A Preliminary Evaluation of the Prognostic Role of HER-2 and HER-3 Immunohistochemical Expression in Canine Melanomas
Abstract
Simple Summary
Abstract
1. Introduction
2. Materials and Methods
2.1. Animals and Tissue Samples
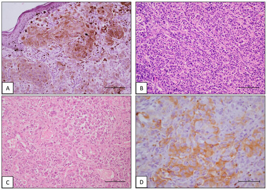
2.2. Histopathology
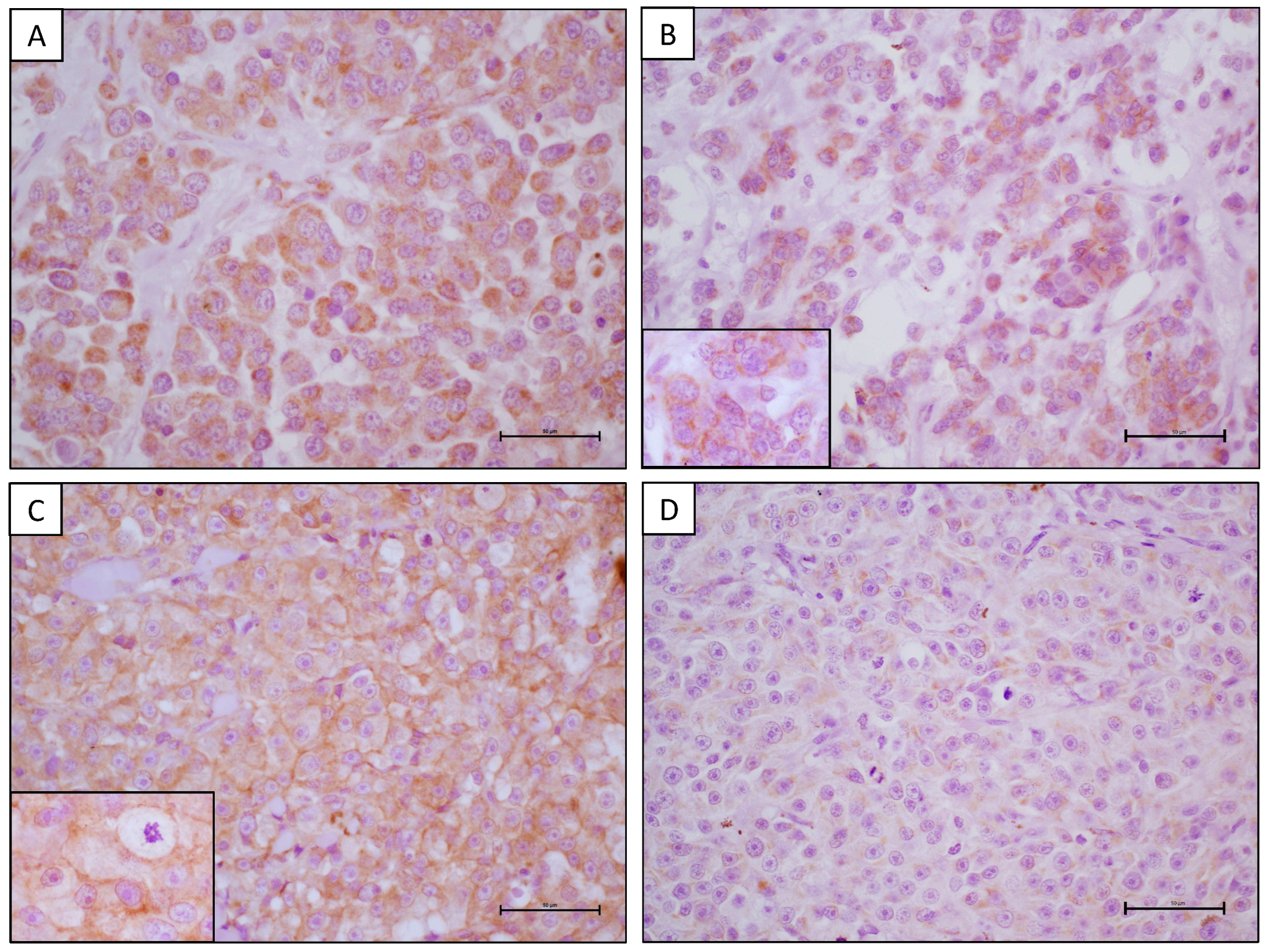
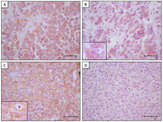
2.3. Immunohistochemistry
- Score 0: very weak incomplete membrane labeling in less than 10% of cells.
