Complete Thoracic Ectopia Cordis in Two Lambs
Abstract
Simple Summary
Abstract
1. Introduction
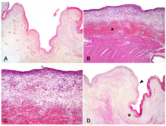
2. Case Series Presentation
3. Discussion
4. Conclusions
Supplementary Materials
Author Contributions
Funding
Institutional Review Board Statement
Informed Consent Statement
Data Availability Statement
Acknowledgments
Conflicts of Interest
References
- Hiraga, T.; Abe, M.; Iwasa, K.; Takehana, K.; Tanigaki, A. Cervical-pectoral ectopia cordis in two Holstein calves. Vet. Path. 1993, 30, 529–534. [Google Scholar] [CrossRef] [PubMed]
- Smith, B.J.; Flyer, J.N.; Edwards, E.M.; Soll, R.F.; Horbar, J.D.; Yeager, S.B. Outcomes for ectopia cordis. J. Pediatr. 2020, 216, 67–72. [Google Scholar] [CrossRef] [PubMed]
- Engum, S.A. Embryology, sternal clefts, ectopia cordis, and Cantrell’s pentalogy. Semin. Pediatr. Surg. 2008, 17, 154–160. [Google Scholar] [CrossRef]
- Hiraga, T.; Abe, M. Eight calves of cervical ectopia cordis and their sternums. Jpn. J. Vet. Sci. 1986, 48, 1199–1206. [Google Scholar] [CrossRef]
- Shirian, S.; Oryan, A.; Samadian, M.R. Ectopia cordis in a male Holstein Friesian calf. Open Anat. J. 2010, 2, 34–36. [Google Scholar] [CrossRef]
- Caliskan, N.; Forrez, E.; Van-Roy, N.; Roels, S. Abdominal ectopia cordis in an aborted calf without chromosomal aberrations. Vlaams Diergeneeskd. Tijdschrift. 2021, 90, 178–181. [Google Scholar] [CrossRef]
- Kanagasuntheram, R.; Pillai, C.P. Ectopia cordis and other anomalies in a dog embryo. Res. Vet. Sci. 1960, 1, 172–178. [Google Scholar] [CrossRef]
- Desesso, J.M. Lectin teratogenesis: Defects produced by concanavalin A in fetal rabbits. Teratology 1979, 19, 15–25. [Google Scholar] [CrossRef] [PubMed]
- Freeman, L.E.; McGovern, P.T. Ectopia cordis thoracoabdominalis in a piglet. Vet. Rec. 1984, 115, 431–433. [Google Scholar] [CrossRef]
- Lopez, M.M.; Kuzma, A.B.; Margiocco, M.L.; Cheng, T.; Enberg, T.B.; Head, L. Cardiac malposition (ectopia cordis) in a cat. J. Vet. Emerg. Crit. Care 2015, 25, 783–788. [Google Scholar] [CrossRef]
- Lai, J.M.; Wu, J.T.; Yang, W.C.; Chao, M.H.; Nagahata, H. An unusual case of thoracic ectopia cordis in a Toggenburg goat and its three-dimensional images constructed with X-ray computed tomography. Jpn. J. Vet. Res. 2016, 64, 165–170. [Google Scholar] [CrossRef] [PubMed]
- Silva, T.P.D.; Santos, J.P. Ectopia cordis em cordeiro: Alterações clínico-patológicas. Med. Vet. (UFRPE) 2013, 7, 1–5. Available online: https://www.journals.ufrpe.br/index.php/medicinaveterinaria/article/view/581 (accessed on 8 July 2024).
