Reproductive Disorders in Donkeys: Current Evidence and Update
Abstract
Simple Summary
Abstract
1. Introduction
2. Materials and Methods
3. Reproductive Disorders of the Jenny
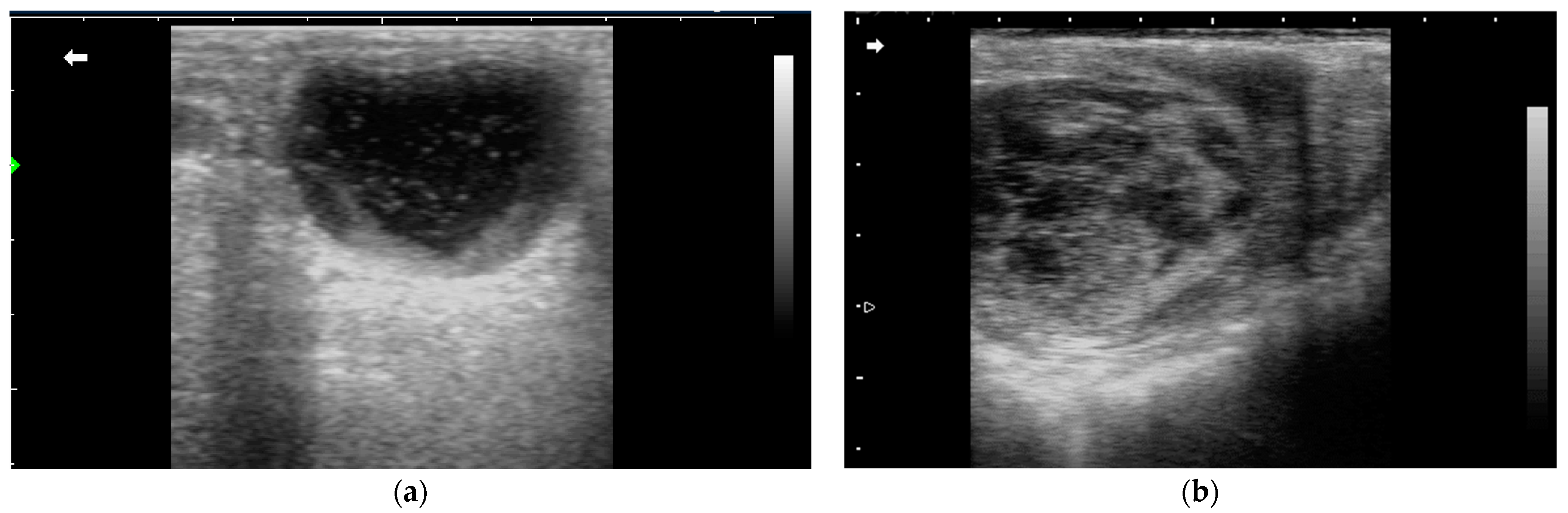
3.1. Uterine Disorders
3.1.1. Persistent Mating-Induced Endometritis
3.1.2. Infectious Endometritis
3.1.3. Contagious Equine Metritis and Taylorella asinigenitalis Infection
3.1.4. Endometrosis
3.2. Ovarian Disorders
3.2.1. Anovulatory Follicles
3.2.2. Other Ovarian Abnormalities
3.3. Abortion
3.3.1. Viral Agents of Abortion
3.3.2. Bacterial Agents of Abortion
3.3.3. Protozoal Agents of Abortion
3.3.4. Non-Infectious Causes of Abortion
3.3.5. Placentitis
3.4. Twin Pregnancy
3.5. Other Reproductive Disorders of the Jenny
4. Reproductive Disorders of the Jack
5. Limitations and Future Directions
6. Conclusions
Author Contributions
Funding
Institutional Review Board Statement
Informed Consent Statement
Data Availability Statement
Conflicts of Interest
References
- Norris, S.L.; Little, H.A.; Ryding, J.; Raw, Z. Global donkey and mule populations: Figures and trends. PLoS ONE 2021, 16, e0247830. [Google Scholar] [CrossRef] [PubMed]
- FAO. Available online: https://www.fao.org/faostat/en/#data/QCL (accessed on 14 June 2024).
- Zhang, Z.; Huang, B.; Wang, Y.; Zhu, M.; Liu, G.; Wang, C. A survey report on the donkey original breeding farms in China: Current aspects and future prospective. Front. Vet. Sci. 2023, 10, 1126138. [Google Scholar] [CrossRef] [PubMed]
- Camillo, F.; Rota, A.; Biagini, L.; Tesi, M.; Fanelli, D.; Panzani, D. The current situation and trend of donkey industry in Europe. J. Equine Vet. Sci. 2018, 65, 44–49. [Google Scholar] [CrossRef]
- Ravichandran, T.; Perumal, R.K.; Vijayalakshmy, K.; Raw, Z.; Cooke, F.; Baltenweck, I.; Rahman, H. Means of livelihood, clean environment to women empowerment: The multi-faceted role of donkeys. Animals 2023, 13, 1927. [Google Scholar] [CrossRef]
- Canisso, I.F.; Panzani, D.; Miró, J.; Ellerbrock, R.E. Key aspects of donkey and mule reproduction. Vet. Clin. Equine Pract. 2019, 35, 607–642. [Google Scholar] [CrossRef] [PubMed]
- Fielding, D. Reproductive characteristics of the jenny donkey—Equus asinus: A review. Trop. Anim. Health Prod. 1988, 20, 161–166. [Google Scholar] [CrossRef]
- Díaz-Duran, M.; Zarco, L.; Boeta, A.M. Ovarian dynamics and estrous cycle length in the donkey (Equus asinus). Theriogenology 2017, 103, 1–8. [Google Scholar] [CrossRef]
- Crisci, A.; Rota, A.; Panzani, D.; Sgorbini, M.; Ousey, J.C.; Camillo, F. Clinical, ultrasonographic, and endocrinological studies on donkey pregnancy. Theriogenology 2014, 81, 275–283. [Google Scholar] [CrossRef]
- Miragaya, M.H.; Neild, D.M.; Alonso, A.E. A review of reproductive biology and biotechnologies in donkeys. J. Equine Vet. Sci. 2018, 65, 55–61. [Google Scholar] [CrossRef]
- Hagstrom, D.J. Donkeys Are Different: An Overview of Reproductive Variations from Horses; Department of Agriculture, Local Extension Councils Cooperating, University of Illinois: Champaign, IL, USA, 2004; pp. 1–5. [Google Scholar]
- Mateo-Otero, Y.; Zambrano, F.; Catalán, J.; Sánchez, R.; Yeste, M.; Miro, J.; Fernandez-Fuertes, B. Seminal plasma, and not sperm, induces time and concentration-dependent neutrophil extracellular trap release in donkeys. Equine Vet. J. 2022, 54, 415–426. [Google Scholar] [CrossRef]
- Canisso, I.F.; Segabinazzi, L.G.; Fedorka, C.E. Persistent breeding-induced endometritis in mares—A multifaceted challenge: From clinical aspects to immunopathogenesis and pathobiology. Int. J. Mol. Sci. 2020, 21, 1432. [Google Scholar] [CrossRef] [PubMed]
- Canisso, I.F.; Stewart, J.; da Silva, M.A.C. Endometritis: Managing persistent post-breeding endometritis. Vet. Clin. Equine Pract. 2016, 32, 465–480. [Google Scholar] [CrossRef]
- Katila, T.; Ferreira-Dias, G. Evolution of the Concepts of Endometrosis, Post Breeding Endometritis, and Susceptibility of Mares. Animals 2022, 12, 779. [Google Scholar] [CrossRef] [PubMed]
- Costa, L.M.L.; Sancler-Silva, Y.F.R.; Albino, M.V.; Fontes, C.S.; Teixeira, C.S.; Freitas, M.S.; Kladt, L.V.; Schultz, E.B. Does the uterine inflammatory response differ between mares and donkey jennies inseminated with frozen donkey semen? J. Equine Vet. Sci. 2023, 125, 104703. [Google Scholar] [CrossRef]
- Miró, J.; Vilés, K.; García, W.; Jordana, J.; Yeste, M. Effect of donkey seminal plasma on sperm movement and sperm–polymorphonuclear neutrophils attachment in vitro. Anim. Reprod. Sci. 2013, 140, 164–172. [Google Scholar] [CrossRef] [PubMed]
