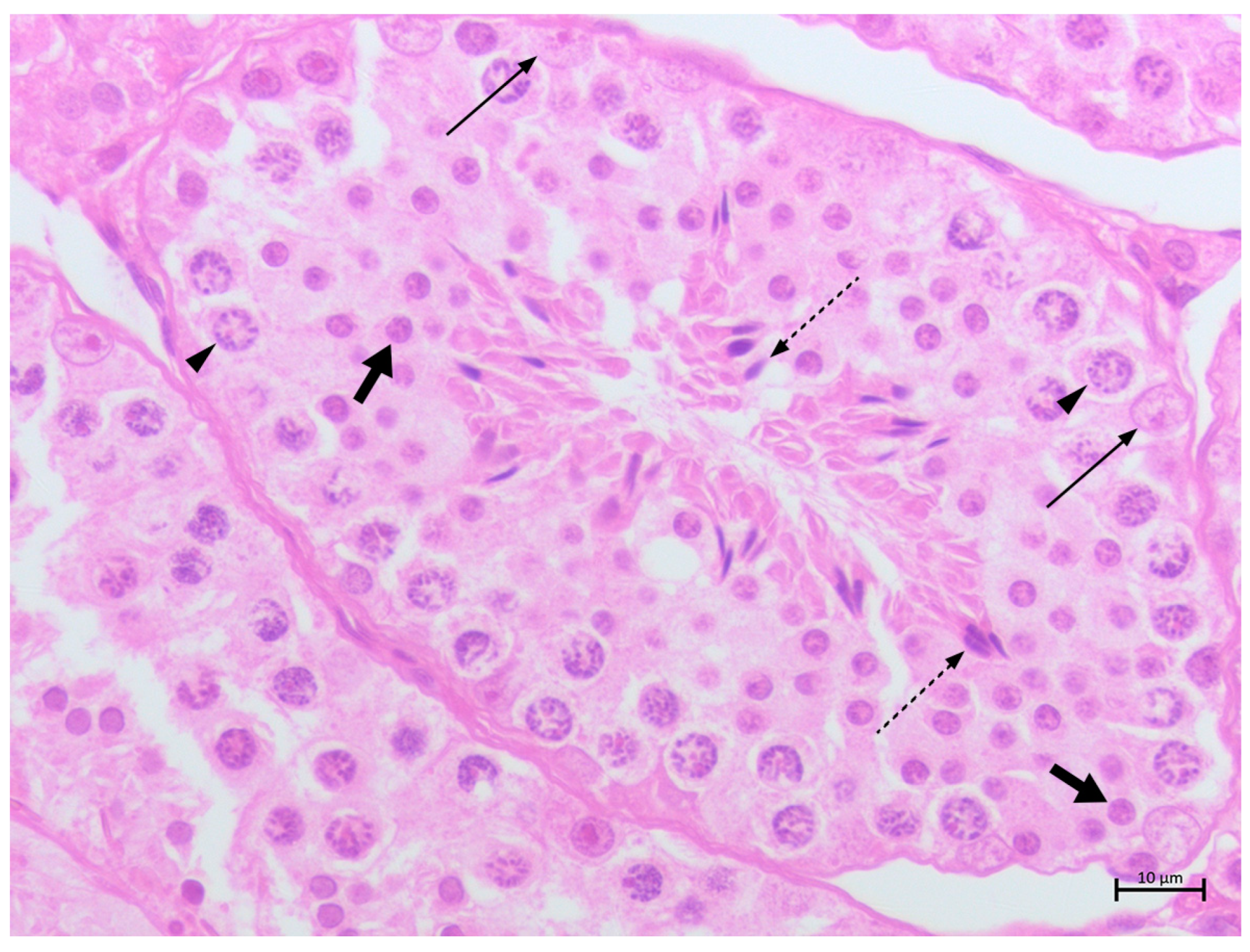
3.1. Histological Results
3.2. Immunohistochemical Results
3.2.1. Non-Neoplastic Testes
3.2.2. Sertoli Cell Tumors
3.2.3. Seminomas
3.2.4. Leydig Cell Tumors
3.3. Western Blot Results
3.4. Statistical Analysis Results
4. Discussion
5. Conclusions
Supplementary Materials
Author Contributions
Funding
Institutional Review Board Statement
Informed Consent Statement
Data Availability Statement
Acknowledgments
Conflicts of Interest
References
- Torti, S.V.; Torti, F.M. Iron and Cancer: 2020 Vision. Cancer Res. 2020, 80, 5435–5448. [Google Scholar] [CrossRef] [PubMed]
- Tsao, C.-W.; Liao, Y.-R.; Chang, T.-C.; Liew, Y.-F.; Liu, C.-Y. Effects of Iron Supplementation on Testicular Function and Spermatogenesis of Iron-Deficient Rats. Nutrients 2022, 14, 2063. [Google Scholar] [CrossRef] [PubMed]
- Leichtmann-Bardoogo, Y.; Cohen, L.A.; Weiss, A.; Marohn, B.; Schubert, S.; Meinhardt, A.; Meyron-Holtz, E.G. Compartmentalization and Regulation of Iron Metabolism Proteins Protect Male Germ Cells from Iron Overload. Am. J. Physiol. Endocrinol. Metab. 2012, 302, E1519–E1530. [Google Scholar] [CrossRef] [PubMed]
- Candelaria, P.V.; Leoh, L.S.; Penichet, M.L.; Daniels-Wells, T.R. Antibodies Targeting the Transferrin Receptor 1 (TfR1) as Direct Anti-Cancer Agents. Front. Immunol. 2021, 12, 607692. [Google Scholar] [CrossRef]
- Yuan, W.; Sun, Z.; Ji, G.; Hu, H. Emerging Roles of Ferroptosis in Male Reproductive Diseases. Cell Death Discov. 2023, 9, 1–13. [Google Scholar] [CrossRef]
- Liu, J.; Kuang, F.; Kroemer, G.; Klionsky, D.J.; Kang, R.; Tang, D. Autophagy-Dependent Ferroptosis: Machinery and Regulation. Cell Chem. Biol. 2020, 27, 420–435. [Google Scholar] [CrossRef]
- Mancias, J.D.; Wang, X.; Gygi, S.P.; Harper, J.W.; Kimmelman, A.C. Quantitative Proteomics Identifies NCOA4 as the Cargo Receptor Mediating Ferritinophagy. Nature 2014, 509, 105–109. [Google Scholar] [CrossRef]
- Ward, D.M.; Kaplan, J. Ferroportin-Mediated Iron Transport: Expression and Regulation. Biochim. Biophys. Acta 2012, 1823, 1426–1433. [Google Scholar] [CrossRef]
- Mancias, J.D.; Pontano Vaites, L.; Nissim, S.; Biancur, D.E.; Kim, A.J.; Wang, X.; Liu, Y.; Goessling, W.; Kimmelman, A.C.; Harper, J.W. Ferritinophagy via NCOA4 Is Required for Erythropoiesis and Is Regulated by Iron Dependent HERC2-Mediated Proteolysis. eLife 2015, 4, e10308. [Google Scholar] [CrossRef]