- Score 1+: very weak incomplete labeling in more than 10% of cells.
- Score 2+: weak or moderate incomplete membrane labeling in more than 10% of cells. or strong complete labeling in less than 10% of cells.
- Score 3+: strong complete membrane labeling in more than 10% of cells.
- Negative: (0, 0% labeled nuclei);
- Low: (1+, 1–17% labeled nuclei);
- Medium: (2+, 18–35% labeled nuclei);
- High: (3+, <35% labeled nuclei).
- Score 0: no labeling in more than 70% of cells;
- Score 1+: weak label intensity in a minimum of 30% of cells;
- Score 2+: moderate label intensity in a minimum of 30% of cells;
- Score 3+: strong label intensity in a minimum of 30% of cells.
2.4. Statistical Analysis
3. Results
4. Discussion
5. Conclusions
Author Contributions
Funding
Institutional Review Board Statement
Informed Consent Statement
Data Availability Statement
Conflicts of Interest
References
- Cotchin, E. Melanotic tumors of dogs. J. Comp. Pathol. Ther. 1999, 65, 115–129. [Google Scholar] [CrossRef] [PubMed]
- Bergman, P.; Camps-Palau, M.; McKnight, J.; Leibman, N.; Craft, D.; Leung, C.; Liao, J.; Riviere, I.; Sadelain, M.; Hohenhaus, A.; et al. Development of a xenogeneic DNA vaccine program for canine malignant melanoma at the Animal Medical Center. Vaccine 2006, 24, 4582–4585. [Google Scholar] [CrossRef] [PubMed]
- Gillard, M.; Cadieu, E.; De Brito, C.; Abadie, J.; Vergier, B.; Devauchelle, P.; Degorce, F.; Dréano, S.; Primot, A.; Dorso, L.; et al. Naturally occurring melanomas in dogs as models for non-UV pathways of human melanomas. Pigment. Cell Melanoma Res. 2014, 27, 90–102. [Google Scholar] [CrossRef] [PubMed]
- Goldschmidt, M.H.; Shofer, F.S. Skin Tumors of the Dog and Cat; Pergamon Press Ltd.: Oxford, UK, 1992; 139p. [Google Scholar]
- Smith, S.H.; Goldschmidt, M.H.; McManus, P.M. A comparative review of melanocytic neoplasms. Vet. Pathol. 2002, 39, 651–678. [Google Scholar] [CrossRef] [PubMed]
- Van der Weyden, L.; Brenn, T.; Patton, E.E.; Wood, G.A.; Adams, D.J. Spontaneously occurring melanoma in animals and their relevance to human melanoma. J. Pathol. 2020, 252, 4–21. [Google Scholar] [CrossRef] [PubMed]
- Rees, J.L. Melanoma: What are the gaps in our knowledge. PLoS Med. 2008, 5, e122. [Google Scholar] [CrossRef] [PubMed]
- Linos, E.; Swetter, S.M.; Cockburn, M.G.; Colditz, G.A.; Clarke, C.A. Increasing burden of melanoma in the United States. J. Invest. Dermatol. 2009, 129, 1666–1674. [Google Scholar] [CrossRef] [PubMed]
- Spangler, W.L.; Kass, P.H. The histologic and epidemiologic bases for prognostic considerations in canine melanocytic neoplasia. Vet. Pathol. 2006, 43, 136–149. [Google Scholar] [CrossRef]