- Vilés, K.; Rabanal, R.; Rodríguez-Prado, M.; Miró, J. Influence of seminal plasma on leucocyte migration and amount of COX-2 protein in the jenny endometrium after insemination with frozen–thawed semen. Anim. Reprod. Sci. 2013, 143, 57–63. [Google Scholar] [CrossRef]
- Miró, J.; Catalán, J.; Marín, H.; Yánez-Ortiz, I.; Yeste, M. Specific seminal plasma fractions are responsible for the modulation of sperm–PMN binding in the donkey. Animals 2021, 11, 1388. [Google Scholar] [CrossRef]
- Papas, M.; Catalán, J.; Recuero, S.; Morrell, J.M.; Yeste, M.; Miró, J. Single layer centrifugation improves the quality of fresh donkey semen and modifies the sperm ability to interact with polymorphonuclear neutrophils. Animals 2020, 10, 2128. [Google Scholar] [CrossRef]
- Miró, J.; Papas, M. Post–Artificial Insemination endometrial inflammation and its control in donkeys. J. Equine Vet. Sci. 2018, 65, 38–43. [Google Scholar] [CrossRef]
- Friso, A.M.; Segabinazzi, L.G.; Cyrino, M.; Correal, S.B.; Freitas-Dell’Aqua, C.P.; do Carmo, M.T.; Dell’Aqua Jr, J.A.; Miró, J.; Papa, F.O.; Alvarenga, M.A. Periovulatory administration of firocoxib did not alter ovulation rates and mitigated post-breeding inflammatory response in mares. Theriogenology 2019, 138, 24–30. [Google Scholar] [CrossRef]
- Bucca, S.; Carli, A.; Buckley, T.; Dolci, G.; Fogarty, U. The use of dexamethasone administered to mares at breeding time in the modulation of persistent mating induced endometritis. Theriogenology 2008, 70, 1093–1100. [Google Scholar] [CrossRef] [PubMed]
- Rojer, H.; Aurich, C. Treatment of persistent mating-induced endometritis in mares with the non-steroid anti-inflammatory drug vedaprofen. Reprod. Domest. Anim. 2010, 45, e458–e460. [Google Scholar] [CrossRef] [PubMed]
- Vilés, K.; Rabanal, R.; Rodríguez-Prado, M.; Miró, J. Effect of ketoprofen treatment on the uterine inflammatory response after AI of jennies with frozen semen. Theriogenology 2013, 79, 1019–1026. [Google Scholar] [CrossRef]
- Chapero, L.; Rossetto, L.; Sánchez, J.; Bilbao, M.G.; Losinno, L. Dexamethasone’s effect on endometrial inflammatory response in jennies after artificial insemination with frozen donkey semen. J. Equine Vet. Sci. 2023, 125, 104701. [Google Scholar] [CrossRef]
- Scoggin, C.F. Endometritis: Nontraditional therapies. Vet. Clin. Equine Pract. 2016, 32, 499–511. [Google Scholar] [CrossRef]
- Farghali, H.A.; AbdElKader, N.A.; Fathi, M.; Emam, I.A.; AbuBakr, H.O.; Alijuaydi, S.H.; Salem, N.Y.; Khattab, M.S.; Salama, A.; Ramadan, E.S. The efficiency of intrauterine infusion of platelet-rich plasma in the treatment of acute endometritis as assessed by endoscopic, Doppler, oxidative, immunohistochemical, and gene expression alterations in jennies. Theriogenology 2022, 181, 147–160. [Google Scholar] [CrossRef] [PubMed]
- Fantini, P.; Jiménez, R.; Vilés, K.; Iborra, A.; Palhares, M.S.; Catalán, J.; Prades, M.; Miró, J. Simple Tube Centrifugation Method for Platelet-Rich Plasma (PRP) Preparation in Catalonian Donkeys as a Treatment of Endometritis-Endometrosis. Animals 2021, 11, 2918. [Google Scholar] [CrossRef]
- Climent, F.; Vilés, K.; Miró, J. Vaginoplastia in two young infertile Catalan jennies. A clinical case. In Reproduction in Domestic Animals; Wiley-Blackwell: Hoboken, NJ, USA, 2012; p. 113. [Google Scholar]
- Van den Branden, E. Reproduction in Equidae: A Comparative Study of Donkeys and Horses. Master’s Thesis, Ghent University, Ghent, Belgium, 2021. [Google Scholar]
- Brinsko, S.P.; Blanchard, T.L.; Varner, D.D.; Schumacher, J.; Love, C.C. Manual of Equine Reproduction; Elsevier Health Sciences: St. Louis, MO, USA, 2010. [Google Scholar]
- Morris, L.H.; McCue, P.; Aurich, C. Equine endometritis: A review of challenges and new approaches. Reproduction 2020, 160, R95–R110. [Google Scholar] [CrossRef]
- Gao, N.; Du, Y.; Zheng, X.; Shu, S.; Suo, J.; Han, M.; Ma, X.; Huang, R.; Peng, W.; Fu, C. Endometritis in donkeys associated with Streptococcus equi subspecies zooepidemicus infection. Pak. Vet. J. 2020, 40, 537–539. [Google Scholar] [CrossRef]
- Gao, N. Investigation on Main Causes and Study on Control Measures of Reproductive Disorders in Intensive Donkey Farms. Master’s Thesis, Qinghai University, Qinghai, China, 2022. [Google Scholar]
- Zhao, Y.; Zhu, Y.; Liu, B.; Mi, J.; Li, N.; Zhao, W.; Wu, R.; Holyoak, G.R.; Li, J.; Liu, D. Antimicrobial susceptibility of bacterial isolates from donkey uterine infections, 2018–2021. Vet. Sci. 2022, 9, 67. [Google Scholar] [CrossRef]
