Supernumerary Marker Chromosome Identified in Asian Elephant (Elephas maximus)
Simple Summary
Abstract
1. Introduction
2. Materials and Methods
2.1. The Asian Elephant Family
2.2. Samples and Banding Techniques
2.3. DNA Probes and Fluorescence In Situ Hybridization (FISH)
2.3.1. Preparation of the EMAM1 Clone
2.3.2. Preparation of the LAFM1 Clone
2.3.3. Preparation of the Centromeric Probe
2.3.4. Telomere-Specific Probe
2.3.5. FISH
2.3.6. Identification of the NOR-Bearing Chromosomes in E. maximus and L. africana
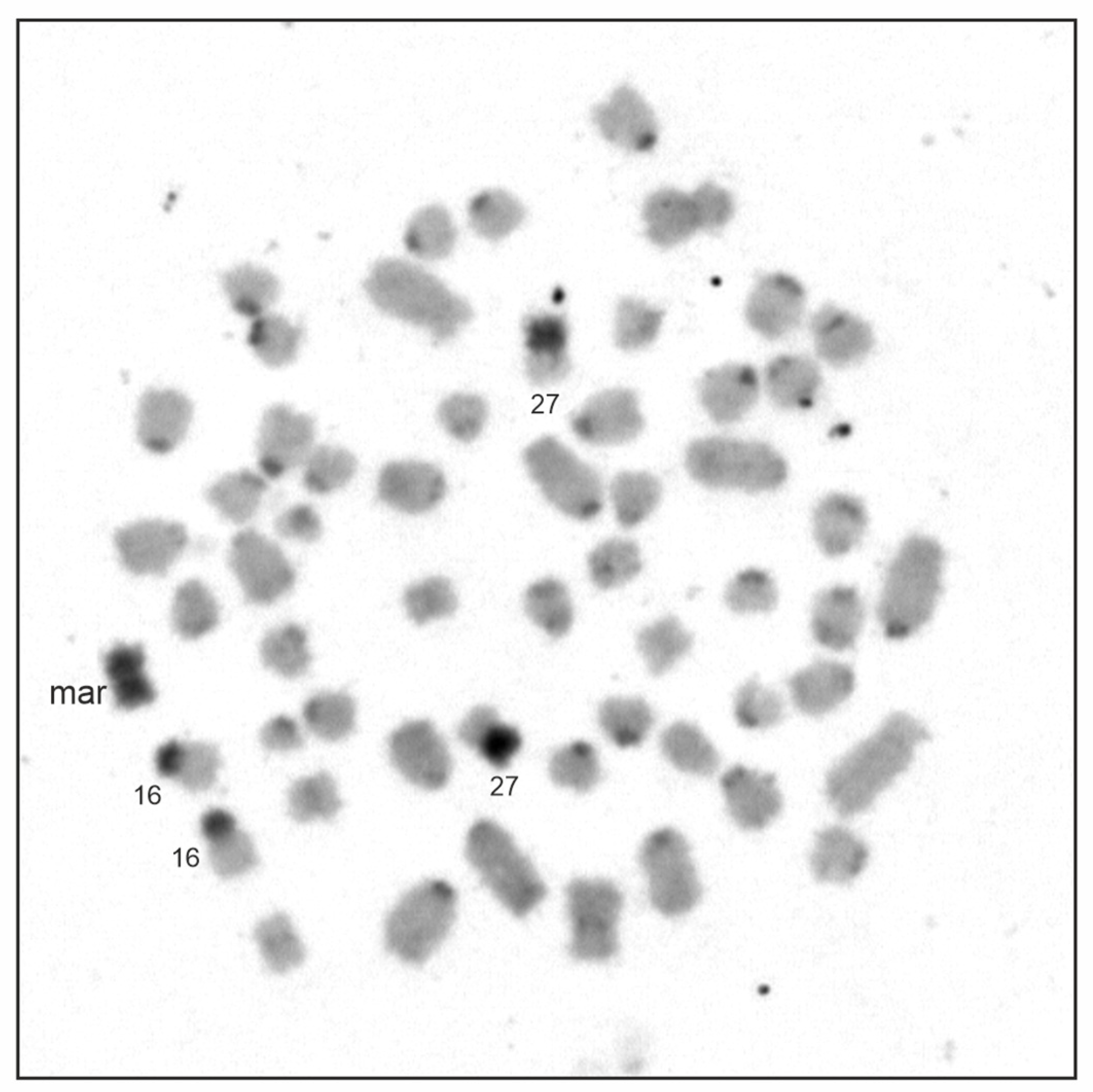
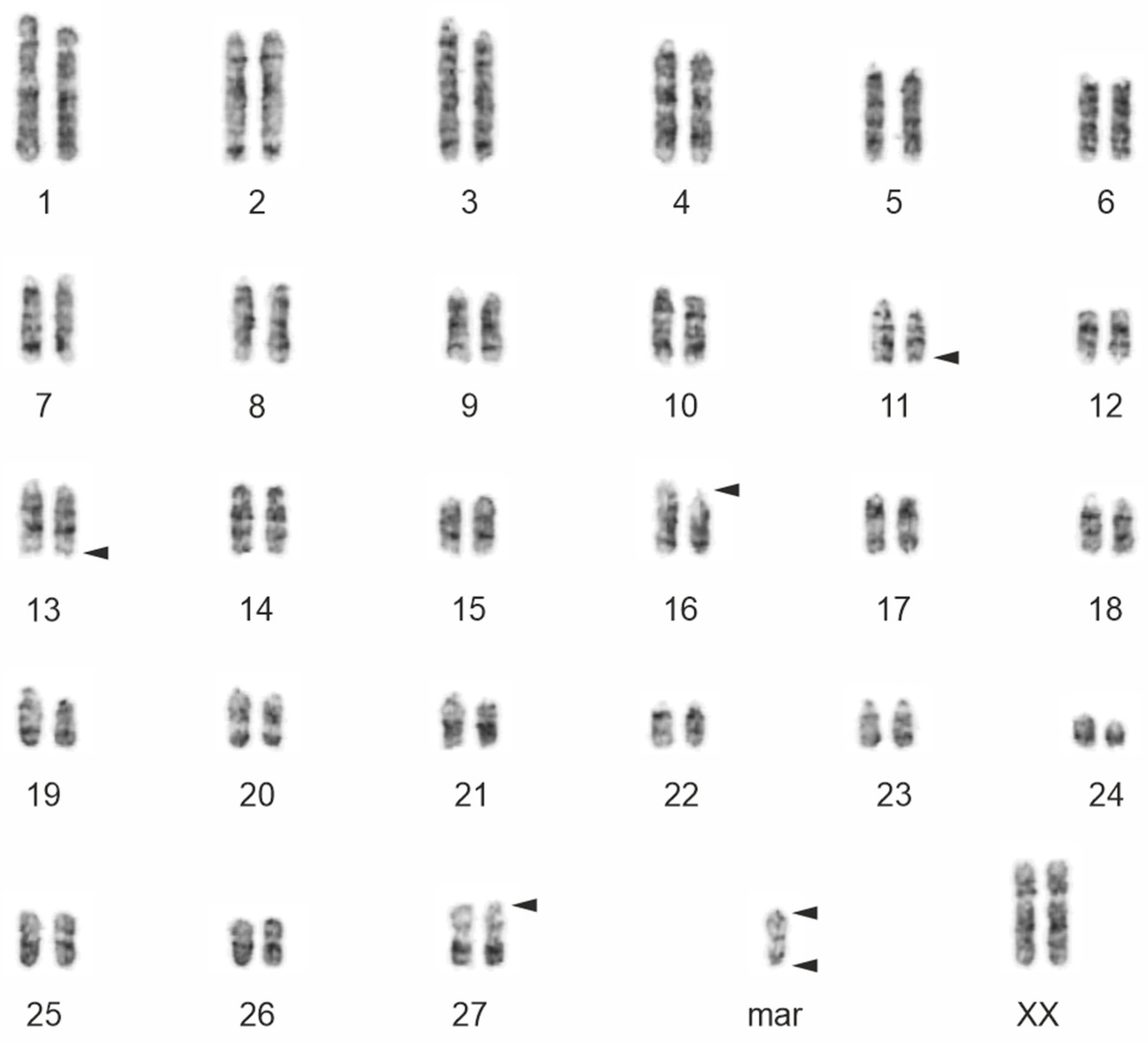