- EldElder, D.E.; Barnhill, R.L.; Bastian, B.C.; Cook, M.G.; de la Fouchardiere, A.; Gerami, P.; Lazar, A.J.; Massi, D.; Mihm, M.C.J.; Nagore, E. Melanocytic tumour classification and the pathway concept of melanoma pathogenesis. In WHO Classification of Skin Tumours, 4th ed.; Elder, D.E., Massi, D., Scolyer, R.A., Willemze, R., Eds.; World Health Organization Classification of Tumours; IARC: Lyon, France, 2018; Volume 11, pp. 66–71. [Google Scholar]
- Boone, B.; Jacobs, K.; Ferdinande, L.; Taildeman, J.; Lambert, J.; Peeters, M.; Bracke, M.; Pauwels, P.; Brochez, L. EGFR in melanoma: Clinical significance and potential therapeutic target. J. Cutan. Pathol. 2011, 38, 492–502. [Google Scholar] [CrossRef]
- Kumar, R.; George, B.; Campbell, M.R.; Verma, N.; Paul, A.M.; Melo-Alvim, C.; Ribeiro, L.; Pillai, M.R.; da Costa, L.M.; Moasser, M.M. HER family in cancer progression: From discovery to 2020 and beyond. Adv. Cancer Res. 2020, 147, 109–160. [Google Scholar]
- Marmor, M.D.; Skaria, K.B.; Yarden, Y. Signal transduction and oncogenesis by ErbB/HER receptors. Int. J. Radiat. Oncol. Biol. Phys. 2004, 58, 903–913. [Google Scholar] [CrossRef]
- Scaltriti, M.; Baselga, J. The epidermal growth factor receptor pathway: A model for targeted therapy. Clin. Cancer Res. 2006, 12, 5268–5272. [Google Scholar] [CrossRef]
- Nicholson, R.I.; Gee, J.M.; Harper, M.E. EGFR and cancer prognosis. Eur. J. Cancer 2001, 37 (Suppl. 4), S9–S15. [Google Scholar] [CrossRef]
- Charpin, C.; Garcia, S.; Bouvier, C.; Martini, F.; Lavaut, M.N.; Allasia, C.; Bonnier, P.; Andrac, L. C-erbB-2 oncoprotein detected by automated quantitative immunocytochemistry in breast carcinomas correlates with patients’ overall and disease-free survival. Br. J. Cancer 1997, 75, 1667–1673. [Google Scholar] [CrossRef]
- Ross, J.S.; Fletcher, J.A. HER-2/neu (c-erb-B2) gene and protein in breast cancer. Am. J. Clin. Pathol. 1999, 112, S53–S67. [Google Scholar]
- Lee-Hoeflich, S.T.; Crocker, L.; Yao, E.; Pham, T.; Munroe, X.; Hoeflich, K.P.; Sliwkowski, M.X.; Stern, H.M. A central role for HER3 in HER2-amplified breast cancer. Cancer Res. 2008, 68, 5878–5887. [Google Scholar] [CrossRef]
- Koutras, A.K.; Kalogeras, K.T.; Dimopoulos, M.A.; Wirtz, R.M.; Dafni, U.; Briasoulis, E.; Pectasides, D.; Gogas, H.; Christodoulou, C.; Aravantinos, G.; et al. Evaluation of the prognostic and predictive value of HER family mRNA expression in high-risk early breast cancer: A Hellenic Cooperative Oncology Group (HeCOG) study. Br. J. Cancer 2008, 99, 1775–1785. [Google Scholar] [CrossRef]
- Bièche, I.; Onody, P.; Tozlu, S.; Driouch, K.; Vidaud, M.; Lidereau, R. Prognostic value of ERBB family mRNA expression in breast carcinomas. Int. J. Cancer 2003, 106, 758–765. [Google Scholar] [CrossRef]