- Hentze, M.W.; Muckenthaler, M.U.; Galy, B.; Camaschella, C. Two to Tango: Regulation of Mammalian Iron Metabolism. Cell 2010, 142, 24–38. [Google Scholar] [CrossRef]
- Katsarou, A.; Pantopoulos, K. Basics and Principles of Cellular and Systemic Iron Homeostasis. Mol. Asp. Med. 2020, 75, 100866. [Google Scholar] [CrossRef] [PubMed]
- Galy, B.; Conrad, M.; Muckenthaler, M. Mechanisms Controlling Cellular and Systemic Iron Homeostasis. Nat. Rev. Mol. Cell Biol. 2024, 25, 133–155. [Google Scholar] [CrossRef] [PubMed]
- Manz, D.H.; Blanchette, N.L.; Paul, B.T.; Torti, F.M.; Torti, S.V. Iron and Cancer: Recent Insights. Ann. N. Y. Acad. Sci. 2016, 1368, 149–161. [Google Scholar] [CrossRef] [PubMed]
- Shen, Y.; Li, X.; Dong, D.; Zhang, B.; Xue, Y.; Shang, P. Transferrin Receptor 1 in Cancer: A New Sight for Cancer Therapy. Am. J. Cancer Res. 2018, 8, 916–931. [Google Scholar]
- Kotla, N.K.; Dutta, P.; Parimi, S.; Das, N.K. The Role of Ferritin in Health and Disease: Recent Advances and Understandings. Metabolites 2022, 12, 609. [Google Scholar] [CrossRef]
- Santana-Codina, N.; Del Rey, M.Q.; Kapner, K.S.; Zhang, H.; Gikandi, A.; Malcolm, C.; Poupault, C.; Kuljanin, M.; John, K.M.; Biancur, D.E.; et al. NCOA4-Mediated Ferritinophagy Is a Pancreatic Cancer Dependency via Maintenance of Iron Bioavailability for Iron-Sulfur Cluster Proteins. Cancer Discov. 2022, 12, 2180–2197. [Google Scholar] [CrossRef]
- Lee, J.; Hyun, D.-H. The Interplay between Intracellular Iron Homeostasis and Neuroinflammation in Neurodegenerative Diseases. Antioxidants 2023, 12, 918. [Google Scholar] [CrossRef]
- Wu, Y.; Ma, Z.; Mai, X.; Liu, X.; Li, P.; Qi, X.; Li, G.; Li, J. Identification of a Novel Inhibitor of TfR1 from Designed and Synthesized Muriceidine a Derivatives. Antioxidants 2022, 11, 834. [Google Scholar] [CrossRef]
- Ying, J.-F.; Lu, Z.-B.; Fu, L.-Q.; Tong, Y.; Wang, Z.; Li, W.-F.; Mou, X.-Z. The Role of Iron Homeostasis and Iron-Mediated ROS in Cancer. Am. J. Cancer Res. 2021, 11, 1895–1912. [Google Scholar]
- Carter, A.; Racey, S.; Veuger, S. The Role of Iron in DNA and Genomic Instability in Cancer, a Target for Iron Chelators That Can Induce ROS. Appl. Sci. 2022, 12, 10161. [Google Scholar] [CrossRef]
- Steegmann-Olmedillas, J.L. The Role of Iron in Tumour Cell Proliferation. Clin. Transl. Oncol. 2011, 13, 71–76. [Google Scholar] [CrossRef] [PubMed]