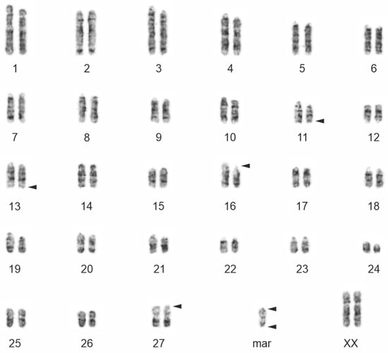
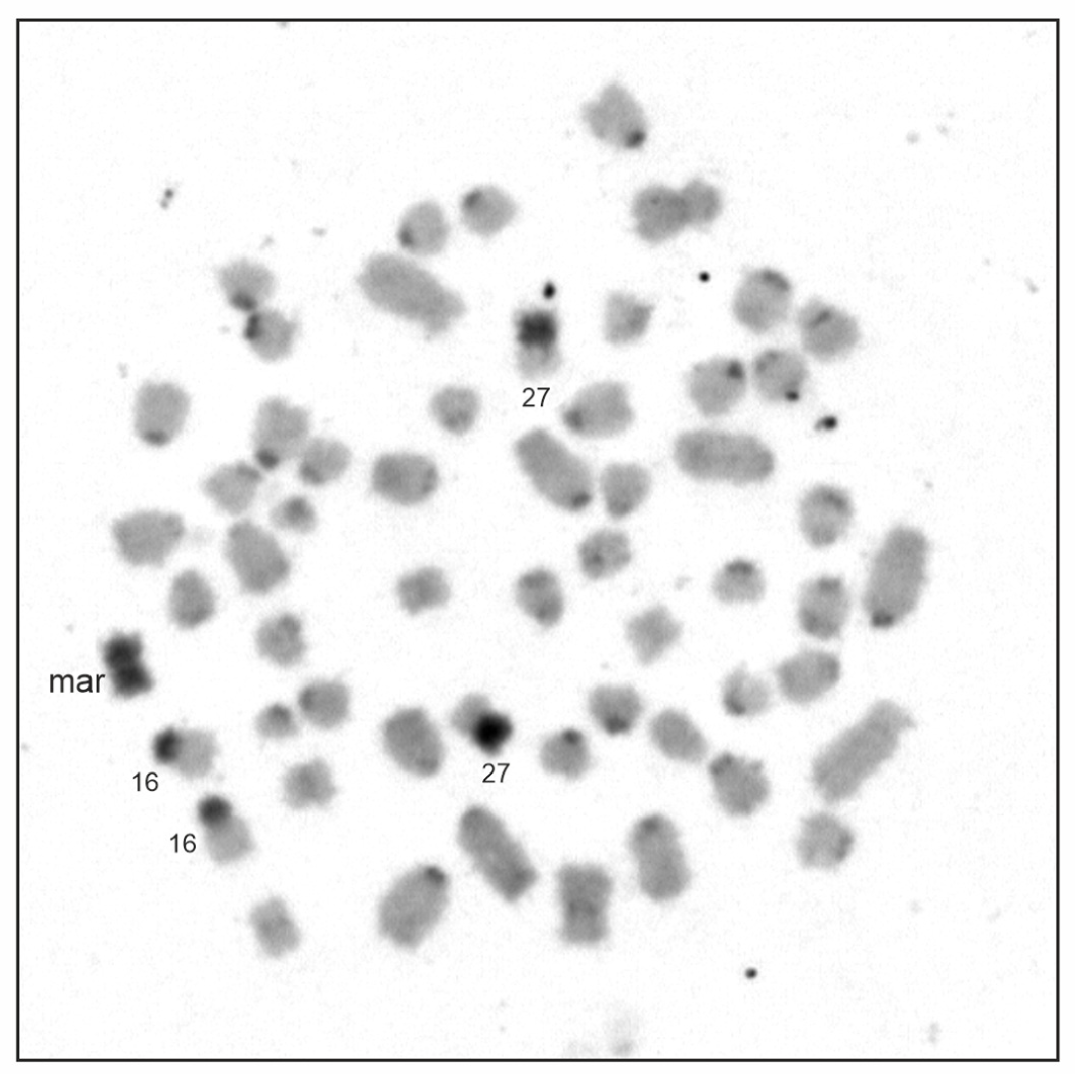
3. Results
3.1. Identification of the Marker Origin
3.2. Identification of the NOR-Bearing Chromosomes Using Human Painting Probes and AgNOR Staining
3.2.1. E. maximus
3.2.2. L. africana
3.3. Comparison of the EMAM1 and LAFM1 Clones
4. Discussion
4.1. NORs
4.2. Can We Consider the Marker Chromosome Identified in Two Asian Elephants as a Kind of Proto-B Chromosome?
5. Conclusions
Author Contributions
Funding
Institutional Review Board Statement
Informed Consent Statement
Data Availability Statement
Acknowledgments