- Witton, C.J.; Hawe, S.J.; Cooke, T.G.; Bartlett, J.M. Cyclooxygenase 2 (COX2) expression is associated with poor outcome in ER-negative, but not ER-positive, breast cancer. Histopathology 2004, 45, 47–54. [Google Scholar] [CrossRef]
- Goldschmidt, M.H.; Hendrick, M.J. Tumors of the skin and soft tissues. In Tumors in Domestic Animals; Iowa State Press: Ames, IA, USA, 2008; pp. 45–117. [Google Scholar]
- Smedley, R.C.; Sebastian, K.; Kiupel, M. Diagnosis and Prognosis of Canine Melanocytic Neoplasms. Vet. Sci. 2022, 9, 175. [Google Scholar] [CrossRef]
- Momose, M.; Ota, H.; Hayama, M. Re-evaluation of melanin bleaching using warm diluted hydrogen peroxide for histopathological analysis. Pathol. Int. 2011, 61, 345–350. [Google Scholar] [CrossRef] [PubMed]
- Kim, J.H.; Im, K.S.; Kim, N.H.; Yhee, J.Y.; Nho, W.G.; Sur, J.H. Expression of HER-2 and nuclear localization of HER-3 protein in canine mammary tumors: Histopathological and immunohistochemical study. Vet. J. 2011, 189, 318–322. [Google Scholar] [CrossRef] [PubMed]
- Veloso, E.S.; Gonçalves, I.N.N.; Silveira, T.L.; Oliveira, F.S.; Vieira, D.S.; Cassali, G.D.; Del Puerto, H.L.; Ferreira, E. Diverse roles of epidermal growth factors receptors in oral and cutaneous canine melanomas. BMC Vet. Res. 2020, 16, 24. [Google Scholar] [CrossRef] [PubMed]
- Lo, H.W.; Xia, W.; Wei, Y.; Ali-Seyed, M.; Huang, S.F.; Hung, M.C. Novel prognostic value of nuclear epidermal growth factor receptor in breast cancer. Cancer Res. 2005, 65, 338–348. [Google Scholar] [CrossRef]
- Hynes, N.E.; MacDonald, G. ErbB receptors and signaling pathways in cancer. Curr. Opin. Cell Biol. 2009, 21, 177–184. [Google Scholar] [CrossRef] [PubMed]
- Drago, J.Z.; Ferraro, E.; Abuhadra, N.; Modi, S. Beyond HER2: Targeting the ErbB receptor family in breast cancer. Cancer Treat. Rev. 2022, 109, 102436. [Google Scholar] [CrossRef]
- Reis-Filho, J.S.; Tutt, A.N. Triple negative tumours: A critical review. Histopathology 2008, 52, 108–118. [Google Scholar] [CrossRef] [PubMed]
- Masuda, H.; Zhang, D.; Bartholomeusz, C.; Doihara, H.; Hortobagyi, G.N.; Ueno, N.T. Role of epidermal growth factor receptor in breast cancer. Breast Cancer Res. Treat. 2012, 136, 331–345. [Google Scholar] [CrossRef]
- Neto, A.S.; Tobias-Machado, M.; Wroclawski, M.L.; Fonseca, F.L.; Teixeira, G.K.; Amarante, R.D.; Wroclawski, E.R.; Del Giglio, A. Her-2/neu expression in prostate adenocarcinoma: A systematic review and meta-analysis. J. Urol. 2010, 184, 842–850. [Google Scholar] [CrossRef]
- Nakamura, H.; Kawasaki, N.; Taguchi, M.; Kabasawa, K. Association of HER-2 overexpression with prognosis in nonsmall cell lung carcinoma: A metaanalysis. Cancer 2005, 103, 1865–1873. [Google Scholar] [CrossRef]