- Brown, R.A.M.; Richardson, K.L.; Kabir, T.D.; Trinder, D.; Ganss, R.; Leedman, P.J. Altered Iron Metabolism and Impact in Cancer Biology, Metastasis, and Immunology. Front. Oncol. 2020, 10, 476. [Google Scholar] [CrossRef]
- Fischer-Fodor, E.; Miklasova, N.; Berindan-Neagoe, I.; Saha, B. Iron, Inflammation and Invasion of Cancer Cells. Clujul Med. 2015, 88, 272–277. [Google Scholar] [CrossRef]
- Jiang, J.; Wang, S.; Zhang, L.; Lu, J.; Yi, C. Characteristics of the Distribution of Ferritin in Epithelial Ovarian Tumor Patients: Results of a Retrospective, Observational Study. Yangtze Med. 2018, 2, 51–61. [Google Scholar] [CrossRef]
- Xiao, C.; Fu, X.; Wang, Y.; Liu, H.; Jiang, Y.; Zhao, Z.; You, F. Transferrin Receptor Regulates Malignancies and the Stemness of Hepatocellular Carcinoma-Derived Cancer Stem-like Cells by Affecting Iron Accumulation. PLoS ONE 2020, 15, e0243812. [Google Scholar] [CrossRef] [PubMed]
- Feng, G.; Arima, Y.; Midorikawa, K.; Kobayashi, H.; Oikawa, S.; Zhao, W.; Zhang, Z.; Takeuchi, K.; Murata, M. Knockdown of TFRC Suppressed the Progression of Nasopharyngeal Carcinoma by Downregulating the PI3K/Akt/mTOR Pathway. Cancer Cell Int. 2023, 23, 185. [Google Scholar] [CrossRef] [PubMed]
- Cui, C.; Cheng, X.; Yan, L.; Ding, H.; Guan, X.; Zhang, W.; Tian, X.; Hao, C. Downregulation of TfR1 Promotes Progression of Colorectal Cancer via the JAK/STAT Pathway. Cancer Manag. Res. 2019, 11, 6323–6341. [Google Scholar] [CrossRef]
- Bellelli, R.; Federico, G.; Matte’, A.; Colecchia, D.; Iolascon, A.; Chiariello, M.; Santoro, M.; De Franceschi, L.; Carlomagno, F. NCOA4 Deficiency Impairs Systemic Iron Homeostasis. Cell Rep. 2016, 14, 411–421. [Google Scholar] [CrossRef]
- Gryzik, M.; Asperti, M.; Denardo, A.; Arosio, P.; Poli, M. NCOA4-Mediated Ferritinophagy Promotes Ferroptosis Induced by Erastin, but Not by RSL3 in HeLa Cells. Biochim. Biophys. Acta Mol. Cell Res. 2021, 1868, 118913. [Google Scholar] [CrossRef]
- Olby, N.J.; Munana, K.R.; Sharp, N.J.H.; Skeen, T.; Hauck, M.L. Transferrin Receptor Expression in Canine Brain Tumors. In Proceedings of the 18th American College Veterinary Internal Medicine Conference, Seattle, WA, USA, 14–16 June 2000. [Google Scholar]
- Priest, H.; McDonough, S.; Erb, H.; Daddona, J.; Stokol, T. Transferrin Receptor Expression in Canine Lymphoma. Vet. Pathol. 2011, 48, 466–474. [Google Scholar] [CrossRef]