Conflicts of Interest
Abbreviations
| sSMC | small supernumerary marker chromosome |
| NOR | nucleolar organizer region |
| FISH | fluorescence in situ hybridization |
| EMA | Elephas maximus |
| LAF | Loxodonta africana |
| DOP-PCR | degenerate oligonucleotide primed polymerase chain reaction |
| BRU | basic repeat unit |
| PNA | peptide nucleic acid |
References
- Liehr, T.; Claussen, U.; Starke, H. Small supernumerary marker chromosomes (sSMC) in humans. Cytogenet. Genome. Res. 2004, 107, 55–67. [Google Scholar] [CrossRef] [PubMed]
- Trifonov, V.; Fluri, S.; Binkert, F.; Nandini, A.; Anderson, J.; Rodriguez, L.; Gross, M.; Kosyakova, N.; Mkrtchyan, H.; Ewers, E.; et al. Complex rearranged small supernumerary marker chromosomes (sSMC), three new cases; evidence for an underestimated entity? Mol. Cytogenet. 2008, 15, 1–6. [Google Scholar] [CrossRef][Green Version]
- Liehr, T.; Weise, A. Frequency of small supernumerary marker chromosomes in prenatal, newborn, developmentally retarded and infertility diagnostics. Int. J. Mol. Med. 2007, 19, 719–731. [Google Scholar] [CrossRef] [PubMed]
- Liehr, T. The sSMC Homepage. Available online: https://cs-tl.de/DB/CA/sSMC/0-Start.html (accessed on 14 January 2023).