- Fanotto, V.; Ongaro, E.; Rihawi, K.; Avallone, A.; Silvestris, N.; Fornaro, L.; Vasile, E.; Antonuzzo, L.; Leone, F.; Rosati, G.; et al. HER-2 inhibition in gastric and colorectal cancers: Tangible achievements, novel acquisitions and future perspectives. Oncotarget 2016, 7, 69060–69074. [Google Scholar] [CrossRef]
- Eliopoulos, P.; Mohammed, M.Q.; Henry, K.; Retsas, S. Overexpression of HER-2 in thick melanoma. Melanoma Res. 2002, 12, 139–145. [Google Scholar] [CrossRef]
- Terragni, R.; Casadei Gardini, A.; Sabattini, S.; Bettini, G.; Amadori, D.; Talamonti, C.; Vignoli, M.; Capelli, L.; Saunders, J.H.; Ricci, M.; et al. EGFR, HER-2 and KRAS in canine gastric epithelial tumors: A potential human model? PLoS ONE 2014, 9, e85388, Erratum in PLoS ONE 2015, 10, e0119048. [Google Scholar] [CrossRef]
- Millanta, F.; Impellizeri, J.; McSherry, L.; Rocchigiani, G.; Aurisicchio, L.; Lubas, G. Overexpression of HER-2 via immunohistochemistry in canine urinary bladder transitional cell carcinoma—A marker of malignancy and possible therapeutic target. Vet. Comp. Oncol. 2018, 16, 297–300. [Google Scholar] [CrossRef]
- Maeda, S.; Sakai, K.; Kaji, K.; Iio, A.; Nakazawa, M.; Motegi, T.; Yonezawa, T.; Momoi, Y. Lapatinib as first-line treatment for muscle-invasive urothelial carcinoma in dogs. Sci. Rep. 2022, 12, 4. [Google Scholar] [CrossRef]
- Matos AC HD, S.; Consalter, A.; Dos Santos Batista, B.P.; Fonseca AB, M.; Ferreira AM, R.; Leite, J.D.S. Expression of HER-2 and Ki-67 in granulosa cell tumor in bitches. Reprod. Domest. Anim. 2021, 56, 667–672. [Google Scholar] [CrossRef]
- Flint, A.F.; U’Ren, L.; Legare, M.E.; Withrow, S.J.; Dernell, W.; Hanneman, W.H. Overexpression of the erbB-2 proto-oncogene in canine osteosarcoma cell lines and tumors. Vet. Pathol. 2004, 41, 291–296. [Google Scholar] [CrossRef]
- Yoshimoto, S.; Kato, D.; Kamoto, S.; Yamamoto, K.; Tsuboi, M.; Shinada, M.; Ikeda, N.; Tanaka, Y.; Yoshitake, R.; Eto, S.; et al. Overexpression of human epidermal growth factor receptor 2 in canine primary lung cancer. J. Vet. Med. Sci. 2020, 82, 804–808. [Google Scholar] [CrossRef]
- Yoshimoto, S.; Kato, D.; Kamoto, S.; Yamamoto, K.; Tsuboi, M.; Shinada, M.; Ikeda, N.; Tanaka, Y.; Yoshitake, R.; Eto, S.; et al. Detection of human epidermal growth factor receptor 2 overexpression in canine anal sac gland carcinoma. J. Vet. Med. Sci. 2019, 81, 1034–1039. [Google Scholar] [CrossRef]
- Winston, J.; Craft, D.M.; Scase, T.J.; Bergman, P.J. Immunohistochemical detection of HER-2/neu expression in spontaneous feline mammary tumours. Vet. Comp. Oncol. 2005, 3, 8–15. [Google Scholar] [CrossRef]
- Millanta, F.; Calandrella, M.; Citi, S.; Della Santa, D.; Poli, A. Overexpression of HER-2 in feline invasive mammary carcinomas: An immunohistochemical survey and evaluation of its prognostic potential. Vet. Pathol. 2005, 42, 30–34. [Google Scholar] [CrossRef]