- Davis, H.A.; Stanton, M.B.; Thungrat, K.; Boothe, D.M. Uterine bacterial isolates from mares and their resistance to antimicrobials: 8296 cases (2003–2008). J. Am. Vet. Med. Assoc. 2013, 242, 977–983. [Google Scholar] [CrossRef] [PubMed]
- Petersen, M.; Skive, B.; Christoffersen, M.; Lu, K.; Nielsen, J.; Troedsson, M.; Bojesen, A. Activation of persistent Streptococcus equi subspecies zooepidemicus in mares with subclinical endometritis. Vet. Microbiol. 2015, 179, 119–125. [Google Scholar] [CrossRef] [PubMed]
- Cantelmi, M.C.; Merola, C.; Averaimo, D.; Chiaverini, A.; Cito, F.; Cocco, A.; Di Teodoro, G.; De Angelis, M.E.; Di Bernardo, D.; Auzino, D. Identification of the Novel Streptococcus equi subsp. zooepidemicus Sequence Type 525 in Donkeys of Abruzzo Region, Italy. Pathogens 2023, 12, 750. [Google Scholar] [PubMed]
- Li, J.; Zhu, Y.; Mi, J.; Zhao, Y.; Holyoak, G.R.; Yi, Z.; Wu, R.; Wang, Z.; Zeng, S. Endometrial and vaginal microbiome in donkeys with and without clinical endometritis. Front. Microbiol. 2022, 13, 884574. [Google Scholar] [CrossRef]
- Carleton, C.L.; Donahue, J.M.; Marteniuk, J.V.; Sells, S.F.; Timoney, P.J. Bacterial and fungal microflora on the external genitalia of male donkeys (Equus asinus). Anim. Reprod. Sci. 2015, 153, 62–68. [Google Scholar] [CrossRef]
- Scott, C. A review of fungal endometritis in the mare. Equine Vet. Educ. 2020, 32, 444–448. [Google Scholar] [CrossRef]
- Timoney, P. Contagious equine metritis. Comp. Immunol. Microbiol. Infect. Dis. 1996, 19, 199–204. [Google Scholar] [CrossRef][Green Version]
- WOAH Terrestrial Manual 2022. Available online: https://www.woah.org/en/what-we-do/standards/codes-and-manuals/terrestrial-manual-online-access/ (accessed on 16 June 2024).
- Timoney, P.; O’Reilly, P.; McArdle, J.; Ward, J.; Harrington, A. Contagious equine metritis: Experimental infection in the donkey. Vet. Microbiol. 1985, 10, 259–268. [Google Scholar] [CrossRef]
- Jang, S.S.; Donahue, J.M.; Arata, A.B.; Goris, J.; Hansen, L.M.; Earley, D.L.; Vandamme, P.; Timoney, P.J.; Hirsh, D.C. Taylorella asinigenitalis sp. nov., a bacterium isolated from the genital tract of male donkeys (Equus asinus). Int. J. Syst. Evol. Microbiol. 2001, 51, 971–976. [Google Scholar]
- Båverud, V.; Nyström, C.; Johansson, K.-E. Isolation and identification of Taylorella asinigenitalis from the genital tract of a stallion, first case of a natural infection. Vet. Microbiol. 2006, 116, 294–300. [Google Scholar] [CrossRef]
- Breuil, M.-F.; Duquesne, F.; Laugier, C.; Petry, S. Phenotypic and 16S ribosomal RNA gene diversity of Taylorella asinigenitalis strains isolated between 1995 and 2008. Vet. Microbiol. 2011, 148, 260–266. [Google Scholar] [CrossRef] [PubMed]
- Wilsher, S.; Omar, H.; Ismer, A.; Allen, T.; Wernery, U.; Joseph, M.; Mawhinney, I.; Florea, L.; Thurston, L.; Duquesne, F. A new strain of Taylorella asinigenitalis shows differing pathogenicity in mares and Jenny donkeys. Equine Vet. J. 2021, 53, 990–995. [Google Scholar] [CrossRef] [PubMed]
- Arata, A.B.; Cooke, C.L.; Jang, S.S.; Hirsh, D.C. Multiplex polymerase chain reaction for distinguishing Taylorella equigenitalis from Taylorella equigenitalis-like organisms. J. Vet. Diagn. Investig. 2001, 13, 263–265. [Google Scholar] [CrossRef] [PubMed]
- Dorrego, A.; Herranz, C.; Pérez-Sancho, M.; Camino, E.; Gómez-Arrones, V.; Carrasco, J.J.; De Gabriel-Pérez, J.; Serres, C.; Cruz-López, F. First report and molecular characterization of cases of natural Taylorella asinigenitalis infection in three donkey breeds in Spain. Vet. Microbiol. 2023, 276, 109604. [Google Scholar] [CrossRef] [PubMed]
- Rebordão, M.; Galvão, A.; Szóstek, A.; Amaral, A.; Mateus, L.; Skarzynski, D.; Ferreira-Dias, G. Physiopathologic mechanisms involved in mare endometrosis. Reprod. Domest. Anim. 2014, 49, 82–87. [Google Scholar] [CrossRef] [PubMed]
- Kenney, R.; Doig, P. Equine endometrial biopsy. Curr. Ther. Theriogenol. 1986, 2, 723–729. [Google Scholar]
- Aguiar Silva, J.; Papas, M.; Fernandes, C.; Rebordao, M.; Amaral, A.; Alexandre-Pires, G.; Nunes, T.; Ferreira-Dias, G.; Miro, J. Fibrosis in donkey endometrium: How can we interpret it? Reprod. Domest. Anim. 2018, 53, 84. [Google Scholar]
- Hanada, M.; Maeda, Y.; Oikawa, M.-a. Histopathological characteristics of endometrosis in thoroughbred mares in Japan: Results from 50 necropsy cases. J. Equine Sci. 2014, 25, 45–52. [Google Scholar] [CrossRef]