- Ploypetch, S.; Rungsipipat, A.; Piyaviriyakul, P.; Choisunirachon, N.; Makoom, P.; Kalpravidh, C. Relationships between Transferrin and Transferrin Receptor (TfR) Expression in Dogs with Malignant Oronasal Tumors. Thai J. Vet. Med. 2017, 47, 61–70. [Google Scholar] [CrossRef]
- De Vico, G.; Martano, M.; Maiolino, P.; Carella, F.; Leonardi, L. Expression of Transferrin Receptor-1 (TFR-1) in Canine Osteosarcomas. Vet. Med. Sci. 2020, 6, 272–276. [Google Scholar] [CrossRef] [PubMed]
- Polak, K.Z.; Schaffer, P.; Donaghy, D.; Zenk, M.C.; Olver, C.S. Iron, Hepcidin, and Microcytosis in Canine Hepatocellular Carcinoma. Vet. Clin. Pathol. 2022, 51, 208–215. [Google Scholar] [CrossRef] [PubMed]
- Salaroli, R.; Andreani, G.; Bernardini, C.; Zannoni, A.; La Mantia, D.; Protti, M.; Forni, M.; Mercolini, L.; Isani, G. Anticancer Activity of an Artemisia annua L. Hydroalcoholic Extract on Canine Osteosarcoma Cell Lines. Res. Vet. Sci. 2022, 152, 476–484. [Google Scholar] [CrossRef] [PubMed]
- Crawford, R.D. The Case for Iron Repletion as a Promoter in Testicular Cancer. Med. Hypotheses 1998, 51, 129–132. [Google Scholar] [CrossRef]
- Onitilo, A.A.; Engel, J.M.; Sajjad, S.M. The Possible Role of Hemochromatosis in Testicular Cancer. Med. Hypotheses 2011, 77, 179–181. [Google Scholar] [CrossRef]
- Buranrat, B.; Connor, J.R. Cytoprotective Effects of Ferritin on Doxorubicin-Induced Breast Cancer Cell Death. Oncol. Rep. 2015, 34, 2790–2796. [Google Scholar] [CrossRef]
- Kaba, M.; Pirinççi, N.; Yüksel, M.B.; Geçit, İ.; Güneş, M.; Demir, M.; Akkoyun, H.; Demir, H. Serum Levels of Trace Elements in Patients with Testicular Cancers. Int. Braz. J. Urol. Off. J. Braz. Soc. Urol. 2015, 41, 1101–1107. [Google Scholar] [CrossRef][Green Version]
- Vascellari, M.; Baioni, E.; Ru, G.; Carminato, A.; Mutinelli, F. Animal Tumour Registry of Two Provinces in Northern Italy: Incidence of Spontaneous Tumours in Dogs and Cats. BMC Vet. Res. 2009, 5, 39. [Google Scholar] [CrossRef]
- Kennedy, P.C. Histological Classification of Tumors of the Genital System of Domestic Animals, 2nd ed.; World Health Organization International Histological Classification of Tumors of Domestic Animals, Second Series; Armed Forces Institute of Pathology: Washington, DC, USA, 1998; ISBN 978-1-881041-55-9.