- Parthasarathi, B.C.; Singh, K.; Mohmad, A.; Bisht, N.; Yadav, S.; Kumar, S.; Munigadapa, A. Ectopia cordis in a Nellore Jodipi lamb—A case report. Int. J. Curr. Microbiol. App. Sci. 2019, 8, 1829–1831. [Google Scholar] [CrossRef]
- Diffay, B.C.; McKenzie, D.; Wolf, C.; Pugh, D.G. Abordagem e exame de ovinos e caprinos. In Clínica de Ovinos e Caprinos, 1st ed.; Pugh, D.G., Ed.; Roca: Catalonia, Brazil, 2004; pp. 1–19. [Google Scholar]
- Meyer, D.J.; Harvey, J.W. Veterinary Laboratory Medicine: Interpretation and Diagnosis, 2nd ed.; Saunders: Philadelphia, PA, USA, 2004; 351p. [Google Scholar]
- Kaneko, J.J.; Harvey, J.; Bruss, M. (Eds.) Clinical Biochemistry of Domestic Animals, 6th ed.; Academic Press: San Diego, CA, USA, 2008; 928p. [Google Scholar]
- Dennis, S.M.; Leipold, H.W. Congenital cardiac defects in lambs. Am. J. Vet. Res. 1968, 29, 2337–2340. [Google Scholar] [PubMed]
- Balogh, E.; Sótonyi, P. Multiple cardiac anomaly in sheep: A case study and review of the literature. Acta Vet. Hung. 2003, 51, 15–27. [Google Scholar] [CrossRef]
- Fisher, K.R.; Partlow, G.D.; Walker, A.F. Clinical and anatomical observations of a two-headed lamb. Anat. Rec. 1986, 214, 432–440. [Google Scholar] [CrossRef] [PubMed]
- Gal, A.; Castillo-Alcala, F. Cardiovascular system, pericardial cavity, and lymphatic vessels. In Pathologic Basis of Veterinary Disease, 7th ed.; Zachary, J.F., Ed.; Elsevier: Maryland Heights, MO, USA, 2022; pp. 643–698. [Google Scholar]
- Onda, K.; Sugiyama, M.; Niho, K.; Sato, R.; Arai, S.; Kaneko, K.; Ito, S.; Muto, M.; Suganuma, T.; Wakao, Y.; et al. Long-term survival of a cow with cervical ectopia cordis. Can. Vet. J. 2011, 52, 667–668. [Google Scholar] [PubMed]
- Martín-Alguacil, N.; Avedillo, L. Cantrell syndrome (thoracoabdominal ectopia cordis; anomalous umbilical cord; diaphragmatic, pericardial and intracardiac defects) in the pig (Sus scrofa domesticus). J. Comp. Path. 2020, 174, 99–103. [Google Scholar] [CrossRef] [PubMed]
- So, W.; Donahoe, S.L.; Podadera, J.M.; Mazrier, H. Pentalogy of Cantrell in two neonate littermate puppies: A spontaneous animal model suggesting familial inheritance. Animals 2023, 13, 2091. [Google Scholar] [CrossRef]
- Gabriel, A.; Donelly, J.; Kuc, A.; Good, G.; Doros, G.; Mastusz, P.; Lokas, M. Ectopia cordis: A rare congenital anomaly. Clin. Anat. 2014, 27, 1193–1199. [Google Scholar] [CrossRef]
- Mărginean, C.; Mărginean, C.O.; Gozar, L.; Melit, L.E.; Suciu, H.; Gozar, H.; Crisan, A.; Cucerea, M. Cantrell syndrome—A rare complex congenital anomaly: A case report and literature review. Front. Pediatr. 2018, 6, 201. [Google Scholar] [CrossRef] [PubMed]
- Araújo-Júnior, E.; Coutinho, L.G.; Bravo-Valenzuela, N.J.; Aquino, P.; Rocha, L.A.D.; Rizzo, G.; Tonni, G.; Respondek-Liberska, M.; Slodki, M.; Wolter, A.; et al. Ectopia cordis: Prenatal diagnosis, perinatal outcomes, and postnatal follow-up of an international multicenter cohort case series. J. Matern. Fetal Neonatal Med. 2023, 36, 2203791. [Google Scholar] [CrossRef] [PubMed]