- Wu, R.; Yu, F.; Holyoak, G.R.; Gao, Y.; Zhu, Y.; Li, J. Use of the endometrial histopathology to improve diagnosis of donkeys with endometritis. Equine Vet. Educ. 2024, 36, 43–50. [Google Scholar] [CrossRef]
- Miró, J.; Gutiérrez-Reinoso, M.; Silva, J.A.; Fernandes, C.; Rebordão, M.R.; Alexandre-Pires, G.; Catalán, J.; Ferreira-Dias, G. Collagen and eosinophils in Jenny’s endometrium: Do they differ with endometrial classification? Front. Vet. Sci. 2020, 7, 631. [Google Scholar] [CrossRef]
- Rebordão, M.R.; Pereira, C.; Galvão, A.; Bravo, P.P.; Szóstek, A.; Skarzynski, D.J.; Ferreira-Dias, G. What is new on the physiopathology of endometrosis in the mare. Pferdeheilkunde 2014, 30, 15–18. [Google Scholar] [CrossRef]
- Li, N.; Yang, F.; Yu, J.; Yang, W.; Wu, S.; Ma, J.; Liu, B.; Zhang, R.; Zhou, X.; Losinno, L. Characteristics of follicular dynamics and reproductive hormone profiles during oestrous cycles of jennies over an entire year. Reprod. Domest. Anim. 2021, 56, 448–458. [Google Scholar] [CrossRef] [PubMed]
- Ginther, O.; Gastal, E.; Gastal, M.; Beg, M.A. Incidence, endocrinology, vascularity, and morphology of hemorrhagic anovulatory follicles in mares. J. Equine Vet. Sci. 2007, 27, 130–139. [Google Scholar] [CrossRef]
- Segabinazzi, L.G.; Gilbert, R.O.; Ambrosia, R.L.; Bergfelt, D.R.; Samper, J.C.; Peterson, E.W.; French, H.M. Structural and Functional Dynamics of the Ovary and Uterus during the Estrous Cycle in Donkeys in the Eastern Caribbean. Animals 2022, 13, 74. [Google Scholar] [CrossRef] [PubMed]
- Hughes, E.; Ambrosia, R.; Gilbert, R.; French, H. Hemorrhagic anovulatory follicle in a tropical jenny. Clin. Theriogenol. 2018, 10, 119–123. [Google Scholar]
- Taberner, E.; Medrano, A.; Peña, A.; Rigau, T.; Miró, J. Oestrus cycle characteristics and prediction of ovulation in Catalonian jennies. Theriogenology 2008, 70, 1489–1497. [Google Scholar] [CrossRef]
- Cadario, M.; Archbald, L. Effect of endocrinopathies on fertility in the mare. Part 1. Clin. Theriogenol. 2022, 14, 219–223. [Google Scholar]
- Cadario, M.; Archbald, L. Effect of endocrinopathies on fertility in the mare. Part 2. Clin. Theriogenol. 2022, 14, 224–228. [Google Scholar]
- Gehlen, H.; Schwarz, B.; Bartmann, C.; Gernhardt, J.; Stöckle, S.D. Pituitary pars intermedia dysfunction and metabolic syndrome in donkeys. Animals 2020, 10, 2335. [Google Scholar] [CrossRef]
- Morrow, L.; Smith, K.; Piercy, R.; Du Toit, N.; Burden, F.; Olmos, G.; Gregory, N.; Verheyen, K. Retrospective analysis of post-mortem findings in 1,444 aged donkeys. J. Comp. Pathol. 2011, 144, 145–156. [Google Scholar] [CrossRef]
- El-Nesr, K.; Awadin, W.; El-Wahed, A. Correlation between abnormal ovarian structures and uterine histopathological altera-tions in she-donkey. Mansoura Vet. Med. J. 2017, 18, 143–153. [Google Scholar] [CrossRef]
- Morales-Briceño, A.; Méndez-Sanchez, A.; Morales-Briceño, M.; Castillo-Torbett, C. Polycystic kidneys and ovarian cyst in a donkey: A case. Rev. Cient. Fac. Vet. 2020, 30, 65. [Google Scholar]
- Kheirandish, R.; Azizi, S. Polycystic kidney disease associated with multiple cysts in ovaries and uterus in an adult donkey. Bull. L’académie Vétérinaire Fr. 2012, 165, 177–181. [Google Scholar] [CrossRef]
- Mendoza, F.; Toribio, R.E. Special Considerations for the Neonatal Donkey and Mule Foal. In Equine Neonatal Medicine; Wong, D., Wilkins, P., Eds.; Wiley-Blackwell: Hoboken, NJ, USA, 2024; pp. 1399–1418. [Google Scholar]
- Ruby, R.E.; Janes, J.G. Infectious Causes of Equine Placentitis and Abortion. Vet. Clin. Equine Pract. 2023, 39, 73–88. [Google Scholar] [CrossRef] [PubMed]
- Ali, A.A.; Refat, N.A.; Algabri, N.A.; Sobh, M.S. Fetal lesions of EHV-1 in equine. An. Acad. Bras. Cienc. 2020, 92, e20180837. [Google Scholar] [CrossRef] [PubMed]
- Tong, P.; Pan, J.; Dang, Y.; Yang, E.; Jia, C.; Duan, R.; Tian, S.; Palidan, N.; Kuang, L.; Wang, C. First identification and isolation of equine herpesvirus type 1 in aborted fetal lung tissues of donkeys. Virol. J. 2024, 21, 117. [Google Scholar] [CrossRef] [PubMed]
- Mureşan, A.; Mureşan, C.; Siteavu, M.; Avram, E.; Bochynska, D.; Taulescu, M. An outbreak of equine herpesvirus-4 in an ecological donkey milk farm in Romania. Vaccines 2022, 10, 468. [Google Scholar] [CrossRef]
- LeCuyer, T.E.; Rink, A.; Bradway, D.S.; Evermann, J.F.; Nicola, A.V.; Baszler, T.; Haldorson, G.J. Abortion in a Mediterranean miniature donkey (Equus asinus) associated with a gammaherpesvirus similar to Equid herpesvirus 7. J. Vet. Diagn. Investig. 2015, 27, 749–753. [Google Scholar] [CrossRef]