- Cheville, J.C. Classification and Pathology of Testicular Germ Cell and Sex Cord-Stromal Tumors. Urol. Clin. N. Am. 1999, 26, 595–609. [Google Scholar] [CrossRef]
- Ciaputa, R.; Nowak, M.; Kiełbowicz, M.; Antończyk, A.; Błasiak, K.; Madej, J.A. Seminoma, Sertolioma, and Leydigoma in Dogs: Clinical and Morphological Correlations. Bull. Vet. Inst. Pulawy 2012, 56, 361–367. [Google Scholar] [CrossRef]
- Papaioannou, N.; Psalla, D.; Zavlaris, M.; Loukopoulos, P.; Tziris, N.; Vlemmas, I. Immunohistochemical Expression of Dog TERT in Canine Testicular Tumours in Relation to PCNA, Ki67 and P53 Expression. Vet. Res. Commun. 2009, 33, 905–919. [Google Scholar] [CrossRef] [PubMed]
- Hewitt, S.M.; Baskin, D.G.; Frevert, C.W.; Stahl, W.L.; Rosa-Molinar, E. Controls for Immunohistochemistry: The Histochemical Society’s Standards of Practice for Validation of Immunohistochemical Assays. J. Histochem. Cytochem. 2014, 62, 693–697. [Google Scholar] [CrossRef]
- Banco, B.; Giudice, C.; Veronesi, M.C.; Gerosa, E.; Grieco, V. An Immunohistochemical Study of Normal and Neoplastic Canine Sertoli Cells. J. Comp. Pathol. 2010, 143, 239–247. [Google Scholar] [CrossRef]
- Grieco, V.; Banco, B.; Ferrari, A.; Rota, A.; Faustini, M.; Veronesi, M.C. Inhibin-α Immunohistochemical Expression in Mature and Immature Canine Sertoli and Leydig Cells. Reprod. Domest. Anim. Zuchthyg. 2011, 46, 920–923. [Google Scholar] [CrossRef]
- Banco, B.; Veronesi, M.C.; Giudice, C.; Rota, A.; Grieco, V. Immunohistochemical Evaluation of the Expression of Anti-Müllerian Hormone in Mature, Immature and Neoplastic Canine Sertoli Cells. J. Comp. Pathol. 2012, 146, 18–23. [Google Scholar] [CrossRef] [PubMed]
- Pecile, A.; Groppetti, D.; Pizzi, G.; Banco, B.; Bronzo, V.; Giudice, C.; Grieco, V. Immunohistochemical Insights into a Hidden Pathology: Canine Cryptorchidism. Theriogenology 2021, 176, 43–53. [Google Scholar] [CrossRef] [PubMed]
- Yeh, S.; Chang, C. Cloning and Characterization of a Specific Coactivator, ARA70, for the Androgen Receptor in Human Prostate Cells. Proc. Natl. Acad. Sci. USA 1996, 93, 5517–5521. [Google Scholar] [CrossRef]
- Wang, Y.; Yu, L.; Ding, J.; Chen, Y. Iron Metabolism in Cancer. Int. J. Mol. Sci. 2018, 20, 95. [Google Scholar] [CrossRef]
- Sylvester, S.R.; Griswold, M.D. The Testicular Iron Shuttle: A “Nurse” Function of the Sertoli Cells. J. Androl. 1994, 15, 381–385. [Google Scholar] [CrossRef]
- Petrie, R.G.; Morales, C.R. Receptor-mediated endocytosis of testicular transferrin by germinal cells of the rat testis. Cell Tissue Res. 1992, 267, 45–55. [Google Scholar] [CrossRef] [PubMed]
- Roberts, K.P.; Griswold, M.D. Characterization of Rat Transferrin Receptor cDNA: The Regulation of Transferrin Receptor mRNA in Testes and in Sertoli Cells in Culture. Mol. Endocrinol. 1990, 4, 531–542. [Google Scholar] [CrossRef] [PubMed]
- Vannelli, B.G.; Orlando, C.; Barni, T.; Natali, A.; Serio, M.; Balboni, G.C. Immunostaining of Transferrin and Transferrin Receptor in Human Seminiferous Tubules. Fertil. Steril. 1986, 45, 536–541. [Google Scholar] [CrossRef]