- Jafari-Ghahfarokhi, H.; Moradi-Chaleshtori, M.; Liehr, T.; Hashemzadeh-Chaleshtori, M.; Teimori, H.; Ghasemi-Dehkordi, P. Small supernumerary marker chromosomes and their correlation with specific syndromes. Adv. Biomed. Res. 2015, 4, 140. [Google Scholar]
- Liehr, T. Familial small supernumerary marker chromosomes are predominantly inherited via the maternal line. Genet. Med. 2006, 8, 459–462. [Google Scholar] [CrossRef] [PubMed]
- Paoloni-Giacobino, A.; Morrisand, M.A.; Dahoun, S.P. Prenatal supernumerary r(16) chromosome characterized by multiprobeFISH with normal pregnancy outcome. Prenat. Diagn. 1998, 18, 751–756. [Google Scholar] [CrossRef]
- Zhou, L.; Zheng, Z.; Wu, L.; Xu, C.; Wu, H.; Xu, X.; Tang, S. Molecular delineation of small supernumerary marker chromosomes using a single nucleotide polymorphism array. Mol. Cytogenet. 2020, 27, 13–19. [Google Scholar] [CrossRef]
- Brondum-Nielsen, K.; Mikkelsen, M. A 10-year survey, 1980–1990, of prenatally diagnosed small supernumerary marker chromosomes, identified by FISH analysis. Outcome and follow-up of 14 cases diagnosed in a series of 12,699 prenatal samples. Prenat. Diagn. 1995, 15, 615–619. [Google Scholar] [CrossRef]
- Buckton, K.E.; Spowart, G.; Newton, M.S.; Evans, H.J. Forty four probands with an additional “marker” chromosome. Hum. Genet. 1985, 69, 353–370. [Google Scholar] [CrossRef]
- De Braekeleer, M.; Dao, T.N. Cytogenetic studies in male infertility: A review. Hum. Reprod. 1991, 6, 245–250. [Google Scholar] [CrossRef]
- Morel, F.; Douet-Guilbert, N.; Le Bris, M.J.; Amice, V.; Le Martelot, M.T.; Roche, S.; Valéri, A.; Derrien, V.; Amice, J.; De Braekeleer, M. Chromosomal abnormalities in couples undergoing intracytoplasmic sperm injection. A study of 370 couples and review of the literature. Int. J. Androl. 2004, 27, 178–182. [Google Scholar] [CrossRef]
- Douet-Guilbert, N.; Marical, H.; Pinson, L.; Herry, A.; Le Bris, M.J.; Morel, F.; De Braekeleer, M. Characterisation of supernumerary chromosomal markers: A study of 13 cases. Cytogenet. Genome Res. 2007, 116, 18–23. [Google Scholar] [CrossRef] [PubMed]
- Wang, W.; Hu, Y.; Zhu, H.; Li, J.; Zhu, R.; Wang, Y.-P. A case of an infertile male with a small supernumerary marker chromosome negative for M-FISH and containing only heterochromatin. J. Assist. Reprod. Genet. 2009, 26, 291–295. [Google Scholar] [CrossRef] [PubMed][Green Version]
- Oracova, E.; Musilova, P.; Kopecna, O.; Rybar, R.; Vozdova, M.; Vesela, K.; Rubes, J. Sperm and Embryo Analysis in a Carrier of Supernumerary inv dup(15) Marker Chromosome. J. Androl. 2009, 30, 233–239. [Google Scholar] [CrossRef] [PubMed]
- Palkopoulou, E.; Lipson, M.; Mallick, S.; Nielsen, S.; Rohland, N.; Baleka, S.; Karpinski, E.; Ivancevic, A.M.; To, T.-H.; Kortschak, R.D.; et al. A comprehensive genomic history of extinct and living elephants. Proc. Natl. Acad. Sci. USA 2018, 13, 115. [Google Scholar] [CrossRef] [PubMed]
- Houck, M.L.; Kumamoto, A.T.; Gallagher, D.S.; Benirschke, K. Comparative cytogenetics of the African elephant (Loxodonta africana) and Asiatic elephant (Elephas maximus). Cytogenet. Cell Genet. 2001, 93, 249–252. [Google Scholar] [CrossRef] [PubMed]