- Wang, T.; Hu, L.; Wang, Y.; Liu, W.; Liu, G.; Zhu, M.; Zhang, W.; Wang, C.; Ren, H.; Li, L. Identification of equine herpesvirus 8 in donkey abortion: A case report. Virol. J. 2022, 19, 10. [Google Scholar] [CrossRef]
- Wang, H.; Liu, K.; Sun, Y.; Cui, L.; Meng, X.; Jiang, G.; Zhao, F.; Li, J. Abortion in donkeys associated with Salmonella abortus equi infection. Equine Vet. J. 2019, 51, 756–759. [Google Scholar] [CrossRef]
- Zhu, M.; Liu, W.; Zhang, L.; Zhang, W.; Qi, P.; Yang, H.; Zhang, Y.; Wang, C.; Wang, W. Characterization of Salmonella isolated from donkeys during an abortion storm in China. Microb. Pathog. 2021, 161, 105080. [Google Scholar] [CrossRef] [PubMed]
- Grossman, P.; Bonson, M. Abortion in a donkey associated with Brucella abortus. Vet. Rec. 1968, 82, 607–608. [Google Scholar]
- Singh, B.; Singh, V.; Verma, J.; Avinash Anand, A.A. An outbreak of equine abortion due to lecithinolytic Enterobacter agglomerans (Pantoea agglomerans). Intas Polivet 2004, 5, 319–322. [Google Scholar]
- Rahmani, S.S.; Malekifard, F.; Tavassoli, M. Neospora caninum, a cause of abortion in donkeys (Equus asinus) in Iran. Parasitol. Res. 2022, 121, 367–372. [Google Scholar] [CrossRef] [PubMed]
- Patel, J.R.; Heldens, J. Equine herpesviruses 1 (EHV-1) and 4 (EHV-4)–epidemiology, disease and immunoprophylaxis: A brief review. Vet. J. 2005, 170, 14–23. [Google Scholar] [CrossRef] [PubMed]
- Dayaram, A.; Seeber, P.A.; Greenwood, A.D. Environmental detection and potential transmission of equine herpesviruses. Pathogens 2021, 10, 423. [Google Scholar] [CrossRef] [PubMed]
- Mendoza, F.J.; Toribio, R.E.; Perez-Ecija, A. Donkey internal medicine—Part II: Cardiovascular, respiratory, neurologic, urinary, ophthalmic, dermatology, and musculoskeletal disorders. J. Equine Vet. Sci. 2018, 65, 86–97. [Google Scholar] [CrossRef]
- Câmara, R.J.F.; Bueno, B.L.; Resende, C.F.; Balasuriya, U.B.; Sakamoto, S.M.; Reis, J.K.P.d. Viral diseases that affect donkeys and mules. Animals 2020, 10, 2203. [Google Scholar] [CrossRef]
- Yildirim, Y.; Yilmaz, V.; Kirmizigul, A. Equine herpes virus type 1 (EHV-1) and 4 (EHV-4) infections in horses and donkeys in northeastern Turkey. Iran. J. Vet. Res. 2015, 16, 341. [Google Scholar]
- Getachew, M.; Alemayehu, F.; Chala, C.; Amare, B.; Kassa, D.; Burden, F.; Wernery, R.; Wernery, U. A cross-sectional sero-survey of some infectious diseases of working equids in Central Ethiopia. J. Vet. Med. Anim. Health 2014, 6, 231–238. [Google Scholar]
- Rickards, K.J.; Thiemann, A.K. Respiratory Disorders of the Donkey. Vet. Clin. N. Am. Equine Pract. 2019, 35, 561–573. [Google Scholar] [CrossRef] [PubMed]
- Abdelwahab, M.G.; El Moghazy, H.M.; Ibrahim, E.M.; Hamouda, F.I.; Safaa, M. Immune response against inactivated equine herpes virus vaccine prepared from local isolate in horses and donkeys in Egypt. J. Am. Sci. 2018, 14, 74–83. [Google Scholar]
- Nandi, S.; Kumar, M. Equine Viral Arteritis–A Review. Vet Scan Online Vet. Med. J. 2011, 6, 89. [Google Scholar]
- Paweska, J.T. Effect of the South African asinine-94 strain of equine arteritis virus (EAV) in pregnant donkey mares and duration of maternal immunity in foals. Onderstepoort J. Vet. Res. 1997, 64, 147–152. [Google Scholar] [PubMed]
- McCollum, W.; Timoney, P.; Tengelsen, L. Clinical, virological and serological responses of donkeys to intranasal inoculation with the KY-84 strain of equine arteritis virus. J. Comp. Pathol. 1995, 112, 207–211. [Google Scholar] [CrossRef]
- Ataseven, V.S.; Arslan, H.H. Equine infectious anemia in mules, donkeys, and horses: Epidemiologic studies in the different geographic regions of Turkey. J. Equine Vet. Sci. 2005, 25, 439–441. [Google Scholar] [CrossRef]
- Cook, S.; Cook, R.; Montelaro, R.; Issel, C. Differential responses of Equus caballus and Equus asinus to infection with two pathogenic strains of equine infectious anemia virus. Vet. Microbiol. 2001, 79, 93–109. [Google Scholar] [CrossRef]
- Guo, K.; Guo, W.; Liu, D.; Zhang, W.; Yang, Y.; Zhang, Z.; Li, S.; Wang, J.; Chu, X.; Wang, Y. Development and application of a competitive ELISA for the detection of antibodies against Salmonella Abortusequi in equids. J. Clin. Microbiol. 2023, 61, e00273-23. [Google Scholar] [CrossRef]
- Di Gennaro, E.; Guida, N.; Franco, P.; Moras, E.; Muñoz, A. Infectious abortion caused by Salmonella enterica subsp enterica serovar Abortusequi in Argentina. J. Equine Vet. Sci. 2012, 32, S74. [Google Scholar] [CrossRef]