- Thumfart, K.M.; Mansuy, I.M. What Are Sertoli Cells? Historical, Methodological, and Functional Aspects. Andrology 2023, 11, 849–859. [Google Scholar] [CrossRef]
- Lécureuil, C.; Staub, C.; Fouchécourt, S.; Maurel, M.-C.; Fontaine, I.; Martinat, N.; Gauthier, C.; Daudignon, A.; Delaleu, B.; Sow, A. Transferrin Overexpression Alters Testicular Function in Aged Mice. Mol. Reprod. Dev. Inc. Gamete Res. 2007, 74, 197–206. [Google Scholar] [CrossRef] [PubMed]
- Park, Y.-J.; Pang, M.-G. Mitochondrial Functionality in Male Fertility: From Spermatogenesis to Fertilization. Antioxidants 2021, 10, 98. [Google Scholar] [CrossRef]
- Ramalho-Santos, J.; Varum, S.; Amaral, S.; Mota, P.C.; Sousa, A.P.; Amaral, A. Mitochondrial Functionality in Reproduction: From Gonads and Gametes to Embryos and Embryonic Stem Cells. Hum. Reprod. Updat. 2009, 15, 553–572. [Google Scholar] [CrossRef]
- Fink, C.; Baal, N.; Wilhelm, J.; Sarode, P.; Weigel, R.; Schumacher, V.; Nettersheim, D.; Schorle, H.; Schröck, C.; Bergmann, M.; et al. On the Origin of Germ Cell Neoplasia in Situ: Dedifferentiation of Human Adult Sertoli Cells in Cross Talk with Seminoma Cells in Vitro. Neoplasia 2021, 23, 731–742. [Google Scholar] [CrossRef]
- Bergmann, M.; Kliesch, S. The Distribution Pattern of Cytokeratin and Vimentin Immunoreactivity in Testicular Biopsies of Infertile Men. Anat. Embryol. 1994, 190, 515–520. [Google Scholar] [CrossRef]
- Zhang, C. Essential Functions of Iron-Requiring Proteins in DNA Replication, Repair and Cell Cycle Control. Protein Cell 2014, 5, 750–760. [Google Scholar] [CrossRef]
- Puig, S.; Ramos-Alonso, L.; Romero, A.M.; Martínez-Pastor, M.T. The Elemental Role of Iron in DNA Synthesis and Repair. Met. Integr. Biometal Sci. 2017, 9, 1483–1500. [Google Scholar] [CrossRef] [PubMed]
- Griswold, M.D. 50 Years of Spermatogenesis: Sertoli Cells and Their Interactions with Germ Cells. Biol. Reprod. 2018, 99, 87–100. [Google Scholar] [CrossRef] [PubMed]
- Liu, Y.; Cao, X.; He, C.; Guo, X.; Cai, H.; Aierken, A.; Hua, J.; Peng, S. Effects of Ferroptosis on Male Reproduction. Int. J. Mol. Sci. 2022, 23, 7139. [Google Scholar] [CrossRef]
- Daniels, T.R.; Delgado, T.; Rodriguez, J.A.; Helguera, G.; Penichet, M.L. The Transferrin Receptor Part I: Biology and Targeting with Cytotoxic Antibodies for the Treatment of Cancer. Clin. Immunol. 2006, 121, 144–158. [Google Scholar] [CrossRef]
- Daniels, T.R.; Bernabeu, E.; Rodríguez, J.A.; Patel, S.; Kozman, M.; Chiappetta, D.A.; Holler, E.; Ljubimova, J.Y.; Helguera, G.; Penichet, M.L. The Transferrin Receptor and the Targeted Delivery of Therapeutic Agents against Cancer. Biochim. Biophys. Acta BBA Gen. Subj. 2012, 1820, 291–317. [Google Scholar] [CrossRef] [PubMed]







| Antibody | Manufacturer/Clone | Host Species | RIDD Number | Working Concentration | Dilution |
|---|---|---|---|---|---|
| TfR1 | ThermoFisher, Carlsbad, CA, USA H68.4 | Mouse | AB_2533029 | 0.05 mg/mL | 1:100 |
| FTH1 | Antibodies, Limerick, PA, USA/Polyclonal | Rabbit | AB_3351669 | 0.05 mg/mL | 1:100 |
| NCOA4 | Abcam, Cambridge, UK 439CT10.1.2 | Mouse | AB_3076582 | 0.005 mg/mL | 1:100 |
| PCNA | ThermoFisher, Carlsbad, CA, USA PC10 | Mouse | AB_10374347 | 0.2 mg/mL | 1:400 |