- Nzomvuama, A.; Nader, J.; Remadi, J.P. Ectopia cordis: An uncommon fatal disease. Ann. Thorac. Surg. 2021, 112, e201. [Google Scholar] [CrossRef] [PubMed]
- Nakajima, Y.; Sakabe, M.; Matsui, H.; Sakata, H.; Yanagawa, N.; Yamagishi, T. Heart development before beating. Anat. Sci. Intern. 2009, 84, 67–76. [Google Scholar] [CrossRef] [PubMed]
- Türkyilmaz, G.; Avci, S.; Sivrikoz, T.; Erturk, E.; Altunoglu, U.; Turkyilmazlmaz, S.E.; Kalelioglu, I.H.; Has, R.; Yuksel, A. Prenatal diagnosis and management of ectopia cordis: Varied presentation spectrum. Fetal Pediatr. Pathol. 2019, 38, 127–137. [Google Scholar] [CrossRef] [PubMed]
- Arnaoutoglou, C.; Meditskou, S.; Keivanidou, A.; Manthou, M.; Anesidis, N.; Assimakopoulos, E.; Athanasiadis, A.; Kumar, S. Ectopia cordis in a fetus with mosaic trisomy 16. J. Clin. Ultrasound 2010, 38, 386–388. [Google Scholar] [CrossRef] [PubMed]
- Diaz-Serani, R.; Sepulveda, W. Trisomy 18 in a first-trimester fetus with thoraco-abdominal ectopia cordis. Fetal Pediatr. Pathol. 2020, 39, 78–84. [Google Scholar] [CrossRef]
- Barrow, M.V.; Willis, L.S. Ectopia cordis (ectocardia) and gastroschisis induced in rats by maternal administration of the lathyrogen, beta-aminopropionitrile (BAPN). Am. Heart J. 1972, 83, 518–526. [Google Scholar] [CrossRef] [PubMed]
- Panter, K.E.; Bunch, T.D.; Keeler, R.F.; Sisson, D.V.; Callan, R.J. Multiple congenital contractures and cleft palate induced in goats by ingestion of piperidine alkaloid-containing plants: Reduction in fetal movement as the probable cause. J. Toxicol. Clin. Toxicol. 1990, 28, 69–83. [Google Scholar] [CrossRef]
- Bezerra, J.J.L.; Lucena, R.B. Poisonings in ruminants by Cenostigma pyramidale (Tul.) Gagnon & G.P. Lewis (Fabaceae): A mini-review of teratogenic potential and phytochemical evidence. Toxicon 2024, 246, 107794. [Google Scholar] [CrossRef]
- Pimentel, L.A.; Riet-Correa, F.; Gardner, D.; Panter, K.E.; Dantas, A.F.M.; Medeiros, R.M.T.; Mota, R.A.; Araújo, J.A.S. Mimosa tenuiflora as a cause of malformations in ruminants in the northeastern Brazilian semiarid rangelands. Vet. Pathol. 2007, 44, 928–931. [Google Scholar] [CrossRef] [PubMed]
- Bezerra, J.J.L.; Pinheiro, A.A.V.; Lucena, R.B. Phytochemistry and teratogenic potential of Mimosa tenuiflora (willd.) poir. (Fabaceae) in ruminants: A systematic review. Toxicon 2021, 195, 78–85. [Google Scholar] [CrossRef] [PubMed]
- Seehusen, F.; Hahn, K.; Herder, V.; Weigand, M.; Habierski, A.; Gerhauser, I.; Wohlsein, P.; Peters, M.; Varela, M.; Palmarini, M.; et al. Skeletal muscle hypoplasia represents the only significant lesion in peripheral organs of ruminants infected with Schmallenberg virus during gestation. J. Comp. Pathol. 2014, 151, 148–152. [Google Scholar] [CrossRef] [PubMed]
- Şevik, M. Molecular detection and genetic analysis of Akabane virus genogroup Ib in small ruminants in Turkey. Arch. Virol. 2017, 162, c2769–c2774. [Google Scholar] [CrossRef] [PubMed]