- Frönicke, L.; Wienberg, J.; Stone, G.; Adams, L.; Stanyon, R. Towards the delineation of the ancestral eutherian genome organization: Comparative genome maps of human and the African elephant (Loxodonta africana) generated by chromosome painting. Proc. Biol. Sci. 2003, 270, 1331–1340. [Google Scholar] [CrossRef] [PubMed]
- Yang, F.; Alkalaeva, E.Z.; Perelman, P.L.; Pardini, A.T.; Harrison, W.R.; O'Brien, P.C.M.; Fu, B.; Graphodatsky, A.S.; Ferguson-Smith, M.A.; Robinson, T.J. Reciprocal chromosome painting among human, aardvark, and elephant (superorder Afrotheria) reveals the likely eutherian ancestral karyotype. Proc. Natl. Acad. Sci. USA 2003, 100, 1062–1066. [Google Scholar] [CrossRef]
- Cernohorska, H.; Kubickova, S.; Vahala, J.; Rubes, J. Molecular insights into X; BTA5 chromosome rearrangements in the tribe Antilopini (Bovidae). Cytogenet. Genome Res. 2012, 136, 188–198. [Google Scholar]
- Seabright, M. A rapid banding technique for human chromosomes. Lancet 1971, 2, 971–972. [Google Scholar] [CrossRef]
- Sumner, A.T. A simple technique for demonstrating centric heterochromatin. Exp. Cell Res. 1972, 75, 304–306. [Google Scholar] [CrossRef]
- Goodpasture, C.; Bloom, S.E. Visualization of nucleolar organizer in mammalian chromosomes using silver staining. Chromosoma 1975, 53, 37–50. [Google Scholar] [CrossRef]
- Kubickova, S.; Cernohorska, H.; Musilova, P.; Rubes, J. The use of laser microdissection for the preparation of chromosomespecific painting probes in farm animals. Chromosome Res. 2002, 10, 571–577. [Google Scholar] [CrossRef] [PubMed]
- Pauciullo, A.; Kubickova, S.; Cernohorska, H.; Petrova, K.; Di Berardino, D.; Ramunno, L.; Rubes, J. Isolation and physical localization of new chromosome specific repeats in farm animals. Vet. Med. Czech. 2006, 51, 224–231. [Google Scholar] [CrossRef]
- Cernohorska, H.; Kubickova, S.; Kopecna, O.; Vozdova, M.; Matthee, C.A.; Robinson, T.J.; Rubes, J. Nanger, Eudorcas, Gazella, and Antilope form a well-supported chromosomal clade within Antilopini (Bovidae, Cetartiodactyla). Chromosoma 2015, 124, 235–247. [Google Scholar] [CrossRef] [PubMed]
- Hungerford, D.A.; Sharat Chandra, H.; Snyder, R.L.; Ulmer, F.A., Jr. Chromosomes of three elephants, two Asian (Elephas maximus) and one African (Loxodonta africana). Cytogenetics 1966, 5, 243–246. [Google Scholar] [CrossRef]
- Norberg, H.S. The chromosomes of the Indian female elephant (Elephas indicus syn. E. maximus L.). Hereditas 1969, 63, 279–281. [Google Scholar] [CrossRef]
- Kopecna, O.; Kubickova, S.; Cernohorska, H.; Cabelova, K.; Vahala, J.; Martinkova, N.; Rubes, J. Tribe-specific satellite DNA in non-domestic Bovidae. Chromosome Res. 2014, 22, 277–291. [Google Scholar] [CrossRef]
- Barra, V.; Fachinetti, D. The dark side of centromeres: Types, causes and consequences of structural abnormalities implicating centromeric DNA. Nat. Commun. 2018, 9, 4340. [Google Scholar] [CrossRef]
- Hartl, G.B.; Kurt, F.; Hemmer, W.; Nadlinger, K. Electrophoretic and chromosomal variation in captive Asian elephants (Elephas maximus). Zoo. Biol. 1995, 14, 87–95. [Google Scholar] [CrossRef]