| Antibody | Manufacturer/Clone | Host Species | Dilution |
|---|---|---|---|
| NCOA4 | Abcam, Cambridge, UK 439CT10.1.2 | Mouse | 1:500 |
| FTH1 | Antibodies, Limerick, PA, USA/Polyclonal | Rabbit | 1:500 |
| Sample | Histology | TfR1 | NCOA4 | FHT1 | PCNA |
|---|---|---|---|---|---|
| S1 | SCT | -, 0 | ++, 2 | +, 1 | +, 1 |
| S2 | SCT | -, 0 | +, 1 | -, 0 | +, 1 |
| S3 | SCT | -, 0 | ++, 2 | -, 0 | ++, 2 |
| S4 | SCT | +, 1 | ++, 2 | -, 0 | +, 1 |
| S5 | SCT | -, 0 | ++, 2 | -, 0 | ++, 2 |
| S6 | ITSEM | +, 1 | +, 1 | ++, 2 | ++++, 4 |
| S7 | ITSEM | +, 1 | +, 1 | +++, 3 | ++++, 4 |
| S8 | ITSEM | +, 1 | -, 0 | +++, 3 | +++, 3 |
| S9 | ITSEM | +, 1 | +, 1 | ++, 2 | +++, 3 |
| S10 | ITSEM | +, 1 | +, 1 | +++, 3 | ++, 2 |
| S11 | DSEM | +++, 3 | ++, 2 | +, 1 | ++, 2 |
| S12 | DSEM | ++, 2 | ++, 2 | +, 1 | +++, 3 |
| S13 | DSEM | +++, 3 | +++, 3 | ++, 2 | +, 1 |
| S14 | DSEM | +++, 3 | +++, 3 | ++, 2 | +++, 3 |
| S15 | DSEM | ++, 2 | ++, 2 | ++, 2 | +++, 3 |
| S16 | DSEM | ++++, 4 | ++, 2 | +, 1 | +++, 3 |
| S17 | DSEM | ++++, 4 | ++, 2 | +, 1 | ++, 2 |
| S18 | DSEM | ++++, 4 | ++, 2 | ++, 2 | +++, 3 |
| S19 | DSEM | +++, 4 | +++, 3 | ++, 2 | ++++, 4 |
| S20 | DSEM | +++, 3 | ++, 2 | +, 1 | ++++, 4 |
| S21 | DSEM | +++, 3 | ++, 2 | ++, 2 | ++, 2 |
| S22 | LCT | ++, 2 | ++, 2 | +, 1 | +++, 3 |
| S23 | LCT | +++, 3 | ++, 2 | ++, 2 | +++, 3 |
| N1 | N.n. testis | +++, 3 | ++, 2 | +, 1 | ++, 2 |
| N2 | N.n. testis | ++, 2 | +, 1 | ++, 2 | +, 1 |
| N3 | N.n. testis | +++, 3 | ++, 2 | +, 1 | ++, 2 |
Disclaimer/Publisher’s Note: The statements, opinions and data contained in all publications are solely those of the individual author(s) and contributor(s) and not of MDPI and/or the editor(s). MDPI and/or the editor(s) disclaim responsibility for any injury to people or property resulting from any ideas, methods, instructions or products referred to in the content. |
© 2024 by the authors. Licensee MDPI, Basel, Switzerland. This article is an open access article distributed under the terms and conditions of the Creative Commons Attribution (CC BY) license (https://creativecommons.org/licenses/by/4.0/).
Share and Cite
Leandri, R.; Power, K.; Buonocore, S.; De Vico, G. Preliminary Evidence of the Possible Roles of the Ferritinophagy-Iron Uptake Axis in Canine Testicular Cancer. Animals 2024, 14, 2619. https://doi.org/10.3390/ani14172619
Leandri R, Power K, Buonocore S, De Vico G. Preliminary Evidence of the Possible Roles of the Ferritinophagy-Iron Uptake Axis in Canine Testicular Cancer. Animals. 2024; 14(17):2619. https://doi.org/10.3390/ani14172619
Chicago/Turabian StyleLeandri, Rebecca, Karen Power, Sara Buonocore, and Gionata De Vico. 2024. "Preliminary Evidence of the Possible Roles of the Ferritinophagy-Iron Uptake Axis in Canine Testicular Cancer" Animals 14, no. 17: 2619. https://doi.org/10.3390/ani14172619
APA StyleLeandri, R., Power, K., Buonocore, S., & De Vico, G. (2024). Preliminary Evidence of the Possible Roles of the Ferritinophagy-Iron Uptake Axis in Canine Testicular Cancer. Animals, 14(17), 2619. https://doi.org/10.3390/ani14172619