- Stritof, Z.; Habus, J.; Grizelj, J.; Koskovic, Z.; Barbic, L.; Stevanovic, V.; Tomic, D.H.; Milas, Z.; Perharic, M.; Staresina, V. Two outbreaks of Salmonella Abortusequi abortion in mares in Croatia. J. Equine Vet. Sci. 2016, 39, S63. [Google Scholar] [CrossRef][Green Version]
- Neustroev, M.; Petrova, S. Developmental results of a vaccine against Salmonella-induced equine abortion. Russ. Agric. Sci. 2020, 46, 530–533. [Google Scholar] [CrossRef]
- Tijjani, A.; Junaidu, A.; Salihu, M.; Farouq, A.; Faleke, O.; Adamu, S.; Musa, H.; Hambali, I. Serological survey for Brucella antibodies in donkeys of north-eastern Nigeria. Trop. Anim. Health Prod. 2017, 49, 1211–1216. [Google Scholar] [CrossRef] [PubMed]
- Tel, O.Y.; Arserİm, N.B.; Keskİn, O. Seroprevalence of equine brucellosis in southeast Turkey. Yüzüncü Yıl Üniversitesi Vet. Fakültesi Derg. 2011, 22, 181–183. [Google Scholar]
- Dorneles, E.M.S.; Santana, J.A.; Costa, A.C.T.R.B.; Júnior, D.G.J.; Heinemann, M.B.; Lage, A.P. Equine brucellosis: Current understanding and challenges. J. Equine Vet. Sci. 2023, 127, 104298. [Google Scholar] [CrossRef]
- Alvarado-Esquivel, C.; Cruz-Romero, A.; Romero-Salas, D.; Alvarado-Félix, Á.O.; Aguilar-Domínguez, M.; Ochoa-Valencia, J.L.; Alvarado-Esquivel, D.; Hernández-Tinoco, J.; Zamarripa-Barboza, J.A.; Sánchez-Anguiano, L.F. Apparently high Leptospira antibody seropositivity in donkeys for slaughter in three municipalities in Durango, Mexico. J. Vet. Diagn. Investig. 2018, 30, 929–932. [Google Scholar] [CrossRef]
- Hamond, C.; Pinna, A.; Martins, G.; Lilenbaum, W. The role of leptospirosis in reproductive disorders in horses. Trop. Anim. Health Prod. 2014, 46, 1–10. [Google Scholar] [CrossRef] [PubMed]
- Henker, L.C.; Lorenzett, M.P.; Keller, A.; Siqueira, F.M.; Driemeier, D.; Pavarini, S.P. Fibrinonecrotic placentitis and abortion associated with Pantoea agglomerans infection in a mare. J. Equine Vet. Sci. 2020, 92, 103156. [Google Scholar] [CrossRef]
- Veronesi, F.; Diaferia, M.; Mandara, M.T.; Marenzoni, M.L.; Cittadini, F.; Piergili Fioretti, D. Neospora spp. infection associated with equine abortion and/or stillbirth rate. Vet. Res. Commun. 2008, 32, 223–226. [Google Scholar] [CrossRef]
- Wise, L.N.; Pelzel-McCluskey, A.M.; Mealey, R.H.; Knowles, D.P. Equine piroplasmosis. Vet. Clin. Equine Pract. 2014, 30, 677–693. [Google Scholar] [CrossRef] [PubMed]
- Patterson-Kane, J.; Caplazi, P.; Rurangirwa, F.; Tramontin, R.; Wolfsdorf, K. Encephalitozoon cuniculi placentitis and abortion in a quarterhorse mare. J. Vet. Diagn. Investig. 2003, 15, 57–59. [Google Scholar] [CrossRef]
- Javanmardi, E.; Majidiani, H.; Shariatzadeh, S.A.; Anvari, D.; Shamsinia, S.; Ghasemi, E.; Kordi, B.; Shams, M.; Asghari, A. Global seroprevalence of Neospora spp. in horses and donkeys: A systematic review and meta-analysis. Vet. Parasitol. 2020, 288, 109299. [Google Scholar] [CrossRef]
- Leon, A.; Pillon, C.; Tebourski, I.; Bruyas, J.F.; Lupo, C. Overview of the causes of abortion in horses, their follow-up and management. Reprod. Domest. Anim. 2023, 58, 93–101. [Google Scholar] [CrossRef] [PubMed]
- Cantón, G.J.; Navarro, M.A.; Asin, J.; Chu, P.; Henderson, E.E.; Mete, A.; Uzal, F.A. Equine abortion and stillbirth in California: A review of 1,774 cases received at a diagnostic laboratory, 1990–2022. J. Vet. Diagn. Investig. 2023, 35, 153–162. [Google Scholar] [CrossRef] [PubMed]
- Parmar, S.; Patel, J.; Chaudhri, D.; Hadiya, K.; Dhami, A. Late-term abortion and retention of placenta in donkey (Equus acinus): A report of two cases. Indian J. Vet. Sci. Biotechnol. 2018, 14, 66–68. [Google Scholar] [CrossRef]
- Magalhaes, H.B.; Canisso, I.F. Fetoplacental Unit Ultrasonography and Immunoreactive Steroid Concentrations in Jennies Experiencing Late-Term Pregnancy Loss. J. Equine Vet. Sci. 2022, 115, 104009. [Google Scholar] [CrossRef]
- Carluccio, A.; Noto, F.; Parrillo, S.; Contri, A.; De Amicis, I.; Gloria, A.; Robbe, D.; Veronesi, M. Transrectal ultrasonographic evaluation of combined utero-placental thickness during the last half of pregnancy in Martina Franca donkeys. Theriogenology 2016, 86, 2296–2301. [Google Scholar] [CrossRef]
- Raś, A.; Raś-Noryńska, M. A retrospective study of twin pregnancy management in mares. Theriogenology 2021, 176, 183–187. [Google Scholar] [CrossRef]
- Crabtree, J.R. Management of twins in horses. Pract. 2018, 40, 66–74. [Google Scholar] [CrossRef]