- Saraiva, A.L.; Payan-Carreira, R.; Gärtner, F.; Faria, F.; Lourenço, L.M.; Pires, M.A. Changes in c-erbB-2 Immunoexpression in Feline Endometrial Adenocarcinomas. Reprod. Domest. Anim. 2016, 51, 33–39. [Google Scholar] [CrossRef] [PubMed]
- Muscatello, L.V.; Oto, E.D.; Dignazzi, M.; Murphy, W.J.; Porcellato, I.; De Maria, R.; Raudsepp, T.; Foschini, M.P.; Sforna, M.; Benazzi, C.; et al. HER2 Overexpression and Amplification in Feline Pulmonary Carcinoma. Vet. Pathol. 2021, 58, 527–530. [Google Scholar] [CrossRef] [PubMed]
- Rákosy, Z.; Vízkeleti, L.; Ecsedi, S.; Vokó, Z.; Bégány, A.; Barok, M.; Krekk, Z.; Gallai, M.; Szentirmay, Z.; Adány, R.; et al. EGFR gene copy number alterations in primary cutaneous malignant melanomas are associated with poor prognosis. Int. J. Cancer 2007, 121, 1729–1737. [Google Scholar] [CrossRef]
- Potti, A.; Hille, R.C.; Koch, M. Immunohistochemical determination of HER-2/neu overexpression in malignant melanoma reveals no prognostic value, while c-kit (CD117) overexpression exhibits potential therapeutic implications. J. Carcinog. 2003, 2, 8. [Google Scholar] [CrossRef]
- Kluger, H.M.; DiVito, K.; Berger, A.J.; Halaban, R.; Ariyan, S.; Camp, R.L.; Rimm, D.L. Her2/ neu is not a commonly expressed therapeutic target in melanoma—A large cohort tissue microarray study. Melanoma Res. 2004, 14, 207–210. [Google Scholar] [CrossRef]
- Shayanfar, N.; Bahari, L.; Safaie-Naraghi, Z.; Kamyab, K.; Gheytanchi, E.; Rezaei, N. Negative HER2/neu amplification using immunohistochemistry and chromogenic in situ hybridization techniques in skin melanoma cases. Asian Pac. J. Cancer Prev. 2015, 16, 421–425. [Google Scholar] [CrossRef] [PubMed]
- Goldschmidt, M.H.; Goldschmidt, K.H. Epithelial and Melanocytic Tumors of the Skin. In Tumors in Domestic Animals, 5th ed.; Meuten, D.J., Ed.; John Wiley & Sons: Hoboken, NJ, USA, 2016. [Google Scholar]
- Pellin, M.A. The Use of Oncept Melanoma Vaccine in Veterinary Patients: A Review of the Literature. Vet. Sci. 2022, 9, 597. [Google Scholar] [CrossRef]
- Reschke, M.; Mihic-Probst, D.; van der Horst, E.H.; Knyazev, P.; Wild, P.J.; Hutterer, M.; Meyer, S.; Dummer, R.; Moch, H.; Ullrich, A. HER3 is a determinant for poor prognosis in melanoma. Clin. Cancer Res. 2008, 14, 5188–5197. [Google Scholar] [CrossRef]
- Giuliano, A. Companion Animal Model in Translational Oncology; Feline Oral Squamous Cell Carcinoma and Canine Oral Melanoma. Biology 2021, 11, 54. [Google Scholar] [CrossRef]


| Ulceration | Mitotic Count | Her 2 | Her 3 | Tot | ||||||
|---|---|---|---|---|---|---|---|---|---|---|
| Yes | No | High | Low | 0–1 | 2–3 | 0–1 | 2–3 | |||
| Cutaneous melanoma | Epithelioid | 2 | 8 | 4 | 6 | 5 | 5 | 8 | 2 | |
| Fusiform | 0 | 2 | 0 | 2 | 1 | 1 | 2 | 0 | ||