- Rattanayuvakorn, S.; Tanomtong, A.; Phimphan, S.; Sangpakdee, W.; Pinmongkhonkul, S.; Phintong, K. Karyological Study of Tusker and Tuskless Male Asian Elephant (Elephas maximus) by Conventional, GTG-, and Ag-NOR Banding Techniques. CYTOLOGIA 2017, 82, 349–354. [Google Scholar] [CrossRef][Green Version]
- Liehr, T.; Mrasek, K.; Kosyakova, N.; Ogilvie, C.M.; Vermeesch, J.; Trifonov, V.; Rubtsov, N. Small supernumerary marker chromosomes (sSMC) in humans; are there B chromosomes hidden among them. Mol. Cytogenet. 2008, 1, 12. [Google Scholar] [CrossRef] [PubMed]
- Fuster, C.; Rigola, M.A.; Egozcue, J. Human supernumeraries: Are they B chromosomes? Cytogenet. Genome Res. 2004, 106, 165–172. [Google Scholar] [CrossRef] [PubMed]
- Camacho, J.P.M. B chromosomes in the eukaryote genome. Cytogenet. Genome Res. 2004, 106, 147–410. [Google Scholar] [CrossRef]
- Jones, R.N.; Viegas, W.; Houben, A. A century of B chromosomes in plants: So what? Ann. Bot. 2008, 101, 767–775. [Google Scholar] [CrossRef]
- Vujošević, M.; Rajičić, M.; Jelena Blagojević, J. B chromosomes in populations of mammals revisited. Genes 2018, 9, 487. [Google Scholar] [CrossRef]
- Mackie Ogilvie, C.; Harrison, R.H.; Horsley, S.W.; Hodgson, S.V.; Kearney, L. A mitotically stable marker chromosome negative for whole chromosome libraries, centromere probes and chromosome specific telomere regions: A novel class of supernumerary marker chromosome? Cytogenet Cell Genet. 2001, 92, 69–73. [Google Scholar] [CrossRef]
- Seifertova, E.; Zimmerman, L.B.; Gilchrist, M.J.; Macha, J.; Kubickova, S.; Cernohorska, H.; Zarsky, V.; Owens, N.D.L.; Sesay, A.K.; Tlapakova, T.; et al. Efficient high-throughput sequencing of a laser microdissected chromosome arm. BMC Genom. 2013, 14, 357. [Google Scholar] [CrossRef]







Disclaimer/Publisher’s Note: The statements, opinions and data contained in all publications are solely those of the individual author(s) and contributor(s) and not of MDPI and/or the editor(s). MDPI and/or the editor(s) disclaim responsibility for any injury to people or property resulting from any ideas, methods, instructions or products referred to in the content. |
© 2023 by the authors. Licensee MDPI, Basel, Switzerland. This article is an open access article distributed under the terms and conditions of the Creative Commons Attribution (CC BY) license (https://creativecommons.org/licenses/by/4.0/).
Share and Cite
Cernohorska, H.; Kubickova, S.; Musilova, P.; Vozdova, M.; Vodicka, R.; Rubes, J. Supernumerary Marker Chromosome Identified in Asian Elephant (Elephas maximus). Animals 2023, 13, 701. https://doi.org/10.3390/ani13040701
Cernohorska H, Kubickova S, Musilova P, Vozdova M, Vodicka R, Rubes J. Supernumerary Marker Chromosome Identified in Asian Elephant (Elephas maximus). Animals. 2023; 13(4):701. https://doi.org/10.3390/ani13040701
Chicago/Turabian StyleCernohorska, Halina, Svatava Kubickova, Petra Musilova, Miluse Vozdova, Roman Vodicka, and Jiri Rubes. 2023. "Supernumerary Marker Chromosome Identified in Asian Elephant (Elephas maximus)" Animals 13, no. 4: 701. https://doi.org/10.3390/ani13040701
APA StyleCernohorska, H., Kubickova, S., Musilova, P., Vozdova, M., Vodicka, R., & Rubes, J. (2023). Supernumerary Marker Chromosome Identified in Asian Elephant (Elephas maximus). Animals, 13(4), 701. https://doi.org/10.3390/ani13040701