- Yang, F.; Wu, S.; Zhou, J.; Yang, W.; Liu, B.; Zhang, R.; Ma, J.; Yu, J.; Ji, C.; Zeng, S. The proportion of multiple-ovulation changes among different months in Dezhou black jennies. J. Equine Vet. Sci. 2018, 66, 155–156. [Google Scholar] [CrossRef]
- Blanchard, T.; Taylor, T.; Love, C. Estrous cycle characteristics and response to estrus synchronization in mammoth asses (Equus asinus americanus). Theriogenology 1999, 52, 827–834. [Google Scholar] [CrossRef]
- Wang, Y.; Wang, T.; Zhang, Z.; Wang, C. Survival rate of donkey foals: Status quo and improvement methods. Afr. J. Biotechnol. 2021, 20, 340–348. [Google Scholar]
- Quaresma, M.; Martins, A.; Rodrigues, J.; Colaço, J.; Payan-Carreira, R. Viability analyses of an endangered donkey breed: The case of the Asinina de Miranda (Equus asinus). Anim. Prod. Sci. 2014, 55, 1184–1191. [Google Scholar] [CrossRef]
- Bonelli, F.; Nocera, I.; Conte, G.; Panzani, D.; Sgorbini, M. Relation between Apgar scoring and physical parameters in 44 newborn Amiata donkey foals at birth. Theriogenology 2020, 142, 310–314. [Google Scholar] [CrossRef] [PubMed]
- Galisteo, J.; Perez-Marin, C. Factors affecting gestation length and estrus cycle characteristics in Spanish donkey breeds reared in southern Spain. Theriogenology 2010, 74, 443–450. [Google Scholar] [CrossRef] [PubMed]
- Arangasamy, A.; Bansal, R.; Legha, R. Twin birth in a Jenny (Martina franca) with artificial insemination. Indian J. Anim. Reprod. 2006, 27, 116–117. [Google Scholar]
- Carluccio, A.; Gloria, A.; Robbe, D.; Veronesi, M.; De Amicis, I.; Cairoli, F.; Contri, A. Reproductive characteristics of foal heat in female donkeys. Animal 2017, 11, 461–465. [Google Scholar] [CrossRef]
- Chavda, B.; Chaudhari, D.; Hadiya, K. Surgical Management of Foetal Dystocia in a Jenny-Case Report. Theriogenology Insight Int. J. Reprod. Anim. 2023, 13, 47–49. [Google Scholar] [CrossRef]
- Sacchan, S.; Katiyar, R.; Manzoor, M.; Khan, F.; Prasad, S.; Gupta, H. Fetal Dystocia due to Postural Defects of Neck and Carpals in a Jenny: Case Report. Theriogenology Insight-Int. J. Reprod. All Anim. 2015, 5, 95–98. [Google Scholar] [CrossRef]
- Carluccio, A.; Contri, A.; Amicis, I.d.; Gloria, A.; Sfirro, M.P.; Mariotti, F.; Robbe, D. Fetal maceration in a donkey: A case report. Ippologia 2012, 23, 9–14. [Google Scholar]
- Akbari, G.; Kianifard, D.; Shokrollahi, S. The Effect of Unilateral Cryptorchidism on the Macroscopic and Microscopic Structure of Accessory Sex Glands in Adult Donkey: A Morphological and Histochemical Study. Vet. Res. Biol. Prod. 2017, 30, 51–58. [Google Scholar]
- Abu-Seida, A.; Torad, F. Diphallia and double scrota in a donkey: A case report. Res. Opin. Anim. Vet. Sci. 2014, 4, 117–119. [Google Scholar]
- Segabinazzi, L.G.; Silva, L.F.; Okada, C.; Medrado, F.; Papa, F.; Alvarenga, M.A. Plugged ampullae in a donkey stallion (Equus asinus). J. Equine Vet. Sci. 2018, 63, 24–26. [Google Scholar] [CrossRef]
- Podico, G.; Lago-Alvarez, Y.; Carossino, M.; Ferrer, M.S.; Arnold, C.E.; Canisso, I.F. Epididymal sperm granuloma and antisperm antibodies in donkeys. J. Equine Vet. Sci. 2021, 101, 103450. [Google Scholar] [CrossRef] [PubMed]
- Davis, C.R.; Valentine, B.A.; Gordon, E.; McDonough, S.P.; Schaffer, P.A.; Allen, A.L.; Pesavento, P. Neoplasia in 125 donkeys (Equus asinus). J. Vet. Diagn. Investig. 2016, 28, 662–670. [Google Scholar] [CrossRef] [PubMed]






| Treatment | Sample Size | Response | Reference |
|---|---|---|---|
| Ketoprofen | 6 | Decreased COX-2 expression but did not decrease endometrial PMN | [25] |
| Dexamethasone | 6 | Did not decrease endometrial PMN but decreased eosinophils 24 h after insemination | [26] |
| Intrauterine platelet-rich plasma (PRP) | 10 | Decreased PMN, decreased bacterial isolates, and decreased oxidative stress biomarkers | [28] |
| 2 | Infertile jennies were inseminated and became pregnant | [29] |
| Bacteria | Percent Positive | Bacterial Identification Method | Sample Size | Country | Reference |
|---|---|---|---|---|---|
| Escherichia coli | 100% | Blood and MacConkey agar, MALDI-TOF MS | 10 | China | [40] |
| 50% | Bacterial culture (unspecified) | 10 | Egypt | [28] | |
| 77% | Blood and MacConkey agar, PCR, MALDI-TOF MS | 30 | China | [36] | |
| 2% | EMB agar, PCR | 123 | China | [35] | |
| Streptococcus equi subsp. zooepidemicus | 80% | Bacterial culture (unspecified) | 10 | Egypt | [28] |
| 100% | Blood agar, PCR, MALDI-TOF MS | 17 | China | [34] | |
| 10% | Blood and MacConkey agar, PCR, MALDI-TOF MS | 30 | China | [36] | |
| 78% | Blood agar, PCR, MALDI-TOF MS | 123 | China | [35] | |