| Mixed | 2 | 4 | 1 | 5 | 4 | 2 | 6 | 0 | ||
| tot | 4 | 14 | 5 | 13 | 10 | 8 | 16 | 2 | 18 | |
| Oromucosal melanoma | Epithelioid | 7 | 3 | 7 | 3 | 5 | 5 | 9 | 1 | |
| Fusiform | 3 | 0 | 2 | 1 | 2 | 1 | 1 | 2 | ||
| Mixed | 3 | 0 | 2 | 1 | 1 | 2 | 3 | 0 | ||
| tot | 13 | 3 | 11 | 5 | 8 | 8 | 13 | 3 | 16 | |
| Digital melanoma | Epithelioid | 2 | 0 | 1 | 1 | 1 | 1 | 1 | 1 | |
| Mixed | 1 | 0 | 0 | 1 | 1 | 0 | 1 | 0 | ||
| tot | 3 | 0 | 1 | 2 | 2 | 1 | 2 | 1 | 3 | |
| Cutaneous Melanoma | Oromucosal Melanoma | Digital Melanoma | |||||||||||
|---|---|---|---|---|---|---|---|---|---|---|---|---|---|
| HER-2 | HER-3 | HER-2 | HER-3 | HER-2 | HER-3 | ||||||||
| 0–1 | 2–3 | 0–1 | 2–3 | 0–1 | 2–3 | 0–1 | 2–3 | 0–1 | 2–3 | 0–1 | 2–3 | ||
| Ulceration | yes | 3 | 1 | 4 | 0 | 5 | 8 | 10 * | 3 | 2 | 1 | 2 | 1 |
| no | 6 | 8 | 11 | 3 | 3 | 0 | 3 | 0 | 0 | 0 | 0 | 0 | |
| Mitotic count | high | 1 | 4 | 5 | 0 | 3 | 8 * | 8 | 3 | 1 | 1 | 1 | 1 |
| low | 8 | 5 | 10 | 3 | 5 | 0 | 5 | 0 | 1 | 0 | 1 | 0 | |
| tot | 9 | 9 | 15 | 3 | 8 | 8 | 13 | 3 | 2 | 1 | 2 | 1 | |
| 18 | 18 | 16 | 16 | 3 | 3 | ||||||||
Disclaimer/Publisher’s Note: The statements, opinions and data contained in all publications are solely those of the individual author(s) and contributor(s) and not of MDPI and/or the editor(s). MDPI and/or the editor(s) disclaim responsibility for any injury to people or property resulting from any ideas, methods, instructions or products referred to in the content. |
© 2024 by the authors. Licensee MDPI, Basel, Switzerland. This article is an open access article distributed under the terms and conditions of the Creative Commons Attribution (CC BY) license (https://creativecommons.org/licenses/by/4.0/).
Share and Cite
Parisi, F.; Aurisicchio, L.; Pecorari, A.; Poli, A.; Millanta, F. A Preliminary Evaluation of the Prognostic Role of HER-2 and HER-3 Immunohistochemical Expression in Canine Melanomas. Animals 2024, 14, 1400. https://doi.org/10.3390/ani14101400
Parisi F, Aurisicchio L, Pecorari A, Poli A, Millanta F. A Preliminary Evaluation of the Prognostic Role of HER-2 and HER-3 Immunohistochemical Expression in Canine Melanomas. Animals. 2024; 14(10):1400. https://doi.org/10.3390/ani14101400
Chicago/Turabian StyleParisi, Francesca, Luigi Aurisicchio, Arianna Pecorari, Alessandro Poli, and Francesca Millanta. 2024. "A Preliminary Evaluation of the Prognostic Role of HER-2 and HER-3 Immunohistochemical Expression in Canine Melanomas" Animals 14, no. 10: 1400. https://doi.org/10.3390/ani14101400
APA StyleParisi, F., Aurisicchio, L., Pecorari, A., Poli, A., & Millanta, F. (2024). A Preliminary Evaluation of the Prognostic Role of HER-2 and HER-3 Immunohistochemical Expression in Canine Melanomas. Animals, 14(10), 1400. https://doi.org/10.3390/ani14101400