- Golender, N.; Bumbarov, V.; Kovtunenko, A.; David, D.; Guini-Rubinstein, M.; Sol, A.; Beer, M.; Eldar, A.; Wernike, K. Identification and genetic characterization of viral pathogens in ruminant gestation abnormalities, Israel, 2015–2019. Viruses 2021, 13, 2136. [Google Scholar] [CrossRef] [PubMed]
- Zientara, S.; Ponsart, C. Viral emergence and consequences for reproductive performance in ruminants: Two recent examples (bluetongue and Schmallenberg viruses). Reprod. Fertil. Dev. 2014, 27, 63–71. [Google Scholar] [CrossRef] [PubMed]
- Filho, E.F.O.; Carneiro, I.O.; Ribas, J.R.L.; Fischer, C.; Marklewitz, M.; Junglen, S.; Netto, E.M.; Franke, C.R.; Drexler, J.F. Identification of animal hosts of Fort Sherman virus, a New World zoonotic orthobunyavirus. Transbound. Emerg. Dis. 2020, 67, 1433–1441. [Google Scholar] [CrossRef]
- Morello, M.; Quaini, E.; Nenov, G.; Pomé, G. Extrathoracic ectopia cordis. Case report. J. Cardiovasc. Surg. 1994, 35, 511–515. [Google Scholar]
- Gart, M.S.; Vicari, F.A. Sternal retraction: A novel application of a mandibular distractor in treating ectopia cordis with complete cleft sternum. Ann. Plast. Surg. 2015, 74, 594–596. [Google Scholar] [CrossRef]
- Lampert, J.A.; Harmaty, M.; Thoompson, E.C.; Sett, S.; Koch, M. Chest wall reconstruction in thoracoabdominal ectopia cordis: Using the pedicled osteomuscular latissimus dorsi composite flap. Ann. Plast. Surg. 2010, 65, 485–489. [Google Scholar] [CrossRef]



Disclaimer/Publisher’s Note: The statements, opinions and data contained in all publications are solely those of the individual author(s) and contributor(s) and not of MDPI and/or the editor(s). MDPI and/or the editor(s) disclaim responsibility for any injury to people or property resulting from any ideas, methods, instructions or products referred to in the content. |
© 2024 by the authors. Licensee MDPI, Basel, Switzerland. This article is an open access article distributed under the terms and conditions of the Creative Commons Attribution (CC BY) license (https://creativecommons.org/licenses/by/4.0/).
Share and Cite
Cerqueira, L.d.A.; Mâcedo, I.L.d.; Sousa, D.E.R.d.; Amorim, H.A.L.; Borges, J.R.J.; Ximenes, F.H.B.; Câmara, A.C.L.; Castro, M.B.d. Complete Thoracic Ectopia Cordis in Two Lambs. Animals 2024, 14, 2213. https://doi.org/10.3390/ani14152213
Cerqueira LdA, Mâcedo ILd, Sousa DERd, Amorim HAL, Borges JRJ, Ximenes FHB, Câmara ACL, Castro MBd. Complete Thoracic Ectopia Cordis in Two Lambs. Animals. 2024; 14(15):2213. https://doi.org/10.3390/ani14152213
Chicago/Turabian StyleCerqueira, Liz de Albuquerque, Isabel Luana de Mâcedo, Davi Emanuel Ribeiro de Sousa, Haiane Arruda Luz Amorim, José Renato Junqueira Borges, Fábio Henrique Bezerra Ximenes, Antonio Carlos Lopes Câmara, and Márcio Botelho de Castro. 2024. "Complete Thoracic Ectopia Cordis in Two Lambs" Animals 14, no. 15: 2213. https://doi.org/10.3390/ani14152213
APA StyleCerqueira, L. d. A., Mâcedo, I. L. d., Sousa, D. E. R. d., Amorim, H. A. L., Borges, J. R. J., Ximenes, F. H. B., Câmara, A. C. L., & Castro, M. B. d. (2024). Complete Thoracic Ectopia Cordis in Two Lambs. Animals, 14(15), 2213. https://doi.org/10.3390/ani14152213