| Streptococcus spp. | 70% | Bacterial culture (unspecified) | 10 | Egypt | [28] |
| Acinetobacter spp. | 40% | Blood and MacConkey agar, PCR, MALDI-TOF MS | 30 | China | [36] |
| Pseudomonas aeruginosa | 23% | Blood and MacConkey agar, PCR, MALDI-TOF MS | 30 | China | [36] |
| Klebsiella pneumoniae | 7% | Blood and MacConkey agar, PCR, MALDI-TOF MS | 30 | China | [36] |
| Donkey Breed | Location | Cycle Number | HAF Number (%) | Outcome | Reference |
|---|---|---|---|---|---|
| Dezhou Black donkey | China | 1083 | 49 (4.6%) | Unspecified | [59] |
| Caribbean donkey | West Indies | 31 | 1 (3.2%) | Ovulation in 19 days (contralateral ovary) | [61,62] |
| Catalonian donkey | Spain | 14 | 2 (14.3%) in the same jenny | Ovulation in 23 and 46 days, respectively | [63] |
| Pathogen Type | Pathogen | Sample Size 1 | Breed | Location | Clinical Signs | Reference |
|---|---|---|---|---|---|---|
| Virus | EHV-1 | 1 | Unspecified | Egypt | 3rd trimester abortion | [73] |
| 3 | Unspecified | Xinjiang, China | Abortion storm (3rd trimester) affecting 40% (80/200) of pregnant donkeys | [74] | ||
| EHV-4 | 10 | Unspecified | Romania | Abortion storm (stillborns/foals dead soon after birth) in 27% (10/37) animals showing respiratory signs | [75] | |
| EHV-7 (AHV-2) | 1 | Mediterranean miniature donkey | Washington, US | 3rd trimester abortion | [76] | |
| EHV-8 (AHV-3) | 1 | Unspecified | Shandong, China | 3rd trimester abortion | [77] | |
| Bacteria | Salmonella abortus | 9 | Dezhou Black, Qingyang, and Xinjiang donkey | Eastern China | Abortion storm affecting 12% (61/500) of pregnant donkeys | [78] |
| 45 | Unspecified | Shandong, China | Abortion storm affecting 22.5% (45/200) of pregnant donkeys | [79] | ||
| 115 | Unspecified | China | Abortion storm affecting 24.4% (427/1753) of pregnant donkeys on multiple farms | [35] | ||
| Brucella abortus | 1 | Unspecified | UK | 3rd trimester abortion | [80] | |
| Enterobacter agglomerans | 1 | Unspecified | India | 3rd trimester abortion | [81] | |
| Streptococcus spp. | 1 | Unspecified | China | Abortion storm affecting 20.8% (5/24) of pregnant donkeys | [35] | |
| Protozoa | Neospora caninum | 4 (fetus) 10 (jenny) | Iranian donkey | West and North Iran | 19/29 abortions happened in 2nd–3rd trimester | [82] |
| Condition | Signalment | Clinical Abnormalities | Treatment and Outcome | Reference |
|---|---|---|---|---|
| Dystocia | Full-term pregnant jenny | One flexed forelimb and lateral deviation of head | C-section with dead fetus. Jenny recovered with no complications. | [125] |
| 5-year-old full-term primiparous jenny | Carpal flexion of both forelimbs and lateral deviation of head | Assisted vaginal delivery with dead fetus | [126] | |
| Fetal maceration | 10-year-old jenny | Posterior presentation and posterior limbs flexed to hip | C-section with dead fetus. Jenny returned to estrus in 40 days. | [127] |
| Retained fetal membranes | 6-year-old jenny with normal foaling | Placenta retained for >12 h | Gentle manual traction and successful removal of placenta | [112] |
Disclaimer/Publisher’s Note: The statements, opinions and data contained in all publications are solely those of the individual author(s) and contributor(s) and not of MDPI and/or the editor(s). MDPI and/or the editor(s) disclaim responsibility for any injury to people or property resulting from any ideas, methods, instructions or products referred to in the content. |
© 2024 by the authors. Licensee MDPI, Basel, Switzerland. This article is an open access article distributed under the terms and conditions of the Creative Commons Attribution (CC BY) license (https://creativecommons.org/licenses/by/4.0/).
Share and Cite
Wang, Z.; Zeng, S.; Wang, Y.; Wang, T.; Qu, H.; Zhu, Y.; Li, J. Reproductive Disorders in Donkeys: Current Evidence and Update. Animals 2024, 14, 2494. https://doi.org/10.3390/ani14172494
Wang Z, Zeng S, Wang Y, Wang T, Qu H, Zhu Y, Li J. Reproductive Disorders in Donkeys: Current Evidence and Update. Animals. 2024; 14(17):2494. https://doi.org/10.3390/ani14172494
Chicago/Turabian StyleWang, Zixuan, Shenming Zeng, Yantao Wang, Tao Wang, Honglei Qu, Yiping Zhu, and Jing Li. 2024. "Reproductive Disorders in Donkeys: Current Evidence and Update" Animals 14, no. 17: 2494. https://doi.org/10.3390/ani14172494
APA StyleWang, Z., Zeng, S., Wang, Y., Wang, T., Qu, H., Zhu, Y., & Li, J. (2024). Reproductive Disorders in Donkeys: Current Evidence and Update. Animals, 14(17), 2494. https://doi.org/10.3390/ani14172494

